Manifestations of uveitis of toxoplasmosis etiology after vaccination: clinical cases
- Authors: Ionova O.G.1, Karetsky A.V.1, Hokkanen V.M.2, Zumbulidze N.G.2, Bagriantseva O.V.3
-
Affiliations:
- St. Petersburg Research Institute of Phthisiopulmonology
- North-Western State Medical University named after I.I. Mechnikov
- Medical Center “XXI century”
- Issue: Vol 15, No 4 (2022)
- Pages: 85-91
- Section: Case reports
- Submitted: 11.10.2022
- Accepted: 26.12.2022
- Published: 20.02.2023
- URL: https://journals.eco-vector.com/ov/article/view/111811
- DOI: https://doi.org/10.17816/OV111811
- ID: 111811
Cite item
Abstract
Inflammatory diseases of the retina and choroid (chorioretinitis), including those of toxoplasmosis etiology usually occur against a background of decrease in immunity. We present two clinical cases of ocular inflammation at different times after the vaccination with “Sputnik V”. An analysis of the occurrence of ocular pathologic condition after vaccination to prevent coronavirus infection caused by the SARS-CoV-2 virus will help determine the criteria for prophylactic ophthalmological examination of patients before vaccination.
Full Text
ВВЕДЕНИЕ
С самого начала пандемии новой коронавирусной инфекции, когда заболевание стали изучать, выяснилось, что орган зрения может вовлекаться в патологический процесс, и в научной литературе постепенно стали появляться публикации, посвящённые именно офтальмологическим проявлениям инфекции.
Получены данные о конъюнктивитах, увеитах, ретробульбарных невритах, дакриоаденитах коронавирусной этиологии, экзофтальма (на фоне ковид-ассоциированных пансинуситов или рино-орбитального мукормукоза) и др.
После вакцинации от COVID-19, как и после любой другой прививки, возможно возникновение общих или местных побочных эффектов: боль и припухлость в месте инъекции, подъём температуры тела, ощущение озноба и «ломоты» в мышцах, головная боль. Реже — поствакцинальные миокардиты и перикардиты, аутоиммунный тиреоидит, тяжёлые аллергические реакции. Начали также фиксироваться и увеличиваться случаи возникновения патологии органа зрения на фоне и после вакцинации от SARS-CoV-2. На сегодняшний день во всем мире продолжаются многочисленные научные исследования, посвящённые изучению офтальмологических осложнений COVID-19. Коронавирусная инфекция поставила множество вопросов перед медициной в целом и врачами различных специальностей, в том числе и перед офтальмологами.
С 2021 г. вакцинация от новой коронавирусной инфекции в России проводится следующими вакцинами: Гам-КОВИД-Вак («Спутник V»), ЭпиВакКорона и КовиВак. Перед постановкой прививки проводится анкетирование пациента, касающееся наличия хронических инфекций и других заболеваний. Затем пациента осматривает врач-терапевт, с обязательными измерениями температуры, артериального давления и сатурации. Офтальмологом осмотр не проводится, хотя в ряде случаев у пациентов могут быть изменения на глазном дне, о которых они не знают.
Данные о поствакцинальных осложнениях с вовлечением органа зрения в течение 14 дней (в среднем 4–6) после вакцинации SARS-CoV-2 собраны в 40 медицинских центрах Европы, США и Японии в 2021 г. Наиболее распространённые глазные проявления на фоне вакцинации: конъюнктивит, кератит/кератоконъюнктивит (n = 1,4 %), эписклерит и склерит, дакриоаденит, увеит, задняя ишемическая оптическая нейропатия, ретробульбарный неврит, кистовидный макулярный отёк (n = 2,9 %) и нейроофтальмологические осложнения, связанные с параличом черепных нервов и офтальмоплегией (n = 2,1 %) [3, 4, 6].
В настоящее время получено достаточно много данных из разных регионов мира, касающихся возникновения увеита после вакцинации. Так, в ходе многоцентрового ретроспективного исследования был подтвержден диагноз вакциноассоциированного увеита (согласно классификации Всемирной организации здравоохранения и критериям «Hapanho») у 21 пациента после вакцинации мРНК BNT162b2 SARS-CoV-2 (Pfizer-BioNTech) [3, 5, 7].
Токсоплазмозная инфекция чаще других является причиной развития заднего увеита [1]. Возбудитель токсоплазмоза — внутриклеточный паразит Toxoplasma gondii. Половое размножение токсоплазм (шизогония, гаметогония и начало спорогонии) происходит в кишечнике (эпителиальных клетках) кошек и других животных семейства кошачьих, которые являются окончательными хозяевами. Ооцисты с фекалиями выводятся во внешнюю среду, чаще всего в почву, где затем образуются спорозоиты. Каждая ооциста содержит 8 спорозоидов. Инфицирование происходит от животных или употреблении продуктов питания, не прошедших достаточную термическую обработку (приобретенная инфекция) или при трансплацентарной передаче возбудителя (врождённая инфекция). Попав в организм человека (промежуточного хозяина) в клетках различных тканей и органов происходит бесполое развитие токсоплазм, завершающееся развитием эндозоитов и цистозоитов. При этом паразиты в течение десятилетий или пожизненно находятся в различных органах, таких как скелетная мускулатура, печень, селезёнка, миокард и др., в виде цист. Это полностью может относиться и к органу зрения.
Поражение глаз, как правило, носит односторонний характер, с вовлечением в процесс только сетчатки и сосудистой оболочки. Однако бывают исключения, и на практике встречаются двусторонние очаговые хориоретиниты, а также генерализованные увеиты. Как правило, у взрослых пациентов приобретённая токсоплазмозная инфекция в большинстве случаев протекает бессимптомно и определить её носительство можно только при иммунологических исследованиях (у большинства инфицированных вырабатываются антитела). Патология глаз бывает иногда единственным признаком и проявляется, в основном, после перенесённой вирусной инфекции, стресса и других причин снижения иммунитета, например при ВИЧ-инфекции [2]. Очаги на глазном дне имеют характерные признаки. В ряде случаев это крупный очаг размером больше диска зрительного нерва (ДЗН) с вовлечением всех слоёв сетчатки и сосудистой оболочки, а иногда очаг (очаги) как правило небольшого размера во внутренних или наружных слоях сетчатки. Зачастую рядом с пигментированным старым очагом вплотную формируется свежий хориоретинальный фокус [1].
За период пандемии мы наблюдали несколько случаев офтальмологических проявлений коронавирусной инфекции и осложнений после вакцинации. Два клинических примера ассоциированных с токсоплазмозной инфекцией мы приводим в этой статье.
КЛИНИЧЕСКИЙ СЛУЧАЙ № 1
Пациентка, 1993 г. р., находилась на обследовании и лечении в офтальмологическом отделении Санкт-Петербургского научно-исследовательского института фтизиопульмонологии (СПбНИИФ) с 08.06.2021 по 21.07.2021. Из анамнеза известно, что 22.03.2021 и 22.04.2021 пациентка удовлетворительно перенесла вакцинацию Гам-КОВИД-Вак. Жалобы на дискомфорт, снижение зрения, пятно перед правым глазом появилось в середине мая 2021 г., через 2 нед. после вакцинации. 19.05.2021 обратилась в круглосуточную офтальмологическую помощь Санкт-Петербурга, где были выявлены полиморфные изменения на глазном дне правого глаза (активный процесс в центральной зоне и старые рубцовые очаги на периферии), в связи с чем по неотложной помощи была направлена в Городскую многопрофильную больницу (ГМПБ) № 2 с диагнозом «острый хориоретинит правого глаза», где получала лечение с 21.05.2021 по 28.05.2021. Несмотря на проводимую терапию с применением антибактериальных и противовоспалительных препаратов, лечение было малоэффективным, зрительные функции прогрессивно снижались. 08.06.2021 пациентка поступила для обследования и лечения на офтальмологическое отделение СПбНИИФ.
При поступлении: Vis правого глаза (ОD) — счёт пальцев у лица, эксцентрично, абсолютная центральная скотома, внутриглазное давление (ВГД) 19 мм рт. ст.; Vis левого глаза (ОS) 0,08, sph –1,75 D, cyl –1,0 D, ax 10° = 1,0; ВГД по Маклакову — 19 мм рт. ст.
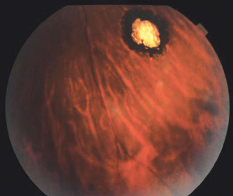
Объективно: ОD — передний отдел без патологии. Оптические среды прозрачные. В стекловидном теле (СТ) большое количество клеточных элементов, плавающих помутнений. Глазное дно под «густым флёром», ДЗН с нечёткими границами, по ходу сосудистого пучка просматривается фокус размером около 2,5 PD, неправильной формы с нечёткими границами, проминирующий в СТ, желтоватого цвета, сетчатка вокруг инфильтрирована, сосуды полнокровны, макулярный рефлекс размыт, просматриваются единичные ретинальные геморрагии (рис. 1). На периферии несколько хориоретинальных очагов с чёткими границами, грубо пигментированные (рис. 2, 3). ОS — передний отдел без патологии. Неравномерная конденсация фибрилл СТ. Глазное дно: ДЗН розовый, контуры чёткие, на периферии грубый хориоретинальный очаг с пигментом, размером менее 1,0 PD и три плоских небольших пигментированных очага.
Рис. 1. Фотография глазного дна правого глаза пациентки. Парацентральный очаговый хориоретинит в стадии инфильтрации. Периферический очаговый хориоретинит в рубцовой стадии / Fig. 1. Fundus photography of the right eye of a patient. Paracentral focal chorioretinitis in the infiltration stage. Peripheral focal chorioretinitis in the cicatricial stage
Рис. 2. Фотография глазного дна правого глаза пациентки. Периферический очаговый хориоретинит в рубцовой стадии / Fig. 2. Fundus photography of the right eye of a patient. Рeripheral focal chorioretinitis in the cicatricial stage
Рис. 3. Фотография глазного дна левого глаза пациентки. Периферический очаговый хориоретинит в рубцовой стадии / Fig. 3. Fundus photography of the left eye of a patient. Peripheral focal chorioretinitis in the cicatricial stage
Результаты дополнительных методов исследований. Из лабораторных исследований обращает на себя внимание умеренная анемия (Hg 101 г/л). Диаскинтест 29.06.2021 — общая, местная и очаговая реакции отрицательные. Антитела к Toxoplasma gondii IgG 20,4 Ед/мл (положительно при >3,0); антитела к Toxoplasma gondii IgM — отрицательно.
Оптическая когерентная томография (ОКТ) от 18.06.2021: обширный отёк сетчатки, распространяющийся по ходу нижней височной аркады к макулярной зоне, местами дифференциация слоёв сетчатки затруднена, имеются скопления кист с гипорефлективным содержимым (жидкость). В фовеальной области — отёк внутренней сетчатки с гиперрефлективными включениями. ОКТ-ангиография: нарушение перфузии в слое хориокапилляров и полнокровие ретинальных сосудов в зоне отёка (рис. 4).
Рис. 4. Оптическая когерентная томограмма пациентки (a, b). Фовеолярный профиль деформирован за счёт отёка внутренних слоёв сетчатки, в месте отёка нарушение перфузии в слое хориокапилляров, хориоидея имеет полнокровные сосуды. Отслойка задней гиалоидной мембраны / Fig. 4. OCT of the patient (a, b). The foveolar profile is deformed due to edema of the inner layers of the retina, at the site of the edema there is a violation of perfusion in the choriocapillaris, the choroid has plethoric vessels. Detachment of the posterior hyaloid membrane
Проведённое лечение. Спирамицин в дозировке 9 млн. ЕД/сут внутрь в течение 1 мес., внутривенно меглюмина натрия сукцинат 400,0 № 5, парабульбарно цефазолин с дексаметазоном № 10, бетаметазона натрия фосфат 0,5 № 2, внутримышечно витамины группы В. На фоне терапии отмечена положительная динамика в виде уменьшения количества клеточных элементов в СТ, уменьшения отёка сетчатки, формирования хориоретинального очага неправильной вытянутой формы с чёткими границами, рассасывания геморрагий, повышении остроты зрения до 0,2, эксцентрично. Пациентке даны рекомендации: динамическое наблюдение у офтальмолога и инфекциониста с повторением курса спирамицина через 6 мес.
Исходя из офтальмологической картины, результатов лабораторных исследований и положительной динамики на фоне специфического лечения (спирамицин), есть основания предполагать хориоретинит ассоциированный с токсоплазмозом, обострение которого связано с проведением вакцинации.
КЛИНИЧЕСКИЙ СЛУЧАЙ № 2
Пациентка, 1966 г. р., находилась на обследовании и лечении с 15.06.2021 по 28.06.2021. Привита Гам-КОВИД-Вак (06.02.2021, 27.02.2021). Жалобы на искажение предметов и снижение зрения появились 24.05.2021. Обратилась в офтальмологическую клинику СЗГМУ им. И.И. Мечникова, затем в городской консультативно-диагностический центр № 7. С диагнозом «очаговый хориоретинит левого глаза» была госпитализирована в ГМПБ № 2, где на фоне антибактериальной и противовоспалительной терапии наблюдалась умеренная положительная динамика. Для уточнения этиологии и дальнейшей терапии пациентка была переведена в офтальмологическое отделение СПбНИИФ.
При поступлении: Vis ОD — 0,1, sph –3,5 D = 1,0; ВГД 19 мм рт. ст. Vis ОS — 0,1, sph –3,5 D = 0,8 (центральная относительная скотома, метаморфопсии), ВГД — 18 мм рт. ст.
ОD — передний отдел глаза, оптические среды и глазное дно без патологии. ОS — передний отдел без патологии. Уплотнение под задней капсулой хрусталика. В СТ неравномерная конденсация фибрилл. Глазное дно: ДЗН розовый, контуры чёткие, артерии сужены, вены извиты, в парамакулярной зоне выявляется светлый хориоретинальный очаг, размером 2/3 PD, слабо проминирующий, частично пигментированный, макулярный рефлекс нечёткий, отслойка пигментного и нейроэпителия сетчатки (рис. 5). В заднем полюсе определяется ещё один небольшой ретинальный очаг размером 1/8 PD с нечёткими контурами.
Рис. 5. Глазное дно пациентки. Парамакулярный очаговый хориоретинит в стадии затихания / Fig. 5. The fundus of the patient M. Paramacular focal chorioretinitis in the stage of remission
Данные лабораторного исследования: 16.06.2021 — антитела на Toxoplasma gondii IgG 16,8 Ед/мл (положительно при >3,0); антитела на Toxoplasma gondii IgM — отрицательно. Проведение диаскинтеста от 22.06.2021 — общая, местная и очаговая реакции отрицательные.
По ОКТ: отслойка задней гиалоидной мембраны, парамакулярно определяется фокус, деформирующий слои сетчатки и сосудистой оболочки, в макулярной зоне деструкция пигментного эпителия, умеренный отёк нейроэпителия сетчатки (рис. 6).
Рис. 6. Оптическая когерентная томограмма пациентки. Фовеолярный профиль деформирован за счёт отёка и фокуса в парамакулярной зоне, отслойка нейроэпителия, отслойка пигментного эпителия, отслойка задней гиалоидной мембраны / Fig. 6. OCT of the patient. The foveolar profile is deformed due to edema and focal lesion in the paramacular zone, neuroepithelial detachment, detachment of the pigment epithelium, detachment of the posterior hyaloid membrane
Проведено лечение. Внутрь: периметамин, сульфадиазин по схеме, витаминотерапия. Парабульбарно: цефазолин с дексаметазоном по 0,5 мл № 10, бетаметазона натрия фосфат 0,5 мл № 1. На фоне специфического лечения повысилась острота зрения левого глаза до 0,9–1,0, однако метаморфопсии сохранялись. Очаг на глазном дне стал более плоским, с чёткими границами, отёк макулы уменьшился. Пациентке было рекомендовано наблюдение офтальмолога и инфекциониста, проведение курсов дедистрофической терапии с использованием ретинопротекторов.
ЗАКЛЮЧЕНИЕ
В обоих случаях воспалительный процесс во внутренних оболочках глаза проявился после введения второго компонента вакцины «Спутник V» (через 2 нед. и 2 мес. соответственно). Послужила ли именно вакцинация толчком для развития воспалительного процесса в глазу остаётся не совсем ясным, хотя других объективных причин на уровне доступного обследования нами не выявлено. В любом случае, этот факт указывает на целесообразность офтальмологического осмотра перед вакцинацией у пациентов, имеющих жалобы или выявленную патологию органа зрения. Кроме того, необходимо динамическое наблюдение за пациентами, у которых в ходе вакцинации было впервые выявлено развитие или обострение существующего воспалительного процесса органа зрения с целью профилактики возможных осложнений.
ДОПОЛНИТЕЛЬНАЯ ИНФОРМАЦИЯ
Вклад авторов. Все авторы внесли существенный вклад в разработку концепции, проведение исследования и подготовку статьи, прочли и одобрили финальную версию перед публикацией.
Источник финансирования. Исследование не имело финансового обеспечения или спонсорской поддержки.
Конфликт интересов. Авторы декларируют отсутствие явных и потенциальных конфликтов интересов, связанных с публикацией настоящей статьи.
Информированное согласие на публикацию. Авторы получили письменное согласие законных представителей пациента на публикацию медицинских данных и фотографий.
ADDITIONAL INFORMATION
Author contribution. Thereby, all authors made a substantial contribution to the conception of the study, acquisition, analysis, interpretation of data for the work, drafting and revising the article, final approval of the version to be published and agree to be accountable for all aspects of the study.
Funding source. This study was not supported by any external sources of funding.
Competing interests. The authors declare that they have no competing interests.
Consent for publication. Written consent was obtained from the patient for publication of relevant medical information and all of accompanying images within the manuscript.
About the authors
Oksana G. Ionova
St. Petersburg Research Institute of Phthisiopulmonology
Author for correspondence.
Email: glazniif@mail.ru
Cand. Sci. (Med.), Ophthalmologist of the Department of Phthisioophthalmology
Russian Federation, 2–4, Ligovsky st., Saint Petersburg, 197758Andrey V. Karetsky
St. Petersburg Research Institute of Phthisiopulmonology
Email: glazniif@mail.ru
Cand. Sci. (Med.), Head of the Department of Phthisiophthalmology
Russian Federation, Saint PetersburgValentina M. Hokkanen
North-Western State Medical University named after I.I. Mechnikov
Email: hokkanen@bk.ru
Dr. Sci. (Med.), Professor, Professor of Ophthalmology Department
Russian Federation, Saint PetersburgNataliya G. Zumbulidze
North-Western State Medical University named after I.I. Mechnikov
Email: guramovna@gmail.com
Cand. Sci. (Med.), Assistant Professor of Ophthalmology Department
Russian Federation, Saint PetersburgOksana V. Bagriantseva
Medical Center “XXI century”
Email: medinfo@mc21.ru
Ophthalmologist
Russian Federation, Saint PetersburgReferences
- Avetisov SEh, Egorov EA, Moshetova LK, et al, editors. Oftal’mologiya: natsional’noe rukovodstvo. 2nd edition. Moscow: GEHOTAR-Media, 2008. P. 506–507. (In Russ.)
- Kanski DzhDzh, Milevski StA, Damato BEh, Tehnner V. Zabolevaniya glaznogo dna. Avetisov SEh, editor. Moscow: MEDpress-inform, 2009. P. 171–176. (In Russ.)
- Nasiri N, Sharifi H, Bazrafshan A, et al. Ocular manifestations of COVID-19: a systematic review and meta-analysis. J Ophthalmic Vis Res. 2021;16(1):103–112. doi: 10.18502/jovr.v16i1.8256
- Maychuk DYu, Atlas SN, Loshkareva AO. Ocular manifestations of coronavirus infection COVID-19 (clinical observation). Vestnik Oftalmologii. 2020;136(4):118123. (In Russ.) doi: 10.17116/oftalma2020136041118
- Hwang JH. Uveitis after COVID-19 Vaccination. Case Rep Ophthalmol. 2022;13:124–127. doi: 10.1159/000521785
- Benage M, Fraunfelder FW. Vaccine-associated uveitis. MO Med. 2016;113:48–52.
- Cunningham ET Jr, Moorthy RS, Fraunfelder FW, Zierhut M. Vaccine-associated uveitis. Ocul Immunol Inflamm. 2019;27(4):517–520. doi: 10.1080/09273948.2019.1626188
Supplementary files









