Status of epidermal growth factor receptor type 2 (HER2) in dysplasia/intraepithelial neoplasia of the gastric mucosa
- Authors: Keruchenko M.A.1,2, Glatko S.B.3, Shimanskaya A.G.1, Mozgovoy S.I.1, Shvets G.V.3, Podkorytov S.V.3, Kononov A.V.1
-
Affiliations:
- Federal State Budgetary Educational Institution of Higher Education "Omsk State Medical University" of the Ministry of Health of the Russian Federation
- budgetary health care institution of the Omsk Region "Clinical Oncologic Dispensary"
- Budgetary health care institution of the Omsk Region "Clinical Oncologic Dispensary"
- Issue: Vol 1, No 3 (2021)
- Pages: 5-18
- Section: Articles
- URL: https://journals.eco-vector.com/2782-3024/article/view/624084
- ID: 624084
Cite item
Full Text
Abstract
The aim of the study was to investigate the frequency and patterns of HER2 protein expression and HER2 gene amplification, as well as to evaluate the cellular phenotype in severe precancerous changes: from indeterminate epithelial dysplasia to invasive adenocarcinoma. Material and methods: biopsy material of gastric mucosa obtained during endoscopic examination in patients with clinical manifestations of dyspepsia. Histological, immunohistochemical (IHC) studies and silver-enhanced in situ hybridization (SISH) were performed. Results: In the IHC evaluation of HER2 protein, 23% of invasive carcinoma specimens showed high HER2 production, of which 15% corresponded to the "3+" variant and 8% to the "2+" variant. In all cases with high HER2 protein expression, amplification of the HER2 gene was detected as determined by SISH. No amplification of expression with increasing precancerous lesions (from low and high grade intraepithelial dysplasia to adenocarcinoma) was detected. In 81% of dysplasias in all categories, IHC evaluation of HER2 protein revealed non-canonical staining. Based on immunohistochemical evaluation of mucin expression, a gastric phenotype was detected in 25% of dysplasias, an intestinal phenotype in 46%; a mixed phenotype with gastric predominance in 16%, and a mixed phenotype with intestinal predominance in 13% of total cases. No correlation determined using the distribution of the sum of squares of independent standard normal random variables (chi-squared χ2) was found between dysplasia grading groups and the non-canonical HER2 protein expression patterns detected in them, as well as between dysplasia grading groups and the corresponding immunophenotype.
Full Text
Сокращения
HER2 – рецептор эпидермального фактора роста 2 типа
ИГХ – иммуногистохимическое исследование
SISH – усиленная серебром гибридизация in situ
Введение
Рак желудка (РЖ) является агрессивной опухолью, связанной с высоким уровнем смертности - по-прежнему занимает второе место в структуре смертности населения России от злокачественных новообразований (9,5% от всех от злокачественных новообразований по данным МНИОИ им. П.А. Герцена за 2019 год) [2]. Согласно классификации P.A. Lauren [11], два основных подтипа РЖ – кишечный (аденокарцинома) и диффузный существенно различаются по эпидемиологии, патогенезу, морфологии и молекулярным особенностям. Согласно модели P. Correa, РЖ кишечного типа развивается по каскаду поражений, охватывающих хронический поверхностный гастрит, вызванный Helicobacter pylori, хронический атрофический гастрит, кишечную метаплазию, дисплазию и, в конечном счете, инвазивную аденокарциному [5].
Важнейшим компонентом патоморфологического мониторинга риска развития аденокарциномы желудка является оценка этапа, следующего за атрофией слизистой оболочки в каскаде P. Correa, – дисплазии (выраженные предраковые изменения). Желудочная дисплазия (также называемая интраэпителиальной неоплазией) в настоящее время определена как имеющая однозначные неопластические изменения (изменения желудочных желез с наличием 3 вариабельно проявляющихся гистологических признаков: эпителиальная атипия, нарушенная дифференцировка и дезорганизация гистоархитектоники) без достоверных доказательств стромальной инвазии [19]. Исходя из разных комбинаций гистологических изменений, ассоциированных с фенотипом дисплазии, неопластические поражения были сгруппированы по дихотомическому принципу как относящаяся либо к низкой степени, либо к высокой степени раздифференцировки. В тех случаях, когда по гистологическому препарату нельзя однозначно квалифицировать относятся ли обнаруженные изменения к репаративным или уже предопухолевым (опухолевым), их принято называть неопределенной дисплазией [19].
Желудочная дисплазия последовательно показывает прямую корреляцию с риском развития РЖ, является его прямым предшественником: эволюция неопластических очагов имеет только одно направление – в инвазивную карциному [19].
Хотя «каскад» фенотипических изменений, ведущих от неизмененного эпителия к инвазивному раку, был подробно описан, молекулярные события, лежащие в основе неопластической трансформации, по-прежнему являются предметом большого интереса и глубокого детального изучения.
Экспрессия белка HER2 и амплификация гена HER2 происходят преимущественно в раке желудка кишечного типа - аденокарциноме (по классификации Lauren) [10, 20]. По данным некоторых исследований амплификация гена HER2 может происходить не только при запущенных прогрессирующих формах рака желудка, но и при раннем неинвазивном раке желудка [8, 9]. Таким образом, амплификация гена HER2 может являться скрытой мутацией и возникать на ранних этапах канцерогенеза. Однако информация об избыточной экспрессии белка HER2 или амплификации гена HER2 на этапе выраженных предраковых изменений, участвующих в опухолевой трансформации слизистой оболочки желудка, представлена крайне скудно.
Наиболее полное и интересное исследование представлено в работе, выполненной в лаборатории M. Rugge [6], где в результате оценки экспрессии белка и амплификации гена HER2 в образцах желудка, полученных при эндоскопической биопсии (неизмененная слизистая, метаплазия, дисплазия низкой и высокой степени, аденокарцинома) сформировалась следующая тенденция: интенсивность экспрессии нарастала от дисплазии низкой степени к высокой, и никогда не встречалась в интактной слизистой оболочке или в участках кишечной метаплазии.
Установленная тенденция хороша для объяснения общих биологических закономерностей канцерогенеза, но в конкретной диагностической работе, когда речь идет о персонифицированном подходе, значительный разброс экспрессии рецепторов при дисплазии низкой и высокой степени, является препятствием для их использования с позиции прогноза скорости развития инвазии, и применяется исключительно при метастазирующем раке желудка с целью уточнения его метастатического потенциала. Однако в сегодняшней патоморфологической практике никто не пытается оценивать степень опухолевой прогрессии по количеству белка на стадиях интраэпителиальных неоплазий/ дисплазий.
Цель: изучить частоту и закономерности экспрессии белка HER2 и амплификации гена HER2, а также оценить фенотип на всем спектре морфологических изменений, участвующих в канцерогенезе рака желудка кишечного типа от неопределенной дисплазии до инвазивной аденокарциномы.
Материал и методы
Подбор диагностических случаев и изготовление гистологических препаратов
В совокупности в исследование было включено 80 образцов слизистой оболочки желудка - биопсийный материал, полученный в результате проведения пациентам с наличием диспептических жалоб фиброгастродуоденоскопии (ФГДС) в различных клиниках г. Омска между 2016 и 2019 годами, и исследуемый в Академическом центре патологической анатомии, являющимся структурным подразделением Омского государственного медицинского университета с соблюдением этических норм. Исследуемые образцы отражали основные состояния, предложенные международной Венской классификацией [17], и включали: 35 биопсий неопределенной неоплазии (гиперпролиферативная кишечная метаплазия), (категория 2 по Венской классификации); 9 случаев интраэпителиальной неоплазии низкой степени; (категория 3 по Венской классификации); 9 случаев интраэпителиальной неоплазии высокой степени (категория 4.1 по Венской классификации); 5 случаев, подозрительных в отношении карциномы с инвазией (категория 4.3 по Венской классификации); 2 случая интрамукозальной инвазивной карциномы (категория 4.4 по Венской классификации); и 13 случаев субмукозальной инвазивной карциномы (категория 5 по Венской классификации), Образцы биопсии нормальной слизистой оболочки антрального отдела желудка (7 случаев), полученные у пациентов с диспепсией, использовали в качестве нормальных контролей (категория 1 по Венской классификации).
Все фрагменты фиксировали в нейтральном забуференном формалине в течение 24-48 часов, отправляли в рутинную проводку и помещали в парафиновый блок. Серийные срезы ткани толщиной 3 мкм для гистологического исследования окрашивали гематоксилином и эозином; срезы толщиной 4 мкм использовали для иммуногистохимического исследования (ИГХ).
Иммуногистохимия
Демаскировку антигена проводили в цитратном буфере (рН=6,0) при кипячении на водяной бане в течение 1 часа. В качестве первичных антител использовали мышиные и кроличьи моноклональные антитела (против HER2 (клон 4B5), против MUC5AC (клон CLH2), против MUC6 (клон CLH5), против MUC2 (клон Ccp58) в разведении 1:100). Биотилинированные антитела второго слоя и стрептавидин, меченный пероксидазой входили в систему визуализации KP-500 (“DiagnosticBiosystems”, США). В качестве хромогена использовался 3,3-диаминобензидина тетрахлорид, входящий в коммерческий указанный выше набор детекции. Ядра клеток докрашивали гематоксилином Майера в течении 30 секунд – 2 минут.
Согласно ИГХ шкале оценки HER2 - статуса [1] 0 балл присуждался в случае полного отсутствия окрашивания или мембранной метки более чем в 10% опухолевых клеток. ИГХ балл 1+ соответствовал слабой или едва обнаруживаемой исключительно мембранной метке, обнаруживаемой более чем 10% опухолевых клетках. ИГХ балл 2+ оценивался в случае обнаружения слабой полной или базолатеральной мембранной метки более чем в 10% опухолевых клеток. ИГХ балл 3+ присваивался в случае обнаружения от умеренной до сильной полной или базолатеральной мембранной метки более чем в 10% опухолевых клеток. Позитивным HER2-статус считается при ИГХ оценке 3+ или 2+, подтвержденной дополнительным положительным результатом SISH. Внутриопухолевая гетерогенность HER2 была определена в тех образцах, где 10 - 60% опухолевых клеток демонстрировали положительный HER2-статус. Гетерогенными HER2-опухолями считали смешанные опухоли, в которых присутствовали HER2-негативные опухолевые клетки, независимо от процента HER2-позитивных опухолевых клеток. Гомогенными HER2-опухолями считали случаи, в которых все опухолевые клетки были HER2-позитивны.
Степень позитивности для MUC2, MUC5AC, MUC6 оценивали в соответствии с процентом окрашенных неопластических клеток: 0 - нет или практически нет (до5%) положительных клеток; 1 – низкое количество положительных клеток (5–30%); 2 - хорошо определенные области положительных клеток (30–60%); 3 - обширные области положительных клеток (60%). В соответствии с суммами баллов желудочных маркеров (MUC5AC и MUC6) и кишечного маркера (MUC2) каждый случай фенотипически классифицировали как полный кишечный фенотип, смешанный (с преобладанием кишечного и с преобладанием желудочного) фенотип или полный желудочный фенотип.
Усиленная серебром гибридизация in situ (SISH)
С парафиновых блоков, исследуемых образцов методом тканевых матриц (tissue microarray) было изготовлено 2 мультиблока, с которых выполнили срезы толщиной 5 мкм. Автоматическое окрашивание проводили с использованием системы INFORM FISH HER2 (Ventana Medical Systems). По протоколу исследования была проведена расширенная предварительная обработка цитратным буфером Cell Conditioning 2 (Ventana Medical Systems), pH 6,0, с последующей обработкой ISH-протеазой 3 в течение 12 минут, а затем инкубация с меченными динитрофенилом ДНК-зондами в течение 6 часов. Осаждение серебра в копиях HER2 приводит к появлению единичных черных точек в ядрах; одиночные копии хромосомы CEP17 визуализируются красными точками. Срезы дополнительно контрастировали гематоксилином. Образец с заведомо известной амплификацией HER2 (один случай рака молочной железы) был использован в качестве положительного контроля.
Соотношение HER2 / CEP17 определялся путем подсчета сигналов HER2 и сигналов CEP17 более чем в 40 ядрах для каждого среза ткани. Амплификация гена HER2 была определена как отношение HER2 / CEP17 выше 2,2. Отсутствие амплификации гена HER2 было определено как отношение HER2 / CEP17 менее 1,8. Когда отношение HER2 / CEP17 находилось между 1,8 и 2,2, подсчитывались сигналы еще в 20 ядрах, и отношения HER2 / CEP17, равные 2,0 или выше, определялись, как позитивная амплификация гена HER2.
Статистический анализ
Различия и корреляции между группами были протестированы с помощью распределения суммы квадратов независимых стандартных нормальных случайных величин (хи-квадра́т - χ2). Значения P <0,05 считались статистически значимыми.
Результаты и обсуждение
Иммуногистохимия
Избыточная экспрессия HER2 (2+ и 3+) с наличием мембранной или базолатеральной иммуногистохимической метки обнаружилась в 3 случаях 5 категории - субмукозальной инвазивной карциномы. Внутриопухолевая гетерогенность была обнаружена во всех 3 положительных случаях субмукозальной инвазивной карциномы. В одном случае, подозрительном в отношении инвазивной карциномы, отмечалась 1+ -экспрессия HER2 (рисунок 1). В остальных случаях отмечалось полное отсутствие экспрессии (таблица 1).
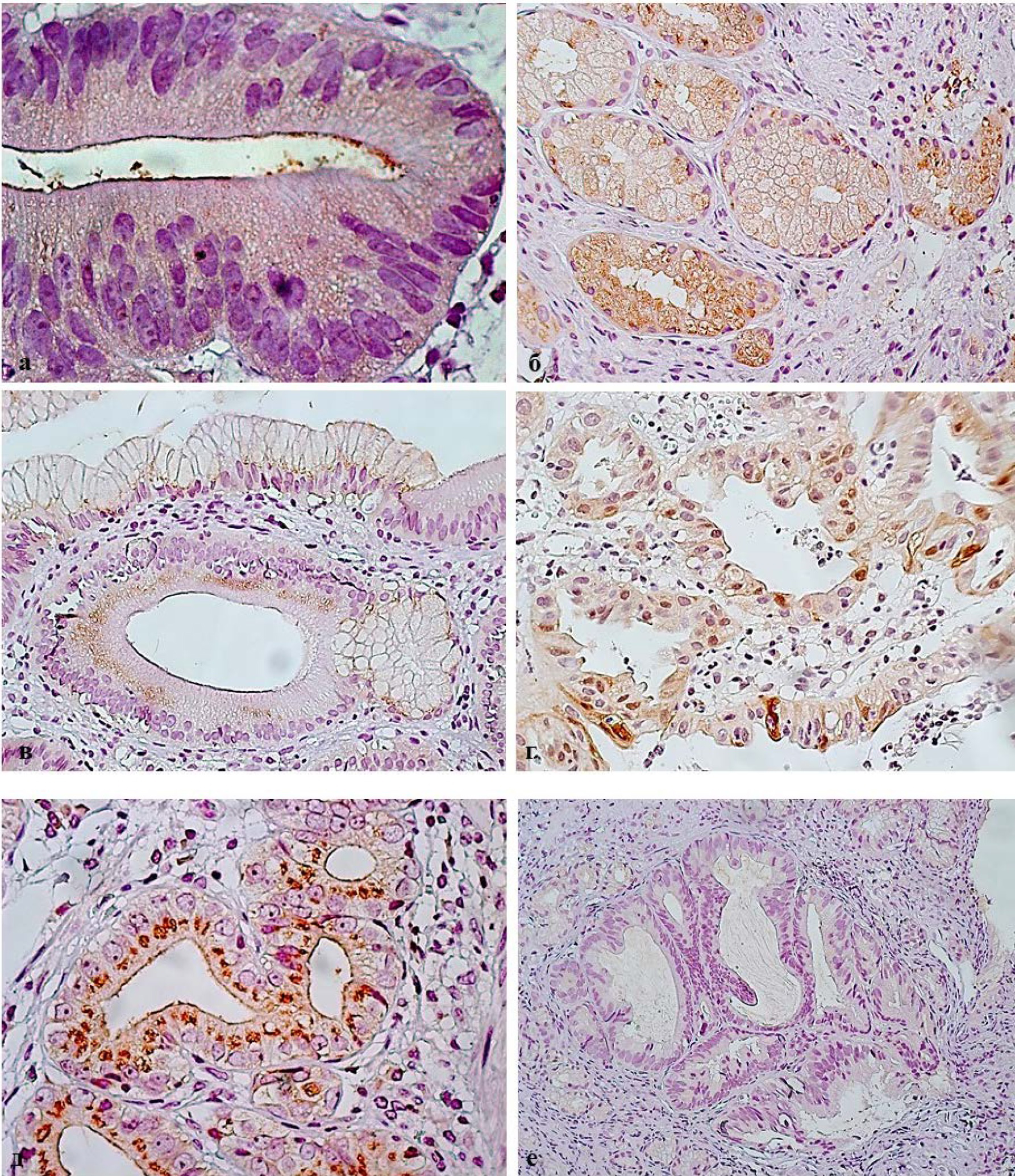
Рис. 1. ИГХ-экспрессия HER2: инвазивная карцинома, 3+ (а – биоптат слизистой оболоч-ки желудка, х10; б - биоптат слизистой оболочки желудка, х20, в – биоптат слизистой оболочки желудка, х10); дисплазия высокой степени, подозрительная в отношении инва-зивной карциномы, очаговая экспрессия 1+ (г – биоптат слизистой оболочки желудка, х40)
Таблица 1. Экспрессия HER2, исследуемая в категориях интраэпителиальной неоплазии желудка
Категории интраэпителиальной неоплазии | ГЭ | ИГХ шкала оценки HER2 – статуса | Амплификация гена HER2 (SISH) | ||||
0 | 1+ | 2+ | 3+ | ||||
Абсолютное количество случаев /% от общего числа | |||||||
1 | Неоплазии нет | 7/ 9% | 7/ 100% | 0/ 0% | 0/ 0% | 0/ 0% | 0/ 0% |
2 | Неопределенная неоплазия | 35/ 44% | 35/ 100% | 0/ 0% | 0/ 0% | 0/ 0% | 0/ 0% |
3 | Интраэпителиальная неоплазия низкой степени | 9/ 11% | 9/ 100% | 0/ 0% | 0/ 0% | 0/ 0% | 0/ 0% |
4.1 | Интраэпителиальная неоплазия высокой степени | 9/ 11% | 9/ 100% | 0/ 0% | 0/ 0% | 0/ 0% | 0/ 0% |
4.3 | Подозрение в отношении инвазивной карциномы | 5/ 6% | 4/ 80% | 1/ 20% | 0/ 0% | 0/ 0% | 0/ 0% |
4.4 | Интрамукозальная карцинома | 2/ 3% | 2/ 100% | 0/ 0% | 0/ 0% | 0/ 0% | 0/ 0% |
5 | Субмукозальная карцинома | 13/ 16% | 10/ 77% | 0/ 0% | 1/ 8% | 2/ 15% | 3/ 23% |
Всего | 80/ 100% | 76/ 95% | 1/ 1% | 1/ 1% | 2/ 3% | 3/ 4% | |
Однако в 65 случаях (81% от общего числа) обнаружилось, описываемое ранее [6] и интерпретируемое, как фоновое окрашивание HER2-статуса, распределение по категориям отражено в таблице 2.
Таблица 2. ИГХ-паттерны HER2-статуса интраэпителиальных неоплазий желудка
Категории интраэпителиальной неоплазии | Количество случаев/ % от общего числа | |||||||
ГЭ | Характеристика ИГХ-метки HER2 (паттерна) | |||||||
Мембранная | Базолатеральная | Апикальная | Цитоплазматическая | «Полоска» | Ядерная | |||
1 | Неоплазии нет | 7/ 9% | 0/ 0% | 0/ 0% | 0/ 0% | 1/ 14% | 0/ 0% | 0/ 0% |
2 | Неопределенная неоплазия | 35/ 44% | 0/ 0% | 0/ 0% | 5/ 14% | 9/ 26% | 2/ 6% | 1/ 3% |
3 | Интраэпителиальная неоплазия низкой степени | 9/ 11% | 0/ 0% | 0/ 0% | 2/ 22% | 8/ 89% | 4/ 44% | 2/ 22% |
4.1 | Интраэпителиальная неоплазия высокой степени | 9/ 11% | 0/ 0% | 0/ 0% | 2/ 22% | 7/ 78% | 2/ 22% | 1/ 11% |
4.3 | Подозрение в отношении инвазивной карциномы | 5/ 6% | 1/ 20% | 1/ 20% | 3/ 60% | 2/ 40% | 0/ 0% | 0/ 0% |
4.4 | Интрамукозальная карцинома | 2/ 3% | 0/ 0% | 0/ 0% | 0/ 0% | 0/ 0% | 0/ 0% | 0/ 0% |
5 | Субмукозальная карцинома | 13/ 16% | 3/ 23% | 3/ 23% | 2/ 15% | 3/ 23% | 0/ 0% | 1/ 7% |
Всего | 80/ 100% | 4/ 5% | 4/ 5% | 14/ 18% | 30/ 38% | 8/ 10% | 5/ 6% | |
65/81% | ||||||||
Отмечалось наличие следующих вариантов окрашивания (и их сочетания) различной степени выраженности (от слабой до выраженной, от очаговой до диффузной), обозначенных далее, как паттерны (рисунок 2):
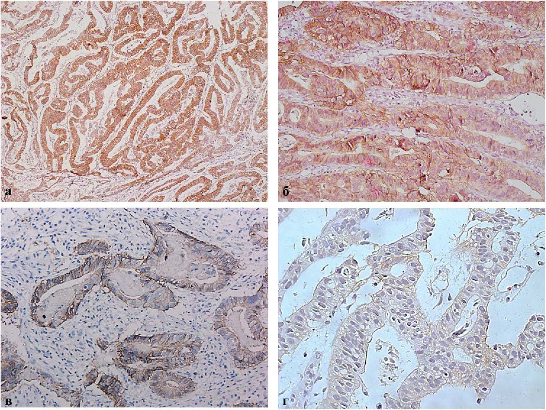
Рис. 2. ИГХ-паттерны экспрессии белка HER2 (а – интрамукозальная карцинома, х100, апикальная метка; б – дисплазия высокой степени, х40, цитоплазматическая метка; в – дисплазия низкой степени, х40, очаговое цитоплазматическое окрашивание в виде «полоски»; г – неопределенная дисплазия, х40, слабая очаговая ядерная метка; д - диспла-зия высокой степени, х63, очаговое цитоплазматическое окрашивание в виде «полоски» в сочетании с апикальной меткой; е - дисплазия высокой степени, х20, отсутствие окрашивания в очаге дисплазии)
- апикальная метка (частичное мембранное окрашивание апикального края клетки),
- цитоплазматическое (диффузное окрашивание цитоплазмы клетки),
- в виде «полоски» (очаговое цитоплазматическое окрашивание клетки, образующая в контуре железы полоску),
- ядерное (окрашивание ядра клетки).
На основании оценки экспрессии муцинов желудочный фенотип был обнаружен в 15 случаях (25% от общего количества), из них неопределенная дисплазия составила 66%, дисплазия низкой степени – 13%, дисплазия высокой степени (в т.ч. с подозрением в отношении аденокарциномы), а также аденокарцинома – по 7%. Кишечный фенотип был обнаружен в 28 случаях (46% от общего количества), из них неопределенная дисплазия составила 64%, дисплазия низкой степени – 11%, дисплазия высокой степени (в т.ч. с подозрением в отношении аденокарциномы) – по 7%, аденокарцинома – 11%. Смешанный фенотип (с преобладанием желудочного) был обнаружен в 10 случаях (16% от общего количества), из них неопределенная дисплазия составила 40%, дисплазия низкой степени – 20%, дисплазия высокой степени (в т.ч. с подозрением в отношении аденокарциномы) – по 10%, аденокарцинома – 20%. Смешанный фенотип (с преобладанием кишечного) был обнаружен в 8 случаях (13% от общего количества), из них неопределенная дисплазия составила 37%, дисплазия низкой степени – 24%, дисплазия высокой степени (в т.ч. с подозрением в отношении аденокарциномы), а также аденокарцинома – по 13% (таблица 3).
Таблица 3. Иммунофенотип интраэпителиальных неоплазий желудка
Категории интраэпителиальной неоплазии | Количество случаев/ процент от общего числа | ||||
Иммунофенотип | ГЭ | ||||
желудочный | кишечный | смешанный | |||
с преобладанием желудочного | с преобладанием кишечного | ||||
Неопределенная неоплазия | 18/ 64% | 10/66% | 3/37% | 4/40% | 35/ 57% |
Интраэпителиальная неоплазия низкой степени | 3/11% | 2/13% | 2/24% | 2/20% | 9/ 15% |
Интраэпителиальная неоплазия высокой степени | 2/7% | 1/7% | 1/13% | 1/10% | 5/ 8% |
Подозрение в отношении инвазивной карциномы | 2/7% | 1/7% | 1/13% | 1/10% | 5/ 8% |
Карцинома | 3/11% | 1/7% | 1/13% | 2/20% | 7/ 11% |
Всего | 28/46% | 15/25% | 8/13% | 10/16% | 61/ 100% |
Амплификация гена HER2
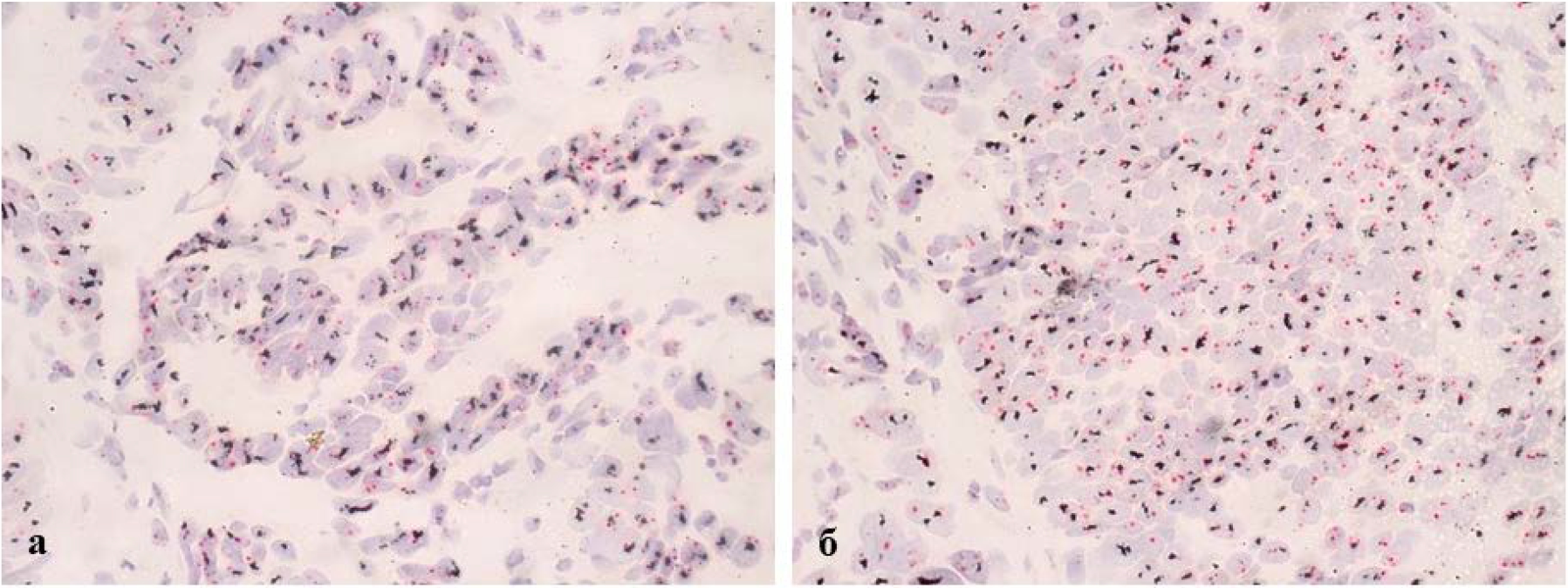
Амплификация гена HER2, определяемое с помощью SISH, наблюдалось во всех случаях, оцененных как 2+ и 3+ в результате проведенного ИГХ-исследования (рисунок 3). Во всех остальных образцах не наблюдалось сигнала HER2.
Рис. 3. а, б - HER2 и Chr17 в карциноме слизистой оболочки желудка, х63; амплификация HER2 (множественные одиночные копии)
Статистический анализ
При оценке различий и корреляции между группами дисплазий по степени градации и обнаруженных в них неканонических паттернов экспрессии белка HER2 с помощью распределения суммы квадратов независимых стандартных нормальных случайных величин (хи-квадра́т- χ2) сила связи оказалась от слабой до незначительной. Значения P>0,05 оказались статистически незначимыми (таблица 4).
Таблица 4. Критерии оценки силы связи между группами дисплазий по степени градации и обнаруженных в них неканонических паттернов экспрессии белка HER2
Категории сравнения | Неканонический паттерн | Значение критериев | ||||||
обнаружен | отсутствует | критерий хи-квадрат | точный критерий Фишера (двусторонний) | уровень значимости | минимальное значение ожидаемого явления | сила связи | ||
1 | дисплазия низкой степени | 9 | 2 | 0.007 | 1.00000 | p>0,05 | 0.94 | несущественная |
дисплазии нет | 4 | 1 | ||||||
2 | дисплазия низкой степени | 9 | 2 | 0.113 | 1.00000 | p>0,05 | 2.36 | несущественная |
неопределенная дисплазия | 13 | 4 | ||||||
3 | дисплазия низкой степени | 9 | 2 | 0.257 | 0.67391 | p>0,05 | 2.54 | слабая |
дисплазия высокой степени | 11 | 4 | ||||||
4 | дисплазия высокой степени | 11 | 4 | 0.089 | 1.00000 | p>0,05 | 1.25 | несущественная |
дисплазии нет | 4 | 1 | ||||||
5 | дисплазия высокой степени | 11 | 4 | 0.042 | 1.00000 | p>0,05 | 3.75 | несущественная |
неопределенная дисплазия | 13 | 4 | ||||||
6 | дисплазия высокой степени | 11 | 4 | 0.490 | 0.66682 | p>0,05 | 3.20 | слабая |
карцинома | 6 | 4 | ||||||
При оценке различий и корреляции между группами дисплазий по степени градации и соответствующего иммунофенотипа связь между факторным и результативным признаками также оказалась статистически не значима, уровень значимости P>0,05. Число степеней свободы равно 12. Значение критерия χ2 составляет 4.181. Критическое значение χ2 при уровне значимости P>0,05 составляет 21.026.
Заключение
При иммуногистохимической оценке белка HER2 в 23% образцов инвазивных карцином определялась высокая степень выработки HER2, из них 15% соответствовало варианту «3+/позитивный», что выражалось в виде сильного (выраженного полного мембранного и базолатерального) окрашивания более чем в 10% опухолевых клеток и 8% - варианту «2+», что выражалось в виде слабой (полной мембранной и базолатеральной) метки более чем в 10% опухолевых клеток. Во всех случаях с высокой экспрессией белка HER2 была выявлена амплификация гена HER2, определяемая с помощью SISH.
Отсутствие нарастания экспрессии с нарастанием градации предраковых поражений (от дисплазии низкой и высокой степени до аденокарциномы), вероятно, можно объяснить наличием множества молекулярно-биологических событий, которые лежат в основе канцерогенеза. Например, согласно классификации рака желудка на основе мРНК и белкового профиля [16] молекулярный патогенез лишь части опухолей желудка связан с повышенной экспрессией HER2 и аберрантной экспрессией P53. В раке желудка с аббератной экспрессией р53, потенциальной мишенью может быть блокада рецепторов тирозинкиназ (т.е. к HER2, EGFR, VEGFR, C-Met, fibroblast growth factor receptor 2, и медиаторов клеточного цикла (CCNE1, CCND1 и CDK6)), экспрессия которых усилена в этом типе. При мутациях в TP53 отмечается тенденция к увеличению HER2; тем не менее, в общем, экспрессия HER2 отмечается нечасто.
В 81% случаев дисплазий во всех категориях при иммуногистохимической оценке белка HER2 обнаружилось неканоническое (цитоплазматическое, апикальное, ядерное), но не мембранное окрашивание, что представляет собой отрицательный результат и соответствует варианту «0/отрицательный». При оценке различий и корреляции между группами дисплазий по степени градации и обнаруженных в них неканонических паттернов экспрессии белка HER2 с помощью распределения суммы квадратов независимых стандартных нормальных случайных величин (хи-квадра́т- χ2) ассоциации между ними не обнаружено.
На основании иммуногистохимической оценки экспрессии муцинов желудочный фенотип был обнаружен в 25% случаев дисплазий, кишечный фенотип – в 46%; смешанный фенотип с преобладанием желудочного в 16%, а смешанный фенотип с преобладанием кишечного в 13% от общего количества случаев. При оценке различий и корреляции между группами дисплазий по степени градации и соответствующего иммунофенотипа связь между факторным и результативным признаками также оказалась статистически не значима.
Таким образом, экспрессия белка HER2 не может являться альтернативным маркером в дифференциальной диагностике: неопределенная дисплазия/ дисплазия низкой, высокой степени градации. Однако, высокий уровень экспрессии HER2, подтвержденный гибридизацией in situ, даже неожиданно обнаруженный в диспластическом эпителии, может обоснованно отражать подозрение в отношении состоявшейся аденокарциномы. Что, безусловно требует выполнения дополнительных гистологических срезов для поиска стромальной инвазии. Следует констатировать, что оценка гистологических признаков эпителиальной дисплазии по-прежнему остается основным методом диагностики (дифференциальной диагностики) выраженных предраковых изменений слизистой оболочки желудка.
About the authors
M. A. Keruchenko
Federal State Budgetary Educational Institution of Higher Education "Omsk State Medical University" of the Ministry of Health of the Russian Federation; budgetary health care institution of the Omsk Region "Clinical Oncologic Dispensary"
Author for correspondence.
Email: mariya_keruchenk@mail.ru
ассистент кафедры патологической анатомии
Russian Federation, Omsk; OmskS. B. Glatko
Budgetary health care institution of the Omsk Region "Clinical Oncologic Dispensary"
Email: mariya_keruchenk@mail.ru
Russian Federation, Omsk
A. G. Shimanskaya
Federal State Budgetary Educational Institution of Higher Education "Omsk State Medical University" of the Ministry of Health of the Russian Federation
Email: mariya_keruchenk@mail.ru
Russian Federation, Omsk
S. I. Mozgovoy
Federal State Budgetary Educational Institution of Higher Education "Omsk State Medical University" of the Ministry of Health of the Russian Federation
Email: mariya_keruchenk@mail.ru
Russian Federation, Omsk
G. V. Shvets
Budgetary health care institution of the Omsk Region "Clinical Oncologic Dispensary"
Email: mariya_keruchenk@mail.ru
Russian Federation, Omsk
S. V. Podkorytov
Budgetary health care institution of the Omsk Region "Clinical Oncologic Dispensary"
Email: mariya_keruchenk@mail.ru
Russian Federation, Omsk
A. V. Kononov
Federal State Budgetary Educational Institution of Higher Education "Omsk State Medical University" of the Ministry of Health of the Russian Federation
Email: mariya_keruchenk@mail.ru
Russian Federation, Omsk
References
- Rukovodstvo po interpretatsii HER2-statusa raka molochnoy zhelezyi i zheludka immunogisto-himicheskim metodom s ispolzovaniem krolichih monoklonalnyih antitel VENTANA HER2 (4B5). Perev. s angl pod red. Franka G. A, Zavalishinoy L. E. M.: Roche; 2011. Russian. (Руководство по интерпретации HER2-статуса рака молочной железы и желудка иммуногистохимическим методом с использованием кроличьих моноклональных антител VENTANA HER2 (4B5). Перев. с англ под ред. Франка Г. А, Завалишиной Л. Э. M.: Roche; 2011.)
- Sostoyanie onkologicheskoj pomoshchi naseleniyu Rossii v 2019 godu / Pod red. A.D. Kaprina, V.V. Starinskogo, A.O. SHahzadovoj. – M.: MNIOI im. P.A. Gercena filial FGBU «NMIC radiologii» Minzdrava Rossii. - 2020. – 239s. Russian. (Состояние онкологической помощи населению России в 2019 году / Под ред. А.Д. Каприна, В.В. Старинского, А.О. Шахзадовой. – М.: МНИОИ им. П.А. Герцена филиал ФГБУ «НМИЦ радиологии» Минздрава России. - 2020. – 239 с.)
- Abraham S.C., Montgomery E.A., Singh V.K. et al. Gastric adenomas: intestinal-type and gastric-type adenomas differ in the risk of adenocarcinoma and presence of background mucosal pathology. Am J Surg Pathol. 2002; 26(10):1276-1285. doi: 10.1097/00000478-200210000-00004
- Bang Y.J., Van Cutsem E, Feyereislova A, et al. ToGA Trial Investigators. Trastuzumab in combination with chemotherapy versus chemotherapy alone for treatment of HER2-positive advanced gastric or gastroesophageal junction cancer (To-GA): a phase 3, open-label, randomised controlled trial. Lancet. 2010; 376(9742):687–697. doi: 10.1016/S0140-6736(10)61121-X
- Correa P. A human model of gastric cancerogenesis. Cancer Res. 1988; 48(13): 3554–3560.
- Fassan M, Mastracci L, Grillo F et al. Early HER2 dysregulation in gastric and oesophageal carcino-genesis. Histopathology. 2012; 61(5): 769–776. doi: 10.1111/j.1365-2559.2012.04272.x
- Garcia-Garcia E, Gomez-Martin C, Angulo B et al. Hybridization for human epidermal growth factor receptor 2 testing in gastric carcinoma: a comparison of fluorescence in-situ hybridization with a novel fully automated dual-coloursilver in-situ-hybridization method. Histopathology.2011; 59(1): 8–17. doi: 10.1111/j.1365-2559.2011.03894.x
- Kanayama K, Imai H, Usugi E et al. Association of HER2 gene amplification and tumor progression in early gastric cancer. Virchows Arch. 2018; 473(5): 559-565. doi: 10.1007/s00428-018-2433-y
- Kanayama K, Imai H, Yoneda M et al. Significant intratumoral heterogeneity of human epidermal growth factor receptor 2 status in gastric cancer: a comparative study of immunohistochemistry, FISH, and dual-color in situ hybridization. Cancer Sci. 2016; 107(4):536–542. doi: 10.1111/cas.12886
- Kataoka Y, Okabe H, Yoshizawa A et al. HER2 expression and its clinicopathological features in resectable gastric cancer. Gastric Cancer.2013; 16(1):84–93. doi: 10.1007/s10120-012-0150-9
- Lauren P. The two histological main types of gastric carcinoma: diffuse and so-called intestinal-type carcinoma. An attempt at a histoclinical classification. Acta Pathol Microbiol Scand. 1965; 64: 31-49. doi: 10.1111/apm.1965.64.1.31
- Lee S, de Boer W.B., Fermoyle S et al. Human epidermal growth factor receptor 2 testing in gastric carcinoma: issues related to heterogeneity in biopsies and resections. Histopathology.2011; 59(5):832–840. doi: 10.1111/j.1365-2559.2011.04017.x
- Nishimura R, Mukaisho K, Yamamoto H. et al. Precursor-derived versus de-novo carcinogenesis depends on lineage-specific mucin phenotypes of intramucosal gland-forming gastric neoplasms. His-topathology. 2013; 63(5): 616-629. doi: 10.1111/his.12208
- Park Y.S., Hwang H.S., Park H.J. et al. Comprehensive analysis of HER2 expression and gene amplification in gastric cancers using immunohisto-chemistry and in situ hybridization: which scoring system should we use? Hum. Pathol. 2012; 43(3): 413–422. doi: 10.1016/j.humpath.2011.05/019
- Sawaki A, Ohashi Y, Omuro Y et al. Efficacy of trastuzumab in Japanese patients with HER2-positive advanced gastric or gastroesophageal junction cancer: a subgroup analysis of the Trastuzumab for Gastric Cancer (ToGA) study. Gastric Cancer. 2012; 15(3):313–322. doi: 10.1007/s10120-011-0118-1
- Setia N, Agoston A.T., Han H.S. et al. A protein and mRNA expression-based classification of gastric cancer. Mod. Pathol. 2016;29(7):772-784. doi: 10.1038/modpathol.2016.55
- Stolte M. The new Vienna classification of the gastrointestinal tract: advantages and disadvantages. Virchows Arch. 2003; 442(2): 99-106. doi: 10.1007/s00428-002-0680-3
- Valente P, Garrido M, Gullo I, Baldaia H, Marques M, Baldaque-Silva F, Lopes J, Carneiro F. Epithelial dysplasia of the stomach with gastric immunophenotype shows features of biological aggressiveness. Gastric Cancer. 2015; 18(4): 780–788. doi: 10.1007/s10120-014-0416-5
- WHO Classification of tumours. Digestive system tumours/ WHO// IARC. – 2019. – 5th ed. – Vol.1. – 635p.
- Yoshida H, Yamamoto N, Taniguchi H et al. Comparison of HER2 status between surgically resected specimens and matched biopsy specimens of gastric intestinal-type adenocarcinoma. Virchows Arch. 2014;465(2):145–154. doi: 10.1007/s00428-014-1597-3
Supplementary files






