Клинический случай успешного лечения фокусной желудочковой аритмии у пациентки с аритмогенным пролапсом митрального клапана
- Авторы: Третьякова Н.С.1, Болдуева С.А.1, Леонова И.А.1, Швецова О.С.2, Евдокимова Л.С.1
-
Учреждения:
- Северо-Западный государственный медицинский университет им. И.И. Мечникова
- Городская поликлиника № 98
- Выпуск: Том 4, № 2 (2024)
- Страницы: 41-50
- Раздел: Клинические случаи
- URL: https://journals.eco-vector.com/cardar/article/view/630783
- DOI: https://doi.org/10.17816/cardar630783
- ID: 630783
Цитировать
Аннотация
Проблема ведения пациентов с пролапсом митрального клапана и желудочковыми нарушениями ритма — аритмогенным пролапсом митрального клапана — достаточно актуальна в клинической практике, что привело к появлению в 2022 году экспертного консенсуса по ведению таких больных. На основании созданных критериев можно выявить группу лиц высокого риска внезапной сердечной смерти при пролапсе митрального клапана и осуществить мероприятия по ее предотвращению. Как вести больных с умеренным риском внезапной сердечной смерти остается не до конца понятным. Предлагается клинический случай успешного лечения фокусной желудочковой аритмии у пациентки с пролапсом митрального клапана.
Ключевые слова
Полный текст
Пролапс митрального клапана (ПМК) довольно широко распространен в популяции, чаще всего выявляется при плановом эхокардиографическом (ЭхоКГ) обследовании, и, по мнению многих специалистов, характеризуется доброкачественным течением [1–3]. У большинства пациентов действительно не наблюдается никаких клинических проявлений ПМК, однако в некоторых случаях у лиц с ПМК возникают такие серьезные осложнения, как тяжелая митральная регургитация, требующая хирургической коррекции, инфекционный эндокардит, системные эмболии, фибрилляция предсердий, желудочковые аритмии (ЖА), и даже внезапная смерть [4, 5]. Внезапная сердечная смерть (ВСС) у больных с ПМК встречается в 0,2–0,4 % случаев, что превышает общепопуляционную [3, 6, 7].
В исследованиях, посвященных поиску причинно-следственных связей между ПМК и ВСС, были получены доказательства взаимосвязи электрической нестабильности миокарда и изменений структуры митрального аппарата, таких как фиброз левого желудочка в сосочковых мышцах и нижне-базальной стенке, дизъюнкция митрального кольца (митрально-аннулярное разъединение / mitral annular disjunction — MAD) и систолическое скручивание [3, 6, 7].
В последние годы появилось такое понятие, как «аритмогенный пролапс митрального клапана», под которым подразумевается ПМК, сочетающийся с частыми или сложными ЖА, в том числе жизнеугрожающими (желудочковая тахикардия (ЖТ), фибрилляция желудочков (ФЖ)) в отсутствие какого-либо другого аритмического субстрата (при наличии MAD или без него) [8]. В 2022 году был издан консенсус экспертов, посвященный ведению подобных пациентов [6]. Согласно данным ряда опубликованных регистров по ВСС чаще всего случаи ВСС встречаются у молодых женщин с ПМК на фоне полного здоровья [3, 7, 9]. На основании представленных в литературе клинических случаев сформировался определенный клинический профиль пациента с «аритмогенным ПМК»: женщина молодого или среднего возраста с поражением обеих створок МК, нарушением проведения в системе ножек пучка Гиса, расстройствами реполяризации (смещение сегмента ST, инверсия зубца Т), полиморфной желудочковой экстрасистолией с морфологией блокады правой ножки пучка Гиса [3, 7, 10, 11].
Представляем клинический случай лечения фокусной ЖА у пациентки среднего возраста с пролапсом митрального клапана.
Женщина, 54 года, поступила в плановом порядке в клинику кардиологии СЗГМУ им. И.И. Мечникова 10.10.2023 с жалобами на ощущение перебоев в работе сердца (учащенное сердцебиение, ощущение замирания). Жалоб со стороны других органов и систем не предъявляла.
Из анамнеза заболевания известно, что ощущение перебоев в работе сердца начала отмечать с 30 лет, однако в то время по поводу нарушений ритма не обследовалась, на ЭКГ, со слов пациентки, аритмий не было. В этом же возрасте стала отмечать повышение показателей артериального давления до 160/90 мм рт. ст., в связи с чем был назначен прием гипотензивных препаратов (ингибитор АПФ+Са-антагонист) с положительным эффектом. Знает о повышении уровня общего холестерина до 6,6 ммоль/л (триглицериды — 1,2 ммоль/л, липопротеиды высокой плотности — 1,84 ммоль/л, липопротеины низкой плотности — 4,21 ммоль/л, коэффициент атерогенности — 2,6) в течение нескольких лет, однако гиполипидемическую терапию ей не назначали.
Первое в жизни суточное мониторирование ЭКГ (СМ ЭКГ) было выполнено 17.03.2020 (без препаратов). Заключение: синусовый ритм с ЧСС от 58 до 140 (средняя 86) уд/мин, субмаксимальная частота сердечных сокращений (ЧСС) достигнута; одиночные желудочковые экстрасистолы 1-го типа — 332 (15/ч), одиночные желудочковые экстрасистолы 2-го типа — 91 (4/ч), парные желудочковые мономорфные экстрасистолы — 7; одиночные наджелудочковые экстрасистолы — 114 (5/ч); ишемические изменения на ЭКГ не обнаружены. Кардиологом по месту жительства был назначен бисопролол 5 мг.
На фоне данной терапии через 4 мес. выполнено контрольное СМ ЭКГ: синусовый ритм с ЧСС от 58 до 138 (среднее 78) уд/мин, субмаксимальная ЧСС достигнута; одиночные желудочковые экстрасистолы 1-го типа — 122 (5/ч), одиночные желудочковые экстрасистолы 2-го типа — 31 (1/ч); одиночные наджелудочковые экстрасистолы — 79 (3/ч); ишемические изменения на ЭКГ не обнаружены. Учитывая хороший клинический ответ на прием β-блокаторов, пациентка продолжила его прием.
Отмечает ухудшение с 2021 года (на фоне сильного стресса и перенесенного COVID-19), когда стала отмечать нарастание частоты приступов (несколько раз в неделю) в виде ощущения перебоев в работе сердца как при физической нагрузке, так и в покое («будто все кувыркается внутри»); на фоне приступов возникало чувство нехватки воздуха. Кроме того, отмечала 2 эпизода пресинкопального состояния, возникших среди полного благополучия, в покое, сопровождающихся чувством перебоев в работе сердца.
СМ ЭКГ от 09.11.2022 (рис. 1): синусовый ритм с ЧСС от 55 до 136 (среднее 76) уд/мин; одиночные желудочковые экстрасистолы 1-го типа — 19 361 (805/ч), одиночные желудочковые экстрасистолы 2-го типа — 1067 (44/ч), парные желудочковые мономорфные экстрасистолы — 1267 (53/ч), парные желудочковые полиморфные экстрасистолы — 364 (15/ч), неустойчивая мономорфная желудочковая тахикардия (ЖТ) — 40/сут (2/ч) днем, ночью нет, неустойчивая полиморфная ЖТ — 27 (1/ч) днем, ночью нет.
Рис. 1. Эпизоды неустойчивой желудочковой тахикардии по данным суточного мониторирования кардиограммы 09.11.2022
По результатам исследования пациентке на амбулаторном этапе был назначен соталол в дозировке 120 мг/сут, дальнейшие попытки увеличения дозы были сопряжены с развитием выраженной брадикардии, поэтому была оставлена прежняя дозировка.
На фоне терапии соталолом 27.06.2023 выполнено СМ ЭКГ: синусовый ритм с ЧСС от 59 до 119 (среднее 79) уд/мин, одиночные желудочковые экстрасистолы 1-го типа — 16 553 (696/час), одиночные желудочковые экстрасистолы 2-го типа — 67 (3/ч), парные желудочковые мономорфные экстрасистолы — 982 (41/ч), парные желудочковые полиморфные экстрасистолы — 135 (6/ч) днем, ночью нет, неустойчивая полиморфная ЖТ — 34 (1/ч) днем, ночью нет (рис. 2).
Рис. 2. Эпизоды неустойчивой полиморфной желудочковой тахикардии по данным суточного мониторирования электрокардиограммы от 27.06.2023
Учитывая сохранение желудочковых нарушений ритма (ЖНР) высокой градации, пациентка была госпитализирована в отделение кардиологии СЗГМУ им Мечникова И.И. для обследования и определения дальнейшей тактики лечения.
Из анамнеза жизни известно, что бабушка пациентки умерла внезапно в 42 года, а у отца выявлены ПМК и ЖНР, по поводу чего он принимает лекарственную терапию (что именно, пациентка затруднилась ответить); отец пациентки был приглашен в клинику для обследования, но не пришел.
С юности пациентка занималась спортом (легкая атлетика), проходила обследования в спортивных диспансерах, никакой патологии не выявлялось. Нарушений менструального цикла нет, беременность одна, закончившаяся медицинским прерыванием в 17 лет (по социальным причинам). Пациентка курит до 5 сигарет в день в течение 30 лет.
При объективном осмотре при поступлении: состояние удовлетворительное. Сознание ясное. Вес 56 кг, рост 165 см. Пульс 65 уд/мин, аритмичный (экстрасистолия), удовлетворительных характеристик. Границы относительной сердечной тупости не расширены. Тоны сердца приглушены. Патологические шумы не выслушиваются. Артериальное давление 125/90 мм рт. ст. Грудная клетка правильной формы. Частота дыхания 16/мин. При аускультации дыхание жесткое, проводится во все отделы, побочных дыхательных шумов нет.
Были выполнены клинико-лабораторные исследования: клинический анализ крови, биохимический анализ крови — без патологии. Исследование тиреоидного статуса — без отклонений.
По данным ЭКГ: синусовый ритм с ЧСС 64 уд/мин. Блокада передне-верхней ветви левой ножки пучка Гиса. Медленное нарастание зубцов rV1→V3. Нарушение процессов реполяризации (двухфазный, слабоположительный Т в V4–V6 (рис. 3).
Рис. 3. Электрокардиограмма от 10.10.2023
По данным ЭхоКГ (выполнено впервые за все время наблюдения): левый желудочек (ЛЖ) не увеличен, миокард не утолщен, межжелудочовая перегородка 8 мм, задняя стенка ЛЖ 9 мм; локальных нарушений сократимости не выявлено; глобальная сократимость сохранена, фракция выброса ЛЖ 61,2 %. Створки митрального клапана (МК) миксоматозно изменены, пролапс обеих створок МК 2 ст., 8 мм. Регургитация 1 ст., VC 4 мм (рис. 4).
Рис. 4. Эхокардиограмма от 11.10.2023. Стрелками показано пролабирование створок митрального клапана
При анализе результатов ЭКГ и СМ ЭКГ пациентки нам не удалось убедительно определить локализацию желудочковой экстрасистолии относительно аппарата МК: передняя и задняя папиллярные мышцы, передний и задний отделы митрального кольца. Желудочковые комплексы не соответствовали существующим критериям для этих локализаций [6], но по морфологии комплексов было понятно, что они происходят из ЛЖ.
Учитывая наличие факторов риска развития ишемической болезни сердца (дислипидемия, артериальная гипертензия, отягощенная наследственность, курение) для исключения ишемического генеза нарушений ритма был проведен нагрузочный стресс-тест (стрессЭхоКГ) (на фоне отмены соталола). По результатам стресс-теста: достигнута субмаксимальная ЧСС при нагрузке 75 Вт (8.40 МЕТ). Исходно — нарушений локальной сократимости не найдено. На высоте нагрузки нарушений локальной сократимости не появилось. Во время теста выявлены нарушения ритма (одиночные, парные полиморфные экстрасистолы (бигеминия), эпизоды неустойчивой ЖТ), частота которых значимо не нарастала по мере повышения уровня физической нагрузки и увеличения ЧСС. На претестовой ЭКГ — одиночная полиморфная экстрасистолия, частота нарушений ритма не изменилась достоверно на фоне нагрузки. В восстановительном периоде: одиночная и парная полиморфная экстрасистолия, выраженность нарушений ритма не отличалась от данных до нагрузочного теста.
Следующим этапом пациентке была проведена диагностическая коронароангиография: коронарные артерии не изменены.
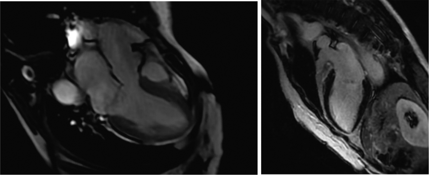
Для исключения перенесенного миокардита и выявления морфологического субстрата ЖНР пациентке была выполнена магнитно-резонансная томография (МРТ) миокарда с контрастом (гадолиний). МРТ сердца была проведена на томографе с индукцией магнитного поля 3 Т по стандартному протоколу с прицельной оценкой митрального клапана (рис. 5).
Рис. 5. Магнитно-резонансная томография миокарда. Фаза отсроченного накопления контрастного препарата
Сократительная функция по данным МРТ (в скобках указаны нормальные значения для возраста и пола): фракция выброса ЛЖ — 61 % (59–77 %), ударный объем — 84 мл (57–113 мл). Конечно-диастолический объем — 138 мл (86–166 мл). Конечно-диастолический объем инд. — 85 мл/м2 (56-90 мл/м2). Конечно-систолический объем — 54 мл (22–59 мл). Конечно-систолический объем инд. — 33 мл/м2 (14–33 мл/м2). Масса миокарда — 139 г (72–144 г), масса инд. — 87 г (48–78 г). При анализе изображений, полученных в режиме Cine, отмечался пролапс задней створки МК, признаков митральной аннулярной дизъюнкции не выявлено. На сериях отсроченного накопления контрастного препарата в объеме 20 мл признаки накопления в миокарде не определялись — данных о наличии воспалительных и фиброзных изменений не получено.
Ввиду неэффективности проводимой антиаритмической терапии совместно с аритмологами было принято решение о проведении радиочастотной катетерной аблации (РЧА) зоны наиболее частой аритмии с учетом имеющихся у больной факторов риска ВСС — расширенного протокола эндокардиального электрофизиологического исследования (эЭФИ). Пациентка была переведена в отделение хирургического лечения сложных нарушений ритма сердца (заведующий отделением — д-р мед. наук В.А. Маринин).
Результаты эЭФИ: при программированной стимуляции АВ-проведение декрементное без разрывов и эхо-ответов. При сверхчастой стимуляции фибрилляция предсердий, трепетание предсердий, предсердная тахикардия не индуцируются. При проведении сверхчастой стимуляции из верхушки ЛЖ и выходного тракта ЛЖ до 3 экстрастимулов ЖТ не индуцируется. Построена электро-анатомическая карта. Выявлена наиболее ранняя активация на фоне левожелудочковой экстрасистолии в передне-перегородочной области ближе к верхушке ЛЖ. В эту зону был направлен РЧ-ток мощностью 40 Вт длительностью мин 2 с исчезновением ЖЭ.
В послеоперационном периоде пациентка отмечала значительное улучшение самочувствия, исчезновение ощущения перебоев в работе сердца, была выписана на амбулаторное лечение с рекомендациями: аторвастатин 40 мг/сут, периндоприл 4 мг/сут, амлодипин 5 мг/сут, бисопролол 5 мг/сут.
В феврале 2024 года амбулаторно выполнено СМ ЭКГ: синусовый ритм с ЧСС от 57 до 139 (средняя 76) уд/мин; одиночные желудочковые экстрасистолы 1-го типа — 118 (5/ч), одиночные желудочковые экстрасистолы 2-го типа — 28 (1/ч), одиночные наджелудочковые экстрасистолы — 79 (3/ч); ишемические изменения на ЭКГ не обнаружены. Данные СМ ЭКГ свидетельствовали о хорошем антиаритмическом эффекте проведенного вмешательства.
ОБСУЖДЕНИЕ
Клинические проявления ПМК чаше всего определяются выраженностью митральной регургитации (МР) [4, 6], при тяжелой степени которой развивается ремоделирование левого предсердия и ЛЖ. При незначительном объеме МР и нормальных размерах левых камер сердца течение ПМК считается доброкачественным, с хорошим прогнозом [12]. Вместе с тем рядом авторов было показано, что у пациентов с ПМК могут развиваться жизнеугрожающие ЖНР и ВСС независимо от тяжести МР или дисфункции ЛЖ [9, 13, 14].
В исследовании B. Essayagh и соавт., проведенном на большой (n = 595) когорте пациентов [9] с изолированным ПМК, было показано, что при СМ ЭКГ ЖНР выявляются нечасто, но неустойчивая ЖТ, которая встречалась у 9 % больных, при частоте 180 уд/мин и более, была предиктором ВСС.
В последние годы ряд исследований продемонстрировал существенную связь между MAD и ПМК [15]. Их результаты подтвердили, что у пациентов с ПМК наблюдалась более высокая частота MAD по сравнению с пациентами с ПМК без аритмии [11, 15]. С другой стороны, было показано, что даже без ПМК MAD связано со сложными аритмическими явлениями, что позволяет предположить, что оно сама по себе может быть маркером злокачественных ЖНР [16].
Что касается нашей пациентки, учитывая ухудшение клинической симптоматики и появление более серьезных ЖНР при СМ ЭКГ после перенесенной в 2021 году новой коронавирусной инфекции, можно было предположить, что больная перенесла в 2021 году вирусный миокардит. Описаны клинические случаи [17] нарастания клинической симптоматики у пациентов с ПМК на фоне COVID-19, но все они были связаны с явлениями сердечной недостаточности у таких пациентов вследствие острого миокардита и усиления митральной регургитации без последующего нарастания ЖНР.
У 28–37 % [18, 19] пациентов с ПМК при МРТ выявляются зоны фиброза, часто локализующиеся в области кольца и папиллярных мышц, а также нижне-базальной стенки ЛЖ [20]. У нашей больной при МРТ сердца не было выявлено тяжелой МР и дисфункции ЛЖ, а также MAD, признаков текущего или перенесенного миокардита, очагов фиброза. Такая ситуация нередко встречается при так называемых идиопатических ЖА. Что касается возникновения ЖНР при ПМК, то они могут быть связаны не только с анатомическим субстратом (очаги фиброза папиллярных мышц, вовлечение волокон Пуркинье и др.), т. е. механизмом ре-ентри, но и с натяжением подклапанных структур с реализацией механизма постдеполяризаций [6]. Косвенным признаком подобного могут быть имеющиеся у нашей пациентки нарушения реполяризации в виде двухфазного, слабоположительного Т в V4–V6. Кроме того, наличие миксоматозных нарушений в МК не исключает структурной патологии других отделов миокарда, в том числе на клеточном уровне, что невозможно выявить при МРТ.
В связи с тем, что специальные протоколы для пациентов с ПМК не разработаны, согласно консенсусу по АПМК [6] используется стандартный протокол эндокардиального ЭФИ. По данным независимого систематического обзора на эту тему [21], при проведении эЭФИ у пациентов с ПМК, переживших эпизод ВСС, ЖТ индуцировалась в 5 % случаев, НЖТ — 23 %, ФЖ — 18 %; в 55 % случаев ЖНР не индуцировалась. Таким образом, авторыы делают вывод, что диагностическое значение эндокардиального ЭФИ при использовании стандартного протокола в данной ситуации ограничено.
В представленном случае при ЭФИ обнаружена ранняя активация на фоне левожелудочковой экстрасистолии в передне-перегородочной области, ближе к верхушке; ЖТ не индуцирована, последующее РЧ-воздействие в этой зоне привело к ликвидации одного, самого частого типа мономорфной ЖЭ и способствовало уменьшению количества других. Согласно данным картирования, фокусной активности из структур папиллярных мышц обнаружено не было.
Таким образом, несмотря на недоказанную, по данным эЭФИ нашей пациентки, непосредственную связь зоны ранней активации с областью МК, мы считаем возможным считать имеющуюся патологию аритмогенным ПМК, поскольку, согласно консенсусу экспертов [6], к категории лиц с АПМК относятся пациенты, имеющие ПМК (с или без MAD), с частой (более 5 % от общего числа комплексов) и/или полиморфной, парной ЖЭ, НЖТ, ЖТ, ФЖ при отсутствии иного доказанного аритмогенного субстрата. Больная в целом соответствовала традиционно описываемому «фенотипу аритмогенного ПМК», вероятно, наследственного генеза: женщина среднего возраста, астенического телосложения, с пролабированием двух створок МК, признаками нарушения реполяризации по ЭКГ — двухфазный, слабоположительный Т в V4–V6, с полиморфной желудочковой экстрасистолией с морфологией блокады правой ножки пучка Гиса. Как упоминалось выше, у отца больной имеется ПМК, и он лечится по поводу аритмий, а бабушка пациентки (по линии отца) внезапно умерла в 42 года.
В соответствии с консенсусом экспертов Европейской ассоциации сердечного ритма (European Heart Rhythm Association — EHRA) по ведению пациентов с аритмогенным ПМК 2022 года [6], к пациентам высокого риска ВСС относят лиц с устойчивой ЖТ (не из выходного тракта правого или левого желудочка), спонтанной неустойчивой ЖТ и неустойчивой ЖТ > 180 уд/мин, синкопальными состояниями, изменениями на ЭКГ, случаями ВСС у ближайших родственников, тяжелой МР, МАD, признаками накопления контраста по данным МРТ. Наша пациентка соответствовала по меньшей мере группе умеренного риска: полиморфная ЖЭ, неустойчивая ЖТ > 180 уд/мин, частая и парная ЖЭ, нарушения реполяризации на ЭКГ, пресинкопальные состояния в анамнезе. Именно поэтому мы просили аритмологов провести полный протокол эЭФИ.
Пациентам с аритмогенным ПМК обычно назначают те же антиаритмические препараты, что и другим пациентам с ЖНР [8, 10], однако исследований, подтверждающих их эффективность при данной патологии, в настоящее время нет. Согласно консенсусу экспертов EHRA [6], для предотвращения ВСС у пациентов с аритмогенным ПМК рассматриваются 4 варианта лечения: медикаментозная терапия, катетерная абляция, установка имплантируемого кардиовертера-дефибриллятора (ИКД) и операция на МК. Варианты лечения аритмогенного ПМК направлены на улучшение переносимости симптомов и повышение выживаемости.
Катетерная абляция является эффективным методом лечения злокачественных аритмий у пациентов с ПМК [10, 11, 22, 23]. F.F. Syed и соавт. продемонстрировали, что РЧА может быть успешна у пациентов с ПМК с симптоматическими, резистентными к лекарственным средствам ЖА [18].
В настоящее время существует мало данных, которые бы доказывали эффективность установки ИКД пациентам с высоким риском ВСС на фоне ПМК. Некоторые эксперты предлагают использовать эЭФИ для стратификации риска ВСС у этих пациентов и при индукции устойчивой ЖТ рекомендуют имплантацию ИКД для первичной профилактики ВСС [6, 7, 15]. Имплантация ИКД пациентам с аритмогенным ПМК, перенесшим остановку сердца, проводится по принципу вторичной профилактики ВСС [6, 7, 10, 11].
В нашем случае назначение пациентке антиаритмических препаратов оказалось малоэффективным, показаний к имплантации ИКД или коррекции МР не было, ЖНР были симптомными, несмотря на медикаментозную терапию. В связи с этим, учитывая частоту и характер ЖНР, данные эЭФИ, было принято решение о проведении инвазивного вмешательства, а именно катетерной аблации аритмогенного очага, которая оказалась эффективной. Однако больная должна находиться под наблюдением кардиолога, так как ПМК остается и не исключено наличие иного скрытого аритмогенного субстрата, ведь известны случаи ВСС у пациентов с АПМК спустя годы после обнаружения ЖНР [6].
ЗАКЛЮЧЕНИЕ
На сегодняшний день аритмогенный ПМК все чаще становится предметом описания. Связь ПМК и ВСС подтверждается рядом клинических, электрокардиографических и электрофизиологических данных. Считается, что наиболее высокий риск ВСС имеется у пациентов с дизъюнкцией митрального кольца, однако злокачественные ЖА встречаются и у пациентов с ПМК без MAD.
Стоит отметить, что механизмы ЖНР у пациентов с ПМК требуют дальнейшего исследования, использования различных более точных методов инвазивного и неинвазивного картирования, а также изучения клеточных механизмов нарушений ритма. Необходимо продолжить поиски маркеров риска и разработку оптимальных стратегий лечения, основанных на фактических данных у подобных больных. Врачам общей практики следует помнить, что «безобидный» ПМК может оказаться фатальным, поэтому всем пациентам с ПМК, жалующимся на перебои в работе сердца, следует выполнять СМ ЭКГ.
ДОПОЛНИТЕЛЬНАЯ ИНФОРМАЦИЯ
Вклад авторов. Все авторы внесли существенный вклад в разработку концепции, проведение исследования и подготовку статьи, прочли и одобрили финальную версию перед публикацией. Вклад каждого автора: Н.С. Третьякова — обследование пациента, получение первичных данных, анализ полученных данных, написание текста; С.А. Болдуева — концепция и дизайн исследования, написание текста; внесение окончательной правки; И.А. Леонова — концепция и дизайн исследования, анализ литературы, написание текста; О.С. Швецова — обследование пациентки, получение первичных данных, анализ полученных данных; Л.С. Евдокимова — выполнение МРТ-исследования, обзор литературы.
Конфликт интересов. Авторы заявляют об отсутствии потенциального конфликта интересов, требующего раскрытия в данной статье.
Источник финансирования. Авторы заявляют об отсутствии внешнего финансирования при проведении исследования. Все исследования, представленные в данной статье, выполнялись в рамках рутинной клинической практики по полису обязательного медицинского страхования
Информированное согласие на публикацию. Авторы получили письменное согласие пациента на публикацию медицинских данных и фотографий.
Благодарности. Авторы признательны сотрудникам отделения кардиохирургии с хирургическим лечением сложных нарушений ритма сердца и элекардиостимуляции (рентгенохирургическими методами) ФГБОУ ВО СЗГМУ им. И.И. Мечникова Минздрава России за консультации.
ADDITIONAL INFORMATION
Author contribution. Thereby, all authors confirm that their authorship complies with the international ICMJE criteria (all authors have made a significant contribution to the development of the concept, research, and preparation of the article, as well as read and approved the final version before its publication). Personal contribution of the authors: N.S. Tretyakova — examination of the patient, primary data obtaining, analyzing the data obtained, writing the text; S.A. Boldueva — experimental design, writing the main part of the text; making final edits; I.A. Leonova — experimental design, writing the text; literature review; O.S. Shvetsova — examination of the patient, primary data obtaining, analyzing the data obtained; L.S. Evdokimova — MRI investigation, literature review.
Competing interests. The authors declare that they have no competing interests.
Funding source. All studies presented in this article were carried out as part of routine clinical practice under a compulsory health insurance policy.
Informed consent for publication. Written consent was obtained from the patient for publication of relevant medical information and all accompanying images within the manuscript.
Acknowledgments. The authors are grateful to the staff of the Department of Cardiac Surgery for the surgical treatment of complex cardiac arrhythmias and cardiac pacing (using X-ray surgical methods) of the North-Western State Medical University named after I.I. Mechnikov for consultations.
Об авторах
Наталья Сергеевна Третьякова
Северо-Западный государственный медицинский университет им. И.И. Мечникова
Автор, ответственный за переписку.
Email: tretyakovans@list.ru
ORCID iD: 0000-0003-3844-1429
SPIN-код: 5464-1240
канд. мед. наук, ассистент кафедры факультетской терапии
Россия, Санкт-ПетербургСветлана Афанасьевна Болдуева
Северо-Западный государственный медицинский университет им. И.И. Мечникова
Email: svetlana.boldueva@szgmu.ru
ORCID iD: 0000-0002-1898-084X
SPIN-код: 3716-3375
д-р мед. наук, профессор
Россия, Санкт-ПетербургИрина Анатольевна Леонова
Северо-Западный государственный медицинский университет им. И.И. Мечникова
Email: ivanov_leonova@mail.ru
ORCID iD: 0000-0002-8472-8343
SPIN-код: 4781-2859
канд. мед. наук
Россия, Санкт-ПетербургОльга Сергеевна Швецова
Городская поликлиника № 98
Email: shveolya@mail.ru
ORCID iD: 0009-0008-6768-4749
врач-терапевт
Россия, Санкт-ПетербургЛариса Сергеевна Евдокимова
Северо-Западный государственный медицинский университет им. И.И. Мечникова
Email: Larisa.Evdokimova@szgmu.ru
ORCID iD: 0000-0002-7731-0109
SPIN-код: 3780-9470
врач-рентгенолог
Россия, Санкт-ПетербургСписок литературы
- Avierinos J.F., Gersh B.J., Melton L.J. 3rd, et al. Natural history of asymptomatic mitral valve prolapse in the community // Circulation. 2002. Vol. 106, N. 11. P. 1355–1361. doi: 10.1161/01.cir.0000028933.34260.09
- Freed L.A., Benjamin E.J., Levy D., et al. Mitral valve prolapse in the general population: The benign nature of echocardiographic features in the Framingham Heart Study // J Am Coll Cardiol. 2002. Vol 40, N 7. P. 1298–1304. doi: 10.1016/s0735-1097(02)02161-7
- Широбоких О.Е., Былова Н.А. Пролапс митрального клапана и внезапная сердечная смерть: кто в группе риска? // Архивъ внутренней медицины. 2016. Т. 6, № 3. С. 25–29. EDN: VZTUIB doi: 10.20514/2226-6704-2016-6-3-25-29
- Otto C.M., Nishimura R.A., Bonow R.O., et al. 2020 ACC/AHA guideline for the management of patients with valvular heart disease: executive summary: a report of the American college of cardiology/American heart association joint committee on clinical practice guidelines // Circulation. 2021. Vol. 143, N 5. P. 35–71. doi: 10.1161/CIR.0000000000000932
- Мыслицкая Г.В., Новиков В.И., Узилевская P.A. Нарушения сердечного ритма при синдроме пролапса митрального клапана // Кардиология. 1986. № 8. С. 49–53.
- Sabbag A., Essayagh B., Barrera J.D.R., et al. EHRA expert consensus statement on arrhythmic mitral valve prolapse and mitral annular disjunction complex in collaboration with the ESC Council on valvular heart disease and the European Association of Cardiovascular Imaging endorsed cby the Heart Rhythm Society, by the Asia Pacific Heart Rhythm Society, and by the Latin American Heart Rhythm Society // Europace. 2022. Vol. 24, N 12. P. 1981–2003. doi: 10.1093/europace/euac125
- Кужель Д.А., Матюшин Г.В., Савченко Е.А. Аритмогенный пролапс митрального клапана: новые угрозы известного заболевания // Рациональная Фармакотерапия в Кардиологии. 2023. Т. 19, № 1. C. 77–82. EDN: NGNGWE doi: 10.20996/1819-6446-2023-01-05
- Kubala M., Essayagh B., Michelena H.I., et al. Arrhythmic mitral valve prolapse in 2023: Evidence-based update // Front Cardiovasc Med. 2023. Vol. 10. P. 1130174. doi: 10.3389/fcvm.2023.1130174
- Essayagh B., Sabbag A., Antoine C., et al. Presentation and outcome of arrhythmic mitral valve prolapse // J Am Coll Cardiol. 2020. Vol. 76, N 6. P. 637–649. doi: 10.1016/j.jacc.2020.06.029
- Basso C., Iliceto S., Thiene G., Perazzolo Marra M. Mitral valve prolapse, ventricular arrhythmias, and sudden death // Circulation. 2019. Vol. 140, N 11. P. 952–964. doi: 10.1161/CIRCULATIONAHA.118.034075
- Korovesis T.G., Koutrolou-Sotiropoulou P., Katritsis D.G. Arrhythmogenic mitral valve prolapse // Arrhythm Electrophysiol Rev. 2022. Vol. 11. P. e16. doi: 10.15420/aer.2021.28
- Turker Y., Ozaydin M., Acar G., et al. Predictors of ventricular arrhythmias in patients with mitral valve prolapse // Int J Cardiovasc Imaging. 2010. Vol. 26, N 2. P. 139–145. doi: 10.1007/s10554-009-9514-6
- Muthukumar L., Rahman F., Jan M.F., et al. The Pickelhaube sign: novel echocardiographic risk marker for malignant mitral valve prolapse syndrome // JACC Cardiovasc Imaging. 2017. Vol. 10, N 9. P. 1078–1080. doi: 10.1016/j.jcmg.2016.09.016
- Han H.C., Ha F.J., Teh A.W., et al. Mitral valve prolapse and sudden cardiac death: a systematic review // J Am Heart Assoc. 2018. Vol. 7, N 23. P. e010584. doi: 10.1161/JAHA.118.010584
- Zeppenfeld K., Tfelt-Hansen J., de Riva M., et al. 2022 ESC Guidelines for the management of patients with ventricular arrhythmias and the prevention of sudden cardiac death // Eur Heart J. 2022. Vol. 43, N 40. P. 3997–4126. doi: 10.1093/eurheartj/ehac262
- Dejgaard L.A., Skjølsvik E.T., Lie Ø.H., et al. The mitral annulus disjunction arrhythmic syndrome // J Am Coll Cardiol. 2018. Vol. 72, N 14. P. 1600–1609. doi: 10.1016/j.jacc.2018.07.070
- Alsagaff M.Y., Shonafi K.A., Handari S.D., et al. An unexpected overlap syndrome of mitral valve prolapse with COVID-19 related myocarditis: case report from two patients // Ann Med Surg (Lond). 2023. Vol. 85, N 4. P. 1276–1281. doi: 10.1097/MS9.0000000000000522
- Kitkungvan D., Nabi F., Kim R.J., et al. Myocardial fibrosis in patients with primary mitral regurgitation with and without prolapse // J Am Coll Cardiol. 2018. Vol. 72, N 8. P. 823–834. doi: 10.1016/j.jacc.2018.06.048
- Constant Dit Beaufils A.L., Huttin O., Jobbe-Duval A., et al. Replacement myocardial fibrosis in patients with mitral valve prolapse: relation to mitral regurgitation, ventricular remodeling, and arrhythmia // Circulation. 2021. Vol. 143, N 18. P. 1763–1774. doi: 10.1161/CIRCULATIONAHA.120.050214
- Marra M.P., Basso C., De Lazzari M., et al. Morphofunctional abnormalities of mitral annulus and arrhythmic mitral valve prolapse // Circ Cardiovasc Imaging. 2016. Vol. 9, N 8. P. e005030. doi: 10.1161/CIRCIMAGING.116.005030
- Han H.C., Ha F.J., Teh A.W., et al. Mitral valve prolapse and sudden cardiac death: a systematic review // J Am Heart Assoc. 2018. Vol 7, N 23. P. e010584. doi: 10.1161/JAHA.118.010584
- Syed F.F., Ackerman M.J., McLeod C.J., et al. Sites of successful ventricular fibrillation ablation in bileaflet mitral valve prolapse syndrome // Circ Arrhythm Electrophysiol. 2016. Vol. 9, N 5. P. e004005. doi: 10.1161/CIRCEP.116.004005
- Hong T., Yang M., Zhong L., et al. Ventricular premature contraction associated with mitral valve prolapse // Int J Cardiol. 2016. Vol. 221. P. 1144–1149. doi: 10.1016/j.ijcard.2016.06.252
Дополнительные файлы








