Головные боли у детей: клиническая лекция
- Авторы: Ермакова П.А.1, Котов А.С.1
-
Учреждения:
- ГБУЗ МО «Московский областной научно-исследовательский клинический институт им. М.Ф. Владимирского»
- Выпуск: Том 1, № 3 (2020)
- Страницы: 177-187
- Раздел: Лекции
- URL: https://journals.eco-vector.com/2686-8997/article/view/44853
- DOI: https://doi.org/10.17816/2686-8997-2020-1-3-177-187
- ID: 44853
Цитировать
Полный текст
Аннотация
Головная боль (ГБ) является, пожалуй, самой распространенной жалобой у детей. К сожалению, зачастую этой жалобе не уделяется достаточно внимания. Нередко первичная ГБ (ГБ напряжения, мигрень) трактуется как симптом неврологического или другого заболевания, реже происходит наоборот. Не уделяется достаточного внимания сбору анамнеза, который на 90% обусловливает правильность постановки диагноза. Несмотря на высокую распространенность, большая часть знаний о патофизиологии, диагностических критериях и методах лечения ГБ у детей основана на экстраполяции результатов исследований, проведенных на взрослых пациентах. Эти экстраполяции должны осуществляться осторожно в педиатрической возрастной группе, поскольку существуют значительные различия между детьми и взрослыми в отношении развития и созревания нейрональных цепей, психосоциального развития и статуса и, следовательно, патофизиологии и распространенности различных типов ГБ. Эти различия в отношении типа и проявлений ГБ у детей и подростков могут пролить свет на прогрессирование детских ГБ во взрослом возрасте.
Мы представляем описание клинической картины, критериев диагностики и особенностей лечения самых типичных форм ГБ у детей: ГБ напряжения, мигрени, инфекционных заболеваний (включая менингококковый менингит), заболеваний ЛОР-органов, ургентных состояний, таких как черепно-мозговая травма и субарахноидальное кровоизлияние. Рассмотрены также генетические синдромы CADASIL и MELAS. Отдельное внимание уделяется так называемым «красным флагам» — опасным симптомам, требующим немедленных диагностических или лечебных процедур. В лекции приводятся практические особенности клинического и неврологического осмотра детей с жалобами на ГБ, современные классификации ГБ напряжения и мигрени, алгоритмы назначения лекарственных препаратов с учетом возрастных особенностей, приведены иллюстрации, включающие результаты МРТ, внешнего осмотра больных, схемы течения различных форм ГБ.
Ключевые слова
Полный текст
Введение
Головные боли (ГБ) — один из наиболее частых симптомов в клинической практике у детей. Широкий диапазон состояний, сопровождающихся ГБ, многообразие их клинических проявлений (рис. 1) показывают актуальность проблемы ГБ и требуют внимания как исследователей, так и врачей-практиков.
Рис. 1. Течение основных типов ГБ.
1 — внезапная, сильная и рецидивирующая боль типична для эпизодической мигрени; 2 — хроническая непрогрессирующая — для хронической ГБН, лекарственно-индуцированной ГБ; 3 — хроническая прогрессирующая ГБ может возникать при опухолях, доброкачественной внутричерепной гипертензии, абсцессах мозга или гидроцефалии; 4 — постоянная хроническая ГБ с эпизодами острой боли может встречаться, например, при хронической мигрени.
Долгое время считалось, что ГБ у детей встречаются значительно реже, чем у взрослых. По современным данным, частота ГБ у детей колеблется от 40% до 75% в популяции. На сегодняшний день основными причинами ГБ в детском возрасте являются головная боль напряжения (ГБН) — около 50% случаев, мигрень (около 25% случаев) и заболевания с фебрильной температурой (чаще всего патология ЛОР-органов) — около 25% случаев. Не стоит забывать и о таких заболеваниях, как менингит, объемные образования, субарахноидальные кровоизлияния, генетические заболевания, которые встречаются редко, но должны быть рассмотрены у лиц с серьезной ГБ. Следует уделить внимание дифференциации острой и хронической, однократной и рецидивирующей, первичной и вторичной ГБ.
Сбор анамнеза и осмотр
Сбор анамнеза составляет 90% успеха для диагностики и лечения ГБ. Необходимо выяснить изменения частоты или интенсивности ГБ, их провоцирующие факторы, время возникновения — сезонное или связанное со временем суток, а также факторы, усугубляющие или облегчающие ГБ. Описание индивидуальных проявлений ГБ должно включать характеристику продромального периода, ауры, локализации и качества болезненных ощущений, связанных с ней симптомов, а также периода после прекращения ГБ.
Обязательным является полное неврологическое обследование для выявления очагового неврологического дефицита.
Должны быть измерены артериальное давление, ЧСС, температура тела и произведена аускультация легких для исключения органической патологии. Необходимо обратить внимание у детей на наличие сыпи (осмотр всего тела), признаков интоксикации, раздражительности и изменения поведения.
Консультация офтальмолога позволяет оценить не только остроту зрения, но и состояние глазного дна для исключения внутричерепной гипертензии. Нарушение или неправильная коррекция зрения у детей становятся еще одной из причин упорной ГБ.
Необходимо провести детальное ЛОР-обследование — синуситы и инфекции среднего уха часто выступают причинами вторичных ГБ.
Боль в проекции синусов, щелчки в области височно-нижнечелюстного сустава, шейная лимфаденопатия — важная дополнительная информация, которая также может помочь в определении причины возникновения вторичной ГБ.
При осмотре необходимо обращать внимание на следующие «красные флажки», которые служат показанием к нейровизуализации:
- острое начало сильной ГБ;
- прогрессирование хронической ГБ;
- очаговый неврологический дефицит;
- возраст младше 3 лет;
- ГБ/рвота при пробуждении;
- рецидивирующая боль в одном месте;
- наличие вентрикулоперитонеального шунта;
- внутричерепная гипертензия.
Головная боль напряжения
Определение. ГБН — легкая или умеренная повторяющаяся двусторонняя ГБ сжимающего или давящего характера, которая может продолжаться от 30 мин до нескольких дней. ГБН может сопровождаться свето- или звукобоязнью (но не обоими признаками сразу), не усиливается под влиянием повседневной физической активности и не сопровождается тошнотой и рвотой.
Классификация. По Международной классификации расстройств, сопровождающихся ГБ, 3-го пересмотра (МКГБ-3) [1] выделяют три типа ГБН:
1) редкая эпизодическая ГБН с частотой менее 1 дня в месяц (менее 12 дней в год);
- редкая эпизодическая ГБН, сочетающаяся с напряжением перикраниальных мышц (ПКМ);
- редкая эпизодическая ГБН, не сочетающаяся с напряжением ПКМ;
2) частая эпизодическая ГБН с частотой более 1 дня и менее 15 дней в месяц (менее 180 дней в год);
- частая эпизодическая ГБН, сочетающаяся с напряжением ПКМ;
- частая эпизодическая ГБН, не сочетающаяся с напряжением ПКМ;
3) хроническая ГБН с частотой более 15 дней в месяц (более 180 дней в год), продолжительностью более 6 мес;
- хроническая ГБН, сочетающаяся с напряжением ПКМ;
- хроническая ГБН, не сочетающаяся с напряжением ПКМ.
Во взрослом возрасте ГБН выступает в качестве самой частой формы первичной ГБ, причем у половины пациентов с хронической ГБН дебют заболевания наблюдался в детском возрасте. Между тем у детей ГБН остается недостаточно изученной проблемой, что связано с относительно малой тяжестью ее клинических проявлений и незначительным влиянием на качество жизни пациентов. Хотя распространенность ГБН в детском возрасте не уступает и даже может превышать таковую при мигрени, ее показатели остаются недооцененными. Это связано с тем, что во многих случаях родители стремятся устранить ГБН без участия врача, а сами пациенты могут игнорировать боли из-за их малой интенсивности. ГБН, в отличие от мигрени, не сопровождаются такими вызывающими опасения у родителей симптомами, как тошнота, рвота, свето- и звукобоязнь, и практически не ограничивают повседневную активность детей.
Патогенез. Несмотря на многочисленные клинические и нейрофизиологические исследования, патогенез ГБН остается неясным. Согласно наиболее авторитетному в настоящее время консенсусу по данному вопросу считается, что перикраниальные миофасциальные механизмы, вероятно, играют ведущую роль при эпизодической ГБН, тогда как сенситизация болевых путей в центральной нервной системе, возникающая в результате длительных ноцицептивных стимулов из перикраниальных миофасциальных тканей, по-видимому, ответственна за преобразование эпизодической ГБН в хроническую [2].
Клиническая картина. Приступу ГБ обычно предшествуют утомление, напряжение, стрессовая ситуация. Длительность приступа боли — от 30 мин до нескольких часов (возможна продолжительность приступа в течение всего дня). Приступный период может продолжаться в течение нескольких дней (с некоторым колебанием интенсивности боли), но менее недели. Боль описывается как постоянная, давящая. В большинстве случаев она локализуется в области лба, висков или затылка и шеи, затем может становиться диффузной и описывается как ощущение сжатия головы обручем, каской или тесной шапкой. Хотя боль обычно бывает двусторонней и диффузной, локализация ее наибольшей интенсивности в течение дня может попеременно переходить с одной половины головы на другую. Обычно боль появляется при пробуждении и продолжается в течение всего дня, не усиливаясь при обычной ежедневной физической нагрузке. Большинство детей описывают волнообразное течение, длительные периоды ежедневных болей, чередующиеся с кратковременными ремиссиями. Транзиторные неврологические симптомы не характерны. У многих пациентов повышен уровень тревожности и наблюдается склонность к депрессии [3].
Лечение. Не всегда у ребенка с ГБН сразу удается выявить хроническую стрессовую ситуацию. Но если она обнаружена (развод родителей, физическое насилие, конфликтная ситуация в школе), то лечение ГБ должно начинаться с устранения или минимизации воздействия стрессовой ситуации. Хроническая ГБН не лишает пациентов возможности повседневной активности, но приносит им эмоциональный дискомфорт, хроническое чувство усталости, разбитости. Оптимальный подход к лечению данной формы ГБ будет заключаться в применении средств, влияющих на психоэмоциональную сферу и хроническое мышечное напряжение. Важно сочетать лекарственную терапию с немедикаментозным лечением (физиотерапия, массаж, плавание, оптимизация режима дня, не забывать вовремя питаться и пить достаточно жидкости, избегать продуктов и лекарств, содержащих кофеин или алкоголь, и др.).
Лекарственные препараты при эпизодической ГБН применяются однократно или коротким курсом, для этого используются возрастные дозировки парацетамола или ибупрофена. Недопустимо злоупотребление анальгетиками, т.к. может наблюдаться обратный эффект обезболивающих препаратов — абузусные ГБ. Применение более сильных анальгетиков или их комбинации с мышечными релаксантами значительной эффективностью не обладает, однако вызывает нежелательные симптомы со стороны желудочно-кишечного тракта.
Профилактика. При хронических ГБН большое значение приобретает профилактическая терапия, например, курсы амитриптилина — антидепрессанта с анальгезирующим эффектом. Рекомендуется начинать лечение с малых доз (10–25 мг) перед сном. Необходимость повышения дозы возникает редко. Для профилактических курсов ГБН применяют также антиконвульсанты. Для снятия мышечного напряжения в перикраниальных и затылочных мышцах назначают миорелаксанты (толперизон, тизанидин) [4].
Мигрень
Определение. Мигрень — хроническое заболевание с периодически повторяющимися приступами интенсивной ГБ пульсирующего характера, локализующейся преимущественно в одной половине головы, глазнично-лобно-височной области, усиливающейся при обычной физической активности и сопровождающейся тошнотой, иногда — рвотой, плохой переносимостью яркого света и громких звуков, постприступной вялостью и сонливостью. Длительность приступов — от 4 до 72 ч.
Классификация мигрени [1]:
1) мигрень без ауры;
2) мигрень с аурой;
- мигрень с типичной аурой;
- мигрень со стволовой аурой;
- гемиплегическая мигрень;
- ретинальная мигрень;
3) хроническая мигрень;
4) осложнения мигрени;
5) вероятная мигрень;
6) эпизодические синдромы, ассоциированные с мигренью.
Патогенез мигрени чрезвычайно сложен и до конца не изучен. Она представляет собой форму первичной ГБ, при которой включается каскад событий, которые приводят к периодической неадекватной активации тригеминоцервикальной болевой системы. В настоящее время не вызывает сомнения, что мигрень является нейроваскулярной проблемой с существенным влиянием генетических факторов. Эти данные открывают дорогу для поиска методов профилактики, патогенетического лечения и даже генной терапии данного заболевания [5].
Диагностика мигрени в основном клиническая, т.к. не существует ни одного метода обследования, достоверно подтверждающего диагноз мигрени. Для постановки данного диагноза требуется оценить не менее 5 приступов, поскольку один или несколько приступов мигрени достаточно трудно отличить от симптоматических приступов, подобных мигрени. В случае если приступы беспокоят 15 дней в месяц на протяжении более 3 мес, можно судить о хронической мигрени, которая была включена в основные диагнозы МКГБ-3. Инструментальные и радиологические методы исследования в межприступном периоде необходимы для проведения дифференциальной диагностики ГБ для исключения текущего органического заболевания.
У детей есть некоторые особенности: приступы ГБ могут сопровождаться болями в животе, наблюдается значительное улучшение самочувствия после короткого сна, приступы короче — от 2 до 5 ч. У детей младшего возраста мигренозные боли часто носят двусторонний характер; односторонний паттерн боли, свойственный взрослому возрасту, обычно появляется в подростковом или юношеском возрасте [1, 6].
Лечение мигрени у детей — сложная задача для врача. Врачу необходимо разъяснить родителям больного ребенка, какое это заболевание, как долго оно длится, что не существует медикаментов, которые смогли бы полностью ликвидировать заболевание. Кроме того, необходимо объяснить, что по мере течения заболевания клинические проявления приступов могут видоизменяться [6].
Одним из самых важных компонентов лечения является купирование приступа. В качестве препарата выбора, особенно в тех случаях, когда не сформировались типичные приступы, используются парацетамол и нестероидные противовоспалительные средства, арсенал которых достаточно широк. Если родители рассказывают врачу о применении того или иного анальгетика с хорошим терапевтическим эффектом на ребенка, это необходимо учитывать и рекомендовать использовать данный препарат для купирования последующих приступов.
В случае неэффективности нестероидных противовоспалительных средств, а также только при достижении ребенком определенного возраста (чаще 14–16 лет) при приступе мигрени можно использовать специфические антимигренозные средства. К ним относятся препараты группы триптанов (селективных агонистов серотониновых рецепторов) — суматриптан. Наиболее эффективно применение триптанов в начале болевого приступа (лучше не позднее 1 ч от момента начала приступа). Другая группа медикаментозных средств, которые можно использовать для купирования приступов мигрени с 12 лет, — эрготаминовые препараты — неселективные агонисты серотонина (например, дигидроэрготамин).
Основной целью профилактического лечения мигрени является снижение частоты и тяжести приступов. Очень важно для каждого больного определить провоцирующие факторы и совместно с родителями решить, как их лучше устранить или ослабить. Провоцирующими факторами мигрени у детей являются стресс, изменение погоды, период менструации и овуляции, недосыпание или избыточный сон, употребление некоторых продуктов (какао, шоколад, сыр, орехи, копчености, помидоры, цитрусовые, консервы), алкоголь, голод, некоторые лекарственные препараты (контрацептивы), сильный свет, шум, неприятные запахи, сильные вестибулярные раздражители (езда в транспорте, полет в самолете, качели).
Профилактическая лекарственная терапия показана при частых, тяжелых и затяжных приступах (3 и более дней за месяц), сопровождающихся существенным нарушением самочувствия и ограничением повседневной активности пациента, а также при наличии неврологических нарушений во время приступов (гемиплегическая мигрень, мигрень с аурой ствола головного мозга) и при менструальной мигрени. В соответствии с классами доказательности выделяют следующие классы препаратов для профилактического лечения мигрени:
1) класс А:
- антиэпилептические препараты: вальпроат натрия, топирамат;
- β-блокаторы: пропранолол, метопролол;
2) класс В:
- антидепрессанты: амитриптилин, венлафаксин;
- β-блокаторы: атенолол, надолол;
- триптаны (для профилактики менструальной мигрени): золмитриптан, наратриптан;
3) класс С:
- ингибиторы ангиотензинпревращающего фермента: лизиноприл;
- блокаторы ангиотензиновых рецепторов: кандесартан;
- α-адреномиметики: клонидин, гуанфацин;
- антиэпилептические препараты: карбамазепин;
- β-блокаторы: небиволол, пиндолол.
Среди немедикаментозных методов профилактики следует отметить курсы массажа, гимнастики, акупунктуры, методики релаксации и обратной биологической связи.
Прогноз при детской мигрени в целом благоприятный. Установлено, что у 41% детей, страдающих тяжелой формой заболевания, приступы мигрени не наблюдались в последующие 15 лет, а у 35% — в последующие 6 лет. Хотя к 30 годам у 60% из них мигренозные атаки все же были [7].
Заболевания с фебрильной температурой
ЛОР-заболевания
Заболевания носа и околоносовых пазух, особенно воспалительного характера, сопровождаются многообразными болевыми ощущениями как в проекции пазух, так и в зонах иррадиации.
Болевой синдром при синуситах имеет сложную природу и является следствием раздражения окончаний тройничного нерва в слизистой оболочке пазух продуктами метаболизма микроорганизмов и медиаторами воспаления, повышения давления экссудата в просвете пазухи при затруднении оттока, болезненной пульсации в результате избыточного пульсового растяжения артерий. Лицевая боль может быть вызвана нарушением вентиляционной функции соустий околоносовых пазух — это так называемая вакуумная или «утренняя» боль, возникающая вследствие понижения давления из-за резорбции воздуха. В ряде случаев боль в области верхнечелюстной пазухи может носить идиопатический характер.
Для синусита характерна тупая, постоянная распирающая боль, чаще в проекции пораженной пазухи, ощущение тяжести, напряжения. Иногда боль принимает пульсирующий характер. Интенсивность боли меняется в течение суток, что связано с изменением условий оттока из пазух в зависимости от положения головы. Дифференциально-диагностическим тестом может служить ослабление болевого синдрома после анемизации слизистой оболочки полости носа в результате улучшения оттока экссудата из пазухи.
Локализация, характер, местная и отдаленная иррадиация боли зависят от топики поражения околоносовых пазух.
Для острого максиллярного синусита характерна боль в области щеки, десен и зубов верхней челюсти.
При остром неосложненном фронтите наблюдается распирающая боль в лобной области, усиливающаяся при движении глазных яблок, при наклонах головы вперед с ощущением «прилива» к пазухе. Наибольшей интенсивности боль достигает по утрам, что связано с ухудшением дренажа пазухи в горизонтальном положении. Возможна иррадиация боли в височно-теменную или височную область на стороне поражения. Для хронического фронтита характерна тупая давящая боль в области лба, усиливающаяся в вечернее время, после физического напряжения или длительного наклона головы. Боль в области лба может наблюдаться не только при фронтите, но и при заболеваниях верхнечелюстной пазухи: синуситах, кистах.
При остром этмоидите давящая боль локализуется в области корня носа, переносья и внутреннего угла глаза. Боль иррадиирует в зоне иннервации второй ветви тройничного нерва, часто сопровождается слезотечением, отеком век, иногда — гиперемией конъюнктивы. Возможно появление болезненности глазного яблока.
Болевой синдром при сфеноидитах наблюдается в 96% случаев и имеет различную локализацию. Типичный признак ГБ при сфеноидите — это «проекция постоянного места» в результате ее иррадиации в то или иное место головы. Такая иррадиация болей объясняется особенностями иннервации различных топографо-анатомических зон ветвями тройничного нерва и степенью пневматизации клиновидной кости. При малой пневматизации клиновидной пазухи боль обычно локализуется в области темени, при больших пазухах — в затылке. Очень характерна для сфеноидита проекция боли в заглазничную и лобную области. При этом у больного возникает ощущение «вдавливания» глаза. Еще одна особенность боли при сфеноидите — ее появление или усиление на солнце и в жарком помещении, а также в ночное время. В первом случае усиление боли связано с повышением вязкости экссудата и засыханием его в области выводного отверстия, во втором — с ухудшением оттока из пазухи в горизонтальном положении.
Интенсивные постоянные или приступообразные ГБ в височной области и в ухе, имеющие стреляющий, колющий, пульсирующий характер, могут отмечаться при воспалительных заболеваниях среднего уха, прежде всего при мезотимпаните. Обусловленная острым гнойным отитом ГБ часто сопровождается повышением температуры, головокружением, воспалительными реакциями в барабанной перепонке, поражением лицевого нерва. Если отит осложнился мастоидитом, то ГБ обычно охватывает височную и теменную области. Боль может сопровождаться припухлостью и болезненностью мягких тканей над сосцевидным отростком [8].
Надо иметь в виду, что при некоторых инфекционных поражениях ЛОР-органов, в частности при этмоидите, синусите, отите, мастоидите, возможны осложнения в форме ограниченного пахименингита, лептоменингита, отогенного абсцесса мозга, тромбоза венозных синусов или развернутой клинической картины вторичного гнойного менингита. При отогенном лептоменингите может развиться так называемый синдром Градениго, при котором поражаются отводящий нерв (сходящееся косоглазие) и тройничный нерв, вовлечение последнего в процесс приводит к сильнейшей локальной ГБ, распространяющейся на лицо.
Среди возможных внутричерепных осложнений воспалительных процессов в ЛОР-органах не следует забывать о тромбозе сигмовидного, поперечного, сагиттального или пещеристого синусов, а также абсцессе мозга, чаще в височной доле или мозжечке. Эти осложнения, как и отогенный гнойный менингит, сопровождаются выраженной общемозговой и локальной неврологической симптоматикой и представляют опасность для жизни больного.
ГБ, обусловленная патологией ЛОР-органов и осложнениями, может быть ликвидирована только при излечении основного заболевания. В зависимости от характера патологического процесса лечение может быть консервативным или в сочетании с оперативным вмешательством, которое обычно проводится оториноларингологом [8].
Генетические заболевания
Генетические заболевания — большая группа болезней, возникающих в результате повреждения ДНК или мутаций на генном уровне. Данные заболевания очень разнообразны по клиническим проявлениям и до конца не изучены. ГБ, может возникнуть в составе фенотипического спектра генетических церебральных васкулопатий, например, при CADASIL- или MELAS-синдромах и проявляется в виде рецидивирующих приступов ГБ, имеющих признаки мигрени с аурой или без нее.
CADASIL-синдром — это «церебральная (С) аутосомно-доминантная (AD) артериопатия (A) с субкортикальными инфарктами (SI) и лейкоэнцефалопатией (L)», характеризующаяся повторными ишемическими инсультами подкорковой локализации, субкортикальной деменцией, аффективными нарушениями в виде депрессии и тревожности, а также мигренью с аурой (которая обычно является первым симптомом заболевания).
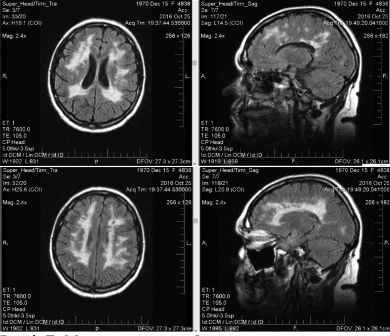
При магнитно-резонансной томографии (МРТ) выявляются симметричные очаги поражения, гиперинтенсивные в Т2 и FLAIR в белом веществе полушарий мозга (рис. 2). Отмечаются также расширение желудочков и атрофия мозолистого тела.
Рис. 2. Диффузное поражение белого вещества у взрослого пациента с CADASIL-синдромом.
Собственное наблюдение авторов. МРТ-картина взрослого представлена как более показательная, у детей сходные изменения на МРТ менее выражены.
Генетические исследования установили, что причиной CADASIL-синдрома являются повреждения гена NOTCH3. Ген расположен на 19-й хромосоме в локусе 19р13 и содержит 33 экзона. Известно, что ген NOTCH3 играет роль регулятора дифференцировки и созревания гладкомышечных клеток стенки мелких артерий головного мозга, мышц, кожи и внутренних органов. Указанная мутация приводит к дегенерации и утолщению гладкомышечной оболочки сосудистой стенки, что вызывает нарушение регуляции просвета сосуда (повышение или снижение тонуса сосудов) и, как результат, появление мигренозных (или мигренеподобных) приступов и развитие хронической ишемии (в основном в области подкорковых структур и белого вещества полушарий головного мозга) на фоне прогрессирующей окклюзии мелких (100–400 мкм) перфорирующих сосудов белого вещества головного мозга.
Лечение больных CADASIL-синдромом в настоящее время находится на ранних стадиях доклинического развития. Детям в соответствии с возрастом назначается терапия, направленная на улучшение микроциркуляции в головном мозге. Прием антикоагулянтов противопоказан из-за возможного развития геморрагического инсульта. Лечение мигрени при CADASIL-синдроме проводится по общепринятым схемам. В случаях развития эмоциональных расстройств назначаются седативные препараты, антидепрессанты. Эффективность лечения когнитивных расстройств не известна [9].
MELAS-синдром (Mitochondrial Encephalomyopathy, Lactic Acidosis and Stroke-like episodes) — это мультисистемное заболевание, которое характеризуется инсультоподобными эпизодами, возникающими в молодом возрасте (до 40 лет), энцефалопатией с судорогами и деменцией, митохондриальной миопатией с феноменом «рваных» красных волокон и лактат-ацидозом (возможно повышение уровня молочной кислоты в крови без ацидоза).
В основе MELAS-синдрома лежат точечные мутации митохондриальной ДНК. Наследование заболевания осуществляется по материнской линии. В настоящее время известно более 10 генов (в большинстве случаев кодирующих функции транспортной РНК), мутации в которых приводят к развитию клинической картины MELAS-синдрома.
Обычно заболевание дебютирует в возрасте 6–10 лет (возраст начала заболевания — 3–40 лет; раннее начало заболевания является типичным и встречается у 90% пациентов).
Основными клиническими критериями MELAS-синдрома являются [10]:
- материнский тип наследования;
- начало до 40 лет;
- нормальное психомоторное развитие до заболевания;
- непереносимость физических нагрузок;
- мигренеподобная ГБ с тошнотой и рвотой;
- инсультоподобные эпизоды;
- энцефалопатия с эпилептическими приступами и/или деменцией (наиболее часто регистрируются миоклонические приступы, однако также отмечаются фокальные сенсорные, моторные и вторично-генерализованные тонико-клонические приступы);
- лактат-ацидоз;
- рваные красные волокна в биоптатах скелетных мышц;
- прогрессирующее течение.
Отличительный клинический признак MELAS-синдрома — инсультоподобные эпизоды (ИПЭ), которые являются причиной внезапного развития очаговых неврологических нарушений. Характерная черта ИПЭ — «задняя» локализация очагов поражения в головном мозге. Наиболее часто очаги располагаются в затылочной, теменной и височной долях, реже — в лобной доле, мозжечке или базальных ганглиях; нередко они бывают множественными. Инсульты могут разрешаться или длительно определяться в виде клинических и/или рентгенологических изменений (что зависит от выраженности метаболических нарушений, обусловленных энергетической недостаточностью нейронов). Часто повторные инфаркты мозга развиваются с интервалом 1–3 мес в симметричных участках. Эти очаги могут быть мелкими или крупными, одиночными или множественными, обычно они несимметричные, их локализация не соответствует зоне кровоснабжения. В неврологическом статусе эти морфологические изменения проявляются миоклонусом, атаксией, эпизодами острого психоза или нарушения (дефицита) сознания вплоть до комы (особенность этих острых эпизодов, в том числе инсультов, с одной стороны, — быстрый (от нескольких часов до нескольких недель) регресс симптомов, с другой — склонность к рецидивированию); со стороны органов чувств выявляются атрофия зрительных нервов, пигментная ретинопатия и снижение слуха.
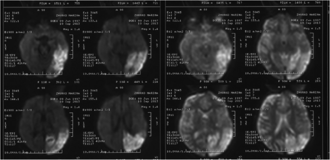
МРТ-сканирование острых ИПЭ при MELAS-синдроме обнаруживает нарушения в виде гиперинтенсивности сигнала в T2 и FLAIR, а также очаги «свежей» ишемии в режиме DWI (рис. 3). Повреждения не совпадают с бассейнами крупных мозговых артерий, но в значительной степени затрагивают кору и подлежащее белое вещество с умеренным поражением глубокого белого вещества. Острые повреждения мозга на МРТ при MELAS-синдроме могут изменяться, мигрировать или даже исчезать (характерна флуктуация очагов, определяемая при МРТ). Ангиография выявляет отсутствие выраженной сосудистой патологии: помимо нормальных результатов можно обнаружить увеличение калибра артерий, вен или капиллярную гиперемию.
Рис. 3. «Свежий» очаг ишемии в левой затылочно-височной доле у пациентки 14 лет.
MELAS-синдром в режиме DWI (собственное наблюдение авторов).
В настоящее время не существует эффективной патогенетической терапии MELAS-синдрома, проводится симптоматическое лечение. Описано применение препаратов, активизирующих дыхательную цепь митохондрий, антиоксидантов. При эпилептических приступах целесообразно избегать препаратов, угнетающих функцию митохондрий (вальпроаты, фенобарбитал) [10].
Ургентные состояния
Черепно-мозговая травма (ЧМТ) — повреждение механическим способом черепа и внутричерепного содержимого (головного мозга, сосудов, мозговых оболочек и черепных нервов).
Следует подчеркнуть, что клинические проявления ЧМТ, ее осложнения и последствия имеют отличительные признаки у детей, что обусловлено анатомо-физиологическими особенностями, присущими детскому возрасту. ЧМТ является главной в структуре детского травматизма, составляя 30–40% всех видов травм. Чаще встречается ЧМТ у мальчиков в возрасте 3–7 лет.
ГБ при ЧМТ является одной из наиболее распространенных вторичных ГБ. Выделяют острую ГБ (продолжительностью до 3 мес после ЧМТ) и персистирующую ГБ (продолжительностью более 3 мес).
Поскольку ГБ при ЧМТ не имеет специфических особенностей и зачастую ее приходиться дифференцировать с ГБН или мигренью, существуют диагностические критерии, учитывающие временную связь между началом ГБ и полученной ЧМТ. В пользу посттравматической ГБ отвечают следующие критерии:
- ГБ должна развиться в течение 7 дней после травмы или ушиба;
- ГБ возникает в течение 7 дней после восстановления сознания и/или способности чувствовать и сообщать о боли, ранее утраченных после получения ЧМТ.
ГБ может возникнуть как изолированный симптом после ЧМТ (например, при ушибе мягких тканей головы и шеи) или, в зависимости от степени тяжести ЧМТ, может сопровождаться следующими симптомами [1]:
1) при ЧМТ легкой степени:
- временная путаница, дезориентация или нарушение сознания;
- потеря памяти о событиях непосредственно до или после травмы головы;
- тошнота, рвота, нарушения зрения, головокружение, нарушение памяти и концентрации внимания;
2) при умеренной или тяжелой ЧМТ:
- потеря сознания >30 мин;
- оценка <13 баллов по Шкале комы Глазго;
- посттравматическая амнезия продолжительностью более 24 ч;
- изменение уровня сознания >24 ч;
- визуализация признаков ЧМТ (внутричерепное кровотечение и/или ушиб мозга).
При острой ЧМТ причинами ГБ могут быть повреждение мягких тканей головы и шеи, изменения ликвородинамики, повреждение аксонов, а при ушибе мозга или внутричерепной гематоме — структурные изменения в церебральной гемодинамике, оболочек мозга, чувствительных краниальных и спинальных нервов. Посттравматические нарушения сна, расстройства настроения и психосоциальные стрессы могут влиять на развитие и сохранение ГБ. Чрезмерное использование лекарств, купирующих ГБ, может способствовать возникновению так называемой абузусной ГБ.
В диагностике ушиба мозга и внутричерепной гематомы особое значение имеет рентгеновская компьютерная и магнитно-резонансная томография головы. Лечение ЧМТ (в большинстве случаев внутричерепной гематомы — хирургическое) позволяет уменьшить или полностью устранить ГБ. В качестве симптоматической терапии используют ненаркотические анальгетики [11].
Субарахноидальные кровоизлияния (САК) — наиболее распространенный вид травматических внутричерепных кровоизлияний у детей. Помимо травмы, в 5–10% случаев причиной САК могут являться цереброваскулярные аварии, среди которых лидирующее место (85% среди причин нетравматического характера) занимает разрыв внутричерепной аневризмы. Непосредственным источником этого вида геморрагии является повреждение сосудов мягкой мозговой оболочки или поверхностных корковых сосудов мозга (разрывного, эрозивного или диапедезного характера) [12].
Различают диффузные и локальные САК. Последние располагаются обычно в области корковых ушибов мозга или могут заполнять одну из цистерн мозга, формируя так называемую субарахноидальную гематому. В большинстве случаев возникают диффузные САК, и кровь постепенно заполняет все ликворные пространства и базальные цистерны мозга. Кровь и продукты ее распада приводят к развитию асептического менингита, спазма сосудов мозга и к преходящим расстройствам ликворной резорбции.
Клинические особенности ГБ при САК являются фундаментальными. Дети жалуются на внезапно возникшую ГБ максимальной интенсивности, которую можно описать как «удар грома». Клиническая картина также может включать менингеальный синдром, в большей или меньшей мере сочетающийся с общемозговыми и очаговыми симптомами, а также вегетативными расстройствами. Возможны генерализованные, редко фокальные, судорожные припадки. Менингеальные симптомы обычно нарастают в течение нескольких суток после травмы, появляется гипертермия. Последняя длится 7–14 дней и является следствием ирритации терморегуляционного центра кровью и продуктами ее распада.
САК является серьезным заболеванием (смертность 40–50%, из них 10–20% пациентов умирают до прибытия в больницу; 50% выживших остаются инвалидами).
Для подтверждения диагноза следует срочно провести КТ, чувствительность которой составляет 98% в первые 12 ч от начала заболевания (снижается до 93% в течение 24 ч и до 50% в течение 7 дней). При значительных САК в субарахноидальных пространствах можно обнаружить невыраженную гиперинтенсивность изображения базальных цистерн, межполушарных и латеральных борозд. Помимо положительного диагноза САК первичное КТ-обследование позволяет выявить ранние осложнения, такие как гидроцефалия, интрапаренхиматозная гематома с внутрижелудочковым кровоизлиянием. Диагностика данных осложнений очень важна, поскольку они опасны для жизни и требуют немедленной нейрохирургической помощи [13].
Наиболее достоверным методом диагностики САК остается люмбальная пункция. Однако проводить ее следует только после исключения внутричерепной гематомы и признаков выраженного отека головного мозга. Признаком САК является окрашенная кровью цереброспинальная жидкость (ЦСЖ), которая вытекает обычно под повышенным давлением. Об интенсивности геморрагии судят по количеству эритроцитов в ЦСЖ.
Различают 3 степени САК:
- легкую (не более 10 000 эритроцитов в 1 мкл ЦСЖ);
- среднюю (от 10 000 до 100 000 эритроцитов в 1 мкл ЦСЖ);
- тяжелую (более 100 000 эритроцитов в 1 мкл ЦСЖ).
При продолжающейся геморрагии в осадке ЦСЖ обнаруживаются свежие и измененные эритроциты.
Основная цель лечебных мероприятий при САК — остановка кровотечения, санация ЦСЖ и профилактика осложнений. Детям с диагностированным САК назначают строгий постельный режим, длительность которого зависит от состояния ребенка (в среднем около 10–14 дней). Один из основных путей интенсивной санации ЦСЖ — это повторные люмбальные пункции с выведением измененного ликвора, что обеспечивает санацию через 7–10 сут (естественная санация наступает спустя 2–3 нед) [12].
Менингит. Среди инфекционных заболеваний у детей, представляющих актуальность при ГБ, важное место занимают менингиты, что обусловлено значительной их распространенностью, тяжестью клинических проявлений, развитием осложнений и значительной летальностью.
Этиологическая структура менингитов у детей отличается разнообразием: причинами заболевания могут быть вирусы, бактерии, грибы. Но наибольшую актуальность представляют бактериальные менингиты, которые отличаются тяжестью и длительностью заболевания, развитием осложнений и высокой летальностью [14].
При всех менингитах выделяют менингеальный синдром:
- ГБ, вызванная менингитом, — это основной постоянный признак болезни. Как правило, она диффузная, усиливается от резких движений, звуковых и световых раздражителей. Причиной ГБ при менингите является прямое раздражение чувствительных окончаний, расположенных в мозговых оболочках, бактериальной инфекцией. Выделившиеся продукты жизнедеятельности бактерий (токсины), медиаторов воспаления (брадикинин, простагландины, цитокины и др.) непосредственно вызывают ГБ.
- Ригидность затылочных мышц — симптомы Кернига и Брудзинского, у маленьких детей может наблюдаться симптом подвешивания (Лесажа). Мышечная контрактура при менингите возникает вследствие повышения деятельности рефлекторного аппарата и раздражения корешков из-за повышенного давления спинномозговой жидкости.
- Тошнота, рвота, которая не связана с приемом пищи, чаще она бывает при перемене положения тела. После рвоты ГБ не уменьшается.
- Повышение температуры. Наиболее распространенными клиническими симптомами у детей с менингитами являются неспецифические: повышение температуры тела, вялость, заторможенность, снижение аппетита, которые наблюдаются во всех случаях.
- Изменения в психическом состоянии и/или в других неврологических симптомах (двигательные, чувствительные, вегетативные нарушения).
Обязательным признаком менингита являются воспалительные изменения в спинномозговой жидкости с клеточно-белковой диссоциацией (значительным увеличением клеток в ликворе).
Следует помнить, что клиническая картина менингита у детей может быть менее типичной по сравнению со взрослыми. Иногда можно увидеть симптомы, не свойственные данному заболеванию, например кровоизлияния в склеры и т.д. (рис. 4).
Рис. 4. Кровоизлияния в склеры у пациентки 6 лет с менингококковым менингитом (собственное наблюдение авторов).
Лечение менингитов проводится антибиотиками, противовоспалительными и десенсибилизирующими средствами. При гнойном эпидурите необходимо оперативное лечение, при туберкулезном и сифилитическом проводится специфическая терапия [15].
Заключение
ГБ — часто встречающийся симптом у пациентов детского и подросткового возраста. Наиболее распространенные формы первичных ГБ — мигрень и ГБН, которые чаще встречаются у пациентов с осложненным по данным заболеваниям семейным анамнезом.
Причинами вторичных ГБ чаще выступают синуситы и инфекции среднего уха, системные инфекции, а также черепно-мозговые травмы; реже — генетические заболевания, САК, менингит.
Несмотря на высокую распространенность, большая часть наших знаний о патофизиологии, диагностических критериях и методах лечения основана на экстраполяции результатов исследований, проведенных на взрослых пациентах. Эти экстраполяции должны осуществляться осторожно в педиатрической возрастной группе, поскольку существуют значительные различия между детьми и взрослыми в отношении развития и созревания нейрональных цепей, психосоциального развития и статуса и, следовательно, патофизиологии и распространенности различных типов ГБ. Эти различия в отношении типа и проявлений ГБ у детей и подростков могут пролить свет на прогрессирование детских ГБ во взрослом возрасте.
Рекомендуемые методы лечения — как фармакологические, так и немедикаментозные, должны быть адаптированы соответственно возрасту пациентов, особенностям его семьи, культуры и убеждений, а также соответствовать типу ГБ и максимально уменьшать те ограничения, которые ГБ накладывает на повседневную жизнь пациента. Изучив литературу, можно с уверенностью предположить, что рекомендуемым подходом к лечению ГБ у детей и подростков является мультидисциплинарный подход. Необходимо проинформировать пациентов и их родителей относительно заболевания, обучить их методам профилактической терапии (рекомендации по режиму дня и изменениям в диете), методам релаксации, контроля стрессового состояния и устранения других модифицируемых провоцирующих факторов, а также подобрать фармакотерапию, учитывающую возраст пациента. Доказано, что мультидисциплинарный подход улучшает результаты таких переменных, как частота и выраженность ГБ, количество пропущенных в школе дней, уровень стресса, тревожности и т.д. Дальнейшие исследования по изучению различных подходов в лечении ГБ дадут больше возможности врачам помочь своим маленьким пациентам в борьбе с ГБ.
Об авторах
П. А. Ермакова
ГБУЗ МО «Московский областной научно-исследовательский клинический институт им. М.Ф. Владимирского»
Автор, ответственный за переписку.
Email: alex-013@yandex.ru
ORCID iD: 0000-0002-0538-5662
Россия, Москва
А. С. Котов
ГБУЗ МО «Московский областной научно-исследовательский клинический институт им. М.Ф. Владимирского»
Email: alex-013@yandex.ru
ORCID iD: 0000-0003-2988-5706
доктор мед. наук, доцент, рук. неврологического отделения по разделу «Наука», профессор кафедры неврологии ФУВ ГБУЗ МО МОНИКИ им. М.Ф. Владимирского
Россия, МоскваСписок литературы
- Headache Classification Committee of the International Headache Society (IHS). The international classification of headache disorders, 3rd edition. Cephalalgia. 2018; 38(1): 1-211. DOI: http://doi.org/10.1177/0333102417738202
- Bendtsen L. Central sensitization in tension-type headache – possible pathophysiological mechanisms. Cephalalgia. 2000; 20(5): 486-508. DOI: http://doi.org/10.1046/j.1468-2982.2000.00070.x
- Carthcar S., Petkov J., Pritchard D. Effects of induced stress on experimental pain sensitivity in chronic tension-type headache sufferers. Eur. J. Neurol. 2008; 15(6): 552-8. DOI: http://doi.org/10.1111/j.1468-1331.2008.02124.x
- Ashina М. Neurobiology of chronic tension-type headache. Cephalalgia. 2004; 24(3): 161-72. DOI: http://doi.org/10.1111/j.1468-2982.2003.00644.x
- Goadsby P.J., Lipton R.B., Ferrari M.D. Migraine – current understanding and treatment. N. Engl. J. Med. 2002; 346(4): 257-70. DOI: http://doi.org/10.1056/NEJMra010917
- Gelfand A.A., Fullerton H.J., Goadsby P.J. Child neurology: Migraine with aura in children. Neurology. 2010; 75(5): e16-9. DOI: http://doi.org/10.1212/WNL.0b013e3181ebdd53
- Arruda M.A., Guidetti V., Galli F., Albuquerque R.C., Bigal M.E. Primary headaches in childhood – a population-based study. Cephalalgia. 2010; 30(9): 1056-64. DOI: http://doi.org/10.1177/0333102409361214
- Roozbahany N.A., Nasri S. Nasal and paranasal sinus anatomical variations in patients with rhinogenic contact point headache. Auris Nasus Larynx. 2013; 40(2): 177-83. DOI: http://doi.org/10.1016/j.anl.2012.07.007
- Di Donato I., Bianchi S., De Stefano N., Dichgans M., Dotti M.T., Duering M., et al. Cerebral Autosomal Dominant Arteriopathy with Subcortical Infarcts and Leucoencephalopathy (CADASIL) as a model of small vessel diseas: update on clinical, diagnostic, and management aspects. BMC Med. 2017; 15(1): 41. DOI: http://doi.org/10.1186/s12916-017-0778-8
- Ямин М.А., Черникова И.В., Арасланова Л.В., Шевкун П.А. Митохондриальная энцефалопатия с инсультоподобными эпизодами и лактат-ацидозом (синдром MELAS): критерии диагностики, особенности эпилептических приступов и подходы к лечению на примере клинического случая. Неврология, нейропсихиатрия, психосоматика. 2017; 9(4): 65-9. DOI: http://doi.org/10.14412/2074-2711-2017-4-65-69
- Ruff R.L., Blake K. Pathophysiological links between traumatic brain injury and post-traumatic headaches. F1000Res. 2016; 5(F1000 Faculty Rev.): 2116. DOI: http://doi.org/10.12688/f1000research.9017.1
- van Gijn J., Kerr R.S., Rinkel G.J. Subarachnoid hemorrahge. Lancet. 2007; 369(9558): 306-18. DOI: http://doi.org/10.1016/S0140-6736(07)60153-6
- Gauvrit J.Y., Leclerc X., Ferré J.C., Taschner C.A., Carsin-Nicol B., Auffray-Calvier E., et al. Imagerie de l’hémorragie sous-arachnoïdienne. J. Neuroradiol. 2009; 36(2): 65-73. DOI: http://doi.org/10.1016/j.neurad.2008.06.005 (in French)
- Posadas E., Fisher J. Pediatric bacterial meningitis: an update on early identification and management. Pediatr. Emerg. Med. Pract. 2018; 15(11): 1-20.
- Mount H.R., Boyle S.D. Aseptic and bacterial meningitis: Evaluation, treatment and prevention. Am. Fam. Physician. 2017; 96(5): 314-22.
Дополнительные файлы







