First results of endonasal balloon dacryoplasty use in recurrence after dacryocystorhinostomy
- Authors: At’kova E.L.1, Krakhovetskiy N.N.1, Zhukov O.V.1
-
Affiliations:
- Federal State Budgetary Institution of Science “Research Institute of Eye Diseases”
- Issue: Vol 13, No 3 (2020)
- Pages: 81-86
- Section: In ophthalmology practitioners
- Submitted: 26.05.2020
- Accepted: 01.10.2020
- Published: 08.01.2021
- URL: https://journals.eco-vector.com/ov/article/view/34176
- DOI: https://doi.org/10.17816/OV34176
- ID: 34176
Cite item
Abstract
Background. In recurrent dacryocystitis after dacryocystorhinostomy, a re-operation is indicated. In recent years, some publications appeared concerning endonasal dacryoplasty using 9 mm-balloon in treatment of patients with recurrent dacryocystitis.
Purpose – to evaluate the possibility of using endonasal balloon dacryoplasty in recurrence after dacryocystorhinostomy.
Materials and methods. Into the study, 6 patients (6 cases) were included who underwent endonasal endoscopic dacryocystorhinostomy for dacryocystitis 1-3 years before. In all patients, evaluation of Munk’s scores for epiphora, optical coherence tomography (OCT) based lacrimal meniscometry, dye disappearance test, lacrimal drainage system syringing and probing of its horizontal part, nasal endoscopy, multispiral computed tomography of lacrimal drainage system with contrast enhancement. In all patients, endonasal dacryoplasty using a balloon with 6 mm diameter was carried out. The follow-up period after surgery was 6 months.
Results. In 4 patients, “recovery” was achieved, in 1 patient “improvement“ was obtained, in 1 patient there was dacryostoma cicatrization.
Conclusion. Preliminary results received in this study of the balloon dacryoplasty performed in 6 patients afford ground to consider it possible to use this method in patients with dacryocystitis recurrence after dacryocystorhinostomy. The matter of the prospects when using this method may be solved after further research aimed to increase the number of clinical observations to enhance the possibility of adequate statistical processing of obtained results, to extend the postoperative follow-up period, to develop the indications for this procedure, and to investigate the necessity in additional manipulations improving the effectiveness of endonasal balloon dacryoplasty.
Full Text
INTRODUCTION
According to a meta-analysis of clinical trial results, the frequency of relapses after dacryocystorhinostomy reaches 4–37% [1]. The most common causes of relapse are complete or partial closure of dacryostomy with scars and granulation tissue, as well as synechiae in the nasal cavity in the dacryostomy area [2]. As a rule, in case of recurrence of the lacrimal duct disease, repeated dacryocystorhinostomy is performed. The success of this surgery ranges from 79% to 91.3% of cases [3, 4]. In 2010, D. Silbert et al. [5] reported on the use of endonasal balloon dacryoplasty using a 9-mm balloon for treating patients with recurrent dacryocystitis. Success was achieved in one of three patients who underwent this intervention. The follow-up period of patients after manipulation was not specified by the author. A. Mishra et al. [6] performed balloon dacryoplasty in six patients with recurrent disease after dacryocystorhinostomy and received a stable positive result within 12 months, which amounted to 66.6% of cases. However, S. Kumar [7], who performed this manipulation in 12 patients, noted a positive result in 83.3% of cases 3 months after balloon dacryoplasty and 66.6% 6 months after the surgery. It should be noted that there are very few works focused on the use of balloon dacryoplasty in dacryocystitis relapses, and this technique is not used widely in clinical practice.
This study aimed to assess the possibility of using endonasal balloon dacryoplasty in relapse after dacryocystorhinostomy.
MATERIALS AND METHODS
The work included six patients who underwent endonasal endoscopic dacryocystorhinostomy for dacryocystitis 1 to 3 years ago. All patients provided informed voluntary consent for examination and treatment after approval by the local biomedical ethics committee (protocol No. 67/1 dated December 23, 2019). All patients complained of lacrimation, and three complained of purulent discharge from the lacrimal ducts on the side of the surgery during the last 3–6 months. All patients underwent a routine ophthalmologic examination. The determination of the severity of lacrimation according to the Munk scale, determination of the tear meniscus height using optical coherence tomography, conduction of “dye” tests, irrigation of lacrimal drainage system, and probing of the lacrimal ducts’ horizontal section, endoscopy of the nasal cavity, and contrast-enhanced multispiral computed tomography (MSCT) of the lacrimal ducts were performed according to standard techniques. During endoscopic examination of the nasal cavity in all patients, the maximum vertical dimension of the dacryostomy was measured using a piece of filter paper graduated in millimeters.
All patients underwent endonasal balloon dacryoplasty using a 6-mm balloon (Acclarent Inc., USA; Fig. 1). The length of the working part of the balloon was 16 mm and diameter 2.2 mm, and after inflation, it was 6 mm. A luer lock fastening was in place in the proximal part of the balloon for connection to the indeflator.
Fig. 1. Photo of a balloon catheter of 6 mm diameter in inflated state (Acclaren Inc., USA): a – active part of the balloon catheter; b – Luer-lock for connection with the indeflator
Рис. 1. Внешний вид баллонного катетера диаметром 6 мм в раздутом состоянии (Acclarent Inc., США): a — активная часть баллонного катетера; b — крепление типа Luer-lock для соединения с индефлятором
The intervention was performed as follows. Under local and conduction anesthesia with intravenous sedation, antegrade probing of the dacryostomy area was performed with the formation of an opening in the scar tissue (in three cases) and with probing of residual dacryostomy (in three cases; Fig. 2). Purulent discharge was removed from the lacrimal sac cavity using an aspirator. A balloon was inserted endonasally into the dacryostomy opening using a curved von Eicken cannula for irrigation with an outer diameter of 4.0 mm and length of 15 cm (Karl Storz, Germany; Fig. 3). Balloon dacryoplasty was performed according to the protocol we developed earlier in the experiment [8] and tested in the clinical setting (Fig. 4) [9]. The balloon was dilated at a pressure of 8 atm. for 90 s, and after 10 s, it was repeated for 60 s. After deflation, the balloon was removed. Figure 5 shows an enlarged dacryostomy after the intervention. A hemostatic sponge was inserted into the dacryostomy area, which was removed 48 h after the surgery.
Fig. 2. Endoscopic view of scar tissue in the area of dacryostoma (left nasal cavity). The ostium was probed with Bowman probe
Рис. 2. Эндоскопическая картина области рубцово-изменнённой дакриостомы (левая половина носа). Зонд Боумена выведен через дакриостому
Fig. 3. The appearance of a balloon catheter inserted through an irrigation cannula: a – balloon catheter; b – irrigation cannula
Рис. 3. Внешний вид баллонного катетера, проведённого через канюлю для ирригации: a — баллонный катетер; b — канюля для ирригации
Fig. 4. Endoscopic view of a left nasal cavity with an inserted and inflated balloon catheter
Рис. 4. Эндоскопическая картина полости носа (левая половина носа) с введённым и раздутым баллонным катетером
Fig. 5. Endoscopic view of dilated dacryostoma (left nasal cavity) following balloon dacryoplasty. The ostium was probed with Bowman probe
Рис. 5. Эндоскопическая картина области расширенной дакриостомы после баллонной дакриопластики (левая половина носа). Зонд Боумена выведён через дакриостому
In the postoperative period, systemic and local antibiotic therapy, anemization of the mucous membrane, and toilet of the nasal cavity were performed.
The criteria for the treatment efficacy were as follows. “Recovery” indicated the severity of the epiphora according to the Munk scale of 0 points, absence of purulent discharge, decrease in tear meniscus depth, positive results of “dye” canalicular and nasal tests, free patency of the lacrimal ducts during irrigation and presence of a formed dacryostomy at endoscopy of the nasal cavity. “Improvement” indicated the severity of the epiphora according to the Munk scale of 0–2 points, absence of purulent discharge, preservation of the same tear meniscus depth or a decrease in it, positive or delayed results of “dye” tests, passage of fluid into the nasal cavity under pressure on the syringe plunger or its passage as a thin trickle, and presence of a formed dacryostomy at endoscopy of the nasal cavity. “Relapse” implied the severity of the epiphora according to the Munk scale of 3–4 points, purulent discharge from the lacrimal duct, maintenance of the same tear meniscus depth or increase in it, negative result of “dye” tests, obstruction of the lacrimal drainage system at irrigation, and cicatricial deformity of the formed dacryostomy at endoscopy of the nasal cavity.
The follow-up period for the patients was 6 months.
RESULTS AND DISCUSSION
The data of the initial clinical examination revealed that the lacrimal points in all patients were of normal size and that the lacrimal ducts and their mouth were freely passable. In three patients, at endoscopy of the nasal cavity, a dacryostomy opening with a diameter of 1 to 2 mm was revealed. In three patients, the dacryostoma could not be visually identified. There were no synechiae in the nasal cavity in the dacryostomy area. Contrast-enhanced MSCT of the lacrimal ducts showed that the bone “window” was large enough (at least 1 cm; Fig. 6) in all patients and that its upper edge was located not lower than the place of entry of the mouth of the lacrimal ducts into the lacrimal sac. Results before balloon dacryoplasty and 6 months after it are presented in Table.
Fig. 6. Multispiral computed tomography of lacrimal drainage system with contrast enhancement: а – left lacrimal sac filled with contrast; b – borders of the bone window
Рис. 6. Мультиспиральная компьютерная томография слёзоотводящих путей с контрастированием, коронарная реконструкция на уровне слёзных мешков: а — заполненный контрастом левый слёзный мешок, b — границы костного «окна»
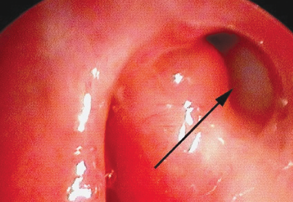
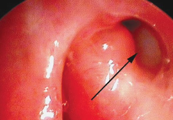
Fig. 7. Endoscopic view of a dacryocystorhinostomy-ostium (left nasal cavity) 6 months after endonasal balloon dacryoplasty; arrow indicates the lumen of the dacryocystorhinostomy-ostium
Рис. 7. Эндоскопическая картина области дакриостомы (левая половина носа) через 6 мес. после эндоназальной баллонной дакриопластики; стрелкой указан просвет дакриостомы
Results before and 6 months after balloon dacryoplasty
Результаты до и через 6 месяцев после баллонной дакриопластики
Patient | Lacrimation severity according to the Munk scale, points | Purulent discharge from the lacrimal ducts | Tear meniscus height according to OCT, μm | “Dye” nasal test | Passability of lacrimal drainage system at its irrigation | Dacryostomy size, mm | ||||||
before surgery | after surgery | before surgery | after surgery | before surgery | after surgery | before surgery | after surgery | before surgery | after surgery | before surgery | after surgery | |
1 | 4 | 0 | Yes | No | 448 | 195 | Negative | Positive | No | Good | Fibrotic | 6 |
2 | 4 | 2 | No | No | 264 | 227 | Delayed | Delayed | Partial | Delayed | 1 | 5 |
3 | 4 | 0 | Yes | No | 395 | 201 | Negative | Positive | No | Good | Fibrotic | 7 |
4 | 4 | 4 | Yes | Yes | 346 | 360 | Negative | Negative | No | No | Fibrotic | Fibrotic |
5 | 4 | 0 | No | No | 240 | 147 | Delayed | Positive | Partial | Good | 2 | 8 |
6 | 4 | 0 | No | No | 268 | 155 | Delayed | Positive | Partial | Good | 2 | 7 |
The following results were obtained. “Recovery” was noted in four patients and “improvement” in one, and the dacryostomy cicatrized in one patient. Figure 7 shows the endoscopic presentation of the nasal cavity 6 months after endonasal balloon plasty of dacryostomy.
It should be emphasized that the study included patients who, as a result of the examination, had dacryostomy fibrotization and repeated dacryocystitis after previous endonasal endoscopic dacryocystorhinostomy. All patients had no synechiae in the nasal cavity in the dacryostomy area, as well as pathology of the lacrimal ducts and their mouth. In this study, a balloon with a diameter of 6 mm was used, which was inserted into the dacryostomy endonasally, which enabled us to avoid injury to the lacrimal ducts and mouth. Balloon dacryoplasty was performed according to the protocol we presented earlier in studies, which proved their efficacy and safety. There was no correlation between the complete scarring of the dacryostomy and the presence of a residual dacryostomy in the case of disease recurrence, and dacryoplasty efficacy.
CONCLUSION
In the case of dacryocystitis recurrence after surgical treatment, as a rule, repeated dacryocystorhinostomy is performed, which is a rather traumatic procedure. The desire to reduce invasiveness necessitates a search for alternative methods for treating this condition. The study of literature sources reveals their paucity, insufficiency of patient number included in the study, and short duration of postoperative follow-up. The preliminary results obtained from the balloon dacryoplasty in six patients suggest that this method can be used in patients with recurrent dacryocystitis after dacryocystorhinostomy. The question of the prospects of using this method can be resolved after continued studies aimed at increasing the number of clinical cases to perform adequate statistical processing of the results obtained, increasing the periods of postoperative follow-up of patients, developing indications for this procedure, and studying the need for additional manipulations to enhance the efficacy of endonasal balloon dacryoplasty.
About the authors
Eugeniya L. At’kova
Federal State Budgetary Institution of Science “Research Institute of Eye Diseases”
Email: evg.atkova@mail.ru
ORCID iD: 0000-0001-9875-6217
SPIN-code: 1186-4060
MD, Doctor of Medical Science, Head of the Department of Pathology of the Lacrimal Apparatus
Russian Federation, MoscowNikolay N. Krakhovetskiy
Federal State Budgetary Institution of Science “Research Institute of Eye Diseases”
Email: n.krahovetskiy@niigb.ru
ORCID iD: 0000-0002-3247-8418
SPIN-code: 8112-2018
MD, PhD, Assistant Professor, Department of Pathology of the Lacrimal Apparatus
Russian Federation, MoscowOleg V. Zhukov
Federal State Budgetary Institution of Science “Research Institute of Eye Diseases”
Author for correspondence.
Email: Sparrowhawk92@mail.ru
ORCID iD: 0000-0002-2338-9085
SPIN-code: 1707-3150
Graduate Student, Department of Pathology of the Lacrimal Apparatus
Russian Federation, MoscowReferences
- Jawaheer L, MacEwen CJ, Anijeet D. Endonasal versus external dacryocystorhinostomy for nasolacrimal duct obstruction. Cochrane Database Syst Rev. 2017;2(2):CD007097. https://doi.org/10.1002/14651858.CD007097.pub3.
- Жуков О.В., Атькова Е.Л., Краховецкий Н.Н. Лечение пациентов с рецидивом дакриоцистита после выполненной ранее дакриоцисториностомии // Офтальмологические ведомости. – 2019. – Т. 12. – № 4. – С. 67–72. [Zhukov OV, At’kova EL, Krakhovetskiy NN. Balloon dacryoplasty in the treatment of recurrent dacryocystitis. Ophthalmology Journal. 2019;12(4):67-72. (In Russ.)]. https://doi.org/10.17816/OV17696.
- Mueller SK, Freitag SK, Lefebvre DR, et al. Revision eDCR using a superior pedicled mucosal flap. Orbit. 2019;38(1):1-6. https://doi.org/10.1080/01676830.2018.1444062.
- Ragab SM, el Koddousy MS, Badr M. Endocanalicular, high-pressure balloon catheter, endoscopic dacryocystorhinostomy: a randomized controlled trial. Otolaryngol Head Neck Surg. 2011;145(4): 683-688. https://doi.org/10.1177/0194599811410534.
- Silbert DI, Matta NS. Outcomes of 9 mm balloon-assisted endoscopic dacryocystorhinostomy: retrospective review of 97 cases. Orbit. 2010;29(3):131-4. https://doi.org/10.3109/01676830.2010.480924.
- Mishra AK, Nilakantan A, Mishra S, Mallick A. Comparison of balloon dacryocystorhinostomy with conventional endonasal endoscopic dacryocystorhinostomy for relief of acquired distal nasolacrimal drainage obstruction and its impact on quality of life: a prospective, randomized, controlled study. Med J Armed Forces India. 2018;74(3):255-263. https://doi.org/10.1016/j.mjafi.2017.08.010.
- Kumar S, Mishra AK, Sethi A, et al. Comparing outcomes of the standard technique of endoscopic DCR with its modifications: a retrospective analysis. Otolaryngol Head Neck Surg. 2019;160(2):347-354. https://doi.org/10.1177/0194599818813123.
- Атькова Е.Л., Федоров А.А., Ярцев В.Д., Роот А.О. Разработка оптимального способа проведения баллонной дакриопластики // Вестник офтальмологии. – 2015. – T. 131. – № 2. – C. 99–104. [At’kova EL, Fedorov AA, Yartsev VD, Root AO. Developing the optimal protocol for balloon dacryoplasty. Vestnik Oftalmologii. 2015;131(2):99-104. (In Russ.)]. https://doi.org/10.17116/oftalma2015131299-104.
- Атькова Е.Л., Ярцев В.Д., Краховецкий Н.Н., Роот А.О. Сравнительный анализ результатов баллонной дакриопластики при стенозах вертикального отдела слезоотводящих путей различной локализации // Вестник офтальмологии. – 2015. – T. 131. – № 4. – С. 66–73. [At’kova EL, Yartsev VD, Krakhovetskiy NN, Root AO. Comparative analysis of the results of balloon dacryoplasty for stenoses at different levels of the vertical portion of lacrimal pathways. Vestnik Oftalmologii. 2015;131(4):66-73. (In Russ.)]. https://doi.org/10.17116/oftalma2015131466-72.
Supplementary files











