Modern strategy and standards of treatment of lower eyelid skin malignant neoplasms
- Authors: Polyakov A.P.1, Davydov D.V.1, Novikova I.V.1, Sugaipov A.L.1, Kuznetsova O.S.1, Naumova E.A.1
-
Affiliations:
- P. Hertsen Moscow Oncology Research Institute is a branch of the National Medical Research Center for Radiology
- Issue: Vol 16, No 1 (2023)
- Pages: 81-90
- Section: In ophthalmology practitioners
- Submitted: 28.11.2022
- Accepted: 21.02.2023
- Published: 09.04.2023
- URL: https://journals.eco-vector.com/ov/article/view/114946
- DOI: https://doi.org/10.17816/OV114946
- ID: 114946
Cite item
Abstract
Cases of surgical treatment of basal cell skin carcinoma of the lower eyelid are rarely described in the world literature. Perhaps this is due to the search for new non-surgical treatment methods or to the fact that this localization is poorly represented in the total incidence of basal cell skin cancer. However, the operative method, recommended as the main line of treatment by both domestic and foreign clinical recommendations, is still recognized as the most radical and aesthetically acceptable method of treatment. Non-radical treatment of the tumor leads, in turn, to relapses of the disease, to the emergence of systemic metastatic foci due to the lymphogenic and hematogenic spread of tumor cells. In the article we describe the experience of surgical treatment of patients suffering from basal cell skin carcinoma of the lower eyelid of varying degrees of extension.
Full Text
ВВЕДЕНИЕ
Базальноклеточный рак (БКР) — наиболее распространённое злокачественное немеланомное новообразование кожи, происходящее из эпидермиса или волосяных фолликулов. Данное заболевание характеризуется местнодеструирующим ростом, с чем связаны нередкие случаи обширного поражения кожи, многообразием клинических проявлений, редким метастазированием и частым локальным рецидивированием [1]. БКР может поражать и веки: в данной локализации на долю этого гистологического типа новообразований приходится до 90,8 % случаев заболеваний [2]. Несмотря на то что БКР кожи ассоциирован с крайне низкой летальностью, его способность к проникновению в соседние анатомические структуры, особенно в случае нерадикального первичного лечения, оказывает влияние на отдалённые косметические и функциональные результаты лечения. Хирургическое лечение в настоящее время по праву считается наиболее радикальным методом из всех возможных [3], однако нередко и врачи, и пациенты при начальных стадиях заболевания, когда оперативное вмешательство может носить наиболее косметический характер, отдают предпочтение другим, менее эффективным видам местного лечения. Неверная тактика лечения базальноклеточного рака кожи (БКРК) века приводит к локальным рецидивам, дедифференцировке, более агрессивному и инвазивному росту образования, вовлекающему с течением времени другие структуры орбиты, глазного яблока в опухолевый процесс, что, в свою очередь, приводит к менее приемлемым эстетическим результатам хирургического лечения, а также может быть связано с необходимостью выполнения энуклеации глазного яблока или экзентарции орбиты. В связи с этим проблема правильного выбора тактики лечения у больных БКРК века носит исключительно важный характер в контексте роста показателей как общей безрецидивной выживаемости, так и выживаемости без прогрессирования заболевания, а также качества отдалённых косметических результатов лечения и, как следствие, качества жизни онкологических пациентов. В отношении базальноклеточных карцином области век, то есть зоны «высокого риска», согласно требованиям как клинических рекомендаций Мин здрава России, так и зарубежных рекомендаций, безальтернативным методом лечения является хирургический [4].
В статье приведён опыт оперативных вмешательств в условиях микрохирургического отделения Московского научно-исследовательского онкологического института им. П.А. Герцена (МНИОИ им. П.А. Герцена) при БКРК века разной степени распространённости с одномоментной реконструкцией.
КЛИНИЧЕСКИЙ СЛУЧАЙ 1
Пациентка, 35 лет, считает себя больной с 2018 г., когда впервые отметила длительно незаживающее опухолевое образование в области латерального угла нижнего века слева. Со слов, по данному поводу обращалась к косметологу, была назначена консервативная терапия, с незначительным эффектом. В июле 2020 г. в связи с увеличением образования в размерах обратилась к дерматологу Центральной клинической больницы с поликлиникой Управления делами Президента РФ, выполнен соскоб, цитологически установлен диагноз «базальноклеточный рак», рекомендована консультация онколога. 28.09.2020 самостоятельно обратилась для обследования и определения тактики лечения в МНИОИ им. П.А. Герцена.
При осмотре в области латерального угла нижнего века слева определяется опухолевое образование, инфильтративно-язвенного характера роста, покрытое струпом, контактно кровоточащее, без чётких контуров, размерами до 0,5 см в диаметре (рис. 1). При пальпации шеи патологически изменённые лимфоузлы не определяются.
Рис. 1. Вид пациентки до операции (09.2020)
Fig. 1. Appearance of the patient before surgery (September, 2020)
28.09.2020 был выполнен соскоб, цитологически верифицирован БКРК. Пациентка комплексно дообследована по системам и органам, по данным инструментальных исследований отдалённые метастазы не выявлены. Клиническая ситуация обсуждена на онкологическом консилиуме от 02.10.2020, рекомендовано хирургическое лечение.
13.10.2020 в условиях микрохирургического отделения МНИОИ им. П.А. Герцена выполнено иссечение опухоли кожи латерального угла нижнего века слева с пластикой раны местными тканями (рис. 2).
Рис. 2. Интраоперационные фотографии пациентки от 13.10.2020: a — вид операционного поля после удаления опухоли; b — вид операционного поля, перемещённый лоскут фиксирован узловыми швами
Fig. 2. Intraoperative photos of the patient on October 13, 2020: a — appearance of the surgical area after the tumor removal of; b — aspect of the surgical area, moved flap fixed by interrupted sutures
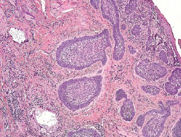
По данным планового морфологического исследования от 21.10.2020: изъязвлённый БКРК, нодулярный тип. Опухоль инфильтрирует сетчатый слой дермы. В краях резекции опухолевого роста не выявлено (рис. 3).
Рис. 3. Фотография гистологического препарата послеоперационного материала пациентки, окрашивание гематоксилином и эозином, ×100
Fig. 3. Photo of the histological specimen of the patient's postoperative material, hematoxylin and eosin staining, ×100
Решением онкологического консилиума от 23.10.2020 рекомендовано динамическое наблюдение. Пациентка регулярно обследуется в институте, по данным контрольных исследований через 2 года (10.2022) локорегионарный рецидив или отдалённые метастазы не определяются (рис. 4).
Рис. 4. Вид пациентки через 2 года после операции
Fig. 4. Appearance of the patient 2 years after surgery
КЛИНИЧЕСКИЙ СЛУЧАЙ 2
Пациентка, 58 лет, считает себя больной с 2014 г., когда впервые отметила рост врождённого пигментного образования на коже левой подглазничной области, к врачу не обращалась. С 2017 г. отметила признаки изъязвления, мокнутия. За медицинской помощью не обращалась, лечилась консервативно местно. В декабре 2020 г. обратилась к онкологу по месту жительства (Республика Азербайджан), выполнена тотальная биопсия образования. Гистологически верифицирован БКРК века. Дообследована в клинике, регионарных и отдалённых метастазов не выявлено. Пациентка в феврале 2021 г. самостоятельно обратилась в МНИОИ им. П.А. Герцена для определения тактики лечения (рис. 5).
Рис. 5. Вид пациентки от 02.2021 (до операции): a — спереди; b — слева
Fig. 5. Appearance of the patient on February, 2021 (before surgery): a — front view; b — left view
При осмотре в условиях поликлиники МНИОИ им. П.А. Герцена на коже инфраорбитальной области слева определяется инфильтративно-язвенный дефект неправильной формы, размерами до 2,0 × 1,5 см в диаметре, с валикообразными краями и ярко-красным дном, с серозно-геморрагическим отделяемым. Нижнее веко левого глаза вывернуто. При пальпации шеи патологически увеличенные лимфоузлы не определяются. Пациентка была направлена на дообследование в условиях института, по данным магнитно-резонансной томографии лицевого отдела черепа от 08.02.2021 в подкожно-жировой клетчатке области левого нижнего века визуализируется зона структурных изменений, без чётких контуров в поперечном сечении размерами 14 × 10 мм, с распространением в глубину на 8,0 мм с признаками ограничения диффузии, интенсивным гомогенным накоплением контрастного препарата, с признаками опухолевой инфильтрации мягких тканей области левого нижнего века, спинки и крыла носа слева, щёчной области слева, с умеренным накоплением контрастного препарата в указанных зонах. Убедительных данных о деструкции костных структур на исследуемом уровне (при выполнении мультиспиральной компьютерной томографии) нами не получено.
По данным компьютерной томографии органов грудной клетки и брюшной полости от 01.2021 — без признаков отдалённых метастазов.
Тактика лечения обсуждена на онкологическом консилиуме от 05.03.2021, установлен диагноз: «C44.3 Рак кожи инфраорбитальной области слева сТ 3N0M0, III стадии». Рекомендовано хирургическое лечение в объёме иссечения опухоли нижнего века и кожи инфраорбитальной области с реконструктивно-пластическим компонентом.
11.03.2021 в условиях микрохирургического отделения МНИОИ им. П.А. Герцена выполнено хирургическое лечение в объёме удаления опухоли инфраорбитальной области с реконструкцией дефекта тканей посредством составных лоскутов — парамедианного, ротационного лоскута щёчно-скуловой области и лоскута мягких тканей щёчной области в качестве первого этапа хирургического лечения злокачественного образования (рис. 6).
Рис. 6. Интраоперационные фотографии пациентки от 11.03.2021: a — вид пациентки после удаления препарата спереди, выполнена предоперационная разметка лоскутов (парамедианный, щёчно-скуловой кожно-жировые лоскуты); b — вид пациентки после удаления препарата слева, выполнена предоперационная разметка лоскутов (парамедианный, щёчно-скуловой кожно-жировые лоскуты); c — вид операционного поля, мобилизованы парамедианный, щёчно-скуловой и щёчный кожно-жировые лоскуты; d — вид операционного поля, парамедианный, щёчно-скуловой и щёчный кожно-жировые лоскуты перемещены в область сформированного послеоперационного дефекта и фиксированы отдельными узловыми швами
Fig. 6. Intraoperative photos of the patient on March 11, 2021: a — front view of the patient after the tumor removal, preoperative marking of flaps (paramedian, buccal-zygomatic adipo-cutaneous flaps) has been performed; b — left view of the patient after the tumor removal, preoperative marking of flaps (paramedian, buccal-zygomatic adipo-cutaneous flaps) has been performed; c — appearance of the surgical area, paramedian, buccal-zygomatic and buccal adipo-cutaneous flaps have been mobilized; d — the appearance of the surgical area, paramedian, buccal-zygomatic and buccal skin-fat flaps were moved to the area of the formed postoperative defect and fixed with interrupted sutures
По результатам проведённого планового патоморфологического исследования операционного материала было выявлено, что в препарате — изъязвлённый БКРК с инфильтративным характером роста, наличием периневрального и периваскулярного роста, умеренно выраженной смешанно-клеточной воспалительной инфильтрацией, с инвазией подкожной жировой клетчатки и скелетных мышц.
04.01.2021 проведён онкологический консилиум, рекомендовано строгое динамическое наблюдение у онколога по месту жительства.
В июле 2021 г. пациентка госпитализирована в микрохирургическое отделение МНИОИ им. П.А. Герцена для выполнения второго этапа хирургического лечения (рис. 7) для иссечения избытков тканей и коррекции лоскута, по данным контрольных обследований — без признаков рецидивирования основного заболевания и отдалённых метастазов.
Рис. 7. Вид пациентки в отсроченном послеоперационном периоде после первого этапа хирургического лечения: a — спереди; b —слева
Fig. 7. Appearance of the patient in the delayed postoperative period after the first stage of surgical treatment: a — front view; b — left view
При осмотре параорбитальная область слева деформирована предшествующим оперативным вмешательством, в зоне дефекта определяется избыток мягких тканей, представленный ранее перемещённым парамедианным лоскутом. При визуальном осмотре признаков рецидива опухоли не выявлено. Доступные пальпации лимфатические узлы патологически не изменены.
28.07.2021 выполнена коррекция ранее перемещённого лоскута параорбитальной области слева: иссечён избыток ткани у основания ножки лоскута, мягкие ткани межбровной области ротированы в анатомическую позицию (рис. 8).
Рис. 8. Интраоперационная фотография пациентки от 28.07.2021. Второй этап хирургического лечения — коррекция перемещённого парамедианного лоскута
Fig. 8. Intraoperative photo of the patient on July 28, 2021. Second stage of surgical treatment — correction of the displaced paramedian flap
В марте 2022 г. (через 6 мес. после корректирующей операции) пациентка госпитализирована в микрохирургическое отделение МНИОИ им. П.А. Герцена для выполнения следующего этапа коррекции. По данным комплексного обследования пациентки — без признаков рецидива и метастазов основного заболевания (рис. 9).
Рис. 9. Вид пациентки в отсроченном послеоперационном периоде после второго этапа хирургического лечения: a — спереди; b — слева
Fig. 9. Appearance of the patient in remote postoperative period, after the second stage of surgical treatment: a — front view; b — left view
При осмотре параорбитальная область слева деформирована предшествующим оперативным вмешательством, в зоне дефекта определяется избыток мягких тканей. Верхнее веко фиксировано в области медиального угла левого глаза. При визуальном осмотре признаков рецидива не выявлено. Доступные пальпации регионарные лимфатические узлы патологически не изменены.
18.03.2022 выполнена коррекция лоскута с пластическим оформлением медиального угла левого глаза. Результатом лечения пациентка удовлетворена (рис. 10).
Рис. 10. Вид пациентки в отсроченном послеоперационном периоде после первого этапа хирургического лечения: a — спереди с закрытыми глазами; b — спереди с открытыми глазами
Fig. 10. Appearance of the patient in remote postoperative period, after the second stage of surgical treatment: a — front view with eyes opened; b — front view with eyes closed
КЛИНИЧЕСКИЙ СЛУЧАЙ 3
Пациентка, 68 лет, считает себя больной с 2021 г., когда впервые отметила длительно незаживающее опухолевое образование в области правого нижнего века, в октябре 2021 г. самостоятельно обратилась в частную клинику по месту жительства, со слов пациентки, рекомендована местная консервативная терапия, оставлена под динамическое наблюдение. В марте 2021 г. повторно обратилась к офтальмологу в частную клинику по месту жительства, в связи с воспалением кожи нижнего века. Был выполнен соскоб образования нижнего века, цитологически верифицирован БКРК, рекомендовано удаление опухоли кожи нижнего века справа. 26.04.2021 обратилась для дообследования и определения дальнейшей тактики лечения в поликлиническое отделение МНИОИ им. П.А. Герцена.
При осмотре на коже правого нижнего века определяется опухолевое образование инфильтративного характера роста, с нечёткими, неровными контурами, размерами до 0,7 см в диаметре (рис. 11). Нельзя исключить распространение на слизистую оболочку нижнего века. При пальпации шеи справа и слева патологических изменений лимфатических узлов не определяется.
Рис. 11. Вид пациентки до операции: a — слева; b — спереди
Fig. 11. Appearance of the patient before surgery: a — left view; b — front view
27.04.2021 выполнен соскоб образования кожи нижнего века справа. По данным цитологического исследования — базальноклеточная карцинома. Пациентка дообследована по системам и органам, отдаленных метастазов не выявлено. Клиническая ситуация обсуждена на онкологическом консилиуме от 05.05.2021, установлен диаг ноз: «C44.1 Рак кожи правого нижнего века сT1bN0M0, IA стадии, рекомендовано хирургическое лечение».
24.06.2021 в условиях отделения микрохирургии МНИОИ им. П.А. Герцена выполнено иссечение новообразования мягких тканей нижнего века справа с реконструктивно-пластическим компонентом (рис. 12).
Рис. 12. Интраоперационные фотографии пациентки от 24.06.2021: a — вид сформированного послеоперационного дефекта, выполнена клиновидная резекция нижнего века; b — вид послеоперационной раны, послойно ушиты края раны
Fig. 12. Intraoperative photos of the patient on June 24, 2021: a — view of the formed postoperative tissue defect, a wedge resection of the lower eyelid was performed; b — appearance of the postoperative wound, wound edges are closed in layers
По данным планового морфологического исследования от 05.07.2021 — БКРК нодулярного строения с фокусами аденоидной дифференцировки с умеренной перитуморальной лимфогистиоцитарной инфильтрацией. Опухоль инфильтрирует поверхностные и глубокие слои дермы, близко подрастает к скелетным мышцам. Максимальная глубина инвазии — 3 мм. Края резекции интактны.
Дальнейшая тактика лечения обсуждена на онкологическом консилиуме 08.07.2021, рекомендовано динамическое наблюдение.
При контрольном обследовании через 3 мес. (09.2022) — местного рецидива не обнаружено, отдалённых метастазов не выявлено. Веки полностью смыкаются, пациентка удовлетворена результатами хирургического лечения (рис. 13). Находится на динамическом наблюдении по месту жительства.
Рис. 13. Вид пациентки от 09.2022: a — слева; b — спереди
Fig. 13. Appearance of the patient on September, 2022: a — left view; b — front view
ОБСУЖДЕНИЕ
Немеланомный рак кожи век составляет 5–10 % всех опухолей кожи. Базальноклеточная карцинома — наиболее распространенная злокачественная опухоль века [5], на долю которой приходится 80–90 % случаев. Плоскоклеточный рак кожи составляет 3,4–12,6 %, карцинома сальных желез — 0,6–10,2 %, меланома и карцинома клеток Меркеля составляют менее 1 % [6].
Факторы риска развития БКР описаны в нескольких исследованиях. К ним относятся: пожилой возраст, мужской пол, воздействие ультрафиолетового излучения, первый и второй фототипы кожи [7]. Другими факторами, влияющими на развитие БКРК, являются воздействие ионизирующей радиации, предшествующая иммуносупрессия, носительство вируса иммунодефицита человека, курение. В некоторых случаях базальноклеточные карциномы кожи развиваются на фоне предопухолевых новообразований. В литературе описан ряд наследственных синдромов, в рамках которых возникает БКРК: синдром Горлина – Гольтца, синдром Базекса, синдром Ромбо, синдром одностороннего базальноклеточного невуса. [8].
Клинические проявления периорбитального опухолевого поражения могут быть относительно незаметными [9]. БКРК чаще всего проявляется в виде эритемы, папулы, изъязвления, характеризующегося рецидивирующими кровотечениями или кистозным узлом. Как правило, он имеет перламутровый, восковой или полупрозрачный цвет, часто бывает болезненным. Пациенты, ввиду невыраженности симптомов, не испытывают субъективных трудностей, в связи с чем поздно обращаются за медицинской помощью. Исследование I. Leibovitch и соавт. [13] описывает 35,7 % поражений, характеризующихся инвазией в глубокие структуры, в том числе — в кости. Ограниченная подвижность глазного яблока — клинически значимый симптом, частота которого составляет 30–76,5 %. У таких пациентов часто проявляются симптомы в виде диплопии, из которых у 35,7 % было только визуальное или пальпируемое поражение без подрастания к структурам орбиты. Исследование Z. Prídavková и соавт. [11] показало, что пациенты с явными клиническими признаками, такими как эпифора или кератопатия, не предъявляли жалоб на болевые ощущения [11].
Другим поздним клиническим симптомом является косоглазие, которое может сопровождаться повреждением зрительного нерва и инвазией в костные структуры. Такие явления зачастую протекают бессимптомно, без нарушения зрения до поздней стадии заболевания [11, 12].
С практической точки зрения БКР рекомендуется классифицировать с точки зрения риска рецидива. Наиболее часто рецидивируют по данным литературы опухоли, локализованные в области так называемой маски лица, в том числе — в области век. У данных пациентов при выборе дальнейшей тактики лечения, в том числе динамического наблюдения, рекомендовано учитывать факторы риска неблагоприятного прогноза.
Для стратификации риска учитывают локализацию опухолевого образования, клинические и морфологические признаки опухоли. Выделяют следующие группы риска [13]: низкий (зона L) — опухоли, локализованные в области туловища и конечностей (за исключением ладоней, ногтевых фаланг, передней поверхности голеней, лодыжек, стоп); промежуточный (зона M) — опухоли, лоцирующиеся в области щёк, лба, волосистой части головы, шеи и голеней; высокий (зона H) — образования, располагающиеся в вышеупомянутой «зоне лицевой маски» [центральные отделы лица, веки, брови, периорбитальные области, нос, губы (кожа и красная кайма), подбородок, нижняя челюсть, околоушная и заушная область, складки кожи лица, висок, ушная раковина], а также гениталии, ладони и стопы.
По данным клинических рекомендаций NCCN (National Comprehensive Cancer Network) от 2022 г., а также согласно Клиническим рекомендациям Минздрава Российской Федерации [4] по лечению базальноклеточного рака кожи, методом выбора лечения пациентов с высоким риском при отсутствии жизненных противопоказаний становится радикальное хирургическое лечение.
Опираясь на данные литературы, можно выделить следующие прогностические факторы местного рецидивирования:
- расположение опухолевого узла в области головы и шеи, в особенности в области «маски»;
- значительные размеры опухолевого очага;
- неблагоприятные гистологические особенности опухолевого роста — периневральная и лимфоваскулярная инвазия, плоскоклеточная метаплазия;
- предшествующее местное лечение, не обладавшее достаточным радикализмом — нерадикальное хирургическое лечение;
- фотодинамическая терапия;
- лучевая терапия.
Наиболее неблагоприятными прогностическими факторами, связанными с необходимостью выполнения в последующем экзентерации орбиты, считаются расположение первичного очага в области медиального угла глаза, эксцизия, выполненная без контроля краев резекции, а также инфильтративный гистологический подтип опухоли и периневральная инвазия, определяющаяся в препарате [14, 15].
В случае наличия данных неблагоприятных прогностических факторов у обследуемых пациентов авторы рекомендуют тщательное послеоперационное наблюдение за состоянием оперированных тканей. В связи с этим можно заключить, что наиболее приемлемым методом лечения пациентов с БКРК является радикальное удаление первичного опухолевого очага хирургическим путём [16]. Наиболее щадящий способ удаления новообразования кожи — метод Mohs, описанный в 30-х годах XX в. учёным Фредериком Моосом. Особенность данного способа состоит в послойном удалении тканей и возможности гистологического изучения под микроскопом каждого удалённого слоя. Длительность выполнения данной методики и постоянное присутствие высококвалифицированного патоморфолога ограничивает применение данного способа хирургического удаления в широкой клинической практике.
Приведённые выше в данной работе клинические случаи служат примером того, что хирургическое лечение больных БКРК века разной степени распространённости является методом выбора, так как в большей степени, нежели другие методы, отвечает принципам радикальности и в связи с этим имеет более удовлетворительные отдалённые результаты в контексте безрецидивной выживаемости, достигает хорошего функционального и косметического результата, позволяя сохранить пациентам зрительные функции даже в случае распространённого опухолевого процесса.
ЗАКЛЮЧЕНИЕ
Мы поддерживаем мнение, что единственно возможным методом лечения больных БКРК века на начальных стадиях остаётся радикальное лечение. Офтальмологам и всем врачам, осуществляющим выбор метода лечения злокачественных опухолей век, необходимо использовать мультидисциплинарный подход и планирование, учитывать повышенные риски локальных рецидивов опухолей «области маски», эстетические нюансы лечения опухолей области лица и век.
ДОПОЛНИТЕЛЬНАЯ ИНФОРМАЦИЯ
Вклад авторов. Все авторы внесли существенный вклад в разработку концепции, проведение исследования и подготовку статьи, прочли и одобрили финальную версию перед публикацией. Вклад каждого автора: А.П. Поляков — получение данных для анализа, анализ полученных данных, написание текста статьи, редактирование текста статьи; Д.В. Давыдов — получение данных для анализа, анализ полученных данных, редактирование текста статьи; И.В. Ребрикова, А.Л. Сугаипов, О.С. Кузнецова — получение данных для анализа, анализ полученных данных; Е.А. Наумова — анализ полученных данных, написание текста статьи.
Источник финансирования. Исследование не имело финансового обеспечения или спонсорской поддержки.
Конфликт интересов. Автор декларирует отсутствие явных и потенциальных конфликтов интересов, связанных с публикацией настоящей статьи.
Информированное согласие на публикацию. Автор получил письменное согласие пациентов на публикацию медицинских данных и фотографий.
ADDITIONAL INFORMATION
Authors' contribution. Thereby, all authors made a substantial contribution to the conception of the study, acquisition, analysis, interpretation of data for the work, drafting and revising the article, final approval of the version to be published and agree to be accountable for all aspects of the study. The contributions of each author: A.P. Polyakov — obtaining data for analysis, analysis of the data obtained, writing the text of the article, editing the text of the article; D.V. Davydov — obtaining data for analysis, analysis of the data obtained, editing the text of the article; I.V. Rebrikova, A.L. Sugaipov, O.S. Kuznetsova — obtaining data for analysis, analysis of the data obtained; E.A. Naumova — analysis of the received data, writing the text of the article.
Funding source. This study was not supported by any external sources of funding.
Competing interests. The authors declare that they have no competing interests.
Consent for publication. Written consent was obtained from the patients for publication of relevant medical information and all of accompanying images within the manuscript.
About the authors
Andrey P. Polyakov
P. Hertsen Moscow Oncology Research Institute is a branch of the National Medical Research Center for Radiology
Email: appolyakov@mail.ru
ORCID iD: 0000-0003-2095-5931
MD, Dr. Sci. (Med.), head of the Department of microsurgery
Russian Federation, MoscowDmitry V. Davydov
P. Hertsen Moscow Oncology Research Institute is a branch of the National Medical Research Center for Radiology
Email: davydov_dmvk@pfur.ru
ORCID iD: 0000-0001-5506-6021
MD, Dr. Sci. (Med.), head of the Department of oncoplastic surgery
Russian Federation, MoscowIrina V. Novikova
P. Hertsen Moscow Oncology Research Institute is a branch of the National Medical Research Center for Radiology
Email: rebrikovaiv@mail.ru
ORCID iD: 0000-0002-7854-9824
Cand. Sci. (Med.), senior research associate of the Department of microsurgery
Russian Federation, MoscowAdam L. Sugaipov
P. Hertsen Moscow Oncology Research Institute is a branch of the National Medical Research Center for Radiology
Email: Al.Sugaipov@mail.ru
ORCID iD: 0000-0002-9349-7372
physician of Department of microsurgery
Russian Federation, MoscowOlga S. Kuznetsova
P. Hertsen Moscow Oncology Research Institute is a branch of the National Medical Research Center for Radiology
Email: olga-sudalenko@yandex.ru
ORCID iD: 0000-0003-1789-4007
pathologist of pathoanatomical Department
Russian Federation, MoscowElena A. Naumova
P. Hertsen Moscow Oncology Research Institute is a branch of the National Medical Research Center for Radiology
Author for correspondence.
Email: dr.naumova@outlook.com
ORCID iD: 0000-0001-8203-7971
clinical resident of Department of microsurgery
Russian Federation, MoscowReferences
- Weissferdt A, Kalhor N, Moran CA. Cutaneous basal cell carcinoma with distant metastasis to thorax and bone: A clinicopathological and immunohistochemical study of 15 cases. Virchows Arch. 2017;470(6):687–694. doi: 10.1007/s00428-017-2121-3
- Monroe M, Kakarala K. Management of advanced basal cell carcinoma of the head and neck. Otolaryngol Clin North Am. 2021;54(2):271–280. doi: 10.1016/j.otc.2020.11.003
- Phan K, Oh LJ, Goyal S, et al. Recurrence rates following surgical excision of periocular basal cell carcinomas: systematic review and meta-analysis. J Dermatolog Treat. 2020;31(6):597–601. doi: 10.1080/09546634.2019.1698702
- Obshcherossiiskii natsional’nyi soyuz “Assotsiatsiya onkologov Rossii”, Assotsiatsiya spetsialistov po problemam melanomy, Obshcherossiiskaya obshchestvennaya organizatsiya “Rossiiskoe obshchestvo klinicheskoi onkologii”, Obshcherossiiskaya obshchestvennaya organizatsiya “Assotsiatsiya vrachei-oftalmologov”. Klinicheskie rekomendatsii “Bazalnokletochnyi rak kozhi”. 2020. 85 p. (In Russ.)
- Vaccari S, Barisani A, Schiavi C, et al. Basal cell carcinoma of the eyelid margin: Dermoscopic clues in a case series. Dermatol Ther. 2021;34(4): e15006. doi: 10.1111/dth.15006
- Brovkina AF, Lerner MYu. Eyelid skin cancer: еpidemiology, prognosis. Head and Neck Tumors (HNT). 2017;7(1):81–85. (In Russ.) doi: 10.17650/2222-1468-2017-7-1-81-85
- Silverman N, Shinder R. What’s new in eyelid tumors. Asia Pac J Ophthalmol (Phila). 2017;6(2):143–152. doi: 10.22608/APO.201701
- Lai V, Cranwell W, Sinclair R. Epidemiology of skin cancer in the mature patient. Clin Dermatol. 2018;36(2):167–176. doi: 10.1016/j.clindermatol.2017.10.008
- Leffell DJ, Carucci JA. Management of Skin Cancer. DeVita VT, Hellman S, Rosenberg SA, editors. Cancer: Principles and Practice of Onco logy. 6th edition. Philadelphia PA: Lippincott Williams & Wilkins; 2001.
- Furdova A, Lukacko P. Periocular basal cell carcinoma predictors for recurrence and infiltration of the orbit. J Craniofac Surg. 2017;28(1): e84–e87. doi: 10.1097/SCS.0000000000003242
- Prídavková Z, Bieliková A, Ferková N, Lysková D. Recurrent periocular basal cell carcinoma. Case report. Cesk Slov Oftalmol. 2021;77(4):208–213. doi: 10.31348/2021/24
- Weesie F, Naus NC, Vasilic D, et al. Recurrence of periocular basal cell carcinoma and squamous cell carcinoma after Mohs micrographic surgery: a retrospective cohort study. Br J Dermatol. 2019;180(5):1176–1182. doi: 10.1111/bjd.17516
- Leibovitch I, McNab A, Sullivan T, et al. Orbital invasion by periocular basal cell carcinoma. Ophthalmology. 2005;112(4):717–723. doi: 10.1016/j.ophtha.2004.11.036
- Kim DP, Kus KJB, Ruiz E. Basal cell carcinoma review. Hematol Oncol Clin North Am. 2019;33(1):13–24. doi: 10.1016/j.hoc.2018.09.004
- Iuliano A, Strianese D, Uccello G, et al. Risk factors for orbital exenteration in periocular Basal cell carcinoma. Am J Ophthalmol. 2012;153(2):238–241.e1. doi: 10.1016/j.ajo.2011.08.004
- Sun MT, Wu A, Figueira E, et al. Management of periorbital basal cell carcinoma with orbital invasion. Future Oncol. 2015;11(22): 3003–3010. doi: 10.2217/fon.15.190
- Mehta KS, Mahajan VK, Chauhan PS, et al. Metastatic Basal cell carcinoma: a biological continuum of Basal cell carcinoma? Case Rep Dermatol Med. 2012;2012:157187. doi: 10.1155/2012/157187
Supplementary files

















