A comparative analysis of the application of piezoelectric surgery and mechanical osteoperforation techniques in modeling an orbital decompression
- Authors: Konovalov K.A.1, Davydov D.V.2, Roshchin V.Y.3
-
Affiliations:
- 1586 Military Clinical Hospital
- Russian University of Friendship of Peoples
- National Medical Research Center of Pediatric Hematology, Oncology and Immunology named after D. Rogachev
- Issue: Vol 11, No 1 (2018)
- Pages: 10-18
- Section: Articles
- Submitted: 09.04.2018
- Published: 15.03.2018
- URL: https://journals.eco-vector.com/ov/article/view/8644
- DOI: https://doi.org/10.17816/OV11110-18
- ID: 8644
Cite item
Abstract
Currently a wide range of instruments for surgical procedures on the bony structures of the orbits is offered. Each of them has its advantages and disadvantages. Cutter causes less injury, in comparison with a chisel or an ultrasonic saw [15]. In using a drill during surgery there was an increase in temperature of bone edge of the opening above acceptable values [17]. The use of low frequency ultrasonic tools allows you to create holes in the bones of any desired size and shape with smooth edges [5, 11, 16, 20]. The disadvantages of this method include the heating of tool’s tip up to 140° during prolonged continuous action [6]. Thus, techniques using tools for formation of the bone window require further study and improvement.
Aim: to compare surgical equipment for bone window formation in modeling an orbital decompression.
Materials and methods. In an experimental study in vivo, 12 surgical interventions on the scapula on both sides were performed in 6 Chinchilla breed rabbits. On the right side, the formation of a bone window was carried out by the ultrasonic bone scalpel MISONIX, on the left side – by a drill.
Results. It was found that during first 7-21 days there was more pronounced inflammation of soft tissues on the left side. At the same time, delayed proliferation and maturation of fibrous connective tissue was observed in comparison to the opposite side. Bone tissue inflammation and subsequent regeneration took place without significant differences on both sides. The experiment showed that the use of ultrasonic scalpel in flat bones creates less inflammation of surrounding tissues and the bone itself as compared to a diode laser. A.V. Kravchenko (2006) reports that, after exposure to a diode laser in an acute experiment there was a scalloped edge with an area of photocarbonization (charring) on the 7th and the 21st day; while the use of an ultrasonic scalpel did not create any signs of infiltrative inflammation, later on a nonspecific inflammation developed.
Conclusion. Ultrasonic scalpel has a number of advantages when performing osteoperforation, such as time-saving during surgical procedure, control of the osteotomy process, less trauma to surrounding tissues during action and less pronounced inflammatory response of the wound during early postoperative period.
Full Text
Introduction
The following surgical instruments are currently used for the bony orbit: a chisel [28, 33, 35], various trepans [26], a bur [22, 25], a drill [36], and mechanical and electrical milling cutters [2, 4, 14, 15, 18].
Most accessible and inexpensive instruments are a hammer and a chisel; however, their use is associated with pain, damage to surrounding soft tissues and bones, and the risk of retinal detachment in patients with myopia and aphakia [1, 9, 10].
The creation of a bone window in the orbit using a bur or a Kerrison laminectomy punch with bone ejector is a long and laborious process and may result in an uneven cutting surface [3, 17].
A micro-shaver allows for the creation of the bone window using the endonasal approach with minimal damage as well as quick and accurate removal of the bone tissue under visual control [7, 12, 19, 23, 24].
Histological bone examinations have demonstrated that the use of the milling cutter is less traumatic compared with the chisel or the ultrasonic saw.
Milling cutters create a smooth cutting surface and prevent pronounced primary burn necrosis in the surrounding tissues and distant damage to the vessels [15], facilitating the healing process and recovery [21].
Mechanical milling cutters ensure high efficiency and good long-term results of the surgery (83–88% of positive results), but are also associated with a significant increase in bone temperature (above the acceptable values) during the drilling process [17].
Low-frequency ultrasonic instruments allow creating bone windows with proper size, form, and smooth edges even in floating bone fragments in patients with facial bone injuries. These instruments are convenient and low traumatic, and they permit simultaneous removal of adhesions and scar tissue [5, 11, 16, 20]. The main drawback of this technique is the heating of the device tip to up to 140 °F after its prolonged use, resulting in charring of the bone edge and slow healing. Therefore, it is necessary to cool the tip every 20–30 s in a sterile saline solution, which requires additional time [6]. Ultrasonic devices are more likely to cause bleeding in the postoperative period compared with radiowave and holmium laser systems [8, 35].
D.A. Bobrov and V.S. Kozlov reported fibrination, postoperative inflammation, granulation, and scarring after mechanical damage to bone and soft tissue caused by various surgical instruments.
In 2004, Vercellotti developed a new osteotomy technique with an ultrasonic surgical device to ensure higher accuracy and safety compared with the manual or motorized instruments for bone surgery [34].
Heinemann et al. reported increased heat generation by the ultrasonic scaler compared with the heat generated by the conventional bur and piezoelectric scaler, but none of the three instruments damaged osteocytes [29].
In 2016, Stacchi et al. assessed micromorphometric characteristics of bone blocks harvested using eight different sonic and ultrasonic devices for osseous surgery and concluded that no single device combined all the best functions, inclu ding speed, precision, and bone micro-architecture preservation [32].
Czyz et al. recommended performing dacryocystorhinostomy with the piezosurgery system — a high-tech, multi-functional, ultrasonic device for osseous surgery with a minimal risk of soft tissue injuries [27].
In all, the low-traumatic techniques used to create bone windows and controllable bone removal require improvement.
The aim of the study was to compare an ultrasonic bone scalpel and a drill machine in terms of the duration of surgery and the morphological responses after osteoperforation with either.
Materials and Methods
We performed 12 experimental in vivo surgeries in six Chinchilla rabbits weighing 3.0 to 3.5 kg and aged 4–5 months. All animals were kept under the standard living and care conditions of a vivarium before and during the experiment.
All rabbits underwent bilateral osteoperforation of the scapula. The right scapula was perforated using the Misonix ultrasonic bone scalpel (Figure 1), whereas the left scapula was perforated using the drill machine (Figure 2).
Fig. 1. Ultrasonic scalpel Misonix BoneScalpel
Fig. 2. Drill Marathon Handy ECO 1000 drill
We chose the site for osteoperforation after exploring the anatomical features of the rabbit skeleton. The scapular bone is easily accessible for surgery and is located far from vital organs.
We prepared all animals for surgery using the same scheme. Thirty minutes prior to surgery, we administered intramuscular injections with 0.1% meditin (15 µg/kg) and 5% tramadol (2 µg/kg). General anesthesia was induced with 3–5% isoflurane MAC and maintained with 2% isoflurane MAC and tiletamine, administered at 2.5 mg/kg/h; crystalloid infusions were administered at 5 mg/kg/h. The preparation of each surgical site was performed according to a standard protocol. After injecting the local infiltration anesthesia (2 mL of 2% novocaine solution), we performed two 20 mm linear skin incisions in the scapular regions perpendicularly to the scapular spine.
After the skin incision, we separated soft tissues by blunt dissection along the muscle fibers using scissors and put a wound retractor in place. The surface of the bone was cleaned with a bone rasp. Then, we made a 1 cm × 1 cm square perforation in the scapula. The right scapula was perforated using the Misonix ultrasonic bone scalpel (experimental side). The Misonix bone scalpel is an ultrasonic surgical device for osteotomy. The console of the system produces an electrical signal with an operating frequency of 22.5 kHz that is fed into the handpiece and its piezoelectric transducer. The transducer converts the electrical signal into mechanical vibrations. We used the pulse setting at 50%. A blunt blade made lateral reciprocating micromotions, which allowed the blade to shift by 125 µm with the specified ultrasound parameters. We used irrigation with sterile saline (irrigation flow rate 26 mL/min, 40%) to cool the blade.
The removed bone fragment was loosely attached to the underlying soft tissue and could be easily separated using forceps. The fragment was fixed in 10% formalin and examined by light microscopy.
The left scapula of the same animal was perforated using the Marathon Handy ECO 1000 drill machine (Saeyang Microtech) and served as a control. The Marathon Handy ECO 1000 is an universal device, where all parameters are set on the instrument panel, with the drilling speed controlled by a pedal. The maximum rotation speed is 40,000 rpm. We set the rotation speed and direction (10,000 rpm, clockwise) at the instrument panel and switched on the device by pressing the pedal.
We performed layered closure of the surgical wounds and treated the wounds with an aluminum spray. All animals received 2.5% baytril injections.
We removed the skin sutures 6 days after the surgery. During the postoperative period, we evaluated the overall state of animals and the reaction of soft tissues adjacent to the wound.
We divided all rabbits into three groups (two rabbits in each) depending on the time at which they were sacrificed. We chose the timing on the basis of the phases of wound healing and bone tissue regeneration (after 7, 21, and 60 days): group 1 on day 7 after surgery, group 2 on day 21 after surgery, and group 3 on day 60 after surgery.
We collected the specimens for morphological examinations during the surgical experiment or shortly after sacrificing the animals. We excised the perforation area with adjacent soft tissues and fixed the samples in 10% neutral buffered formalin.
Tissue blocks were prepared according to a standard protocol. We cut the sections with a trepan at a thickness between 5 and 8 µm along the osteotomy channel. The slides were stained with hematoxylin and eosin, examined under a light microscope, and photographed at 200× magnification.
Results
The postoperative period was uneventful. None of the animals had postoperative complications.
Mean durations of surgery were 12 min with the Misonix bone scalpel and 15 min with the Marathon Handy ECO 1000 drill machine (Table 1).
Table 1. Comparative characteristic of the duration of surgical procedures
Таблица 1. Сравнительная характеристика продолжительности оперативных вмешательств
Surgery No. | Surgery duration, min | |
Misonix utrasonic | Marathon Handy ECO 1000 | |
1 | 15 | 17 |
2 | 13 | 16 |
3 | 12 | 16 |
4 | 10 | 14 |
5 | 11 | 15 |
6 | 10 | 13 |
Mean duration | 12 | 15 |
The samples, taken 7 days postoperatively, displayed minor hyperemia and edema at the wound edge. The wounds healed by primary intention without suppuration. Specimens collected 21 and 60 days after surgery demonstrated no hyperemia or edema.
In the experimental samples obtained from the right scapula during surgery, we found skeletal muscles with an intact structure and minor perimysial edema, periosteum with edema and scant leukocyte infiltration, and partially destroyed bone beams without periosteal proliferation (Figure 3).
Fig. 3. Histological preparation of the right scapula of a rabbit, acute experiment: a – perimysial edema; b – leukocytic infiltration
In the control samples, obtained from the left scapula during surgery, we observed more pronounced edema, hemorrhagic foci, and intact bone tissue and periosteum (Figure 4).
Fig. 4. Histological preparation of the left scapula of a rabbit, an acute experiment: a – perimysial edema; b – hemorrhages
The histological examination of experimental specimens collected 7 days postoperatively showed dissociation of muscle fibers due to the proliferation of loose fibrous connective tissue, which was disorganized and represented by islets of immature fibroblasts and foci of productive non-granulomatous inflammation. We observed a small bone area with signs of reactive osteogenesis, active proliferation of osteoblasts, and formation of immature bone beams. We also found small non-granulomatous inflammatory infiltrates and giant multinuclear osteoclasts in the areas of neo-osteogenesis (Figures 5 and 6).
Fig. 5. Histological preparation of the right scapula of a rabbit on the 7th day after surgery: a – productive inflammation
Fig. 5. Histological preparation of the right scapula of a rabbit on the 7th day after surgery: a – productive inflammation
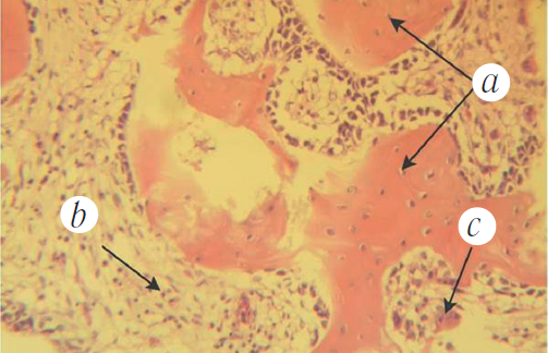
Control specimens (left side) collected 7 days postoperatively contained muscles with necrosis, hemorrhage, clusters of hemosiderin, perifocal inflammation with accumulation of segmented neutrophils, and pronounced perimysial edema because of more severe traumatic changes compared with the samples from the right side collected at the same time (Figure 7).
Fig. 7. Histological preparation of the left scapula of a rabbit on the 7th day after surgery: a – leucocytes; b – necrosis; c – hemosiderin
By day 21, experimental samples presented mild muscle edema. We observed signs of fibrous connective tissue maturation: cells were arranged in an orderly manner, forming bands and bundles; the amount of collagen slightly increased; and fibroblasts became more elongated with ovoid monomorphic nuclei and less pronounced cytoplasm. The number and size of inflammatory infiltrates decreased, whereas the number of giant multinuclear osteoclasts in the inflammation areas increased. We observed the signs of callus formation and hyaline cartilage with endochondral ossification on the periphery among immature bone beams. The osteoblastic reaction seen in the samples from group 2 was still present, but the number and size of newly formed bone beams had increased (Figure 8).
Fig. 8. Histological preparation of the right scapula of a rabbit on the 21st day after surgery: a – maturation of connective tissue
Control specimens had slightly more mature connective tissue compared with experimental specimens by day 21. Moreover, we found calcification inclusions, clusters of hemosiderin, and inflammatory infiltrates that were more pronounced near the bone and more dense than those in experimental specimens. Infiltrates consisted primarily of histiocytes and leukocytes (whereas in the experimental samples, these cells were practically absent), indicating a more acute inflammatory process. The soft tissue contained calcinates and small fragments of bone beams introduced during perforation. We did not evaluate the bone reaction in these samples, because only a small fragment of a preexisting cortical plate without any reactive changes was present (Figure 9).
Fig. 9. Histological preparation of the left scapula of a rabbit on the 21st day after surgery: a – calcification; b – leukocytes
Sixty days postoperatively, both the experimental and control specimens had similar histological pictures. We observed mature intermuscular connective tissue, monomorphic and elongated or wavy-formed fibroblasts that formed clear bundles, and evenly distributed collagen. Inflammatory infiltrates disappeared, and only few hemosiderophages were detected. The osteoblastic reaction had also entirely disappeared. Bone beams were non-lamellar and had homogeneous calcification, suggesting that it was a newly formed bone (Figures 10 and 11).
Fig. 10. Histological preparation of the right scapula of a rabbit at 60 days after surgery: a – uniform calcification of trabecula; b – minimal osteoblastic reaction
Fig. 11. Histological preparation of the left scapula of a rabbit at 60 days after surgery: a – uniform calcification of bone trabecula; b – minimal osteoblastic reaction
Discussion
The histological assessment of tissue samples taken from surgical wounds after osteoperforation demonstrated that the drill machine caused more pronounced soft tissue inflammation (manifested as more pronounced edema, more dense infiltration, and accumulation of hemosiderin) compared with the inflammation caused by the ultrasonic scalpel during the first 7–21 days after surgery. Moreover, control wounds had slower proliferation and maturation of fibrous connective tissue compared with experimental wounds.
We observed no significant differences in terms of the inflammation and the subsequent rege neration of bone tissue between experimental and control wounds. At the end of the experiment, we observed the formation of immature bone beams with comparable characteristics on both experimental sides (thickness, mineralization, maturity, and structure).
Our findings suggest that the use of an ultrasonic scalpel on flat bones is convenient and safe. It causes less inflammation in the bone and surrounding tissues. A.V. Kravchenko compared an ultrasonic scalpel with a diode laser and found that bone windows made by the laser had scalloped cutting surfaces with photocarbonization areas. We found that the ultrasonic scalpel caused no inflammatory infiltration in the acute experiment, but induced non-specific inflammation later.
Conclusion
Our results suggest that the ultrasonic scalpel offers a number of advantages during osteoperforation:
- Osteoperforation with the ultrasonic scalpel requires less time.
- The process is easily controlled both visually (no bone dust) and manually (easy to track the incision).
- The ultrasonic scalpel causes less damage to adjacent soft tissues; there is no danger that tissue will be spooled on the rotating cutter.
- The ultrasonic scalpel ensures smooth cutting surfaces with no bone chips.
- The inflammation in the early postoperative period is less pronounced.
About the authors
Konstantin A. Konovalov
1586 Military Clinical Hospital
Author for correspondence.
Email: kkonovalov82@mail.ru
Head of the Ophthalmological Department
Russian Federation, PodolskDmitriy V. Davydov
Russian University of Friendship of Peoples
Email: davydovdv@gmail.com
Doctor of Medical Sciences, Professor, Head of Department of Plastic Surgery with the Course of Ophthalmology
Russian Federation, MoscowVitaliy Yu. Roshchin
National Medical Research Center of Pediatric Hematology, Oncology and Immunology named after D. Rogachev
Email: davydovdv@gmail.com
Doctor-pathologist. National Medical Research Center of Pediatric Hematology, Oncology and Immunology named after D. Rogachev
Russian Federation, MoscowReferences
- Абдурахманов Г.А., Белоглазов В.Г. Эндоназальный подход с использованием микроэндоскопической техники в хирургическом лечении непроходимости слёзоотводящих путей // Современные методы диагностики и лечения заболеваний слёзных органов: Сб. науч. статей. – М., 2005. – С. 9–12. [Abdurakhmanov GA, Beloglazov VG. Endonazal’nyy podkhod s ispol’zovaniem mikroendoskopicheskoy tekhniki v khirurgicheskom lechenii neprokhodimosti slezootvodyashchikh putey. In: Sovremennye metody diagnostiki i lecheniya zabolevaniy sleznykh organov. Moscow; 2005. P. 9-12. (In Russ.)]
- Авербух С.Л. Ручная фреза для просверливания костей слёзной ямки // Офтальмол. журн. – 1960. – № 4. – С. 241. [Averbukh SL. Ruchnaya freza dlya prosverlivaniya kostey sleznoy yamki. Oftal’mol zhurn. 1960;(4):241. (In Russ.)]
- Алиев Г.Д., Исмаилов М.И., Гаджиев С.С., и др. Модифицированные устройства для формирования костного отверстия при наружной дакриоцисториностомии // Современные методы диагностики и лечения заболеваний слёзных органов: Сб. науч. статей. – М., 2005. – С. 37–39. [Aliev GD, Ismailov MI, Gadzhiev SS, et al. Modifitsirovannye ustroystva dlya formirovaniya kostnogo otverstiya pri naruzhnoy dakriotsistorinostomii. In: Sovremennye metody diagnostiki i lecheniya zabolevaniy sleznykh organov. Moscow; 2005. P. 37-39. (In Russ.)]
- Байдо Е.Н. Клинические и функциональные параллели при эндоназальной дакриоцисториностомии: Дис. … канд. мед. наук. – М., 1977. [Baydo EN. Klinicheskie i funktsional’nye paralleli pri endonazal’noy dakriotsistorinostomii [dissertation]. Moscow; 1977. (In Russ.)]
- Белоглазов В.Г. Внутриносовой способ операции слезоотводящих путей ультразвуковыми инструментариями // Вестник оториноларингологии. – 1978. – № 5. – С. 44–47. [Beloglazov VG. Vnutrinosovoy sposob operatsii slezootvodyashchikh putey ul’trazvukovymiinstrumentariyami. Vestnik otorinolaringologii. 1978;(5):44-47. (In Russ.)]
- Белоглазов В.Г., Атькова Е.Л., Голямина И.П. Тридцатидвухлетний опыт применения ультразвуковой хирургической аппаратуры в дакриологии // Современные методы диагностики и лечения заболеваний слёзных органов: Сб. науч. статей. – М., 2005. – С. 57–60. [Beloglazov VG, At’kova EL, Golyamina IP. Tridtsatidvukhletniy opyt primeneniya ul’trazvukovoy khirurgicheskoy apparatury v dakriologii. In: Sovremennye metody diagnostiki i lecheniya zabolevaniy sleznykh organov. Moscow; 2005. P. 57-60. (In Russ.)]
- Бобров Д.А., Козлов B.C. Применение микрошейвера в современной эндоназальной хирургии слёзного мешка // Современные методы диагностики и лечения заболеваний слёзных органов: Сб. науч. статей. – М., 2005. – С. 83–87. [Bobrov DA, Kozlov BC. Primenenie mikrosheyvera v sovremennoy endonazal’noy khirurgii sleznogo meshka. In: Sovremennye metody diagnostiki i lecheniya zabolevaniy sleznykh organov. Moscow; 2005. P. 83-87. (In Russ.)]
- Давыдов Д.В., Кравченко А.В., Юсипова Э.Р. Эндовидеоассистированное биканаликулярное стентирование слёзных путей при микроинвазивной дакриоцисториностомии // Российская ринология. – 2004. – № 4. – С. 16–18. [Davydov DV, Kravchenko AV, Yusipova ER. Endovideoassistirovannoe bikanalikulyarnos stentirovanie sleznykh putey pri mikroinvazivnoy dakriotsistorinostomii. Rossiyskaya rinologiya. 2004:(4):16-18. (In Russ.)]
- Киршман Я.С. К технике образования соустья между слёзным мешком и носом: Сб. науч. тр., посвящённый 40-летию научной деятельности проф. Авербаха. – М., 1935. – С. 120–122. [Kirshman YaS. K tekhnike obrazovaniya soust’ya mezhdu sleznym meshkom i nosom. Sb. nauch. tr., posvyashchennyy 40-letiyu nauchnoy deyatel’nosti prof. Averbakha. Moscow; 1935. P. 120-122. (In Russ.)]
- Колесникова Л.Н., Пескова Э.А. Новая модификация формирования соустья при дакриоцисториностомии // Вестник офтальмологии. – 1997. – Т. 103. – № 1. – С. 25–27. [Kolesnikova LN, Peskova EA. Novaya modifikatsiya formirovaniya soust’ya pri dakriotsistorinostomii. Vestnik oftal’mologii. 1997;103(1):25-27. (In Russ.)]
- Краснов М.М., Голямина И.П., Танеева И.П., и др. О принципах и возможностях применения низкочастотного ультразвука в офтальмохирургии // Вестник офтальмологии. – 1969. – № 5. – С. 20–26. [Krasnov MM, Golyamina IP, Taneeva IP, et al. O printsipakh i vozmozhnostyakh primeneniya nizkochastotnogo ul’trazvuka v oftal’mokhirurgii. Vestnik oftal’mologii. 1969;(5):20-26. (In Russ.)]
- Красножён В.Н. Клинико-диагностические принципы эндоназальной хирургии воспалительной патологии носа и околоносовых пазух: Дис. … д-ра мед. наук. – М., 2001. – С. 128–134. [Krasnozhen VN. Kliniko-diagnosticheskie printsipy endonazal’noi khirurgii vospalitel’noy patologiey nosa i okolonosovykh pazukh [dissertation]. Moscow; 2001. P. 128-134. (In Russ.)]
- Лейзерман М.Г. Применение новых технологий в ЛОР-хирургии: Дис. … д-ра мед. наук. – М., 1999. – 194 с. [Leyzerman MG. Primenenie novykh tekhnologiy v LOR-khirurgii [dissertation]. Moscow; 1999. 194 s. (In Russ.)]
- Лучик В.И. Электротрепан для дакриоцисториностомии с подвижной защитной муфтой и управляемым режимом работы // Офтальмологический журнал. – 1978. – № 5. – С. 371. [Luchik VI. Elektrotrepan dlya dakriotsistorinostomii s podvizhnoy zashchitnoy muftoy i upravlyaemym rezhimom raboty. Oftal’mologicheskiy zhurnal. 1978;(5):371. (In Russ.)]
- Люткевич В.Г. Способ эндоназальной дакриоцисториностомии с использованием электрофрезы: Дис. … канд. мед. наук. – М., 1994. – С. 67–71. [Lyutkevich VG. Sposob endonazal’noi dakriotsistorinostomii s ispol’zovaniem elektrofrezy [dissertation]. Moscow; 1994. P. 67-71. (In Russ.)]
- Максименко А.Н. Дакриоцисториностомия ультразвуковым ножом // Здравоохранение Туркменистана. – 1991. – С. 56–57. [Maksimenko AN. Dakriotsistorinostomiya ul’trazvukovym nozhom. Zdravookhranenie Turkmenistana. 1991:56-57. (In Russ.)]
- Малиновский Г.Ф. Хирургическое лечение больных хроническими дакриоциститами с использованием дозирующего устройства и микрохирургической техники: Дис. … канд. мед. наук. – Минск, 1991. – 152 с. [Malinovskiy GF. Khirurgicheskoe lechenie bol’nykh khronicheskimi dakriotsistitami s ispol’zovaniem doziruyushchego ustroystva i mikrokhirurgicheskoy tekhniki [dissertation]. – Minsk; 1991. 152 p. (In Russ.)]
- Моторный В.В., Камполе П.А. Электрофреза для дакриоцисториностомии // Здравоохранение Белоруссии. – 1977. – № 6. – С. 81–82. [Motornyy VV, Kampole PA. Elektrofreza dlya dakriotsistorinostomii. Zdravookhranenie Belorussii. 1977;(6):81-82. (In Russ.)]
- Ободов В.А., Солощенко А.П. Варианты дакриоцисториностомии с эндоскопическим контролем // Современные методы диагностики и лечения заболеваний слёзных органов: Сб. науч. статей. – М., 2005. – С. 226–230. [Obodov VA, Soloshchenko AP. Varianty dakriotsistorinostomii s endoskopicheskim kontrolem. In: Sovremennye metody diagnostiki i lecheniya zabolevaniy sleznykh organov. Moscow; 2005. P. 226-230. (In Russ.)]
- Субботина И.Н. Влияние низкочастотного ультразвука на ткани глаза и возможности его применения в офтальмохирургии: Дис. … канд. мед. наук. – М., 1971. [Subbotina IN. Vliyanie nizkochastotnogo ul’trazvuka na tkani glaza i vozmozhnosti ego primeneniya v oftal’mokhirurgii [dissertation]. Moscow; 1971. (In Russ.)]
- Чиненов И.М., Лебедева О.С., Белоглазов В.Г. Эндоназальная дакриоцисториностомия у детей с нарушением слёзоотведения // Современные методы диагностики и лечения заболеваний слёзных органов: Сб. науч. статей. – М., 2005. – С. 302–308. [Chinenov IM, Lebedeva OS, Beloglazov VG. Endonazal’naya dakriotsistorinostomiya u detey s narusheniem slezootvedeniya. In: Sovremennye metody diagnostiki i lecheniya zabolevaniy sleznykh organov. Moscow; 2005. P. 302-308. (In Russ.)]
- Шахмалов Ш.А., Белоглазов В.Г. Дакриоциститы. – Махачкала, 1969. – С. 149. [Shakhmalov ShA, Beloglazov VG. Dakriotsistity. Makhachkala; 1969. P. 149. (In Russ.)]
- Шелудченко Т.П., Лопатин А.С. Наш опыт эндоназальной эндоскопической дакриоцисториностомии // Современные методы диагностики и лечения заболеваний слёзных органов: Сб. науч. статей. – М., 2005. – С. 312–315. [Sheludchenko TP, Lopatin AS. Nash opyt endonazal’noy endoskopicheskoy dakriotsistorinostomii. In: Sovremennye metody diagnostiki i lecheniya zabolevaniy sleznykh organov. Moscow; 2005. P. 312-315. (In Russ.)]
- Шилов М.В. Возможности эндоскопической ринохирургии в лечении посттравматических дакриостенозов // Современные методы диагностики и лечения заболеваний слёзных органов: Сб. науч. статей. – М., 2005. – С. 315–318. [Shilov MV. Vozmozhnosti endoskopicheskoy rinokhirurgii v lechenii posttravmaticheskikh dakriostenozov. In: Sovremennye metody diagnostiki i lecheniya zabolevaniy sleznykh organov. Moscow; 2005. P. 315-318. (In Russ.)]
- Шубин М.Н. Значение эндомикрохирургических методов в диагностике и лечении патологии полости носа, околоносовых пазух и пограничных анатомических областей: Дис. … канд. мед. наук. – М., 2003. – С. 46–47. [Shubin M.N. Znachenie endomikrokhirurgicheskikh metodov v diagnostike i lechenii patologii polosti nosa, okolonosovykh pazukh i pogranichnykh anatomicheskikh oblastey [dissertation]. Moscow; 2003. P. 46-47. (In Russ.)]
- Arruga Н. Über eine Verbesserung der Totischen operation. Klin Montasbl f Augenh. 1928;81(2):80.
- Czyz CN, Fowler AM, Dutton JJ, et al. Piezosurgery in External Dacryocy-storhinostomy. Ophthalmic Plastic & Reconstructive Surgery. 2017;33(1):69-71. doi: 10.1097/IOP.0000000000000796.
- Halle D. Intranasale Tränensackoperation bei einen Sangling von Monaten zur Entfernung Hineigegelittenen Daursonde. Die Internasalie. Tränensackoperation und ihre Erfolge. Berl Kl Woch. 1918;11-14.
- Heinemann F, Hasan I, Kunert-Keil C, et al. Experimental and histological investigations of the bone using two different oscillating osteotomy techniques compared with conventional rotary osteotomy. Ann Anat. 2012;194(2):165-170. doi: 10.1016/j.aanat.2011.10.005.
- Malhotra R, Wright M, Olver JM. A consideration of the time taken to do dacryocy-storhinostomy (DCR) surgery. Eye. 2003;17(6):691-696. doi: 10.1038/sj.eye.6700470.
- Moore WM, Bentley CR, Olver JM. Functional and anatomic results after two types of endoscopic endonasal dacryocy-storhinostomy: surgical and holmium laser. Ophthalmology. 2002;109(8):1575-82. doi: 10.1016/S0161-6420(02)01114-4.
- Stacchi C, Berton F, Turco G, et al. Micromorphometric analysis of bone blocks harvested with eight different ultrasonic and sonic devices for osseous surgery. J Craniomaxillofac Surg. 2016;44(9):1143-1151. doi: 10.1016/j.jcms.2016.04.024.
- Toti E. Dacryo-cystorhinostomia. Clin Med Firenze. 1904;(10):383-385.
- Vercellotti T. Technological characteristics and clinical innovations of piezoelectric bone surgery. Minerva Stomatol. 2004;53(5):207-214.
- West JM. A window resection of the nasal duct in cases of stenosis. Trans Am Ophthalmol Soc. 1924;12:654-658.
- Wong RJ, Gliklich RE, Rubin RA, et al. Bilateral nasolacrimal duct obstruction managed with endoscopic technique. Arch Otoryngol Head Neck Surg. 1988;124;703-706.
Supplementary files















