Plasty of extensive defects of long bones with vascularized peroneal grafts
- Authors: Grishin I.T.1, Golubev V.T.1, Kroshkin M.M.1, Bogdashevsky D.R.1, Golubev V.V.1, Polotnyanko V.N.1
-
Affiliations:
- Central Institute of Traumatology and Orthopedics. N.N. Priorova
- Issue: Vol 8, No 2 (2001)
- Pages: 61-65
- Section: Articles
- Submitted: 25.01.2022
- Accepted: 25.01.2022
- Published: 02.02.2022
- URL: https://journals.eco-vector.com/0869-8678/article/view/98415
- DOI: https://doi.org/10.17816/vto98415
- ID: 98415
Cite item
Full Text
Abstract
The experience in treatment of 130 patients with vast long bone defects using microsurgical plasty with vascularized fibular autogtarfts is generalized. The defects mainly resulted from severe open mechanical and gunshot injuries as well as congenital pseudoarthroses. Long term results were evaluated in 102 patients in terms from 2 to 15 years. Good results were achieved in 89.2%) of patients. In treatment of congenital pseudoarthroses no failed outcomes were detected, while the use of routine method of bone plasty gave up to 80% of unsatisfactory results.
Full Text
На протяжении многих десятилетий лечение больных с обширными дефектами длинных костей остается сложной и актуальной проблемой травматологии и ортопедии. Более того, число таких больных с каждым годом увеличивается из-за возрастающей частоты и тяжести дорожно-транспортных травм и огнестрельных ранений.
Под обширными дефектами костей мы понимаем утрату 1/3 длины кости и более вследствие тех или иных причин. До недавнего времени основными методами лечения рассматриваемой патологии были костная ауто-или аллопластика и билокальный остеосинтез по Илизарову. Недостатки этих методов известны. Многочисленные экспериментальные и клинические исследования показали, что при пересадке некровоснабжаемых костных трансплантатов клетки их компактного и губчатого вещества, периоста, эндоста и костного мозга погибают. В связи с этим такие трансплантаты рассасываются и замещаются вновь образующейся костной тканью. Отмечена прямая зависимость выраженности процессов регенерации от состояния воспринимающего ложа и величины пересаженного трансплантата [6, 7].
Внедрение в клиническую практику компрессионно-дистракционного остеосинтеза отчасти решило эту проблему. Однако при обширных дефектах суставных концов кости, особенно у детей, применение данного метода крайне затруднено и малоэффективно в плане восстановления формы и функции пострадавшей конечности. Чем больший дефект кости по длине приходится устранять с помощью компрессионно-дистракционного остеосинтеза, тем длительнее сроки лечения и реабилитации больных, выше риск нагноения тканей вокруг спиц и развития ситуации, вынуждающей к преждевременному снятию аппарата [1, 4]. Необходимо также подчеркнуть, что скорость перестройки трансплантата, как и созревания регенерата, в решающей степени зависит от состояния воспринимающего ложа, которое крайне неблагоприятно для течения этих процессов из-за предшествовавших многократных оперативных вмешательств, направленных на устранение дефекта кости или ложного сустава [6, 7].
На сегодняшний день во многих странах ведущим методом замещения обширных дефектов длинных костей является пересадка васкуляризованного малоберцового аутотрансплантата с использованием микрохирургической техники [2, 3, 5, 8-13]. Известно, что кровоснабжение малоберцовой кости, как и других костей, осуществляется за счет сосудов-спутников. Эти сосуды, помимо васкуляризации кости, осуществляют кровоснабжение окружающих ее мышц, подкожной клетчатки и прилежащих кожных покровов. Какая доля крови, притекающей по артерии-спутнице кости, затрачивается на указанные ткани, к сожалению, не изучено.
При заборе кровоснабжаемого костного трансплантата питающий его сосуд лишается ветвей, идущих к окружающим тканям, за исключением мышечной муфты вокруг кости, и трансплантат при включении в общий кровоток на новом месте становится как бы гиперваскулярным по сравнению с нормой. Именно этим можно объяснить то, что трансплантат сохраняет свою жизнеспособность при самом неблагоприятном состоянии воспринимающего его ложа, устойчив к инфекции, срастается с материнской костью быстрее, чем фрагменты при обычном закрытом переломе [2, 3]. Более того, некоторые авторы наблюдали у детей ускоренный темп роста пересаженного васкуляризованного трансплантата по сравнению с идентичным сегментом на контралатеральной конечности.
Материал и методы
В отделении микрохирургии и травмы кисти ЦИТО микрохирургическая техника при лечении ортопедо-травматологических больных применяется с 1976 г. За это время оперировано 2048 больных, которым выполнено 2090 реконструктивно-восстановительных операций на разных отделах верхних и нижних конечностей. Из них 130 пациентам в возрасте от 2,5 до 50 лет с обширными дефектами длинных костей произведена аутопластика васкуляризованными малоберцовыми трансплантатами.
Табл. 1. Локализация и причины образования обширных дефектов длинных костей
Локализация дефекта | Последствия тяжелых открытых механических травм | Последствия огнестрельных ранений | Врожденный ложный сустав | Опухоли костей | Всего больных |
Плечо | 24 | 9 | - | 7 | 40 |
Предплечье | 14 | 4 | 2 | 3 | 23 |
Бедро | 7 | 3 | - | 3 | 13 |
Большеберцовая кость | 11 | 6 | 30 | 3 | 50 |
Длинные кости стопы | 4 | - | - | - | 4 |
Итого | 60 | 22 | 32 | 16 | 130 |
Как видно из табл. 1, чаще всего обширные дефекты длинных костей отмечались у больных, перенесших тяжелые открытые механические и огнестрельные травмы конечностей. Это и понятно, поскольку такие повреждения у всех наших пациентов осложнились остеомиелитом, потребовавшим от 3 до 5 секвестрнекрэктомий с резекцией концов отломков пострадавшей кости. Протяженность дефекта кости у этих больных была от 12 до 23 см.
Большую группу составили пациенты с врожденными ложными суставами (32 человека). До поступления в ЦИТО они лечились в других учреждениях от 2 мес до 27 лет и в общей сложности перенесли 103 оперативных вмешательства. Чаще всего применялись компрессионно-дистракционный остеосинтез и различные виды и комбинации костной пластики и остеосинтеза. Протяженность дефекта кости составляла от 7 (у детей младшего возраста) до 15 см.
У подавляющего большинства больных (81) при поступлении в клинику имелись грубые угловые деформации пострадавших сегментов (особенно нижних конечностей), определялась патологическая подвижность в зоне дефекта, что резко затрудняло передвижение пациентов или ограничивало функцию верхней конечности. Поэтому перед пластикой дефекта мы накладывали аппарат Илизарова для устранения деформации и выявления истинного размера дефекта кости. Эти же аппараты использовали и после основного этапа операции. Они позволяют прочно фиксировать трансплантат к материнскому ложу и с 10-12-го дня начинать восстановительное лечение и дозированную нагрузку оперированной конечности.
Техника самой пересадки кровоснабжаемого малоберцового трансплантата хорошо известна [3], и мы не будем останавливаться на ней.
Результаты и обсуждение
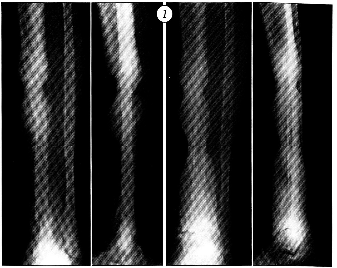
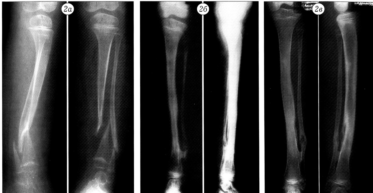
Наши многолетние наблюдения показали, что диафизарным отделом малоберцовой кости с питающим ее сосудистым пучком можно замещать обширные дефекты бедра, большеберцовой, плечевой кости и костей предплечья. После приживления трансплантат под действием функциональной нагрузки утолщается, приближаясь по размерам и форме к кости, дефект которой им замещается (рис. 1). Особенно показана такая тактика при больших дефектах костей предплечья и плеча любого генеза в сочетании с плохой васкуляризацией тканей, а также при врожденных ложных суставах (рис. 2).
Проксимальный конец малоберцовой кости по анатомической форме хорошо подходит для замещения дистальных концов костей предплечья и проксимального конца плечевой кости. Почти идеален этот отдел малоберцовой кости для замещения указанных суставных концов костей верхней конечности у детей после удаления опухоли. Благодаря сохранности и функционированию ростковой зоны малоберцовая кость на новом месте продолжает расти и в последующем, как правило, нет необходимости в удлинении плеча или предплечья.
При обширных дефектах кости и окружающих мягких тканей, что нередко наблюдается после тяжелых огнестрельных ранений, пересадку малоберцовой кости можно сочетать с одновременной транспозицией или свободной пересадкой кожного либо кожно-мышечного лоскута. Такие комбинированные оперативные вмешательства успешно выполнены нами у 17 больных (у 10 после огнестрельных ранений и у 7 после тяжелых открытых переломов).
Иммобилизация аппаратом Илизарова при пластике дефектов костей верхней конечности продолжалась 1,5~4 мес, большеберцовой и бедренной костей — до 1 года. После снятия аппарата больные обязательно должны пользоваться ортезами до тех пор, пока не произойдет адаптационная перестройка трансплантата на 40-50% от исходной толщины и не исчезнет опасность его перелома при полной нагрузке оперированной нижней конечности.
Рис. 1. Этапы адаптационной перестройки васкуляризованного аутотрансплантата из малоберцовой кости через периодически возникающие стресс-переломы при замещении обширного дефекта большеберцовой кости после удаления опухоли.
Рис. 2. Рентгенограммы голени больной с врожденным ложным суставом. a — до аутопластики; б — через 7 мес после аутопластики васкуляризованным трансплантатом из диафиза малоберцовой кости;в — через 10 лет: восстановлены размер и форма большеберцовой кости.
Отдаленные результаты в сроки от 2 до 13 лет изучены у 102 больных из 130 (табл. 2).
Табл. 2. Исходы лечения больных с обширными дефектами длинных костей
Локализация дефекта | Исход лечения | Всего больных | |||||
хороший | удовлетворительный | неудовлетворительный | |||||
абс. | % | абс. | % | абс. | % | ||
Плечевая кость | 33 | 97 | 1 | 3 | - | - | 34 |
Кости предплечья | 16 | 94,1 | 1 | 5,9 | - | - | 17 |
Бедренная кость | 3 | 42,9 | 3 | 42,9 | 1 | 14,2 | 7 |
Большеберцовая кость | 35 | 87,5 | 3 | 7,5 | 2 | 5 | 40 |
Длинные кости стопы | 4 | 100 | - | - | - | - | 4 |
Итого | 91 | 89,3 | 8 | 7,8 | 3 | 2,9 | 102 |
Рис. 2. Рентгенограммы голени больной с врожденным ложным суставом. a — до аутопластики; б — через 7 мес после аутопластики васкуляризованным трансплантатом из диафиза малоберцовой кости;в — через 10 лет: восстановлены размер и форма большеберцовой кости.
Табл. 3. Исходы пластики васкуляризованным малоберцовым трансплантатом обширных костных дефектов в зависимости от их происхождения
Происхождение дефекта кости | Исход лечения | Всего больных | |||||
хороший | удовлетворительный | неудовлетворительный | |||||
абс. | % | абс. | % | абс. | % | ||
Последствие тяжелой открытой механической травмы
| 39 | 88,6 | 3 | 6,8 | 2 | 4,6 | 44 |
Последствие огнестрель открытой механической травмы
| 14 | 82,3 | 2 | 11,8 | 1 | 5,9 | 17 |
Врожденный ложный сустав
| 24 | 88,9 | 3 | ИД | - | - | 27 |
Удаление опухоли | 14 | 100 | - | - | - | - | 14 |
Итого | 91 | 89,2 | 8 | 7,8 | 3 | 2,9 | 102 |
Хорошие исходы чаще всего отмечались при пластике дефектов плечевой кости и костей предплечья — независимо от их происхождения. Объясняется это тем, что малоберцовый трансплантат и особенно его диафизарная часть по своим параметрам больше всего соответствует данным костям верхней конечности, здесь гораздо легче выполнять саму операцию, проще контролировать состояние микрососудистых анастомозов в послеоперационном периоде. После сращения трансплантата с реципиентной костью, не дожидаясь его гипертрофии, разрешается полная функциональная нагрузка оперированной конечности. В качестве примера приводим следующее наблюдение.
Больной А., 25 лет, поступил в ЦИТО по поводу гигантоклеточной опухоли дистального метаэпифиза лучевой кости левого предплечья. Болен в течение 6 мес. На рентгенограммах (рис. 3, а) определяется патологический очаг в метаэпифизе лучевой кости с разрушением кортикальной пластинки и выходом процесса в мягкие ткани по ладонной поверхности лучевой кости.
17.11.81 двумя бригадами хирургов выполнено оперативное вмешательство. Первой бригадой из ладонного доступа выделены лучевая артерия с сопровождающими венами, срединный нерв, сухожилия и произведено абластичное удаление очага поражения — резекция дистального суставного конца лучевой кости на протяжении 7 см вместе с интимно связанным с опухолью квадратным пронатором предплечья. Костномозговой канал рассверлен на глубину 5 см. Одновременно второй бригадой осуществлен забор трансплантата из проксимального отдела малоберцовой кости длиной 12 см. Произведен остеосинтез по методу Коржа—Талышинского в модификации С.Т. Зацепина с дополнительной фиксацией трансплантата спицами и лавсановой петлей. Выполнен анастомоз конец в бок между a. genu inferior lateralis и a. radialis, одна вена сшита со спутницей лучевой артерии, другая — с подкожной веной предплечья (рис. 3, б).
Через 1,5 года после операции отмечается умеренное ограничение движений в кистевом суставе. На рентгенограммах нормальная костная структура эпифиза пересаженной малоберцовой кости (рис. 3, в, г).
Неудовлетворительный результат вследствие тромбоза микрососудистых анастомозов из-за сложной ситуации в зоне хирургического вмешательства и последующего нагноения раны имел место у 3 из 102 больных. Это были пациенты с последствиями тяжелых механических травм и огнестрельных ранений (табл. 3).
При врожденных ложных суставах на заключительном этапе лечения у нас не было ни одной неудачи, тогда как, по данным ряда авторов, обычные методы костной ауто-или аллопластики дают до 80% неудовлетворительных результатов. На протяжении многих лет мы не наблюдали рецидивов доброкачественных опухолей костей после резекции пораженного участка с последующей пластикой дефекта васкуляризованным аутотрансплантатом. Это и понятно, поскольку при таком методе замещения дефекта мы имеем возможность радикального удаления опухоли.
Выводы
- Аутопластика обширных дефектов длинных костей различного генеза васкуляризованным малоберцовым трансплантатом при правильном определении показаний к ней отличается высокой эффективностью и позволяет в 2-3 раза и более сократить сроки лечения и реабилитации больных.
- Васкуляризованные свободные аутотрансплантаты из диафиза малоберцовой кости являются хорошим материалом для восполнения диафизарных дефектов длинных костей. После приживления трансплантат под действием функциональной нагрузки утолщается и приближается по размерам и форме к реципиентной кости.
- Пересадку васкуляризованного проксимального конца малоберцовой кости для замещения дистального отдела лучевой кости при поражении ее опухолью следует считать операцией выбора, так как она позволяет получить прогнозируемый косметический и функциональный результат на длительное время, в отличие от традиционных методов костной пластики и эндопротезирования.
About the authors
I. T. Grishin
Central Institute of Traumatology and Orthopedics. N.N. Priorova
Author for correspondence.
Email: info@eco-vector.com
Russian Federation, Moscow
V. T. Golubev
Central Institute of Traumatology and Orthopedics. N.N. Priorova
Email: info@eco-vector.com
Russian Federation, Moscow
M. M. Kroshkin
Central Institute of Traumatology and Orthopedics. N.N. Priorova
Email: info@eco-vector.com
Russian Federation, Moscow
D. R. Bogdashevsky
Central Institute of Traumatology and Orthopedics. N.N. Priorova
Email: info@eco-vector.com
Russian Federation, Moscow
V. V. Golubev
Central Institute of Traumatology and Orthopedics. N.N. Priorova
Email: info@eco-vector.com
Russian Federation, Moscow
V. N. Polotnyanko
Central Institute of Traumatology and Orthopedics. N.N. Priorova
Email: info@eco-vector.com
Russian Federation, Moscow
References
Supplementary files
