Acute retinal pigment epitheliitis (clinical cases)
- Authors: Doktorova T.A.1,2, Panfilova A.N.3, Suetov A.A.1,4
-
Affiliations:
- Saint Petersburg Branch S. Fyodorov Eye Microsurgery Federal State Institution
- North-Western State Medical University named after I.I. Mechnikov
- Ophthalmological center “Vision”
- State Research and Testing Institute of Military Medicine
- Issue: Vol 17, No 1 (2024)
- Pages: 79-88
- Section: Case reports
- Submitted: 25.12.2023
- Accepted: 06.02.2024
- Published: 09.03.2024
- URL: https://journals.eco-vector.com/ov/article/view/624997
- DOI: https://doi.org/10.17816/OV624997
- ID: 624997
Cite item
Abstract
Acute retinal pigment epitheliitis (Krill’s disease) is a rare idiopathic self-limiting inflammatory macular disease. The article presents the results of multimodal dynamic imaging in 2 patients with acute retinal pigment epitheliitis, including, for the first time ever, the results of optical coherence tomography-angiography, suggesting the pathogenetic significance of changes in perfusion in the choriocapillaris for the development of this disease.
Full Text
INTRODUCTION
In routine ophthalmological practice, the diagnosis of some retinal and choroidal diseases can be difficult, not only because of their rarity, but also because of the potential for poor ophthalmoscopic data during a routine examination. The emergence of new diagnostic methods, in particular optical coherence tomography (OCT), and the use of a multimodal approach allow describing new forms of retinal pathology and studying the characteristics of associated structural and functional disorders. Acute retinal pigment epitheliitis (ARPE), or Krill disease, was one of such diseases. It was first described in 1972, but its morphology was studied more than 20 years later with the advent of OCT [1, 2]. However, the etiopathogenesis and possible long-term effects of ARPE on fundus structures, as well as its treatment, are only known based on case reports.
The aim of the study was to describe ARPE case series using the multimodal approach.
CASE REPORT NO. 1
In January 2023 patient A., female, 27 y. o., was sent from the outpatient clinic to the St. Petersburg branch of the National Research Institute of Ophthalmology S.N. Fedorov Cross-Sectoral Research and Technology Center “MNTK “EYE MICROSURGERY” of the Russian Ministry of Health (MNTK) due to a fixed “spot” in the center of the visual field of the right eye. According to the patient’s medical history, 5 days before admission to MNTK, the patient suddenly developed symptoms that she associated with an acute respiratory viral infection she had the day before, with a rise in body temperature to 39°C, for which she received conservative treatment for 2 weeks.
On examination, visual acuity was 0.06 sph (–) 4.0 D = 0.8 in the right eye and 0.1 sph (–) 2.5 D = 1.0 in the left eye. Intraocular pressure (IOP) by Maklakov method in the right and left eyes was 17/18 mmHg. On biometry, the anteroposterior size of the right/left eyeball was 25.49 mm/25.40 mm, respectively.
The right eye: The ophthalmoscopic examination showed that the foveal area in the fundus had a lighter yellow tint compared to the contralateral eye and it was surrounded by an even lighter rim (depigmented “halo” zone).
The left eye: No abnormalities; the structures were unremarkable.
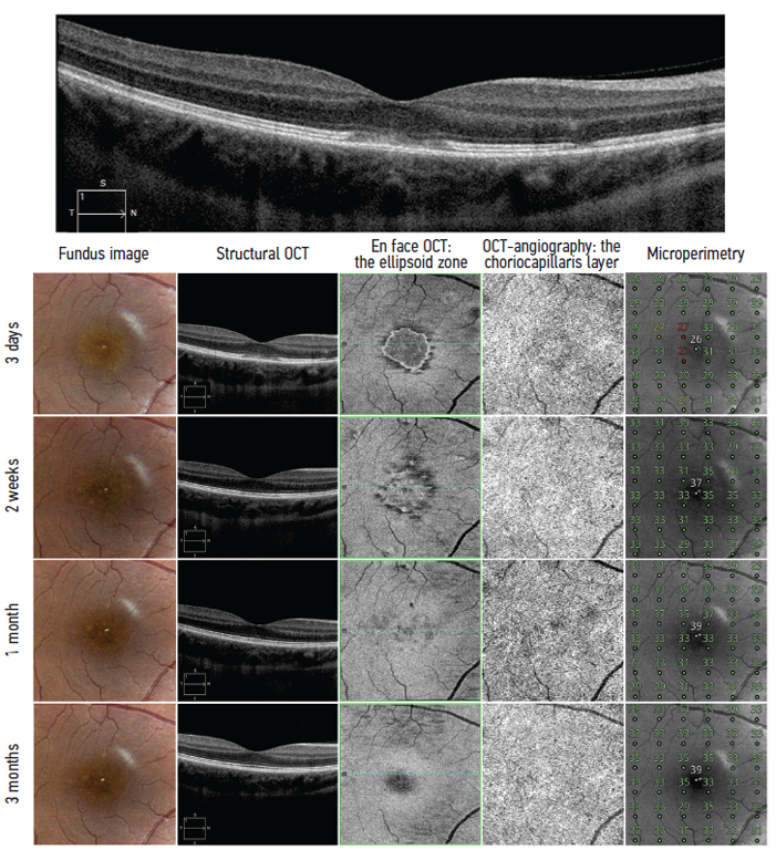
An OCT of the right eye showed a localized hyperreflective defect of the fovea at the level of the outer retina. This defect involved the myoid and ellipsoid zones of the photoreceptors, the outer segments of the photoreceptors, the interface of the photoreceptor segments with the retinal pigment epithelium (RPE) cells, and partially the outer limiting membrane (Fig. 1). Structural OCT sections nasal to the fovea showed another milder defect. According to full-field OCT data with segmentation at the level of the ellipsoid zone, the lesion area was up to 1 optic disc diameter. OCT-angiography showed a mild decrease in reflectivity at the level of the choriocapillaris in the projection of the lesion.
Microperimetry with the 10-2 grid (Compass, CenterVue) in the projection of the lesion at individual test points showed a decrease in light sensitivity, including the fixation point (Fig. 1).
Fig. 1. Results of multimodal diagnostic approach in patient A (explanations in the text)
Рис. 1. Результаты мультимодальной диагностики пациентки А (пояснения в тексте)
Based on the available data, the diagnosis was acute retinal pigment epitheliitis and moderate myopia in the right eye and mild myopia in the left eye.
The management strategy consisted in dynamic follow-up.
A 2-week follow-up examination showed positive changes such as improvement of symptoms, a significant lesion reduction at the level of the ellipsoid zone on full-field OCT, and signs of restoration of the photoreceptor layer structure on structural sections (Fig. 1). In addition, structural OCT sections showed a decrease in the choroidal thickness in the projection of changes. Microperimetry showed increased retinal sensitivity to light in the lesion.
At the 1-month and 3-month follow-up visits, the patient had no complaints; OCT sections showed further complete restoration of the photoreceptor layer structure, and en face mode demonstrated resolution of the lesions at the level of the ellipsoid zone, while microperimetry revealed the increased retinal sensitivity to light at all tested points in the macula.
CASE REPORT NO. 2
Patient B., female, 51 y. o., was admitted to MNTK in January 2023 with complaints of a fixed translucent spot in the center of the visual field of the right eye. The medical history revealed that the symptoms occurred 3 days prior to the admission in the setting of a moderate acute viral respiratory infection.
On examination, visual acuity was 0.6 sph (–) 0.5 D = 0.7 in the right eye and 0.8 sph (+) 0.25 D = 1.0 in the left eye. IOP by Maklakov method in the right and on left eyes was 19/20 mmHg. On biometry, the anteroposterior size of the right/left eyeball was 23.11 mm/22.98 mm, respectively.
The right eye: Ophthalmoscopy revealed focal hypopigmentation in the foveal fundus, predominantly in the inferior half of the fovea, with no other retinal changes.
The left eye: No abnormalities; the structures were unremarkable.
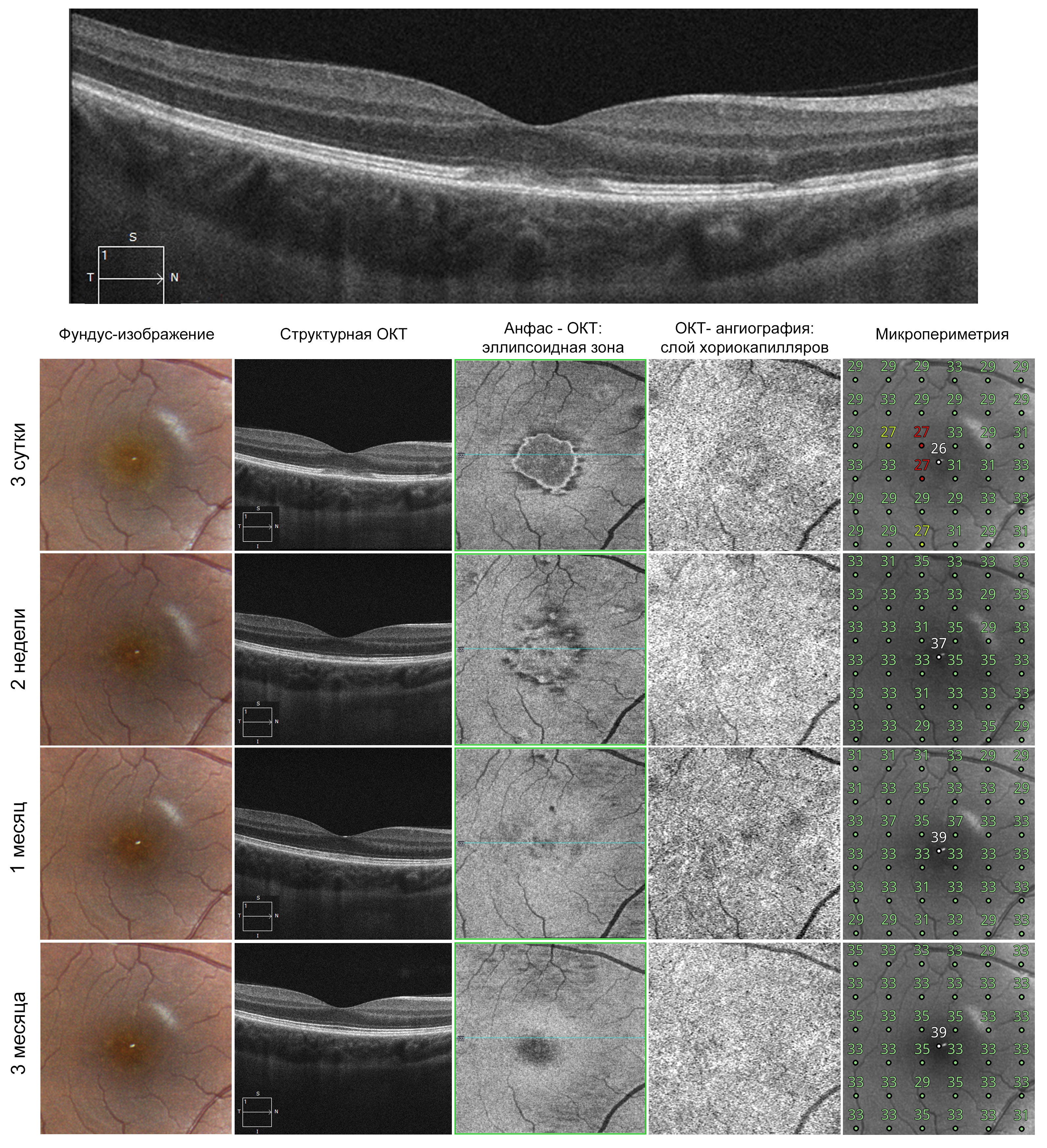
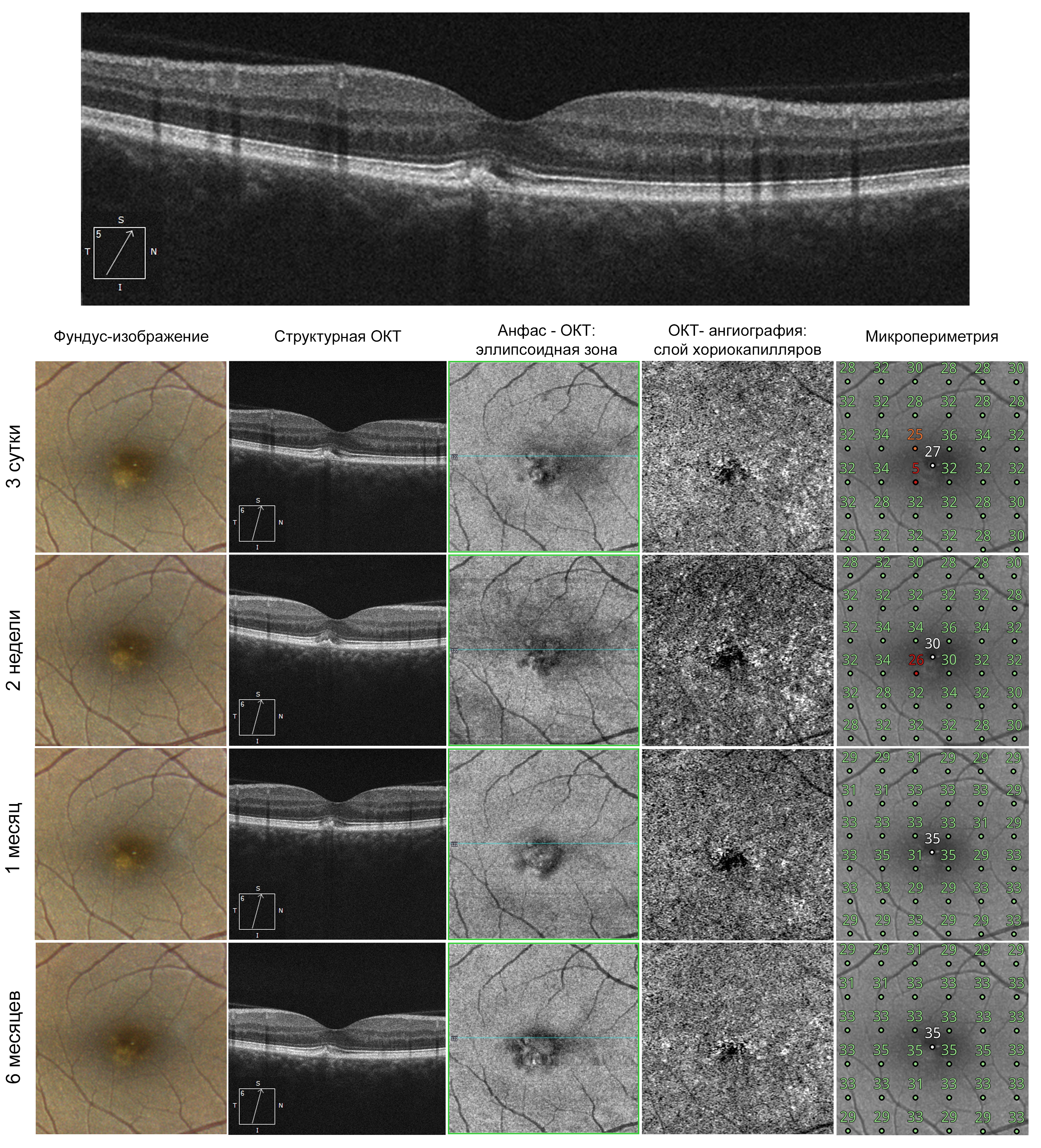
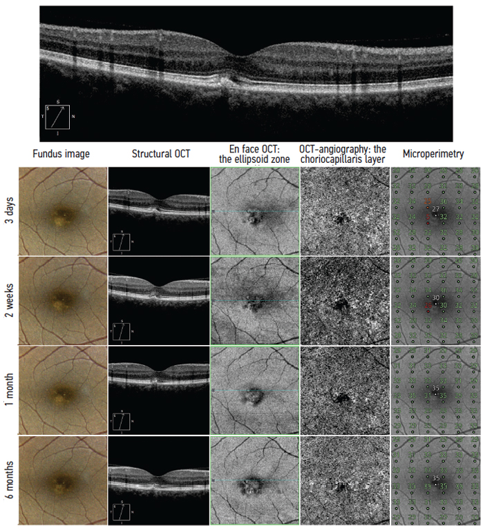
An OCT of the right eye showed a localized defect of the fovea at the level of the outer retina. This defect involved the myoid and ellipsoid zones of the photoreceptors, the outer segments of the photoreceptors, and the interface of the photoreceptor segments with the RPE (Fig. 2). However, hyperreflective material accumulated in the lesion at the RPE level, and the outer limiting membrane over the lesion was deformed, with its integrity preserved. En face OCT with segmentation at the level of the ellipsoid zone showed that the lesion involved the entire foveal region and the area of the lesion was 2/3 of the optic disc diameter. OCT-angiography showed a decrease in vascular signal at the level of the choriocapillaris in the projection of the lesion. However, accurate assessment of the choroidal thickness over time was complicated by signs of pachychoroid phenotype on structural OCT.
As in the first case, microperimetry with the 10-2 grid (Compass, CenterVue) in the projection of the lesion at individual test points showed a decrease in light sensitivity, including the fixation point (Fig. 2).
Fig. 2. Results of multimodal diagnostic approach in patient B (explanations in the text)
Рис. 2. Результаты мультимодальной диагностики пациентки Б. (пояснения в тексте)
Based on the available data, the diagnosis was acute retinal pigment epitheliitis and mild myopia in the right eye and mild hyperopia in the left eye.
The management strategy consisted in dynamic follow-up.
A 2-week follow-up examination showed no positive changes: complaints persisted; the full-field OCT area of the lesion did not change at the level of the ellipsoid zone, and focal changes remained on structural sections; hyperreflective material at the RPE level became more structured and compact, while there was no evidence of detachment or cystic changes in the neural retina (Fig. 2).
At 1-, 3-, and 6-months follow-up visits, the complaints remained the same, although the intensity of the spot in the visual field decreased; the best corrected visual acuity was restored to 1.0 at 1 month, and the structural OCT sections showed that the defect persisted, the ellipsoid zone remained partially damaged, and the en face area of its lesion was unchanged (Fig. 2).
DISCUSSION
Acute retinal pigment epitheliitis (ARPE) is a rare, transient, idiopathic disease of the macula that occurs predominantly in young people and is not associated with any concomitant systemic disease [3]. In 1972, Alex E. Krill and August F. Deutman first described 6 cases of ARPE. The authors reported the general patterns of the disease, such as a relatively young age of all patients, an acute onset with a sharp decrease in visual acuity and development of a relative central scotoma, ophthalmoscopic manifestations in the form of one or more rounded spots darker than the rest of the retina surrounded by a brighter halo, and complete or almost complete recovery of vision within 6–12 weeks [1].
There is no reliable information on the prevalence of ARPE, including in different ethnic groups. The age of the patients in most of the described cases was between 20 and 50 years. For example, in the first report of ARPE, the age of the patients ranged from 16 to 46 years [1]. In the largest series of 18 ARPE cases reported in the literature, age ranged from 22 to 51 years with a mean of 38 years [4]. Cases of ARPE are reported as equally frequent in men and women. However, some studies indicate a predominance in male patients [4].
Patients with ARPE typically present with a sharp, painless decrease in visual acuity, a spot of varying transparency in the center of the visual field, and metamorphopsia. The disease is most commonly unilateral, but cases of bilateral involvement have also been reported [5]. For 1–2 weeks prior to the onset of ARPE, patients may experience prodromal flu-like symptoms.
At functional testing, in addition to a decrease in best corrected visual acuity, en face OCT in the projection of the retinal lesion shows a decrease in light sensitivity at static perimetry, a decrease in the P1 component amplitude in multifocal electroretinography, and decrease in the Arden Ratio in electrooculography [6, 7].
In biomicroophthalmoscopy, typical signs of ARPE in the fundus are small dark spots surrounded by a brighter halo, often located in the fovea, but also in other macular areas [4].
OCT is the main method for diagnosis and monitoring of ARPE. Characteristic changes are raised lesions with abnormal increase in reflectivity at the level of photoreceptor outer segments, with compromised integrity of the photoreceptor myoid and ellipsoid zones and the photoreceptor-RPE interface [4, 7, 8]. In early disease (within 2 days of symptom onset), upward displacement of the outer limiting membrane and mild transient thickening of the RPE–Bruch’s membrane complex may be observed. There is no intraretinal or subretinal fluid around the changes, and no fluid is observed beneath the RPE layer [2]. In en face OCT, the lesion appears as a “cockade” with a hyporeflective center and a hyperreflective rim at the level of the ellipsoid zone, as well as hyperreflective punctate lesions at the level of the outer nuclear layer in the fovea [9].
By monitoring the ARPE resolution with OCT, a specific sequence of retinal structure recovery can be observed [10]. First, the height of the hyperreflective lesion decreases. The profile of the upwardly displaced outer limiting membrane is normalized. Then the abnormal hyperreflectivity in the lesion disappears, and the structure of the outer limiting membrane (4.3±5.2 weeks of disease), the ellipsoid zone (7.3±7.2 weeks), and the photoreceptor-RPE interface (12.5±12.4 weeks) are restored. However, defects in the outer retina and RPE may persist after resolution of the acute ARPE [11–13], as demonstrated in the second case report presented.
The role of OCT angiography in the diagnosis and monitoring of ARPE is not well documented in the literature. Except for a few cases with data on the status of the retinal-choroidal plexus [14, 15], the authors did not describe changes at the choroidal level. In the presented case reports, signs of ischemic changes at the level of the choriocapillaris were found in the projection of focal changes in the outer retina in the acute phase. In the first case, changes in choriocapillaris perfusion with an uneven decrease in angiography signal were seen in the acute phase. The second case showed defects in the form of nonperfusion at the choriocapillaris level. However, possible artifacts related to the shielding effect of altered overlying RPE cannot be excluded. Moreover, structural sections showed localized transient choroidal thickening.
Additional examination methods include retinal fluorescein angiography (FA), indocyanine green angiography (ICGA), and fundus autofluorescence (FAF).
FA showed focal hyperfluorescence in areas of ophthalmoscopically visible hypopigmentation, with no leakage of dye into the surrounding tissues in any phase, and no FA changes in 17% of ARPE cases [4]. Furthermore, different stages of ARPE may have different fluorescence patterns [16].
ICGA shows patchy hyperfluorescence in the early and intermediate phases and a hyperfluorescent cockade-like halo in the late phase of the disease [16].
The pattern of FAF may vary depending on the stage of the process. In early disease, a mild heterogeneous increase in autofluorescence may be observed, and later, as ophthalmoscopically visible changes resolve, FAF detects an increase in autofluorescence with hypoautofluorescent lesions at sites of pigment accumulation [11]. In summary, FAF provides a detailed assessment of residual post-ARPE defects in the RPE, including those that are poorly visualized in ophthalmoscopy.
Despite detailed multimodal imaging-based clinical descriptions in the literature, the etiology and pathogenesis of ARPE remain poorly understood. Prodromal flu-like symptoms prior to the onset of ARPE suggest the triggering influence of viral infections. Some publications have reported the development of ARPE after clinical manifestation of viral hepatitis C or picornavirus infection. However, the retinal lesion does not occur as a result of direct viral infection, but rather as a result of delayed immune responses [15, 17, 18]. The picornavirus family includes enteroviruses and coxsackieviruses, which have been shown to cause acute chorioretinitis, unilateral acute idiopathic maculopathy, and other forms of focal retinal damage morphologically similar to ARPE [8]. However, J. Cho et al. [4] found the presence of previous influenza-like symptoms in only 17% of patients. ARPE has also been described after intravenous administration of a bisphosphonate [19] and after use of a COVID-19 vaccine [15, 20].
The clinical presentation of ARPE is thought to be caused by transient RPE cell dysfunction or inflammation localized mainly at the interface of the photoreceptor outer segments and RPE. However, it is also possible that both photoreceptor inner segments and cell bodies are involved in the edema [4]. Since the ARPE lesion is localized in the macula, it was suggested that its pathogenesis may be closely related to cones and their metabolic characteristics: in the foveal area, phagocytosis of cone outer segments by RPE cells reaches 20–30 μm per day, making this area highly vulnerable to RPE cell dysfunction [8]. RPE cell dysfunction also manifests as subsequent spontaneous complete regression with retinal function restored within 1.5–3 months.
In the case reports presented, OCT-angiography in the projection of focal changes in the outer retinal layers demonstrated transient thickening of the choroid and ischemic changes at the level of the choriocapillaris in the acute phase of ARPE. For the first time, signs of not only choroidal abnormalities but also of possible primary choriocapillaris lesions with secondary involvement of the RPE and photoreceptors are described.
Differential diagnoses of ARPE include acute macular neuroretinopathy, acute idiopathic maculopathy, multiple evanescent white dot syndrome, solar retinopathy, and poppers retinopathy, which also present as acute painless loss of central vision, predominantly monocular in young people, but with their own characteristic clinical manifestations [16, 21–24].
The use of oral steroids was described for the treatment of ARPE but did not accelerate recovery compared to untreated patients. A case of intravenous methylprednisolone in the acute phase was reported with complete resolution of outer retinal defects on Day 5 of follow-up [10, 23, 25]. However, to date, there is no consensus on the need for treatment of ARPE, as the process is self-limiting and characterized by spontaneous resolution and restoration of vision without any intervention [12].
CONCLUSION
ARPE is a rare, idiopathic, self-limiting inflammatory macular disease with a characteristic pattern in multi-modality imaging. The etiology and pathogenesis, the characteristics of the clinical course at different stages of the disease, and the therapeutic options remain poorly described.
OCT is the most sensitive method for diagnosing ARPE, allowing visualization of specific changes in the outer retinal layers in the acute phase of the disease. OCT angiography may provide new data on the characteristics of choriocapillaris perfusion in ARPE and thus contribute to the current understanding of the ARPE pathogenesis.
ADDITIONAL INFORMATION
Authors’ contribution. All authors made a substantial contribution to the conception of the study, acquisition, analysis, interpretation of data for the work, drafting and revising the article, final approval of the version to be published and agree to be accountable for all aspects of the study.
Contribution of each author: T.A. Doktorova, A.N. Panfilova — research concept and design; T.A. Doktorova, A.N. Panfilova, A.A. Suetov — collection and processing of materials, text writing; A.A. Suetov — editing.
Funding source. Not specified.
Competing interests. The authors declare that they have no competing interests.
Consent for publication. Written consent was obtained from the patient for publication of relevant medical information and all of accompanying images within the manuscript.
About the authors
Taisiia A. Doktorova
Saint Petersburg Branch S. Fyodorov Eye Microsurgery Federal State Institution; North-Western State Medical University named after I.I. Mechnikov
Author for correspondence.
Email: taisiiadok@mail.ru
ORCID iD: 0000-0003-2162-4018
SPIN-code: 8921-9738
postgraduate student, ophthalmologis
Russian Federation, 21 Yaroslava Gasheka st., Saint Petersburg, 192283; Saint PetersburgAnastasiya N. Panfilova
Ophthalmological center “Vision”
Email: panfilova@zrenie.spb.ru
ORCID iD: 0000-0002-8191-6090
ophthalmologist
Russian Federation, Saint PetersburgAleksei A. Suetov
Saint Petersburg Branch S. Fyodorov Eye Microsurgery Federal State Institution; State Research and Testing Institute of Military Medicine
Email: ophtalm@mail.ru
ORCID iD: 0000-0002-8670-2964
SPIN-code: 4286-6100
MD, Cand. Sci. (Medicine)
Russian Federation, 21 Yaroslava Gasheka st., Saint Petersburg, 192283; Saint PetersburgReferences
- Krill AE, Deutman AF. Acute retinal pigment epitheliitus. Am J Ophthalmol. 1972;74(2):193–205. doi: 10.1016/0002-9394(72)90535-1
- Hsu J, Fineman MS, Kaiser RS. Optical coherence tomography findings in acute retinal pigment epitheliitis. Am J Ophthalmol. 2007;143(1):163–165. doi: 10.1016/j.ajo.2006.07.052
- Deutman AF. Acute retinal pigment epitheliitis. Ophthalmologica. 1975;171(4–5):361–364. doi: 10.1159/000307549
- Cho HJ, Han SY, Cho SW, et al. Acute retinal pigment epitheliitis: Spectral-domain optical coherence tomography findings in 18 cases. Investig Ophthalmol Vis Sci. 2014;55:3314–3319. doi: 10.1167/iovs.14-14324
- Friedman MW. Bilateral recurrent acute retinal pigment epitheliitis. Am J Ophthalmol. 1975;79(4):567–570. doi: 10.1016/0002-9394(75)90793-x
- Kim JW, Jang SY, Park TK, Ohn Y-H. Short-term clinical observation of acute retinal pigment epitheliitis using spectral-domain optical coherence tomography. Korean J Ophthalmol. 2011;25(3):222–224. doi: 10.3341/kjo.2011.25.3.222
- Gundogan FC, Diner O, Tas A, et al. Macular function and morphology in acute retinal pigment epithelitis. Indian J Ophthalmol. 2014;62(12):1156–1158. doi: 10.4103/0301-4738.149140
- Puche N, Offret O, Bernard JA, Behar-Cohen F. A case of acute retinal pigment epithelitis: Spectral domain optical coherence tomography time course and physiopathologic hypothesis. Clin Ophthalmol. 2010;4:1029–1033. doi: 10.2147/OPTH.S13162
- De Bats F, Wolff B, Mauget-Faÿsse M, et al. B-scan and «en-face» spectral-domain optical coherence tomography imaging for the diagnosis and followup of acute retinal pigment epitheliitis. Case Rep Med. 2013;2013:260237. doi: 10.1155/2013/260237
- Iu LPL, Lee R, Fan MCY, et al. Serial spectral-domain optical coherence tomography findings in acute retinal pigment epitheliitis and the correlation to visual acuity. Ophthalmology. 2017;124(6):903–909. doi: 10.1016/j.ophtha.2017.01.043
- Aydoğan T, Güney E, Akçay BIS, et al. Acute retinal pigment epitheliitis: Spectral domain optical coherence tomography, fluorescein angiography, and autofluorescence findings. Case Rep Med. 2015;2015:149497. doi: 10.1155/2015/149497
- Cho HJ, Lee DW, Kim CG, Kim JW. Spectral domain optical coherence tomography findings in acute retinal pigment epitheliitis. Can J Ophthalmol. 2011;46(6):498–500. doi: 10.1016/j.jcjo.2011.09.012.
- Prost M. Long-term observations of patients with acute retinal pigment epitheliitis. Ophthalmologica. 1989;199(2–3):84–89. doi: 10.1159/000310022
- Hamdan P, Piekuta-Hamdan M, Nowakowska D, et al. Acute retinal pigment epithelitis in a 11-year-old child: case presentation and follow-up using optical coherence tomography angiography and static visual field. Ophthalmol J. 2023;8:46–51. doi: 10.5603/OJ.2023.0014
- Muñoz-Solano J, Fernández-Avellaneda P, Gallego-Pinazo R, Dolz-Marco R. Atypical acute fovealitis in COVID-19 context. Am J Ophthalmol Case Rep. 2022;27:101641. doi: 10.1016/j.ajoc.2022.101641
- Baillif S, Wolff B, Paoli V, et al. Retinal fluorescein and indocyanine green angiography and spectral-domain optical coherence tomography findings in acute retinal pigment epitheliitis. Retina. 2011;31(6):1156–1163. doi: 10.1097/IAE.0b013e3181fbcea5
- Kiliç R. Acute retinal pigment epitheliitis: a case presentation and literature review. Arq Bras Oftalmol. 2021;84(2):186–190. doi: 10.5935/0004-2749.20210028
- Quillen DA, Zurlo JJ, Cunningham D, Blankenship GW. Acute retinal pigment epitheliitis and hepatitis C. Am J Ophthalmol. 1994;118(1):120–121. doi: 10.1016/S0002-9394(14)72859-4
- Gilhotra JS, Gilhotra AK, Holdaway IM, Donaldson ML. Acute retinal pigment epitheliitis associated with intravenous bisphosphonate. Br J Ophthalmol. 2006;90(6):798–799. doi: 10.1136/bjo.2006.092189
- Sasajima H, Zako M, Aoyagi A, et al. Acute retinal pigment epitheliitis following vaccination. Case Rep Ophthalmol. 2022;13(3): 832–837. doi: 10.1159/000527598
- Wu CY, Jansen ME, Andrade J, et al. Acute solar retinopathy imaged with adaptive optics, optical coherence tomography angiography, and en face optical coherence tomography. JAMA Ophthalmol. 2018;136(1):82–85. doi: 10.1001/jamaophthalmol.2017.5517
- Hoang QV, Strauss DS, Pappas A, Freund KB. Imaging in the diagnosis and management of acute idiopathic maculopathy. Int Ophthalmol Clin. 2012;52(4):263–268. doi: 10.1097/IIO.0b013e31826861db
- Bhavsar KV, Lin S, Rahimy E, et al. Acute macular neuroretinopathy: A comprehensive review of the literature. Surv Ophthalmol. 2016;61(5):538–565. doi: 10.1016/j.survophthal.2016.03.003
- dell’Omo R, Pavesio CE. Multiple evanescent white dot syndrome (MEWDS). Int Ophthalmol Clin. 2012;52(4):221–228. doi: 10.1097/IIO.0b013e31826647ed
- Lambat SP, Nangia VB, Nangia PV, et al. Krill’s disease: A newer management option. J Ophthalmic Vis Res. 2023;18(3):334–338. doi: 10.18502/jovr.v18i3.13782






