Изменение геометрии полимерных сферичных орбитальных имплантатов
- Авторы: Давыдов Д.В.1,2, Баранова Н.А.2
-
Учреждения:
- Московский научно-исследовательский онкологический институт им. П.А. Герцена
- Диагностический центр № 7 (глазной) для взрослого и детского населения
- Выпуск: Том 16, № 3 (2023)
- Страницы: 27-36
- Раздел: Оригинальные исследования
- Статья получена: 13.07.2023
- Статья одобрена: 05.09.2023
- Статья опубликована: 17.10.2023
- URL: https://journals.eco-vector.com/ov/article/view/546107
- DOI: https://doi.org/10.17816/OV546107
- ID: 546107
Цитировать
Аннотация
Актуальность. За последние десятилетия в реабилитации пациентов с анофтальмом активно используются различные полимерные имплантаты для формирования объёмной опорной культи и улучшения результатов косметического протезирования.
Цель — оценить клиническую симптоматику и особенности рентгенологической картины у пациентов с анофтальмом после имплантации полимерных сферичных эндопротезов с изменённой геометрией.
Материалы и методы. Исследование базируется на анализе 30 пациентов с анофтальмом после проведённых энуклеаций (23) и эвисцераций (7) в различных методиках выполнения и введения в ткани имплантата, выполненного из отечественного политетрафторэтилена. Все пациенты прошли мультиспиральное компьютерное томографическое исследование глазниц по единому алгоритму.
Результаты. На основании выполненных исследований выявлен факт внесения изменения в геометрию имплантированных сферичных имплантатов, при этом параметры изменённой части сфер были различны и составили от 14 до 18 мм конечных диаметров при исходных диаметрах сфер от 18 до 20 мм. Выявлено уменьшение объёма сфер с изменённой геометрией от 0,114 до 0,651 см3 при исходных диаметрах от 18 до 20 мм.
Заключение. Внесение изменений в геометрию орбитальных сферичных имплантатов не приводит к повышению результатов косметического протезирования у пациентов, увеличивает процент обнажения имплантатов на разных сроках после операции и вызывает проявления анофтальмического синдрома.
Полный текст
АКТУАЛЬНОСТЬ
За последние десятилетия в микрохирурги произошли значительные успехи в разработке и создании уникальных хирургических технологий. Этому в немалой степени способствовало и создание новых полимерных материалов в качестве имплантатов для замещения функций утраченных органов и недостающих объёмов [1].
Параллельно с созданием новых материалов успешно развиваются и методы оценки биологической безопасности новых и известных полимеров и имплантатов на их основе, влияние модельных сред (имитирующих различные условия организма человека) на стабильность исходной структуры имплантируемых материалов [2].
При разработке полимерных изделий учитываются основные и специфические условия нахождения имплантата в живых тканях — наличие движения окружающих имплантат тканей, возможности инфицирования, моделирование условий воспаления в организме, где находится полимерный материал и т. д. [3–5].
С середины ХХ в. успешно разрабатываются и внедряются в клиническую практику орбитальные имплантаты для формирования опорной культи при операциях удаления глазного яблока [6–12].
В настоящий момент на территории Российской Федерации сертифицированы и реализуются несколько видов полимерных сферичных имплантатов-эндопротезов. Согласно отечественным литературным данным, орбитальные сферичные имплантаты на основе материала политетрафторэтилена (ПТФЭ) показали хорошую приживляемость и стабильность в тканях орбиты [13].
Для визуализации орбитальных структур используется ряд методов, наиболее информативным из которых является мультиспиральная компьютерная томография (МСКТ). С помощью МСКТ глазниц можно полноценно охарактеризовать все структуры орбиты, в том числе установленные имплантаты [14, 15].
Цель работы — изучение особенностей клинических проявлений и рентгенологической картины тканей глазницы после имплантации полимерного вкладыша из ПТФЭ с внесёнными интраоперационными изменениями в конструкцию изделия.
МАТЕРИАЛЫ И МЕТОДЫ
Нами обследовано 30 пациентов (12 мужчин и 18 женщин) с анофтальмом (операции выполнены различными хирургами в нескольких медицинских учреждениях) с имплантацией вкладышей (орбитальных сфер). Материал имплантата — пористый ПТФЭ отечественного производства. Срок после операции — от 6 мес. до 7,5 лет при плановых консультациях и обращениях для замены косметического протеза. 22 пациента предъявляли жалобы на отделяемое из конъюнктивальной полости. Характер отделяемого — от слизистого до гнойного.
Пациентам проводили МСКТ по единому алгоритму «Глазница» (параметры сканирования) с последующим построением мультипланарных реконструкций и анализом полученных изображений, согласно разработанному алгоритму [16].
РЕЗУЛЬТАТЫ
В результате проведённых исследований нами выявлено, что 28 пациентов предъявляли жалобы на западение протеза (рис. 1), 2 пациента — на «выстояние глазного протеза» (рис. 2), 25 — на постоянное отделяемое из конъюнктивальной полости, 7 человек — на неприятные ощущения в анофтальмической орбите при движении глаз, 6 — на частое обращение за новым протезом.
Рис. 1. Пациент, 61 год, 4 года после операции: а — анофтальмический синдром слева, западение косметического протеза, углубление верхней орбито-пальпебральной борозды, птоз верхнего века; b — без протеза, отделяемое в полости, уплощённая передняя поверхность культи, глубокий верхний свод. Состояние после операции с введением имплантата с изменённой геометрией
Fig. 1. Patient, 61 y. o., 4 years after surgery: a — left-side anophthalmos, retraction of the cosmetic prosthesis, deepening of the upper orbito-palpebral sulcus, ptosis; b — without the prosthesis, discharge in the cavity, flattened anterior surface of the stump, deep upper fornix. State after surgery with the introduction of an implant with modified geometry
Рис. 2. Пациент, 34 года. 3 года после операции: a — выстояние наружного протеза левого глаза, деформация и растяжение век, растяжение конъюнктивальной полости; b — МРТ-исследование. Стрелкой показана передняя поверхность имплантата с измененной геометрией
Fig. 2. Patient, 34 y. o. 3 years after surgery: a — exophthalmos of the left prosthesis, deformation and stretching of the eyelids, of the conjunctival cavity; b — MRI-exam. The arrow shows the front surface of the implant with modified geometry
Из имеющейся на руках у пациентов медицинской документации нами было установлено, что анофтальм был следствием выполнения различных вмешательств: энуклеации (23), эвисцерации в различных методиках проведения (7).
При общем офтальмологическом осмотре на щелевой лампе нами были выявлены следующие особенности: растяжение кожи верхнего и нижнего века (23), птоз верхнего века различной степени выраженности (23), ограничение подвижности опорно-двигательной культи в основных позициях взора (20). При пальпации анофтальмической орбиты у 4 пациентов выявлена слабая болезненность в мягких тканях орбиты, у 8 человек при небольшом нажатии на ткани наружный протез легко выскальзывал из конъюнктивальной полости. После снятия наружного косметического протеза нами установлено, что у 20 пациентов наружные протезы были из пластмассы, а у 10 — из стекла. Характер поверхности косметических протезов у всех обследованных пациентов был примерно одинаков — без трещин, сколов, шероховатостей и явных поверхностных дефектов. Все пациенты регулярно протезировались в Лаборатории сложного глазного протезирования (Санкт-Петербург) в рекомендованные сроки. При осмотре конъюнктивальной полости нами выявлено, что передняя поверхность опорной культи у 22 пациентов неправильной формы: с усечением верхневнутреннего квадранта — у 6 человек, верхненаружного квадранта — у 4, нижневнутреннего — у 9, и нижненаружного — у 3 пациентов.
Наличие шовного материала выявлено у 5 оперированных пациентов (рис. 3, 4), у 3 пациентов были неоднократные попытки наложения швов для закрытия дефекта конъюнктивы. У 21 осмотренного пациента поверхность культи была покрыта конъюнктивой, у 9 — выявлены её дефекты (рис. 5). У 6 больных в сводах отмечены грануляционные изменения и рубцовые деформации слизистой оболочки культи и сводов (рис. 6).
Рис. 3. Пациент, 45 лет. Узлы нерассасывающегося шовного материала на передней поверхности опорной культи
Fig. 3. Patient, 45 y. o. Knots of non-absorbable material on the front surface of the stump
Рис. 4. Шовный материал на передней поверхности культи. Обнажение имплантата (фото-щелевая лампа)
Fig. 4. Suture material on the stump, implant exposure (photo slit lamp)
Рис. 5. Пациент, 28 лет. 2 года после операции. Дефект эпителия над поверхностью имплантата с изменённой геометрией, хронический конъюнктивит
Fig. 5. Patient, 28 y. o. 2 years after surgery. Defect of the epithelium above the surface of the implant with modified geometry, chronic conjunctivitis
Рис. 6. Пациент, 42 года. 3 года после операции. Грануляции в конъюнктивальной полости анофтальмической орбиты
Fig. 6. Patient K., 42 y. o. 3 years after surgery. Granulation in the conjunctivas cavity of the anophthalmic orbit
При анализе рентгенологических изображений после выполнения МСКТ-диагностики у всех обследованных пациентов по описанному ранее алгоритму [16] нами было выявлено изменение размеров и геометрии орбитальных сфер в виде «срезанной» части (рис. 8). Параметры изменённой части, как и размеры самих имплантатов, были различны (табл. 1–3). Исходные параметры (диаметры) орбитальных сфер — 18, 19 и 20 мм. При компьютерно-томографическом исследовании на полученных изображениях мы анализировали размеры имплантированных материалов, определяя объём вкладышей через радиус и высоту срезанной части по формуле: V = 1/3πh2(3r – h), где π — константа, равная 3,14; r — радиус шара; h — высота шарового сегмента имплантата.
Таблица 1. Параметры исследованных имплантатов (при базовых значениях диаметра, 2r, 20 мм и объёме сферы V = 4,186)
Table 1. Parameters of the investigated implants (at basic values of the diameter 20 mm and volume of the sphere V = 4.186)
№ пациента | Высота до срезанной части (h) | Объём оставшегося имплантата, см3 | Разница объёмов |
1 | 15 | 3,535 | 0,651 |
2 | 15 | 3,535 | 0,651 |
3 | 16 | 3,754 | 0,432 |
4 | 16 | 3,754 | 0,432 |
5 | 16 | 3,754 | 0,432 |
6 | 16 | 3,754 | 0,432 |
7 | 16 | 3,754 | 0,432 |
8 | 16 | 3,754 | 0,432 |
9 | 16 | 3,754 | 0,432 |
10 | 16 | 3,754 | 0,432 |
11 | 16 | 3,754 | 0,432 |
12 | 17 | 3,935 | 0,251 |
13 | 17 | 3,935 | 0,251 |
14 | 17 | 3,935 | 0,251 |
15 | 18 | 4,072 | 0,114 |
Таблица 2. Параметры исследованных имплантатов (при базовых значениях диаметра, 2r, 19 мм и объёме сферы V = 3,583)
Table 2. Parameters of the investigated implants (at basic values of the diameter 19 mm and volume of the sphere V = 3.583)
№ пациента | Высота до срезанной части (h) | Объём оставшегося имплантата, см3 | Разница объёмов |
1 | 15 | 3,181 | 0,402 |
2 | 15 | 3,181 | 0,402 |
3 | 15 | 3,181 | 0,402 |
4 | 15 | 3,181 | 0,402 |
5 | 15 | 3,181 | 0,402 |
6 | 15 | 3,181 | 0,402 |
7 | 15 | 3,181 | 0,402 |
8 | 16 | 3,351 | 0,232 |
9 | 16 | 3,351 | 0,232 |
10 | 16 | 3,351 | 0,232 |
11 | 16 | 3,351 | 0,232 |
Таблица 3. Параметры исследованных имплантатов (при базовых значениях диаметра, 2r, 18 мм и объёме сферы V = 3,047)
Table 3. Parameters of the investigated implants (at basic values of the diameter 18 mm and volume of the sphere V = 3.047)
№ пациента | Высота до срезанной части (h) | Объём оставшегося имплантата, см3 | Разница объёмов |
1 | 14 | 2,669 | 0,378 |
2 | 14 | 2,669 | 0,378 |
3 | 15 | 2,828 | 0,219 |
4 | 15 | 2,828 | 0,219 |
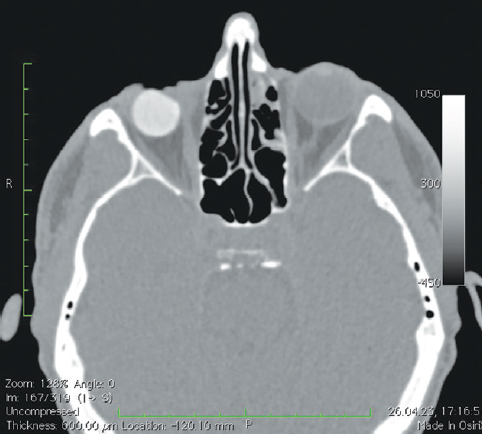
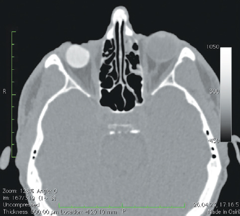
Анализируя полученные данные, мы установили, что размеры изменённой геометрии имплантированных орбитальных вкладышей отличались, потери объёма при исходном диаметре 20 мм составили в среднем 0,4038 см3, при диаметре 19 мм — 0,340 см3, при диаметре 18 мм — 0,298 см3 (рис. 7–11).
Рис. 7. Пациентка, 32 года. 3 года после операции с имплантацией эндопротеза с изменённой геометрией. МСКТ-исследование глазниц
Fig. 7. Patient, 32 y. o. 3 years after surgery with implantation of an endoprosthesis with modified geometry. MSCT of the socket
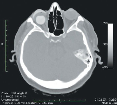
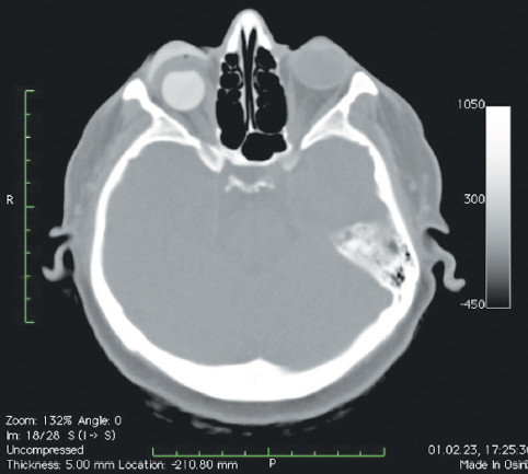
Рис. 8. Пациент, 21 год. 2,5 года после операции с имплантацией эндопротеза с изменённой геометрией. МСКТ-исследование
Fig. 8. Patient, 21 y. o. 2,5 years after surgery with implantation of an endoprosthesis with modified geometry. MSCT of the socket
Рис. 9. Пациент, 57 лет. 3 года после операции с имплантацией эндопротеза с изменённой геометрией, дефект передней поверхности культи, обнажение края имплантата. МСКТ-исследование
Fig. 9. Patient, 57 y. o. 3 years after surgery with implantation of an endoprosthesis with modified geometry. Defect of the anterior surface of the stump, exposure of the orbital implant
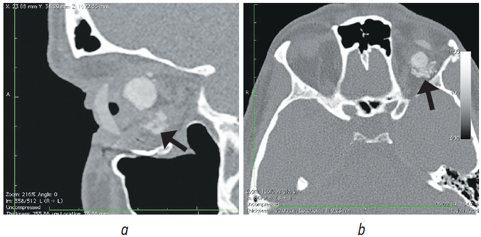
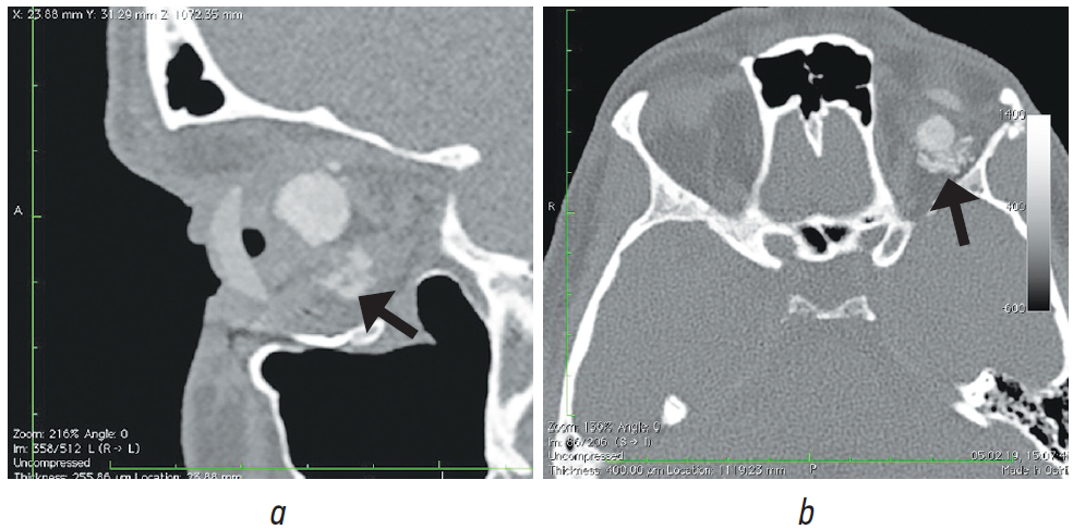
Рис. 10. Пациентка, 42 года. Состояние после операции с использованием имплантата с изменённой геометрией (a) и множественными фрагментами из такого же материала в тканях орбиты (b, показано стрелками)
Fig. 10. Patient, 42 y. o. The state after surgery using an implant with modified geometry (a), and multiple fragments of the same material in the tissues of the orbit (b, shown by arrows)
Рис. 11. Пациентка, 33 года: а — общий вид конъюнктивальной полости без протеза. Отёк конъюнктивальной оболочки культи и анофтальмической полости; b — МСКТ-исследование. Гипертрофия мягких тканей кпереди от имплантата с изменённой геометрией. Тонкостенный протез; c — общий вид с протезом. Деформация век, выстояние тонкостенного протеза за счёт гипертрофии и отёка мягких тканей
Fig. 11. Patient, 33 y. o.: a — general view of the conjunctival cavity without prosthesis. Edema of the conjunctiva covering the stump and anophthalmic cavity; b — MSCT study. Soft tissue hypertrophy anterior to the implant with modified geometry. Thin-walled prosthesis. c — general view with prosthesis. Deformation of eyelids, protrusion of a thin-walled prosthesis due to hypertrophy and edema of soft tissues
Таким образом, в результате изменения геометрии орбитальные имплантаты, на наш взгляд, не в полной мере будут выполнять одну из своих функций — восполнять объём опорной культи. Клинически это выражается в смещении передней поверхности сформированной культи вглубь орбиты, при дальнейшей реабилитации у таких пациентов специалист-глазопротезист будет вынужден изготавливать более выпуклую (за счёт толщины) форму наружного протеза, что приведёт к установке в полость протеза более тяжёлого по весу, что повлияет на его подвижность.
В мягких тканях вокруг изменённых имплантированных сфер нами выявлены уплотнения, без признаков кальцинации и деструкции стенок орбиты (рис. 7, 8). Кроме того, у одной пациентки было отмечено не только изменение геометрии сферы в виде срезанной части (рис. 10, а), но и наличие множества фрагментов полимерного материала идентичной рентгенологической плотности. Эти фрагменты имплантата находились за задним полюсом полимерного вкладыша в мягких тканях до вершины орбиты (рис. 10, b).
Вышеперечисленные жалобы, разнообразие выявленной клинической картины и рентгенологических находок у обследованных нами пациентов при проведении МСКТ-исследования глазниц позволили предложить пациентам индивидуально составленный план лечения. Основу такого плана составило вмешательство в объёме проведения реконструктивной операции с заменой имплантата с измёненной геометрией на промышленно выпускаемые, рассчитанные с учётом параметров парной орбиты. При последующем выявлении у пациента остаточного дефицита объёма мягких тканей глазницы рекомендована дальнейшая коррекция недостатка объёма с использованием других хирургических методик [17].
ОБСУЖДЕНИЕ ПОЛУЧЕННЫХ РЕЗУЛЬТАТОВ
Внесение конструктивных изменений интраоперационно и непосредственно перед имплантацией в ткани пациента — практика, которая использовалась в офтальмохирургии в период второй половины ХХ в., когда не было накоплено достаточных знаний о воздействии полимеров на ткани организма, и изучение токсичности и оценка биобезопасности имплантатов носили приблизительный характер. В последующие годы производители неуклонно повышали качество выпускаемых полимерных имплантатов, использовали самые передовые методики оценки токсичности готовых изделий в связи с изменением законодательства в ряде стран в сторону ужесточения требований к биобезопасности полимерных имплантатов [18].
Непромышленный ручной (кустарный) способ изменения геометрии, иными словами — отсечение ножницами или скальпелем части полимерного имплантата, на наш взгляд, имеет несколько негативных моментов.
Во-первых, механическое воздействие не сопровождается обработкой краёв отсечённой поверхности полимерного изделия, что технически невозможно качественно выполнить в процессе операции. Оставленный острый край имплантата в последующем при нахождении в тканях орбиты способствует не только контурированию края вкладыша-имплантата, истончению покрывающих его тканей, но и способствует образованию дефекта покровных мягких тканей (теноновой оболочки и конъюнктивы) над «срезанной» зоной (рис. 5). C учётом активного движения сформированной опорной культи и плотного контакта с наружным косметическим протезом, который должен прилежать своей задней поверхностью к передней поверхности сформированной опорной культи, используя при этом силы капиллярного сцепления, это изменение формы передней поверхности культи только усиливается. Смещение (ротация) «срезанной поверхности» имплантата по непрогнозируемому вектору в процессе раневого заживления приводит к неравномерному профилю опорной культи, неполному его прилеганию к наружному протезу и появлению условий для образования «свободных пространств» между культей и задней поверхностью наружного протеза. Такое пространство или пространства в короткий срок заполняются загустевающей слезой и создают благоприятные условия для развития инфекционных процессов в конъюнктивальной полости анофтальмической орбиты, способствуют хроническому воспалению век, появлению и усилению признаков синдрома DASS — синдрома сухой анофтальмической полости [19].
Во-вторых, сам имплантат приобретает другие биомеханические характеристики после изменения геометрии и может смещаться в тканях глазницы в процессе формирования капсулы в условиях постоянного движения культи, особенно после энуклеации (рис. 10, b).
В-третьих, при изменении геометрии имплантата-эндопротеза нарушаются его объёмные характеристики в сторону его уменьшения, как показано в нашей работе (рис. 1), и с учётом исчезновения отёка в тканях глазницы через 4–6 мес. после операции возникает симптомокомплекс «недостаточности орбитального объёма» — смещение культи, углубление орбитопальпебральной борозды верхнего века и опущение верхнего века, недостаточных объёмов движений опорной культи и наружного протеза. В последующие сроки эти процессы в тканях орбиты только усиливаются.
В-четвертых, на границе изменённого полимера имплантата возникают непредельные связи [20], которые, на наш взгляд, могут проявлять свои токсические свойства, что клинически может быть выявлено в виде асептического воспалительного процесса с гипертрофией мягких тканей глазницы (рис 11, а). Увеличение объёма мягких тканей около опорно-двигательной культи (рис. 11, b) напрямую влияет на качество наружного глазного протезирования и внешний вид пациента (рис. 11, с).
Любому пациенту, которому предстоит операция по удалению глазного яблока, хочется получить в послеоперационном периоде высокую подвижность не только сформированной опорной культи, но и подвижность косметического протеза. При этом оперированные обращают внимание и на характеристики верхнего века, в частности, на профиль верхней орбито-пальпебральной борозды, состояние нижнего века. При правильном расчёте параметров орбитальной сферы без изменения её геометрии и щадящем характере оперативного вмешательства, адекватном и своевременном косметическом индивидуальном протезировании в послеоперационном периоде минимизируются условия возникновения западения верхнего века. Следует учитывать и все предоперационные параметры оперируемого глазного яблока, выявлять степень субатрофии мягких тканей и наличие костных деформаций оперируемой и парной глазницы [15].
В ситуациях, когда происходят ятрогенные изменения в интраоперационной геометрии орбитальной сферы, уменьшается объём полимерного имплантата на произвольную величину сразу в процессе имплантации, гарантированно станет причиной западения верхнего века после исчезновения отёков в мягких тканях орбиты на этапе косметического протезирования. Решение проблемы западения только подбором и установкой наружного протеза большего размера приведёт к появлению или усилению лагофтальма и дополнительным нагрузкам на нижнее веко у этих пациентов.
ЗАКЛЮЧЕНИЕ
Таким образом, операции, направленные на формирование опорно-двигательной культи, должны выполняться с использованием микрохирургической техники под увеличением, с введением индивидуально рассчитанных орбитальных сферичных имплантатов без каких-либо внесений изменений в их геометрию с надёжным покрытием тканями для профилактики возможного их истончения над поверхностью полимерного материала. В случае выявления дефектов тканей над поверхностью имплантатов необходима микрохирургическая обработка раны с заменой имплантируемого материала — при этом сроки отсроченной имплантации решаются в индивидуальном порядке.
ДОПОЛНИТЕЛЬНАЯ ИНФОРМАЦИЯ
Вклад авторов. Все авторы внесли существенный вклад в разработку концепции, проведение исследования и подготовку статьи, прочли и одобрили финальную версию перед публикацией. Личный вклад каждого автора: Д.В. Давыдов — концепция и дизайн исследования, анализ полученных данных, написание текста, обзор литературы; Н.А. Баранова — сбор и обработка материала, обзор литературы.
Источник финансирования. Авторы заявляют об отсутствии внешнего финансирования при проведении исследования.
Конфликт интересов. Авторы декларируют отсутствие явных и потенциальных конфликтов интересов, связанных с публикацией настоящей статьи.
Информированное согласие на публикацию. Авторы получили письменное согласие пациентов на публикацию медицинских данных и фотографий.
ADDITIONAL INFORMATION
Authors’ contribution. Thereby, all authors made a substantial contribution to the conception of the study, acquisition, analysis, interpretation of data for the work, drafting and revising the article, final approval of the version to be published and agree to be accountable for all aspects of the study. Personal contribution of each author: D.V. Davydov — concept and design of the study, analysis of the data obtained, writing the text, literature review; N.A. Baranova — collection and processing of material, literature review.
Funding source. This study was not supported by any external sources of funding.
Competing interests. The authors declare that they have no competing interests.
Consent for publication. Written consent was obtained from the patients for publication of relevant medical information and all of accompanying images within the manuscript.
Об авторах
Дмитрий Викторович Давыдов
Московский научно-исследовательский онкологический институт им. П.А. Герцена; Диагностический центр № 7 (глазной) для взрослого и детского населения
Автор, ответственный за переписку.
Email: d-davydov3@yandex.ru
ORCID iD: 0000-0001-5506-6021
http://www.doctordavydov.com
профессор, заведующий отделом онкопластической хирургии
Россия, Москва; Санкт-ПетербургНадежда Александровна Баранова
Диагностический центр № 7 (глазной) для взрослого и детского населения
Email: baranova-n@bk.ru
врач-офтальмолог, заведующая лабораторией сложного глазного протезирования
Россия, Санкт-ПетербургСписок литературы
- Платэ Н.А., Валуев Л.И. Полимеры в контакте с живым организмом. Москва: Знание, 1987. 48 с.
- Перова Н.В. Дифференцированный подход к доклинической оценке биологической безопасности имплантатов: автореф. дис. … д-ра биол. наук. Москва, 2004.
- Трансплантология: итоги и перспективы. 2011. Т. 3 / под ред. С.В. Готье. Москва; Тверь: Триада, 2012. 416 с.
- Перова Н.В., Севастьянов В.И. Особенности испытаний медицинских изделий // Партнеры и конкуренты. 2002. № 6. С. 37–40.
- Федоров С.Н., Давыдов Д.В., Васильев А.В., и др. Применение культур постнатальных фибробластов кожи человека в офтальмотоксикологических исследованиях // Офтальмохирургия. 1998. № 3. С. 49–53.
- Иволгина И.В., Фабрикантов О.Л. Особенности применения различных имплантатов для формирования опорно-двигательной культи после энуклеации и анализ результатов // Практическая медицина. 2018. Т. 16, № 4. С. 129–132.
- Бакаева Т.В. Современные биоинтегрируемые имплантационные материалы, применяемые в хирургии орбиты. Экспериментально-клиническое исследование: автореф. дис. … канд. мед. наук. Москва, 2011. 24 с.
- Давыдов Д.В., Валуев Л.И., Сытов Г.А., и др. Гидрогели в реконструкции анофтальмической орбиты // Материалы III Международной конференции: «Современные подходы к разработке перевязочных средств, шовного материала и полимерных имплантатов». Москва, 1998. С. 310–311.
- Shevchenko L., Boss J., Shah C.T., et al. Alphasphere as a successful ocular implant in primary enucleation and secondary orbital implant exchange // Orbit. 2013. Vol. 32, No. 3. P. 161–165. doi: 10.3109/01676830.2013.772208
- Karesh J.W., Dresner S.C. High-density porous polyethylene (Medpor) as a successful anophthalmic socket implant // Ophthalmology. 1994. Vol. 101, No. 10. P. 1688–1695. doi: 10.1016/S0161-6420(94)31114-6
- Wang J.-K., Lai P.-C., Liao S.L. Late exposure of the bioceramic orbital implant // Am J Ophthalmol. 2009. Vol. 147, No. 1. P. 162–170.e1. doi: 10.1016/j.ajo.2008.05.001
- Wells T.S., Harris G.J. Direct fixation of extraocular muscles to a silicone sphere: a cost-sensitive, low-risk enucleation procedure // Ophthalmic Plast Reconstr Surg. 2011. Vol. 27, No. 5. P. 364–367. doi: 10.1097/IOP.0b013e31821c1298
- Николаенко В.П., Астахов Ю.С. Современные материалы для изготовления орбитальных имплантатов // Офтальмологические ведомости. 2008. Т. 1, № 2. С. 35–40.
- Лежнев Д.А., Костенко Д.И., Привалова Е.Г. Возможности современных томографических технологий в диагностике и послеоперационном контроле травм и посттравматических деформаций средней зоны лица // Медицинская визуализация. 2015. № 4. С. 91–100.
- Павлова О.Ю. Лучевая диагностика травматических повреждений средней зоны челюстно-лицевой области на до- и послеоперационных этапах лечения: автореф. дис. … канд. мед. наук. Москва, 2019. 24 с.
- Павлова О.Ю., Серова Н.С. Протокол мультиспиральной компьютерной томографии в диагностике травм средней зоны лица // Российский электронный журнал лучевой диагностики. 2016. Т. 6, № 3. С. 48–53. doi: 10.21569/2222-7415-2016-6-3-48-53
- Табет А.А.А. Коррекция остаточных посттравматических деформаций периорбитальных тканей индивидуальными силиконовыми имплантатами: автореф. дис. … канд. мед. наук. Москва, 2011.
- Перова Н.В. Дифференцированный подход к доклинической оценке биологической безопасности имплантатов: автореф. дис. … д-ра биол. наук. Москва, 2004. 53 с.
- Rokohl A.C., Trester M., Guo Y., et al. Dry anophthalmic socket syndrome — Standardized clinical evaluation of symptoms and signs // Ocul Surf. 2020. Vol. 18, No. 3. P. 453–459. doi: 10.1016/j.jtos.2020.05.001
- Перова Н.В., Довжик И.А., Севастьянов В.И. Оценка биологического действия медицинских изделий (токсикологические исследования) // Вестник Росздравнадзора. 2015. № 3. С. 26–28.
Дополнительные файлы















