A Case of Mitral Annular Disjunction Combined with Ventricular Arrhythmias
- Authors: Novikova T.N.1, Basova V.A.1, Evdokimova L.S.1, Gnevasheva N.A.2, Itskovich I.E.1, Novikov V.I.1, Saiganov S.A.1, Shcherbakova V.A.1
-
Affiliations:
- North-Western State Medical University named after I.I. Mechnikov
- Institute of Emergency Medicine Nikiforov’s All-Russian Center for Emergency and Radiation Medicine of the Emergencies Ministry of Russia
- Issue: Vol 2, No 2 (2022)
- Pages: 41-50
- Section: Case reports
- URL: https://journals.eco-vector.com/cardar/article/view/109160
- DOI: https://doi.org/10.17816/cardar109160
- ID: 109160
Cite item
Full Text
Abstract
The article presents a clinical case of a combination of mitral valve prolapse (MVP), mitral annular disjunction (MAD), and ventricular arrhythmia. The presence of MAD worsens the prognosis in MVP and predisposes to life-threatening ventricular arrhythmias. In a 42-year-old patient, MAD was detected during echocardiography to determine the indications for surgical correction of mitral insufficiency in MVP. Severe myxomatous degeneration of the mitral valve leaflets, polysegmental prolapse, and typical auscultatory pattern (systolic click followed by systolic murmur in the second half of systole) were the indications for the targeted search for MAD. Multi-day (ECG) monitoring recorded nonsustained ventricular tachycardias and premature ventricular complexes (PVCs). Cardiac magnetic resonance imaging was performed for confirmation the diagnosis and searched for left ventricular myocardial fibrosis accompanying MAD. Finally, MAD was confirmed, but myocardial fibrotic changes were not detected. Owing to the absence of myocardial fibrosis, the patient was treated conservatively with a beta-adrenoblocker (25 mg/day slow-release metoprolol succinate) in combination with 25 mg/day allaforte. Repeated 24-h ECG monitoring did not detect ventricular tachycardias and nonsustained registered a significant decrease of number of PVCs. The patient is followed up prospectively due to high risk factors for fibrosis and worsening prognosis, which may require surgical correction of the existing disturbances and/or implantation of a cardioverter-defibrillator.
Full Text
BACKGROUND
Mitral valve prolapse (MVP) is a common pathology in the clinical practice of a cardiologist and therapist. In the adult population, the prevalence of MVP reaches 2%–3% [1, 2], with favorable prognosis in most cases [3–6]. According to Nishimura et al., the 8-year survival rate of patients with MVP is 88% and is not significant different compared with the main parameters of the control group [3]. However, the disease course may be complicated by malignant ventricular arrhythmias and sudden death in some young and middle-aged patients [7–9]. The risk stratification criteria for adverse ventricular arrhythmias in MVP are under development. The prolapse of both mitral valve leaflets, its degree of severity, papillary muscles fibrosis, and mitral annular disjunction (MAD) are associated with the risk of ventricular arrhythmias [8–12].
MAD is a structural abnormality defined as separation (disconnection) or absence of the direct transition of the left atrial (LA) myocardium into the left ventricular (LV) myocardium in the area of the mitral valve annulus and partial replacement of the LV myocardium under the mitral valve annulus with fibrous tissue [2]. MAD is a common finding in patients with MVP [2]. Its detection varies from 42% to 98% and correlates with the degree of prolapse severity [2, 13]. MAD was first described in combination with MVP in the 1980s [14]. The clinical significance of this structural abnormality remained unclear, and the problem was not studied until 2005. Eriksson et al. observed MAD with transesophageal echocardiography (EchoCG) and described direct surgical cardiac examination in this patients during surgery for severe mitral insufficiency resulting from myxomatous degeneration of the mitral valve leaflets in 2005 [13]. They demonstrated a direct correlation between the severity of MAD, number of altered leaflet segments, and severity of MVP. Moreover, MAD plays an important role in arrhythmogenesis [2, 15]. The physician’s task is to promptly recognize this abnormality, establish its correlation with arrhythmias, prescribe antiarrhythmic therapy, and dynamically monitor the patient to determine indications for cardioverter-defibrillator implantation and surgical correction of the existing disturbances.
CLINICAL CASE
Patient I., 42 years old, came to our clinic to decide on indications for surgical treatment of mitral insufficiency. On admission, complaints included frequent heart palpitations for 6 months. The patient was treated in the outpatient clinic at the place of residence. The examination revealed MVP with moderate-to-severe mitral regurgitation. Low-dose therapy with beta-adrenoblockers (2.5 mg/day bisoprolol) was ineffective. When trying to increase the drug dose, the patient became hypotensive, and the resting heart rate decreased to 45 bpm during the daytime.
Family history is not burdened. The patient gave birth to three healthy children.
On physical examination, the condition was assessed as satisfactory. The color of the skin and visible mucous membranes were normal. No peripheral edemas were observed. The patient had a normal build. The body mass index was 21.30 kg/m2. Arterial pressure was 115/70 mm Hg. The resting heart rate and pulse were 65 bpm. Percussion revealed a slight left shift of the left heart border. On auscultation, the sonority of the first and second sounds was unchanged, and no additional sounds were detected. A systolic click was heard in the middle systole, followed by a systolic murmur at Botkin-Erb’s point with irradiation toward the aorta and apex. There were pulmonary sound on percussion and vesicular breathing on auscultation. On palpation, the abdomen was soft and painless, and the liver was not enlarged. The six-minute walk test was 560 m.
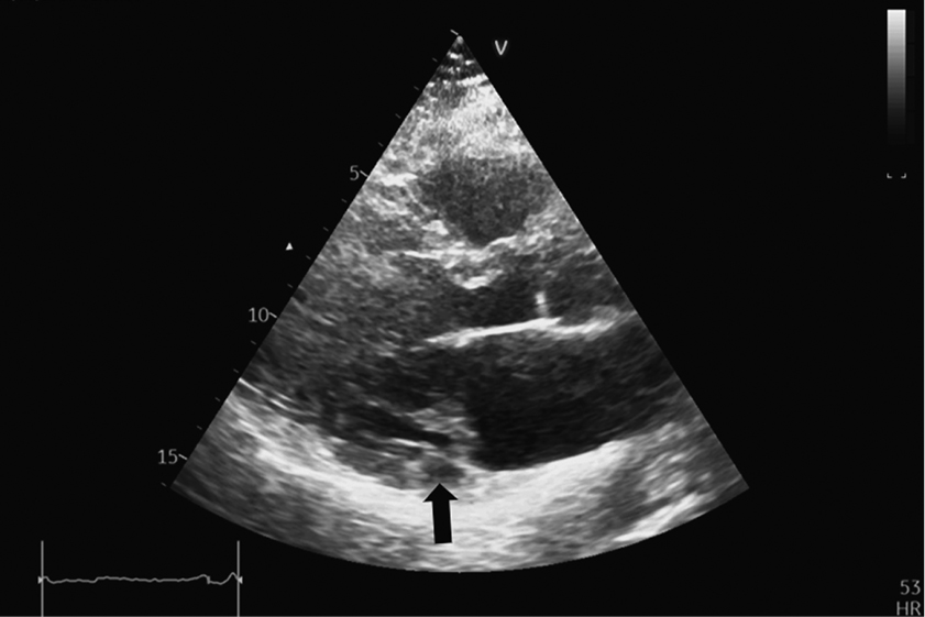
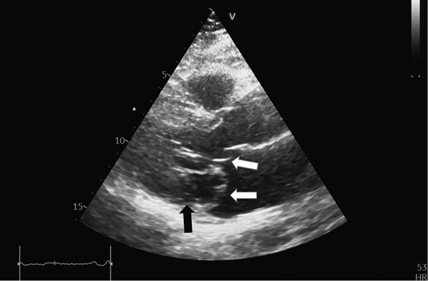
EchoCG was performed using modern technologies of three-dimensional image reconstruction and Mitral Valve Quantification model on Vivid-9 ultrasound device. The results showed that mitral regurgitation was mild [16]. The effective regurgitation orifice area was 0.18 cm2, and the regurgitation volume was 20 mL. Both mitral valve leaflets were myxomatous, thickened, and prolapsed up to 8 mm into the LA cavity (Fig. 1–3). The prolapse was polysegmental (Fig. 4). Signs of MAD (absence of myocardial tissue up to 9 mm under the posterior mitral valve leaflet) were revealed (Fig. 1, 2).
Fig. 1. Parasternal long-axis view of the left ventricle. Systole. White arrows indicate elongated and thickened mitral valve leaflets prolapsing into the left atrial cavity. The black arrow indicates the disjunction area
Fig. 2. Parasternal long-axis view of the left ventricle. Diastole. The elongated and thickened mitral valve leaflets (predominantly posterior) are visible. The black arrow indicates the disjunction area below the posterior mitral valve leaflet.
Fig. 3. Three-dimensional reconstruction of the mitral valve. The white arrow indicates the elongated and prolapsed mitral valve leaflets
Fig. 4. Three-dimensional model of the mitral valve. Mapping in red shows the prolapse of all segments of both leaflets at end-systole
LV was slightly dilated, and the end-diastolic volume (EDV) index was 68 mL/m2. LV myocardial hypertrophy was revealed, and the myocardial mass index was 98/m2. Systolic function was preserved, and ejection fraction (EF) was 68%. The calculated pulmonary artery pressure was not elevated.
Cardiac magnetic resonance imaging (CMR) was performed on a Signa Pioneer 3.0 T scanner (General Electric Healthcare, Chicago, IL, USA) using 16-channel and 32-channel body coils to verify the diagnosis. Scans were performed according to a standard protocol with late contrast enhancement 8–15 min after injection of gadolinium-based contrast agent at a dose of 0.02 mmol/kg (0.5 mmol/L gadodiamide). The following pulse sequences were used: Fiesta Cine (dynamic cine imaging), T1 double-inversion recovery (DIR), T2 DIR fat saturation, and delayed myocardial enhancement (MDE) performed with breath-holding in standard cardiac projections. Postprocessing image analysis was performed using the CardiacVX software package (General Electric Healthcare). The following parameters were assessed: EF of 47% (normal range, 58%–76%), stroke volume of 84 (normal range, 59–115) mL, EDV of 180 (normal range, 90–171) mL, end-systolic volume (ESV) of 96 (normal range, 25–62) mL, EDV index of 105 (normal range, 59–93) mL/m2, ESV index of 56 (normal range, 16–34) mL/m2, myocardial mass of 160 (normal range, 71–143) g, and LA bi-plane volume of 112 (normal range, 47–131) mL.
Despite the good comparability of EchoCG and CMR data in assessing EF and LV volumes, many studies have demonstrated the differences between these methods. The range of over- and underestimation of contractile function in CMR may reach 20% according to the Bland–Altman plots [17]. In addition, differences in EchoCG and CMR results are due to different counting techniques. Standardly, automatic or semiautomatic counting based on short axis LV images is used for CMR. In addition, measurement errors obtained with CMR may be due to insufficient spatial resolution and the effect of volume averaging associated with nonoptimal slice thickness, which is not always technically to be corrected. Moreover, arrhythmias contribute to inaccuracies in obtaining LV volumes and, accordingly, to errors in EF calculation. Based on the difference in EF values (EchoCG showed normal EF values, whereas CMR showed decreased EF), the decision was to dynamically monitor the patient’s clinical condition, cardiac chamber size, and EF.
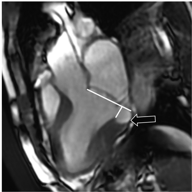
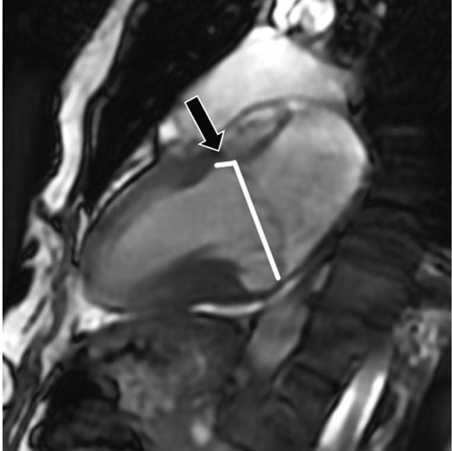
The distance from the base of the mitral valve fibrous annulus to the upper contour of the LV myocardium was measured on end-systolic cine images. The MAD extent at the level of the posterior and anterior mitral valve leaflets was measured along the three-chamber and long LV axis, respectively. The MAD extent was 11 mm and 5 mm unde the posterior and anterior leaflets, respectively (Fig. 5, 6).
Fig. 5. Left ventricular three-chamber axis, cine end-systolic image. Measurement of the mitral annular disjunction distance for the posterior mitral valve leaflet. Mitral annular disjunction is indicated by an arrow
Fig. 6. Left ventricular long axis (two chamber view), cine end-systolic image. Measurement of the mitral annular disjunction distance for the anterior mitral valve leaflet. Mitral annular disjunction is indicated by an arrow
Additionally, a descending systolic motion of the posterior part of the mitral valve annulus with hyperkinetic contraction of the adjacent basal myocardium was observed (systolic curling). Myocardial thickening of the posterior wall and adjacent segments of the interventricular septum and lateral wall were assessed on short axis and three-chamber-axis LV images. The end-systolic myocardial thickness of basal inferior septal and inferolateral segments was 13 mm and that of the inferior basal segment was 15 mm (Fig. 7).
Fig. 7. Dynamic cine imaging along the short axis of the left ventricle. End-systolic frame shows thickening of basal myocardial segments
No reliable areas of late gadolinium enhancement (LGE) in the myocardium, corresponding to fibrous changes, were found. The patient was recommended for follow-up and dynamic CMR monitoring to exclude fibrotic structural changes in the long term and assess the risk of adverse ventricular arrhythmias.
Resting 12-lead ECG showed sinus rhythm, early repolarization syndrome, and single premature ventricular complexes (PVCs) (Fig. 8).
Fig. 8. Resting 12-lead electrocardiogram
Multi-day ECG monitoring (154 h) was performed. single monomorphic premature ventricular complexes (PVCs) (54,529 [8.5%]) and paired (1,078 [2.1%]) and runs of monomorphic nonsustained ventricular tachycardia of 3–7 complexes (46 episodes in 154 h) were detected (Fig. 9).
Fig. 9. Fragment of multi-day electrocardiographic monitoring
Thus, the diagnosis of MVP and MAD was confirmed by instrumental methods of examination. No indications for surgical intervention were revealed at this stage. Ventricular arrhythmias requiring medical correction were registered. At the previous treatment stage, beta-blocker monotherapy (2.5 mg/day bisoprolol) was ineffective. Therefore, combined antiarrhythmic therapy was decided. Slow-release metoprolol succinate was recommended at a starting dose of 25 mg once daily in the morning, followed by dose titration, if necessary, in combination with 25 mg allaforte in the evening. During therapy, repeated 24-h ECG monitoring revealed no runs of nonsustained ventricular tachycardia and registered a significant decrease of number of PVCs from 8,520 in 24 h to 5,000 in 24 h. The patient is still being followed up.
DISCUSSION
Given the correlation of MAD with the severity of MVP and mitral insufficiency and the association with life-threatening ventricular arrhythmias, prompt diagnosis of this pathological condition and dynamic monitoring of patients is extremely important.
Chakrabarti et al. presented a generalized scheme of examination of patients with MVP [18]. The first steps are detailed history taking, including family history of fatal ventricular arrhythmias and sudden death, physical examination with assessment of systolic click and severity of systolic murmur, and resting ECG and EchoCG with targeted MAD searches. EchoCG is the most significant and accessible method for diagnosing changes in valvular apparatus and LV contractile function. However, it has several limitations, i.e., the need for a good acoustic window, limited possibilities for assessing the myocardial structure, and operator dependence. In patients with a high risk of poor prognosis (arrhythmias, MAD on EchoCG findings, and family history of sudden death), CMR is recommended to clarify the presence of MAD and its severity and assess fibrotic changes in the LV myocardium and papillary muscles as additional risk factors. The longitudinal distance of disjunction may vary from 1 to 15 mm around the mitral valve annulus in the same patient, and its severity is most frequently associated with the severity of mitral valve changes [19]. In addition, disjunction may occur in patients without MVP. Marra et al. revealed that abnormal morphology and pathology of mechanical movement of the mitral valve and annulus in MVP may lead to fibrous changes of the LV walls detected by contrast-enhanced CMR [9]. CMR allows accurate assessment of the motion of the mitral annulus, djacent myocardium and inferior or anterior systolic curling at the level of the posterior leaflet. An systolic curling defined by the authors as exceeding the median value of 3.5 mm is associated with a higher frequency and greater volume of areas LGE (fibrosis). Furthermore, a linear correlation was found between the disjunction extent and the severity of systolic motion [9]. Intramural areas of LGE in the inferior basal regions of the LV wall were observed in 72% of patients with MAD and systolic curling. A positive linear correlation between MAD length and degree of fibrosis was detected. Marra et al. reported that the median long axis MAD extent in patients with MVP was 4.8 mm with myocardial fibrosis and 1.8 mm without fibrosis [9]. CMR allows the detection of both local fibrosis and diffuse (interstitial) myocardial fibrosis. Currently, only a few studies have focused on the assessment of diffuse fibrosis in patients with MVP. In 2021, a retrospective description of the results of CMR in 30 patients with MVP combined with MAD was published; the comparison group included patients with mitral regurgitation without MAD and those with normal CMR characteristics [20]. Areas of LGE corresponding to fibrosis were observed in 47% of the patients with MVP-MAD and were absent in all control groups. By using T1 mapping after contrast agent injection, the extracellular volume (ECV) was calculated, which reflected the size of the extracellular space in the myocardium. Increase of EVC may indicate diffuse myocardial fibrosis. In the study, the ECV was higher in MVP-MAD, even in the absence of delayed accumulation of contrast. Remarkably, ECV values were increased in all basal segments of the myocardium, demonstrating fibrous remodeling not limited to the inferior and inferolateral segments in the area of prolapsing leaflet attachment. Compared with LGE, the ECV of LV basal segments had a stronger association with MAD severity and a similar association with the frequency of sudden cardiac death. The MAD length also correlated with ECV, but not with the extent of LGE. Complex ventricular arrhythmias PVCs and nonsustained ventricular tachycardias) were observed in 87% of patients with MVP-MAD. In these patients, ECV exceeded the threshold level, whereas only 53% had areas of LGE.
The presence and severity of systolic curling and mitral valve changes (prolapse and regurgitation) are associated with basal segment hypertrophy in patients with MVP [9]. Basal hypertrophy may have local or concentric distribution. More frequently, the phenomenon of “ballerina’s foot” is observed, i.e., hypertrophy of the basal segments with systolic bulging of the LV anterior wall [9]. Probably, local hypertrophy contributes to arrhythmogenesis in MVP-MAD.
In patients with clinical signs of arrhythmia, 24-h ECG monitoring is indicated. In addition, electrophysiological examination may be performed in patients with a high clinical risk and history of ventricular arrhythmias in the presence of structural changes on CMR. However, CMR and electrophysiological examination are not recommended for all patients. In our case, CMR was indicated to verify the diagnosis of MAD and confirm or exclude fibrotic changes in the myocardium to stratify the risk of fatal ventricular arrhythmias due to nonsustained ventricular tachycardias recorded during ECG monitoring. Since CMR revealed no fibrotic changes in the patient and due to the absence of family history of sudden death, electrophysiological examination was not performed.
The majority of authors agree that the combination of MVP, MAD (irrespective of its extent), and myocardial fibrosis of the LV free wall is a “fatal triad,” which determines the high frequency of ventricular arrhythmias and is accompanied by a high risk of sudden cardiac death [9, 21–23].
In 2020, Han et al. presented the results of a histological analysis of myocardial fibrotic changes in patients with sudden cardiac death and MVP other cardiac causes of death were excluded in comparison with the group of noncardiac deaths [24]. In sudden cardiac deaths combined with MVP, fibrous changes in the LV wall were significantly more frequently observed in the lateral and posterior walls than in the anterior wall and interventricular septum. The authors separately noted a predominantly endocardial–epicardial gradient of increasing fibrotic changes [24].
Currently, our patient has two components of the “fatal triad” (MVP and MAD), and no myocardial fibrotic changes were found in the CMR. Therefore, a decision was made to treat the patient conservatively. However, considering the severity of MAD and structural changes of the mitral valve leaflets and systolic curling of the basal parts of the LV myocardium in the area of MAD, the case belongs to the high risk category of fibrosis development in the future. Therefore, the patient needs follow-up, regular EchoCG monitoring at least once a year, and multi-day ECG monitoring at least once every 6 months. The decision to repeat the CMR is dependent on the results of the monitoring. If the disease progresses, mitral valve surgery and/or implantation of a cardioverter-defibrillator may be required.
CONCLUSIONS
MVP combined with MAD and myocardial fibrosis is a pathological condition predisposing to life-threatening ventricular arrhythmias and sudden death. Given the high frequency of MAD in patients with MVP, a targeted search for disjunction should be performed during EchoCG. If detected, the patient should be referred for CMR to confirm the diagnosis and diagnostically search for fibrosis, which is an additional marker of poor prognosis.
ADDITIONAL INFORMATION
Сonflict of interest. There is no conflict of interest.
Consent and anonymity of the patient. The patient provided consent for anonymous use and publication of his medical data.
Competing interests. The authors declare that they have no competing interests.
Funding source. This study was not supported by any external sources of funding.
About the authors
Tatiana N. Novikova
North-Western State Medical University named after I.I. Mechnikov
Author for correspondence.
Email: novikova-tn@mail.ru
ORCID iD: 0000-0003-4655-0297
SPIN-code: 3401-0329
docent
Russian Federation, Saint PetersburgVeronika A. Basova
North-Western State Medical University named after I.I. Mechnikov
Email: Chudovskaya@hotmail.com
ORCID iD: 0000-0001-5639-1635
SPIN-code: 3202-6874
Cand. of Sci. (Med.), Associate Professor
Russian Federation, Saint PetersburgLarisa S. Evdokimova
North-Western State Medical University named after I.I. Mechnikov
Email: Larisa.Evdokimova@szgmu.ru
ORCID iD: 0000-0002-7731-0109
SPIN-code: 3780-9470
radiologist
Russian Federation, Saint PetersburgNatalia A. Gnevasheva
Institute of Emergency Medicine Nikiforov’s All-Russian Center for Emergency and Radiation Medicine of the Emergencies Ministry of Russia
Email: natasha-line@yandex.ru
ORCID iD: 0000-0003-4798-533X
Cand. of Sci. (Med.), Assканд. мед. наук, доцентociate Professor
Russian Federation, Saint PetersburgIrina E. Itskovich
North-Western State Medical University named after I.I. Mechnikov
Email: itskovichirina@mail.ru
ORCID iD: 0000-0001-8352-3955
MD, PhD
Russian Federation, Saint PetersburgVladimir I. Novikov
North-Western State Medical University named after I.I. Mechnikov
Email: novikov-vi@mail.ru
ORCID iD: 0000-0002-2493-6300
SPIN-code: 6909-3377
MD, PhD, Professor
Russian Federation, Saint PetersburgSergey A. Saiganov
North-Western State Medical University named after I.I. Mechnikov
Email: sergey.sayganov@szgmu.ru
ORCID iD: 0000-0001-7319-2734
SPIN-code: 2174-6400
Scopus Author ID: 56512453000
MD, PhD, Professor
Russian Federation, Saint PetersburgVladislava A. Shcherbakova
North-Western State Medical University named after I.I. Mechnikov
Email: shcher.vl@yandex.ru
ORCID iD: 0000-0001-8325-1937
student
Russian Federation, Saint PetersburgReferences
- Dejgaard LA, Skjølsvik ET, Lie ØH, et al. The Mitral Annulus Disjunction Arrhythmic Syndrome. J Am Coll Cardiol. 2018;72(14):1600–1609. doi: 10.1016/j.jacc.2018.07.070
- Lee AP-W, Jin C-N, Fan Y, et al. Functional Implication of Mitral Annular Disjunction in Mitral Valve Prolapse: A Quantitative Dynamic 3D Echocardiographic Study. J Am Coll Cardiol Img. 2017;10(12): 1424–1433. doi: 10.1016/j.jcmg.2016.11.022
- Nishimura RA, McGoon MD, Shub C, et al. Echocardiographically documented mitral-valve prolapse. Long-term follow-up of 237 patients. N Engl J Med. 1985;313:1305–1309. doi: 10.1056/NEJM198511213132101
- Duren DR, Becker AE, Dunning AJ. Long-term follow-up of idiopathic mitral valve prolapse in 300 patients: a prospective study. J Am Coll Cardiol. 1988;11(1):42–47. doi: 10.1016/0735-1097(88)90164-7
- Zuppiroli A, Rinaldi M, Kramer-Fox R, et al. Natural history of mitral valve prolapse. Am J Cardiol. 1995;75(15):1028–1032. doi: 10.1016/S0002-9149(99)80718-8
- Kim S, Kuroda T, Nishinaga M, et al. Relationship between severity of mitral regurgitation and prognosis of mitral valve prolapse: echocardiographic follow-up study. Am Heart J. 1996;132(2): 348–355. doi: 10.1016/S0002-8703(96)90432-9
- Sriram CS, Syed FF, Ferguson ME, et al. Malignant bileaflet mitral valve prolapse syndrome in patients with otherwise idiopathic out-of-hospital cardiac arrest. J Am Coll Cardiol. 2013;62(3):222–230. doi: 10.1016/j.jacc.2013.02.060
- Basso C, Marra МP, Rizzo S, et al. Arrhythmic mitral valve prolapse and sudden cardiac death. Circulation. 2015;132(7):556–566. doi: 10.1161/CIRCULATIONAHA.115.016291
- Marra MP, Basso C, De Lazzari M, et al. Morphofunctional abnormalities of mitral annulus and arrhythmic mitral valve prolapse. Circ Cardiovasc Imaging. 2016;9(8):e005030. doi: 10.1161/CIRCIMAGING.116.005030
- Sriram CS, Syed FF, Ferguson ME, et al. Malignant bileaflet mitral valve prolapse syndrome in patients with otherwise idiopathic out-of-hospital cardiac arrest. J Am Coll Cardiol. 2013;62:222–230. doi: 10.1016/j.jacc.2013.02.060
- Carmo P, Andrade MJ, Aguiar C, et al. Mitral annular disjunction in myxomatous mitral valve disease: a relevant abnormality recognizable by transthoracic echocardiography. Cardiovasc Ultrasound. 2010;8:53. doi: 10.1186/1476-7120-8-53
- Yuan H-T, Yang M, Zhong L, et al. Ventricular premature contraction associated with mitral valve prolapse. Int J Cardiol. 2016;221:1144–1119. doi: 10.1016/j.ijcard.2016.06.252
- Eriksson MJ, Bitkover CY, Omran AS, et al. Mitral annular disjunction in advanced myxomatous mitral valve disease: echocardiographic detection and surgical correction. J Am Soc Echocardiogr. 2005;18(10):1014–1022. doi: 10.1016/j.echo.2005.06.013
- Bharati S, et al. The conduction system in mitral valve prolapse syndrome with sudden death. Am Heart J. 1981;101(5):667–670. doi: 10.1016/0002-8703(81)90235-0
- Basso C, Perazzolo Marra M. Mitral Annulus Disjunction. Emerging Role of Myocardial Mechanical Stretch in Arrhythmogenesis. J Am Coll Cardiol. 2018;72(14):1610–1612. DOI: 0.1016/j.jacc.2018.07.069
- Novikov VI, Novikova TN. Klapannye poroki serdtsa. Moscow: MEDpress-inform, 2020. 159 p. (In Russ.)
- Pellikka PA, She L, Holly TA, et al. Variability in Ejection Fraction Measured By Echocardiography, Gated Single-Photon Emission Computed Tomography, and Cardiac Magnetic Resonance in Patients With Coronary Artery Disease and Left Ventricular Dysfunction. JAMA Netw Open. 2018;1(4):e181456. doi: 10.1001/jamanetworkopen.2018.1456
- Chakrabarti AK, Bogun F, Liang JJ. Arrhythmic Mitral Valve Prolapse and Mitral Annular Disjunction: Clinical Features, Pathophysiology, Risk Stratification, and Management. J Cardiovasc Dev Dis. 2022;9(2):61. doi: 10.3390/jcdd9020061
- Dejgaard LA, Skjølsvik ET, Lie ØH, et al. The Mitral Annulus Disjunction Arrhythmic Syndrome. J Am Coll Cardiol. 2018;72(14):1600–1609. doi: 10.1016/j.jacc.2018.07.070
- Pavon AG, Arangalage D, Pascale P, et al. Myocardial extracellular volume by T1 mapping: a new marker of arrhythmia in mitral valve prolapse. J Cardiovasc Magn Reason. 2021;23:102. doi: 10.1186/s12968-021-00797-2
- Johnson JN, Mandell JG, Christopher A, et al. Society for Cardiovascular Magnetic Resonance 2020 Case of the Week series. J Cardiovasc Magn Reason. 2021;23:108. doi: 10.1186/s12968-021-00799-0
- Lancellotti P, Garbi M. Malignant Mitral Valve Prolapse Substrates to Ventricular Remodeling and Arrhythmias. Circ Cardiovasc Imaging. 2016;9(8):e005248. doi: 10.1161/CIRCIMAGING.116.005248
- Gajjar K, Kashyap K, Badlani J, et al. Pivotal role of cardiac MRI in mitral valve regurgitation. Authorea. 2020. doi: 10.22541/au.159724533.37535721
- Han H-C, Parsons S-A, Curl CL, et al. Systematic quantification of histologic ventricular fibrosis in isolated mitral valve prolapse and sudden cardiac death. Heart Rhythm. 2021;18(4):570–576. doi: 10.1016/j.hrthm.2020.12.021
Supplementary files











