Ophthalmic assessment of an intensive care ward patients in the first and last wave of the COVID-19. Do they have a difference?
- Authors: Turgel V.A.1, Tultseva S.N.2
-
Affiliations:
- Oftacon Clinic
- Academician I.P. Pavlov First State Medical University
- Issue: Vol 17, No 2 (2024)
- Pages: 7-19
- Section: Original study articles
- Submitted: 18.02.2024
- Accepted: 06.03.2024
- Published: 28.06.2024
- URL: https://journals.eco-vector.com/ov/article/view/627137
- DOI: https://doi.org/10.17816/OV627137
- ID: 627137
Cite item
Abstract
BACKGROUND: The new coronavirus infection (COVID-19) gained the pandemic status in 2020, and despite the fact that since then the virus has become less pathogenic, its virulence has increased by 2023. Well-vascularized organs and tissues, including the retina, represent the target for coronavirus. The etiopathogenesis of COVID-associated retinopathy, first described in 2021, still remains poorly understood, and its forms and occurrence frequency during different periods of the infectious process vary greatly.
AIM: To identify the main characteristics of the COVID-associated retinopathy in patients with moderate and severe COVID-19 course during the acute period of the disease.
MATERIALS AND METHODS: The study, conducted in 2021 (group 1) and 2023 (group 2), included patients with confirmed COVID-19 of moderate to severe course during the first 7 days from the onset of symptoms. Group 1 included 46 people, mean age 65.5 years, and group 2 included 55 people, mean age 69.3 years. The ophthalmologic examination was carried out in the “red zone” and intensive care unit, and included examination of the anterior segment of the eye, indirect ophthalmoscopy, and fundus photography using a portable hand-held digital fundus camera (Smartscope M5, Optomed, Finland). Hypertension, diabetes mellitus, volume of lung damage, invasive mechanical ventilation, and anticoagulant therapy were considered as conditions affecting retinal microcirculation.
RESULTS: The observation groups were homogeneous in terms of gender, age, and concomitant diseases. The incidence of ophthalmoscopic findings in group 1 was 17.3%, and in group 2 — 12.7%. Most often, during the first 7 days of the disease, signs of angiopathy were observed: dilatation of blood vessels, irregularity of their diameter and tortuosity. Among focal changes, there were multiple retinal hemorrhages (6.5% and 3.6%) and cotton wool spots (4.3% and 5.4%). In patients with fundus changes, diabetes mellitus was significantly less common (in group 1, 25% vs. 39%, p < 0.001; in group 2, 28% vs. 44%, p < 0.001), as well as arterial hypertension (in group 1, 55% vs. 66%, p = 0.003; in group 2 28% vs. 83%, p < 0.001). In group 1, there was a higher proportion of patients treated in intensive care unit, as in group 2 (37% vs. 17%, p < 0.001), but in group 2, patients with identified retinal changes were more likely to receive therapeutic doses of anticoagulants (33% vs. 12%, p < 0.001).
CONCLUSION: The main characteristics of COVID-associated retinopathy in patients with moderate to severe COVID-19 during the acute period of the disease are dilatation and pathological tortuosity of the retinal arteries and veins, intraretinal hemorrhages and cotton wool spots. The connection between COVID-associated retinopathy and concomitant to the infectious process cardiovascular conditions has not been established. Retinopathy associated with coronavirus infection, with absolute similarity of clinical manifestations, was significantly more common in 2021 than in 2023.
Full Text
BACKGROUND
The novel coronavirus infection (COVID-19) pandemic caused by the SARS-CoV2 virus has become one of the deadliest in human history [1].
Although it mainly affects the respiratory tract, COVID-19 leads to pronounced changes in the entire vascular bed, causing multiorgan damage [2]. Cardiovascular and nervous systems are involved most often. However, cases of gastrointestinal tract, urinary system, skin, and eye injury have also been reported [3].
Ocular manifestations of COVID-19 include changes in the anterior (conjunctivitis, chemosis, and subconjunctival bleeding) and posterior segments, both inflammatory (uveitis, vitritis) and vascular (retinal vascular occlusion and damage to its capillary bed) [4].
In 2021, Bansal et al. [5] first described the term COVID-19-associated retinopathy, which included retinal vascular changes, retinal hemorrhages, and cotton wool spots observed in several patients during acute and subacute phases of infection. Due to diagnostic challenges in the intensive care unit and epidemiological limitations, there is little information on the frequency of these changes and it is variable. Single studies were performed during the first wave of COVID-19 and evaluated the Wuhan strain [6].
Many coronavirus mutations were reported from 2019 to 2023. New SARS-CoV2 strains are less pathogenic and more virulent, which definitely affects the clinical presentation of the disease [7].
Virus mutations, formation of herd immunity due to mass vaccination, and an increase in the number of cases have led to a decrease in deaths, and extremely severe forms of the disease are less common. The disease has become seasonal. Moreover, there have been reports of latent disease, chronic virus carriers, and post-COVID syndrome lasting up to 6 months. Fragments of SARS-CoV2 RNA are found in the nervous tissue, especially in the retina, many months after the infection onset [8]. Therefore, the study of the frequency of COVID-associated intraocular changes and their features is still relevant and remains an important medical and social task.
The study aimed to identify the main characteristics of COVID-19–associated retinopathy in patients with moderate to severe COVID-19 during the acute phase.
Study objectives
- Ophthalmoscopy in patients with moderate to severe COVID-19 during the acute phase.
- Assessment of the frequency of COVID-19-associated retinopathy in patients receiving treatment in an infectious disease department, including an intensive care unit (ICU).
- Comparative assessment of the frequency and manifestations of COVID-19-associated retinopathy between the pandemic waves in 2021 and 2023.
MATERIALS AND METHODS
This observational, cross-sectional, prospective study was conducted during two periods of the COVID-19 pandemic.
The patients in Group 1 were examined in July and August 2021 in the Department of Infectious Diseases of Pavlov First Saint Petersburg State Medical University; the patients in Group 2 were examined in November and December 2023 in Botkin Clinical Infectious Diseases Hospital. All patients were treated on an inpatient basis in the infectious department following the epidemiological requirements and applicable temporary guidelines at the time of hospitalization (versions 12 and 18, respectively).
Inclusion criteria were diagnosed moderate to severe COVID-19 confirmed by polymerase chain reaction assay of a pharyngeal swab at admission and acute infection phase not exceeding 7 days after the first occurrence of symptoms.
Non-inclusion criteria were age under 18 years, ocular opacities and other conditions challenging assessment of the fundus, and pre-COVID-19 retinal and optic nerve diseases.
Group 1 included 46 patients (30 women, 16 men) aged 46 to 87 years (mean age: 65.5 years). Group 2 included 55 patients (34 women, 21 men) aged 52 to 90 years (mean age: 69.3 years).
Ophthalmological examination was performed only in the “red zone” and ICU and met the epidemiological safety requirements.
The anterior segment was examined once on the assessment day using lateral illumination, indirect ophthalmoscopy (Eurolight e10 ophthalmoscope, Kawe, Germany, 20 D spherical lens), and mydriatic (tropicamide and phenylephrine) fundus photography (Smartscope M5 portable hand-held digital fundus camera, Optomed, Finland). Given conditions of fundus photography with epidemiological limitations and severe condition of patients, the pictures were not required to be of high quality.
Stabilization of comorbidities, main clinical, chemistry, and immunoassay blood parameters, as well as results of chest computed tomography (CT) and saturation were evaluated on the assessment day and on the following days (the entire hospital stay). CT revealed that lung tissue damage was 50% or more, which corresponded to the diagnosed severity of the novel coronavirus infection.
Hypertensive heart disease (HHD) with compensated and uncompensated hypertension was reported in 29 (63%) patients in Group 1 and in 42 (76%) patients in Group 2. At the time of hospitalization, diabetes mellitus (DM) was diagnosed in 17 (37%) patients in Group 1 and 23 (42%) patients in Group 2. Decompensated DM (i.e., clinically significant hyperglycemia) was detected in 8 and 14 patients in Groups 1 and 2, respectively. Hyperglycemia without history of DM was reported in 4 and 2 patients in Groups 1 and 2, respectively. All patients with clinically significant hyperglycemia (>7.5 mmol/L) received basal-bolus insulin therapy. A combination of hypertension and DM with or without hyperglycemia was observed in 15 (32%) patients in Group 1 and 19 (34%) patients in Group 2.
During hospital stay, 19 (41%) patients in Group 1 (11 of them received mechanical ventilation, MV) and 12 (22%) patients in Group 2 (only 3 of them required MV) were transferred to ICU (p < 0.001).
A total of 4 patients in Group 1 and 12 patients in Group 2 received anticoagulants in therapeutic doses, all other patients received preventive doses. In all cases, low-molecular-weight heparin (enoxaparin) was used in a preventive dose of 40 mg/day or in a therapeutic dose of 1 mg/kg of body weight twice daily (Table 1).
Table 1. Main characteristics of patients in groups 1 and 2
Таблица 1. Основные характеристики пациентов в группах 1 и 2
Parameter | Group 1 | Group 2 | p |
Study period | 2021 | 2023 | – |
Patients, eyes | 46 (92) | 55 (110) | 0.730 |
Women | 30 (65%) | 34 (63%) | 0.411 |
Age, years | 65.5 [46; 87] | 69.3 [52; 90] | 0.546 |
Hypertensive heart disease | 29 (63%) | 42 (76%) | <0.001 |
History of diabetes mellitus | 17 (37%) | 23 (42%) | 0.220 |
Hyperglycemia (diabetes mellitus) | 8 | 14 | – |
Hyperglycemia (without diabetes mellitus) | 4 (8%) | 2 (4%) | 0.682 |
Hypertensive heart disease + diabetes mellitus | 15 (32%) | 19 (34%) | 0.737 |
Anticoagulants | 4 (8%) | 12 (21%) | <0.001 |
Intensive care | 19 (41%) | 12 (22%) | <0.001 |
Mechanical ventilation | 11 | 3 | – |
Note: Significance levels (p) are provided for the Mann–Whitney U test and χ2 test for binomial distribution. Примечание. Уровни значимости (p) указаны для критерия Манна – Уитни и теста χ2 при биномиальном распределении. | |||
Statistical data processing was performed using IBM SPSS Statistics version 23. For descriptive statistics, the median or arithmetic mean was used in combination with minimum and maximum values within the group. The normal distribution was checked using the Shapiro–Wilk test and χ2 test for binomial distribution. The nonparametric Mann–Whitney U test was used to compare unrelated samples. The differences were considered statistically significant at p ≤ 0.05.
RESULTS
Characteristics of patients in Group 1
Signs of retinopathy on the fundus exam were noted in 8 (17.3%) patients. Three patients had significantly dilated and tortuous peripapillary vessels bilaterally in all cases. The main focal changes were retinal hemorrhages (3 patients, 6.5%) and cotton wool spots (2 patients, 4.3%). The changes were unilateral in all cases, with one exception.
Angiopathy was the most common fundus change. Retinal vessels, both arterioles and venules, were pathologically dilated and tortuous. The dilation degree could only be assessed visually, but a ratio of arterioles to 2nd order venules was 1.5:2. Peripapillary vessels were dilated most. The venules were of uneven diameter, there were no abnormalities characteristic of the Salus’s sign in the arteriovenous crossing.
Retinal hemorrhages were the second most common change. They were typically localized in peripapillary and perivascular areas. Hemorrhages in the superficial retina layers were large. One female patient had both preretinal and intraretinal hemorrhages. Their number varied from single to multiple.
Cotton wool spots were both single and multiple and localized in peripapillary and perivascular areas.
Notably, compared with patients without fundus changes, patients with signs of retinopathy were significantly older (67.9 vs. 60.3 years; p < 0.001) and less likely to have concomitant DM (2 [25%] patients vs. 15 [39%] patients; p < 0.001) and HHD (4 [50%] vs. 25 [66%]; p = 0.003). A combination of DM and HHD was reported in only 1 (12%) patient with retinopathy and in 15 (39%) patients without fundus changes. Newly diagnosed hyperglycemia was noted in 0 and 4 (8%) patients with and without retinopathy, respectively. Three patients had history of HHD, which was compensated at the time of examination. A total of 3 (37%) patients with signs of retinopathy and 16 (42%) patients without retinopathy (p = 0.504) received treatment in the ICU. Only one patient with retinopathy in combination with HHD and DM receiving anticoagulants in therapeutic doses required MV compared with 10 patients without fundus changes (Table 2).
Table 2. Ophthalmoscopic findings in group 1
Таблица 2. Офтальмоскопические находки в группе 1
Patient | Fundus changes | DM | HG | HHD | ICU | AC |
M, 63 | Retinal hemorrhages + angiopathy in the right eye (Fig. 4, а) | – | – | + | + MV | P |
M, 66 | Retinal hemorrhages + angiopathy in the right eye (Fig. 3, b) | – | – | + | – | P |
F, 79 | Retinal hemorrhages + angiopathy in the right eye (Fig. 3, а) | – | – | – | – | P |
F, 77 | Bilateral cotton wool spots | + | + | + | + | T |
F, 59 | Cotton wool spots in the left eye (Fig. 4, b) | – | – | – | – | P |
M, 83 | Abnormally tortuous retinal veins in both eyes (Fig. 1) | – | – | + | + MV | P |
F, 72 | Abnormally tortuous retinal veins in both eyes | + | – | – | – | P |
F, 57 | Abnormally tortuous retinal vessels in both eyes (Fig. 2) | – | – | – | – | P |
Note: DM, diabetes mellitus; HG, hyperglycemia; HHD, hypertensive heart disease; ICU, intensive care unit; MV, mechanical ventilation; AC, anticoagulants in a preventive (P) or therapeutic dose (T). Примечание. DM — сахарный диабет; HG — гипергликемия; HHD — гипертоническая болезнь; ICU — палата интенсивной терапии; MV — искусственная вентиляция лёгких; AC — приём антикоагулянтов в профилактической дозе (P) или терапевтической дозе (T). | ||||||
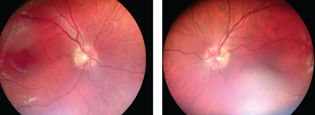
Fig. 1. Fundus photo of the right and the left eyes of patient S., 83 years old, group 1, 3rd day of the disease. Noteworthy are the abnormally tortuous retinal arterioles and venules and the irregular vessels caliber along their entire length. In the areas of arteriovenous crossings there are no symptoms indicating mechanical compression of venules, characteristic of hypertensive angiopathy
Рис. 1. Фотография глазного дна правого и левого глаза пациента С., 83 года, группа 1, 3-и сутки заболевания. Обращают на себя внимание аномально извитые ретинальные артериолы и венулы, неравномерный калибр сосудов на всём их протяжении. В зонах артериовенозных перекрёстов отсутствуют симптомы, указывающие на механическое сдавление венул, характерные для гипертонической ангиопатии
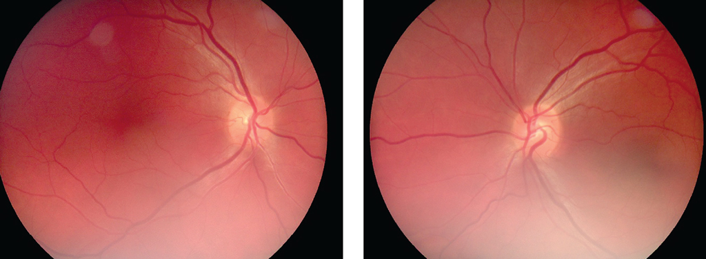
Fig. 2. Fundus photo of the right and the left eyes of patient L., female, 57 years old, group 1, 7th day of the disease. Dilatation of arterioles and veins with pronounced tortuosity in the left eye
Рис. 2. Фотография глазного дна правого и левого глаза пациентки Л., 57 лет, группа 1, 7-е сутки заболевания. Дилатация артериол и вен с выраженной извитостью на левом глазу
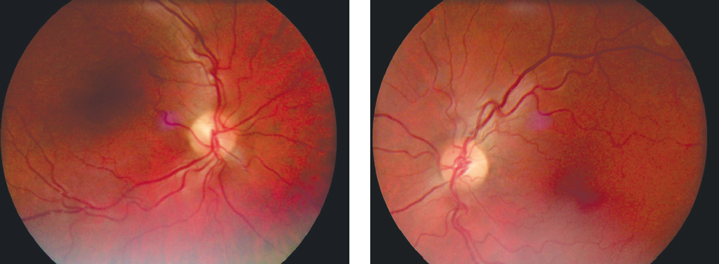
Fig. 3. Ocular fundus photo of the right eye, group 1: а — patient R., female, 79 years old, 5th day of the disease. Dilatation and pathological tortuosity of arterioles and veins, multiple preretinal and some linear intraretinal hemorrhages near the optic disc; b — patient Ts., female, 66 years old, 3rd day of the disease. Dilatation and pathological tortuosity of arterioles and veins, multiple round intraretinal hemorrhages near the optic disc and along the vascular arcades
Рис. 3. Фотография глазного дна правого глаза, группа 1: а — пациентка Р., 79 лет, группа 1, 5-е сутки заболевания. Дилатация и патологическая извитость артериол и вен, свежие множественные преретинальные и единичные штрихообразные интраретинальные кровоизлияния вблизи диска зрительного нерва; b — пациента Ц., 66 лет, 3-и сутки заболевания. Дилатация и патологическая извитость артериол и вен, свежие множественные округлые интраретинальные кровоизлияния вблизи диска зрительного нерва и по ходу сосудистых аркад
Fig. 4. Fundus photos of the group 1 patients: a — patient Z., female, right eye, 63 years old, 2nd day of the disease. Along the edge of the optic disc there is a flame-shaped hemorrhage; b — patient S., female, left eye, 59 years old, 1st day of the disease. There is a peripapillary cotton wool spot along the inferior nasal arcade, pathological tortuosity of arterioles and irregular caliber of venules
Рис. 4. Фотографии глазного дна пациентов группы 1: а — пациентка З., правый глаз, 63 года, 2-е сутки заболевания. По краю диска зрительного нерва — полосчатое кровоизлияние в виде мазка; b — пациентка С., левый глаз, 59 лет, 1-е сутки заболевания. Отмечается нежный ватообразный очаг перипапиллярно по нижне-назальной аркаде, патологическая извитость артериол и неравномерный калибр венул
Characteristics of patients in Group 2
Fundus changes were identified in 7 (12.7%) patients, 5 of them had signs of angiopathy and retinopathy, including retinal hemorrhages in 2 (3.6%) and cotton wool spots in 3 (5.4%) patients. Two (3.6%) patients had only signs of angiopathy. Fundus findings in 2 patients also included foci of retinal pigment epithelium destruction, embolism of the branches of the retinal artery, and tracking along the arterioles. Signs of retinopathy were not visibly different from those observed in Group 1.
Patients with retinopathy did not significantly differ in age from patients without it (67.3 vs. 65.9 years; p = 0.104); as in Group 1, DM (2 [28%] vs. 21 [44%]; p < 0.001) and HHD (2 [28%] vs. 40 [83%]; p < 0.001) were less common among them. A combination of DM and HHD was noted in 0 and 19 (39%) patients with and without retinopathy, respectively. Hyperglycemia associated with DM was reported in 1 patient with retinopathy and 13 patients without it. There were no cases of newly diagnosed hyperglycemia in patients with retinopathy.
Notably, in patients with retinopathy, only 1 (17%) patient received treatment in the ICU (vs. 11 [22%]; p = 0.462), and 2 (33%) patients received anticoagulant therapy (vs. 10 [20%]; p = 0.046) (Table 3).
Table 3. Ophthalmoscopic findings in group 2
Таблица 3. Офтальмоскопические находки в группе 2
Patient | Fundus changes | DM | HG | HHD | ICU | AC |
F, 72 | Retinal hemorrhages in the right eye (Fig. 9) | – | – | – | – | P |
F, 64 | Retinal hemorrhages in the left eye (Fig. 8, a) | – | – | + | – | T |
M, 81 | Bilateral cotton wool spots (Fig. 8, b) | + | + | – | + MV | P |
M, 69 | Cotton wool spots in the right eye | – | – | – | – | P |
F, 69 | Cotton wool spots and Hollenhorst plaques in the left eye (Fig. 7) | + | – | + | – | P |
F, 77 | Abnormally tortuous retinal vessels in both eyes (Fig. 5) | – | – | + | – | T |
M, 51 | Abnormally tortuous retinal vessels in both eyes (Fig. 6) | – | – | – | – | P |
Note: DM, diabetes mellitus; HG, hyperglycemia; HHD, hypertensive heart disease; ICU, intensive care unit; MV, mechanical ventilation; AC, anticoagulants in a preventive (P) or therapeutic dose (T). Примечание. DM — сахарный диабет; HG — гипергликемия; HHD — гипертоническая болезнь; ICU — палата интенсивной терапии; MV — искусственная вентиляция лёгких; AC — приём антикоагулянтов в профилактической дозе (P) или терапевтической дозе (T). | ||||||
Fig. 5. Fundus photo of the right and left eyes of patient O., female, 77 years old, group 2, 7th days of the disease. Abnormally tortuous retinal arterioles and venules and irregular caliber of vessels along their entire length are visualized
Рис. 5. Фотография глазного дна правого и левого глаза пациентки О., 77 лет, группа 2, 7-е сутки заболевания. Визуализируются аномально извитые ретинальные артериолы и венулы, неравномерный калибр сосудов на всём их протяжении
Fig. 6. Fundus photo of the right and left eyes of patient L., 51 years old, group 2, 2nd day of the disease. Abnormally tortuous retinal arterioles and venules, irregular caliber of vessels along their entire length are visualized, in the right eye there is a perivascular sheathing along the 2nd order arterioles
Рис. 6. Фотография глазного дна правого и левого глаза пациента Л., 51 год, группа 2, 2-е сутки заболевания. Визуализируются аномально извитые ретинальные артериолы и венулы, неравномерный калибр сосудов на всём их протяжении, на правом глазу вдоль артериол два порядка полосы сопровождения
Fig. 7. Fundus photo of the female patient’s R. left eye, 69 years old, group 2, 6th day of the disease: a — large cotton wool spot along the superior temporal branch of the central retinal artery. At the border of the lesion, in the area of arteriole’s bifurcation, a yellowish embolus is visualized; b — along the inferotemporal branch of the central retinal artery, in the area of bifurcations, there are 2 more yellowish emboli
Рис. 7. Фотография глазного дна левого глаза пациентки Р., 69 лет, группа 2, 6-е сутки заболевания; а — крупный ватообразный очаг вдоль верхневисочной ветви центральной артерии сетчатки. На границе очага в области бифуркации артериолы в её просвете визуализируется желтоватый эмбол; b — по ходу нижневисочной ветви центральной артерии сетчатки в области бифуркаций ещё два желтоватых эмбола
Fig. 8. Fundus photo of groups 2 patients: a — patient N., female, 64 years old, left eye, 3rd day of the disease. Large fusiform hemorrhage along the superior temporal vascular arcade; b — patient N., male, 81 years old, right eye, 2nd day of the disease. A cotton wool spot at the border of the optic disc, partially covering a 3rd order venule
Рис. 8. Фотографии глазного дна пациентов группы 2: а — пациентка Н., 64 года, левый глаз, 3-и сутки заболевания. Крупное веретёнообразное кровоизлияние по ходу верхневисочной сосудистой аркады; b — пациент Н., 81 год, правый глаз, 2-е сутки заболевания. Ватообразный очаг на границе диска зрительного нерва, частично прикрывающий венулу 3-го порядка
Fig. 9. Fundus photo of the female patient’s F. right eye, 72 years old, group 2: a — 3rd day of the disease, there is a large intraretinal hemorrhage at the level of the retinal nerve fiber layer along the inferotemporal vascular arcade, a cotton wool spot along the superotemporal vascular arcade, pathological tortuosity of the arterioles and dilatation of the retinal veins; b — 30th day of the disease, complete resorption of the hemorrhage, pathological tortuosity of the arterioles and dilatation of the retinal veins still remain
Рис. 9. Фотография глазного дна правого глаза пациентки Ф., 72 лет, группа 2: а — 3-и сутки заболевания, отмечается крупное интраретинальное кровоизлияние на уровне слоя нервных волокон сетчатки по ходу нижневисочной сосудистой аркады, ватообразный очаг по ходу верхневисочной сосудистой аркады, патологическая извитость артериол и расширение вен сетчатки; b — 30-е сутки заболевания, полная резорбция кровоизлияния, патологическая извитость артериол и расширение вен сетчатки сохраняется
Comparison of Groups 1 and 2
In general, both groups were homogeneous with respect to sex, age, comorbidities, hypertension compensation, and glycemia levels. Significant differences were found only in a larger number of patients in Group 2 receiving anticoagulants and treated in the ICU. They appeared to be due to different treatment approaches based on different versions of the guidelines.
Notably, in patients with fundus changes, a higher proportion received treatment in the ICU in Group 1 than in Group 2 (37% vs. 17%; p < 0.001); however, patients with identified changes in Group 2 were more likely to receive anticoagulants in therapeutic doses (33% vs. 12%; p < 0.001) (Table 4).
Table 4. Comparative characteristics of the general status of patients in groups 1 and 2 depending on the presence/absence of signs of retinopathy
Таблица 4. Сравнительные характеристики общего состояния пациентов групп 1 и 2 в зависимости от наличия/отсутствия признаков ретинопатии
Parameter | Group 1 | Group 2 | p1, 2 | ||||
RM | No RM | p | RM | No RM | p | ||
Patients, eyes | 8 (12) | 38 (80) | – | 7 (10) | 48 (100) | – | <0.001 |
Women | 5 (62%) | 25 (66%) | 0.599 | 4 (57%) | 29 (60%) | 0.659 | 0.720 |
Age, years | 67.9 [57; 83] | 60.3 [46; 87] | <0.001 | 67.3 [51; 81] | 65.9 [52; 90] | 0.104 | 0.691 |
HHD | 4 (50%) | 25 (66%) | 0.003 | 2 (28%) | 40 (83%) | <0.001 | 0.221 |
History of DM | 2 (25%) | 15 (39%) | <0.001 | 2 (28%) | 21 (44%) | <0.001 | 0.140 |
Hyperglycemia (DM) | 2 | 6 | – | 1 | 13 | – | – |
Hyperglycemia (without DM) | 0 | 4 (8%) | 0.230 | 0 | 2 (4%) | 0.814 | 1.000 |
HHD + DM | 1 (12%) | 15 (39%) | 0.063 | 0 | 19 (39%) | <0.001 | 0.956 |
Anticoagulants | 1 (12%) | 3 (8%) | 0.693 | 2 (33%) | 10 (20%) | 0.046 | <0.001 |
ICU | 3 (37%) | 16 (42%) | 0.504 | 1 (17%) | 11 (22%) | 0.461 | <0.001 |
MV | 1 | 10 | – | 1 | 3 | – | – |
Note: RM, retinal manifestations; DM, diabetes mellitus; HHD, hypertensive heart disease; ICU, intensive care unit; MV, mechanical ventilation. Significance levels (p) are provided for the Mann–Whitney U test and χ2 test for binomial distribution. Примечание. RM — ретинальные проявления; DM — сахарный диабет; HHD — гипертоническая болезнь; ICU — палата интенсивной терапии; MV — искусственная вентиляция легких. Уровни значимости (p) указаны для критерия Манна – Уитни и теста χ2 при биномиальном распределении. | |||||||
Fundus findings in both groups were similar, but their frequency in Group 1 was significantly higher, 17.3% versus 12.7% in Group 2 (p < 0.001).
DISCUSSION
Microangiopathy signs, cotton wool spots and tortuous retinal vessels in COVID-19, were initially described as individual clinical cases [9–11].
In the literature, limited data is available on observational fundus studies in patients with COVID-19 in the red zone. Two studies were performed in Brazil in 2020–2021 and included patients with moderate to severe COVID-19 and disease duration up to 15 days. The sample sizes did not exceed 18 and 25 patients, respectively, and patients with DM and hypertension were not excluded. The authors obtained different results on the retinopathy frequency: 55% in the first study [12] and 12% in the second [13].
Several foreign ophthalmologists reported similar results with limited observational data. The frequency of fundus changes presumably associated with coronavirus infections ranged from 11% to 35% [14–20]. This result variability seems to be caused by small sample sizes and different study designs. The main large studies assessed the frequency of retinal changes in patients after COVID-19 during the recovery period (30 to 45 days after the disease onset).
The most famous study SERPICO19 (ScrEening the Retina in Patients wIth COVID-19) examined 56 patients recovering from COVID-19, and retinal hemorrhages (9.25%), cotton wool spots (7.4%), and dilated veins (27.7%) were significantly more common in these patients than in the control group [21]. Similar retinal changes were detected in 12% of patients after COVID-19 (Landecho et al.) [22]. These changes had no specific nature, and some examined patients had DM and hypertension; therefore, the relationship with infectious disease was not considered reasonable.
The only study with DM and previous HHD as non-inclusion criteria was performed by Sim et al. [23]; the results confirmed COVID-19-associated retinopathy in 11.6% of patients.
Our study aimed to evaluate the fundus in all patients admitted to the infectious department with confirmed COVID-19 within 7 days of the disease onset. The study features were the largest samples of all previously reported studies performed during the acute phase of the disease and different time periods of the COVID-19 pandemic.
Patients with concomitant cardiovascular diseases were not excluded from the study because by analyzing each individual clinical case and dividing patients into subgroups during the examination, we managed to determine the frequency of changes considering other contributing factors. Thus, in patients with signs of retinopathy, DM and hypertension were significantly less common in both groups, and stress-induced hyperglycemia was not reported. Notably, signs of angiopathy and retinopathy were more common in older patients who required transfer to the ICU and anticoagulants in therapeutic doses less often. This indirectly confirms that the fundus changes are related to the infection, rather than comorbidities [24].
The frequency of angiopathy and retinopathy signs in patients during acute coronavirus infection-17.3% in 2021 and 12.7% in 2023 — is completely comparable with the data from similar studies. The frequencies of changes, such as angiopathy, cotton wool spots, and retinal hemorrhages, were nearly similar in all groups, which may indirectly indicate that the new strains of coronavirus infection still affect the vascular system and can damage the retina.
The nature of the identified hemorrhages suggests that they can result from a rapid and significant increase in retinal venous pressure. The revealed changes are not typical for diabetic or hypertensive retinopathy. To better understand this condition, a larger group of patients should undergo a more thorough examination at an early stage of COVID-19, including optical coherence tomography angiography, tonometry, assessment of episcleral venous pressure, etc.
It is of interest to assess a possible relationship between retinal hemorrhages in patients with COVID-19 in the ICU and signs of increased intrathoracic pressure. This assumption is supported by the occurrence of unilateral and simultaneous hemorrhages during the acute disease, no evidence of impaired inner blood-retinal barrier, time to complete resorption of up to 30 days, and no relapses. Cotton wool spots in these patients clearly indicates capillary non-perfusion, which has already been confirmed by previous studies [25].
This study was pilot, and the comparison of changes in the posterior segment during different periods of the COVID-19 pandemic have not been published before in foreign and Russian literature, and therefore are unique.
FINDINGS
- Fundoscopy in patients with acute moderate to severe COVID-19 during the pandemic of 2019 and 2023 revealed dilated and tortuous retinal arterioles and veins, hemorrhages in the superficial retina layers (6.5 and 3.6%), and cotton wool spots (4.3 and 5.4%).
- The frequency of COVID-19-associated retinopathy in people receiving treatment in the infectious department, including ICU, was 17.3% in 2021 and 12.7% in 2023 (p < 0.001).
- In 2023, the frequency of COVID-19-associated retinopathy slightly decreased, but its main manifestations remain the same.
CONCLUSION
The main characteristics of COVID-19-associated retinopathy in patients with acute moderate to severe COVID-19 are dilated and pathologically tortuous retinal arteries and veins, intraretinal hemorrhages, and cotton wool spots. No relationship between COVID-19-associated retinopathy and cardiovascular disease related to infection has been established. Despite completely similar clinical manifestations, COVID-19–associated retinopathy was significantly more common in 2021 than in 2023.
ADDITIONAL INFORMATION
Authors’ contribution. All authors made a substantial contribution to the conception of the study, acquisition, analysis, interpretation of data for the work, drafting and revising the article, final approval of the version to be published, and agree to be accountable for all aspects of the study. Personal contribution of each author: V.A. Turgel — collection and processing of material, analysis of the data obtained, literature review; S.N. Tultseva — concept and design of the study, processing of material, analysis of the data obtained, literature review.
Funding source. This study was not supported by any external sources of funding.
Competing interests. The authors declare that they have no competing interests.
Consent for publication. Written consent was obtained from the patients for publication of relevant medical information and all of accompanying images within the manuscript.
ДОПОЛНИТЕЛЬНАЯ ИНФОРМАЦИЯ
Вклад авторов. Все авторы внесли существенный вклад в разработку концепции, проведение исследования и подготовку статьи, прочли и одобрили финальную версию перед публикацией. Личный вклад каждого автора: В.А. Тургель — сбор и обработка материала, анализ полученных данных, обзор литературы; С.Н. Тульцева — концепция и дизайн исследования, обработка материала, анализ полученных данных, обзор литературы.
Источник финансирования. Авторы заявляют об отсутствии внешнего финансирования при проведении исследования.
Конфликт интересов. Авторы декларируют отсутствие явных и потенциальных конфликтов интересов, связанных с публикацией настоящей статьи.
Информированное согласие на публикацию. Авторы получили письменное согласие пациентов на публикацию медицинских данных и фотографий.
About the authors
Vadim A. Turgel
Oftacon Clinic
Author for correspondence.
Email: zanoza194@gmail.com
ORCID iD: 0000-0003-3049-1974
Russian Federation, Saint Petersburg
Svetlana N. Tultseva
Academician I.P. Pavlov First State Medical University
Email: tultceva@yandex.ru
ORCID iD: 0000-0002-9423-6772
SPIN-code: 3911-0704
MD, Dr. Sci. (Medicine), Professor
Russian Federation, Saint PetersburgReferences
- ourworldindata.org [Internet]. Ritchie H, Mathieu E, Rodés-Guirao L, et al. Coronavirus pandemic (COVID-19) [cited: 2024 Jan 2]. Available from: https://ourworldindata.org/coronavirus
- Dag Seker E, Erbahceci Timur IE. COVID-19: more than a respiratory virus, an optical coherence tomography study. Int Ophthalmol. 2021;41(11):3815–3824. doi: 10.1007/s10792-021-01952-5
- Gupta A, Madhavan MV, Sehgal K, et al. Extrapulmonary manifestations of COVID-19. Nat Med. 2020;26(7):1017–1032. doi: 10.1038/s41591-020-0968-3
- Tran E, Phu V, Xu R, et al. Ocular manifestations of COVID-19: systematic review and meta-analysis. Can J Ophthalmol. 2023; S0008–4182(23)00248-X. doi: 10.1016/j.jcjo.2023.08.003. Epub ahead of print. PMID: 37683691.
- Bansal R, Markan A, Gautam N, et al. Retinal involvement in COVID-19: Results from a prospective retina screening program in the acute and convalescent phase. Front Med (Lausanne). 2021;8:681942. doi: 10.3389/fmed.2021.681942
- Marinho PM, Marcos AAA, Romano AC, et al. Retinal findings in patients with COVID-19. Lancet. 2020;395(10237):1610. doi: 10.1016/S0140-6736(20)31014-X
- Thakur V, Bhola S, Thakur P, et al. Waves and variants of SARS-CoV-2: understanding the causes and effect of the COVID-19 catastrophe. Infection. 2022;50(2):309–325. doi: 10.1007/s15010-021-01734-2
- Casagrande M, Fitzek A, Püschel K, et al. Detection of SARS-CoV-2 in human retinal biopsies of deceased COVID-19 patients. Ocul Immunol Inflamm. 2020;28(5):721–725. doi: 10.1080/09273948.2020.1770301
- D’Aloisio R, Nasillo V, Gironi M, Mastropasqua R. Bilateral macular hemorrhage in a patient with COVID-19. Am J Ophthalmol Case Rep. 2020;20:100958. doi: 10.1016/j.ajoc.2020.100958
- Sheth J, Nayak S, Narayanan R, Hariprasad S. Retinal manifestations of COVID-19. Ophthalmic Surg Lasers Imaging Retina. 2022;53(5):246–248. doi: 10.3928/23258160-20220413-02
- Sen S, Kannan NB, Kumar J, et al. Retinal manifestations in patients with SARS-CoV-2 infection and pathogenetic implications: a systematic review. Int Ophthalmol. 2022;42(1):323–336. doi: 10.1007/s10792-021-01996-7
- Pereira LA, Mansano Soares LC, Nascimento PA, et al. Retinal findings in hospitalised patients with severe COVID-19. Br J Ophthalmol. 2020;106(1):102–105. doi: 10.1136/bjophthalmol-2020-317576
- Lani-Louzada R, do Val Ferreira Ramos C, Cordeiro RM, Sadun AA. Retinal changes in COVID-19 hospitalized cases. PLoS ONE. 2020;15(12):243346. doi: 10.1371/journal.pone.0243346
- Caporossi T, Bacherini D, Tartaro R, et al. Retinal findings in patients affected by COVID-19 intubated in an intensive care unit. Acta Ophthalmol. 2021;99(7):e1244–e1245. doi: 10.1111/aos.14734
- Riotto E, Mégevand V, Mégevand A, et al. Retinal manifestations in patients with COVID-19: A prospective cohort study. J Clin Med. 2022;11(7):1828. doi: 10.3390/jcm11071828
- Dipu T, Goel R, Arora R, et al. Ocular sequelae in severe COVID-19 recovered patients of second wave. Indian J Ophthalmol. 2022;70(5):1780–1786. doi: 10.4103/ijo.IJO_2882_21
- Bypareddy R, Rathod BLS, Shilpa YD, et al. Fundus evaluation in COVID-19 positives with non-severe disease. Indian J Ophthalmol. 2021;69(5):1271–1274. doi: 10.4103/ijo.IJO_3227_20
- Pirraglia MP, Ceccarelli G, Cerini A, et al. Retinal involvement and ocular findings in COVID-19 pneumonia patients. Sci Rep. 2020;10(1):17419. doi: 10.1038/s41598-020-74446-6
- Ertan Boz AA, Atum M, Çakır B, et al. Outcomes of the ophthalmic examinations in patients infected by SARS-CoV-2. Ocul Immunol Inflamm. 2021;29(4):638–641. doi: 10.1080/09273948.2020.1844904
- Zapata MÁ, Banderas García S, Sánchez-Moltalvá A, et al. Retinal microvascular abnormalities in patients after COVID-19 depending on disease severity. Br J Ophthalmol. 2022;106(4):559–563. doi: 10.1136/bjophthalmol-2020-317953
- Invernizzi A, Torre A, Parrulli S, et al. Retinal findings in patients with COVID-19: Results from the SERPICO-19 study. EClinicalMedicine. 2020;27:100550. doi: 10.1016/j.eclinm.2020.100550
- Landecho MF, Yuste JR, Gándara E, et al. COVID-19 retinal microangiopathy as an in vivo biomarker of systemic vascular disease? J Intern Med. 2021;289(1):116–120. doi: 10.1111/joim.13156
- Sim R, Cheung G, Ting D, et al. Retinal microvascular signs in COVID-19. Br J Ophthalmol. 2022;106(9):1308–1312. doi: 10.1136/bjophthalmol-2020-318236
- Turgel VA, Tultseva SN. Dynamics of retinal perfusion parameters in patients with post-COVID syndrome. Ophthalmology Reports. 2023;16(3):53–62. EDN: IKXYHY doi: 10.17816/OV569005
- Turgel VА, Tultseva SN. Study of the retina and optic nerve microvascular bed using optical coherence tomography-angiography in post-COVID-19 patients. Regional blood circulation and microcirculation. 2021;20(4):21–32. EDN: ZDAYNG doi: 10.24884/1682-6655-2021-20-4-21-32
Supplementary files













