Combination treatment of a rare case of a cavernous hemangioma of the orbit
- 作者: Gorbachev D.S.1, Kulikov A.N.1, Svistov D.V.1, Savello A.V.1, Kol’bin A.A.1, Martynov R.S.1, Leongardt T.A.1
-
隶属关系:
- S.M. Kirov Military Medical Academy
- 期: 卷 12, 编号 4 (2019)
- 页面: 107-120
- 栏目: Case reports
- ##submission.dateSubmitted##: 31.05.2019
- ##submission.dateAccepted##: 02.07.2019
- ##submission.datePublished##: 05.03.2020
- URL: https://journals.eco-vector.com/ov/article/view/12981
- DOI: https://doi.org/10.17816/OV12981
- ID: 12981
如何引用文章
全文:
详细
A case of atypical course of cavernous hemangioma of the orbit. A necessity of a multidisciplinary approach to the diagnosis and surgical treatment of an orbital neoplasm is shown.
全文:
ВВЕДЕНИЕ
Кавернозная гемангиома — наиболее часто встречающаяся доброкачественная опухоль глазницы. Оперирующим офтальмологам хорошо известны симптомы этого заболевания, такие как медленный рост опухоли, умеренно выраженные признаки смещения глазного яблока, нарушения его подвижности, застойные явления, продолжительная сохранность зрительных функций, несмотря на наличие в глазнице опухоли даже больших размеров, а также отсутствие прочной фиксации опухоли к тканям глазницы, позволяющее относительно легко вывести опухоль из глазницы. Вместе с тем в нашей практике периодически встречаются случаи кавернозной гемангиомы, плотно фиксированной к стенкам и тканям глазницы, а также случаи аномально избыточной васкуляризации опухоли, что в свою очередь определяет её атипичное течение и своеобразие клинических проявлений. Эти особенности затрудняют диагностику заболевания, создают необходимость в дополнительной подготовке к операции и требуют готовности к затруднениям, возникающим в ходе оперативного вмешательства.
Кавернозная гемангиома глазницы — это доброкачественное сосудистое образование, которое чаще диагностируют у женщин в возрасте 30–60 лет и которое является самой часто встречающейся опухолью глазницы.
Среди первичных новообразований орбиты сосудистые опухоли доминируют, их доля достигает 25 % [1]. Кавернозная гемангиома составляет от 62 до 85 % сосудистых опухолей глазницы [2, 3]. По данным других авторов, среди опухолей век, конъюнктивы и глазницы кавернозная гемангиома составляет от 36 до 41 % [1, 4].
Заболевание характеризуется медленным нарастанием симптомов (экзофтальм, ослабление рефракции, снижение остроты зрения), затруднением репозиции глазного яблока. Для опухоли характерно наличие тонкой капсулы и отсутствие крупных питающих сосудов. По данным литературы, при наблюдении в течение 6 лет более чем у трети пациентов с кавернозной гемангиомой заболевание остаётся бессимптомным [5]. Как правило, опухоль является одиночной. Множественные кавернозные гемангиомы встречаются менее чем в 8 % случаев [4]. Для выявления и локализации образования используют различные методы лучевой диагностики. При компьютерной томографии (КТ) выявляют округлое или овоидное образование, чаще одностороннее, которое, как правило, располагается в мышечной воронке [1, 6–8]. Вместе с тем примерно в 40 % случаев, опухоль может находиться и вне мышечной воронки в верхнем или нижнем отделе глазницы [2]. При исследовании методом магнитно-резонансной томографии (МРТ) на Т1 ВИ для кавернозной гемангиомы характерна изоинтенсивность к мышцам глазного яблока, а на Т2 ВИ — к стекловидному телу. Капсула новообразования имеет гипоинтенсивный сигнал, а при контрастировании гадолинием определяется неоднородное, плавное усиление контраста [1, 6, 9, 10]. При магнитно-резонансной компьютерной ангиотомографии, как правило, не выявляют питающих сосудов из-за их незначительного диаметра и, как следствие, медленного кровотока [7].
При гистологическом исследовании определяется сосудистая опухоль с тонкостенной капсулой, состоящей из крупных полостей, внутренняя поверхность которых выстлана эндотелием, а строма представлена соединительнотканными элементами с различным количеством гладкомышечных клеток [10, 11]. При оценке гистологической структуры отмечают характерные для кавернозной гемангиомы отёк стромы, тромбозы с последующей реканализацией [11–14].
Имеются данные, что кавернозные гемангиомы, с одной стороны, могут подвергаться рубцеванию и обратному развитию, а с другой — давать массивные кровоизлияния [2].
Большинство исследователей сообщает о медленном росте образования и плавно нарастающей симптоматике, но встречаются публикации об атипичном течении и остром начале заболевания [10, 15] с возникновением болей, хемоза, нарушением подвижности глазного яблока и двоением, нарастанием экзофтальма, появлением кровотечения [1, 10, 12]. Такая симптоматика менее характерна для кавернозной гемангиомы, поэтому в таких случаях в процессе диагностического поиска необходимо исключить острую патологию глазницы, аневризму глазной артерии, варикоз вен глазницы, осложнённую лимфангиому, злокачественную опухоль глазницы, патологию околоносовых пазух и основания черепа (например, каротидно-кавернозное соустье, распад опухоли, прорастающей в глазницу из соседних анатомических областей). При этом гистологически в кавернозной гемангиоме, кроме тромбов и признаков реваскуляризации, наблюдается образование новых ячеек в результате мукоидной дистрофии стромы и её распада [2].
Цель — поделиться опытом, полученным в ходе диагностики и лечения атипично протекающей гемангиомы, с офтальмологами лечебных учреждений, что должно способствовать правильному выбору клинической тактики в подобных случаях, повышению качества их диагностики и хирургического лечения.
МАТЕРИАЛЫ И МЕТОДЫ
Под нашим наблюдением находился мужчина 67 лет, поступивший в клинику с признаками острого воспаления, возникшими на правом глазу, с двухнедельным анамнезом. При обследовании пациента выявлено новообразование правой глазницы. В связи с атипичным течением заболевания (воспалительная реакция, короткий анамнез) возникла необходимость в консультации смежными специалистами. В ходе обследования наряду с традиционным использовали: сканирующую лазерную офтальмоскопию, оптическую когерентную томографию, компьютерную и магнитно-резонансную томографию, магнитно-резонансную томографию с контрастированием, селективную церебральную ангиографию, диагностическую ангиографию сосудистой сети новообразования правой глазницы с последующей эмболизацией сосудистой сети опухоли, селективную и ротационную ангиографию.
КЛИНИЧЕСКИЙ СЛУЧАЙ
В нашей практике мы наблюдали вариант атипичного течения кавернозной гемангиомы. Представляем клинический случай такого заболевания, чтобы познакомить офтальмологов с особенностями его течения, методами диагностики и лечения.
06.11.2018 в клинику офтальмологии ВМедА им. С.М. Кирова поступил пациент Г., 67 лет, с жалобами на экзофтальм, выраженное покраснение правого глаза и отёк конъюнктивы по утрам. Из анамнеза известно, что указанные симптомы появились 2 нед. назад. Заболевание началось остро с возникновения гиперемии на правом глазу. На третьи сутки отметил наличие экзофтальма, в связи с чем обратился в военный госпиталь за медицинской помощью. В ходе обследования выполнены КТ и МРТ. Выставлен диагноз: «Объёмное образование правой глазницы». Для дальнейшего обследования и лечения направлен в клинику офтальмологии Военно-медицинской академии. Заболевания органа зрения в анамнезе, в том числе онкологические, отрицает. Из системных заболеваний наблюдается артериальная гипертензия, по поводу которой лечения не получает.
Офтальмологический статус при поступлении
Правый глаз. В правой надбровной области определяются расширение и извитость подкожных вен. Отёк основания верхнего века, а также его опущение на 2 мм. Глазная щель сужена. Положение глазных яблок при взгляде прямо ортофорично (рис. 1). Наблюдаются застойная инъекция глазного яблока, хемоз, усиливающийся по утрам (рис. 2). Острота зрения — 1,5. Экзофтальмометрия: правый глаз — 28 мм, левый — 21 мм, при базовом расстоянии — 110 мм, экзофтальм — 7 мм. Гиперфтальм — 2 мм. При пальпации глазное яблоко безболезненно. Репозиция глазного яблока невозможна. Отмечается ограничение подвижности глазного яблока вверх на 10°, по горизонтали (кнаружи и кнутри), а также вниз на 15° (рис. 3).
Рис. 1. Пациент Г., 67 лет. Внешний вид при поступлении: a — взгляд прямо (ортофория, расширение вен в надбровной области справа (показаны стрелками), гиперемия конъюнктивы правого глаза); b — взгляд вверх (экзофтальм справа)
Fig. 1. Patient G., 67 years old. The appearance of the patient at admission: a – central focus (orthophoria, varicose veins in the right superciliary area (arrows), conjunctival hyperemia of the right eye); b – up gaze (proptosis of the right globe)
Рис. 2. Динамика хемоза правого глаза в зависимости от времени суток: a — хемоз в первой половине дня; b — отсутствие хемоза вечером
Fig. 2. Day-night dynamics of the right eye chemosis: a – chemosis presence in the first half of the day; b – chemosis absence in the evening
Рис. 3. Амплитуда движений правого глазного яблока. Положение глаз при взгляде вверх (a), ограничение подвижности на 10°; при взгляде вниз (b), налево (c), направо (d) ограничение подвижности на 15° в каждом направлении
Fig. 3. The amplitude of the right eyeball movements. Eye position in up gaze (a), limited mobility by 10°; down gaze (b), to the left (c), to the right (d) mobility restriction by 15° in each of the directions
Оптические среды прозрачные. Глазное дно без патологии: диск зрительного нерва округлый, бледно-розовый, границы его чёткие. Артерии сужены, вены расширены, их соотношение 1 : 2. Очаговых изменений на глазном дне не выявлено. Внутриглазное давление — 28 мм рт. ст. Поле зрения не сужено. Электрическая чувствительность зрительного нерва — 81 мкА (норма — 50–160 мкА), критическая частота исчезновения фосфена — 36 Гц (норма — больше 35 Гц). По результатам исследования бинокулярного поля взора определяется двоение при взгляде влево и вверх от 35°, вниз — от 40° от точки фиксации (рис. 4).
Рис. 4. Бинокулярное поле взора пациента Г. при поступлении в клинику (жёлтым обозначена зона двоения)
Fig. 4. Binocular visual field of the patient G. upon admission to the clinic (the double vision area is shown in yellow)
Левый глаз. Острота зрения — 1,0. Глазное дно: центральные отделы без патологии. Артерии сужены, вены расширены, их соотношение 1 : 2. На периферии сетчатки на 11 ч условного меридиана определяется самоотграниченный с пигментированными прилежащими краями дырчатый разрыв сетчатки, над ним в стекловидной камере — умеренно подвижная «крышечка» (фрагмент сетчатки, образовавшийся в результате его отрыва в процессе формирования дырчатого разрыва) (рис. 5).
Рис. 5. Сканирующая лазерная офтальмоскопия (ретрорежим), верхневнутренний квадрант периферической сетчатки левого глаза. «Крышечка» дырчатого разрыва сетчатки в стекловидном теле (стрелка)
Fig. 5. Scanning laser ophthalmoscopy (retro mode), the upper inner quadrant of the peripheral retina of the left eye. Operculum of the retinal tear in the vitreous (arrow)
С 12 до 3 ч условного меридиана на крайней периферии сетчатки визуализируются купол отслоённой сетчатки со множеством мелких складок (рис. 6, 3), а также слабопигментированная линия демаркации (рис. 6, 2). Центральнее определяется пигментный невус хориоидеи (рис. 6, 1), на 6 ч — хориоретинальная дистрофия по типу «решётчатая» (рис. 7), к которой фиксирована лента уплотнённого стекловидного тела (рис. 8).
Рис. 6. Сканирующая лазерная офтальмоскопия, ретрорежим. Верхненаружный квадрант периферической сетчатки левого глаза: 1 — пигментный невус; 2 — линия демаркации; 3 — отслойка сетчатки
Fig. 6. Scanning laser ophthalmoscopy, retro mode. Upper temporal quadrant of the peripheral retina of the left eye: 1 – pigmented nevus; 2 – demarcation line; 3 – retinal detachment
Рис. 7. Фото глазного дна (а) и сканирующая лазерная офтальмоскопия, ретрорежим (b). Нижние квадранты периферической сетчатки левого глаза: Витреохориоретинальная дистрофия по типу «решётчатая» (стрелки)
Fig. 7. Fundus photo (а) and scanning laser ophthalmoscopy, retro mode (b). Lower quadrants of the peripheral retina of the left eye. Lattice vitreochorioretinal degeneration (arrows)
Рис. 8. Оптическая когерентная томограмма периферической сетчатки левого глаза. Срез через очаг хориоретинальной дистрофии: 1 — место тракции сетчатки тяжем фиксированного и уплотнённого стекловидного тела (2)
Fig. 8. Optical coherence tomography of the peripheral retina of the left eye. Scan through the focus of chorioretinal dystrophy area: 1 – retinal traction with a fixed and compacted vitreous band (2)
Внутриглазное давление — 20 мм рт. ст. Поле зрения не сужено. Электрическая чувствительность зрительного нерва — 61 мкА (норма — 50–160 мкА) и критическая частота исчезновения фосфена — 38 Гц (норма — больше 35 Гц).
Изменения на глазном дне левого глаза были диагностированы впервые. В ходе дообследования и подготовки к хирургическому лечению пациенту выполнена барьерная лазерная коагуляция периферической витреохориоретинальной дистрофии по типу «решётчатая», самоотграниченной отслойки и дырчатого разрыва сетчатки.
На догоспитальном этапе выполнены МРТ обеих глазниц с реконструкцией в трёх стандартных проекциях. Заключение: «Опухолевый процесс медиальной половины ретробульбарного пространства правой глазницы с признаками экзофтальма» (рис. 9).
Рис. 9. Магнитно-резонансная томограмма Т2 ВИ, аксиальная (a) и сагиттальная (b) проекции. Новообразование правой глазницы (указано стрелкой)
Fig. 9. Magnetic resonance imaging T2 WI, axial (a) and sagittal (b) projections. Neoplasm of the right orbit (arrow)
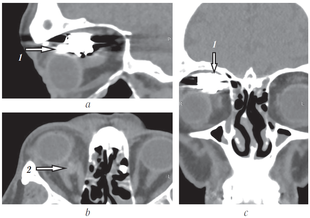
По данным КТ в полости правой глазницы от переднего верхнемедиального отдела до вершины глазницы располагается объёмное образование овальной формы, с чёткими ровными контурами размером 20,5 × 19 × 19 мм, плотностью 50–83 HU, интимно прилежащее к верхней прямой мышце, оттесняющее кпереди глазное яблоко и латерально — зрительный нерв (рис. 10).
При анализе КТ головы заподозрено наличие дефекта верхней стенки правой глазницы. По этому поводу пациент консультирован нейрохирургом.
Рис. 10. Компьютерная томограмма глазниц в сагиттальной (a), аксиальной (b) и корональной (с) проекциях. 1 — предполагаемое место дефекта верхней стенки глазницы, 2 — новообразование глазницы, 3 — тяж к новообразованию глазницы (указано стрелкой)
Fig. 10. Computed tomogram of the orbits in the sagittal (a), axial (b) and coronal (с) projections. 1 – suggested location of the upper orbital wall defect, 2 – orbital neoplasm, 3 – band to the orbital neoplasm (arrow)
По результатам обследования выставлен предварительный диагноз: «Новообразование правой глазницы, офтальмогипертензия правого глаза. Регматогенная отслойка сетчатки, осложнённая пролиферативной витреоретинопатией стадии C типа 2, самоотграниченный периферический дырчатый разрыв сетчатки с линией демаркации, периферическая витреохориоретинальная дистрофия по типу «решётчатая», пигментный невус хориоидеи левого глаза. Гипертоническая ангиопатия сетчатки обоих глаз.
Для уточнения структуры и кровоснабжения образования выполнены КТ и МРТ головы с контрастированием.
По данным МРТ с введением контрастного вещества в верхнемедиальном отделе правой глазницы определяется участок структурных изменений с патологически расширенными и извитыми сосудами и эффектом «пустоты потока», характеризующийся неоднородным преимущественно изогиперинтенсивным МР-сигналом на Т2 и Т1 ВИ размером 20 × 17 × 19 мм. Зона патологических изменений интимно прилежит к верхней прямой, верхней косой и медиальной прямой глазным мышцам, оттесняя их. Сверху прилежит к глазному нерву, несколько оттесняя его книзу. Признаки инвазии этих структур отсутствуют. Правая верхняя глазная вена расширена до 5 мм, МР-сигнал от неё повышен на Т2 ВИ, наиболее вероятно, за счёт тромбоза. После внутривенного введения парамагнитного контрастного вещества отмечается его неоднородное, умеренно интенсивное накопление вышеописанной зоной структурных изменений. Задний край правого глазного яблока расположен на уровне межскуловой линии, левого — кзади от межскуловой линии до 7,5 мм (рис. 11).
Рис. 11. Магнитно-резонансная томограмма Т2 ВИ, аксиальная проекция. Образование в правой глазнице (1), расширенная верхняя глазная вена (2)
Fig. 11. Magnetic resonance imaging T2 WI, axial projection. Tumor in the right orbit (1), dilated upper ophthalmic vein (2)
По результатам КТ и МРТ головы с контрастированием пациент консультирован нейрохирургом повторно, данных за наличие дефекта верхней стенки правой глазницы не получено. С учётом особенностей кровоснабжения новообразования рекомендована церебральная ангиография.
Согласно рекомендациям нейрохирурга выполнена селективная церебральная ангиография. В области правой орбиты выявлена интенсивная патологическая сосудистая сеть новообразования диаметром до 3 см, получающая кровоснабжение из правой глазной артерии с дренированием в правую лицевую вену (см. рис. 12, 17, a). Заключение: «Ангиографическая картина гиперваскуляризированного образования правой орбиты с питанием из ветвей правой глазной артерии».
Рис. 12. Ангиограмма правой внутренней сонной артерии и сосудов правой глазницы, сагиттальная проекция: а — артериальная и b — венозная фазы. 1 — правая внутренняя сонная артерия. Сосудистая сеть новообразования (а и b, 3) получает питание из расширенной глазной артерии (а, 2) с дренированием в правую лицевую вену (b, 4)
Fig. 12. Angiogram of the right internal carotid artery and the vessels of the right orbit, sagittal projection: a — arterial phase, b — venous phase: 1 – right internal carotid artery. The vessels of the neoplasm (а and b, 3) are fed from the dilated ophthalmic artery (а, 2) with drainage into the right facial vein (b, 4)
По результатам комплексного обследования выставлен окончательный диагноз: «Сосудистое новообразование правой глазницы с выраженной васкуляризацией, офтальмогипертензия правого глаза. Регматогенная отслойка сетчатки, осложнённая пролиферативной витреоретинопатией стадии C типа 2, самоотграниченный периферический дырчатый разрыв сетчатки с линией демаркации, периферическая витреохориоретинальная дистрофия по типу „решётчатая“, пигментный невус хориоидеи левого глаза. Гипертоническая ангиопатия сетчатки обоих глаз».
С учётом наличия новообразования глазницы неустановленной природы с интенсивной васкуляризацией, выраженности и быстрого нарастания клинических проявлений, вызывающих нарушение положения и подвижности глазного яблока, нарушений бинокулярного зрения, гемо- и гидродинамических нарушений в виде выраженной застойной инъекции и повышения внутриглазного давления было принято решение о хирургическом лечении — удалении новообразования.
В целях профилактики кровотечения в ходе операции, принимая во внимание характер кровоснабжения образования, перед его удалением было решено выполнить диагностическую ангиографию сосудистой сети новообразования правой глазницы и эмболизацию сосудистой сети опухоли.
Диагностическая ангиография сосудистой сети новообразования правой глазницы
Катетеризирована правая внутренняя сонная артерия. Выполнена стандартная и ротационная ангиография. При стандартной субтракционной (рис. 13) и ротационной (рис. 14) ангиографии визуализируется выраженная собственная сосудистая сеть новообразования правой орбиты, источником которой является правая глазная артерия. Венозный отток осуществляется по варикозно расширенной дренирующей угловой вене, впадающей в лицевую вену.
Рис. 13. Субтракционная ангиограмма в боковой проекции: а — артериальная фаза; b — венозная фаза. 1 — правая внутренняя сонная артерия; 2 — глазная артерия; 3 — собственная сосудистая сеть новообразования; 4 — варикозно расширенное устье дренирующей вены; 5 — дренирующая лицевая вена
Fig. 13. Subtraction angiogram in lateral projection: а – arterial phase, b – venous phase. 1 – right internal carotid artery; 2 – ophthalmic artery; 3 – own vascular network of the neoplasm; 4 – varicose dilated drainage vein opening; 5 – draining facial vein
Рис. 14. Ротационная ангиограмма: a — общий вид в боковой проекции; b — вид сосудистой сети новообразования слева; c — вид сосудистой сети новообразования справа. 1 — глазная артерия; 2 — центральная артерия сетчатки; 3 — собственно сосудистая сеть новообразования; 4 — дренирующая вена; 5 — афференты сосудистой сети; 6 — варикозно расширенное устье дренирующей вены; 7 — артериовенозные фистулы (шунты)
Fig. 14. Rotational angiogram: a – general appearance in lateral view; b – left-side appearance of vascular network of the tumor; c – right-side appearance of vascular network of the tumor. 1 – ophthalmic artery, 2 – central retinal artery, 3 – proper vascular network of the neoplasm, 4 – draining vein, 5 – vascular network afferents, 6 – varicose dilated drainage vein opening, 7 – arteriovenous fistulas (shunts)
С учётом характера кровоснабжения образования в целях профилактики интраоперационного кровотечения перед его удалением была выполнена эмболизация сосудистой сети опухоли комбинированным трансартериальным и трансвенозным доступами.
Операция эмболизации сосудистой сети новобразования правой глазницы
В условиях рентген-операционной клиники нейрохирургии ВМедА осуществлён трансартериальный и трансвенозный доступы (через бедренную артерию и бедренную вену) к сосудистой сети новообразования. При многократной суперселективной ангиографии отмечено кровоснабжение мягких тканей лица и глазницы из глазной артерии, что сопряжено с высоким риском осложнений данного доступа. Риск послеоперационных осложнений повышался из-за возможного рефлюкса эмболизирующего вещества в центральную артерию сетчатки и угрозы зрительных нарушений. Именно поэтому от трансартериальной эмболизации собственной сосудистой сети опухоли было решено воздержаться. Трансвенозным доступом в варикозно расширенное устье дренирующей угловой вены заведён микрокатетер для эмболизации отделяемыми микроспиралями. Чуть проксимальнее в вене позиционирован кончик второго микрокатетера для введения неадгезивной клеевой композиции.
Под этапным ангиографическим контролем в сосудистую сеть опухоли введено и имплантировано 11 отделяемых микроспиралей Target.
Для достижения радикальности эмболизации, прекращения потока по дренирующей вене через микрокатетер введена жидкая клеевая композиция ONYX18. При контрольной ангиографии контрастирования сосудистой сети опухоли не наблюдалось (рис. 15).
Рис. 15. Динамика эмболизации сосудистой сети опухоли отделяемыми микроспиралями и результаты ангиографии: а и b — динамика эмболизации сосудистой сети опухоли; с — этапная ангиография через трансвенозный микрокатетер; d — конечный результат после введения жидкой неадгезивной клеевой композиции ONYX18; е — контрольная ангиография, конечный результат — собственная сосудистая сеть не контрастируется, дренирующая вена не заполняется. 1 — клубок микроспиралей Target, 2 — метки микрокатетеров, 3 — замедление кровотока по дренирующей вене, 4 — жидкая неадгезивная клеевая композиция в дренирующей вене, 5 — глазная артерия
Fig. 15. Dynamics of tumor vascular network embolization by detachable microspirals, and the results of angiography: a and b – dynamics of embolization of the vascular network of the tumor; c – phased angiography through a transvenous microcatheter; d – final result after the injection of the liquid non-adhesive composition ONYX18; e – control angiography, the final result – proper vascular network is not contrasted, the draining vein is not filled. 1 – Target coils, 2 – microcatheter tags, 3 – slowed blood flow through the draining vein, 4 – liquid non-adhesive composition ONYX18 in the draining vein, 5 – ophthalmic artery
При контрольной ангиографии (рис. 16, 17, b) отмечено отсутствие контраста в сосудистой сети опухоли с выраженным замедлением тока крови по дренирующей вене и приводящей ветви глазной артерии. Церебральные ветви проходимы, диаметр и топография их сохранены.
Рис. 16. Контрольная ангиограмма правой внутренней сонной артерии и сосудов правой глазницы, сагиттальная проекция: артериальная (а) и венозная (b) фазы. В артериальную стадию (a) контрастируется глазная артерия (2), сосудистая сеть новообразования не определяется. В полости образования в обе стадии ангиографии (a и b) визуализируются рентгеноконтрастные эмболизирующие микроспирали (5). В венозную стадию (b) отток из опухоли в правую лицевую вену отсутствует (4)
Fig. 16. Control angiography of the right internal carotid artery and vessels of the right orbit, sagittal projection: arterial phase (a) and venous phase (b). At the arterial phase (a), the ophthalmic artery is contrasted (2), the vascular network of the neoplasm is not detected. In the cavity of the tumor in both stages of angiography (a and b), radio opaque embolizing microspirals (5) are visualized. At the venous phase (b), there is no outflow from the tumor into the right facial vein (4)
Рис. 17. Динамика заполнения сосудистой сети новообразования глазницы контрастом по результатам ангиографии: а — до эмболизации: постепенное заполнение артериальной сети церебральных сосудов, а затем и сосудов опухоли с переходом в венозную фазу; b — после эмболизации
Fig. 17. Dynamics of filling of the vascular network of the orbital neoplasm with contrast according to the results of angiography: a – before embolization: gradual filling of the arterial network of the cerebral vessels and then those of the tumor with the transition to the venous phase; b – after embolization
Поэтапная динамика заполнения церебральных сосудов и сосудистой сети новообразования глазницы контрастом в ходе ангиографии до и после эмболизации сосудов новообразования показана на рис. 17.
На 7-е сутки после операции выполнена контрольная КТ с последующим введением контрастного вещества. Состояние после эмболизации собственной сосудистой сети новообразования правой орбиты. В верхнемедиальном отделе преимущественно внутриконусного пространства правой орбиты визуализируются множественные участки эмболизированной артериовенозной мальформации (рис. 18, 1) с наличием выраженных артефактов. Между ретробульбарным сегментом зрительного нерва и медиальной прямой мышцей глаза сохраняется участок мягкотканного компонента округлой формы размером 6,0 × 7,0 мм, плотностью при нативном сканировании +50…+55 HU, после контрастирования +65 HU (рис. 18, 2) без признаков эмболизации.
Рис. 18. Компьютерная томография после эмболизации собственной сосудистой сети новообразования правой глазницы. На сагиттальной (a) и корональной (c) проекциях визуализируются артефакты в полости эмболизированного новообразования (1). На аксиальной проекции (b) определяется часть интактного (неэмболизированного) новообразования (2)
Fig. 18. Computed tomography after embolization of the proper vascular network of the right orbital tumor. On sagittal (a) and coronal (c) projections, artifacts in the cavity of the embolized neoplasm are visualized (1). On the axial projection (b), a part of an intact (non-embolized) tumor is revealed (2)
Операция удаления новообразования правой глазницы
После предоперационной подготовки, которая заключалась в консультации нейрохирурга, ангиографии сосудов правой глазницы с последующей эмболизацией сосудов новообразования, выполнена операция удаления опухоли. Ввиду ожидаемой интенсивности кровотечения в ходе операции определена группа крови пациента, подготовлены одногруппная кровь и кровозамещающие жидкости, гемостатические средства. Операцию проводили под общим эндотрахеальным обезболиванием. Произведена двукратная обработка операционного поля раствором повидон-иода 10 %. Веки раздвинуты блефаростатом. Наложены «держалки» на верхнюю и медиальную прямые мышцы глазного яблока. При этом отмечались выраженный отёк, утолщение и повышение плотности конъюнктивы и субконъюнктивы, что затрудняло выделение мышц. Произведён линейный разрез кожи длиной около 3,5 см по верхнему краю глазницы. Тупо раздвинуты и частично рассечены подкожная клетчатка, волокна круговой мышцы глаза и тарзоорбитальная фасция. Рассечение надкостницы и её отслойку от кости не выполняли. Осуществлён вход в полость глазницы. С помощью распатора, ножниц и шпателей жировая клетчатка глазницы отделена от надкостницы верхней стенки глазницы на глубину около 3,0 см. На этой глубине в верхнемедиальном квадранте глазницы между верхней и медиальной мышцами в соответствии с локализацией опухоли путём раздвигания жировой клетчатки с помощью ножниц выполнен вход в полость мышечной воронки. В мышечной воронке за глазным яблоком обнаружено плотное малоподвижное образование вишнёвого цвета, характерного для кавернозной гемангиомы. Однако фиксация этого образования в отличие от подвижной и, как правило, легко удаляемой гемангиомы была необычно жёсткой. Опухоль фиксирована плотными сращениями с окружающими тканями по всей поверхности (рис. 19). Выделить и отделить её от стенок глазницы удалось только с помощью ножниц. В итоге опухоль была мобилизована и удалена. В момент выведения опухоли обнаружен круглый тяж диаметром около 2 мм кремового цвета, фиксированный к опухоли (рис. 20). Предположительно это мог быть запустевший после эмболизации новообразования сосуд. Наличие тяжа, фиксированного к опухоли, мы наблюдали и на компьютерной томограмме (см. рис. 10, 3). Ожидаемой повышенной кровоточивости в ходе операции не наблюдалось. Интенсивность кровотечения была обычной, как при большинстве операций на глазнице, и особых затруднений в ходе операции не создавала.
Рис. 19. Удаление новообразования глазницы
Fig. 19. Removal of the orbital tumor
Рис. 20. Тяж, фиксирующий опухоль
Fig. 20. Band, fixing the tumor
При макроскопическом исследовании опухоль представляла собой образование размером 24 × 16 × 14 мм овальной формы плотноэластической консистенции, покрытое капсулой с неровной поверхностью. Из опухоли на её поверхность выступали эмболизирующие спирали (рис. 21). Препарат отправлен на гистологическое исследование.
Рис. 21. Удалённое образование правой глазницы (1) с частично извлечёнными из него элементами эмболизирующей микроспирали (2)
Fig. 21. Removed tumor of the right orbit (1) with elements of embolizing microspirals partially extracted from it (2)
Гистологическое исследование. Новообразование правой глазницы представлено фиброзной тканью с конгломератом полнокровных кавернозно расширенных сосудов с признаками тромбоза и хронического воспаления (плазмоцитарной инфильтрации). Большая часть сосудов заполнена чёрными включениями (эмболизирующим веществом). Заключение: «Морфологическая картина кавернозной гемангиомы» (рис. 22).
Рис. 22. Гистологический препарат удалённого из правой глазницы новообразования. Окраска гематоксилином и эозином, увеличение ×100 (a), ×200 (b)
Fig. 22. Histological preparation of the tumor removed from the right orbit. Hematoxylin and eosin stain, magnification ×100 (a), ×200 (b)
Кожные швы сняты на 7-е сутки, рана зажила первичным натяжением. Пациент выписан в удовлетворительном состоянии под наблюдение офтальмолога поликлиники по месту жительства.
При выписке
Правый глаз. Опущение верхнего века до 1/2 зрачка. Двоения нет. Экзофтальм уменьшился на 4 мм, гиперфтальм — на 1 мм. Подвижность глаза восстановлена в полном объёме. Конъюнктивальная инъекция значительно уменьшилась, хемоза нет (рис. 23). Острота зрения — 0,6, с коррекцией цилиндром минус 1,0 D ось 145° равна 0,9. Внутриглазное давление — 19 мм рт. ст. На глазном дне без патологии. Периферические границы поля зрения не сужены. Электрическая чувствительность зрительного нерва — 41 мкА (норма — 50–160 мкА) и критическая частота исчезновения фосфена — 38 Гц (норма — больше 35 Гц).
Рис. 23. Пациент Г., 67 лет. Внешний вид после операции, 5-е сутки (a), через 6 нед. (b), через 1 год (c)
Fig. 23. Patient G., 67 years old. The appearance of the patient after surgery, on the 5th day (a), after 6 weeks (b), after 1 year (c)
Левый глаз. На глазном дне вокруг дырчатого разрыва, периферической витреохориоретинальной дистрофии по типу «решётчатая» и отслойки сетчатки определяются окрепшие лазерные коагуляты. В остальном — без динамики.
Через 1 год после операции пациент (рис. 23) жалоб не предъявляет. Выполнена контрольная магнитно-резонансная томография головы. Данных за рецидив образования глазницы, головного мозга — нет (рис. 24).
Рис. 24. Больной Г., 68 лет. Магнитно-резонансная томограмма Т1 ВИ. До (a, c) и после (b, d) операции. 1 — новообразование. a, c — парасагитальная, b, d — корональная проекции
Fig. 24. Magnetic resonance imaging T1 WI. Images before (a, c) and after (b, d) surgery. 1 – tumor. a, c – parasagittal, b, d – coronal projections
ЗАКЛЮЧЕНИЕ
Особенностями данного случая кавернозной гемангиомы глазницы можно считать необычные клинические проявления, позволившие отнести её к атипичным. Во-первых, острое начало, когда клиническая картина развилась за короткое время, в течение двух недель. Для гемангиомы характерно медленное, на протяжении нескольких лет, нарастание симптомов, ведущим из которых является экзофтальм. Во-вторых, интенсивная застойная инъекция конъюнктивы, сопровождающаяся хемозом. И в-третьих, интенсивная васкуляризация новообразования с расширением приводящих и отводящих сосудов, вызвавшая необходимость эмболизации сосудов опухоли. К другим особенностям этого случая следует отнести офтальмогипертензию на стороне опухоли глазницы, выраженное сращение опухоли с окружающими тканями, наличие тяжа, фиксированного к опухоли, происхождение которого окончательно не установлено.
Эти особенности затрудняли клинический поиск, предварительную и окончательную диагностику, потребовали участия смежных специалистов на этапе диагностики и лечения. Острое начало, быстрое развитие симптомов, застойно-воспалительные изменения со стороны переднего отрезка глазного яблока наводили на мысль о воспалительном характере процесса. Кроме того, опухоль, выявленная при КТ, при наличии вышеперечисленных симптомов и пигментного невуса хориоидеи левого глаза, могла быть признаком злокачественности процесса.
Регматогенная отслойка сетчатки с линией демаркации и самоотграниченный периферический дырчатый разрыв сетчатки с контрлатеральной стороны потребовали дополнительного профилактического лазерного вмешательства на сетчатке левого глаза, поскольку исход удаления новообразования правой глазницы прогнозировать было трудно и левый глаз мог оказаться единственным.
Было высказано мнение, что особенности васкуляризации, обнаруженные при помощи ангиографии, являются признаками артериовенозной мальформации или нарушения венозного кровообращения глазницы в результате тромбоза. Сосуды, характерные для мальформации, отсутствовали, хотя это могло быть результатом предварительно выполненной эмболизации. Благодаря помощи нейрохирургов в обследовании и лечении пациента удалось избежать серьёзных осложнений, связанных с возможным трудноустранимым кровотечением в ходе операции, что в очередной раз подтверждает необходимость участия смежных специалистов в диагностике и лечении заболеваний и повреждений глазницы. В итоге все клинические особенности данного случая были обусловлены атипично протекающей кавернозной гемангиомой, что подтверждено гистологическим исследованием удалённой опухоли.
Дополнительная информация
Потенциальные и явные конфликты интересов у авторов отсутствуют. Источник финансирования как научной работы, так и публикации статьи у всех авторов отсутствует.
Вклад авторов
Д.С. Горбачёв — концепция, написание текста, редактирование, работа с фотографиями, лечащий врач, хирург.
А.Н. Куликов — окончательное рецензирование статьи.
Д.В. Свистов — хирург, редактирование текста.
А.В. Савелло — хирург, редактирование текста.
А.А. Кольбин — ассистенция при хирургическом вмешательстве, редактирование текста, переписка с редакцией.
Р.С. Мартынов — написание текста, работа с фотографиями, хирург.
Т.А. Леонгардт — ассистенция при хирургическом вмешательстве, редактирование текста.
作者简介
Dmitriy Gorbachev
S.M. Kirov Military Medical Academy
Email: dmitrij-gor@yandex.ru
Candidate of Medical Sciences, Associate Professor, Assistant, Ophthalmology Department
俄罗斯联邦, Saint PetersburgAlexey Kulikov
S.M. Kirov Military Medical Academy
Email: alexey.kulikov@mail.ru
SPIN 代码: 6440-7706
Scopus 作者 ID: 198153
MD, PhD, DMedSc, Professor, Head of the Department, Ophthalmology Department
俄罗斯联邦, Saint PetersburgDmitriy Svistov
S.M. Kirov Military Medical Academy
Email: kolba81@yandex.ru
ORCID iD: 0000-0002-3922-9887
Candidate of Medical Sciences, Head of the Department, Department of Neurosurgery
俄罗斯联邦, Saint PetersburgAlexander Savello
S.M. Kirov Military Medical Academy
Email: kolba81@yandex.ru
SPIN 代码: 3185-9332
Scopus 作者 ID: 694310
Doctor of Medical Science, Associate Professor, Deputy Head of the Department of Neurosurgery
俄罗斯联邦, Saint PetersburgAleksej Kol’bin
S.M. Kirov Military Medical Academy
编辑信件的主要联系方式.
Email: kolba81@yandex.ru
SPIN 代码: 4718-5171
Neurosurgeon, Department of Clinic, Neurosurgery Department
俄罗斯联邦, Saint PetersburgRoman Martynov
S.M. Kirov Military Medical Academy
Email: kolba81@yandex.ru
ORCID iD: 0000-0002-2769-3551
SPIN 代码: 1175-2029
Scopus 作者 ID: 915454
Neurosurgeon, Department of Clinic, Neurosurgery Department
俄罗斯联邦, Saint PetersburgTat’jana Leongardt
S.M. Kirov Military Medical Academy
Email: leongardtta@yandex.ru
SPIN 代码: 3818-4965
Scopus 作者 ID: 883954
Candidate of Medical Sciences, Lecturer of the Ophthalmology Department
俄罗斯联邦, Saint Petersburg参考
- Бровкина А.Ф. Эндокринная офтальмопатия. – М.: ГЭОТАР-Медиа, 2008. [Brovkina AF. Endokrinnaya oftal’mopatiya. Moscow: GEOTAR-Media; 2008. (In Russ.)]
- Бровкина А.Ф. Новообразования орбиты. – М.: Медицина, 1974. [Brovkina AF. Novoobrazovaniya orbity. Moscow: Meditsina; 1974. (In Russ.)]
- Опухоли глаза, его придатков и орбиты / под ред. Н.А. Пучковской. – Киев: Здоров’я, 1978. [Opukholi glaza, ego pridatkov i orbity. Ed. by N.A. Puchkovskaya. Kiev: Zdorov’ya; 1978. (In Russ.)]
- Wang X, Yan J. Multiple cavernous hemangiomas of the orbit. Eye Sci. 2011;26(1):48-51. doi: https://doi.org/10.3969/j.issn.1000-4432.2011.01.010.
- McNab AA, Tan JS, Xie J, et al. The natural history of orbital cavernous hemangiomas. Ophthalmic Plast Reconstr Surg. 2015;31(2): 89-93. doi: https://doi.org/10.1097/IOP.0000000000000176.
- Smoker WR, Gentry LR, Yee NK, et al. Vascular lesions of the orbit: more than meets the eye. Radiographics. 2008;28(1):185-204. doi: https://doi.org/10.1148/rg.281075040.
- Khan SN, Sepahdari AR. Orbital masses: CT and MRI of common vascular lesions, benign tumors, and malignancies. Saudi J Ophthalmol. 2012;26(4):373-383. doi: https://doi.org/10.1016/j.sjopt.2012.08.001.
- Shields JA, Shields CL. Eyelid, conjunctival, and orbital tumors. An atlas and textbook. 3rd ed. Wolters Kluwer; 2015. 824 p.
- Davis KR, Hessellnk JR, Dallow RL, Grove AS. CT and ultrasound in the diagnosis of cavernous hemangioma and lymphangioma of the orbit. J Comput Tomogr. 1980;4(2):98-104. doi: https://doi.org/10.1016/s0149-936x(80)80003-8.
- Yan J, Li Y. Unusual presentation of an orbital cavernous hemangioma. J Craniofac Surg. 2014;25(4): e348-349. doi: https://doi.org/10.1097/SCS.0000000000000774.
- Rootman DB, Heran MK, Rootman J, et al. Cavernous venous malformations of the orbit (so-called cavernous haemangioma): a comprehensive evaluation of their clinical, imaging and histologic nature. Br J Ophthalmol. 2014;98(7):880-888. doi: https://doi.org/10.1136/bjophthalmol-2013-304460.
- Saqui AE, Aggouri M, Benzagmout M et al. Une cause rare d’exophtalmie: l’hémangiome caverneux intraorbitaire (à propos d’un cas). [A rare cause of exophthalmia: intraorbital cavernous hemangioma (about a case)]. Pan Afr Med J. 2017;26:131. doi: 10.11604/pamj.2017.26.131.9808. (In French).
- Mortha S. A case of epistaxis? Hemangioma of nose. Otolaryngology Online Journal. 2016;6(2):107.
- Patel VJ, Lall RR, Desai S, Mohanty A. Spontaneous thrombosis and subsequent recanalization of a developmental venous anomaly. Cureus. 2015;7(9):e334. doi: https://doi.org/10.7759/cureus.334.
- Yamamoto J, Takahashi M, Nakano Y, et al. Spontaneous hemorrhage from orbital cavernous hemangioma resulting in sudden onset of ophthalmopathy in an adult – case report. Neurol Med Chir(Tokyo). 2012;52(10):741-4. doi: https://doi.org/10.2176/nmc.52.741.
补充文件



























