MRI evaluation of the neoadjuvant chemoradiation therapy result in a patient with rectal cancer, supplemented with T2-WI texture analysis of the tumor: a clinical case
- Authors: Dayneko Y.A.1, Berezovskaya T.P.1, Myalina S.A.1, Orekhov I.A.1, Nevolskikh A.A.1
-
Affiliations:
- А. Tsyb Medical Radiological Research Centre – branch of the National Medical Research Radiological Centre
- Issue: Vol 2, No 1 (2021)
- Pages: 67-74
- Section: Case reports
- Submitted: 10.02.2021
- Accepted: 03.03.2021
- Published: 30.04.2021
- URL: https://jdigitaldiagnostics.com/DD/article/view/60493
- DOI: https://doi.org/10.17816/DD60493
- ID: 60493
Cite item
Abstract
The article presents a clinical case of using the active follow-up strategy (the so-called watch & wait) in a 73-year-old patient with cancer of the lower rectum with a good response to neoadjuvant chemoradiation therapy (NCRT). After 3 years of regular follow-up, including digital rectal examination, rectoscopy and MRI, indicating the absence of tumor progression, PET/ CT with 18F-FDG was obtained, which revealed a region of hypermetabolic activity in the lower rectum (SUVmax 27.1), in connection with which it was decided to carry out surgical treatment. When discussing the issue of the volume of the operation, MRI data were taken into account, supplemented by the results of T2-weighted texture analysis, which confirmed the absence of progression. The patient underwent organ-preserving treatment in the amount of transanal tumor resection. Pathomorphological examination after surgery established the inflammatory changes in the intestinal wall and absence of tumor. This case demonstrates the effectiveness of the standard examination volume when using the watch & wait strategy and the possibility of using T2-WI texture analysis to increase the reliability of MRI assessment of tumor response to chemotherapy.
Full Text
BACKGROUND
The current standard of treatment for rectal lower ampullary cancer is the combination of neoadjuvant chemoradiation therapy (NHRT) and surgery [1]. Some patients with a complete or almost complete response to NHRT no longer need an aggressive surgical treatment; instead, they undergo moderate techniques, such as transanal endoscopic microsurgery. Others may even completely refuse surgery in favor of an active monitoring (i.e., watch and wait) strategy, which includes regular digital rectal examination, rectoscopy, and magnetic resonance imaging (MRI). However, in the case of obtaining conflicting clinical and diagnostic data during follow-up, additional criteria are required, thereby increasing the reliability of diagnostics. Such criteria can be established via the radiomic analysis of diagnostic images; consequently, the structural heterogeneity of a tumor tissue and its changes as a result of treatment can be described using quantitative indicators obtained through the computer processing of medical images [2].
CLINICAL CASE
In the clinic of the A.F. Tsyba National Medical Research Radiological Center (Obninsk), a 73-year-old patient was followed up, diagnosed with C20 rectal cancer in accordance with ICD-10, cT3N0M0, and received NHRT (total focal dose of 50 Gy + capecitabine) and four cycles of consolidating polychemotherapy in accordance with the FOLFOX61 scheme. The pre-MRI treatment is presented in Fig. 1. At the end of neoadjuvant treatment, the set of control examination data (i.e., the MRI of the small pelvis, the endoscopic presentation of the tumor, and the results of digital rectal examination) indicated that the patient had a complete clinical response. A case follow-up was prescribed to and agreed upon by the patient.
Fig. 1. Magnetic resonance imaging of the tumor of the lower rectal ampulla before treatment, mrT3a: a ― T2-WI; b ― diffusion-weighted image. The tumor is encircled.
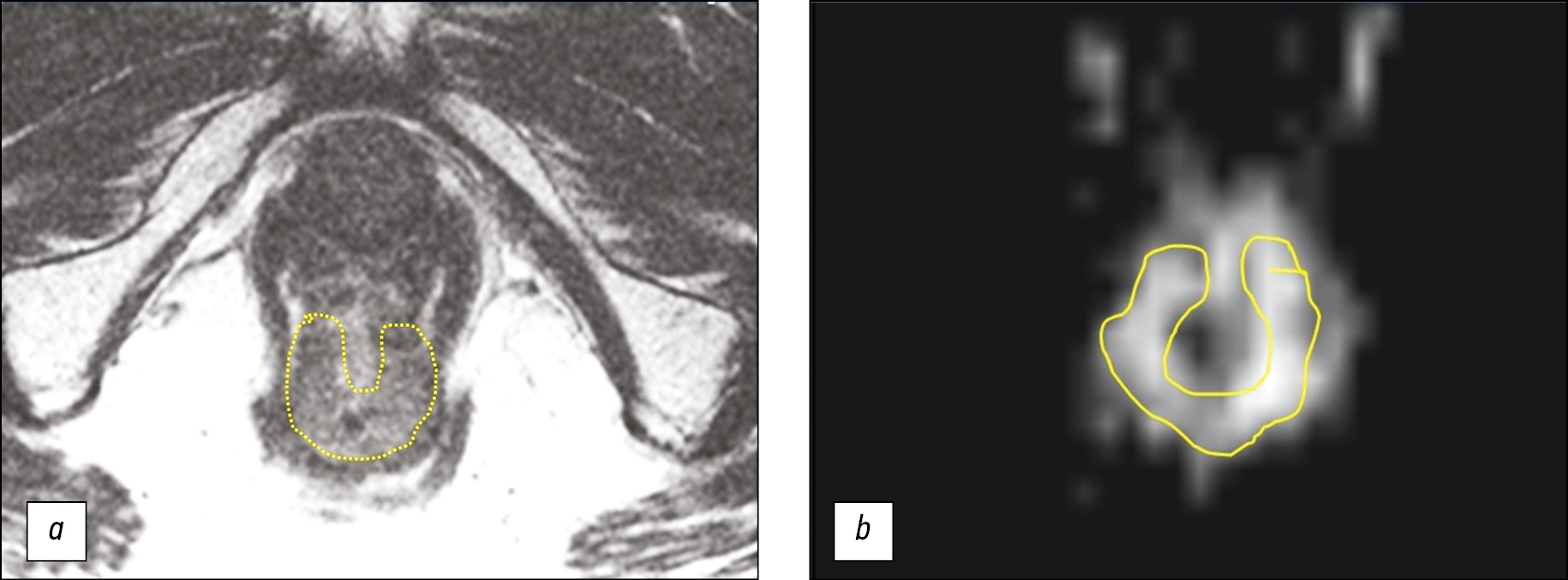
MRI was performed eight times throughout the 3-year follow-up, and the baseline MR image was obtained 1 month after the end of NHRT. This image was characterized by the replacement of the tumor located along the posterior semicircle of the rectum at a distance of 4 cm from the anal edge with a 1.5 cm-long thin fibrous scar that had no signs of diffusion limitation but had an increase in the initial coefficient (apparent diffusion coefficient, ADC) of up to 1.66 × 10−3 mm2/s. No suspicious lymph nodes were found in the mesorectum and near the pelvic walls. Therefore, the MR image corresponded to the tumor of the lower ampullar rectum (ymrT1-0N0), TRG2 (Fig. 2). The described MR image was retained without significant changes during the follow-up period.
Fig. 2. Magnetic resonance imaging of the tumor of the lower ampullar rectum 1 month after neoadjuvant chemoradiation therapy, ymrT1-0, TRG2: a ― T2-WI; b ― diffusion-weighted images. The tumor was replaced with a thin fibrous scar that had no signs of diffusion restriction (arrows).
Colonoscopy revealed no pathology of the colon 1 year after the treatment. In the lower ampullar rectum, a 4.5 cm whitish stellate scar was found, whereas a tumor tissue was not detected. Therefore, this finding showed the endoscopic presentation of the complete intraluminal regression of the rectal tumor during treatment.
After 3 years of follow-up, the patient underwent positron emission tomography with 18F-fluorodeoxyglucose combined with computed tomography because of an increase in the level of tumor markers (Fig. 3). The results revealed a tumor with a length of 43 mm (SUVmax[2] 27.1) at the level of the lower ampullar rectum. On the basis of these results, the patient was admitted to the clinic of the A.F. Tsyba National Medical Research Radiological Center for surgical treatment in the scope of laparoscopic abdominal perineal resection.
Fig. 3. Positron emission tomography with 18F-fluorodeoxyglucose combined with computed tomography: a ― mono-mode positron emission tomography at the tumor level (arrow); b ― computed tomography at the tumor level (arrow); c ― three-dimensional reconstruction with a focus of 18F-fluorodeoxyglucose hyperfixation in the lower ampullar rectum (arrow).
The patient was examined during surgical treatment preparation. An elastic movable scar was observed after digital rectal examination. During colonoscopy, a 4.5 cm-long whitish stellate scar without signs of tumor tissues remained in the lower ampullar rectum.
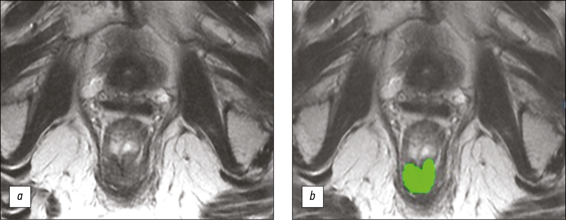
Another MRI examination of the pelvic organs did not reveal any deterioration (Fig. 4). However, given the difficulties of standard MRI in differentiating fibrosis and tumor tissue, T2-WI texture analysis was performed using the MaZda ver. 4.63 computer program based on a gray-level co-occurrence matrix [3]. Our scoring system was used to interpret the obtained parameters of texture analysis [4]. In particular, if the sum of the points of the five parameters of texture analysis is ≥3, then the patient responded to NHRT; otherwise, the patient did not respond to NHRT. The results of the texture analysis of this patient and the assessment criteria are presented in Table 1. Texture analysis indicated no signs of tumor progression.
Table 1. Results and evaluation of the parameters of T2-WI texture analysis based on the patient’s magnetic resonance imaging before surgery.
Parameter | Value | Scoring system | Score | |
1 point | 0 points | |||
AngScMom | 0.0041 | ≥0.0022 | <0.0022 | 1 |
InvDfMom | 0.15 | ≥0.12 | <0.12 | 1 |
Entropy | 2.5 | ≤2.75 | >2.75 | 1 |
DifEntrp | 1.32 | ≤1.32 | >1.32 | 1 |
SumEntrp | 1.74 | ≤1.8 | >1.8 | 1 |
Total | - | - | - | 5 |
Fig. 4. Magnetic resonance imaging of the tumor of the lower ampullar rectum 3 years after neoadjuvant chemoradiation therapy: a ― T2-WI; b ― segmentation of the zone of interest for texture analysis (highlighted in green).
Organ sparing surgery in the volume of transanal tumor resection was performed on the basis of the obtained data. Under endotracheal anesthesia, a rectal speculum was installed in the anal canal, and the retraction of the mucous membrane for 1 cm was visually determined along the posterior wall in the area of the internal sphincter. The lesion was excised through sharp dissection. A wipe tampon was inserted in the rectum. A fragment of the bright red mucous membrane with a size of 2.0 cm × 0.4 cm × 0.2 cm and a dense bright red sample of the wall with the largest dimension of 0.4 cm were pathomorphologically examined.
The two fragments of the mucous membrane covered with a multilayer scaly nonsquamous epithelium were morphologically examined. The results revealed that the stroma in the submucous layer with diffused and weak lymphocytic–leukocytic and plasmocytic infiltration and hemorrhage was fibrotic. No tumors were found.
DISCUSSION
NHRT efficacy evaluation is essential for the individualized treatment of patients with lower ampullary cancer of the rectum. The ability to preserve the sphincter with a good response to neoadjuvant treatment significantly improves the quality of life of patients by eliminating their permanent colostomy. It also reduces the risk of postoperative complications. Through endoscopic diagnostics, the response of the intraluminal component of tumors can be assessed. By comparison, MRI is performed to examine the entire intestinal wall, mesorectal tissue, and fascia and the status of regional lymph nodes. For the MRI assessment of tumor responses, the TRG system is generally used, but its accuracy is reduced because of difficulties in differentiating residual tumor tissues and fibrosis. Nevertheless, this problem can be solved with diffusion-weighted images (DWIs), which have recently supplemented T2-WI. Through DWI, small areas of residual tumors in the presence of fibrosis can be distinguished. Consequently, the diagnostic specificity increases up to 90%, but its sensitivity is still 64%. This relatively low sensitivity is mainly due to the erroneous interpretation of a high MR signal in the normal postradiation intestinal wall as a residual tumor [5]. In addition, the susceptibility of the method to artifacts, including brightness and geometric distortions, as well as false images, often complicates the interpretation of DWI.
Currently, a radiomic approach is being developed to assess the efficiency of chemoradiation therapy. It is based on the high-technology extraction of information from medical images; thus, tissue heterogeneity can be characterized quantitatively [6].
Various approaches are used to interpret texture analysis results and assess the efficiency of NHRT. N. Horvat et al. [7] retrospectively studied 118 patients with rectal cancer. They used a machine learning algorithm to create a high-resolution radiomic classifier of the parameters of T2-WI texture analysis and identify patients who suffer from rectal cancer and have a complete response to NHRT. In our study, the radiomic score was significantly superior to the visual assessment of T2-WI or the combination of T2-WI and DWI in terms of overall accuracy (p = 0.02), specificity, and positive predictive value (p = 0.0001). The sensitivity and negative predictive value did not differ significantly. The parameters of texture analysis were characterized using the score based on the points of separation and the direction of our previously established correlation [4]. The presented clinical case with the prospective application of the proposed system for evaluating texture analysis demonstrated its efficiency. The analyzed image and the images during the development of the scoring system were obtained using similar parameters of fast spin echo sequences but on different MR tomographs (Ingenia 1.5T, Philips and Symphony 1.5T, Siemens, respectively). This finding suggested that the reproducibility of the texture analysis parameters was good. It also confirmed the suitability of further large-scale studies in this field.
CONCLUSION
The presented radiomic approach with high-resolution T2-WI texture analysis shows potential for application in the assessment of the efficiency of NHRT in patients with regional rectal cancer. However, this approach should be further developed, its implementation and systems for texture parameter evaluation should be improved, and the reproducibility of results should be studied.
ADDITIONAL INFORMATION
Funding source. This study was not supported by any external funding sources.
Competing interests. The authors declare that they have no competing interests.
Authors’ contributions. Ya.A. Dayneko ― collection and processing of the material, analysis of the received data, and writing of the text; T.P. Berezovskaya ― concept and design of the study, analysis of the received data, writing of the text, and editing; S.A. Myalina ― collection and processing of the material and writing of the text; I.A. Orekhov ― collection and processing of the material and analysis of the received data; and A.A. Nevolskih ― editing. All authors made a substantial contribution to the conception of the work, acquisition, analysis, data interpretation, drafting and revision, and final approval of the version to be published. They agreed to be accountable for all aspects of the work.
Patient’s permission. Written consent was obtained from the patient for the publication of relevant medical information and all the accompanying images within the manuscript.
1 FOLFOX — chemotherapy regimen used to treat colorectal cancer: (FOL) inicacid, calcium salt — folinic acid as calcium folinate (leucovorin), (F)luorouracil, (OX)aliplatin.
2 SUV (standardized uptake value) ― стандартизированный уровень накопления радиофармпрепарата.
3 Computer software for the calculation of texture parameters in digitized images. Available from: http://www.eletel.p.lodz.pl/programy/mazda/
About the authors
Yana A. Dayneko
А. Tsyb Medical Radiological Research Centre – branch of the National Medical Research Radiological Centre
Email: vorobeyana@gmail.com
ORCID iD: 0000-0002-4524-0839
SPIN-code: 1841-7759
MD, Research Associate
Russian Federation, 4 Korolev st., Obninsk, 249036Tatiana P. Berezovskaya
А. Tsyb Medical Radiological Research Centre – branch of the National Medical Research Radiological Centre
Author for correspondence.
Email: berez@mrrc.obninsk.ru
ORCID iD: 0000-0002-3549-4499
SPIN-code: 5837-3465
MD, Dr. Sci. (Med.) Professor, Chief Researcher
Russian Federation, 4 Korolev st., Obninsk, 249036Sofia A. Myalina
А. Tsyb Medical Radiological Research Centre – branch of the National Medical Research Radiological Centre
Email: samyalina@mail.ru
ORCID iD: 0000-0001-6686-5419
MD, Junior Research Associate
Russian Federation, 4 Korolev st., Obninsk, 249036Ivan A. Orekhov
А. Tsyb Medical Radiological Research Centre – branch of the National Medical Research Radiological Centre
Email: ivan.orekhov.vgma@gmail.com
ORCID iD: 0000-0001-6543-6356
SPIN-code: 6040-8930
MD, Junior Research Associate
Russian Federation, 4 Korolev st., Obninsk, 249036Aleksey A. Nevolskikh
А. Tsyb Medical Radiological Research Centre – branch of the National Medical Research Radiological Centre
Email: nevol@mrrc.obninsk.ru
ORCID iD: 0000-0001-5961-2958
SPIN-code: 3787-6139
MD, Dr. Sci. (Med.)
Russian Federation, 4 Korolev st., Obninsk, 249036References
- Fedyanin MYu, Artamonova EV, Barsukov YuA, et al. Practical recommendations for the drug treatment of rectal cancer. Malignant tumors: Practical recommendations of RUSSCO. Russian Society of Clinical Oncology; 2020. (In Russ). doi: 10.18027/2224-5057-2020-10-3s2-23
- Gillies RJ, Kinahan PE, Hricak H. Radiomics: images are more than pictures, they are data. Radiology. 2016;278(2):563–577. doi: 10.1148/radiol.2015151169
- Haralick RM, Shanmugam K, Dinstein I. Textural features for image classification. IEEE Transactions on Systems, Man, and Cybernetics. 1973;SMC-3(6):610–621. doi: 10.1109/TSMC.1973.4309314
- Berezovskaya TP, Dayneko YaA, Nevolskikh AA, et al. A system for evaluating the effectiveness of neoadjuvant chemo radiotherapy in patients with colorectal cancer based on a texture analysis of post-therapeutic T2-WI magnetic resonance imaging. REJR. 2020;10(3):92–101. doi: 10.21569/2222-7415-2020-10-3-92-101
- Lambregts DM, Rao SX, Sassen S, et al. MRI and Diffusion-weighted MRI volumetry for identification of complete tumor responders after preoperative chemoradiotherapy in patients with rectal cancer: a bi-institutional validation study. Ann Surg. 2015;262(6):1034–1039. doi: 10.1097/SLA.0000000000000909
- Lambin P, Rios-Velazquez R, Leijenaar S, et al. Radiomics: Extracting more information from medical images using advanced feature analysis. Eur J Cancer. 2012;48(4):441–446. doi: 10.1016/j.ejca.2011.11.036
- Horvat N, Veeraraghavan H, Pelossof RA, et al. Radiogenomics of rectal adenocarcinoma in the era of precision medicine: A pilot study of associations between qualitative and quantitative MRI imaging features and genetic mutations. Eur J Radiol. 2019;113:174–181. doi: 10.1016/j.ejrad.2019.02.022
Supplementary files











