Clinical Experience of Use of Sacubitril/Valsartan in a Patient with Dilated Cardiomyopathy, Chronic Heart Failure with Reduced Ejection Fraction and Ventricular Arrhythmias
- Authors: Snezhitskiy V.A.1, Kalatsei L.V.1, Matyukevich M.C.1, Grib S.N.2, Snezhickaya E.А.2, Madekina G.А.2, Epifanova Z.G.2, Chernaya E.N.2
-
Affiliations:
- Grodno State Medical University
- Grodno Regional Clinical Cardiological Center
- Issue: Vol 1, No 1 (2021)
- Pages: 39-48
- Section: Case reports
- URL: https://journals.eco-vector.com/cardar/article/view/65220
- DOI: https://doi.org/10.17816/cardar65220
- ID: 65220
Cite item
Full Text
Abstract
Chronic heart failure is the final stage of the cardiovascular continuum, which is an important cause of disability and reduced life expectancy in developed countries. Optimal medical therapy recommended for patients with symptomatic HF and reduced left ventricular ejection fraction includes angiotensin-converting enzyme inhibitors (or angiotensin II receptor antagonists), beta-blockers and mineralocorticoid receptor antagonists. However, the use of optimal medical therapy does not always lead to the elimination of symptoms, improvement of the quality of life and functional capabilities of patients.
Sakubitril/valsartan is a novel combination drug that includes the angiotensin II receptor blocker valsartan and the neprilisin inhibitor sacubitril. In a large PARADIGM-HF clinical trial it demonstrated a 20% reduction in cardiovascular mortality and hospitalization due to decompensation of heart failure compared with standard therapy with enalapril. We report a case of successful use of sacubitril/valsartan in a 61-year-old patient with dilated cardiomyopathy, chronic heart failure with reduced ejection fraction and ventricular arrhythmias. After 6 months of therapy, the patient achieved marked positive dynamics of the clinical status, laboratory and instrumental parameters in absence of any adverse reactions and complications.
Full Text
INTRODUCTION
Dilated cardiomyopathy (DCM) is characterized by a poorly contracting dilated left ventricle with a normal or reduced left ventricular wall thickness, which leads to the development of congestive cardiac failure [1]. The progression of heart failure (HF) is associated with left ventricular remodeling, which manifests as gradual increases in left ventricular end-diastolic and end-systolic volumes, wall thinning, and a change in chamber geometry to a more spherical and less elongated shape. This process is usually associated with a steady reduction in left ventricular ejection fraction (LVEF). Other life-threatening complications of DCM include ventricular arrhythmias, thromboembolic events, syncope and sudden cardiac death [2, 3].
The primary direction of HF management is the early initiation of therapy. It is important not just to eliminate symptoms, but to improve patients’ functional capacity and quality of life, prevent hospital admissions and reduce mortality [4]. Neuro-hormonal antagonists (ACE-inhibitors, MRAs and beta-blockers) for years have been the cornerstone of the treatment for heart failure with reduced ejection fraction (HFrEF). However a novel compound (LCZ696) that combines the moieties of an angiotensin II receptor blocker (valsartan) and a neprilysin inhibitor (sacubitril) has recently been shown to be superior to an ACE-inhibitor (enalapril) in reducing the risk of death and of hospitalization for HF in a PARADIGM-HF randomized controlled trial with strict inclusion/exclusion criteria [5–7]. Sacubitril/valsartan is therefore recommended to replace ACE-inhibitors in HFrEF patients who remain symptomatic despite optimal therapy and who fit these trial criteria [7].
In this article we report a case of a 61-year-old male patient with dilated cardiomyopathy possibly related to myocarditis, HFrEF and episodes of non-sustained ventricular tachycardia. Sacubitril/valsartan treatment was initiated after six months of standard treatment.
CASE PRESENTATION
In September 2020 a 61-year-old male patient was admitted to the Grodno Regional Clinical Cardiology Center presenting with dyspnea on exertion, reduced exercise tolerance, palpitations and ankle swelling. He had a previous medical history of vasospastic angina, hypertension and ventricular ectopy. He was a non-smoker and had no family history of cardiovascular disease. Present clinical symptoms have developed since March 2020, when, after episode of hypothermia, he had developed right-sided pneumonia (confirmed Covid-19 negative by RT-PCR test). The present clinical deterioration was noted during the last two weeks before hospital admission.
Current medications included metoprolol 25 mg b.i.d., ramipril 5 mg q.i.d., spironolactone 50 mg q.i.d., aspirin 75 mg PO q.i.d, and atorvastatin 10 mg q.i.d.
Upon his initial presentation, the patient had respiratory rate 22 breaths/min, heart rate of 82/min, blood pressure – 160/100 mm Hg and 97% oxygen saturation on ambient air. Cardiac auscultation revealed an audible S3 sound and a moderate systolic murmur, indicative of mitral regurgitation. Also he had edema in feet and ankles,
An electrocardiogram revealed sinus rhythm with heart rate of 77/min, left atrial enlargement and LV hypertrophy with secondary ST-T wave changes (see Fig. 1).
Fig. 1. Patient’s electrocardiogram at admission to the hospital
His baseline echocardiogram showed dilation of all heart chambers, pulmonary trunk and its branches, significant decrease in systolic function of the LV myocardium with severe global hypokinesis. His LVEF was 23% (Biplance). Also the patient had moderate mitral and tricuspid regurgitation (grade II), atherosclerotic lesions of the aorta and aortic valve, dilation of ascending aorta (42 mm), moderate aortic regurgitation (grade II) and pulmonary hypertension (SPAP — 49 mm Hg).
Ambulatory 24-hour Holter ECG monitoring (metoprolol 25 mg b.i.d.) revealed that patient had sinus rhythm with a heart rate from 78 to 114 b.p.m. His average heart rate during the day was 91 b.p.m, at night — 82 b.p.m., RR max. — 1345 msec. There were 10397 isolated polymorphic PVCs, 207 couplets and 64 episodes of non-sustained ventricular tachycardia (lasting for 3 beats) at a rate of 101 — 135 b.p.m (see Fig. 2). No ischemic changes of ST segment and T wave have been found.
Fig. 2. Episode of non-sustained ventricular tachycardia (3 beats) at a rate of 101 b.p.m. and a solitary premature ventricular contraction
The complete blood cell (CBC) count revealed normal white blood cell (WBC) count of 7.8 . 109/L, red blood count of 4.62 . 1012/L, hemoglobin of 143 g/L and platelet count of 163 . 109/L. His total cholesterol (5.54 mmol/L) and bilirubin (23.1 mmol/L) were slightly elevated, urea (2.5 mmol/L) and creatinine (113.4 mcmol/L) stayed within normal values with estimated GFR of 61 ml/min/1.73m2). His coagulation testing showed no changes from reference values. Other notable admission labs included low potassium level 3.8 mmol/L, pro-brain natriuretic peptide 3203 pg/mL and d-dimer 840 ng/ml.
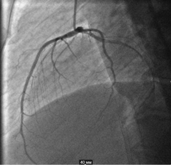
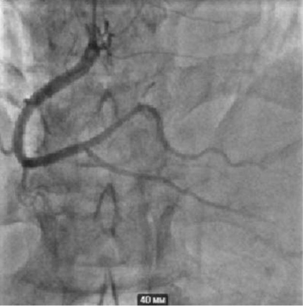
Taking into account his dyspnea on exertion and reduced exercise tolerance, the patient underwent coronary angiography, which revealed 75% proximal stenosis of the diagonal branch (D1) of his left anterior descending artery (LAD). His left circumflex coronary artery and right coronary artery didn’t have any significant stenosis (see Fig. 3 and 4). Conservative treatment was recommended in absence of indications for percutaneous coronary intervention (SYNTAX Score — 2 points).
Fig. 3. 75% proximal stenosis of the diagonal branch (D1) of the left anterior descending artery
Fig. 4. Left anterior descending artery and circumflex artery without significant stenosis
Fig. 5. Right coronary artery without significant stenosis
The patient was diagnosed with: Dilated cardiomyopathy, probably secondary to myocarditis (March 2020). Moderate mitral and tricuspid regurgitation (grade II). Frequent polymorphic ventricular ectopy, including episodes of non-sustained VT. Atherosclerosis of the aorta and coronary arteries (75% stenosis of the diagonal branch of LAD). Moderate pulmonary hypertension (SPAP — 49 mm Hg). HFrEF (LVEF — 23%), stage IIB (Vasilenko — Strazhesko), NYHA class III.
The treatment initiated in the cardiology department included carvedilol 6.25 mg b.i.d., spironolactone 50 mg b.i.d., furosemide 40 mg q.i.d. (i.v. and then orally), ringer’s solution i.v., aspirin 75 mg q.i.d., atorvastatine 10 mg q.i.d. and amiodarone 200 mg b.i.d. Intravenous vasodilators and inotropic agents were not prescribed.
The treatment included aspirin and statins because patient was diagnosed with 75% proximal stenosis of the diagonal branch of LAD, which signified that he had concomitant ischemic heart disease and established coronary artery atherosclerosis. Before initiation of treatment with atorvastatine (6 years ago) patient was diagnosed with hyperlipidemia (total cholesterol — 7.65 mmol/L), which was another indication for lipid-lowering agents. In the 2016 ESC HF Guidelines statins continuation may be considered for those patients already on statins for prevention of CAD [5]. Also 2016 ESC HF Guidelines imply that aspirin should be given in patients with heart failure with accompanying CAD, although its use should be compounded by an adequate evaluation of the expected benefits and risks. Our patient had no major bleeding risk factors, that is why aspirin intake was continued.
Prior to hospital admission patient was treated with ramipril 5 mg b.i.d., but further dosage increase could not be achieved because of decrease in blood pressure.
Therefore, considering that the patient fitted the PARADIGM-HF trial inclusion criteria (see Table 1), ramipril was switched to sacubitril/valsartan in the initial dose of 24/26 mg b.i.d. after the recommended period of 36 hours after discontinuing ACE-inhibitor therapy.
Table 1. PARADIGM-HF trial inclusion criteria and patient’s characteristics
PARADIGM-HF trial inclusion criteria | Patient’s characteristics |
18 years and older | 61 y.o. |
LVEF < 35% | LVEF — 23% (Biplance) |
NYHA class II–IV | NYHA class III |
ACE inhibitor or ARB in target dose | ramipril 5 mg b.i.d. |
NT-proBNP ≥ 600 pg/mL | NT-proBNP — 3203 pg/mL |
eGFR ≥ 30 ml/min/1.73 m2 | eGFR = 61 ml/min/1.73 m2 |
systolic blood pressure ≥ 95 mmHg, | systolic blood pressure — 110 mmHg, |
serum potassium level < 5.4 mmol/L | serum potassium level — 3.8 mmol/L |
After 7 days of treatment patient noted dyspnea reduction on exertion, absence of dyspnea at rest and a slight reduce in palpitations.
24-hour Holter ECG monitoring (carvedilol 6.25 mg b.i.d. + amiodarone 200 mg b.i.d.) revealed that patient had sinus rhythm with heart rate from 70 to 98 b.p.m. His average heart rate during the day was 80 b.p.m., at night — 73 b.p.m. There were 6546 isolated polymorphic PVCs and 78 couplets. No episodes of non-sustained ventricular tachycardia and ischemic changes of ST segment and T wave were recorded.
However, laboratory tests haven’t demonstrated any changes in NT-proBNP level (3252 pg/mL vs. 3203 pg/mL at admission).
At discharge on the 14th day the following therapy was recommended: sacubitril/valsartan 24/26 mg b.i.d., carvedilol 6.25 mg b.i.d., eplerenone 50 mg b.i.d., aspirin 75 mg q.i.d., rosuvastatine 10 mg q.i.d. and amiodarone 200 mg q.i.d (for 1 month). Sacubitril/valsartan dosage was meant to be titrated slowly and doubled every 3–4 weeks to the maintenance dose of one tablet of 97/103 mg b.i.d., if tolerated by the patient.
For the primary prevention of sudden cardiac death, the insertion of implantable cardioverter-defibrillator was recommended; however, patient refused this intervention. It should be noted that according to the current ESC Guidelines for the diagnosis and treatment of acute and chronic heart failure, treatment with beta-blocker, MRA and sacubitril/valsartan reduces the risk of sudden cardiac death and is recommended for patients with HFrEF and ventricular arrhythmias (IA) [5]. It is associated with a decrease in the relative risk of SCD by 20% according to the results of the PARADIGM-HF trial [6].
After 4 weeks of treatment the dose of sacubitril/valsartan was increased up to the mid-range does of 49/51 mg b.i.d. The subsequent attempt to increase the dose was accompanied by a substantial decrease in blood pressure and couldn’t be achieved.
In January 2021 during his follow-up visit to the doctor patient admitted a significant improvement of his quality of life: he could walk at longer distances and perform household chores without exertion, his sleep improved, ankle swelling and palpitation significantly reduced. He had respiratory rate 17 breaths/min, heart rate of 72/min, and blood pressure — 110/65 mm Hg.
In March 2021, after six months of treatment with sacubitril/valsartan, patient’s NT-proBNP level decreased to 317 pg/mL. His CBC, coagulation testing and basic metabolic panel were within reference values (see Table 2).
Table 2. The dynamics of the basic metabolic panel parameters within 6 months of treatment with sacubitril/valsartan
Basic metabolic panel parameters | Baseline | 6 months after sacubitril/valsartan initiation | Reference values |
Urea, mmol/L | 2.5 | 6.53 | 2.2–7.5 |
Creatinine, mmol/L | 113.4 | 100.9 | 62–124 |
Potassium, mmol/L | 3.8 | 4,6 | 3.5–5.5 |
Soduim, mmol/L | 142 | 141 | 135–150 |
Total cholesterol, mmol/L | 5.54 | 4.47 | 0–5.16 |
Glucose (fasting), mmol/L | 4.3 | 5.1 | 3.3–5.9 |
Bilirubin, mmol/L | 23.1 | 7.8 | 5–21 |
His electrocardiogram revealed sinus rhythm with heart rate of 67/min, with LV hypertrophy with secondary ST-T wave changes. His echocardiogram revealed visible improvement in systolic function (LVEF — 52%), reduction in the size of both ventricles and atria, and absence of hypokinesis of the left ventricle. The dynamics of the echocardiography parameters is presented in Table 3.
Table 3. The dynamics of the echocardiography parameters within 6 months of treatment with sacubitril/valsartan
Echocardiography parameters | Baseline | 6 months after sacubitril/valsartan initiation |
Diastolic LV internal dimension, mm | 72 | 62 |
Systolic LV internal dimension, mm | 65 | 45 |
LV end-diastolic volume, mL | 283 | 192 |
LV end-systolic volume, mL | 227 | 92 |
LVEF (%), Biplance | 23 | 52 |
Left atrial diameter, mm | 49 х 67 | 44 х 64 |
Right atrial diameter, mm | 44 х 57 | 42 х 54 |
Right ventricle diameter, mm | 32 | 29 |
His 24-hour Holter ECG monitoring (carvedilol 6.25 mg b.i.d.) revealed that patient had sinus rhythm with heart rate from 58 to 103 b.p.m. His average heart rate during the day was 78 b.p.m., at night — 75 b.p.m. There were only 2213 isolated PVCs, mostly monomorphic and 79 couplets. No episodes of non-sustained ventricular tachycardia were recorded (see Fig. 6).
Fig. 6. The dynamics of the PVCs within 6 months of treatment with sacubitril/valsartan.
The patient subsequently reported improved exercise tolerance and quality of life. His clinical condition has improved to NYHA class II and now he continues his optimal medical therapy including sacubitril/valsartan 49/51 mg b.i.d.
DISCUSSION
Nowadays we can see significant improvements in therapeutic approaches for HFrEF [8]. With the beginning of the angiotensin receptor blocker/ neprilysin inhibitors (ARNI) era, a new effective tool for better management of our patients and improvement of their clinical outcomes becomes available. The main goals of HF management are the improvement in quality of life, reducing hospitalizations due to HF decompensation, and cardiovascular mortality, including sudden cardiac death (SCD) [9].
In our case study at the follow-up period of six months, there were no hospitalizations due to HF progression, we achieved significant structural and functional left ventricular improvements, increased tolerance to physical activity and NYHA class. Also we should mark the disappearance of ventricular tachycardia episodes.
These advantages can be explained by up-regulation of natriuretic peptide (NP) system activity by neprilysin inhibition. It is known that HF progression occurs from imbalance between renin-angiotensin-aldosterone system (RAAS) and NP system [10]. The main idea of clinical benefits of neprilysin inhibition is due to reduced brain natriuretic peptide (BNP) degradation. BNP and N-terminal fragment of the prohormone BNP (NT-proBNP) are secreted in response to mechanical or ischemic myocardial stress with a rapid inducing of natriuresis, diuresis, lowering total peripheral vascular resistance, thus decreasing preload and afterload [11]. Our findings do not conflict with the PARADIGM-HF trial suggesting that ARNI therapy led to reverse cardiac remodeling [7]. There are also similar clinical reports on ARNI therapy in real clinical practice [12, 13]. Interestingly, we have received all mentioned above improvements by achieving maximum tolerable dose of ARNI without achieving the target dose specified in the PARADIGM-HF study [7]. We have found a study in which patients with low systolic blood pressure despite the low mean daily dose of ARNI due to hypotension, obtained significant beneficial cardiac reverse remodeling [14]. Despite dose reduction of sacubitril/valsartan is associated with lower risk of cardiovascular death or hospitalizations due to HF worsening compared with discontinuation of therapy [15] it should not be a reason for insufficient dose titration of ARNI. This example demonstrates the need for an individual pharmacotherapy approach.
Mechanisms reducing the arrhythmic burden in ARNI patients are not studied enough. In the majority of cases SCD has arrhythmic origin linked to myocardial electrical instability [12, 16]. A number of studies [16, 17] have found a correlation between increased levels of BNP and risk of ventricular arrhythmia and have demonstrated that besides reduced LVEF, elevated BNP levels are also significant predictors of SCD. Elevated BNP levels are associated with a worse outcome in patients with HF and decrease in BNP levels means better prognosis from the point of view of malignant ventricular arrhythmias and SCD. NT-proBNP has longer half-life in peripheral blood in comparison with BNP, can also be used as a SCD predictor in HF population, and should be preferred in ARNI treated patients, because is not a substrate for neprilysin [18]. Similarly to these data, observed decline of ventricular tachycardia in our case is associated with significant reduction of NT-proBNP levels.
Recent studies suggested a significant association ARNI therapy with reduction in ventricular tachycardia burden, appropriate ICD shocks and better pacing parameters [19]. In the near future ARNI can become the foundation of optimal medical therapy for HFrEF, making it more effective, so the role of ICD in the ARNI era needs to be reassessed [8].
After recovering from dilated cardiomyopathy, the question of continuing HF therapy has araisen. In the TREAD-HF [20] study, successful withdrawal or reduction of HF therapy was demonstrated only in 50% of patients after six months follow-up and no significant predictors of recurrence were identified. Since these observations were obtained in patients without sacubitril/valsartan treatment, further researchers are needed to investigate this question. Until robust predictors of relapse are identified or until the efficacy of ARNI therapy for HF recurrence is assessed, HF should be continued and requires lifelong therapy [15].
Despite the positive aspects of ARNI therapy, it is not widely implemented in routine clinical practice. There are several reasons, first of all we can name the economic level, the other is lack of awareness about clear practical guidance [15]. Strong hypotensive effect, importance of dose titration, washing period ACE inhibitor treatment, gives doctors a warning before prescribing this treatment in outpatient care [21]. In this work we highlighted the key moments of implementing sacubitril/valsartan in routine clinical practice.
CONCLUSIONS
The main indication for angiotensin receptor blocker/ neprilysin inhibitors therapy is heart failure decompensation with a progressive decrease in left ventricular ejection fraction (< 40%) and low NYHA functional class (II-IV).
Dose reduction of sacubitril/valsartan is better compared with refusal to appoint of therapy, but titration to the maximum tolerated dose of ARNI is necessary to achieve the most pronounced clinical effect and need an individual pharmacotherapy approach.
Sacubitril/valsartan therapy did not only improve left ventricular systolic function, but also reduced the frequency of ventricular rhythm disturbances;
In this case, sacubitril/valsartan therapy allowed to avoid or delay cardioverter defibrillator implantation for the primary prevention of sudden cardiac death (Class I);
After the achievement of clinical and functional improvement, sacubitril/valsartan therapy should be continued and requires constant intake.
ADDITIONAL INFORMATION
Funding. The study had no external funding.
Patient's consent. The patient voluntarily signed an informed consent to the publication of personal medical information in an impersonal form.
Conflict of interest. The authors declare no evident or potential conflict of interest related to the current article.
About the authors
Viktor A. Snezhitskiy
Grodno State Medical University
Email: vsnezh@mail.ru
ORCID iD: 0000-0002-1706-1243
SPIN-code: 1697-0116
MD, PhD, Professor
Belarus, 80, Gorkogo street, Grodno, 230029Liudmila V. Kalatsei
Grodno State Medical University
Author for correspondence.
Email: lkolotsey@mail.ru
ORCID iD: 0000-0001-5211-709X
SPIN-code: 8435-3422
assistant, postgraduate student
Belarus, 80, Gorkogo street, Grodno, 230029Marina Ch. Matyukevich
Grodno State Medical University
Email: marinamat0305@gmail.com
ORCID iD: 0000-0002-4890-2092
postgraduate student
Belarus, 80, Gorkogo street, Grodno, 230029Svetlana N. Grib
Grodno Regional Clinical Cardiological Center
Email: kardio@mail.grodno.by
Deputy Chief Physician
Belarus, 9, Boldina street, Grodno, 230030Elena А. Snezhickaya
Grodno Regional Clinical Cardiological Center
Email: kardio@mail.grodno.by
Head of the Diagnostic Department
Belarus, 9, Boldina street, Grodno, 230030Galina А. Madekina
Grodno Regional Clinical Cardiological Center
Email: kardio@mail.grodno.by
Head of the Department
Belarus, 9, Boldina street, Grodno, 230030Zhanna G. Epifanova
Grodno Regional Clinical Cardiological Center
Email: kardio@mail.grodno.by
cardiologist
Belarus, 9, Boldina street, Grodno, 230030Elena N. Chernaya
Grodno Regional Clinical Cardiological Center
Email: kardio@mail.grodno.by
cardiologist
Belarus, 9, Boldina street, Grodno, 230030References
- McKenna WJ, Maron BJ, Thiene G. Classification, epidemiology, and global burden of cardiomyopathies. Circ Res. 2017;121(7): 722–730. doi: 10.1161/CIRCRESAHA.117.309711
- Schultheiss HP, Fairweather D, Caforio ALP, et al. Dilated cardiomyopathy. Nat Rev Dis Primers. 2019;5(1):32. doi: 10.1038/s41572-019-0084-1
- Braunwald E. Cardiomyopathies: an overview. Circ Res. 2017;121(7):711–721. doi: 10.1161/CIRCRESAHA.117.311812
- Bakalakos A, Ritsatos K, Anastasakis A. Current perspectives on the diagnosis and management of dilated cardiomyopathy Beyond heart failure: a Cardiomyopathy Clinic Doctor’s point of view. Hellenic J Cardiol. 2018;59(5):254–261. doi: 10.1016/j.hjc.2018.05.008
- Ponikowski P, Voors AA, Anker SD, et al. 2016 ESC Guidelines for the diagnosis and treatment of acute and chronic heart failure: The Task Force for the diagnosis and treatment of acute and chronic heart failure of the European Society of Cardiology (ESC). Developed with the special contribution of the Heart Failure Association (HFA) of the ESC. Eur J Heart Fail. 2016;18(8):891–975. doi: 10.1002/ejhf.592
- Yancy CW, Jessup M, Bozkurt B, et al. 2017 ACC / AHA / HFSA Focused Update of the 2013 ACCF / AHAGuideline for the Management of Heart Failure: A Report of theAmerican College of Cardiology / American Heart Association Task Force on Clinical Practice Guidelines and the Heart Failure Society of America. Circulation. 2017;136(6):e137–161. doi: 10.1161/CIR.0000000000000509
- McMurray JJ, Packer M, Desai AS, et al. Angiotensin-neprilysin inhibition versus enalapril in heart failure. N Engl J Med. 2014;371(11):993–1004. doi: 10.1056/NEJMoa1409077
- Kaur N, Pruthvi CR, Rohit M. Will introduction of ARNI reduce the need of device therapy in heart failure with reduced ejection fraction? Egypt Heart J. 2021;73(1):26. doi: 10.1186/s43044-021-00152-x
- Schwinger RHG. Pathophysiology of heart failure. Cardiovasc Diagn Ther. 2021;11(1):263–276. doi: 10.21037/cdt-20-302
- Docherty KF, Vaduganathan M, Solomon SD, McMurray JJV. Sacubitril/Valsartan: Neprilysin Inhibition 5 years after PARADIGM-HF. JACC Heart Fail. 2020;8(10):800–810. doi: 10.1016/j.jchf.2020.06.020
- D’Alessandra Y, Chiesa M, Carena MC, et al. Differential role of circulating microRNAs to track progression and pre-symptomatic stage of chronic heart failure: a pilot study. Biomedicines. 2020;8(12):597. doi: 10.3390/biomedicines8120597
- Corrado E, Saladino A, Morgante G, et al. Reverse remodeling and arrhythmic burden reduction in a patient with an implantable cardioverter defibrillator treated with sacubitril/valsartan: Case report. Clin Case Rep. 2020;8(8):1349–1352. doi: 10.1002/ccr3.2655
- Cameli M, Pastore MC, Pagliaro A, et al. Sacubitril/Valsartan in an elderly patient with heart failure: a case report. Cardiology. 2017;138(suppl 1):3–6. doi: 10.1159/000484867
- Hu J, Wu Y, Zhou X, et al. Beneficial effects of Sacubitril/Valsartan at low doses in an Asian real-world heart failure population. J Cardiovasc Pharmacol. 2020;76(4):445–451. doi: 10.1097/FJC.0000000000000873
- Sauer AJ, Cole R, Jensen BC, et al. Practical guidance on the use of sacubitril/valsartan for heart failure. Heart Fail Rev. 2019;24(2):167–176. doi: 10.1007/s10741-018-9757-1
- Golukhova EZ, Gromova O, Grigoryan M, et al. Noninvasive predictors of malignant arrhythmias. Cardiology. 2016;135:36–42. doi: 10.1159/000445881
- Balla C, Vitali F, Brieda A, et al. Predictors of cardiac arrhythmic events in non coronary artery disease patients. BMC Cardiovasc Disord. 2019;19(1):104. doi: 10.1186/s12872-019-1083-6
- Lepojarvi ES, Huikuri HV, Piira OP, et al. Biomarkers as predictors of sudden cardiac death in coronary artery disease patients with preserved left ventricular function (ARTEMIS study). PLoS ONE. 2018;13(9):e0203363. doi: 10.1371/journal.pone.0203363
- De Diego C, González-Torres L, Núñez JM, et al. Effects of angiotensin-neprilysin inhibition compared to angiotensin inhibition on ventricular arrhythmias in reduced ejection fraction patients under continuous remote monitoring of implantable defibrillator devices. Heart Rhythm. 2018;15(3):395–402. doi: 10.1016/j.hrthm.2017.11.012
- Halliday BP, Wassall R, Lota AS, et al. Withdrawal of pharmacological treatment for heart failure in patients with recovered dilated cardiomyopathy (TRED-HF): an open-label, pilot, randomised trial. Lancet. 2019;393(10166):61–73. doi: 10.1016/S0140-6736(18)32484-X
- Grant ADM, Chew DS, Howlett JG, Miller RJH. Cost-effectiveness of earlier transition to angiotensin receptor neprilysin inhibitor in patients with heart failure and reduced ejection fraction. CJC Open. 2020;2(6):447–453. doi: 10.1016/j.cjco.2020.05.009
Supplementary files









