Osteopoikilosis in the ribs, pelvic region and spine: a case report
- Authors: Paparella M.T.1, Gangai I.1, Porro C.1, Eusebi L.2, Silveri F.3, Cammarota A.4, Guglielmi G.1,5
-
Affiliations:
- Department of Clinical and Experimental Medicine, Foggia University School of Medicine
- Radiology Unit, Carlo Urbani
- Rheumatology Unit, University of Ancona
- IRCCS-CROB
- Radiology Unit, Barletta University Hospital
- Issue: Vol 2, No 4 (2021)
- Pages: 481-487
- Section: Case reports
- Submitted: 03.09.2021
- Accepted: 16.11.2021
- Published: 30.12.2021
- URL: https://jdigitaldiagnostics.com/DD/article/view/79504
- DOI: https://doi.org/10.17816/DD79504
- ID: 79504
Cite item
Abstract
Osteopoikilosis is a rare inherited benign bone dysplasia incidentally found on radiological exams. It is characterized by a specific radiological pattern: diffuse, round or oval, symmetrically shaped sclerotic bone areas distributed throughout the skeleton. It is essential to do a correct diagnosis because these lesions could be easily confused with bone metastasis.
We reported a case of an osteopoikilosis patient presenting to our clinic with transient loss of consciousness and without any numbness, tingling and weakness in the legs or other parts of the body. The computed tomography scan showed multiple small sclerotic foci bone islands, scattered throughout the thoracic and lumbar spine, ribs, pelvic bone, sacrum and bilateral proximal femur. No significant increase in the activity was detected in technetium-99m whole-body bone scintigraphy. The patient was diagnosed with characteristic radiological findings of osteopoikilosis and was followed up.
Keywords
Full Text
BACKGROUND
Osteopoikilosis is a rare benign bone dysplasia that affects about one in every 50,000 people, usually with no age or gender differences [1].
It is characterized by numerous circular or ovoid sclerotic bone lesions symmetrically distributed throughout the skeleton [2]. Lesions are frequently found incidentally on imaging studies for unrelated complaints [3]. Histologically, the lesions are thicker trabeculae of lamellar osseous tissue with haversian systems within the cancellous structure; they are most likely foci of bone that did not become cancellous throughout growth and differentiation. The condensation of cancellous bone in osteopoikilosis consists of a peripheral area of trabeculae in which osteocytes are scant, and there are no osteoblasts or osteoclasts (both are present in the central core of irregular trabeculae) [4, 5].We report a case of osteopoikilosis patient who presented to our clinic for a syncope.
DESCRIPTION OF THE CASE
A 43-year-old female patient was taken to the emergency room by ambulance after experiencing transient loss of consciousness. The initial evaluation consisting of history, physical examination, 12-lead electrocardiogram and laboratory tests did not reveal any abnormalities; thus, a total-body computed tomography (CT) was performed. The CT scan showed multiple small sclerotic foci bone islands, scattered throughout the thoracic (Figure 1a) and lumbar spine (Fig. 1b), ribs, pelvic bone (Fig. 2), sacrum (Fig. 3) and bilateral proximal femur (Fig. 4). All bones were free of any cortical erosion or periosteal reaction. No other signs, such as rubor or edema, were noticed; moreover, the patient did not describe any numbness, tingling and weakness in the legs or other parts of the body.
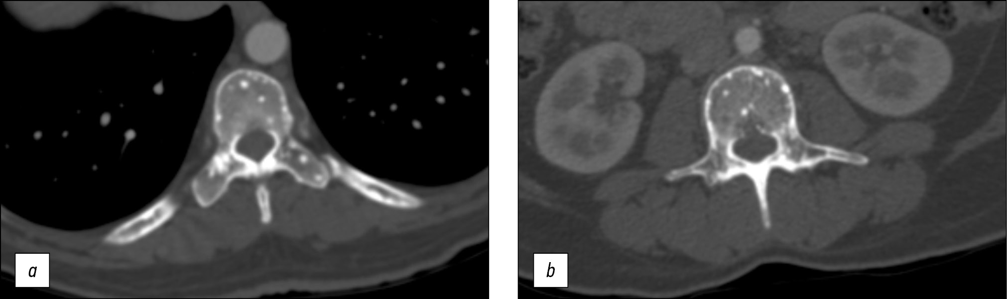
Fig. 1. Transverse cross-section computed tomography scan passing through the thoracic (a) and lumbar (b) spine. It shows numerous, well-defined, homogeneous, circular, hyperdense foci in spinous processes and vertebral arches.
Fig. 2. Transverse cross-section computed tomography scan passing through the seventh rib. It shows numerous hyperdense lesions; these are well-circumscribed and are measured in millimeters.
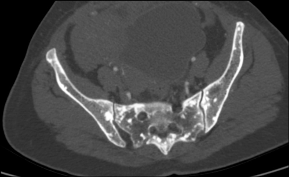
Fig. 3. Transverse cross-section computed tomography scan passing through the sacroiliac joints. It shows small, sclerotic, round opacities distributed symmetrically along sacrum, hip bone, and sacroiliac joints.
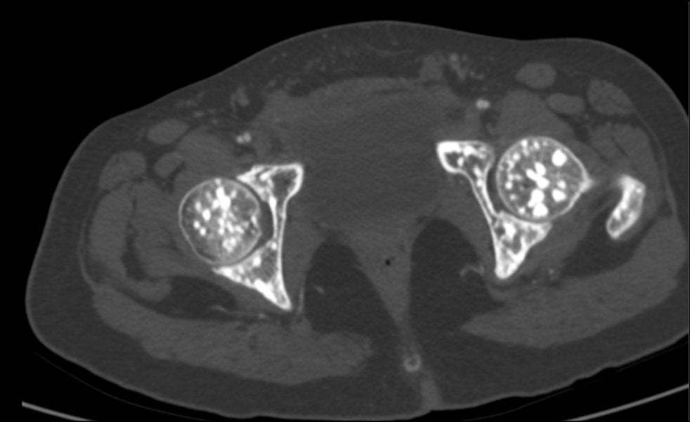
Fig. 4. Transverse cross-section computed tomography scan passing through the femoral head. It shows numerous hyperdense lesions that conform with the osteopoikilosis in the femoral head; lesions are well-circumscribed and are measured in millimeters.
The CT pattern was suspicious for osteopoikilosis. The relative clinical and laboratory tests, such as routine blood count, erythrocyte sedimentation rate, serum electrolytes, tumor markers, alkaline and acid phosphatase, ANA and anti-DS-DNA were negative for any type of arthritis, infection or osteoblastic bone metastases, which were in the differential diagnosis. No significant increase in the activity was detected in technetium-99m whole-body bone scintigraphy. The patient was diagnosed with typical radiological findings of osteopoikilosis by excluding other differential diagnoses and was followed up.
DISCUSSION
Osteopoikilosis (also known as “spotted bone disease” or osteopathia condensans disseminata) is a rare bone dysplasia and was first described by Albers-Schönberg in 1915 [6]. The incidence of this disease is estimated around one in 50,000, usually without age or gender differences [1]. It is usually autosomal dominant in inheritance, but sporadic forms are also reported [1]. Current literatures suggest loss-of-function mutations of LEM domain-containing 3 (LEMD3) gene located on 12q might be the cause. These mutations could also affect soft tissue and skin, causing melorheostosis that is a benign sclerosing bone dysplasia with cortical hyperostosis, thickening and fibrosis of overlying skin and Buschke–Ollendorff syndrome that comprises osteopoikilosis associated with disseminated connective tissue and cutaneous yellowish nevi [7, 8]. Osteopoikilosis lesions are typically found incidentally on imaging studies done for unrelated complaints [3]. Radiological lesions of osteopoikilosis are typical: they are characterized by numerous symmetrical, homogeneous, well circumscribed, small (1–10 mm in diameter) and round or oval shaped sclerotic lesions. The most commonly affected areas are the epiphyses of short tubular bones and the metaphyses of long bones. In addition, carpal and tarsal bones, scapula, pelvis and sacrum are reported to be frequently affected [9, 10]. Ribs, clavicles, spine and skull involvement is uncommon [11]. Because of their similarities, the radiological lesions of osteopoikilosis can be confused with osteoblastic bone metastases, but there are significant differences that allow us to make a differential diagnosis. In contrast to bone metastasis, the sclerotic lesions in osteopoikilosis are symmetrical, consistent in size and do not induce cortical erosion. As a result, bone scintigraphy plays an important role in definitive diagnosis; in fact, a normal radionuclide bone scan generally excludes the possibility of osteoblastic bone metastasis. Nevertheless, several cases of osteopoikilosis with an abnormal bone scan have been reported in the literature [12, 13].
CONCLUSION
Although osteopoikilosis is a rare condition, it can be easily diagnosed through its typical radiological findings. Therefore, clinicians must be aware of and recognize this image pattern in order to make an accurate diagnosis and prevent further examinations and aggressive treatments.
ADDITIONAL INFORMATION
Funding source. This article was not supported by any external sources of funding.
Competing interests. The authors declare that they have no competing interests.
Authors’ contribution. M.T. Paparella, I. Gangai ― contributed equally to the research work related to the topic and the manuscript writing; C. Porro, L. Eusebi, F. Silveri — literature research and data acquisition; A. Cammarota, G. Guglielmi — critical revision of manuscript. All authors made a substantial contribution to the conception of the work, acquisition, analysis, interpretation of data for the work, drafting and revising the work, final approval of the version to be published and agree to be accountable for all aspects of the work.
Consent for publication. Written consent was obtained from the patient for publication of relevant medical information and all of accompanying images within the manuscript.
About the authors
Maria Teresa Paparella
Department of Clinical and Experimental Medicine, Foggia University School of Medicine
Email: mt.paparella@gmail.com
ORCID iD: 0000-0003-2573-9509
MD
Italy, Viale L. Pinto 1, 71121, FoggiaIlaria Gangai
Department of Clinical and Experimental Medicine, Foggia University School of Medicine
Email: hilary_ps@libero.it
ORCID iD: 0000-0001-9594-4810
MD
Italy, Viale L. Pinto 1, 71121, FoggiaChiara Porro
Department of Clinical and Experimental Medicine, Foggia University School of Medicine
Email: chiara.porro@unifg.it
ORCID iD: 0000-0002-7526-6968
MD
Italy, Viale L. Pinto 1, 71121, FoggiaLaura Eusebi
Radiology Unit, Carlo Urbani
Email: lauraeu@virgilio.it
ORCID iD: 0000-0002-4172-5126
MD
Italy, JesiFerdinando Silveri
Rheumatology Unit, University of Ancona
Email: fsilveri@libero.it
ORCID iD: 0000-0002-7847-245X
MD
Italy, AnconaAldo Cammarota
IRCCS-CROB
Email: aldo.cammarota@crob.it
ORCID iD: 0000-0003-4211-5140
MD
Italy, Rionero in VultureGiuseppe Guglielmi
Department of Clinical and Experimental Medicine, Foggia University School of Medicine; Radiology Unit, Barletta University Hospital
Author for correspondence.
Email: giuseppe.guglielmi@unifg.it
ORCID iD: 0000-0002-4325-8330
MD, Professor
Italy, Viale L. Pinto 1, 71121 Foggia; FoggiaReferences
- Negi RS, Manchanda KL, Sanga S, et al. Osteopoikilosis ― spotted bone disease. Med J Armed Forces India. 2013;69(2):196–198. doi: 10.1016/j.mjafi.2012.05.009
- Mahbouba J, Mondher G, Amira M, et al. Osteopoikilosis: a rare cause of bone pain. Caspian J Intern Med. 2015;6(3):177–179.
- Carpintero P, Abad JA, Serrano P, et al. Clinical features of ten cases of osteopoikilosis. Clin Rheumatol. 2004;23(6):505–508. doi: 10.1007/s10067-004-0935-2
- Tong EC, Samii M, Tchang F. Bone imagingas an aid for the diagnosis of osteopoikilosis. Clin Nucl Med. 1988;13(11):816–819. doi: 10.1097/00003072-198811000-00009
- Drouin CA, Grenon H. The association of Buschke–Ollendorf syndrome and nail-patella syndrome. J Am Acad Dermatol. 2002;46(4):621–625. doi: 10.1067/mjd.2002.120614
- Albers-Schönberg HE. Fortschr Roentgen. 1915;24(23):174.
- Hellemans J, Preobrazhenska O, Willaert A, et al. Loss-of-function mutations in LEMD3 result in osteopoikilosis, Buschke-Ollendorff syndrome and melorheostosis. Nat Genet. 2004;36(11):1213–1218. doi: 10.1038/ng1453
- Gutierrez D, Cooper KD, Mitchell AL, et al. Novel somatic mutation in LEMD3 splice site results in Buschke–Ollendorff syndrome with polyostotic melorheostosis and osteopoikilosis. Pediatr Dermatol. 2015;32(5):e219–220. doi: 10.1111/pde.12634
- Vanhoenacker EM, De Beuckeleer LH, Wan Hul W, et al. Sclerosing bone dysplasias: genetic and radioclinicalfeatures. Eur Radiol. 2000;10(9):1423–1433. doi: 10.1007/s003300000495
- Amezcua-Guerra LM, Mansilla LJ, Fernandez TS, et al. Osteopoikilosis in an ancient skeleton: more than a medical curiosity. Clin Rheumatol. 2005;24(5):502–506. doi: 10.1007/s10067-004-1072-7
- Niwayama G. Enostosis, hyperstosis, and periostitis. In: Resnick D., ed. Diagnosis of Bone and Joint Disorders. Philadelphia: WB Saunders; 1988. Р. 4084–4088.
- Dahan S, Bonafé JL, Laroche M, et al. Iconography of Buschke–Ollendorff syndrome: X-ray computed tomography and nuclear magnetic resonance of osteopoikilosis. Ann Dermatol Venereol. 1989;116(3):225–230.
- Mungovan JA, Tung GA, Lambiase RE, et al. Tc-99m MDP uptake in osteopoikilosis. Clin Nucl Med. 1994;19(1):6–8. doi: 10.1097/00003072-199401000-00002
Supplementary files











