Nd:YAG-laser membranotomy for long-term premacular hemorrhage (case report)
- Authors: Suetov A.A.1,2, Doktorova T.A.1
- 
							Affiliations: 
							- St. Petersburg Branch of The S. Fyodorov Eye Microsurgery Federal State Institution
- State Scientific Research Test Institute of Military Medicine
 
- Issue: Vol 18, No 2 (2025)
- Pages: 69-76
- Section: Case reports
- Submitted: 28.10.2024
- Accepted: 12.02.2025
- Published: 18.07.2025
- URL: https://journals.eco-vector.com/ov/article/view/640003
- DOI: https://doi.org/10.17816/OV640003
- EDN: https://elibrary.ru/JRSACG
- ID: 640003
Cite item
Abstract
Premacular hemorrhages are accompanied by a sudden significant vision loss and may originate from by various causes, the most common of which are proliferative retinopathy associated with diabetic eye diseases, ischemic retinal vein occlusion, macroaneurysms, and Valsalva retinopathy. Small hemorrhages (less than 3 disc diameters) often resolve spontaneously, whereas large hemorrhages under the internal limiting membrane have a significantly reduced probability of spontaneous regression and increased risks of complications associated with the toxic effects of hemoglobin breakdown products. The main treatment method in these cases is Nd:YAG-laser membranotomy or hyaloidotomy. It allows effective and safe drainage of blood into the vitreous humor, where it is completely resorbed. The article presents a clinical case of a long-term premacular hemorrhage associated with retinal arterial macroaneurysm. Though Nd:YAG-laser membranotomy was performed late, it not only significantly improved visual functions, but also prevented invasive vitreal procedures. Three-year follow-up revealed no treatment complications.
Keywords
Full Text
Introduction
Premacular hemorrhages as one of the causes of a sudden significant decrease in central vision may originate from retinal vascular disorders, such as proliferative retinopathy associated with diabetic eye diseases, ischemic retinal vein occlusion, macroaneurysms, neovascular age-related macular degeneration, and retinal arteriovenous anastomosis [1–3]. There are also reports on premacular hemorrhages secondary to hematological diseases, including aplastic anemia and leukemia, after keratorefractive surgery (LASIK) and retinal vessel rupture caused by the Valsalva maneuver, Terson syndrome, and Purtscher retinopathy [3, 4]. Although hemorrhages resolve spontaneously in most cases, this process takes a long time, from several weeks to months, depending on the total volume of leaked blood, thus reducing patient’s ability to work and worsening the quality of life for a long time. In addition, prolonged hemorrhage can irreversibly reduce visual function [3]. The main treatment method for premacular hemorrhages is Nd:YAG laser hyaloidotomy, which, if promptly performed, allows effective and safe drainage of blood into the vitreous humor, where it is completely resorbed.
The article presents a clinical case of Nd:YAG laser membranotomy of a long-term premacular hemorrhage associated with retinal arterial macroaneurysm.
Case description
A 75-year-old female patient was referred from a local outpatient clinic to the St. Petersburg branch of the National Medical Research Center “S.N. Fyodorov MNTK Eye Microsurgery” of the Ministry of Health of the Russian Federation in March 2022 for consultation on treatment strategy of OD preretinal hemorrhage.
Ocular history included a decrease in OD visual acuity caused by an increase in blood pressure in December 2022. Ophthalmological examination (see Fig. 1) revealed OD best corrected visual acuity (BCVA) of 0.01 non-correctable and OD intraocular pressure (IOP) measured using Maklakoff tonometry of 22 mmHg. OD objective examination revealed the following specifics: pseudophakia, a posterior chamber intraocular lens in the capsular bag, and extensive preretinal hemorrhage involving the entire macula. OS fundus had no signs of any pathology, except for single hard drusen.
Fig. 1. Macular OCT at initial presentation (a) and after 2 months (b); the quality of OCT images is low, signs of preretinal hemorrhage are observed; at month 2, the en face infrared image shows signs of forming hemorrhage.
The patient reported no ocular injuries or inflammatory conditions; she had cataract surgery in the left eye in 2017 and in the right eye in 2021. At presentation, the patient did not receive any eye drops. Relevant medical history included severe hypertension with poorly controlled blood pressure.
The patient was diagnosed with preretinal hemorrhage and neovascular age-related macular degeneration. Intravitreal injections of 5000 IU prourokinase and gas were administered, followed by two intravitreal injections of aflibercept 1 month apart. Treatment did not result in a subjective improvement in vision acuity. Therefore, the attending physician suggested posterior vitrectomy with surgical drainage of hemorrhage, for which the patient presented to the St. Petersburg branch of MNTK. The patient provided optical coherence tomography (OCT) data showing signs of premacular hemorrhage (see Fig. 1). At examination, the patient complained of low vision and persistent dark spot in the OD central visual field.
OD and OS visual acuity of 0.01 non-correctable and 0.3 sph –0.75 D = 0.7, respectively. Maklakoff tonometry showed OD and OS IOP of 20 and 21 mmHg, respectively. The OD and OS anteroposterior lengths were 23.24 and 24.15 mm, respectively. A central scotoma was detected in the OD visual field.
OD ophthalmoscopy demonstrated pseudophakia, a centered posterior chamber IOL in the capsular bag, total posterior vitreous detachment with a Weiss ring, extensive preretinal hemorrhage with signs of hemolysis in the central fundus involving the inferior half of the macula, and blood decomposition with signs of erythrocyte hemoglobin degradation represented by a yellow-brown clot and yellowish deposits under the dome-shaped macula and around it (see Fig. 2). Arterial macroaneurysm was detected along the superior temporal branch of the central retinal artery without signs of exudates or hemorrhages (at examination), but with signs of sclerosis.
Fig. 2. Fundus image and structural macular OCT line images (1–4) at presentation to the St. Petersburg branch of MNTK 3.5 months after the occurrence of complaints. a, retinal arterial macroaneurysm; b, internal limiting membrane on the structural section; c, deposits under the internal limiting membrane representing erythrocyte hemoglobin degradation products; d, shadow of the Weiss ring on the fundus.
OS ophthalmoscopy demonstrated pseudophakia, a centered posterior chamber IOL in the capsular bag, pale optic disc, cupping of 0.7, normal neuroretinal rim thickness, and single hard drusen in the macular area.
OCT showed hemorrhage under the internal limiting membrane (ILM) represented by the hyper-reflective membrane with deposits of optically dense conglomerates; the inferior half of the macula was completely shaded, whereas suspended blood elements in the superior half partially blocked the OCT signal to the underlying retina. Structural OCT images revealed macroaneurysm with ILM detachment extending from it (see Fig. 2).
Based on the examination results, the patient was diagnosed with premacular hemorrhage from the retinal arterial macroaneurysm, OD early stage complicated cataract, pseudophakia, and OS low myopia.
Nd:YAG-laser membranotomy was performed using UltraQ-Reflex (Ellex, Australia), Ocular Mainster Focal/Grid lens, and pulse energy of 2.1 mJ with a total of 2 pulses at two sites (Fig. 3).
Fig. 3. Fundus images and structural OCT images (1–4) after Nd:YAG laser membranotomy, before treatment (a), 5 min (b), 1 day (c), and 1 month (d) post-treatment. The white arrows indicate the puncture sites of the internal limiting membrane.
Membranotomy induced immediate leakage from the sub-ILM space, with a significant subjective improvement in patient’s visual quality (BCVA 0.6 using a diaphragm test 5 minutes after drainage). After treatment, the patient was recommended to conduct normal activities for the first two days to better disperse the remaining blood in the sub-ILM space and then wear a binocular bandage for several days for the blood elements to faster migrate to the inferior vitreous. At follow-up visits on day 1 and at month 1, the remaining blood elements resorbed in the sub-ILM space, and the patient reported a further improvement in vision quality with BCVA of 0.8 on day 1 and 1.0 at month 1 (see Fig. 3).
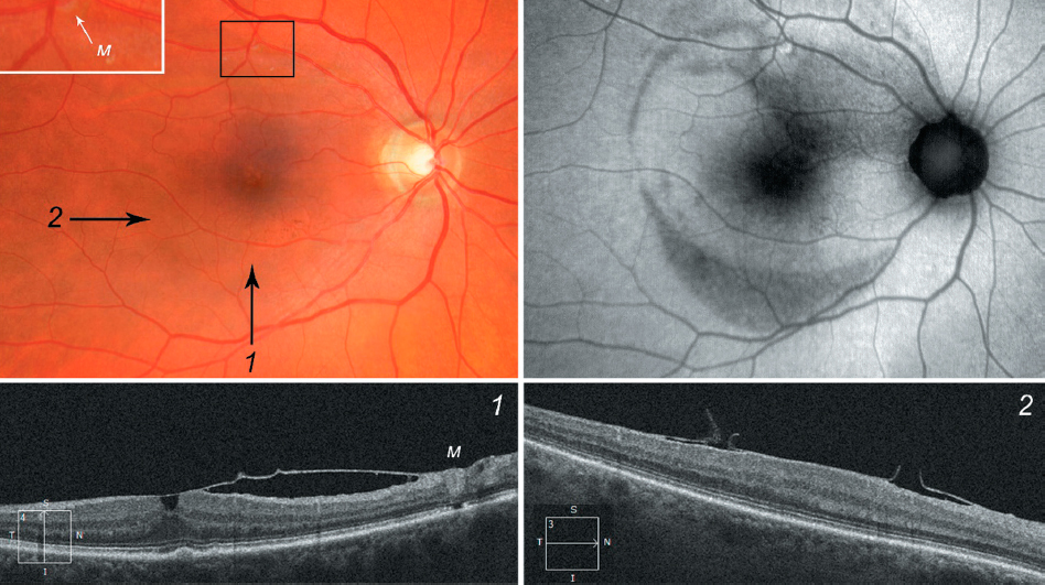
At the follow-up visit at year 3, visual functions remained the same; no new changes in the retina or vitreomacular interface were detected; the dense ILM partially adhered to the retinal nerve fiber layer; deposits of hemoglobin breakdown products were observed under the ILM, which was more noticeable in fundus autofluorescence images, as deposits under the ILM partially shaded the background fundus autofluorescence in the macula (see Fig. 4). Retinal arterial macroaneurysm completely resolved with hypertension treatment, and OCT revealed focal atrophy of the sensory retina, affecting the outer retinal layers, in its place.
Fig. 4. Fundus, autofluorescence, and structural OCT images 3 years after Nd:YAG laser membranotomy: m, obliteration of arterial macroaneurysm with focal atrophy of the outer layers of the sensory retina; 1, the OCT section shows dense internal limiting membrane partially adherent to the retinal nerve fiber layer; 2, the OCT section shows the puncture sites of the internal limiting membrane.
Discussion
Along with Valsalva retinopathy, proliferative retinopathy, and neovascular age-related macular degeneration, retinal arterial macroaneurysms are one of the most common causes of premacular hemorrhages, although macroaneurysms themselves are often asymptomatic and detected incidentally at routine clinical examination, mainly in older female patients with poorly controlled hypertension [5, 6]. In addition to premacular hemorrhage, arterial macroaneurysms may be accompanied by intra- and subretinal exudation, causing macular edema if located close to the macula [7]. In the presented clinical case, there were no signs of pre-existing exudation secondary to macroaneurysm, suggesting that continuous formation of macroaneurysm was not accompanied by decompensation of the vascular wall barrier functions, and macroaneurysm rupture was caused by a significant increase or fluctuation in systemic blood pressure [7]. The observed macroaneurysm sclerosis followed by complete regression during 3 years of follow-up also suggests that retinal arterial macroaneurysm may resolve, with no additional intervention required in these cases, except for blood pressure control.
Premacular hemorrhages can be divided into two main anatomical types based on the potential bleeding location—subhyaloid and sub-ILM hemorrhages. In the first case, blood penetrates the space between the retinal surface and detaching posterior hyaloid membrane. In the second case, blood delaminates the inner retinal layers, thus separating the ILM from the adjacent Muller cells [4, 8]. Although blood is located in the retinal layers, sub-ILM hemorrhage is considered premacular to distinguish it from intra- and subretinal hemorrhages, which differ significantly in pathophysiology and clinical manifestations [4].
Before OCT introduction into routine clinical practice, hemorrhage location was challenging to determine, although distinctive clinical signs were identified, including the surface and margin contour (dome-like, well-defined in sub-ILM hemorrhages, a boat-shaped contour with an irregular lower edge in subhyaloid hemorrhages), surface reflex (light in sub-ILM hemorrhages, dull or absent in subhyaloid hemorrhages), mobility (immobile sub-ILM hemorrhages and mobile subhyaloid hemorrhages with head movements) [4, 9]. The hemorrhage type could be accurately determined only during surgery, as ILM peeling was required during vitrectomy to drain sub-ILM hemorrhages, in contract to subhyaloid hemorrhages.
In addition, hemorrhage location can be determined based on the root cause—subhyaloid hemorrhages are more common in retinal vascular diseases with ischemia, leading to the growth of newly formed vessels on its surface (for example, proliferative diabetic retinopathy, retinopathy secondary to occlusion, and Eales disease). As reported in this article, sub-ILM hemorrhages are more common in retinal arterial macroaneurysms, Valsalva retinopathy, and other retinal and systemic diseases, conditions, and injuries leading to an isolated vascular wall leakage.
Because of challenges in differentiating the type of premacular hemorrhage in some publications, there is confusion in the terminology, for example, hemorrhages located under the ILM are called subhyaloid, and vice versa [1, 9]. However, determining the hemorrhage location is of great clinical value. Sub-ILM hemorrhages take longer to resolve, hemoglobin breakdown products have a more intensive toxic effect on the sensory retina, and a blood clot under the ILM additionally compresses it [4]. In addition, epiretinal fibrosis is more common in sub-ILM hemorrhages [10]. Surgeons should consider the source of subhyaloid hemorrhage. If it is caused by proliferative vitreoretinopathy, Nd:YAG laser hyaloidotomy without preoperative steps (intravitreal anti-VEGF therapy and panretinal photocoagulation) may induce hemorrhage reoccurrence.
Various approaches can be used to treat premacular hemorrhages. For example, watchful waiting may be recommended for small hemorrhages (less than 3 disc diameters), as they may resolve spontaneously with high probability within a few months [11]. Intravitreal injections of fibrinolytics and gas can be administered, but the effectiveness of this approach have not been properly assessed in patients with premacular hemorrhage [12, 13]. Vitrectomy is indicated when Nd:YAG laser hyaloidotomy and membranotomy (a more correct term for sub-ILM hemorrhages) are not possible for some reason; these procedures are currently the most effective methods to treat premacular hemorrhages [1]. Laser treatment is considered to be most effective within few days after hemorrhage [9]. Clinical cases of premacular hemorrhage progression to hemolysis are extremely rare and have not been described in the available publications. Nevertheless, late membranotomy was effective and prevented more invasive vitrectomy.
Nd:YAG laser hyaloidotomy and membranotomy are quite safe, as the blood layer shades the retina. In addition, the risks of iatrogenic complications are significantly reduced if the appropriate technique is followed, including minimum required energy and number of pulses and puncture at the lower slope of the dome, away from the fovea and large vessels, and outside the macula. However, there are reports of laser retinal damage with full-thickness tears, epiretinal fibrosis, and choroidal neovascularization [14, 15].
Conclusion
The presented clinical case demonstrates that Nd:YAG laser membranotomy is an effective and safe method to treat sub-ILM premacular hemorrhages, including long-standing ones, and not only significantly improves visual functions, but also prevents invasive vitreous procedures.
Additional info
Author contributions: A.A. Suetov: writing—original draft, writing—review & editing, final approval of the manuscript; T.A. Doktorova: investigation, formal analysis, writing—original draft. All the authors approved the final version of the manuscript to be published and agreed to be accountable for all aspects of the work, ensuring that questions related to the accuracy or integrity of any part of the work are appropriately investigated and resolved.
Consent for publication: Written informed consent was obtained from patients for the publication of personal data in a scientific journal and its online version (signed on 2024, Sep 16).
Funding sources: No funding.
Disclosure of interests: The authors have no relationships, activities or interests for the last three years related with for-profit or not-for-profit third parties whose interests may be affected by the content of the article.
Statement of originality: No previously obtained or published material (text, images, or data) was used in this article.
Generative AI: Generative AI technologies were not used for this article creation.
Provenance and peer-review: This paper was submitted unsolicited and reviewed following the standard procedure. The peer review process involved two external reviewers, a member of the editorial board, and the in-house scientific editor.
About the authors
Aleksei A. Suetov
St. Petersburg Branch of The S. Fyodorov Eye Microsurgery Federal State Institution; State Scientific Research Test Institute of Military Medicine
							Author for correspondence.
							Email: ophtalm@mail.ru
				                	ORCID iD: 0000-0002-8670-2964
				                	SPIN-code: 4286-6100
																		                								
MD, Cand. Sci. (Medicine)
Russian Federation, Saint Petersburg; Saint PetersburgTaisiia A. Doktorova
St. Petersburg Branch of The S. Fyodorov Eye Microsurgery Federal State Institution
														Email: taisiiadok@mail.ru
				                	ORCID iD: 0000-0003-2162-4018
				                	SPIN-code: 8921-9738
																		                								
MD
Russian Federation, Saint PetersburgReferences
- Shkvorchenko DO, Kakunina SA, Norman KS, et al. The main aspects of etiopathogenesis, diagnosis and treatment of subhyaloid hemorrhages. Fyodorov Journal of Ophthalmic Surgery. 2021;4:70–74. doi: 10.25276/0235-4160-2021-4-70-74 EDN: VHGCTT
- Malov IA. Yag-laser hyaloidotomy in the treatment of premacular hemorrhages. Reflection. 2019;(1):28–31. doi: 10.25276/2686-6986-2019-1-28-31 EDN: UXLDBC
- Khadka D, Bhandari S, Bajimaya S, et al. Nd: YAG laser hyaloidotomy in the management of Premacular Subhyaloid Hemorrhage. BMC Ophthalmol. 2016;16:41. doi: 10.1186/s12886-016-0218-0
- Brar AS, Ramachandran S, Takkar B, et al. Characterization of retinal hemorrhages delimited by the internal limiting membrane. Indian J Ophthalmol. 2024;72(S1):S3–S10. doi: 10.4103/IJO.IJO_266_23
- Pitkänen L, Tommila P, Kaarniranta K, et al. Retinal arterial macroaneurysms. Acta Ophthalmol. 2014;92(2):101–104. doi: 10.1111/AOS.12210.
- Krylova IA, Fabrikantov OL. Retinal arterial macroaneurysm: diagnostic difficulties. Journal of Volgograd State Medical University. 2019;(4):85–90. doi: 10.19163/1994-9480-2019-4(72)-85-90 EDN: MQKDNN
- Singh D, Tripathy K. Retinal macroaneurysm. In: StatPearls. Treasure Island (FL): StatPearls Publ.; 2024.
- Halfter W, Sebag J, Cunningham ET. Vitreoretinal interface and inner limiting membrane. In: Sebag J, editor. Vitreous. New York: Springer New York; 2014. P. 165–191. doi: 10.1007/978-1-4939-1086-1_11
- Wang S, Wu X. Early treatment with Nd: YAG laser membranotomy and spectral-domain OCT evaluation for Valsalva retinopathy. Int J Clin Exp Med. 2016;9(8):15135–15145.
- Hussain RN, Stappler T, Hiscott P, Wong D. Histopathological changes and clinical outcomes following intervention for sub-internal limiting membrane haemorrhage. Ophthalmologica. 2020;243(3):217–223. doi: 10.1159/000502442.
- Rennie CA, Newman DK, Snead MP, Flanagan DW. Nd:YAG laser treatment for premacular subhyaloid haemorrhage. Eye (Lond). 2001;15:519–524. doi: 110.1038/EYE.2001.166
- Chung J, Park Y-H, Lee Y-C. The effect of Nd: YAG laser membranotomy and intravitreal tissue plasminogen activator with gas on massive diabetic premacular hemorrhage. Ophthalmic Surg Lasers Imaging. 2008;39(2): 114–120. doi: 10.3928/15428877-20080301-06
- Yang CM, Chen M-S. Tissue plasminogen activator and gas for diabetic premacular hemorrhage. Am J Ophthalmol. 2000;129(3):393–394. doi: 10.1016/S0002-9394(99)00393-1
- Brar AS, Ramachandran S, Padhy SK. Triple trouble: sequelae of Nd: YAGphotodisruptive laser membranotomy for Valsalva retinopathy. Can J Ophthalmol. 2022;57(1):E14–E16. doi: 10.1016/J.JCJO.2021.05.005
- Goker YS, Tekin K, Ucgul Atilgan C, et al. Full thickness retinal hole formation after Nd:YAG laser hyaloidotomy in a case with valsalva retinopathy. Case Rep Ophthalmol Med. 2018;2018:1–4. doi: 10.1155/2018/2874908
Supplementary files
 
				
			 
					 
						 
						 
									
 
  
  
  
  
  Email this article
			Email this article 

 Open Access
		                                Open Access Access granted
						Access granted Subscription or Fee Access
		                                							Subscription or Fee Access
		                                					





