Особенности клинических проявлений пролиферативных стадий диабетической ретинопатии у молодых пациентов, оценка технических трудностей выполнения эндовитреальной хирургии и её исходов
- Авторы: Лебедев Я.Б.1, Коленко О.В.1,2,3, Худяков А.Ю.1, Сорокин Е.Л.1,3
 - 
							Учреждения: 
							
- Хабаровский филиал Национального медицинского исследовательского центра «Межотраслевой научно-технический комплекс «Микрохирургия глаза» им. акад. С.Н. Фёдорова»
 - Институт повышения квалификации специалистов здравоохранения
 - Дальневосточный государственный медицинский университет
 
 - Выпуск: Том 18, № 2 (2025)
 - Страницы: 17-26
 - Раздел: Оригинальные исследования
 - Статья получена: 30.06.2023
 - Статья одобрена: 14.02.2025
 - Статья опубликована: 18.07.2025
 - URL: https://journals.eco-vector.com/ov/article/view/516560
 - DOI: https://doi.org/10.17816/OV516560
 - EDN: https://elibrary.ru/BSGTBO
 - ID: 516560
 
Цитировать
Аннотация
Обоснование. Число молодых пациентов с сахарным диабетом 1-го типа неуклонно растёт во всех странах мира. Технические особенности выполнения витрэктомии при пролиферативной диабетической ретинопатии у пациентов с сахарным диабетом 1-го типа изучены недостаточно. Необходимость их исследования очень актуальна, поскольку число таких пациентов постоянно увеличивается, то полученные сведения позволят избегать интра- и постоперационных осложнений, способных возникнуть при выполнении витрэктомии.
Цель — изучение морфофункциональных особенностей пролиферативной диабетической ретинопатии у молодых пациентов с сахарным диабетом 1-го типа, оценка технических трудностей эндовитреальной хирургии, её исходов.
Материалы и методы. Проведена сплошная выборка всех молодых пациентов с пролиферативными стадиями диабетической ретинопатии при сахарном диабете 1-го типа, кому была показана витреоретинальная хирургия. Было отобрано 32 пациента (55 глаз) от 18 до 46 лет: максимально корригированная острота зрения от неправильной проекции до 0,3. Всем пациентам выполняли трёхпортовое эндовитреальное вмешательство через плоскую часть цилиарного тела.
Результаты. В 48 глазах имелось плотное сращение задней гиалоидной мембраны с внутренней пограничной мембраной, кровотечение из пересечённых сосудов, при их отделении — склонность к рецидивированию кровотечения. В 25 глазах — плоскостные сращения преретинальных мембран, ретинальных сосудов и сетчатки. Всё это повышало длительность эндовитреального вмешательства. Все операции завершились силиконовой тампонадой. В 1-е сутки на 40 глазах имелись небольшие преретинальные кровоизлияния в заднем полюсе. На 15 глазах возникли массивные преретинальные кровоизлияния. Спустя месяц после удаления силикона максимально корригированная острота зрения на 36 глазах повысилась до 0,2–0,8.
Заключение. Имелись значительные технические трудности выполнения витрэктомии у всех пациентов из-за тяжёлого состояния витреомакулярного интерфейса. Стабилизация клинического течения пролиферативной диабетической ретинопатии спустя месяц после удаления силикона была достигнута в 96% глаз.
Полный текст
Обоснование
Статистика показывает, что число молодых пациентов с сахарным диабетом (СД) 1-го типа неуклонно растёт во всех странах мира. В 2021 г. в мире насчитывалось 2 607 712 детей и подростков до 19 лет, страдающих СД. Ежегодный прирост новых случаев в данных возрастных группах составляет до 96 тыс. детей и подростков до 15 лет и свыше 132 тыс. подростков и молодых людей от 15 лет до 20 лет [1]. По данным Федерального регистра больных СД, в 2021 г. в Российской Федерации общее количество детей, подростков и молодых людей до 18 лет, страдающих СД 1-го типа, повысилось до 42 951 человека, в сравнении с 29 690 в 2016 г. [2]. Заболеваемость СД 1-го типа молодых людей постоянно увеличивается, и официальный ожидаемый прирост заболевших составляет около 3% в год. Хотя этот показатель может варьировать в зависимости от различных географических регионов [3].
Наиболее частым и тяжёлым сосудистым осложнением СД 1-го типа является диабетическая ретинопатия (ДР). При длительности СД 1-го типа до 5 лет она возникает в 9–17% случаев, от 5 лет до 10 лет — в 44–80%, от 15 лет — в 87–99% случаев [4–6]. Наиболее тяжёлым проявлением ДР, приводящим к необратимой слепоте и слабовидению, является её пролиферативная стадия [7–11]. Особенности клинического течения ДР при СД 1-го типа, в сравнении с пролиферативной диабетической ретинопатией (ПДР) при СД 2-го типа у пожилых пациентов, выражаются в стремительности развития и прогрессирования ретинальной неоваскуляризации [12]. Другой особенностью ПДР при СД 1-го типа является её раннее формирование в юношеском возрасте и агрессивное течение. Уже через 10–15 лет течения СД, при недостаточной его компенсации и отсутствии своевременной профилактической панретинальной лазеркоагуляции сетчатки, она формирует риск необратимой слепоты [4, 6, 13].
По данным N. Dhillon и соавт. [14], ПДР развивается у 14-летних подростков через 7,7 лет заболевания СД (0,6–13,7%). При этом уровень гликированного гемоглобина (HbA1C) составляет в среднем 8,6% (5,6–13,1%). Но при повышении значений HbA1C до 9,1% (7,2–14%) этот срок сокращается до 5 лет. Более высокий уровень HbA1С и более длительная продолжительность диабета являются значительными факторами риска развития и прогрессировании ДР [15].
В литературе имеются данные об особенностях послеоперационного периода при выполнении витрэктомии у молодых пациентов с ПДР. Так, A. Usui и соавт. [16] отмечают ухудшение зрения у 22% молодых пациентов после выполнения витрэктомии по поводу ПДР. Исследователи связывают это с необратимыми изменениями сетчатки и зрительного нерва, с наличием неоваскулярной глаукомы и ряда других общих факторов. Подобного же мнения придерживаются также M. Liao и соавт. [17], которые отмечают, что частота послеоперационных осложнений витрэктомии у молодых пациентов с ПДР выше, чем у пожилых. По их мнению, возможно, это связано с большей продолжительностью СД, с худшим гликемическим контролем.
В последние годы витреоретинальная хирургия (ВРХ) широко вошла в клиническую практику, что существенно расширило возможности хирургического лечения ПДР. При этом расширились также диагностические возможности прижизненной визуализации состояния витреоретинального интерфейса. В доступной литературе мы не встретили работ, описывающих технические особенности выполнения витрэктомии при ПДР у пациентов с СД молодого возраста. Имеются упоминания об исходах ВРХ у молодых пациентов с СД [18].
A. Ricca и соавт. [19] оценивали функциональные результаты витрэктомии при ПДР у молодых пациентов с СД 1-го типа, но данное исследование выполнялось лишь по критерию соответствия их зрительных функций минимальному стандарту водителей автомобиля в США. При этом остаются неизученными технические интраоперационные сложности выполнения витрэктомии, а также особенности течения раннего послеоперационного периода.
Ввиду слабой изученности технических особенностей выполнения витрэктомии, её анатомических и функциональных результатов при ПДР у пациентов с СД 1-го типа, мы сочли целесообразным изучить данную проблему на собственном клиническом материале. Актуальность её изучения, на наш взгляд, высока, поскольку число таких пациентов неуклонно возрастает, а полученные сведения позволят избегать интра- и постоперационных осложнений, способных возникнуть при выполнении витрэктомии.
Цель — изучение морфофункциональных особенностей ПДР у молодых пациентов с СД 1-го типа, оценка технических трудностей выполнения эндовитреальной хирургии, её исходов.
Материалы и методы
Проведена сплошная выборка всех молодых пациентов с пролиферативными стадиями ДР при СД 1-го типа, кому была показана ВРХ. Критерии включения: формирование СД в детском и юношеском возрасте, наличие тяжёлой и далекозашедшей стадии ПДР. Критерии исключения: наличие у пациентов HbA1C выше 10 ммоль/л и/или сахара крови натощак свыше 12 ммоль/л. Этих пациентов мы направляли к эндокринологу по месту жительства для коррекции гликемии и планировали операцию после достижения ими допустимых значений гликемии.
По данным критериям было отобрано 32 пациента (55 глаз). Их возраст варьировал от 18 до 46 лет. Среди них было 13 мужчин, 19 женщин. Дебют СД 1-го типа у пациентов проявился в возрасте от 1 года до 25 лет, в среднем в 9,5 лет. Длительность СД составляла от 7 до 30 лет. Перед операцией у всех пациентов была достигнута относительная компенсация СД.
Рекомендуемый уровень сахара в крови перед операцией должен быть не более 10,0 ммоль/л [20]. Но, учитывая тяжесть и быстрый характер прогрессирования интраокулярных пролиферативных изменений, у 4 пациентов мы планировали операцию и при уровне глюкозы крови натощак 9,0–12,0 ммоль/л. В подобных случаях перед операцией выполнялись лечебные мероприятия по его нормализации. Так, при гипергликемии натощак 9–12 ммоль/л мы увеличивали дозу пролонгированного инсулина на 4–6 ЕД/сут, дозы прандиального инсулина корригировали под контролем гликемического профиля [21].
Наличие и степень тяжести ПДР оценивали по клинической классификации ETDRS (1991). Согласно данной классификации в 24 глазах имела место ПДР тяжёлой стадии. Это выражалось наличием ретинального глиоза с зонами ретинальной неоваскуляризации и пролиферации, локализующимися, преимущественно, по ходу сосудистых аркад. Из них на 12 глазах глиоз и перипапиллярная неоваскуляризация распространялись на диск зрительного нерва (ДЗН), на 9 глазах — захватывали ДЗН и сосудистые аркады; на 3 глазах — распространялись от ДЗН и сосудистых аркад на межаркадные промежутки (рис. 1).
Рис. 1. Пациент А, 28 лет. Левый глаз. Глиоз на диске зрительного нерва, аркадах, тракционная отслойка сетчатки, гемофтальм. Сахарный диабет 1-го типа в течение 19 лет. HbA1C 8,5%.
На 31 глазу имелась далекозашедшая стадия ПДР. Она имела выраженную витреоретинальную пролиферацию, на фоне которой в макулярной зоне сформировалась тракционная отслойка сетчатки. В 17 глазах она захватывала фовеальную зону (рис. 2). Тракционная отслойка сетчатки в 10 глазах захватывала один квадрант макулярной зоны, в 5 глазах — 2 квадранта, в одном глазу — 3 квадранта, и в одном глазу всю зону макулы — 4 квадранта (P. Kroll, 1987).
Рис. 2. Пациент Б, 27 лет. Правый глаз до операции. Выраженная фиброваскулярная мембрана, захватывающая диск зрительного нерва, сосудистые аркады. Тракционная отслойка макулы во всех квадрантах. Сахарный диабет 1-го типа в течение 17 лет. HbA1С 10%, нефропатия средней степени.
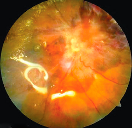
Во всех 55 глазах имел место сопутствующий гемофтальм (рис. 3). Его длительность варьировала от 2 нед. до 2 лет, в среднем — 6 мес. На 13 глазах он был тотальным, в 42 глазах — в виде взвеси эритроцитов в витреальной полости, преретинальных и витреальных геморрагий.
Рис. 3. Пациент В, 30 лет. Правый глаз. Гемофтальм, глиоз, тракционная отслойка сетчатки. Сахарный диабет 1-го типа на протяжении 20 лет. HbA1С 9%, нефропатия.
У 18 пациентов (29 глаз) ранее, за 1–18 мес., были проведены этапы панретинальной лазеркоагуляции сетчатки. Учитывая наличие у всей совокупности пациентов, вошедших в данное исследование, пролиферативных стадий ДР интравитреальное введение ингибиторов ангиогенеза на дооперационном этапе им не проводилось. Все пациенты имели сопутствующую диабетическую нефропатию средней и тяжёлой степени, у 11 пациентов имелась хроническая почечная недостаточность (ХПН) I и II стадии, 4 пациента имели III стадию, из них 1 пациент находился на парентеральном диализе, 3 — на гемодиализе. Этим пациентам мы планировали операции между сеансами гемодиализа, чтобы снизить или избежать геморрагических и других осложнений, связанных с анестезиологическим пособием и оперативным вмешательством из-за циркулирующих в их крови антикоагулянтов. Предоперационное обследование включало: офтальмоскопию с помощью непрямого бинокулярного офтальмоскопа Скепенса с линзой 20 дптр; биомикроскопию макулы с помощью бесконтактной линзы, с контактной панфундус-линзой (при достаточной прозрачности оптических структур); ультразвуковое В-сканирование витреальной полости (В-сканер Aviso, Франция, датчик 50 Гц). При наличии прозрачных сред выполнялась оптическая когерентная томография заднего полюса глаза макулярной зоны (Cirrus HD-OCT, Германия). Проводилась оценка анатомических взаимоотношений структур витреоретинального интерфейса: внутренней пограничной мембраны сетчатки (ВПМ), задней гиалоидной мембраны (ЗГМ) стекловидного тела. Определяли: толщину и объём макулярной сетчатки, наличие/отсутствие задней отслойки стекловидного тела, интенсивность витреоретинальных тракций, тракционной отслойки сетчатки. Исходно максимально корригированная острота зрения (МКОЗ) была низкой и варьировала от неправильной проекции света до 0,3.
Всем пациентам выполняли мини-инвазивное эндовитреальное вмешательство (ЭВ). Использована стандартная трёхпортовая методика через плоскую часть цилиарного тела. Применяли хирургическую систему Constellation® Vision System (Alcon, США), позволяющую использовать технологию 25G и 27G. Технология 27G за счёт скошенного наконечника и расположения окошка витректора ближе к сетчатке позволяла выполнять операции с меньшим набором инструментов. Витректор использовали одновременно и как шпатель-расслаиватель, который за счёт меньшего диаметра мог проникнуть под плотные мембраны, отсепарировать и, как ножницы, фрагментировать и удалять их. Особое преимущество данная методика имеет при применении бимануальной техники хирургии с использованием дополнительного освещения с помощью «шандельеры».
Для обеспечения оперативного доступа и улучшения визуализации интраокулярных патологический структур вначале удалялось мутное, изменённое стекловидное тело. В полость глаза при необходимости вводили Пфокалин® (материал офтальмологический для замещения стекловидного тела глаза, ООО «Бетамед», Россия). Углубленное внимание было направлено на интраоперационное выявление зон формирования и распространения витреоретинальных тяжей, мембран, на их локализацию, распространённость зон ретинальной неоваскуляризации. Проводилась оценка технических трудностей выполнения отдельных этапов ЭВ: в частности, удаления изменённого стекловидного тела, интравитреальных сгустков крови, фиброваскулярных мембран, проведению гемостаза, мобилизации отслоенной сетчатки, выполнению эндолазеркоагуляции.
Результаты
При выполнении ЭВ нами был отмечен целый ряд серьёзных исходных особенностей морфологического состояния витреомакулярных структур. В частности, практически у подавляющего большинства пациентов (48 глаз) имело место плотное сращение ЗГМ с ВПМ. Это создавало трудности её механического отделения, с риском возникновения интраоперационных кровоизлияний. Попытки механического отделения ЗГМ от сетчатки зачастую могут привести к формированию ретинальных дефектов и геморрагий. Поэтому приходилось использовать технику предварительной фрагментации ЗГМ сначала витреальными ножницами и пинцетом, при необходимости используя бимануальную технику. После выделения фиброваскулярной ткани и отслоения ЗГМ в достаточном объёме по площади, для её полного устранения применяли витреотом. С его помощью поэтапно и послойно удалялись патологические структуры — пролиферативные фиброваскулярные тяжи, освобождённые от тракций и подлежащих тканей. Кроме того, удаляемые остатки стекловидного тела отличались высокой степенью плотности, что снижало способность витреотома к качественному резу. Иногда это даже требовало его замены на новый.
Ввиду данных особенностей, удаление пропитанного кровью и изменённого стекловидного тела до визуализации ЗГМ и сетчатки нужно было выполнять деликатно, послойно. Лишь подобным подходом удавалось минимизировать риск повреждения ткани сетчатки. При этом необходим постоянный контроль положения витреотома и направление его рабочей поверхности. В частности, приходилось тщательно и последовательно выполнять отделение ЗГМ механическим путём, расслаивая с помощью витреотома, ножницами, пинцетом, затем пересекая его ножницами.
Имели место также технические трудности интраоперационного гемостаза, что влияло на длительность операции. Так, нередко возникало кровотечение из пересеченных питающих фиброваскулярную мембрану сосудов, при отделении плотных и сращённых с сетчаткой таких мембран. Для остановки кровотечения осуществлялась эндодиатермокоагуляция остатков новообразованных сосудов. Для минимизации риска травматизации ретинальных структур новообразованные сосуды коагулировали на остатках пролиферативной ткани. Такая техника является универсальной для хирургии пролиферативных изменений при СД 2-го типа и при другой патологии пролиферативной посттромботической ретинопатии.
Особенностью интраоперационных кровотечений у данных пациентов являлось то, что несмотря на достигнутый с помощью эндодиатермокоагуляции интраоперационный гемостаз, геморрагии имели склонность продолжаться. В результате этого образовывались преретинальные сгустки крови различной площади и объёма. Их приходилось механически удалять пинцетом и витреотомом, но после этого тромбы на сосудах нарушались, и кровотечение, зачастую, возобновлялось. Поэтому данную манипуляцию приходилось повторять снова и снова.
Все это требовало длительных по времени манипуляций, способствующих уменьшению мини-травматизации ретинальных структур. Помимо этого, следует отметить такой типичный компонент для данной категории пациентов, как глиозные мембраны высокой степени плотности, удаление которых требовало больше времени. Они имели место в 25 глазах (14 пациентов).
Кроме того, была выявлена ещё одна характерная закономерность. Так, у многих пациентов имелись сплошные плоскостные сращения между преретинальными мембранами, ретинальными сосудами и сетчаткой (25 глаз). При этом характерным являлось то, что просветы между преретинальной фиброваскулярной мембраной и ретинальной тканью практически не наблюдались, в отличие от мембран при ПДР у пожилых пациентов со СД 2-го типа. Наличие просветов между тканями облегчает выполнение манипуляций, так как они позволяют безопасно проникнуть эндовитреальным инструментом под преретинальную мембрану для её последующего деликатного отделения от ретинальных структур и других зон прикрепления, например, сосудистых аркад. А наличие плотной спайки фиброваскулярной мембраны и сетчатки у исследуемых нами пациентов значительно усложняло процесс отслоения, пересечения спайки и удаления преретинальной мембраны, ЗГМ и других пролиферативных структур.
Все эти осложняющие особенности повышали длительность ЭВ, которая составляла от 45 до 180 мин. Учитывая высокий риск геморрагических осложнений в ходе операции, особенное внимание уделялось контролю артериального давления у пациентов с помощью следящей аппаратуры.
При удалении плотных преретинальных мембран чаще была возможность избежать повреждения структур сетчатки, хотя в 5 случаях все же не удалось обойтись без ятрогенных разрывов (рис. 4, а). Если же формировался ятрогенный разрыв на прилежащей сетчатке, то мы выполняли ограничительную эндолазеркоагуляцию. Когда разрыв возникал на отслоённой сетчатке, либо когда отслойка сетчатки образовывалась вокруг разрыва, приходилось применять Пфокалин® или газовоздушную тампонаду для мобилизации сетчатки перед ограничительной лазеркоагуляцией. Все операции были завершены силиконовой тампонадой, вязкость 5700 сантистокс [сСт] (рис. 4, b).
Рис. 4. Пациент Г, 38 лет, левый глаз. Сахарный диабет 1-го типа в течение 24 лет, HbA1С 12%: a — интраоперационно — отслойка сетчатки в виде закрытой воронки, выраженная преретинальная мембрана; b — третьи сутки после операции, этап силиконовой тампонады — сетчатка прилежит во всех квадрантах; c — третьи сутки после операции, оптическая когерентная томография — диффузный макулярный отёк.
Мы считаем, что тампонада силиконовым маслом была более предпочтительна, чем газовоздушная тампонада или пневморетинопексия, поскольку она обладает целым рядом положительных свойств. Сликоновое масло — вязкое, прозрачное, полностью заполняет стекловидную камеру, и благодаря этому кровоизлияния формируются преретинально и располагаются локально. Кроме того, масло механически прижимает сгусток к сетчатке, не позволяя излившейся крови распространяться в полости глаза. Межфазное поверхностное натяжение силиконового масла — 45 дин/см — достаточно для блокирования имеющихся разрывов сетчатки. Кроме того, силиконовое масло химически инертно, обладает бактериостатическим действием, что является положительным фактором в лечении ПДР [22].
В первые сутки после операции на 40 глазах при офтальмоскопии мы наблюдали небольшие преретинальные кровоизлияния в области сосудистых аркад, ДЗН и перипапиллярно. Так как зона макулы была интактной, острота зрения на этих глазах повысилась на 0,05–0,4, в среднем на 0,25 по таблице Сивцева (рис. 4, c). На 15 глазах мы отмечали возникновение массивных преретинальных кровоизлияний в раннем послеоперационном периоде. Как правило, они возникали в первые сутки после операции и выявлялись на первом послеоперационном осмотре. В витреальной полости у них определялись преретинальные проминирующие сгустки крови в области сосудистых аркад и ДЗН с захватом области макулы. Это послужило причиной отсутствия положительной динамики в улучшении зрения. На 4 глазах зрение стало даже ниже исходного, вплоть до отсутствия предметного зрения, так как кровоизлияние закрыло зону макулы и фовеа.
Через 7–10 дней, по мере лизирования преретинальных кровоизлияний у этих пациентов, жидкая часть красной крови мигрировала в переднюю камеру, сформировав тотальную гифему в 4 глазах. В 2 случаях нами предпринималась попытка вымывания гифемы в условиях операционной, через парацентез роговицы до прозрачности влаги передней камеры. Но на следующий день эритроциты вновь мигрировали в переднюю камеру. Из-за этого в сроки 1–10 дней на 11 глазах подъём внутриглазного давления (ВГД) достиг значений 32–38 мм рт. ст. После назначения гипотензивного режима уровень ВГД на 7 глазах снизился до верхней границы нормы — 25–26 мм рт. ст. У 4 пациентов (4 глаза) ВГД понизилось, но оставалось высоким — 30–32 мм рт. ст. на фоне полного режима. Данные пациенты наблюдались в стационаре и амбулаторно, ежедневно или через день.
На 4 глазах с наличием гифемы, где гипотензивный режим оказался неэффективным, в сроки от 3 до 7 дней силикон удаляли. После чего сгустки крови удалялись послойно витреотомом (рис. 5).
Рис. 5. Пациент Д, 27 лет. Правый глаз. Повторная силиконовая тампонада. Третьи сутки после операции по поводу массивного послеоперационного кровоизлияния и послеоперационной офтальмогипертензии. Сетчатка прилежит. Субретинальное и премакулярное кровоизлияние в раннем послеоперационном периоде. Сахарный диабет 1-го типа в течение 17 лет. HbA1С 10%, нефропатия средней степени.
При удалении массивных преретинальных кровоизлияний особое внимание уделялось оставлению плоской части преретинального сгустка для сохранения тромбов на ретинальных сосудах. Кроме того, это было обусловлено также тем, чтобы минимизировать механическое воздействие на сетчатку, для профилактики ятрогенного разрыва сетчатки по краю плотно прилежащего к ней сгустка крови (рис. 6).
Рис. 6. Пациентка Е, 38 лет. Ультразвуковая B-сканограмма витреальной полости правого глаза после завершения силиконовой тампонады. Остатки пролиферативной ткани и преретинальных сгустков крови в центральных отделах и на периферии.
Пациенты получали стандартное послеоперационное лечение. После выписки на третьи сутки им назначали инстилляции дексаметазона и антисептика в течение 4 нед. Послеоперационная реакция во всех случаях купировалась на 4-й неделе после выписки. До удаления силикона всем пациентам обязательно проводили сеансы панретинальной лазеркоагуляции сетчатки.
Силиконовая тампонада завершалась через 2–4 мес., в среднем через 2,2 мес. В первые сутки после удаления силикона на 10 глазах имелась взвесь эритроцитов, которая рассасывалась на фоне лечения в течение 2–21 дня, в среднем в течение 7 дней у 9 пациентов. Одному пациенту в связи с тем, что гемофтальм сохранялся в течение 30 сут, нами была выполнена реоперация, промывание стекловидной камеры, удаление сгустков крови у базиса стекловидного тела с тампонадой силиконом.
Следует отметить, что МКОЗ на 36 глазах через месяц после удаления силикона значительно повысилась — до 0,2–0,8. На 10 глазах хотя и отсутствовала положительная динамика МКОЗ, но нами это было также расценено как успех оперативного лечения. На 7 глазах МКОЗ снизилась после перенесённой офтальмогипертензии.
Отмечено отсутствие прогрессирования неоваскуляризации радужки на 53 глазах, что указывает на адекватность выбранной нами тактики лечения. На 2 глазах через 3 мес. после удаления силикона развился рубеоз радужки и неоваскулярная глаукома с потерей предметного зрения, потребовавшие транссклеральной диодлазерной циклофотокоагуляции.
Обсуждение
Одним из наиболее тяжёлых состояний, требующих хирургического лечения, является ПДР ввиду её тяжёлых, необратимых исходов для глаза. В нашем исследовании мы выявили, что наиболее быстро она протекает в молодом возрасте у пациентов, заболевших СД 1-го типа в раннем детстве, и пусковым механизмом становится период полового созревания. Лечение подобных пациентов стало более реальным в связи с бурным развитием в последние годы ВРХ. Отмечены благоприятные исходы в плане стабилизации течения ПДР, профилактики её тяжёлых осложнений [7, 23, 24].
В проведённом исследовании удалось выявить ряд особенностей витреомакулярного интерфейса у молодых пациентов с ПДР, а также технические трудности выполнения витрэктомии, обусловленные анатомо-морфологическими особенностями структур витреоретинального интерфейса у таких пациентов. Они выражались в ряде факторов: отсутствие отслойки ЗГМ, плотного сращения преретинальных мембран с новообразованными сосудами и сетчатки; формирование массивных преретинальных кровоизлияний в раннем послеоперационном периоде. Данные кровоизлияния характеризуются большой плотностью и выраженной адгезией с сетчаткой. Причина возникновения повышенной кровоточивости состоит в нарушении реологических и биохимических показателей крови у молодых пациентов на фоне течения сопутствующей нефропатии и хронического пиелонефрита (20 пациентов, 28 глаз).
Таким образом, по нашим наблюдениям, клиническое течение ПДР у молодых пациентов с СД 1-го типа характеризуется тем, что интраокулярные изменения формируются стремительно, в течение 2–3 мес. Как правило, формируется тракционная отслойка сетчатки в центральном отделе, часто сочетающаяся с гемофтальмом. Развитие ПДР у данных пациентов зачастую происходит на фоне диабетической нефропатии или хронических воспалительных заболеваний почек. Возможно, это значительно отягощает течение их как интра-, так и послеоперационного периода. Необходимо учитывать перечисленные сложности выполнения эндовитреальной хирургии ПДР у молодых пациентов с СД 1-го типа для минимизации интра- и постоперационных осложнений.
Заключение
У всех пациентов с ПДР на фоне СД 1-го типа имели место значительные технические трудности выполнения витрэктомии. Они выражались исходно тяжёлым состоянием витреомакулярного интерфейса: тесным сращением ЗГМ с ВПМ у 87% пациентов, создававшим технические трудности её механического отделения; высокой степенью плотности изменённого стекловидного тела, уменьшающей способность наконечника к качественному резу; наличием глиозных мембран с их плотным сращением с ретинальными сосудами и тканью сетчатки в 45% глаз, затруднявшее их безопасное отделение от ретинальных структур.
Отмечены технические трудности интраоперационного гемостаза, проявлявшиеся кровотечением из новообразованных сосудов, что, безусловно, влияет на увеличение длительности оперативного вмешательства и может увеличить риск послеоперационных осложнений. Поэтому необходимо стремиться оптимизировать время операции, что становится возможным за счёт применения современных технологий и инструментов, таких как витректоры 20 000 резов, инструменты малого калибра.
В раннем послеоперационном периоде имели место формирование массивных преретинальных кровоизлияний, захватывающих область сосудистых аркад, ДЗН и макулы, склонность к офтальмогипертензии.
По нашему опыту, тампонада СМ является стабилизирующим фактором в послеоперационном периоде, так как она позволяет ограничивать сгустки крови от распространения в витреальной полости и создаёт оптимальные условия для этапов панретинальной лазеркоагуляции сетчатки.
Стабилизация клинического течения ПДР спустя месяц после удаления силикона была достигнута в 96% глаз.
Дополнительная информация
Вклад авторов. Я.Б. Лебедев — сбор и обработка материала, написание текста, дизайн и концепция; А.Ю. Худяков — концепция и дизайн исследования; Е.Л. Сорокин — существенный вклад в концепцию и дизайн работы, редактирование, окончательное утверждение версии, подлежащей публикации. Авторы одобрили версию для публикации, а также согласились нести ответственность за все аспекты работы, гарантируя надлежащее рассмотрение и решение вопросов, связанных с точностью и добросовестностью любой ее части.
Этическая экспертиза. Одобрение этического комитета на проведение исследования не получали. Причина — заключение этического комитета на применение стандартных методов лечения не требуется, так как оно необходимо при каких-либо изменениях в способах лечения. Авторы получили письменное согласие пациентов на публикацию медицинских данных и фотографий.
Источники финансирования. Отсутствуют.
Раскрытие интересов. Авторы заявляют об отсутствии отношений, деятельности и интересов за последние три года, связанных с третьими лицами (коммерческими и некоммерческими), интересы которых могут быть затронуты содержанием статьи.
Оригинальность. При создании настоящей работы авторы не использовали ранее опубликованные сведения.
Доступ к данным. Все данные, полученные в настоящем исследовании, доступны в статье.
Генеративный искусственный интеллект. При создании настоящей статьи технологии генеративного искусственного интеллекта не использовали.
Рассмотрение и рецензирование. Настоящая работа подана в журнал в инициативном порядке и рассмотрена по обычной процедуре. В рецензировании участвовали два внешних рецензента, член редакционной коллегии и научный редактор издания.
Об авторах
Ян Борисович Лебедев
Хабаровский филиал Национального медицинского исследовательского центра «Межотраслевой научно-технический комплекс «Микрохирургия глаза» им. акад. С.Н. Фёдорова»
							Автор, ответственный за переписку.
							Email: dvk@khvmntk.ru
				                	ORCID iD: 0000-0001-7563-6757
				                	SPIN-код: 5952-2909
																		                								
MD
Россия, ХабаровскОлег Владимирович Коленко
Хабаровский филиал Национального медицинского исследовательского центра «Межотраслевой научно-технический комплекс «Микрохирургия глаза» им. акад. С.Н. Фёдорова»; Институт повышения квалификации специалистов здравоохранения; Дальневосточный государственный медицинский университет
														Email: dvk@khvmntk.ru
				                	ORCID iD: 0000-0001-7501-5571
				                																			                								
д-р мед. наук
Россия, Хабаровск; Хабаровск; ХабаровскАлександр Юрьевич Худяков
Хабаровский филиал Национального медицинского исследовательского центра «Межотраслевой научно-технический комплекс «Микрохирургия глаза» им. акад. С.Н. Фёдорова»
														Email: dvk@khvmntk.ru
				                	ORCID iD: 0000-0001-8027-9192
				                																			                								
MD
Россия, ХабаровскЕвгений Леонидович Сорокин
Хабаровский филиал Национального медицинского исследовательского центра «Межотраслевой научно-технический комплекс «Микрохирургия глаза» им. акад. С.Н. Фёдорова»; Дальневосточный государственный медицинский университет
														Email: dvk@khvmntk.ru
				                	ORCID iD: 0000-0002-2028-1140
				                																			                								
д-р мед. наук, профессор
Россия, Хабаровск; ХабаровскСписок литературы
- Magliano DJ, Boyko EJ. IDF Diabetes Atlas 10th edition scientific committee. Brussels: International Diabetes Federation; 2021.
 - Dedov II, Shestakova MV, Vikulova OK, et al. Epidemiological characteristics of diabetes mellitus in the Russian Federation: clinical and statistical analysis according to the Federal diabetes register data of 01.01.2021. Diabetes mellitus. 2021;24(3):204–221. doi: 10.14341/DM12759 EDN: MEZKMG
 - Shiryaeva TYu, Andrianova EA, Suntsov YuI. Type 1 diabetes mellitus in children and adolescents of Russian Federation: key epidemiology trends. Diabetes mellitus. 2013;16(3):21–29. doi: 10.14341/2072-0351-813 EDN: RDRHQJ
 - Alexandrova VK, Milenkaya TM. Features of diabetic retinopathy in childhood. Diabetes mellitus. 2005;8(1):20–25. (In Russ.) EDN: MSUEJB
 - Conti G, Postelmans L, Dorchy H. Screening for diabetic retinopathy with fluorescein angiography in patients with type 1 diabetes from adolescence to adult life. A retrospective study of the past 30 years of clinical practice in a tertiary Belgian Сentre. Endocrinol Diabetes Metab. 2022;25(1):e00304. doi: 10.1002/edm2.304
 - Porta M, Schellino F, Montanaro M, et al. Prevalence of retinopathy in patients with type 1 diabetes diagnosed before and after puberty. Acta Diabetol. 2014;51:1049–1054. doi: 10.1007/s00592-014-0671-2
 - Sdobnikova SV, Mirzabekova KA. Pathogenic features and treatment options of different diabetic retinopathy stages. Russian annals of ophthalmology. 2013;129(3):54–57. EDN: QYLKXF
 - Izmaylov AS, Balashevich LI. Panretinal photocoagulation in diabetic retinopathy: indications for additional treatment. Ophthalmology reports. 2009;2(4):44–51. EDN: LHSWWT
 - Basurto A, Cicinelli MV, Lattanzio R, Bandello F. Proliferative diabetic retinopathy as onset of type 1 diabetes. Can J Ophthalmol. 2020;55(3): e92–e95. doi: 10.1016/j.jcjo.2019.09.006
 - Kumar K, Baliga G, Babu N, et al. Clinical features and surgical outcomes of complications of proliferative diabetic retinopathy in young adults with type 1 diabetes mellitus versus type 2 diabetes mellitus — A comparative observational study. Indian J Ophthalmol. 2021;69(11):3289–3295. doi: 10.4103/ijo.IJO_1293_21
 - Laiginhas R, Madeira C, Lopes M, et al. Risk factors for prevalent diabetic retinopathy and proliferative diabetic retinopathy in type 1 diabetes. Endocrine. 2019;66(2):201–209. doi: 10.1007/s12020-019-02047-z
 - Kolenko OV, Lebedev YaB, Khudyakov AYu, Sorokin EL. Evaluation of the technical features of vitreoretinal surgery for proliferative diabetic retinopathy in young patients. Reflection. 2021;(1):36–42. doi: 10.25276/2686-6986-2021-1-36-42 EDN: WDFFGK
 - Shiryaeva LV, Zelinskaya DI. Endocrine pathology and its consequences in childhood. Children’s Hospital. 2011;(3):50–55. EDN: NYJQIJ
 - Dhillon N, Karthikeyan A, Castle A, et al. Natural history of retinopathy in children and young people with type 1 diabetes. Eye (London). 2016;30(7):987–991. doi: 10.1038/eye.2016.60
 - Huang C-H, Hsieh Y-T, Yang C-M. Vitrectomy for complications of proliferative diabetic retinopathy in young adults: clinical features and surgical outcomes. Graefes Arch Clin Exp Ophthalmol. 2017;255(5):863–871. doi: 10.1007/s00417-016-3579-4
 - Usui A, Kiyokawa M, Kimura I, et al. Effects of vitrectomy as a treatment for proliferative diabetic retinopathy in young patients. Nippon Ganka Gakkai Zasshi. 2011;115(6):516–522.
 - Liao M, Wang X, Yu J, et al. Characteristics and outcomes of vitrectomy for proliferative diabetic retinopathy in young versus senior patients. BMC Ophthalmol. 2020;20(1):416. doi: 10.1186/s12886-020-01688-3
 - Schreur V, Brouwers J, Van Huet RAC, et al. Long-term outcomes of vitrectomy for proliferative diabetic retinopathy. Acta Ophthalmol. 2021;99(1):83–89. doi: 10.1111/aos.14482
 - Ricca A, Boone K, Boldt HC, et al. Attaining functional levels of visual acuity after vitrectomy for retinal detachment secondary to proliferative diabetic retinopathy. Sci Rep. 2020;10(1):15637. doi: 10.1038/s41598-020-72618-y
 - Zabolotskikh IB, Malyshev YP, Dunts PV, et al. Perioperative management of adult patients with concomitant diabetes mellitus: guidelines of the All-Russian public organization “Federation of Anesthesiologists and Reanimatologists” (second revision). Annals of Critical Care. 2023;(1):14–33. doi: 10.21320/1818-474X-2023-1-14-33 EDN: WKIQOQ
 - Kogan MF, Novikova BB, Sorokin EL. Some aspects of preoperative preparation of patients with diabetes mellitus for ophthalmosurgical interventions and their effectiveness. In: Proceedings of scientific works “New technologies of diagnostics and treatment of diseases of the organ of vision in the Far East region”. Khabarovsk; 2012. (In Russ.)
 - Egorov VV, Lebedev YaB, Khudiakov AYu, Smoliakova GP. Silicone oil tamponade of the vitreous cavity at endophthalmitis surgical treatment. Cataract and refractive surgery. 2012;12(3):26–29. EDN: PCPNFT
 - Kazaikin VN. Diabetic retinopathy: Clinic, diagnostics and treatment: Methodical recommendations on specialty “Ophthalmology”. Moscow: NPC Medinform; 2016. 33 p. (In Russ.)
 - Shishkin MM, Yuldasheva NM, Kasatikova EV. Peculiarities of treatment of patients with far advanced proliferative diabetic retinopathy in the conditions of a multidisciplinary hospital. Bulletin of the Russian Military Medical Academy. 2011;33(1S):69–70. (In Russ.)
 
Дополнительные файлы
				
			
						
					
						
									









