Мерозин-дефицитная мышечная дистрофия: патогенез, клинические проявления и стратегии терапии
- Авторы: Монахова А.В.1,2, Влодавец Д.В.1,2, Заваденко Н.Н.3, Белоусова Е.Д.1,2, Казаков Д.О.2, Баранич Т.И.1,4, Сухоруков В.С.1,4, Куприянова А.Г.5
 - 
							Учреждения: 
							
- ФГАОУ ВО «Российский национальный исследовательский медицинский университет им. Н.И. Пирогова» Минздрава России
 - Научно-исследовательский клинический институт педиатрии им. академика Ю.Е. Вельтищева ФГАОУ ВО «Российский национальный исследовательский медицинский университет им. Н.И. Пирогова» Минздрава России
 - N.I. Pirogov Russian National Research Medical University
 - ФГБНУ «Научный центр неврологии» Минобрнауки России
 - Научно-исследовательский клинический институт педиатрии им. академика Ю.Е. Вельтищева ФГАОУ ВО «Российский национальный исследовательский медицинский университет им. Н.И. Пирогова» Минздрава России, 125412
 
 - Выпуск: Том 1, № 3 (2020)
 - Страницы: 159-168
 - Раздел: Обзоры
 - URL: https://journals.eco-vector.com/2686-8997/article/view/44849
 - DOI: https://doi.org/10.17816/2686-8997-2020-1-3-159-168
 - ID: 44849
 
Цитировать
Полный текст
Аннотация
Мерозин-дефицитная мышечная дистрофия — наиболее распространенная форма врожденных мышечных дистрофий (ВМД), характеризующаяся генетической гетерогенностью и в большинстве случаев — тяжелым течением. Ее патогенез связан с частичным или полным отсутствием α2-цепи ламинина в базальной мембране мышечного волокна, вызванным мутациями в гене LAMA2. Клинические проявления LAMA2-cвязанной мышечной дистрофии варьируют от тяжелой ВМД (ВМД 1А типа) с ранним началом до относительно легкого течения ВМД с поздним дебютом, имеющей фенотип конечностно-поясных мышечных дистрофий (МД). ВМД 1А типа характеризуется задержкой моторного развития с первых месяцев жизни (при этом подавляющее большинство детей не осваивают способность к самостоятельной ходьбе), слабостью лицевой мускулатуры, птозом, офтальмоплегией, ригидностью позвоночника, ранним возникновением контрактур в плечевых, локтевых, тазобедренных и коленных суставах, выраженными респираторными нарушениями по рестриктивному типу, нутритивными проблемами, такими как нарушения глотания, жевания, гастроэзофагеальный рефлюкс, низкая масса тела; у части детей отмечаются умственная отсталость и эпилепсия.
Конечностно-поясные ВМД сопровождаются поздним дебютом и менее выраженными двигательными расстройствами. Поражение опорно-двигательного аппарата, как и при врожденной форме, проявляется ригидностью позвоночника и контрактурами в суставах, особенно в локтевых и голеностопных; характерны псевдогипертрофии четырехглавых и икроножных мышц; нередко наблюдается кардиомиопатия; дыхательная недостаточность отсутствует.
Учитывая мультисистемность поражения, все пациенты требуют длительного междисциплинарного наблюдения и ведения. Приводятся рекомендации Международного консенсуса по стандартам лечения пациентов с ВМД, в котором описывается объем и порядок оказания необходимой им помощи. Знание особенностей клинического течения и патогенеза LAMA2-связанных МД особенно актуально в условиях активно разрабатываемых специфических методов их терапии. Сегодня исследуются несколько терапевтических стратегий восстановления и/или поддержания структуры базальной мембраны при мерозин-дефицитной мышечной дистрофии: использование линкерных белков, инициация полимеризации ламинина-α2, технологии редактирования генома CRISPR/Cas9, ингибиция апоптоза.
Полный текст
Введение
Врожденные мышечные дистрофии (ВМД) — клинически и генетически гетерогенная группа нервно-мышечных заболеваний, характеризующихся дебютом с рождения или первых месяцев жизни, диффузной мышечной гипотонией, задержкой моторного развития, прогрессирующей мышечной слабостью и признаками дистрофического процесса в мышцах. ВМД имеют частоту встречаемости 1–9 на 100 тыс. человек и составляют 14% случаев врожденной мышечной гипотонии. Наиболее распространенной формой ВМД является мерозин-негативная ВМД — одна из наиболее тяжелых и гетерогенных форм врожденных миопатий. Она характеризуется отсутствием α2-цепи ламинина в базальной мембране мышечного волокна и вызвана мутациями в гене LAMA2. Для мерозин-негативной ВМД типичны значительное повышение уровня креатинфосфокиназы (КФК) в крови, характерные изменения белого вещества на МРТ головного мозга, быстрое формирование контрактур крупных суставов, респираторной недостаточности, а также, в большинстве случаев, отсутствие самостоятельной ходьбы. В последнее время все больше сообщается о формах мерозин-дефицитной МД, вызванных частичной недостаточностью α2-цепи ламинина, с поздним дебютом и более мягкими клиническими проявлениями.
Молекулярно-генетические особенности
Ген LAMA2 имеет размер 633.42 kb и локализуется на хромосоме 6q22.33 [1]. Патогенные мутации в гене LAMA2, который кодирует α2-цепь ламинина (ОMIM 156225), вызывают группу заболеваний, обозначаемых как LAMA2-связанные мышечные дистрофии.
Большая часть пациентов с мутациями в гене LAMA2 имеют фенотип ВМД тип 1А (мерозин-негативная ВМД, MDC1A, ОМIM 607855). Мерозин-негативная ВМД типа 1А занимает 1-е место среди ВМД в западных странах, составляя от 10% [2] до 37,4% [3] случаев ВМД. Это первая ВМД, для которой было дано клиническое и генетическое описание.
Патогенез
Мерозин (другие названия — ламинин-α2, ламинин-211) является белком экстрацеллюлярного матрикса скелетных мышц. Он относится к ламининам — крупным гликопротеинам, играющим важнейшую роль в формировании базальной мембраны и поддержании ее структуры. Ламинины состоят из трех субъединиц: тяжелой (α) и двух легких — β и γ. У млекопитающих насчитывается 5 различных α-цепей (α1–α5, кодируемых генами LAMA1–LAMA5), 4 β-цепи (β1–β4, кодируемых генами LAMB1–LAMB4) и 3 γ-цепи (γ1–γ3, кодируемых генами LAMC1–LAMC3). В настоящий момент описано 15 ламининов, отличающихся набором субъединиц и функцией.
Фундаментальная роль ламининов — создание первичного каркаса, за счет которого происходит прикрепление внеклеточного матрикса к поверхности клетки и который служит субстратом для прикрепления других компонентов экстрацеллюлярного матрикса, в особенности коллагенов и нидогенов. Поскольку очень важна функция этих гликопротеинов для поддержания взаимодействия клеток и внеклеточного вещества, дефицит любого из ламининов приводит к тяжелым последствиям для организма. Например, эмбрионы, имеющие дефект γ1-субъединицы (кодируется геном LAMC1, входит в состав 10 различных ламининов), являются нежизнеспособными и погибают на предимплантационной стадии [4].
Мерозин экспрессируется преимущественно в скелетных мышцах, но также содержится в шванновских клетках, коже, синаптической базальной мембране периферических нервов, сердце, трофобласте [5]. Он состоит из трех цепей: α2, β1 и γ1 (рис. 1), отсюда другие его названия: ламинин-211, ламинин-2, ламинин-α2, Lm-211. Именно дефекты α2-цепи, кодируемой геном LAMA2, приводят к заболеванию. Учитывая этот факт, предложено говорить не о дефиците мерозина, а о дефиците ламинина-α2, поскольку данная формулировка более специфична и исключает случаи вторичного дефицита мерозина (например, при дистрогликанопатиях) [6].
Рис. 1. Схематичное изображение структуры мерозина (ламинина-α2).
1 — глобулярные домены; 2 — α-цепь; 3 — β-цепь; 4 — γ-цепь; 5 — коллаген-связывающий участок; 6 — участок связывания с клеткой; 7 — энтактин-связывающий участок; 8 — α-спиральный участок; 9 — интегрин-связывающий участок; 10 — глобулярные участки; 11 — дистрогликан-связывающий участок.
Источник: http://www.sigmaaldrich.com/content/dam/sigma-aldrich/life-science/metabolomics/enzyme- в модификации http://www.neurosar.ru/врождённые-мышечные-дистрофии.
Ламинин-211 отвечает за инициацию сборки базальной мембраны. Это, в первую очередь, достигается за счет прикрепления мерозина к рецепторам α-дистрогликана и интегрина α7β1, полимеризации и связывания с нидогенами и другими структурными компонентами экстрацеллюлярного матрикса. При LAMA2-дефицитной ВМД ламинин-211 заменяется на ламинин-411, который экспрессируется в эмбриональном периоде. Однако ламинин-411 не обладает способностью полимеризоваться и связываться с рецепторами, что приводит к ослаблению структуры базальной мембраны и объясняет тяжелый фенотип заболевания [4].
Наследование
Мерозин-дефицитная МД имеет аутосомно-рецессивный тип наследования, т.е. для развития заболевания необходимо наличие гомозиготной или 2 компаунд-гетерозиготных мутаций. В гене LAMA2 присутствуют все возможные варианты мутаций. Согласно Лейденской открытой генетической базе данных, мутации в гене LAMA2 распределяются так:
- однонуклеотидные замены — 59,6%;
 - малые делеции — 24,9%;
 - малые инсерции — 8,7%;
 - большие делеции и дупликации — 6,2%;
 - делеции/инсерции — 0,6% [1].
 
Клинические проявления
Клинические проявления LAMA2-cвязанной МД варьируют от тяжелой ВМД (ВМД 1А типа) с ранним началом до относительно легкого течения МД с поздним дебютом, имеющей фенотип конечностно-поясных (КП) МД.
ВМД 1А типа (ОMIM 607855)
Дебют заболевания происходит либо внутриутробно и проявляется слабым шевелением плода, либо — с рождения или в первые месяцы жизни. Дети с тяжелым фенотипом имеют симптомокомплекс «вялый ребенок»: выраженную мышечную гипотонию, бедные спонтанные движения, отсутствие рефлексов новорожденного, тихий плач, трудности сосания и глотания, синдром дыхательных расстройств [2, 7]. Мышечная слабость преобладает в лицевой, аксиальной и проксимальной мускулатуре. Задержка моторного развития становится заметна с первых месяцев жизни. Подавляющее большинство детей не осваивают самостоятельную ходьбу. Все пациенты в повседневной активности применяют миопатические приемы в той или иной степени: при ходьбе, вставании с пола, присаживании, поворотах в кровати и т.д. [7]. У ряда пациентов встречается птоз и офтальмоплегия, которые обычно становятся заметны к 2 годам [1, 8]. Слабость лицевой мускулатуры и макроглоссия приводят к формированию характерного вида с ребенка с открытым ртом и высунутым языком (миопатическое лицо) [9].
Интеллект у большинства больных не страдает, тем не менее небольшая доля пациентов (8–20% случаев) имеют умственную отсталость и эпилепсию [10]. Нарушение когнитивных функций, наблюдаемое менее чем у 7% пациентов, варьирует от легкой умственной отсталости до коммуникативных трудностей [6]. Эти нарушения часто связаны со структурными дефектами в головном мозге [10]. Обычно основными видами эпилептических приступов при МД-ВМД являются абсансы, атипичные абсансы, фокальные приступы с или без вторичной генерализации [10, 11]. У пациентов с кортикальными дисплазиями могут развиваться рефрактерные судороги [12].
Дыхательная недостаточность и нарушения вскармливания усугубляют тяжесть течения заболевания. Респираторные нарушения, часто требующие вентиляционной поддержки, наиболее выражены при рождении или в первые годы жизни [6]. Они вызваны слабостью дыхательной мускулатуры, диффузной мышечной гипотонией и быстрой утомляемостью. Формирующаяся деформация позвоночника усугубляет альвеолярную гиповентиляцию, а рецидивирующие инфекции дыхательных путей приводят к обструкции бронхов, развитию ателектазов и увеличивают риск острой респираторной недостаточности. Эти изменения, как правило, стабилизируются в первые годы жизни, вероятно, в результате улучшения мышечного тонуса [6].
Часто встречаются нарушения питания, включающие нарушения глотания, трудности с жеванием, увеличенное время кормления, гастроэзофагеальный рефлюкс. Все это приводит к плохой прибавке веса и зачастую к необходимости энтерального питания на 1-м году жизни [12]. Большая часть пациентов имеют сниженные показатели массы тела, у половины пациентов эта цифра опускается ниже 3-го центиля при нормальном показателе роста [7]. Гастроэзофагеальный рефлюкс повышает риск аспираций и рецидивирующих дыхательных инфекций.
Деформации позвоночника проявляются в нарастающей ригидности шейного отдела, формировании грудного и поясничного лордоза с сопутствующим сколиозом или без него. Нередко отмечаются врожденные деформации грудной клетки и стоп. Для пациентов с ВМД 1А типа характерно ранее возникновение контрактур и быстрое их прогрессирование. Первоначально ограничения движений формируются в голеностопных, локтевых, тазобедренных и коленных суставах, позже вовлекаются височно-нижнечелюстные, плечевые суставы и шейный отдел позвоночника. У части пациентов отмечается гиперэкстензия в фаланговых суставах [6].
LAMA2-связанная МД с поздним дебютом (ОMIM 618138)
В последнее время, благодаря широко используемой гистологической и генетической диагностике, все чаще выявляются случаи МД-МД с поздним началом заболевания и фенотипом КП-МД. Недавно опубликована уточненная классификация КП-МД, в которой данная форма обозначена как LGMD R23 (limb-girdle muscular dystrophy, autosomal recessive, type 23) [13]. N. Lokken и соавт. [9] провели биопсию мышечной ткани 12 пациентам с неясными КП-МД. У 3 пациентов был обнаружен частичный дефицит мерозина, что составило 2,3% зарегистрированных в этом центре случаев КП-МД [9].
Срок дебюта данной формы варьирует от первых месяцев жизни до взрослого возраста, приходясь в среднем на первое десятилетие жизни. Был описан пациент с началом заболевания в 56 лет [9]. Для пациентов характерны задержка моторного развития, но с достижением самостоятельной ходьбы, ригидность позвоночника, псевдогипертрофии четырехглавых и икроножных мышц [14], выраженные контрактуры в суставах, особенно в локтевых [15]. Мышечная слабость преобладает преимущественно в проксимальной и аксиальной мускулатуре с формированием «крыловидных» лопаток, деформаций позвоночника [14], однако встречаются пациенты с дистальной мышечной слабостью [16]. Это объясняется возможной гипо/демиелинизацией периферических нервов вследствие снижения экспрессии ламинина-α2 в шванновских клетках, которая становится заметна при мягком течении заболевания и не очевидна при более тяжелой форме [1]. Дыхательная недостаточность не характерна. Проявления эпилепсии и когнитивные нарушения редки и сходны с таковыми при врожденных формах.
Поражения сердца встречаются у трети пациентов (35%) и часто бывают субклиническими [2]. Среди них отмечаются снижение фракции выброса [10], гипокинезия левого желудочка, пролапс митрального клапана с регургитацией, синусовая тахикардия [12]. Однако у ряда пациентов сердечные нарушения имеют более серьезные проявления в виде дилатационной кардиомиопатии и желудочковой тахикардии, требующих имплантации кардиовертер-дефибриллятора [14].
Диагностика
Диагноз МД-МД ставится на основании характерных клинических проявлений, высокого уровня КФК в крови (обычно больше 5 нормативных значений, особенно в первые 2 года жизни) [17] и изменений на МРТ головного мозга.
Электронейромиографическое исследование регистрирует мышечный тип изменений, также могут выявляться признаки поражения периферических нервов: демиелинизирующая невропатия со сниженными скоростями распространения возбуждения [18].
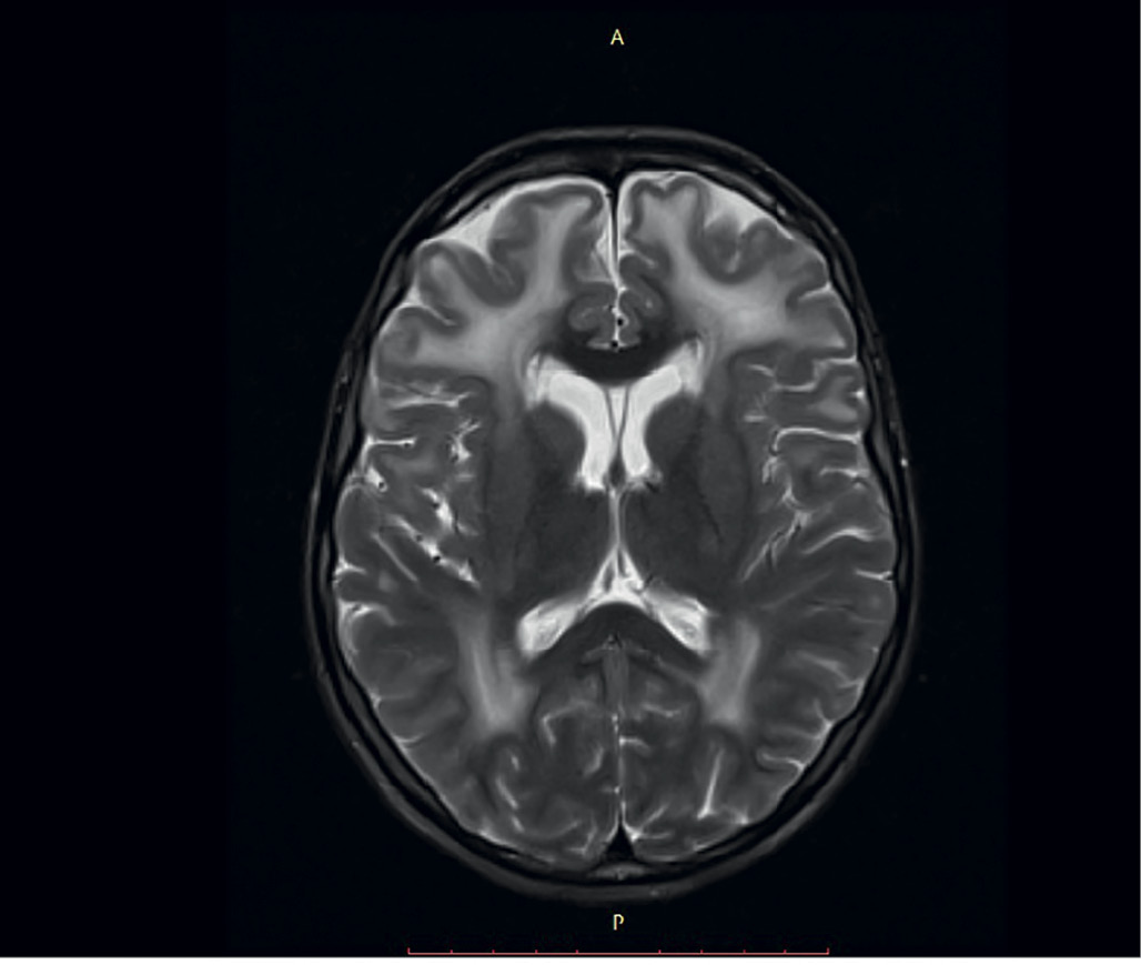
Важным диагностическим признаком МД-ВМД являются изменения на МРТ головного мозга в виде диффузного повышения сигнала от белого вещества в режимах Т2 и FLAIR (рис. 2). Эти проявления обусловлены увеличением содержания воды в белом веществе головного мозга в результате повышения проницаемости гематоэнцефалического барьера из-за дефицита ламинина-α2 в базальной мембране кровеносных сосудов головного мозга [19, 20]. Данные изменения обнаруживаются после 6 мес жизни ребенка (часто до 12 мес) и сохраняются на протяжении всей жизни [21]. Также в 4–5% случаев отмечаются структурные дефекты головного мозга в виде кортикальных дисплазий, полимикрогирии, агирии, пахигирии (чаще в затылочных отделах), гипоплазии ствола и/или мозжечка [6, 22].
Рис. 2. МРТ головного мозга.
Для картины МРТ верхних и нижних конечностей характерны поражение ягодичных и большой приводящей мышц, бицепса бедра, а также дельтовидной мышцы и двуглавой мышцы руки (рис. 3) [18].
Рис. 3. МРТ мышц.
При проведении биопсии мышечной ткани обнаруживаются признаки дистрофических изменений: участки некроза, регенерации, хронического воспаления и фиброза [1, 6].
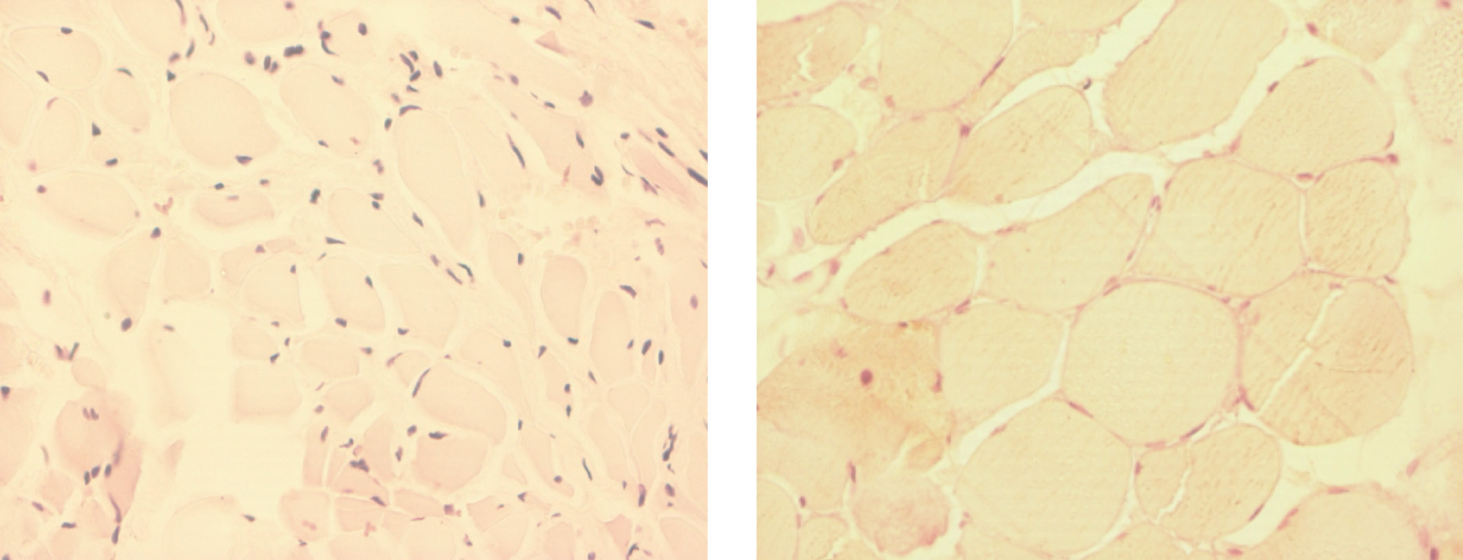
Иммуногистохимически определяется полное или частичное отсутствие ламинина-α2 в мышцах (рис. 4) [24]. Для оценки снижения экспрессии ламинина-α2 используют антитела к длинному фрагменту (300 кД). С целью дифференцировки парциального и вторичного дефицита мерозина применяют дополнительно антитела к гликозилированным эпитопам α-дистрогликана. При первичном дефиците ламинина-α2 также увеличивается окрашивание ламининов-α4 и -α5 вследствие компенсаторного повышения их экспрессии [6].
Рис. 4. Биопсия мышечной ткани (иммуногистохимическое исследование).
а — отсутствие мерозина в мышцах при окрашивании; б — нормальная мышечная биопсия.
Генетическое исследование является конечной точкой диагностики [25]. Проводится секвенирование гена LAMA2. Для подтверждения диагноза необходимо выявление гомозиготной или двух компаунд-гетерозиготных мутаций. В случае обнаружения только одной точечной мутации в гетерозиготном состоянии при наличии характерной клинической картины или значимого повышения уровня КФК в крови и гиперсигнала от белого вещества на Т2 по данным МРТ головного мозга целесообразно проведение хромосомного микроматричного анализа с целью поиска крупных делеций и дупликаций, которые встречаются с высокой частотой — по разным данным, от 18% [26] до 30–40% [18] мутаций в гене LAMA2.
Корреляции генотипа и фенотипа
Прогноз тяжести заболевания зависит от возраста дебюта первых симптомов, наличия или отсутствия экспресcии ламинина-α2 при проведении иммуногистохимического тестирования мышечного биоптата, типа мутации и ее влияния на функцию белка [6]. Для МД-МД приобретение навыка самостоятельной ходьбы является критически важной клинической характеристикой тяжести заболевания [1].
Фенотип ВМД 1А типа ассоциирован с мутациями, приводящими к прекращению синтеза белка. В основном, это нонсенс-варианты, при которых формируется стоп-кодон. Для таких пациентов характерно тяжелое течение заболевания с ранним началом, дыхательными нарушениями, часто с необходимостью респираторной поддержки, отсутствием самостоятельной ходьбы [4]. По данным биопсии определяется полное отсутствие экспрессии ламинина-α2 в мышцах и коже.
Формы заболевания с началом в детском или взрослом возрасте, более мягким течением, достижением навыка самостоятельной ходьбы вызваны гомозиготными или компаунд-гетерозиготными миссенс-заменами, а также крупными делециями с восстановлением рамки считывания [1, 6]. Эти мутации приводят к снижению или почти нормальной экспрессии ламинина-α2 и влияют на полимеризацию мерозина [4]. Большинство исследований подтверждают прямую корреляцию генотипа и фенотипа [9] [1]. Несмотря на это F. Geranmayeh и соавт. [12] сообщили о семье, члены которой имели гомозиготные миссенс-мутации в гене LAMA2, при этом не все приобрели способность самостоятельной ходьбы.
Дифференциальный диагноз
Мерозин-негативную ВМД следует дифференцировать с заболеваниями, сопровождающимися мышечной слабостью и гипотонией с первых месяцев жизни. В первую очередь, это другие формы врожденных миопатий (ВМД Ульриха, синдром ригидного позвоночника, болезнь центрального стержня, немалиновая, центронуклеарная миопатии, дистрогликанопатии, ВМД Фукуямы), врожденные миастенические синдромы, спинальная мышечная атрофия [27]. Отличительными чертами ВМД 1А типа являются наиболее высокие среди всех врожденных миопатий показатели КФК, превышающие норму в 2–17 раз [17], и изменения на МРТ головного мозга (гиперинтенсивный сигнал от белого вещества в режиме Т2, структурные аномалии). При ВМД Фукуямы и дистрогликанопатиях может отмечаться частичный дефицит мерозина, выявляемый при биопсии мышечной ткани; антитела к длинному фрагменту α2-цепи ламинина помогают отличить первичный дефицит мерозина от вторичного. Структурные изменения головного мозга, встречающиеся при ВМД с дефектами гликозилирования (мышечно-глазо-мозговой синдром, ВМД Фукуямы, синдром Уокера–Варбурга), обычно более значительны и сопровождаются грубой задержкой психического развития и высокой частотой развития эпилепсии [2]. Сочетание задержки развития и изменений на МРТ нередко заставляет дифференцировать ВМД 1А типа с лейкодистрофиями [18]. Высокий уровень КФК, медленное прогрессирование со стабилизацией состояния после 1-го года жизни при мерозин-негативной ВМД и, напротив, быстрое неуклонно прогрессирующее течение, характерное для лейкодистрофий, помогают различить эти два состояния.
Дифференциальный диагноз поздних форм LAMA2-связанной МД более затруднителен. I. Nelson и соавт. [14] сообщили о 4 пациентах, двое из которых наблюдались с диагнозом миопатии Бетлема, двое — с миодистрофией Эмери–Дрейфуса. У пациентов с диагнозом миопатии Бетлема определялся типичный фенотип коллагенопатии (кожные изменения, контрактуры крупных суставов). Пациенты с миодистрофией Эмери–Дрейфуса имели контрактуры в локтевых суставах, дилатационную кардиомиопатию и тяжелые нарушения сердечного ритма в виде желудочковой тахикардии и фибрилляции. Картина МРТ мышц, повышение уровня КФК в крови также соответствовали предполагаемым диагнозам. Двое наблюдаемых страдали фармакорезистентной эпилепсией. При проведении МРТ головного мозга патологические изменения выявлены у 3 человек. Всем пациентам было проведено генетическое тестирование, при котором обнаружены гомозиготные (2 случая) и компаунд-гетерозиготные (2 случая) мутации в гене LAMA2. На основании этого наблюдения авторами было предложено всем больным миопатией, в том числе взрослым, имеющим контрактуры в крупных суставах, изменения на МРТ головного мозга и даже изолированную кардиомиопатию, включать в диагностический поиск ген LAMA2 [14]. Также мягкие формы иногда приходится дифференцировать с невропатиями, при которых поражение нервов выходит на передний план в клинической картине, а легкая проксимальная мышечная слабость мало беспокоит пациентов и выявляется лишь при неврологическом тестировании [15].
Тактика ведения пациентов
В 2010 г. был опубликован Международный консенсус по стандартам лечения пациентов с ВМД, в котором подробно описаны объем и порядок оказания необходимой им помощи [11]. Дети должны наблюдаться мультидисциплинарной командой специалистов, включающей педиатра, невролога, ортопеда, пульмонолога, диетолога, кардиолога, физического терапевта. Пациенты до 1 года и старше с тяжелыми или прогрессирующими формами (рефрактерные эпилептические приступы, тяжелая гипотония, нутритивные проблемы) должны осматриваться специалистами каждые 3–4 мес. Дети старше 1 года в стабильном состоянии нуждаются в рутинном обследовании каждые 4–6 мес. Обследование включает в себя оценку статуса питания, сердечной функции и ортопедических осложнений, выявление гастроэзофагального рефлюкса, проведение функциональных легочных тестов, ночной пульсоксиметрии или полисомнографии ослабленным детям с рецидивирующими респираторными инфекциями.
Поскольку подавляющее большинство пациентов с ВМД не приобретают навык самостоятельной ходьбы и имеют прогрессирующее снижение мышечной массы, часто такие дети имеют низкий вес. Консультации гастроэнтеролога, диетолога рекомендованы 2 раза в год. Целью не является нормализация массы тела до стандартных значений, достаточна положительная динамика в ежегодной прибавке веса. Адекватное увеличение веса у таких детей может быть достигнуто дополнительным приемом гиперкалорийных смесей. Пациентам с нарушениями глотания, гастроэзофагеальным рефлюксом, аспирационными пневмониями могут потребоваться установка назогастрального зонда или чрескожной гастростомы.
Посещение пульмонолога для оценки дыхательной функции должно быть как минимум ежегодным. Респираторные тесты включают в себя спирометрию и оценку эффективности кашля, проводятся с 4–6 лет. Показатели форсированной жизненной емкости легких (ФЖЕЛ) <60% от прогнозируемого значения связаны с нарушениями дыхания во сне, ФЖЕЛ <40% от возрастной нормы связано с высоким риском ночной гиповентиляции [6]. Таким пациентам обязательно измерение уровня сатурации и гиперкапнии во время ночного сна, при патологических показателях — проведение неинвазивной вентиляции легких. Больным с выраженными деформациями позвоночника, рецидивирующими дыхательными инфекциями рекомендовано проведение КТ грудной клетки для оценки наличия хронических ателектазов и компрессии дыхательных путей телами позвонков.
Занятия с физическим терапевтом направлены на уменьшение мышечной гипотонии, увеличение двигательных возможностей пациента, предотвращение контрактур и респираторной дисфункции. Они включают ежедневную вертикализацию в ортопедических аппаратах, упражнения на растяжку и плавание в бассейне.
Осмотр ортопедом и проведение рентгенографии позвоночника должны осуществляться, как минимум, раз в год. Более частая оценка оправдана в периоды быстрого роста и прогрессировании деформаций позвоночного столба. Ортезы и туторы используются для предотвращения прогрессирования деформаций суставов, обязательно использование корсета для поддержания осанки.
Кардиологическое обследование в отсутствие жалоб проводится в 5 и 10 лет, затем каждые 2 года и включает в себя электрокардиографию и эхокардиографию. Пациентам с тяжелой дыхательной недостаточностью, находящимся на аппаратной вентиляционной поддержке, обязательно ежегодное проведение эхокардиографии. Пациентам с жалобами на учащенное сердцебиение, повышенную утомляемость дополнительно проводится холтеровское мониторирование сердечного ритма.
Стратегии терапии
В настоящий момент исследуются несколько вариантов восстановления структуры базальной мембраны при МД-МД [4]:
Трансгенная экспрессия кДНК, кодирующей ламинин-α1, с использованием промотера куриного β-актина (CAG). Проводилась на мышиной модели dy3K/dy3K, у которой отмечено существенное восстановление мышц и периферических нервов с повышением силы. Эти исследования доказали, что ламинин-α1 может полностью заменить ламинин-α2 [28]. Однако этот подход не может быть применен в качестве генной терапии для доставки вирусными векторами, поскольку кДНК белка ламинина слишком велика.
Парентеральное введение рекомбинантного ламинина-111. Трудности применения у человека также заключаются в большом размере белка.
Использование линкерных белков. У пациентов с МД-МД увеличена экспрессия ламинина-411, однако этот белок имеет низкое сродство с α-дистрогликаном и α7β1-интегрином. Была разработана уменьшенная версия белка агрина (мини-агрин, или маг), который значительно улучшает связывание с α-дистрогликаном.
Инициация полимеризации ламинина. Для восстановления полимеризации ламинина был создан линкерный белок, состоящий из фрагментов ламинина и нидогена αLNNd). Отмечено восстановление силы у мышей dy2J/dy2J, редукция фиброза по данным гистологии. Данный вариант лечения подходит лишь для малой группы пациентов, у которых экспрессия ламинина-α2 снижена незначительно.
Использование технологий CRISPR/Cas9. Отмечено восстановление синтеза полноразмерного ламинина-α2 в мышиной модели dy2J/dy2J, повышение силы мышц, уменьшение фиброза. Учитывая многообещающие результаты, финансирование и дальнейшая разработка технологий LAMA2 CRISPR является одной из приоритетных задач исследований.
Помимо лечения, направленного на восстановление структуры базальной мембраны, разрабатывается терапия по предотвращению последствий повреждения мышц. Завершена I фаза открытого клинического исследования препарата омигаприла для пациентов с LAMA2- и COL6-связанными мышечными дистрофиями (CALLISTO). Омигаприл является ингибитором апоптоза, блокируя глицеральдегид-3-фосфатдегидрогеназу. Он уменьшает потерю массы, дегенерацию мышечных волокон, особенно в дыхательной мускулатуре, что способствует улучшению респираторных функций и профилактике осложнений [29]. Другой препарат — лозартан — является блокатором рецепторов ангиотензина II типа I. Он влияет на активность трансформирующего фактора роста, уменьшая фиброз и улучшая клинические проявления [30]. Другие препараты (бортезомид, преднизолон) не показали свою эффективность или имели значительные побочные эффекты при ВМД 1А типа [4].
Несмотря на то что методы терапии, направленные на восстановление структурного дефекта, показывают более значимую степень клинического улучшения у пациентов с МД-МД, чем препараты патогенетической терапии, нельзя быть уверенными, что один метод лечения окажется достаточным для пациентов. Вероятно, наиболее успешными могут оказаться протоколы с комбинацией этих двух групп терапии [4].
Заключение
МД-ВМД является самой распространенной формой среди ВМД. Она крайне гетерогенна генетически и клинически, проявляясь, в подавляющем большинстве случаев, тяжелыми неамбулаторными фенотипами с полным отсутствием экспрессии мерозина в тканях, но также встречаются и легкие КП-формы с поздним дебютом заболевания, связанные со сниженным содержанием ламинина-α2 в мышцах и периферических нервах. Такая гетерогенность ведет к трудностям диагностики, особенно нетяжелых форм болезни. Знание особенностей клинического течения и патогенеза LAMA2-связанных мышечных дистрофий особенно актуально в условиях активно разрабатываемых специфических методов их терапии.
Об авторах
Анастасия Вячеславовна Монахова
ФГАОУ ВО «Российский национальный исследовательский медицинский университет им. Н.И. Пирогова» Минздрава России; Научно-исследовательский клинический институт педиатрии им. академика Ю.Е. Вельтищева ФГАОУ ВО «Российский национальный исследовательский медицинский университет им. Н.И. Пирогова» Минздрава России
							Автор, ответственный за переписку.
							Email: stasya1803@mail.ru
				                	ORCID iD: 0000-0001-9828-9348
				                																			                								
младший научный сотрудник отдела психоневрологии и эпилептологии Научно-исследовательского клинического института педиатрии имени академика Ю.Е. Вельтищева ФГАОУ ВО РНИМУ им. Н.И. Пирогова
Россия, МоскваД. В. Влодавец
ФГАОУ ВО «Российский национальный исследовательский медицинский университет им. Н.И. Пирогова» Минздрава России; Научно-исследовательский клинический институт педиатрии им. академика Ю.Е. Вельтищева ФГАОУ ВО «Российский национальный исследовательский медицинский университет им. Н.И. Пирогова» Минздрава России
														Email: stasya1803@mail.ru
				                	ORCID iD: 0000-0003-2635-2752
				                																			                												                	Россия, 							Москва						
Н. Н. Заваденко
N.I. Pirogov Russian National Research Medical University
														Email: stasya1803@mail.ru
				                	ORCID iD: 0000-0003-0103-7422
				                																			                												                	Россия, 							Москва						
Е. Д. Белоусова
ФГАОУ ВО «Российский национальный исследовательский медицинский университет им. Н.И. Пирогова» Минздрава России; Научно-исследовательский клинический институт педиатрии им. академика Ю.Е. Вельтищева ФГАОУ ВО «Российский национальный исследовательский медицинский университет им. Н.И. Пирогова» Минздрава России
														Email: stasya1803@mail.ru
				                	ORCID iD: 0000-0003-3594-6974
				                																			                												                	Россия, 							Москва						
Д. О. Казаков
Научно-исследовательский клинический институт педиатрии им. академика Ю.Е. Вельтищева ФГАОУ ВО «Российский национальный исследовательский медицинский университет им. Н.И. Пирогова» Минздрава России
														Email: stasya1803@mail.ru
				                	ORCID iD: 0000-0003-3071-578X
				                																			                												                	Россия, 							Москва						
Т. И. Баранич
ФГАОУ ВО «Российский национальный исследовательский медицинский университет им. Н.И. Пирогова» Минздрава России; ФГБНУ «Научный центр неврологии» Минобрнауки России
														Email: stasya1803@mail.ru
				                	ORCID iD: 0000-0002-8999-9986
				                																			                												                	Россия, 							Москва						
В. С. Сухоруков
ФГАОУ ВО «Российский национальный исследовательский медицинский университет им. Н.И. Пирогова» Минздрава России; ФГБНУ «Научный центр неврологии» Минобрнауки России
														Email: stasya1803@mail.ru
				                	ORCID iD: 0000-0002-0552-6939
				                																			                												                	Россия, 							Москва						
А. Г. Куприянова
Научно-исследовательский клинический институт педиатрии им. академика Ю.Е. Вельтищева ФГАОУ ВО «Российский национальный исследовательский медицинский университет им. Н.И. Пирогова» Минздрава России, 125412
														Email: stasya1803@mail.ru
				                	ORCID iD: 0000-0002-1096-5717
				                																			                												                	Россия, 							Москва						
Список литературы
- Oliveira J., Gruber A., Cardoso M., Taipa R., Fineza I., Gonçalves A., et al. LAMA2 gene mutation update: Toward a more comprehensive picture of the laminin-α2 variome and its related phenotypes. Hum. Mutat. 2018; 39(10): 1314-37. DOI: http://doi.org/10.1002/humu.23599
 - Iannaccone S.T., Castro D. Congenital muscular dystrophies and congenital myopathies. Continuum (Minneap. Minn). 2013; 19(6 Muscle Disease): 1509-34. DOI: http://doi.org/10.1212/01.CON.0000440658.03557.f1
 - Sframeli M., Sarkozy A., Bertoli M., Astrea G., Hudson J., Scoto M., et al. Congenital muscular dystrophies in the UK population: Clinical and molecular spectrum of a large cohort diagnosed over a 12-year period. Neuromuscul. Disord. 2017; 27(9): 793-803. DOI: http://doi.org/10.1016/j.nmd.2017.06.008
 - Yurchenco P.D., McKee K.K., Reinhard J.R., Rüegg M.A. Laminin-deficient muscular dystrophy: Molecular pathogenesis and structural repair strategies. Matrix Biol. 2018; 71-72: 174-87. DOI: http://doi.org/10.1016/j.matbio.2017.11.009
 - Allamand V., Guicheney P. Merosin-deficient congenital muscular dystrophy, autosomal recessive (MDC1A, MIM#156225, LAMA2 gene coding for alpha2 chain of laminin). Eur. J. Hum. Genet. 2002; 10(2): 91-4. DOI: http://doi.org/10.1038/sj.ejhg.5200743
 - Quijano-Roy S., Sparks S.E., Rutkowski A. LAMA2-Related Muscular Dystrophy. 2012 Jun 7. In: Adam M.P., Ardinger H.H., Pagon R.A., Wallace S.E., Bean L.J.H., Stephens K., et al. GeneReviews® [Internet]. Seattle (WA): University of Washington, Seattle; 1993-2020.
 - Влодавец Д.В. Клиническое значение митохондриальных изменений, обоснование применения энерготропной терапии и оценка ее эффективности при врожденных миопатиях у детей: Дисс. … канд. мед. наук. М.; 2009.
 - Xiong H., Tan D., Wang S., Song S., Yang H., Gao K., et al. Genotype/phenotype analysis in Chinese laminin-α2 deficient congenital muscular dystrophy patients. Clin. Genet. 2015; 87(3): 233-43. DOI: http://doi.org/10.1111/cge.12366
 - Løkken N., Born A.P., Duno M., Vissing J. LAMA2-related myopathy: Frequency among congenital and limb-girdle muscular dystrophies. Muscle Nerve. 2015; 52(4): 547-53. DOI: http://doi.org/10.1002/mus.24588
 - Jones K.J., Morgan G., Johnston H., Tobias V., Ouvrier R.A., Wilkinson I., et al. The expanding phenotype of laminin alpha2 chain (merosin) abnormalities: case series and review. J. Med. Genet. 2001; 38(10): 649-57. DOI: http://doi.org/10.1136/jmg.38.10.649
 - Wang C.H., Bonnemann C.G., Rutkowski A., Sejersen T., Bellini J., Battista V., et al. Consensus statement on standard of care for congenital muscular dystrophies. J. Child Neurol. 2010; 25(12): 1559-81. DOI: http://doi.org/10.1177/0883073810381924
 - Geranmayeh F., Clement E., Feng L.H., Sewry C., Pagan J., Mein R., et al. Genotype-phenotype correlation in a large population of muscular dystrophy patients with LAMA2 mutations. Neuromuscul. Disord. 2010; 20(4): 241-50. DOI: http://doi.org/10.1016/j.nmd.2010.02.001
 - Заваденко Н.Н., Влодавец Д.В. Л.О. Бадалян и современные достижения в изучении наследственных нервно-мышечных заболеваний. Неврологический журнал имени Л.О. Бадаляна. 2020; 1(1): 64-72. DOI: http://doi.org/10.17816/2686-8997-2020-1-01-64-72
 - Nelson I., Stojkovic T., Allamand V., Leturcq F., Bécane H.M., Babuty D., et al. Laminin α2 deficiency-related muscular dystrophy mimicking Emery-Dreifuss and collagen VI related diseases. J. Neuromuscul. Dis. 2015; 2(3): 229-40. DOI: http://doi.org/10.3233/JND-150093
 - Chan S.H.S., Foley A.R., Phadke R., Mathew A.A., Pitt M., Sewry C., et al. Limb girdle muscular dystrophy due to LAMA2 mutations: diagnostic difficulties due to associated peripheral neuropathy. Neuromuscul. Disord. 2014; 24(8): 677-83. DOI: http://doi.org/10.1016/j.nmd.2014.05.008
 - Kevelam S.H., van Engelen B.G., van Berkel C.G., Küsters B., van der Knaap M.S. LAMA2 mutations in adult-onset muscular dystrophy with leukoencephalopathy. Muscle Nerve. 2014; 49(4): 616-7. DOI: http://doi.org/10.1002/mus.24147
 - Oliveira J., Santos R., Soares-Silva I., Jorge P., Vieira E., Oliveira M.E., et al. LAMA2 gene analysis in a cohort of 26 congenital muscular dystrophy patients. Clin. Genet. 2008; 74(6): 502-12. DOI: http://doi.org/10.1111/j.1399-0004.2008.01068.x
 - Дадали Е.Л., Руденская Г.Е., Щагина О.А., Тибуркова Т.Б., Сухоруков В.С., Харламов Д.А. и др. Мерозин-дефицитная врожденная мышечная дистрофия (ВМД1А). Журнал неврологии и психиатрии им. С.С. Корсакова. 2010; 110(3): 83-9.
 - Alkan A., Sigirci A., Kutlu R., Aslan M., Doganay S., Yakinci C. Merosin-negative congenital muscular dystrophy: diffusion-weighted imaging findings of brain. J. Child Neurol. 2007; 22(5): 655-9. DOI: http://doi.org/10.1177/0883073807303219
 - Leite C.C., Reed U.C., Otaduy M.C., Lacerda M.T., Costa M.O., Ferreira L.G., et al. Congenital muscular dystrophy with merosin deficiency: 1H MR spectroscopy and diffusion-weighted MR imaging. Radiology. 2005; 235(1): 190-6. DOI: http://doi.org/10.1148/radiol.2351031963
 - Menezes M.J., McClenahan F.K., Leiton C.V., Aranmolate A., Shan X., Colognato H. The extracellular matrix protein laminin α2 regulates the maturation and function of the blood-brain barrier. J. Neurosci. 2014; 34(46): 15260-80. DOI: http://doi.org/10.1523/JNEUROSCI.3678-13.2014
 - Vigliano P., Vigliano P., Dassi P., Di Blasi C., Mora M., Jarre L. LAMA2 stop-codon mutation: merosin-deficient congenital muscular dystrophy with occipital polymicrogyria, epilepsy and psychomotor regression. Eur. J. Paediatr. Neurol. 2009; 13(1): 72-6. DOI: http://doi.org/10.1016/j.ejpn.2008.01.010
 - Liang Y., Li G., Chen S., He R., Zhou X., Chen Y., et al. Muscle MRI findings in a one-year-old girl with merosin-deficient congenital muscular dystrophy type 1A due to LAMA2 mutation: a case report. Biomed. Rep. 2017; 7(2): 193-6. DOI: http://doi.org/10.3892/br.2017.935
 - Козина А.А., Шаталов П.А., Баранич Т.И., Артемьева С.Б., Куприянова А.Г., Барышникова Н.В. и др. Клинические и молекулярно-генетические характеристики пациентов с морфологической картиной врожденной стержневой миопатии. Вестник Российского государственного медицинского университета. 2019; (2): 17-24. DOI: http://doi.org/10.24075/vrgmu.2019.034
 - Мутовин Г.Р., Жилина С.С., Заваденко Н.Н., Беленикин М.С. Признаки и болезни с традиционным и нетрадиционным наследованием. М.; 2015.
 - Gavassini B.F., Carboni N., Nielsen J.E., Danielsen E.R., Thomsen C., Svenstrup K., et al. Clinical and molecular characterization of limb-girdle muscular dystrophy due to LAMA2 mutations. Muscle Nerve. 2011; 44(5): 703-9. doi: 10.1002/mus.22132
 - Falsaperla R., Praticò A.D., Ruggieri M., Parano E., Rizzo R., Corsello G., et al. Congenital muscular dystrophy: from muscle to brain. Ital. J. Pediatr. 2016; 42(1): 78. DOI: http://doi.org/10.1186/s13052-016-0289-9
 - Gawlik K.I., Harandi V.M., Cheong R.Y., Petersén Å., Durbeej M. Laminin α1 reduces muscular dystrophy in dy2J mice. Matrix Biol. 2018; 70: 36-49. DOI: http://doi.org/10.1016/j.matbio.2018.02.024
 - Yu Q., Sali A., Van der Meulen J., Creeden B.K., Gordish-Dressman H., Rutkowski A., et al. Omigapil treatment decreases fibrosis and improves respiratory rate in dy(2J) mouse model of congenital muscular dystrophy. PLoS One. 2013; 8(6): e65468. DOI: http://doi.org/10.1371/journal.pone.0065468
 - Elbaz M., Yanay N., Aga-Mizrachi S., Brunschwig Z., Kassis I., Ettinger K., et al. Losartan, a therapeutic candidate in congenital muscular dystrophy: Studies in the dy(2J) /dy(2J) Mouse. Ann. Neurol. 2012; 71(5): 699-708. DOI: http://doi.org/10.1002/ana.22694
 
Дополнительные файлы
				
			
						
					
						
									






