Инфантильная паркинсонизм-дистония, тип 1 (клинический пример)
- Авторы: Кузенкова Л.М.1, Пак Л.А.1,2, Кондакова О.Б.1, Лялина А.А.1, Цыганкова П.Г.3, Канивец И.В.4, Гребенкин Д.И.1, Лапшина Н.В.1
-
Учреждения:
- ФГАУ «Национальный медицинский исследовательский центр здоровья детей» Минздрава России
- ФГАОУ ВО «Первый МГМУ им. И.М. Сеченова Минздрава России» (Сеченовский университет)
- ФГБНУ «Медико-генетический научный центр имени академика Н.П. Бочкова»
- Лаборатория молекулярной патологии «Геномед»
- Выпуск: Том 1, № 4 (2020)
- Страницы: 232-241
- Раздел: Клинические случаи
- URL: https://journals.eco-vector.com/2686-8997/article/view/56936
- DOI: https://doi.org/10.17816/2686-8997-2020-1-4-232-241
- ID: 56936
Цитировать
Полный текст
Аннотация
Инфантильная паркинсонизм-дистония, тип 1 (DTDS) (OMIM 613135) — редкое наследственное аутосомно-рецессивное заболевание, манифестирующее в младенческом возрасте. Развитие болезни обусловлено гомозиготной или компаунд-гетерозиготной мутацией в гене SLC6A3 (OMIM 126455), который кодирует переносчик дофамина, локализованный на коротком плече 5 хромосомы (5p15). Основным патогенетическим механизмом развития заболевания является утрата функции основного транспортера дофамина на пресинаптическом уровне, что приводит к снижению обратного захвата дофамина в синаптической щели, истощению пресинаптических запасов дофамина и увеличению количества экстранейронального дофамина. В настоящее время в мире описано 20 случаев этого заболевания у детей. Основными клиническими проявлениями DTDS являются разнообразные по рисунку гиперкинезы (дистония, хорея, атетоз и др.), сменяющиеся гипокинезией и ригидностью, развивающимися на фоне осевой гипотонии. Трудности дифференциальной диагностики приводят к тому, что многие больные годами наблюдаются с ошибочными клиническими диагнозами, в том числе с детским церебральным параличом, регулярно получая курсы реабилитационного лечения без клинического эффекта. Вышеизложенное объясняет необходимость осведомленности клиницистов о редком заболевании — DTDS, что позволит избежать диагностических ошибок, своевременно назначить адекватную терапию и тем самым существенно улучшить качество жизни пациентов и членов их семей. Статья содержит обзорные данные по этиологическим, патогенетическим, эпидемиологическим, диагностическим и терапевтическим аспектам DTDS. Впервые в России публикуется клинический случай этого редкого заболевания, в котором представлен собственный опыт ведения пациента с DTDS.
Полный текст
Инфантильная паркинсонизм-дистония, тип 1 (OMIM 613135), синдром наследственного дефицита переносчика дофамина (DTDS) — редкое наследственное аутосомно-рецессивное заболевание с дебютом в младенческом возрасте. Распространенность заболевания точно не известна. В международной базе орфанных заболеваний ORPHANET имеются 8 описаний клинических наблюдений, однако, по данным разных авторов, в 2020 г. общее количество молекулярно-генетически верифицированных случаев составило около 20 [1, 2].
Развитие болезни обусловлено гомозиготной или компаунд-гетерозиготной мутацией в гене SLC6A3 (OMIM 126455), который кодирует переносчик дофамина (dopamine active transporter, DAT), локализованный на коротком плече 5 хромосомы (5p15) [2–6]. Дофаминергические нейроны, в которых экспрессируется DAT, расположены преимущественно в клетках компактной части черной субстанции, латеральной части черной субстанции и вентральной тегментальной области. Пресинаптический DAT обеспечивает трансмембранный транспорт дофамина из синаптической щели в пресинаптический нейрон, опосредует активный обратный захват экстранейронального дофамина и является основным регулятором продолжительности дофаминергического действия на пресинаптических и постсинаптических рецепторах. Высвобожденный дофамин используется повторно благодаря нейрональному обратному захвату DAT и повторному накоплению в везикулах неспецифическим везикулярным переносчиком моноаминов либо катаболизируется ферментами моноаминоксидазы и катехол-О-метилтрансферазы, как и другие эндогенные катехоламины. Основным патогенетическим механизмом развития заболевания является утрата функции DAT на пресинаптическом уровне, что приводит к снижению обратного захвата дофамина в синаптической щели, истощению пресинаптических запасов дофамина и увеличению количества экстранейронального дофамина (рис. 1). Высокое содержание экстранейронального дофамина, в свою очередь, приводит к чрезмерной стимуляции пресинаптических ауторецепторов D2, приводя к ингибированию тирозингидроксилазы и, как следствие, к снижению синтеза дофамина. Кроме того, избыток экстранейронального дофамина приводит к подавлению и/или десенсибилизации дофаминовых рецепторов D1, в связи с чем нарушается передача нервного импульса. В результате катаболизма высоких уровней экстранейронального дофамина повышается концентрация гомованилиновой кислоты в цереброспинальной жидкости [3, 4, 6, 7].
Рис. 1. Схема регуляции дофаминергического синапса.
VMAT2 — везикулярный переносчик моноаминов; МАО — моноаминоксидаза; СОМТ — катехол-О-метилтрансфераза; HVA — гомованилиновая кислота; D1 — специфический дофаминовый рецептор; D2 — агонист рецептора дофамина.
Fig. 1. Scheme of regulation of the dopaminergic synapse.
VMAT2 — vesicular transporter of monoamines; MAO — monoamine oxidase; COMT — catechol-O-methyltransferase; HVA — homovanilic acid; D1 — specific dopamine receptor; D2 — agonist of the dopamine receptor.
Основными клиническими проявлениями DTDS являются разнообразные гиперкинезы (дистония, хорея, атетоз и др.), сменяющиеся гипокинезией и ригидностью, развивающимися на фоне осевой гипотонии. Кроме того, у больных отмечаются задержка психического и моторного развития, психомоторное возбуждение, а также нарушения глотания и связанные с ними трудности кормления [3, 8–10]. Многие больные годами наблюдаются с ошибочным клиническим диагнозом «детский церебральный паралич», регулярно получая курсы реабилитационного лечения без клинического эффекта [3].
В 2011 г. М.А. Kurian с соавторами опубликовали результаты многоцентрового исследования DTDS, проведенного в 7 центрах детской неврологии в Великобритании, Германии и США с февраля 2009 г. по июнь 2010 г. [3]. В исследование были включены 11 детей (2 мальчика, 9 девочек) с DTDS. Все дети имели двигательное расстройство с дебютом в младенчестве (средний возраст 2,5 мес). На момент написания статьи были живы 7 детей (в возрасте 1,9–11,4 года), 4 пациента умерли в возрасте от 9 до 16 лет. До постановки диагноза у 7 детей был ошибочно диагностирован детский церебральный паралич. В ходе исследования было проведено комплексное обследование пациентов, включающее исследование нейротрансмиттеров в цереброспинальной жидкости, концентрации катехоламинов в моче, уровней сывороточного пролактина и сывороточной креатинкиназы, а также проведение нейровизуализации (МРТ и МР-спектроскопия головного мозга). Молекулярно-генетическое исследование включало анализ гена SLC6A3 методом прямого автоматического секвенирования. На основании проведенного исследования был разработан диагностический алгоритм DTDS (рис. 2) [3].
Рис. 2. Алгоритм диагностики гиперкинезов разной этиологии [3].
Fig. 2. Algorithm for diagnosing hyperkinesis of different etiologies [3].
Авторы подробно описали клиническую картину всех наблюдаемых пациентов и обратили внимание на разнообразие у них клинических симптомов. Так, у 5 детей преобладали гиперкинезы (дистония, хорея, дискинезия), у 4 пациентов — гипокинетические симптомы (брадикинезия, ригидность), а у 2 больных отмечалось смешанное гипокинетически-гиперкинетическое двигательное расстройство (гипокинетически-гиперкинетический синдром). Кроме того, у наблюдаемых пациентов отмечалась и другая клиническая симптоматика: возбудимость, психомоторное возбуждение, аксиальная гипотония, глазодвигательные расстройства (окулогирные кризы). Характерные для паркинсонизма симптомы, такие как брадикинезия, ригидность, гипомимия и тремор, как правило, возникали после нескольких лет течения болезни. У всех пациентов отмечались когнитивные нарушения и отсутствовала экспрессивная речь. Тем не менее большинство детей хорошо понимали обращенную речь и приобретали навыки невербальных способов коммуникации [3].
Результаты лабораторных и инструментальных исследований показали, что у всех детей, включенных в исследование, соотношение гомованилиновой кислоты к 5-гидроксииндолуксусной кислоте было повышено в диапазоне 5 : 0–13 : 2 (норма 1 : 3–4 : 0). Экскреция гомованилиновой кислоты с мочой была увеличена у 6 из 7 обследованных детей и составляла 22–47 мкмоль/ммоль креатинина (норма 2–15 мкмоль/ммоль креатинина). Сывороточный пролактин исследовался у 7 пациентов, его увеличение зарегистрировано лишь у 2 больных. У 6 обследованных детей обнаружено повышение активности сывороточной креатинкиназы — 242–1773 МЕ/л (норма 24–173 МЕ/л) [3].
При МРТ головного мозга не было выявлено структурных дефектов в базальных ганглиях ни у одного наблюдаемого пациента. У 8 детей зарегистрированы расширение наружных субарахноидальных пространств в лобно-височных областях и задержка миелинизации. Перивентрикулярная лейкомаляция обнаружена у 1 ребенка [3].
М.А. Kurian с соавторами предпринимали многократные попытки добиться стойкого положительного терапевтического эффекта у наблюдаемых пациентов [3]. Применение широкого арсенала лекарственных средств, включающих миорелаксанты, дофаминергические, холинолитические, антиглутаминергические и ГАМКергические препараты, а также использование хирургического вмешательства (глубокая стимуляция головного мозга у 1 пациента) не продемонстрировало эффективности, либо достигнутый положительный эффект был непродолжительным. Девять пациентов получали комплексный препарат леводопы в сочетании с карбидопой (кокарелдопа) с максимальными дозами 2–6 мг/кг в сутки в течение 2–3 нед. У 7 из них не было положительной динамики от приема кокарелдопы, а у 4 пациентов лечение было прекращено вследствие возникновения побочных эффектов (тошнота, рвота, усиление гиперкинезов и ригидности, нарушающих питание и сон). У 2 детей применение кокарелдопы в дозировке около 2 мг/кг в сутки улучшило двигательные функции верхних конечностей, купировало эпизодические дистонические кризы и уменьшило гипомимию. Однако дальнейшее повышение дозы лекарственного препарата привело к возникновению лекарственно-обусловленных дискинезий. Добавление к кокарелдопе агониста дофамина ропинирола привело к дальнейшему улучшению двигательных функций, что позволило авторам инициировать терапию ропиниролом у других наблюдаемых пациентов. На фоне данной терапии было зарегистрировано уменьшение клинических симптомов паркинсонизма, облегчение кормления и увеличение двигательных функций верхних конечностей. Применение в лечении DTDS агониста дофамина прамипексола продемонстрировало его неэффективность у детей в возрасте 1,5–6,0 лет, в то время как у пациентов более раннего возраста было отмечено некоторое клиническое улучшение [3].
Согласно данным зарубежных авторов, дифференциальный диагноз DTDS необходимо проводить с болезнью Галлервордена–Шпатца, болезнью Вильсона, дискинетическими и смешанными формами детского церебрального паралича, торсионной дистонией, болезнью Сегавы (ДОФА-зависимая дистония), наследственными болезнями обмена веществ, митохондриальными заболеваниями и др. [9, 10].
Прогноз заболевания неблагоприятный. В большинстве случаев летальный исход наступает в подростковом возрасте [3].
Клинический пример
Пациентка С., 1 год 6 мес, поступила в отделение патологии раннего детского возраста (ОПРДВ) ФГАУ «НМИЦ здоровья детей» Минздрава России в августе 2020 г. с направительным диагнозом «детский церебральный паралич, спастическая дисплегия, GMFCS IV (G 80.1). Задержка психического, речевого и моторного развития. Бронхолегочная дисплазия, легкое течение. Дыхательная недостаточность 0. Сходящееся альтернирующее косоглазие, амблиопия обоих глаз». На момент поступления мама ребенка предъявляла жалобы на задержку психического и моторного развития девочки, а также на обилие навязчивых движений в руках и ногах, значительно ухудшающих качество жизни ребенка.
Из анамнеза известно, что ребенок рожден в близкородственном браке. Беременность 2-я, протекала на фоне угрозы прерывания в I триместре. Первая беременность прервана по социальным показаниям. Роды срочные, самостоятельные. Масса тела при рождении 3405 г, длина 54 см. Оценка по шкале Апгар 8/9 баллов. Крик сразу, громкий. Выписана из родильного дома на 6-е сутки жизни. На протяжении первых 2 мес. жизни отмечалась конъюгационная желтуха.
Со слов мамы, в возрасте 2 мес. у девочки появились срыгивания, которые постепенно нарастали как по частоте возникновения, так и по объему выделяемых масс, периодически возникала рвота «фонтаном». В это же время отмечено появление спастической кривошеи. Ребенок наблюдался педиатром и неврологом по месту жительства с диагнозом «перинатальное поражение ЦНС». По данным нейросонографического исследования в 2 мес патологические изменения в веществе головного мозга не обнаружены. В возрасте 4 мес. состояние ребенка ухудшилось в связи с присоединением гиперкинетического синдрома: миоклонии, хореоатетоз, тремор, на фоне которых развивалось выраженное психомоторное возбуждение. Данные эпизоды носили пароксизмальный характер, имели разную продолжительность — от нескольких минут до нескольких часов, купировались самостоятельно. Указанная симптоматика неуклонно нарастала. Девочка была обследована по месту жительства. При проведении компьютерной томографии головного мозга (8 мес) выявлены признаки последствий гипоксического поражения вещества головного мозга, неравномерное расширение субарахноидальных пространств без атрофических изменений в обеих гемисферах головного мозга.
В связи с продолжающейся обильной рвотой, малой прибавкой веса и нарастающей неврологической симптоматикой в виде гиперкинетического синдрома, вовлекающего мышцы конечностей, туловища и мимическую мускулатуру, ребенок был обследован на наличие аминоацидопатий и нарушений бета-окисления жирных кислот методом тандемной масс-спектрометрии: патологических изменений выявлено не было.
Проведенный трижды (8 мес, 10 мес, 1 год 3 мес) длительный видео ЭЭГ-мониторинг не обнаружил эпилептиформной активности и позволил исключить эпилептический генез имеющихся у девочки миоклоний. Магнитно-резонансная томография головного мозга (1 год 3 мес) выявила наличие умеренных субатрофических изменений вещества головного мозга.
В возрасте 1 год 4 мес девочка перенесла инфекцию, вызванную коронавирусом SARS-CoV-2, на фоне чего отмечалось ухудшение состояния ребенка в виде нарастания гиперкинетического синдрома, присоединения дистонических атак и появления выраженного психомоторного возбуждения.
В августе 2020 г. (1 г. 6 мес) ребенок был госпитализирован в ОПРДВ ФГАУ «НМИЦ здоровья детей» Минздрава России. При поступлении пациентка получала алимемазина тартрат в дозе 1,25 мг/сут; перициазин в дозе 0,2 мг/сут.
Соматический статус: общее состояние средней тяжести по заболеванию. Температура тела 36,6°C. Положение в постели вынужденное. Вес 10 кг, рост стоя 82 см. Фенотип ребенка: узкое переносье, длинный фильтр, тонкая верхняя губа, диспластичные ушные раковины. Состояние питания понижено. Кожные покровы бледно-розовые, умеренно влажные, чистые от сыпи. Слизистые оболочки бледно-розовые, чистые. Задняя стенка глотки и небные дужки не гиперемированы, миндалины не увеличены, налетов, наложений нет. Подкожная клетчатка развита удовлетворительно, распределена равномерно. Периферические лимфатические узлы не увеличены. Костная система: деформаций костей нет. Органы дыхания: носовое дыхание свободное. В легких дыхание пуэрильное, проводится во все отделы, хрипов нет. Перкуторно: ясный легочный звук. Частота дыхания 33–35 в минуту. Область сердца визуально не изменена, границы относительной сердечной тупости в пределах возрастной нормы. Тоны сердца звучные, ритм правильный. ЧСС 120–128 в минуту. Органы пищеварения: аппетит снижен. Язык чистый, влажный. Живот при пальпации мягкий, безболезненный во всех отделах, доступен глубокой пальпации. Печень не увеличена, селезенка не пальпируется. Стул оформленный, регулярный, без патологических примесей. Мочеиспускание свободное, безболезненное. Дизурии нет. Наружные половые органы сформированы по женскому типу.
Психоневрологический статус: голова округлой формы, окружность головы 47 см. Сознание ясное. Реагирует на осмотр зрительным и слуховым сосредоточением. Эмоции скудные, малодифференцированные. При эмоциональном общении реагирует улыбкой. Импрессивная речь: в ограниченном объеме. Экспрессивная речь: интонированные голосовые вокализации. При предъявлении яркого предмета в поле зрения наблюдается зрительное сосредоточение, плавное прослеживание. Зрительный контакт скользящий. На невидимый источник звука высокой интенсивности, предъявленный в непосредственной близости от уха, отмечается незначительное изменение мимики, голову в его сторону не поворачивает. Тактильный контакт руки с предметом вызывает фиксацию взгляда, непроизвольный подъем руки вверх. Стремится прикоснуться рукой к игрушке, предъявленной в поле зрения, может натолкнуться на лежащую рядом игрушку, самостоятельно не захватывает. Вложенную игрушку удерживает кратковременно, зрением не контролирует, быстро выпускает из руки. Целенаправленное внимание привлекается с трудом, быстро истощается. Фон настроения неустойчив, отмечается психомоторное возбуждение, девочка капризна, плаксива, раздражительна.
Со стороны черепных нервов: обоняние исследовать невозможно. Зрение предметное. Взгляд фиксирует, следит за предметом. Глазные щели симметричны. Движения глаз в полном объеме. Сходящееся альтернирующее косоглазие. Зрачки округлой формы, симметричны. Реакции зрачков на свет (прямая и содружественная) живые, OD = OS. Точки выхода ветвей тройничного нерва безболезненны при пальпации. Движения нижней челюсти ограничены, отмечается оромандибулярная дискинезия. Лицо симметрично, мимика обеднена. Слух не снижен. Нистагма нет. Поперхивается при кормлении твердой и жидкой пищей. Голос слабый, монотонный, быстро истощающийся. Глоточные рефлексы оживлены, D = S. Положение плеч и лопаток симметрично. Привычная установка головы вправо, повороты в обе стороны свободны. Язык по средней линии. В двигательной сфере: объем активных и пассивных движений полный. Мышечный тонус изменён по экстрапирамидному типу в верхних и нижних конечностях, D = S. Отмечается ригидность затылочных мышц и мышц шеи. Мышечная сила в руках и ногах на 4 балла, D = S. Сухожильные рефлексы с рук и ног повышены, D = S, рефлексогенные зоны не расширены. Патологические стопные и кистевые рефлексы не вызываются, D = S. Клонусов нет, D = S.
Моторные навыки: голову держит неустойчиво, непродолжительное время, периодически запрокидывает назад, в положении лежа на животе опора на грудь, голову приподнимает, удерживает кратковременно, нуждается в придании положения с помощью валика, самостоятельно не садится и не сидит, присаженная с опорой удерживает позу сидя кратковременно, не стоит, не ходит.
При осмотре обращают на себя внимание разнообразные навязчивые стереотипные движения в мимической мускулатуре, верхних и нижних конечностях: миоклонии, хореоатетоидные движения, тремор и дистонические атаки (рис. 3). Кроме того, отмечаются тризм, бруксизм и оромандибулярная дискинезия, значительно нарушающие кормление ребенка. Имеющиеся гиперкинезы нарастают при психоэмоциональных нагрузках (вплоть до «гиперкинетических бурь»), ослабевают при фиксации ребенка на действии или событии, полностью купируются во время сна. При изменении позы тела в вертикальной плоскости рисунок гиперкинезов изменяется, возникает тоническое напряжение в проксимальных отделах верхних и нижних конечностей на фоне хореоатетоидных движений в их дистальных отделах.
Рис. 3. Разнообразные проявления гиперкинетического синдрома у пациентки С.
Fig. 3. Various manifestations of hyperkinetic syndrome in patient C.
Чувствительная сфера: нарушений поверхностной чувствительности не выявлено, глубокую — исследовать не представляется возможным. Координаторную сферу исследовать не удалось в связи с выраженным гиперкинетическим синдромом. Тазовые функции не нарушены.
Общий анализ крови: Hb 103 г/л (норма 110–135 г/л), остальные показатели в пределах референсных значений.
Биохимический анализ крови: креатинфосфокиназа 1235,2 ЕД/л (норма 25–140 ЕД/л), лактатдегидрогеназа 363,61 ЕД/л (норма 91–295 ЕД/л), остальные показатели в пределах референсных значений.
ЭКГ, ЭХО-КГ: без патологических изменений.
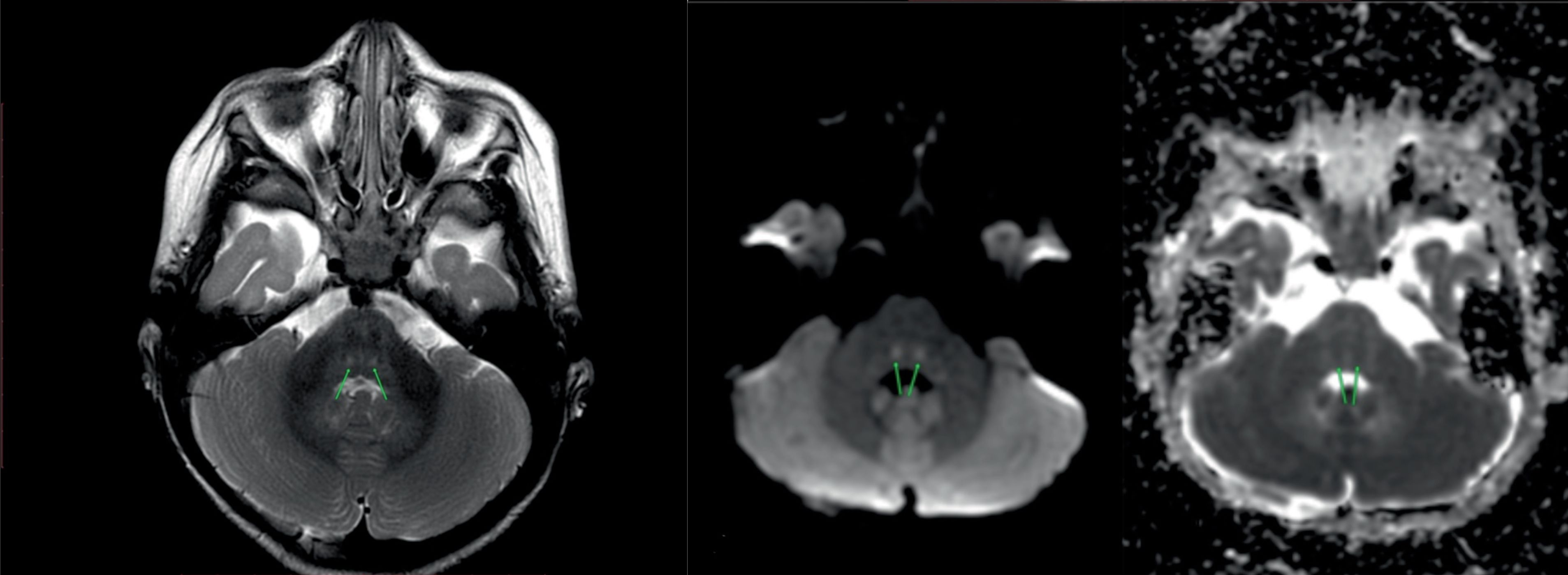
Магнитно-резонансная (МР) томография головного мозга: МР-исследование головного мозга проведено в Т1- и Т2-взвешенном изображении и FLAIR в сагиттальной, аксиальной и фронтальной проекциях, а также в DWI, SWAN.
На МР-томограммах головного мозга срединные структуры не смещены. Извилины больших полушарий сформированы правильно. Явных признаков дисгенеза кортикальной пластинки не выявлено. Симметрично в проекции центрального покрышечного тракта отмечаются участки повышения МР-сигнала на Т2-ВИ, слабого понижения — на Т1-ВИ, с признаками ограничения диффузии (без динамики).
На фоне незавершенной миелинизации белого вещества теменных отделов нельзя исключить очаговые изменения, без признаков ограничения диффузии. На остальном уровне в веществе больших полушарий и мозжечка, а также краниовертебрального перехода, очагов патологически измененного МР-сигнала, зон кровоизлияний, а также новообразований не выявлено. Мозолистое тело сформировано.
Желудочковая система: боковые желудочки симметричны, не расширены. Третий и четвертый желудочки не деформированы.
Субарахноидальное пространство лобно-височных отделов умеренно расширено (без динамики). Турецкое седло обычной формы и размеров. Гипофиз не увеличен. Структура аденогипофиза однородная. Дифференциация на адено- и нейрогипофиз четкая. Перекрест зрительных нервов и воронка гипофиза не смещены. В области орбит видимых патологических изменений не выявлено. Каналы и перекрест зрительных нервов не деформированы, ход и калибр не изменены.
Заключение: МР-картина симметричного поражения центрального покрышечного тракта (нельзя исключить метаболический генез). МР-данных за объемное поражение вещества головного мозга не получено (рис. 4). По сравнению с результатом МРТ от 21.04.2020 г. — без динамики. Рекомендовано: динамическое МР-наблюдение.
Рис. 4. МРТ головного мозга пациентки С.
а — Т2-взвешенное изображение в аксиальной плоскости: симметричные участки гиперинтенсивного сигнала в области покрышечных путей; б — диффузионно-взвешенное изображение: гиперинтенсивный сигнал; в — карта измеряемого коэффициента диффузии: гипоинтенсивный сигнал.
Fig. 4. MRI of the brain of patient C.
a — T2-weighted image in the axial plane: symmetrical sections of the hyperintensive signal in the area of the tire pathways; b — diffusion weighted image: hyperintensive signal; c — map of the measured coefficient of the diffusion: hypointensive signal.
Консультация диетолога: умеренная белково-энергетическая недостаточность питания.
Консультация дефектолога: особенности формирования периода элементарной психической активности.
Консультация логопеда: нарушение речевого развития.
За время нахождения ребенка в отделении дифференциальный диагноз проводился с дискинетической формой детского церебрального паралича, инфантильной формой ДОФА-зависимой дистонии (болезнью Сегавы), наследственными заболеваниями обмена веществ (болезнями, связанными с нарушением обмена железа, меди, кальция и марганца в головном мозге).
С целью купирования гиперкинетического синдрома в отделении инициирована терапия лекарственным препаратом клоназепам с постепенным достижением суточной дозы 1,125 мг. Для уменьшения тонусных нарушений к лечению добавлен баклосан в дозе 15 мг/сут. На фоне проводимой терапии положительной динамики в состоянии ребенка не отмечалось, кроме того, были зарегистрированы побочные эффекты лечения в виде слабости, вялости, нарастания нарушений глотания.
В связи с наличием у девочки ригидности мышц затылка, шеи и тризма, а также дистонических атак, в затылочные мышцы, мышцы верхних и нижних конечностей был введен ботулинический токсин типа А 100 ЕД. Ботулинотерапия не вызвала развития нежелательных явлений, но клинический положительный эффект достигнут не был.
В ходе дальнейшей коррекции терапии перициазин был постепенно отменен, а для купирования приступов психомоторного возбуждения перед сном ребёнку проводились внутримышечные инъекции диазепама в дозе 0,5 мл (2,5 мг) без эффекта. Проводимые в последующем внутривенные инъекции диазепама в дозе 7,5 мг на протяжении 12 ч обеспечивали кратковременный незначительный седативный эффект.
После неоднократных безуспешных попыток купировать гиперкинетический синдром и психомоторное возбуждение девочки было принято решение о проведении внутривенной капельной инфузии пиридоксина гидрохлорида (ПГ) 100 мг в 100 мл 0,9% NaCl. Уже после проведения первой инфузии была отмечена выраженная положительная динамика в виде нивелирования гиперкинетического синдрома и значительного уменьшения психомоторного возбуждения ребенка. На фоне продолжения терапии ПГ сохранялся достигнутый терапевтический эффект. В последующем девочка была переведена на пероральный приём ПГ (100 мг/сут) с сохранением достигнутой положительной динамики.
В связи с тем, что результаты генетического обследования не были готовы к моменту достижения положительной динамики, купирования гиперкинетического синдрома и завершения госпитализации, ребенок был выписан с диагнозом «дегенеративное заболевание центральной нервной системы» с рекомендациями продолжить пероральный прием ПГ.
В августе–сентябре 2020 г. одновременно в двух лабораториях независимо друг от друга были проведены анализ 587 генов, панель «Наследственные метаболические заболевания» (ФГБНУ «Медико-генетический научный центр имени академика Н.П. Бочкова») и «Большая неврологическая панель» методом массового параллельного секвенирования (лаборатория молекулярной патологии «Геномед»).
В 10 экзоне гена SLC6A3 выявлен вариант нуклеотидной последовательности c.1297G>A, описанный в базе данных HGMD1, приводящий к аминокислотному варианту p.Gly433Arg (chr5:1409937C>T, NM_001044.4) в гомозиготном состоянии. Патогенные варианты в гене SLC6A3 приводят к развитию DTDS с аутосомно-рецессивным типом наследования. Данный вариант c.1297G>A, p.Gly433Arg был подтвержден методом прямого автоматического секвенирования по Сэнгеру у пробанда. Проведена валидация выявленного варианта c.1297G>A, p.Gly433Arg у родителей пробанда: оба родителя являются гетерозиготными носителями. Таким образом, результаты проведенного молекулярно-генетического обследования ребенка и его родителей позволили верифицировать клинический диагноз DTDS.
Катамнестическое наблюдение за девочкой на протяжении 1 мес. продемонстрировало сохранение достигнутого положительного эффекта от проводимой терапии ПГ: в течение дня гиперкинезы практически не возникают, к вечеру появляется их незначительное количество, существенно не ухудшающее качество жизни ребенка (рис. 5).
Рис. 5. Отсутствие гиперкинетического синдрома на фоне терапии ПГ (катамнез 1 мес).
Fig. 5. Absence of hyperkinetic syndrome during PG therapy (1 month catamnesis).
На наш взгляд, эффективность данного лечения может быть связана с увеличением синтеза дофамина, в котором ПГ принимает непосредственное участие (рис. 6).
Рис. 6. Схема синтеза дофамина.
Fig. 6. Scheme for the synthesis of dopamine.
Учитывая, что высокое содержание экстранейронального дофамина, характерное для DTDS, приводит к чрезмерной стимуляции пресинаптических ауторецепторов D2, ингибирует тирозингидроксилазу и, следовательно, снижает синтез дофамина, данное предположение имеет под собой основание. Безусловно, утверждение об эффективности ПГ в лечении данного заболевания является преждевременным и требует дальнейшего изучения и более длительного катамнестического наблюдения за ребенком.
В настоящее время запланирована госпитализация девочки в отделение психоневрологии и психосоматической патологии ФГАУ «НМИЦ здоровья детей» Минздрава России для динамического контроля, оценки состояния ребенка и, при необходимости, коррекции проводимой терапии. В случае ускользания эффекта лечения и нарастания гиперкинетического синдрома будет решен вопрос о назначении лекарственного средства из группы агонистов дофамина.
Об авторах
Л. М. Кузенкова
ФГАУ «Национальный медицинский исследовательский центр здоровья детей» Минздрава России
Email: lolitap@mail.ru
Россия, Москва
Лолита Алиевна Пак
ФГАУ «Национальный медицинский исследовательский центр здоровья детей» Минздрава России; ФГАОУ ВО «Первый МГМУ им. И.М. Сеченова Минздрава России» (Сеченовский университет)
Автор, ответственный за переписку.
Email: lolitap@mail.ru
доктор медицинских наук, руководитель центра редких болезней
Россия, МоскваО. Б. Кондакова
ФГАУ «Национальный медицинский исследовательский центр здоровья детей» Минздрава России
Email: lolitap@mail.ru
Россия, Москва
А. А. Лялина
ФГАУ «Национальный медицинский исследовательский центр здоровья детей» Минздрава России
Email: lolitap@mail.ru
Россия, Москва
П. Г. Цыганкова
ФГБНУ «Медико-генетический научный центр имени академика Н.П. Бочкова»
Email: lolitap@mail.ru
Россия, Москва
И. В. Канивец
Лаборатория молекулярной патологии «Геномед»
Email: lolitap@mail.ru
Россия, Москва
Д. И. Гребенкин
ФГАУ «Национальный медицинский исследовательский центр здоровья детей» Минздрава России
Email: lolitap@mail.ru
Россия, Москва
Н. В. Лапшина
ФГАУ «Национальный медицинский исследовательский центр здоровья детей» Минздрава России
Email: lolitap@mail.ru
Россия, Москва
Список литературы
- Ng J., Zhen J., Meyer E., Erreger K., Li Y., Kakar N., et al. Dopamine transporter deficiency syndrome: phenotypic spectrum from infancy to adulthood. Brain. 2014; 137(Pt. 4): 1107–19. https://doi.org/10.1093/brain/awu022
- Kurian M.A., Gissen P., Smith M., Heales S.J.R., Clayton P.T. The monoamine neurotransmitter disorders: an expanding range of neurological syndromes. Lancet Neurol. 2011; 10(8): 721–33. https://doi.org/10.1016/s1474-4422(11)70141-7
- Kurian M.A., Li Y., Zhen J., Meyer E., Hai N., Christen H.J., et al. Clinical and molecular characterisation of hereditary dopamine transporter deficiency syndrome: an observational cohort and experimental study. Lancet Neurol. 2011; 10(1): 54–62. https://doi.org/10.1016/s1474-4422(10)70269-6
- Kurian M.A., Zhen J., Cheng S.Y., Li Y., Mordekar S.R., Jardine P., et al. Homozygous loss-of-function mutations in the gene encoding the dopamine transporter are associated with infantile parkinsonism-dystonia. J. Clin. Invest. 2009; 119(6): 1595–603. https://doi.org/10.1172/jci39060
- Puffenberger E.G., Jinks R.N., Sougnez C., Cibulskis K., Willert R.A., Achilly N.P., et al. Genetic mapping and exome sequencing identify variants associated with five novel diseases. PLoS One. 2012; 7(1): e28936. https://doi.org/10.1371/journal.pone.0028936
- Brown A.B., Biederman J., Valera E.M., Doyle A.E., Bush G., Spencer T., et al. Effect of dopamine transporter gene (SLC6A3) variation on dorsal anterior cingulate function in attention-deficit/hyperactivity disorder. Am. J. Med. Genet. B Neuropsychiatr. Genet. 2010; 153B(2): 365–75. https://doi.org/10.1002/ajmg.b.31022
- Kuc K., Bielecki M., Pawlukiewicz E., Czerwinski M.B., Cybulska-Klosowicz A. The SLC6A3 gene polymorphism is related to the development of attentional functions but not to ADHD. Sci. Rep. 2020; 10(1): 6176. https://doi.org/10.1038/s41598-020-63296-x
- Ng J., Heales S.J., Kurian MA. Clinical features and pharmacotherapy of childhood monoamine neurotransmitter disorders. Paediatr. Drugs. 2014; 16(4): 275–91. https://doi.org/10.1007/s40272-014-0079-z
- Ng J., Papandreou A., Heales S.J., Kurian M.A. Monoamine neurotransmitter disorders — clinical advances and future perspectives. Nat. Rev. Neurol. 2015; 11(10): 567–84. https://doi.org/10.1038/nrneurol.2015.172
- García-Cazorla A., Ortez C., Pérez-Dueñas B., Serrano M., Pineda M., Campistol J., et al. Hypokinetic-rigid syndrome in children and inborn errors of metabolism. Eur. J. Paediatr. Neurol. 2011; 15(4): 295–302. https://doi.org/10.1016/j.ejpn.2011.04.013
Дополнительные файлы














