Atrial fibrillation in a patient with diffuse myocardial fibrosis and mitral annular disjunction
- Authors: Evdokimova L.S.1, Itskovich I.E.1, Novikova T.N.1, Garpinchenko T.V.1
-
Affiliations:
- North-Western State Medical University named after I.I. Mechnikov
- Issue: Vol 3, No 3 (2023)
- Pages: 19-26
- Section: Case reports
- URL: https://journals.eco-vector.com/cardar/article/view/567797
- DOI: https://doi.org/10.17816/cardar567797
- ID: 567797
Cite item
Abstract
A case of atrial fibrillation and premature ventricular complexes (PVC) in a patient with mitral valve prolapse and mitral annular disjunction is described. Rhythm disturbances occurred after a new coronavirus infection. Also, the patient has a history of combined treatment of left breast cancer, which contributed to the appearance of myocardial fibrosis as an arrhythmogenic substrate. Due to the ineffectiveness of conservative antiarrhythmic therapy, a radiofrequency catheter procedure was performed, which proved unsuccessful. The purpose of the article is to present the possible causes of cardiac arrhythmias and the role of magnetic resonance imaging in the diagnosis of arrhythmogenic myocardial fibrosis and mitral annular disjunction.
Full Text
CLINICAL CASE
Patient D (59 years old) was admitted to the hospital for radiofrequency ablation (RFA) for atrial fibrillation (AF). The disease began in December 2020, when paroxysmal AF was first reported during inpatient treatment for pneumonia caused by moderate COVID-19. Another AF episode requiring hospitalization occurred in November 2022. Sinus rhythm was restored by electrical impulse therapy; however, after 4 days, arrhythmia recurred without subsequent restoration of sinus rhythm. AF was accompanied by symptoms such as dyspnea, asthenia, and palpitations; therefore, RFA (pulmonary vein isolation) was recommended.
Upon admission for RFA for AF, the patient had palpitations and interruptions in cardiac function, accompanied by dyspnea and asthenia, both during physical activity and at rest. The history of combined treatment for cancer of the left breast in 2004 (left-sided mastectomy, chemotherapy, and radiation therapy) was noteworthy. The concomitant disease was diffuse nodular goiter (euthyroidism on hormone replacement therapy). The patient was constantly taking bisoprolol (2.5 mg), L-thyroxine (75 mg), and rivaroxaban (20 mg).
Objective status on admission showed a satisfactory state, vesicular breathing, and absence of wheezing. Heart sounds were arrhythmic, the heart and pulse rates were 66 beats/min, and the blood pressure was 100/70 mmHg. The abdomen was soft and painless on palpation. No peripheral edema was observed.
Preoperatively, laboratory and instrumental diagnostic methods were performed. The values of clinical and biochemical blood test indicators were within the reference values.
During the inpatient treatment preceding this hospitalization, coronary angiography revealed the absence of stenotic or occlusive lesions of the coronary arteries.
The results of the electrocardiography (ECG) are presented in Fig. 1. The ECG recorded AF, ventricular extrasystole (VE), and QRS morphology characteristic of ventricular rhythm disorders from the outflow tract of the right ventricle (RV) that was atypical for mitral valve prolapse (MVP) and mitral annular disjunction (MAD). The presence of right VE may be associated with diffuse postradiation myocardial fibrosis, affecting not only the left ventricle (LV) but also the RV. Subsequently, repeated ECGs also recorded AF and VE of similar morphology.
Fig. 1. Electrocardiogram (50 mm/s, 10 mm/mV). Atrial fibrillation, normosystolic form. Single ventricular extrasystole
Рис. 1. Электрокардиограмма (50 мм/с, 10 мм/мВ). Фибрилляция предсердий, нормосистолическая форма. Одиночная желудочковая экстрасистола
The patient first learned about the presence of MVP and MAD during the examination that preceded RFA. Echocardiography (echoCG) did not reveal local impairment of the contractility of the left ventricular myocardium, and the myocardium was not thickened. Moderate myxomatous changes in the mitral valve cusps and grade 1 mitral regurgitation with a volume of up to 10 mL were observed, and the disjunction of the mitral valve ring was located up to 8 mm. The main parameters of echoCG and magnetic resonance imaging (MRI) are presented in Table 1.
Table 1. The main parameters obtained by echocardiography and cardiac MRI
Таблица 1. Основные параметры по результатам эхокардиографии и магнитно-резонансной томографии сердца
Parameters | EchoCG (B-mode) (range of normal values) [2] | MRI of the heart (range of normal values) [3] |
LVEF, % | 60 (54–74) | 46 (59–77) |
LV EDV, mL | 99 (46–106) | 106 (86–166) |
LV ESV, mL | 39 (14–42) | 58 (22–59) |
Indexed LV EDV, mL/m2 | 56 (29–61) | 59 (56–90) |
Indexed LV ESV, mL/m2 | 22 (8–24) | 32 (14–33) |
Myocardial mass, g | 132 (67–162) | 95 (72–144) |
Indexed myocardial mass, g/m2 | 75 (43–94) | 52 (48–78) |
Indexed LA volume, mL/m2 | 50 (16–34) | 57 (27–53) |
Note: EDV — end-diastolic volume; echoCG — echocardiography; ESV — end-systolic volume; LA — left atrium; LVEF — left ventricular ejection fraction; MRI — magnetic resonance imaging.
Примечание: ФВ ЛЖ — фракция выброса левого желудочка; КДО — конечно-диастолический объем; КСО — конечно-систолический объем; ЛП — левое предсердие.
To clarify the size of the cardiac chambers, contractile function of the left ventricular myocardium, and presence of myocardial fibrosis, cardiac MRI was performed with the intravenous administration of the contrast agent (CA) gadodiamide (0.2 mmol/kg). The study was conducted according to a standard scanning protocol with native T1 mapping of the myocardium. In addition to echoCG data, attention was drawn to the beginning hypertrophy of the lower basal segments of the left ventricular myocardium, a decrease in ejection fraction (EF) to 46%, and mild hypokinesia of the apical segments (Table 1). The difference in EF according to the results of the two methods can be due to cardiac arrhythmia and by different postprocessing calculation methods. As with MRI, more than 300 MRI slices were included in cardiac cycles of different durations, which led to a greater spread of EF in different cycles than with echoCG, during which 3–5 cycles were taken to calculate the EF. The difference between the EF measured using different imaging techniques can sometimes reach 20% [1]. In the presented case, the authors took the echoCG data obtained as the true EF values because of high accessibility for dynamic monitoring.
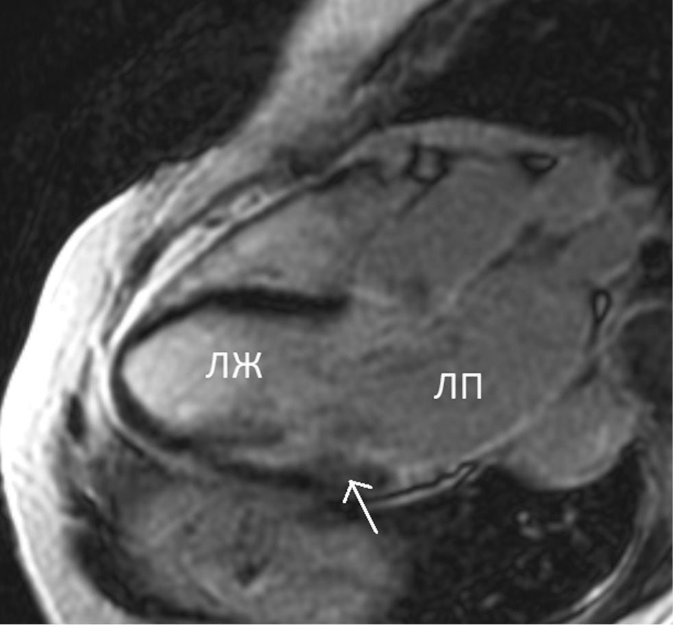
Prolapse of both cusps of the MV and MAD up to 8 mm at the level of the P3 segment was visualized (Fig. 2).
Fig. 2. Cardiac MRI, of end-systolic image in three-chamber view (Fiesta Cine). The thick arrow indicates the prolapse of the posterior leaf of the MV, the projection axis of the fibrous ring of the MV is carried out, the bidirectional arrow indicates the distance of the mitral annular disjunction
Рис. 2. Магнитно-резонансная томография сердца, конечно-систолическое изображение в трехкамерном виде (Fiesta Cine). Толстая стрелка указывает на пролапс задней створки митрального клапана, проведена проекционная ось фиброзного кольца митрального клапана, двунаправленная стрелка указывает расстояние митральной аннулярной дизъюнкции
When analyzing the qualitative and quantitative indicators of native T1 mapping (modified Look–Locker inversion recovery), areas where the T1 relaxation time of the myocardium of the interventricular septum and anterior and lateral walls of the LV was increased were identified, which were more pronounced at the level of the apical and middle segments (Fig. 3). In a quantitative analysis, the relaxation time in the indicated areas was > 1200 ms (above the average norm for 3.0 T tomographs of 1122 ± 57 ms) [4]. Taking into account previous radiation therapy for left breast cancer, these areas are manifestations of diffuse myocardial fibrosis.
Fig. 3. Cardiac MRI, T1-mapping short axis of the left ventricle. The arrows indicate areas with increased T1-relaxation time localized in the interventricular septum and in the anterior wall of the left ventricle at the level of the apical segments
Рис. 3. Магнитно-резонансная томография сердца, Т1-картирование миокарда по короткой оси левого желудочка. Стрелки указывают области с повышенным временем Т1-релаксации, локализованные в межжелудочковой перегородке и в передней стенке левого желудочка на уровне начала срединных сегментов
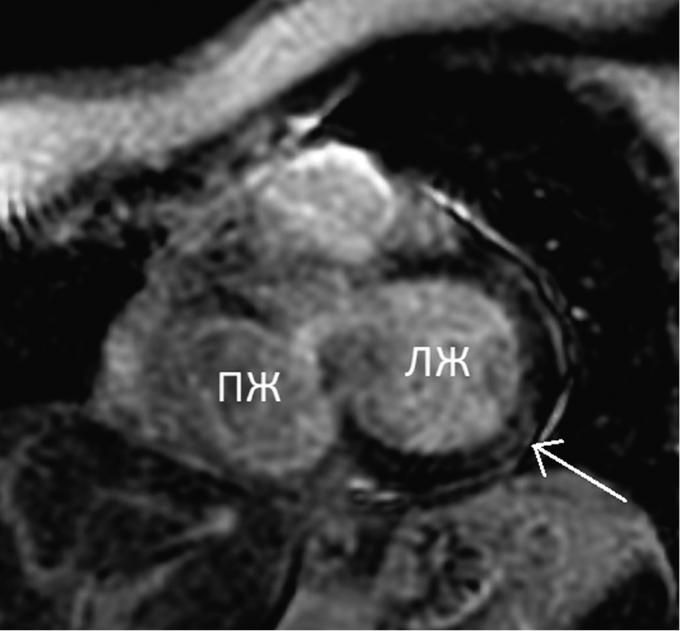
After intravenous CA administration in the delayed phase (myocardial delayed enhancement), an extended area of intramural accumulation of a nonischemic CA was identified and localized in the lower and posterolateral segments (4, 5) of the left ventricular basal sections (Figs. 4 and 5). No focal accumulation of CA was noted in areas with increased T1 relaxation time.
Fig. 4. Cardiac MRI, short axis at the level of the basal segments. Late gadolinium enhancement. The arrow indicates an intramural non-ischemic zone of contrast accumulation at the border of 4 and 5 left ventricle segments. ПЖ — right ventricle; ЛЖ — left ventricle
Рис. 4. Магнитно-резонансная томография сердца, по короткой оси на уровне базальных сегментов. Отсроченное контрастирование. Стрелкой указан интрамуральный участок накопления контрастного вещества на границе 4-го и 5-го сегментов левого желудочка неишемического характера. ПЖ — правый желудочек; ЛЖ — левый желудочек
Fig. 5. Cardiac MRI. Three-chamber view. Late gadolinium enhancement. The arrow indicates a low-intensity intramural zone of contrast accumulation at the level of 5th segment left ventricle. ЛЖ — left ventricle; ЛП — left atrium
Рис. 5. Магнитно-резонансная томография сердца. Трехкамерный вид. Отсроченное контрастирование. Стрелкой указан слабоинтенсивный интрамуральный участок накопления контрастного вещества на уровне 5-го сегмента левого желудочка. ЛЖ — левый желудочек; ЛП — левое предсердие
During the electrophysiological study against AF, an anatomical and activation map of the LA was constructed, according to which pathological activity was identified in the area of the left inferior pulmonary vein. The ostia of the pulmonary veins were isolated, followed by electrical pulse therapy. Unfortunately, sinus rhythm could not be restored.
After the correction of drug therapy, the patient was discharged in satisfactory condition with recommendations for further follow-up by a rhythmologist and RFA for ventricular arrhythmias if drug therapy was ineffective.
DISCUSSION
The onset of cardiac arrhythmias in the patient was recorded during hospitalization for COVID-19; however, the infectious disease cannot be regarded as the only cause of AF. A study [5] provided data on factors predisposing to paroxysmal AF in individuals hospitalized for COVID-19, including older age, cardiovascular disease, increased left atrial volume, and severity of COVID-19. The patient was 59 years old, and the average age of patients in the study was 75.9 ± 2.3 years. The course of COVID-19 was moderately severe. Among the two listed moderate risk factors, an increase in the left atrial volume index contributed to the emergence of AF. Several reasons were identified for the left atrial remodeling in the patient. First, MVP and MAD were present. Diffuse postradiation myocardial fibrosis involving not only the ventricular myocardium but also the atrial myocardium not only played an important role in AF onset but was also, perhaps, the key factor in the ineffectiveness of RFA [6].
Presumably, according to the QRS morphology, the ectopic focus of the ventricular activity in our patient was located in the right ventricular outflow tract; however, it was not possible to identify the substrate of ventricular ectopy using MRI. The assessment of fibrotic changes in the RV still poses a certain challenge because of the small thickness of the right ventricular wall, diffuse interstitial changes that are difficult to visualize even using T1 mapping of the myocardium, and delayed contrast sensitivity to fibrotic changes involving >1 g of the myocardium [7].
The assessment of left ventricular myocardial fibrosis using MRI is a different matter. In the present case, another tool that was used to assess the presence of diffuse myocardial fibrosis of the LV was the measurement of the T1 relaxation time using MRI. The method was based on mapping to assess qualitatively (using color coding of the relaxation time) and quantitatively (measuring directly the relaxation time) changes in the myocardium. Postcontrast T1 mapping was used to calculate the extracellular volume reflecting diffuse myocardial fibrosis or accumulation of pathological substances in storage diseases. In the present study, the extracellular volume was not calculated because of rhythm disorder, and the presence of diffuse postradiation fibrosis was concluded based on native T1 mapping data and the absence of fields of focal accumulation of CA on delayed postcontrast images. Tuohinen et al. [8] noted that radiation therapy for left breast cancer led to an increase in the T1 relaxation time of the left ventricular myocardium with a predominantly apical and inferior septal gradient of changes, which reflects diffuse fibrosis, as in our case.
The results of delayed contrast enhancement and analysis of cine images proved the presence of MVP, MAD, and inferior basal intramural fibrosis of the LV in the patient. In the literature, this combination is called the “malignant triad” [9]. These changes, sometimes accompanied by hypertrophy of the lower basal segments of the left ventricular myocardium, predispose the patient to the development of ventricular arrhythmias (ventricular tachycardia and extrasystoles) and increase the risk of sudden cardiac death [10].
The relationship between MVP and MAD in the patient with AF may be due to left atrial remodeling caused by these conditions. In addition to local myocardial fibrosis, chronic MAD may be accompanied by diffuse myocardial fibrosis, which contributes to an additional load on the LA during diastole and left atrial remodeling [10].
In this patient, the myocardial fibrosis had several causes. At present, no universal diagnostic tools and methods would enable us to determine the association of fibrosis with a specific cause. In some areas of the patient’s myocardium, fibrosis was caused by radiation therapy, whereas in other areas, fibrosis was due to MVP and MAD that developed in parallel with postradiation fibrosis. The true causes of fibrosis in various areas of the myocardium remain to be speculated. The potential influence of the patient’s hormonal status is particularly noteworthy. Therefore, thyroid imbalance has minimal contribution to cardiac arrhythmias in euthyroidism.
CONCLUSION
The described clinical case demonstrates the capabilities of cardiac MRI in the diagnosis of left ventricular myocardial fibrosis of various causes. The detection of myocardial fibrosis and assessment of its distribution and volume are important for understanding the pathogenesis of rhythm disorders and assessing the potential effectiveness of therapy. In addition, cardiac MRI enables the determination of the parameters of contractile function and morphological changes in the LV. In some cases, its data are more accurate than transthoracic echoCG [11].
Unfortunately, currently, no technique can unambiguously assess left atrial myocardial fibrosis, which, in our opinion, causes the failure of not only drug therapy for AF but also RFA. The emergence of such techniques in the future will enable us to predict the efficiency and feasibility of catheterization procedures for AF.
ADDITIONAL INFORMATION
Competing interests. The authors declare that they have no competing interests.
Funding source. This study was not supported by any external sources of funding.
Consent and anonymity of the patient. The patient provided consent for anonymous use and publication of his medical data.
About the authors
Larisa S. Evdokimova
North-Western State Medical University named after I.I. Mechnikov
Author for correspondence.
Email: Larisa.Evdokimova@szgmu.ru
ORCID iD: 0000-0002-7731-0109
SPIN-code: 3780-9470
radiologist of the MRI room of the clinic, E.E. Eichwald North-Western State Medical University named after I.I. Mechnikov
Russian Federation, Saint PetersburgIrina E. Itskovich
North-Western State Medical University named after I.I. Mechnikov
Email: itskovichirina@mail.ru
ORCID iD: 0000-0001-8352-3955
SPIN-code: 1240-9338
Dr. Sci. (Med.), professor
Russian Federation, Saint PetersburgTatiana N. Novikova
North-Western State Medical University named after I.I. Mechnikov
Email: novikova-tn@mail.ru
ORCID iD: 0000-0003-4655-0297
SPIN-code: 3401-0329
Cand. Sci. (Med.), associate professor
Russian Federation, Saint PetersburgTatiana V. Garpinchenko
North-Western State Medical University named after I.I. Mechnikov
Email: mellas2002@mail.ru
ORCID iD: 0000-0002-5293-5647
SPIN-code: 2396-2582
cardiologist
Saint PetersburgReferences
- Pellikka PA, She L, Holly TA, et al. Variability in ejection fraction measured by echocardiography, gated single-photon emission computed tomography, and cardiac magnetic resonance in patients with coronary artery disease and left ventricular dysfunction. JAMA Netw Open. 2018;1(4):e181456. doi: 10.1001/jamanetworkopen.2018.145
- Lang RM, Badano LP, Mor-Avi V, et al. Recommendations for cardiac chamber quantification by echocardiography in adults: An update from the American Society of Echocardiography and the European Association of Cardiovascular Imaging. J Am Soc Echocardiogr. 2015;28(1):1–39.E14. doi: 10.1016/j.echo.2014.10.003
- Herzog BA, Greenwood JP, Plein S, et al editors. Cardiovascular magnetic resonance: Pocket guide. 2nd edition. European Society of Cardiology, 2017. 119 p.
- Roy C, Slimani A, de Meester C, et al. Age and sex corrected normal reference values of T1, T2, T2* and ECV in healthy subjects at 3T CMR. J Cardiovasc Magn Reson. 2017;19(1):72. doi: 10.1186/s12968-017-0371-5
- Podzolkov VI, Tarzimanova AI, Bragina AE, et al. Predictors of atrial fibrillation in patients with COVID-19. Russian Journal of Cardiology. 2022;27(7):29–35. (In Russ.) doi: 10.15829/1560-4071-2022-5095
- Suksaranjit P, Akoum N, Kholmovski EG, et al. Incidental LV LGE on CMR imaging in atrial fibrillation predicts recurrence after ablation therapy. JACC: Cardiovasc Imaging. 2015;8(7):793–800. doi: 10.1016/j.jcmg.2015.03.008
- Liang K, Nakou E, Del Buono MG, et al. The role of cardiac magnetic resonance in myocardial infarction and non-obstructive coronary arteries. Front Cardiovasc Med. 2022;8:821067. doi: 10.3389/fcvm.2021.821067
- Tuohinen S, Skytta T, Virtanen V, et al. Radiotherapy-induced changes in breast cancer patients in extra cellular volume and T1 mapping in cardiac magnetic resonance imaging and in ECG six years after radiotherapy treatment. Eur Heart J – Cardiovasc Imaging. 2019;20(S2):jez111.008. doi: 10.1093/ehjci/jez111.008
- Johnson JN, Mandell JG, Christopher A, et al. Society for Cardiovascular Magnetic Resonance 2020 case of the week series. J Cardiovasc Magn Reson. 2021;23:108. doi: 10.1186/s12968-021-00799-0
- Chakrabarti AK, Bogun F, Liang JJ. Arrhythmic mitral valve prolapse and mitral annular disjunction: Clinical features, pathophysiology, risk stratification, and management. J Cardiovasc Dev Dis. 2022;9(2):61. doi: 10.3390/jcdd9020061
- Novikova TN, Basova VA, Evdokimova LS, et al. A case of mitral annular disjunction combined with ventricular arrhythmias. Cardiac Arrhythmias. 2022;2(2):41–50. (In Russ.) doi: 10.17816/cardar109160
Supplementary files








