The use of platelet-rich plasma and two-component autofibrin glue in treatment of experimental chronic persistent corneal erosion
- Authors: Toloknova V.A.1, Gavriluk I.O.1, Churashov S.V.1, Kulikov A.N.1
-
Affiliations:
- Kirov Military Medical Academy
- Issue: Vol 15, No 4 (2022)
- Pages: 53-60
- Section: Experimental trials
- Submitted: 31.08.2022
- Accepted: 26.10.2022
- Published: 20.02.2023
- URL: https://journals.eco-vector.com/ov/article/view/110728
- DOI: https://doi.org/10.17816/OV110728
- ID: 110728
Cite item
Abstract
BACKGROUND: The use of platelet-rich plasma (PRP) and its modifications are a promising treatment method for chronic inflammatory diseases of the cornea.
AIM: To evaluate and compare the clinical and morphological features of the corneal regeneration during experimental chronic persistent corneal erosion with the use of PRP and two-component autofibrin glue (TAFG).
MATERIALS AND METHODS: The studies were conducted in 18 rabbits (36 eyes). After modeling chronic persistent corneal erosion, the animals of the 1st group were treated with TAFG; animals of the 2nd group — with instillations of PRP, animals of the 3rd group — with standard medical therapy.
RESULTS: By Day 14 of the experiment, the restoration of the transparency of the cornea, no erosion and new vessels in animals of the 1st and 2nd group were noted. This pattern persisted until Day 60. By Day 30 of the experiment, the presence of corneal clouding in optical zone, neovascularization over the whole cornea and an epithelial defect (3,85 [3,50; 4,47] %) in animals of the 3rd group were recorded. By Day 60, a complete epithelialization of the cornea was observed.
CONCLUSIONS: The use of PRP and TAFG allows reducing the time of corneal epithelialization by 2,5 times in conditions of experimental chronic persistent corneal erosion. There were no significant differences between the use of PRP (within 5 days) and TAFG, however, treatment with an adhesive composition is more convenient for both the doctor and the patient — a single use that does not require multiple use of expensive consumable materials.
Keywords
Full Text
АКТУАЛЬНОСТЬ
Слепота и слабовидение — одна из важнейших социально-экономических проблем современности. По данным Всемирной организации здравоохранения (2019), роговичная слепота составляет 5 % среди всех причин слепоты во всем мире [1]. В структуре роговичной слепоты в Российской Федерации 21 % составляют помутнения роговицы, сформировавшиеся в исходе хронических эрозий и язв, возникших вследствие инфекционно-воспалительных и аутоиммунных заболеваний [2]. Поэтому проблема поиска эффективных средств и способов лечения хронических заболеваний поверхности роговицы остаётся актуальной.
На сегодняшний день один из наиболее перспективных методов лечения пациентов с хроническими воспалительными заболеваниями роговичной поверхности — применение обогащённой тромбоцитами плазмы (ОбТП) [3]. На кафедре офтальмологии им. проф. В.В. Волкова Военно-медицинской академии им. С.М. Кирова разработан и запатентован оригинальный двухкомпонентный аутофибриновый клей (ДАФК), одним из компонентов которого является ОбТП. ДАФК, обладая выраженной адгезивностью, успешно применяется для фиксации амниотической мембраны к строме роговицы [4]. Однако его использование для лечения хронических воспалительных заболеваний роговичной поверхности остаётся неизученным.
Цель исследования — оценить и сравнить клинико-морфологические особенности регенерации роговицы при лечении экспериментальной хронической персистирующей эрозии (ХПЭР) с применением ОбТП и ДАФК.
МАТЕРИАЛЫ И МЕТОДЫ
Работа выполнена на 18 кроликах породы шиншилла (36 глаз) возрастом 1–2 года, весом 2–3 кг, соматически здоровых, без признаков заболеваний глаз в условиях учебной операционной кафедры офтальмологии им. проф. В.В. Волкова Военно-медицинской академии им. С.М. Кирова. На реализацию эксперимента получено разрешение Комитета по вопросам этики при Военно-медицинской академии (протокол № 215 от 05 ноября 2018 г.).
Исследование проводили в два этапа. На первом этапе всем животным воспроизводили модель экспериментальной ХПЭР при помощи ультрафиолетового излучения [5]. Для этого под биомикроскопическим контролем после предварительной анестезии выполняли тотальную деэпителизацию роговицы, а затем при помощи контактной диафрагмы (диаметр 4 мм) и длинноволновой ультрафиолетовой установки (длина волны 365 нм, мощность 90 Вт) осуществляли локальное облучение роговицы в течение 45 мин с расстояния 20 см.
На втором этапе животные были распределены на три группы (по 12 глаз в каждой). Животным 1-й группы проводили лечение ДАФК. Первый компонент представляет собой 1 мл ОбТП. Второй компонент получали за счёт смешивания 0,95 мл тромбина 2ЕА и 0,05 мл 5 % хлорида кальция. Оба компонента одновременно капельно наносили на роговичную поверхность [4].
В ранее проведённых нами исследованиях [6] был предложен оптимальный режим инстилляции ОбТП для лечения данной экспериментальной модели ХПЭР (по 1 капле через 1 мин в течение 10 мин 1 раз в день в течение 5 дней), который применяли для лечения животных 2-й группы. Животным 3-й группы проводили стандартное консервативное лечение: инстилляция антибактериального препарата Тобрекс (Alcon, Бельгия) 4 раза в сутки, а также Корнерегель (Др. Герхард Манн ХФП, Германия) 2 раза в сутки.
ОбТП получали с помощью системы Ycellbio-Kit (Ycellbio Medical, Южная Корея): в систему вносили 14 мл крови, полученной из краевой вены уха кролика, с антикоагулянтом и далее действовали согласно рекомендациям производителя [7]. Центрифугирование выполняли на приборе Armed 80-2S (Армед, Россия) при скорости 3500 об/мин в течение 4 мин. Тромбоцитарно-лейкоцитарный клеточный пул вместе с плазмой отбирали в шприц ёмкостью 5 мл через инъекционную иглу 22 Ga 40 мм в объёме 1,5 мл. Аутоплазма хранилась в условиях гипотермии (при t = 4–6 °C) не более 5 сут.
Оценку результатов проводили на 1, 3, 5, 7, 9, 11, 14, 20, 30-е сутки под операционным микроскопом МХ-ОФ-3 (ЛОМО, Санкт-Петербург) с выборочной фоторегистрацией. С помощью биомикроскопии оценивали наличие и степень помутнения, площадь деэпителизации и степень васкуляризации роговицы. Для количественной оценки площади деэпитализации роговицы в ходе её регенерации использовали методику, предложенную М.В. Сухининым [8]. Интенсивность помутнения роговицы оценивалась по 10-бальной шкале: 1–2 — прозрачная, 3 — почти прозрачная, 4–5 — полупрозрачная, 6–10 — мутная [9]. Степень неоваскуляризации роговицы оценивалась по 4-бальной шкале, в зависимости от длины новообразованных сосудов в баллах: 0 — отсутствие сосудов, 1 — до 2 мм, 2 — до 4 мм, 3 — до 6 мм [10]. Для оценки морфологических особенностей регенерации роговицы на 30-е сутки проводили гистологическое исследование с окрашиванием гематоксилином и эозином.
Статистический анализ полученных данных выполняли в программе Jamovi (Австралия). База данных на первичном этапе формировалась в программе Microsoft Excel. Численные величины представляли в виде медианы (Me) и интерквартильного размаха [Q25; Q75]. Проверку распределения на нормальность выполняли с использованием критерия Колмогорова – Смирнова. Все полученные результаты подчинялись закону распределения, отличному от нормального. Сравнение двух групп между собой проводили с использованием U-критерия Манна – Уитни; сравнение трех групп между собой — с использованием Н-критерия Краскела – Уоллиса.
РЕЗУЛЬТАТЫ
По данным биомикроскопической картины глазной поверхности во всех группах на 1-е сутки эксперимента отмечали равномерное глубокое помутнение стромы роговицы за счёт её отёка — 4,00 [4, 00; 4, 00] баллов (p > 0,05), деэпителизацию с прокрашиванием раствором флуоресцеина натрия — 100,00 [100, 00; 100, 00] % (p > 0,05), а также отсутствие новообразованных сосудов — 0 баллов (рис. 1–3).
Рис. 1. Биомикроскопическая картина роговицы у животных 1-й группы на 30-е сутки: отсутствие помутнения, новообразованных сосудов, роговица полностью эпителизирована / Fig. 1. Biomicroscopic picture of the cornea in animals of the 1st group, Day 30: no clouding, no new vessels, a complete epithelialization of the cornea
Рис. 2. Биомикроскопическая картина роговицы у животных 2-й группы на 30-е сутки: отсутствие помутнения, новообразованных сосудов, роговица полностью эпителизирована / Fig. 2. Biomicroscopic picture of the cornea in animals of the 2nd group, Day 30: no clouding, no new vessels, a complete epithelialization of the cornea
Рис. 3. Биомикроскопическая картина роговицы у животных 3-й группы на 30-е сутки: помутнение в оптической области, наличие новообразованных сосудов до места дефекта эпителия, эрозия роговицы / Fig. 3. Biomicroscopic picture of the cornea in animals of the 3rd group, Day 30: no corneal clouding in optical zone, neovascularization over the whole cornea, corneal erosion
На 3-е сутки эксперимента у животных 1-й и 2-й групп отмечалось повышение прозрачности роговицы — 2,00 [1, 00; 2, 00] и 1,50 [1, 00; 2, 00] баллов соответственно (p > 0,05) по сравнению с контрольной группой, где регистрировали выраженное помутнение роговицы — 6,00 [6, 00; 6, 00] баллов (p < 0,001). Статистически значимое уменьшение участка деэпителизации роговицы отмечалось во 2-й группе и составило 84,40 [84, 20; 85, 20] % (p < 0,001) по сравнению с 1-й (87,90 [86, 80; 88, 90] %) и 3-й (88,00 [87, 30; 88, 40] %) группами. При этом во всех группах регистрировали отсутствие неоваскуляризации роговицы (0 баллов).
К 7-м суткам эксперимента у животных 1-й и 2-й групп отмечалось практически полное восстановление прозрачности роговицы (1,00 [1, 00; 1, 00] баллов) по сравнению с 3-й группой, где помутнение роговицы составило 7,00 [6, 00; 7, 00] баллов (p < 0,001). Наилучшие показатели эпителизации также регистрировались в 1-й (14,40 [13, 20; 15, 30] %) и 2-й (15,30 [15, 10; 16, 10] %) группах и достоверных отличий между собой не имели (p > 0,05), однако статистически достоверно отличались от 3-й (контрольной) группы (37,60 [37, 10; 38, 40] %, p < 0,001). У животных 3-й группы регистрировали наличие новообразованных сосудов со стороны лимба (2,00 [1, 25; 2, 00] баллов), что статистически значимо отличается от 1-й и 2-й групп, где неоваскуляризация не отмечалась (p < 0,001).
На 14-е сутки эксперимента у животных всех групп отсутствовала динамика по прозрачности роговицы. У животных 1-й и 2-й групп отмечали отсутствие эпителиального дефекта (область деэпителизации 0 %), наряду с сохранением у животных 3-й группы эрозии роговицы, соответствующей облучённому участку, — площадь деэпителизации составила 13,20 [12, 50; 13, 70] % (p < 0,001). При этом в 3-й группе неоваскуляризация роговицы определялась до места дефекта эпителия (3,00 [3, 00; 3, 00] баллов), что достоверно отличается от 1-й и 2-й групп, где новообразованные сосуды отсутствуют (p < 0,001).
К 30-м суткам эксперимента у животных 1-й и 2-й групп регистрировали полное восстановление прозрачности роговицы (1,00 [1, 00; 1, 00] баллов) по сравнению с 3-й группой, где прозрачность роговицы достоверно отличалась (7,00 [6, 00; 7, 00] баллов, p < 0,001). В 1-й и 2-й группах отмечали отсутствие эпителиального дефекта (область деэпителизации 0 %), в 3-й группе — уменьшение его площади до 3,85 [3, 50; 4, 47] %. У животных 3-й группы отмечали наличие новообразованных сосудов по всей поверхности роговицы — 3,00 [3, 00; 3, 00] баллов, что статистически значимо отличается от 1-й и 2-й групп, где неоваскуляризация отсутствует, p < 0,001 (рис. 4–6).
Рис. 4. Статистический анализ динамики прозрачности роговиц. Метод медианного критерия Краскела – Уоллиса. * p < 0,05 при сравнении с 1-й группой; ** p < 0,05 при сравнении со 2-й группой; # p < 0,05 при сравнении с 3-й (контрольной) группой / Fig. 4. Statistical analysis of corneal clouding dynamics. The Kruskal–Wallis test. * p < 0.05 when compared with the 1st group; ** p < 0.05 when compared with the 2nd group; # p < 0.05 when compared with the 3rd (control) group
Рис. 5. Статистический анализ динамики деэпителизации роговиц. Метод медианного критерия Краскела – Уоллиса. * p < 0,05 при сравнении с 1-й группой; ** p < 0,05 при сравнении со 2-й группой; # p < 0,05 при сравнении с 3-й (контрольной) группой / Fig. 5. Statistical analysis of corneal clouding dynamics. The Kruskal–Wallis test. * p < 0.05 when compared with the 1st group; ** p < 0.05 when compared with the 2nd group; # p < 0.05 when compared with the 3rd (control) group
Рис. 6. Статистический анализ динамики васкуляризации роговиц. Метод медианного критерия Краскела – Уоллиса. # p < 0,05 при сравнении с 3-й (контрольной) группой / Fig. 6. Statistical analysis of corneal clouding dynamics. The Kruskal–Wallis test. # p < 0.05 when compared with the 3rd (control) group
На 60-е сутки во всех группах отмечается отсутствие динамики по прозрачности и неоваскуляризации роговиц. Во всех группах отмечалась полная эпителизация роговицы (область деэпителизации 0 %).
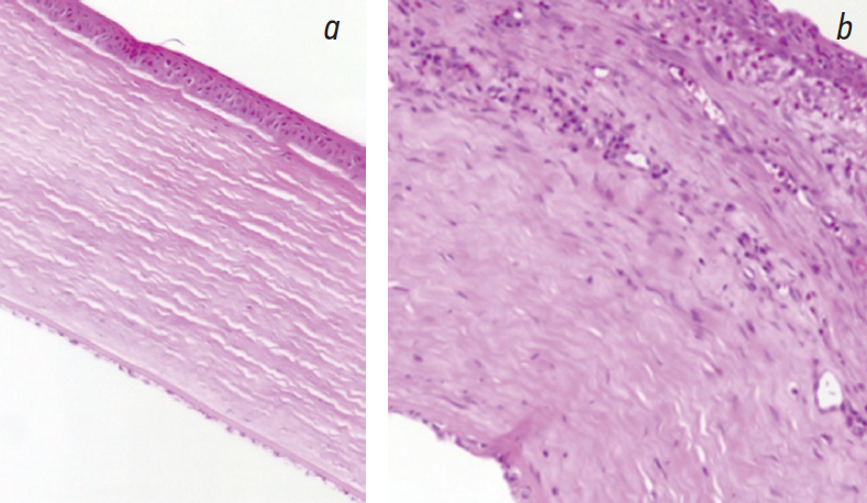
По данным гистологического исследования у животных 1-й и 2-й групп на 30-е сутки определялся нормальный, плотно адгезированный к боуменовой мембране, многослойный неороговевающий эпителий, строма имела упорядоченное строение без признаков воспаления (рис. 7, a).
Рис. 7. Гистологическое исследование роговицы у животных на 30-е сутки: а — 1-й и 2-й групп; b — 3-й группы. Окраска гематоксилином и эозином. Увеличение ×200 / Fig. 7. Histologic study of the cornea in animals, Day 30: a — of the 1st and 2nd group; b — of the 3rd group. Hematoxylin and eosin staining (×200)
У животных 3-й группы на 30-е сутки при гистологическом исследовании выявлено нарушение гистоархитектоники роговицы, в поверхностных и глубоких слоях стромы наблюдались новообразованные сосуды, тканевой отёк, воспалительная инфильтрация, а также области с нефиксированным к боуменовой мембране эпителием или наличием между ними соединительнотканных депозитов — формируется более глубокий дефект, следовательно начинает страдать строма роговицы (рис. 7, b).
ОБСУЖДЕНИЕ
В последние годы всё большее распространение в различных областях регенеративной медицины (челюстно-лицевая хирургия, травматология, дерматология, оториноларингология, офтальмология) получают методы лечения производными собственной крови, в частности ОбТП. ОбТП представляет собой концентрат, содержащий тромбоциты в количестве ≈1000 · 109/л, то есть в 3–4 раза больше, чем в цельной крови [11]. Тромбоциты, в свою очередь, обладают выраженным регенераторным эффектом за счёт альфа-гранул, которые служат естественным депо факторов роста, влияющих на восстановление повреждённого эпителия [12]. Вместе с тем ОбТП содержит адгезивные молекулы (фибрин, фибронектин и витронектин), витамин А и цитокины, стимулирующие репарационные и анаболические процессы в поврежденных тканях, а также ингибирующие медиаторы воспаления [3, 13].
Изучению влияния ОбТП и её модификаций на регенерацию роговичного эпителия посвящено большое количество научных исследований [2, 3, 6, 11–14]. В исследованиях K.M. Kim и соавт. [12] был проведён сравнительный анализ эффективности лечения персистирующих эрозий роговицы ОбТП и аутологичной сывороткой крови. Показано, что применение ОбТП эффективнее для лечения данной патологии, что, по мнению авторов, связано с большим содержанием эпителиотропных факторов роста в ОбТП по сравнению с аутологичной сывороткой крови. По данным Е.В. Ченцовой и соавт. [14], применение лизата богатой тромбоцитами плазмы при неэффективности стандартной терапии у пациентов с персистирующими эрозиями роговицы способствует купированию признаков воспаления и ускоряет скорость эпителизации дефекта в среднем в 7 раз.
В нашем исследовании впервые экспериментально доказана эффективность лечения хронических воспалительных заболеваний роговицы ДАФК, одним из компонентов которого является ОбТП. Клеевая композиция обеспечивает длительную адгезию компонентов ОбТП к роговичной поверхности, что обеспечивает возможность его однократного применения по сравнению с ежедневными инстилляциями ОбТП. Проведена сравнительная оценка клинико-морфологических особенностей регенерации роговицы в условиях экспериментальной ХПЭР с применением ОбТП и ДАФК. Экспериментально показано, что использование ОбТП и ДАФК позволяет в 2,5 раза сократить время эпителизации роговицы в условиях экспериментальной ХПЭР, сохранить прозрачность и обеспечить отсутствие новообразованных сосудов по сравнению со стандартным консервативным лечением. По данным морфологических исследований, применение ОбТП и клеевой композиции обеспечивает возможность репаративной регенерации роговицы — восстановление типичного для роговицы эпителия.
Таким образом, достоверных различий между использованием ОбТП (в течение 5 сут) и применением ДАФК при лечении экспериментальной ХПЭР не обнаружено, однако лечение при помощи клеевой композиции удобнее как для врача, так и для пациента — однократное применение, не требующее многократного использования дорогостоящих расходных материалов.
ДОПОЛНИТЕЛЬНАЯ ИНФОРМАЦИЯ
Вклад авторов. Все авторы внесли существенный вклад в разработку концепции, проведение исследования и подготовку статьи, прочли и одобрили финальную версию перед публикацией. Вклад каждого автора: В.А. Толокнова — обзор литературы, проведение экспериментальной части исследования, подготовка иллюстраций, статистическая обработка данных; И.О. Гаврилюк — концепция и дизайн исследования, научное редактирование, проведение экспериментальной части исследования, подготовка иллюстраций; С.В. Чурашов — концепция и дизайн исследования, научное редактирование; А.Н. Куликов — концепция и дизайн исследования, научное редактирование.
Конфликт интересов. Авторы декларируют отсутствие явных и потенциальных конфликтов интересов, связанных с публикацией настоящей статьи.
Источник финансирования. Авторы заявляют об отсутствии внешнего финансирования при проведении исследования.
ADDITIONAL INFORMATION
Author contribution. Thereby, all authors made a substantial contribution to the conception of the study, acquisition, analysis, interpretation of data for the work, drafting and revising the article, final approval of the version to be published and agree to be accountable for all aspects of the study. Contribution of each author: V.A. Toloknova – literature review, realization of experimental part of the study, preparing illustrations, statistical data processing; I.O. Gavriluk – the concept and design of the study, scientific editing, realization of experimental part of the study, preparing illustrations; S.V. Churashov – the concept and design of the study, scientific editing; A.N. Kulikov – the concept and design of the study, scientific editing.
Competing interests. The authors declare that they have no competing interests.
Funding source. This study was not supported by any external sources of funding.
About the authors
Violetta A. Toloknova
Kirov Military Medical Academy
Author for correspondence.
Email: toloknova.violet@mail.ru
student of the residency in the specialty “ophthalmology”
Russian Federation, Saint PetersburgIlya O. Gavriluk
Kirov Military Medical Academy
Email: iluaayaks@gmail.com
ORCID iD: 0000-0003-0932-2818
SPIN-code: 9649-7311
Cand. Sci. (Med.), Lecturer of the Department of Ophthalmology
Russian Federation, Saint PetersburgSergey V. Churashov
Kirov Military Medical Academy
Email: churashoff@mail.ru
ORCID iD: 0000-0003-1197-9237
SPIN-code: 5370-7410
Dr. Sci. (Med.), Professor of the Department of Ophthalmology
Russian Federation, Saint PetersburgAlexei N. Kulikov
Kirov Military Medical Academy
Email: alexey.kulikov@mail.ru
ORCID iD: 0000-0002-5274-6993
SPIN-code: 6440-7706
Scopus Author ID: 198153
ResearcherId: M-2094-2016
Dr. Sci. (Med.), Chief of the Department of Ophthalmology
Russian Federation, Saint PetersburgReferences
- GBD2019 Blindness and Vision Impairment Collaborators, Vision Loss Expert Group of the Global Burden of Disease Study. Causes of blindness and vision impairment in 2020 and trends over 30 years, and prevalence of avoidable blindness in relation to VISION2020: the Right to Sight: an analysis for the Global Burden of Disease Study. Lancet Glob Health. 2021;9(2):144–160. doi: 10.1016/S2214-109X(20)30489-7
- Borovkova NV, Filatova IA, Chentsova EV, et al. Efficacy of platelet-rich plasma lysate in patients with corneal erosion or post-traumatic scarring of the tissues of the eyelids. Russian Ophthalmological Journal. 2020;13(3):8–14. (In Russ.) doi: 10.21516/2072-0076-2020-13-3-8-14
- Anitua E, de la Sen-Corcuera B, Orive G, et al. Progress in the use of plasma rich in growth factors in ophthalmology: from ocular surface to ocular fundus. Expert Opin Biol Ther. 2022;22(1):31–45. doi: 10.1080/14712598.2021.1945030
- Patent RU № 2704256 / 25.10.2019. Byul. № 30. Gavrilyuk IO, Kulikov AN, Kuznetsova AYu, et al. Sposob prigotovleniya autologichnogo dvukhkomponentnogo fibrinovogo kleya. Available from: https://patenton.ru/patent/RU2704256C1.pdf (In Russ.)
- Kulikov AN, Churashov SV, Gavrilyuk IO, et al. Experimental model of recurrent corneal erosion. Ophthalmology in Russia. 2019;16(2): 230–235. (In Russ.) doi: 10.18008/1816-5095-2019-2-230-235
- Tarabrina VA, Gavrilyuk IO, Churashov SV, et al. Effect of platelet-riched plasma on corneal epithelium regeneration during its chronic erosion (experimental study). Ophthalmology in Russia. 2021;18(3): 552–559. (In Russ.) doi: 10.18008/1816-5095-2021-3-552-559
- prplab.ru [Internet]. Instruktsiya po primeneniyu sistemy Ycellbio-Kit firmy Vaisellbiomedikal [cited: 2022 Aug 28]. Available from: http://www.prplab.ru/metod-prp.htm (In Russ.)
- Sukhinin MV. Morfologicheskaya kharakteristika perednego ehpiteliya rogovitsy i sosudistogo rusla kon’’yunktivy glaznogo yabloka v norme i pri mekhanicheskom povrezhdenii perilimbal’noi zony [dissertation abstract]. Saint Petersburg, 2011. (In Russ.)
- Voino-Yasenetskii VV. Razrastanie i izmenchivost’ tkanei glaza pri ego zabolevaniyakh i travmakh. Kyiv: Vishcha shkola, 1979. (In Russ.)
- Inatomi T, Nakamura T, Koizumi N, et al. Midterm results on ocular surface reconstruction using cultivated autologous oral mucosal epithelial transplantation. Am J Ophthalmol. 2006;141(2):267–275. doi: 10.1016/j.ajo.2005.09.003
- Fedoseeva EV, Chentsova EV, Borovkova NV, et al. Morphofunctional peculiarities of platelet rich plasma and its application in ophthalmology. Ophthalmology in Russia. 2018;15(4):388–393. (In Russ.) doi: 10.18008/1816-5095-2018-4-388-393
- Kim KM, Shin YT, Kim HK. Effect of autologous platelet-rich plasma on persistent corneal epithelial defect after infectious keratitis. Jpn J Ophthalmol. 2012;56:544–550. doi: 10.1007/s10384-012-0175-у
- Nurden AT, Nurden P, Sanchez M, et al. Platelets and wound healing. Front Biosci. 2008;13(9):3532–3548. doi: 10.2741/2947
- Chentsova EV, Fedoseeva EV, Petrova AO, et al. Use of platelet rich plasma lysate when standard therapy is inefficient in patients with corneal erosions. Modern technologies in ophthalmology. 2020;(4):45–46. (In Russ.) doi: 10.25276/2312-4911-2020-4-45-46
Supplementary files










