Current approach to diagnosis and treatment of children with osteogenesis imperfecta
- Authors: Burtsev M.E.1,2, Frolov A.V.1,2, Logvinov A.N.1,2, Ilyin D.O.1, Korolev A.V.1,2
- 
							Affiliations: 
							- European Clinic of Sports Traumatology and Orthopaedics (ECSTO)
- Peoples’ Friendship University of Russia
 
- Issue: Vol 7, No 2 (2019)
- Pages: 87-102
- Section: Review
- Submitted: 26.12.2018
- Accepted: 04.02.2019
- Published: 01.07.2019
- URL: https://journals.eco-vector.com/turner/article/view/10780
- DOI: https://doi.org/10.17816/PTORS7287-102
- ID: 10780
Cite item
Abstract
Osteogenesis imperfecta (OI) is a heritable bone dysplasia characterized by bone fragility and long bone deformities. Approximately 85% of OI cases are caused by dominant autosomal mutations in the type I collagen coding genes (COL1A1 and COL1A2), which affect the quantity or structure of collagen. The remaining percentage of cases is caused by mutation in the proteins responsible for posttranslational modification, processing and crosslinking of collagen, bone mineralization, and osteoblast differentiation. In the past decade, new recessive, dominant, and X-linked inheritance. As a result, new types of OI were added to the Sillence classification, and a new genetic classification consisting of XVIII types is formed. Treatment of patients with OI is a complex task which requires a multidisciplinary care. Pharmacological treatment is based on bisphosphonate treatment, which increases the bone mineral density. In this article, we will describe other approaches in which the effectiveness is studied. Surgical treatment of the fractures and deformities of the extremities showed a positive effect on the patients’ quality of life, despite existing complications. There are a lot of debates about the choice between telescopic and non-telescopic fixators. Rehabilitation plays huge role in the recovery process after fracture and surgeries.
Osteogenesis imperfecta (OI) is a heritable bone dysplasia characterized by bone fragility and long bone deformities. Approximately 85% of OI cases are caused by dominant autosomal mutations in the type I collagen coding genes (COL1A1 and COL1A2), which affect the quantity or structure of collagen. The remaining percentage of cases is caused by mutation in the proteins responsible for posttranslational modification, processing and crosslinking of collagen, bone mineralization, and osteoblast differentiation. In the past decade, new recessive, dominant, and X-linked inheritance. As a result, new types of OI were added to the Sillence classification, and a new genetic classification consisting of XVIII types is formed. Treatment of patients with OI is a complex task which requires a multidisciplinary care. Pharmacological treatment is based on bisphosphonate treatment, which increases the bone mineral density. In this article, we will describe other approaches in which the effectiveness is studied. Surgical treatment of the fractures and deformities of the extremities showed a positive effect on the patients’ quality of life, despite existing complications. There are a lot of debates about the choice between telescopic and non-telescopic fixators. Rehabilitation plays huge role in the recovery process after fracture and surgeries.
Full Text
Introduction
Osteogenesis imperfecta (OI), also known as the Lobstein–Vrolik disease, is a phenotypically and genotypically heterogeneous inherited connective tissue dysplasia [1]. It commonly occurs in 1:10,000–1:20,000 newborns. Basically, the disease is inherited in an autosomal dominant manner, but there are rare autosomal recessive and X-linked forms of the disease. In 85% of cases, the disease results from a mutation in the COL1A1 and COL1A2 genes, which are responsible for the synthesis of type I collagen. In other cases, its development is due to mutations in the protein genes responsible for regulating collagen synthesis, collagen fiber formation, and osteoblast function. The main skeletal signs are frequent fractures, progressive deformities of long bones, ribs, and spine, dysplasia, joint hyperelasticity, and muscular weakness [2]. The main extraskeletal signs include dentinogenesis imperfecta, altered sclera color, and conductive or neurosensory hearing impairments [3]. Among the rare systemic signs of the disease are changes in the cardiovascular (expanded aortic root and valve disorders) and respiratory systems [4].
Etiology and pathogenesis
OI develops from type I collagen synthesis violation. Type I collagen is the main protein of the intercellular substance in the bones, skin, and ligaments [1, 5, 6]. It makes up approximately a third of the body’s total protein [7]. It is a triple helix, consisting of two pro-α1 chains and one pro-α2 chain, which are synthesized from the COL1A1 and COL1A2 genes, respectively.
Mutations slow down the modified α-chain folding. Because of this, the enzymes involved in posttranslational modification interact with the α-chain longer, disrupting its structure [8]. The disruption leads to impaired exocytosis and cross-linking of collagen molecules into fibrils, which can lead to apoptosis activation [3, 6]. The architectonics of bone tissue is violated because these changes lead to abnormal collagen fiber formation. These processes may also affect bone remodeling. In severe OI cases, the number of osteoclasts and osteoblasts increases, indicating accelerated bone remodeling processes [9].
OI is caused by autosomal dominant mutations in the COL1A1 and COL1A2 genes in approximately 85%–90% of cases [1, 3, 5, 7]. These mutations cause quantitative and qualitative changes in type I collagen [6]. Quantitative defects are due to the formation of the null allele, whereas the collagen structure does not change, and its number is reduced by half. In this case, the disease course is mild [1, 6, 7]. Qualitative defects are caused by the replacement of glycine with a larger amino acid, which entails a disruption of the triple-helix formation process and structural changes in type I procollagen molecule [3, 6].
Over the past 15 years, studying the genomes of patients with OI resulted in identifying new causes of disease development: mutations in the genes of the proteins involved in posttranslational modification, chaperone attachment, folding, and collagen stitching. Understanding OI development’s cellular and biological pathogenesis has significantly improved because of the discovery of new genes [9]. Changes in the bone formation process that are not associated with collagen, but with impaired bone mineralization, osteoblast differentiation, and functioning are found in OI patients. We identified autosomal recessive, X-linked, and additional autosomal dominant inheritance paths. In 2000, the first non-collagen-related mutation in the IFITM5 gene with an autosomal dominant inheritance was discovered [5, 10, 11]. It is characterized by hypertrophic callus formation and interosseous membrane ossification. In 2006, Morello et al. described the first mutation with an autosomal recessive mode of inheritance in the CRTAP gene [12]. To date, 18 genes, in which mutations lead to phenotypic signs of OI, are known. Violation of posttranslational collagen modification and hydroxylation defect are caused by CRAPT, LEPRE1, and PPIB genes; impaired bone formation and mineralization–by IFITM5 and SERPINF1 genes; terminal propeptide cleavage defect–by BMP1 gene; violation of interaction with chaperones and collagen stitching–by SERPINH1, FKBP10, and PLOD2 genes; violation of the differentiation and functioning of osteoblasts–by SP7, TMEM38B, WNT1, CREB3L1, SPARC, and MBNPS2 genes. More than 1,500 mutations were found, and they are listed in the OI variability database.
Classification
D.O. Sillence proposed the first OI classification in 1978. It was based on clinical and radiological data, as well as on the inheritance pattern. Sillence identified four types and numbered them by Roman numerals [13]. OI types are numbered in the order they were described. All are caused by autosomal dominant mutations in the COL1A1 and COL1A2 genes, which are responsible for type I collagen synthesis. The course of the disease can vary greatly–from mild to perinatally fatal outcomes [2]. The types are distributed based on disease severity as follows: I < IV < III < II. However, many authors note that OI is characterized by a strong variability of signs, even within one type and one family [1, 3, 7, 14]. To date, the Sillence classification is used the most often in clinical practice.
Type I is the mildest form, which is characterized by frequent fractures, blue sclerae, and hearing impairment. Fractures appear at an early age, when the child starts walking; their frequency decreases after growth completion. The stature is often normal. The occurrence of limb deformities and imperfect dentinogenesis is rare.
Type II is the perinatally fatal form with the most severe signs, providing that the child survives at birth. Multiple fractures are detected at the intrauterine stage. Limbs are usually short, with arcuate deformations. The sclerae is blue or gray. Death is caused by respiratory failure due to small chest, rib fractures, and pneumonia caused by collagen-associated lung tissue abnormality [4].
Type III is characterized by progressive limb deformities. Over their lifetimes, the patients experience hundreds of fractures. The face shape is often triangular, with frontal tubers; the sclera is blue or gray. Dentinogenesis imperfecta, vertebral body compression, scoliosis, and platibasia are also noted. The stature is very short.
Type IV is characterized by moderate severity. The incidence of fractures numbers in the tens; many patients are able to walk. This type is characterized by dentinogenesis imperfecta, basilar depression, hearing impairment, and growth variability.
The classification was, subsequently, supplemented with type V, also characterized by frequent fractures. However, the peculiarity consists in the hypertrophic callus formation and interosseous membrane ossification on the forearm.
With the progress of genetics, other genes responsible for OI development were identified. Each new gene was assigned a new type, designated by a Roman numeral. This was the basis of the genetic classification, which currently includes eight types (Table 1) [1]. However, applying this classification in routine clinical practice is difficult because of the lack of clear differences between the new types and classical four types of Sillence.
Table 1
Genetic classification of osteogenesis imperfecta [1]
| Mutated gene | Protein | Type | Inheritance pattern | Clinical features | 
| Violations of collagen synthesis and structure | ||||
| COL1A1 COL1A2 | α1(COL1A1) and α2(COL1A2) collagen | I, II, III, IV | AD | Classic phenotypes described by D. Sillence | 
| Impaired bone mineralization | ||||
| IFITM5 | Bone-restricted interferon induced by transmembrane protein (BRIL) (IFM5) | V | AD | The severity of skeletal deformities varies from the absence to severe forms; the color of the sclera–from normal to blue; ossification of the interosseous membranes, radial bone head dislocation, and hearing loss are possible | 
| SERPINF1 | Pigment epithelium-derived factor (PEDF) | VI | AR | The severity of skeletal deformities varies from moderate to severe; osteoid, scale-like bone structure | 
| Violations of posttranslational modification of collagen | ||||
| CRTAP | Cartilage-associated protein (CRTAP) | VII | AR | Severe rhizomelia and white sclerae | 
| P3H1(LEPRE1) | Prolyl 3-hydroxylase 1 (P3H1) | VIII | AR | |
| PPIB | (PPlase B) peptidyl-prolyl cis-trans isomerase B | IX | AR | Severe limb deformities and gray sclera | 
| Violation of collagen maturation and chaperone assembly | ||||
| SRPINH1 | Serpin H1 (HSP47) | X | AR | Severe skeletal deformities, blue sclerae, dentinogenesis imperfecta, skin abnormalities, inguinal hernia | 
| FKBP10 | 65kDa FK506 binding protein (FKBp65) | XI | AR | The severity of skeletal deformities varies from mild to severe forms; the color of sclerae varies from normal to gray; congenital contractures are noted | 
| PLOD2 | Lysyl Hydroxylase 2 (LH2) | AR | The severity of skeletal deformities varies from medium to severe forms; progressive joint contractures are noted | |
| BMP1 | Bone morphogenetic protein 1 (BMP1) | XII | AR | The severity of skeletal deformity varies from mild to severe forms; umbilical hernia is noted | 
| Violation of differentiation and maturation of osteoblasts | ||||
| SP7 | Transcription factor (osterix) (SP7) | XIII | AR | Severe skeletal deformities, delayed teething, facial hypoplasia | 
| TMEM38B | Trimeric intracellular caption channel type B (TRIC -B) | XIV | AR | Severe limb deformities; the color of the sclera varies from normal to blue | 
| WNT1 | Proto-oncogene Wnt-1 (WNT1) | XV | AR/AD | Severe skeletal disorders, white sclera, neurological deficit | 
| CREB3L1 | Old astrocyte specifically induced substance (OASIS) | XVI | AR | Severe bone deformities | 
| SPARC | Osteonectin (SPARC) | XVII | AR | Progressive bone fragility | 
| MBTPS2 | Membrane-bound transcription factor site-2 protease (S2P) | XVIII | H | The severity of skeletal deformities varies from medium to severe forms; blue sclera, scoliosis, and chest deformities are noted | 
Note. AD–autosomal dominant; AR–autosomal recessive; X–X-linked.
In 2009, the International Nomenclature Group for the Study of Constitutional Disorders of Skeleton (INCDS) proposed five types of OI, based on a phenotype similar to the Sillence classification (Table 2) [5, 14, 15]. These five types are designated by Arabic numerals; they include all types of OI and other bone dysplasias, manifested by reduced bone mineral density, such as Brooke–Spiegler syndrome, osteoporosis–pseudoglioma syndrome, idiopathic juvenile osteoporosis, and Ehlers–Danlos syndrome of progeroid type [14, 16]. The characteristic of the phenotypes, in accordance with the new classification, is described in the publication of Van Dijk and Sillence [5]. The last version of the classification is published in the article Nosology and Classification of Genetic Skeletal Disorders in 2015 [15].
Table 2
Modified classification of osteogenesis imperfecta [5]
| Types of osteogenesis imperfecta according to the new classification | Characteristics of the phenotype | Type of osteogenesis imperfecta or disease | 
| 1 | Mild, without deformations | I | 
| 2 | Severe, perinatally fatal or fatal | II | 
| 3 | From moderate to severe with severe deformities | III, VI, VIII, IX, X, Brooke type I syndrome | 
| 4 | Moderate, with wide variability | IV, VII, XI, XII, XIII | 
| 5 | Moderate, in cluding bone pathologies leading to ossification of the interosseous membranes | V, osteoporosis–pseudoglioma, idiopathic juvenile osteoporosis, Brook syndrome of types I and II | 
Diagnosis
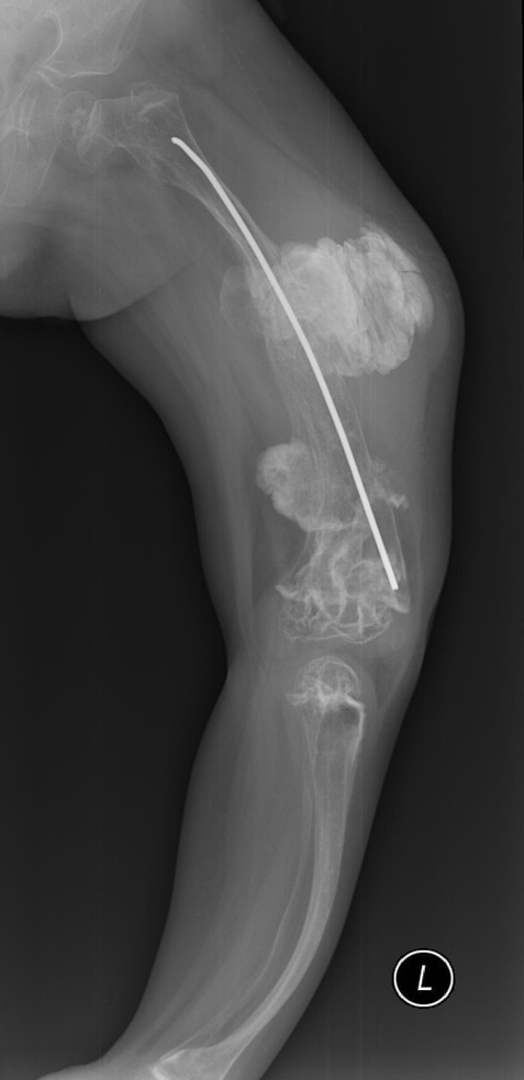
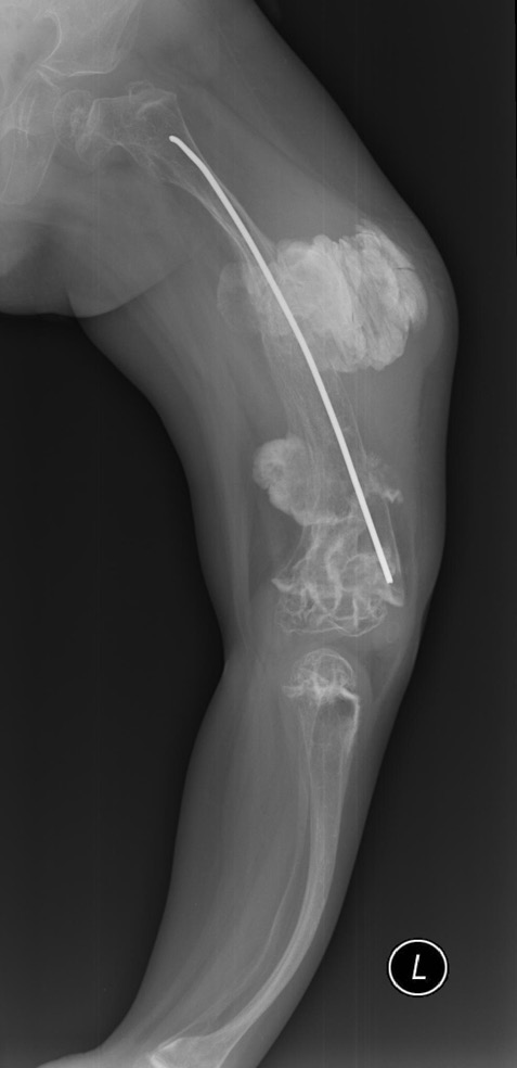
OI diagnosis is based on clinical signs and anamnestic data–fractures in the perinatal age or high incidence of fractures among relatives. Genetic testing is used to diagnose milder forms of OI, when patients do not have characteristic phenotypic signs but are susceptible to fractures [17]. In some countries, genetic research is used to eliminate child violence in the family as a possible cause of frequent fractures. Thus, according to a study, 11 of 262 fractures in children were presumed to be caused by child abuse in the USA. Based on the results of a genetic study, OI was detected in six of them [18]. OI type is determined by a combination of these data in accordance with the classification given in the article Nosology and Classification of Genetic Skeletal Disorders and according to genetic analysis data. Determining the OI type is important to assess disease severity, predict the possible complications of surgical treatment, and choose the most effective drug treatment. Thus, in patients with OI type V, the probability of hypertrophied callus formation after surgical treatment is high (Fig. 1) [10, 11]. Understanding the genetic mechanisms of OI development opens up prospects for targeted treatment. For example, intravenous administration of bisphosphonates in patients with OI of type VI is less effective than the use of denosumab [19].
Fig. 1. Hypertrophic callus after surgical treatment of a patient with type V osteogenesis imperfecta
The analysis of the genome of OI patients or their relatives allows determining the possibility of OA for their child. With the help of next-generation sequencing technology, it is possible to analyze a whole exome by using panels with all known genes responsible for OI [20]. To date, molecular diagnostics are 97% accurate [21]. Routine OI screening is limited to ultrasound scanning. Fractures can be detected in the 20th week of pregnancy, and assessment of OI severity is possible [5].
Differential diagnostics are performed between other OI similar types of connective tissue dysplasia, such as Brooke–Spiegler syndrome of types I and II, Carpenter syndrome of types I and II, perinatal and pediatric hypophosphatasia, Ehlers–Danlos syndrome, osteoporosis–pseudoglioma syndrome, and idiopathic juvenile osteoporosis [22].
Similar to OI, Brooke–Spiegler syndrome is manifested by osteoporosis, but characterized by congenital joint contractures. Carpenter syndrome of types I and II resembles a severe form of OI, but differs in craniosynostosis formation and eyeball protrusion. Bone demineralization and frequent fractures are also characteristic of perinatal and pediatric hypophosphatasia, but it can be differentiated by low level of alkaline phosphatase in the blood serum. The remaining pathologies can be reliably diagnosed only by the genetic study results.
The progeroid form of Ehlers–Danlos syndrome type I is manifested by severe skeletal pathology, including osteopenia and growth disorder, and has common features with OI, which is caused by a B4GALT7 gene mutation. Osteoporosis–pseudogliomas implies frequent fractures. Its distinctive feature is visual impairment from infancy to early childhood, which is not typical of OI. The final diagnosis is made when a mutation is detected in the LRP-5 gene. First, idiopathic juvenile osteoporosis should be excluded from the reasons for frequent fractures at an early age. In the genetic study, mutations in the known genes leading to OI development were not detected in such children.
OI should be differentiated from non-accidental injuries associated with home violence. The frequency, nature, and stage of fracture healing must be properly assessed. For example, in a child with OI, having more than three fractures at the same time is atypical. Rib fractures have been known to occur often during childbirth and are rare in the first years of life. The fact that fractures, which were not diagnosed and identified accidentally, occurred in the early stages of consolidation may indicate that they were inflicted through violence.
Treatment
OI treatment is symptomatic and depends on the severity. The goal of treatment is to reduce fracture frequency, increase the patient’s mobility and independence, reduce pain, detect and control extraskeletal signs in a timely manner, and prevent side effects of drug therapy [23].
Due to generalization and OI heterogeneity, application of individual and multidisciplinary approaches to treating patients is necessary. A patient with OI should be treated by a team of specialists, consisting of pediatricians, endocrinologists, rehabilitologists, traumatologist-orthopedists, geneticists, dentists, audiologists, psychologists, and social workers [24-26]. Montpetit et al. showed that a multidisciplinary approach and a combination of drug and rehabilitation therapy significantly improved the functional results of treatment [26]. For many years, the main drug therapy was bisphosphonates (BPs) [1, 5, 3, 27, 28]. Evaluation of the treatment dynamics and determination of indications for treatment with BP are based on clinical and anamnestic data and X-ray densitometry results. The goal of surgical treatment is the timely and correct fracture osteosynthesis, scoliosis, and long bone deformity correction [25]. Rehabilitation therapy plays a huge role in restoring the patient’s physical activity after fractures and surgeries. The motor mode is assessed on GMFS (Gross Motor Function Classification System), GFAQ, PEDI (Pediatric Evaluation of Disability Inventory), Bleck’s score, Hoffer and Buloc’s grading, and other grading scales. Children and their parents need psychological help to overcome the fear of experiencing a new fracture while learning to walk after deformity correction and fracture osteosynthesis.
Pharmacological treatment
The main focus of drug therapy is osteoporosis treatment. Since 1987, BP is the main drug for the treatment of medium and severe forms of OI [1, 3, 5, 27, 29]. To date, the receptor activator of nuclear factor κB ligand (RANKL) inhibitors, osteoabolic drugs, including analogs of human parathyroid hormone, sclerostin, and TGF inhibitors, etc., are undergoing clinical trials.
Calcium and vitamin D
Based on a controlled randomized study, calcium and vitamin D reduce the risk of fracture. Edouard et al. proved that the content of vitamin D in the blood serum positively correlates with the bone mineral density (BMD) [30]. A comparative analysis of the effect of various doses of vitamin D on the spinal BMD was performed. A large dose (2000 IU) did not prove its superiority over a small dose (400 IU). In accordance with international recommendations, 1300 mg of calcium and 600–800 IU of vitamin D per day is sufficient in most cases [1, 14, 30].
Bisphosphonates
BP is an analog of pyrophosphate, which slows down bone resorption and inhibits the function of osteoclasts. Numerous studies have shown that BPs increase BMD [7, 28, 29, 31–34], improve bone architecture, prevent the progression of long bone deformities, restore the size and shape of vertebrae after compression fractures [29, 31], foster growth [32], and increase mobility in children with OI [29, 31]. In a number of works, BP has been shown to reduce the frequency of long bone fractures [29, 32]. BP has been proven to be more effective in children than in adults [1, 33, 35]. BPs do not affect the course of scoliosis because they do not reduce joint hyperelasticity, which is the main cause of scoliosis [36].
OI patients are administered with BP both intravenously and orally. The advantages of intravenous administration are the possibility of dose titration, better bioavailability, and absence of side effects in the gastrointestinal tract. However, comparative studies did not show a significant difference in the effectiveness of intravenous and oral administration [37].
Basically, patients with OI tolerate BP treatment well. A reaction may be observed with the first injection, which is manifested by fever, chills, weakness, diarrhea, and muscle and bone pain. This condition occurs during the first 24–48 h and can be easily jugulated by anti-inflammatory drugs. Each administration of BP is accompanied by a decrease in the serum calcium level, which is why the dynamics of this indicator should be monitored.
There is neither a single approach to the choice of drug nor protocol for its administration and use duration [38]. Regarding the intravenous administration of pamidronate, the most often used is the Montreal protocol developed by Shriners Hospital for Children in Canada (Table 3) [7, 39].
Table 3
Protocol of intravenous administration of Montreal pamidronate [7]
| Age | Dosage | Frequency of administration | 
| <2 years | 0.5 mg/kg per day for 3 days | Every 2 months | 
| 2–3 years | 0.75 mg/kg per day for 3 days | Every 3 months | 
| >3 years | 1.0 mg/kg per day for 3 days | Every 4 months | 
Note. The maximum dose is 60 mg/kg per day. The concentration of pamidronate in the solution should not exceed 0.1 mg/ml. The duration of drug administration is 3–4 h. During the first infusion, half of the required dose is administered to reduce the severity of side effects.
There are also various protocols for oral administration of BP. For example, in Sheffield Children’s Hospital, England, physicians use a tablet form of resindronate at a dose of 2.5 mg and 5 mg per day if the child weighs from 10 to 30 kg and >30 kg, respectively. In the US Texas Scottish Rite Hospital for Children, physicians use alendronate at a dose of 5 and 10 mg per day if the child weighs <30 kg and >30 kg, respectively [38].
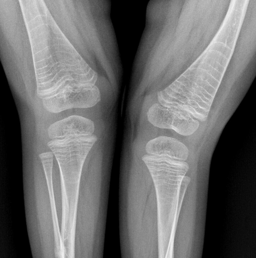
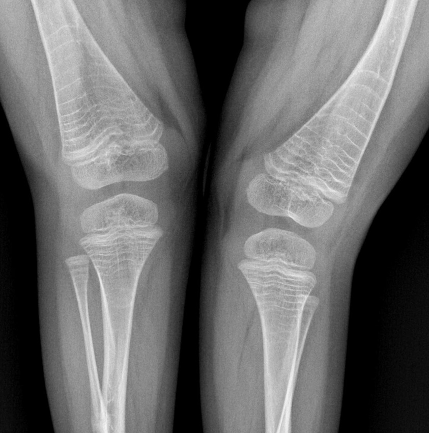
As a result of BP action, the bone remodeling process slows down, leading to increased bone mineralization. The radiographs of long bones show a horizontal line of sclerosis above the growth zone. The number of lines corresponds to the number of BP regimens (Fig. 2). The risk of fracture increases in this zone.
Fig. 2. Lines of bone sclerosis after treatment with bisphosphonates
The literature describes a delayed consolidation of bone fragments after osteotomies in the patients receiving pamidronate, which was not observed in the fracture group [40]. Anam et al. used a modified approach to BP treatment before corrective operations. The administration of BP was interrupted for four months preoperatively; an oscillatory saw was not used during the surgery. As a result, the number of nonunions has significantly decreased [41]. The cases of jaw osteonecrosis after high doses of BP are described only for adults. There is no data on this complication in children with OI.
Over the past few years, several large meta-analyses, and a Cochrane analysis of 14 randomized controlled studies, on the efficacy of using BP in OI patients have been published [37, 42]. BP has been proven to increase BMD, but this did not correlate with decreased incidences of fractures, improved growth rates, reduced pain, and increased mobility [42]. The data from the other two meta-analyses showed only a moderate decrease in the frequency of fractures. In the study by Shi et al., the fracture rate decreased by 20% [33]; in the study by Hald, the decrease was statistically insignificant [36]. A placebo-controlled study did not prove that BP reduces bone pain [42].
The complexity of the analysis of this problem is due to the small number of patients studied, short duration of observation, and high variability of OI, even within one family. The question of whether an increase in bone density leads to a decreased fracture rates, reduced pain, and increased mobility remains open [35].
Denosumab
Denosumab is a human monoclonal antibody (IgG2) characterized by high affinity and specificity for the RANKL. Its inhibitory effect on RANKL leads to decreased osteoclasts’ activity and slowing down bone resorption. Denosumab’s effectiveness has been proven in treating osteoporosis and metastatic lesions in adults. Its use in type VI OI patients, in which BP proved to be ineffective, is of particular interest. The study by Semler et al. describes the results of treating four patients with type VI OI; an increase in BMD was observed after two years of therapy [43]. Hoyer-Kuhn et al. published the results of the second phase of a clinical trial, which included 10 OI patients. All of them showed a significant BMD increase in the thoracic vertebrae; however, the authors did not observe any significant change in the vertebra architecture and mobility [44]. Currently, the doctors assess the treatment’s safety and study the long-term effects of using denosumab in children with OI.
Growth hormone
Using osteoabolic agents in children with OI is of great interest because they often have a short stature. Despite normal growth hormone levels in the blood of children with types I and IV, they showed an increase in growth indices and bone tissue volume, unlike patients with type III, who did not show any significant change [3]. Antoniazzi et al. showed that 30 children (mean age, 7.3 ± 1.3 years) showed an increase in growth rates and BMD after the use of 2 mg/kg of neridronate every three months and 0.05 mg/kg of genotropin per day six days a week for one year [45].
Teriparatide
Teriparatide is an analog of parathyroid anabolic bone hormone and stimulates both bone tissue formation and its resorption. Its effectiveness has been proven in the treatment of patients with osteoporosis. A meta-analysis of the results of using teriparatide to treat osteoporosis showed an increase in the volume of the bone tissue formed, BMD, and a reduced risk of spinal fractures by 85%, and other fractures by 40%–60% [46]. Information on using teriparatide in OI patients is lacking. Based on a cohort study results, an increase in BMD in the spine and bone remodeling markers was found in 13 women with OI who were administered with teriparatide in the postmenopausal period [35]. Based on a placebo-controlled study, which included 79 adult OI patients, an increase in BMD for 18 months after teriparatide therapy was recorded in patients with type I. However, no positive effect was recorded in patients with types III and IV [27].
Sclerostin antibodies
Sclerostin is a glycoprotein with an inhibitory effect on osteoblasts. Monoclonal sclerostin antibodies created a new direction of osteoabolic OI therapy. Sclerostin acts through the WNT protein. Perhaps using this drug will be particularly effective in treating WNT-associated types of OI (type XV and osteoporosis–pseudoglioma syndrome). The results of the preclinical tests of mice with OI showed a positive effect on BMD [47].
TGF-β inhibitor
The beta transforming growth factor regulates the work of osteoclasts and osteoblasts. In an experiment on mice, increased TGF-β activity was found to play an important role in forming the OI phenotype. In the experiment on mice with OI, antibodies to TGF-β had an inhibitory effect on osteoclasts that led to the normalization of BMD but did not affect the incidence of fractures [48].
Combination therapy
Currently, scientists actively study the synergistic effect of anabolic and antiresorptive therapy, prescribed at BP application, the positive effect of which was described in the study by Antoniazzi et al. [45]. In the experiment on mice with OI of moderate severity, using antibodies to sclerostin and zoledronic acid was more effective than the separate use of any other drug [35]. Based on the results of the biopsies of 120 women with postmenopausal osteoporosis, the cyclical (20 mcg per day for three months with an interval of three months) or daily (20 mcg subcutaneously) intake of teriparatide and alendronate at a dose of 70 mg a week during a year led to an increase in bone tissue formation and mineralization of the cortical layer of the iliac wing [1].
Cell therapy
The main goal of cell replacement therapy is transplanting bone marrow or mesenchymal stem cells, and thereby obtaining a pool of the cells capable of producing normal collagen. The literature describes an increase in BMD after transplanting the bone marrow of animals and patients with OI, acceleration of growth, and a decrease in the frequency of fractures, despite the small number of transplanted cells [1, 7, 27, 49]. However, this effect is temporary and depends on the cell life span. Bone marrow transplantation is associated with many risks, the main of which is the host reaction. In this regard, intrauterine administration of mesenchymal stem cells could be more effective because the immune system is still developing at this stage [7, 27]. Considering the possible complications, this method is still experimental.
Gene therapy
Suppressing the expression of the abnormal gene responsible for collagen synthesis is one of the possible gene therapy methods. Thus, translating qualitative changes into quantitative changes is possible, which, as is well known, are less severe. To date, the safety and effectiveness of gene therapy remain unproven.
Surgery
The main indications for surgical treatment are fractures of the long tubular bones, congenital, and post-traumatic deformities. Thus, patients with type I OI generally need timely treatment of fractures, whereas patients with more severe OI forms should also undergo deformity correction.
Frequent fractures, the treatment of which requires immobilization, lead to the progression of osteoporosis that results in a vicious circle: fracture–immobilization–osteoporosis–fracture. The frequency of fractures decreases with the child’s growth cessation. The purpose of the surgical treatment of fractures is the elimination and prevention of fragments displacement, pain reduction, and immobilization terms reduction with the possibility of early activation.
Soft tissues play a key role in the formation of arcuate deformations of long tubular bones. The flexor muscles prevent the bone growth that results in deformity. This is due to the popliteal flexor in the femoral region that leads to anterolateral bending of the bone. This function is performed by the gastrocnemius and fibular muscles in the leg region that cause anteromedial curvature (Fig. 3). Deformed lower limbs lose their biomechanical strength, resulting in increased strain in the deformation apex area that leads to deformation progression and fracture at its height. The purpose of congenital and post-traumatic deformities correction is to reduce the frequency of fractures and ensure the proper growth of the bone to verticalize the child and teach him to walk.
Fig. 3. Deformations of the lower extremities with osteogenesis imperfecta
The basic principle of surgical treatment is restoring limb anatomy and intramedullary splinting at the maximum extent of the bone. The literature describes using the following structures for fixing bone fragments: non-telescopic (Rush nail, Kuntscher’s pin), titanium elastic nails (TEN), Kirchner pins, unreamed humeral nails, telescopic internal fixation devices (Bailey–Dubow, Sheffield, Fassier–Duval rods), plates, and external fixation devices.
According to a number of authors, intramedullary splinting of long tubular bones in OI patients improves the quality of their lives and increases their mobility [1, 3, 50–52]. With BP, the possibilities of surgical treatment have significantly expanded. El Sobky et al. showed that children who received pamidronate preoperatively showed better results than those who underwent only surgical treatment [53]. The combined multidisciplinary approach has significantly improved the treatment results [1, 25, 26, 54].
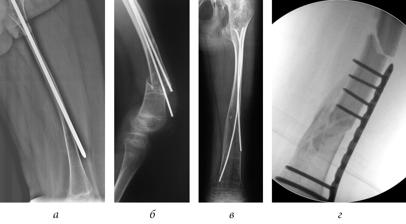
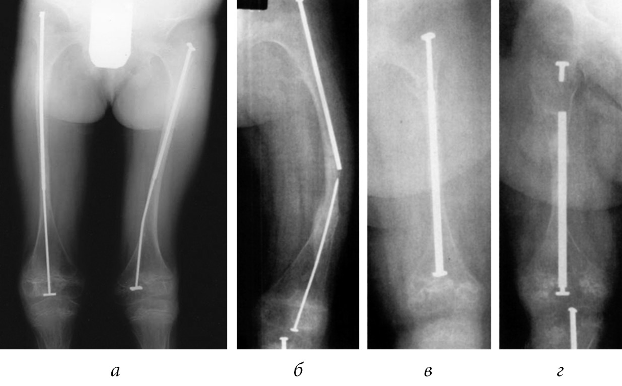
In 1952, Sofield and Millar first described the technique of multiple osteotomies followed by the installation of an intramedullary rod [55]. However, the fixator ceased to overlap the entire length of the bone during the bone growth process, causing recurrent deformities and reimplant fractures requiring repeated surgery. In 1963, Bailey and Dubow first proposed the telescopic intramedullary system, which lengthened with bone growth [56]. However, the frequency of complications remained high. This was due to the lack of this fixator–the screwed-in T-shaped tip often migrated into the soft tissues (Fig. 5, g). In a modified version of this rod (Sheffield rod), the tip was fixed to the rods, and the problem was solved (Fig. 5, a) [51]. Installing such rods required the arthrotomy of adjacent joints that were especially traumatic when fixing the tibia. Fassier and Duval developed a telescopic rod with a mini-invasive antegrade injection, which significantly reduced the incidence of trauma intraoperatively (Fig. 4) [57]. The threaded part of the solid rod was fixed in the distal epiphysis. Сho et al. proposed their own version of distal fixation. A solid part of the structure had a xiphoid tip with a hole, through which blocking by threaded rod was performed in the epiphysis [58]. The osteotomy technique was also improved. Li et al. suggested mini-invasive osteotomy to preserve periosteal blood circulation and reduce intraoperative blood loss [59].
Fig. 4. Correction of multiplaned deformities of the lower extremities, intramedullary fixation with a Fassier–Duval rod [57]
Due to the improved treatment approaches, performing single-step surgeries on several segments became possible, which resulted in fewer blood transfusions performed in the postoperative period.
Despite this, the frequency of complications of surgical treatment of OI patients remains high. Thus, it accounts to 50% and 58%–87% if telescopic and non-telescopic fixators are used, respectively [52].
Intramedullary osteosynthesis with a telescopic rod is associated with the risk of rod deformation (Fig. 5, a), disconnection of the ends of the rod (Fig. 5, b), violations of the telescopic effect (Fig. 5, c), migration of the rod into the soft tissue and joint cavity (Fig. 5, d), eruption of the distal end of the rod through the anterior cortical layer of the metaepiphysis, metal fixator fracture, and rotational instability.
Fig. 5. Intramedullary fixation with a Sheffield rod, deformation of the solid part of the rod (a) [51]; telescopic rod disconnection (b); migration of the distal end of the telescopic rod (c); migration of T-shaped tip Bailey–Dubow pin (d) [56]
Non-telescopic fixators also migrate often (Fig. 6, a). Their use raises the risk of reimplant fractures (Fig. 6, b), and revision operations to replace them with a longer fixator are required more often (Fig. 6, c). On average, the frequency of revision operations after using non-telescopic fixators is 3.5 times higher than that after using telescopic fixators [54]. A review of the literature has shown that the average durability of non-telescopic structures is 2–2.5 years [50, 53–57].
The isolated use of plates is considered inexpedient because of the high risks of reimplant fractures associated with the stress load on the bone at the edge of the plate (Fig. 6, d) [60]. However, the literature describes a combined approach, wherein an intramedullary fixator and a plate were used. Thus, Cho et al. suggested using plates with a monocortical screw insertion to ensure rotational stability and subsequently removing the plate after consolidation [61]. In some cases, Popkov et al. applied counter transphysary osteosynthesis with two TENs, combining it with transosseous osteosynthesis with the Ilizarov apparatus, to achieve rotational stability [62].
Fig. 6. The eruption of the rod through the anterior cortical bone layer (a); reimplant fracture (b); bone growth outside the splint area (c); reimplant fracture after osteosynthesis with plate (d)
Because the frequency of complications remains high in cases where both telescopic and non-telescopic rods were used, currently, there is no unequivocal opinion on which fixator is preferable. Specialized institutions often use telescopic pins of the latest generation with antegrade introduction because they are more durable and can splint the bone along its entire length. According to some authors, using a telescopic rod is technically more difficult; such an operation should be performed in a specialized institution by a trained surgeon [52]. This design is also much more expensive, making it difficult to use it in low-income countries. In this regard, the fixator should be selected by the surgeon, taking surgical skills and patient characteristics into consideration.
There are different views on the age at which corrective operations should be performed. Most surgeons believe that performing surgery when the child is able to stand and walk, that is, from three to four years, is better [50, 54, 56].
Because the rate of fracture consolidation in OI patients does not differ from the population rate, OI patients have nonunions quite often. Gamble et al. were the first to detect 12 (19) nonunions in 10 of 52 patients, and it occurred more often in patients with severe deformities and severe fractures [63]. Munns et al. observed patients who were administered pamidronate for a year, and nonunions were observed in 42 of 155 (27.1%) fractures and in 97 of 162 (59.9%) fractures in the case of osteotomy [40]. However, the cause of these complications could be the specificity of the surgical technique, namely, using an oscillatory saw, which results in thermal injuries to the bone and blood supply violation. Anam et al. reported that 110 patients who underwent 261 surgeries showed a significant decrease in the number of nonunions after cessation of BP intake four months preoperatively and when osteotomy was performed with a chisel [41].
Initially, surgery was performed on the lower limbs, femoral, and tibial bones. It was believed that correcting deformities of the upper extremities has only a cosmetic meaning. However, the deformation prevented the use of additional support; hence, expanding the indications for surgical treatment is needed. The treatment results showed that patients could better fend for themselves. The quality of their lives increased [1]. Intramedullary osteosynthesis of the humerus can be performed with both telescopic and non-telescopic fixators. The main problem is the need to isolate the radial nerve [64]. At the stage of eliminating severe deformity, nerve tension must be evaluated to prevent traction damage. TEN or Kirschner pins are most often used for fixing the forearm bones.
With the use of BP, the possibilities of spinal surgery have expanded. As a result of increased BMD of the vertebrae, physicians started applying transpedicular fixation, which allowed for surgical treatment of severe fractures, correction, and prevention of spinal deformities [36].
Rehabilitation
Rehabilitation therapy is an essential component of a multidisciplinary approach to OI treatment. In a study by Monpetit et al. continuous exercises for 12 weeks resulted in the increased muscular strength of children with OI while their motor regimen expanded [26]. Patients with a good level of motor activity undergo fewer surgical interventions during their lifetime. This is mainly found in patients with type I OI [65].
Rehabilitation must begin at an early age to help the child overcome the fear of a fracture when learning new motor skills and adapting to environmental conditions. For this group of patients, rehabilitation is the most important step in the treatment of injuries, fractures, and recovery postoperatively. In the case of newborns with severe forms of OI, rehabilitation is aimed at educating parents on how to take care of their fragile child. It is noted that patients with OI more often have platicephaly, torticollis, and flexion contractures in the hip joints due to the use of soft surfaces for laying the child, which greatly limits their motion. The child’s position must be frequently changed to prevent these conditions. When children lie on their abdomen, their cervical spines and upper limbs are straightened, and the hip flexors are stretched. It helps them learn to roll over and sit. Physical therapy classes begin with controlling the position of the head and neck, balancing in a sitting position, and verticalization. In later years, the focus is on increasing muscle strength, functional development, and self-care ability.
Often, children with severe forms of OI never walked, or did not walk without assistance, for a long time. After performing corrective surgeries, the lower limbs become supportable, but patients are often afraid to stand up and lean. To accomplish this difficult task, specialized verticalizers and individual orthoses, which stabilize the lower limbs with weak muscles and hyperelastic joints, are used in rehabilitation departments. Some authors recommend axial loads and exercises to strengthen muscles in water, which greatly reduced the risk of injury [24]. After correcting lower limb deformities, Fassier et al. made the intraoperative impressions and individual hinge orthoses [57]. For patients who never walked preoperatively, they used KAFO orthoses, from which, after restoring the strength of the quadriceps, they dismantled the knee joint module, leaving only ankle-foot orthoses (AFO). AFO orthoses were used for patients who are able to walk preoperatively.
Conclusion
To date, scientists are unaware of the specific mechanism that leads to bone fragility. The genotypic and phenotypic variability of OI has not yet been explained. The disease pathogenesis remains understudied.
OI patients should be treated comprehensively by a multidisciplinary team of specialists, consisting of pediatricians, endocrinologists, rehabilitologists, orthopedic traumatologists, geneticists, dentists, audiologists, psychologists, and social workers. To date, there are no standards of care for OI patients. Each patient requires an individual approach in selecting drug therapy and in planning surgical treatment.
The effectiveness of drug therapy remains low. It consists only in symptomatic treatment and does not eliminate the cause of the disease. Despite numerous publications proving the positive effect of antiresorptive therapy, there is no statistically reliable data on whether it leads to decreased incidence of fractures, reduced pain, and increased mobility. Owing to the progress in genetic technologies in recent years, scientists have discovered many new genes, wherein mutations lead to OIs. This helps to better understand the pathogenesis of the disease and develop gene therapy.
The question of which fixators—telescopic or non-telescopic—are better is still discussed. The main advantage of the telescopic fixators is that they reduce the frequency of repeated surgeries. For children who continue growing, they can be replaced with longer ones. The experience of surgeons worldwide has shown that the following principles must be observed in treating OI patients: deformity must be completely eliminated while maintaining periosteal blood circulation and minimizing blood loss, and intramedullary fixation should be at the maximum length of the bone, enabling early rehabilitation.
Rehabilitation therapy plays a key role in maintaining and expanding the patient’s motor regimen, in overcoming the fear of developing new fractures.
The complexity of analyzing the results of treating OI patients consists in the small number of groups, the short term of observations, the high variability of the disease course, and the absence of a control group.
Additional information
Source of funding. This work was not funded.
Conflict of interest. The authors of the article declare that there is no conflict of interest.
Acknowledgments. We express gratitude to the Fragile People Foundation for organizing the treatment of patients with osteogenesis imperfecta in Russia.
Contribution of the authors
M.E. Burtsev collected and processed materials, analyzed data, and wrote the text.
A.V. Frolov developed the concept.
A.N. Logvinov collected and processed materials.
D.O. Ilyin developed the concept.
A.V. Korolev developed the concept.
About the authors
Mikhail E. Burtsev
European Clinic of Sports Traumatology and Orthopaedics (ECSTO); Peoples’ Friendship University of Russia
							Author for correspondence.
							Email: drburtsev91@gmail.com
				                	ORCID iD: 0000-0003-1614-1695
				                	SPIN-code: 6268-0522
																		                								
Orthopaedic Trauma Surgeon; MD, PhD Student in Department of Traumatology and Orthopaedics
Russian Federation, 7, Orlovsky per., Moscow, 129110; 6, Miklukho-Maklaya street, Moscow, 117198Aleksandr V. Frolov
European Clinic of Sports Traumatology and Orthopaedics (ECSTO); Peoples’ Friendship University of Russia
														Email: drburtsev91@gmail.com
				                					                																			                								
Orthopaedic Trauma Surgeon, Chief of Trauma Department; MD, PhD, Assistant Professor in Department of Traumatology, Orthopaedics
Russian Federation, 7, Orlovsky per., Moscow, 129110; 6, Miklukho-Maklaya street, Moscow, 117198Aleksei N. Logvinov
European Clinic of Sports Traumatology and Orthopaedics (ECSTO); Peoples’ Friendship University of Russia
														Email: drburtsev91@gmail.com
				                					                																			                								
MD, Orthopaedic Trauma Surgeon; PhD Student in Department of Traumatology and Orthopaedics
Russian Federation, 7, Orlovsky per., Moscow, 129110; 6, Miklukho-Maklaya street, Moscow, 117198Dmitry O. Ilyin
European Clinic of Sports Traumatology and Orthopaedics (ECSTO)
														Email: drburtsev91@gmail.com
				                					                																			                								
MD, PhD, Orthopaedic Trauma Surgeon
Russian Federation, 7, Orlovsky per., Moscow, 129110Andrey V. Korolev
European Clinic of Sports Traumatology and Orthopaedics (ECSTO); Peoples’ Friendship University of Russia
														Email: drburtsev91@gmail.com
				                					                																			                								
Orthopaedic Trauma Surgeon, Chief Doctor and Medical Director; MD, PhD, D.Sc., Professor in Department of Traumatology and Orthopaedics
Russian Federation, 7, Orlovsky per., Moscow, 129110; 6, Miklukho-Maklaya street, Moscow, 117198References
- Marini JC, Forlino A, Bachinger HP, et al. Osteogenesis imperfecta. Nat Rev Dis Primers. 2017;3:17052. https://doi.org/10.1038/nrdp.2017.52.
- Sillence DO, Rimoin DL, Danks DM. Clinical variability in osteogenesis imperfecta-variable expressivity or genetic heterogeneity. Birth Defects Orig Artic Ser. 1979;15(5B):113-129.
- Forlino A, Cabral WA, Barnes AM, Marini JC. New perspectives on osteogenesis imperfecta. Nat Rev Endocrinol. 2011;7(9):540-557. https://doi.org/10.1038/nrendo.2011.81.
- McAllion SJ, Paterson CR. Causes of death in osteogenesis imperfecta. J Clin Pathol. 1996;49(8):627-630. https://doi.org/10.1136/jcp.49.8.627.
- Van Dijk FS, Sillence DO. Osteogenesis imperfecta: clinical diagnosis, nomenclature and severity assessment. Am J Med Genet A. 2014;164A(6):1470-1481. https://doi.org/10.1002/ajmg.a.36545.
- Marini JC, Forlino A, Cabral WA, et al. Consortium for osteogenesis imperfecta mutations in the helical domain of type I collagen: regions rich in lethal mutations align with collagen binding sites for integrins and proteoglycans. Hum Mutat. 2007;28(3):209-221. https://doi.org/10.1002/humu.20429.
- Rauch F, Glorieux FH. Osteogenesis imperfecta. Lancet. 2004;363(9418):1377-1385. https://doi.org/10.1016/s0140-6736(04)16051-0.
- Ishikawa Y, Bachinger HP. A molecular ensemble in the rER for procollagen maturation. Biochim Biophys Acta. 2013;1833(11):2479-2491. https://doi.org/10.1016/j.bbamcr.2013.04.008.
- Bacon S, Crowley R. Developments in rare bone diseases and mineral disorders. Ther Adv Chronic Dis. 2018;9(1):51-60. https://doi.org/10.1177/ 2040622317739538.
- Rauch F, Moffatt P, Cheung M, et al. Osteogenesis imperfecta type V: marked phenotypic variability despite the presence of the IFITM5 c.-14C>T mutation in all patients. J Med Genet. 2013;50(1):21-24. https://doi.org/10.1136/jmedgenet-2012-101307.
- Semler O, Garbes L, Keupp K, et al. A mutation in the 5’-UTR of IFITM5 creates an in-frame start codon and causes autosomal-dominant osteogenesis imperfecta type V with hyperplastic callus. Am J Hum Genet. 2012;91(2):349-357. https://doi.org/10.1016/j.ajhg.2012.06.011.
- Morello R, Bertin TK, Chen Y, et al. CRTAP is required for prolyl 3- hydroxylation and mutations cause recessive osteogenesis imperfecta. Cell. 2006;127(2):291-304. https://doi.org/10.1016/j.cell.2006.08.039.
- Sillence DO, Senn A, Danks DM. Genetic heterogeneity in osteogenesis imperfecta. J Med Genet. 1979;16(2):101-116. https://doi.org/10.1136/jmg.16.2.101.
- Thomas IH, DiMeglio LA. Advances in the Classification and Treatment of Osteogenesis Imperfecta. Curr Osteoporos Rep. 2016;14(1):1-9. https://doi.org/10.1007/s11914-016-0299-y.
- Bonafe L, Cormier-Daire V, Hall C, et al. Nosology and classification of genetic skeletal disorders: 2015 revision. Am J Med Genet A. 2015;167A(12):2869-2892. https://doi.org/10.1002/ajmg.a.37365.
- Warman ML, Cormier-Daire V, Hall C, et al. Nosology and classification of genetic skeletal disorders: 2010 revision. Am J Med Genet A. 2011;155A(5):943-968. https://doi.org/10.1002/ajmg.a.33909.
- Trejo P, Rauch F. Osteogenesis imperfecta in children and adolescents-new developments in diagnosis and treatment. Osteoporos Int. 2016;27(12):3427-3437. https://doi.org/10.1007/s00198-016-3723-3.
- Zarate YA, Clingenpeel R, Sellars EA, et al. COL1A1 and COL1A2 sequencing results in cohort of patients undergoing evaluation for potential child abuse. Am J Med Genet A. 2016;170(7):1858-1862. https://doi.org/10.1002/ajmg.a.37664.
- Hoyer-Kuhn H, Netzer C, Koerber F, et al. Two years’ experience with denosumab for children with osteogenesis imperfecta type VI. Orphanet J Rare Dis. 2014;9:145. https://doi.org/10.1186/s13023-014-0145-1.
- Sule G, Campeau PM, Zhang VW, et al. Next-generation sequencing for disorders of low and high bone mineral density. Osteoporos Int. 2013;24(8):2253-2259. https://doi.org/10.1007/s00198-013-2290-0.
- Bardai G, Moffatt P, Glorieux FH, Rauch F. DNA sequence analysis in 598 individuals with a clinical diagnosis of osteogenesis imperfecta: diagnostic yield and mutation spectrum. Osteoporos Int. 2016;27(12):3607-3613. https://doi.org/10.1007/s00198-016-3709-1.
- Игнатович О.Н., Намазова-Баранова Л.С., Маргиева Т.В., и др. Несовершенный остеогенез: особенности диагностики // Педиатрическая фармакология. – 2018. – T. 15. – № 3. – С. 224–232. [Ignatovich ON, Namazova-Baranova LS, Margieva TV, et al. Osteogenesis imperfecta: diagnostic feature. Pediatric pharmacology. 2018;15(3):224-232. (In Russ.)]. https://doi.org/10.15690/pf.v15i3.1902.
- Tournis S, Dede AD. Osteogenesis imperfecta — A clinical update. Metabolism. 2018;80:27-37. https://doi.org/10.1016/j.metabol.2017.06.001.
- Biggin A, Munns CF. Osteogenesis imperfecta: diagnosis and treatment. Curr Osteoporos Rep. 2014;12(3):279-288. https://doi.org/10.1007/s11914-014-0225-0.
- Marr C, Seasman A, Bishop N. Managing the patient with osteogenesis imperfecta: a multidisciplinary approach. J Multidiscip Healthc. 2017;10:145-155. https://doi.org/10.2147/JMDH.S113483.
- Montpetit K, Palomo T, Glorieux FH, et al. Multidisciplinary treatment of severe osteogenesis imperfecta: functional outcomes at skeletal maturity. Arch Phys Med Rehabil. 2015;96(10):1834-1839. https://doi.org/10.1016/j.apmr.2015.06.006.
- Morello R. Osteogenesis imperfecta and therapeutics. Matrix Biol. 2018;71-72:294-312. https://doi.org/10.1016/j.matbio.2018.03.010.
- Щеплягина Л.А., Полякова Е.Ю., Белова Н.А. Несовершенный остеогенез у детей: известные и неизвестные факты // Лечение и профилактика. – 2017. – № 1. – С. 5–11. [Shcheplyagina LA, Polyakova EY, Belova NA. The imperfect osteogenesis in children: the well-known and unknown factors. Lechenie i profilaktika. 2017;1(21):5-11. (In Russ.)]
- Glorieux FH, Bishop NJ, Plotkin H, et al. Cyclic administration of pamidronate in children with severe osteogenesis imperfecta. N Engl J Med. 1998;339(14):947-952. https://doi.org/10.1056/NEJM199810013391402.
- Edouard T, Glorieux FH, Rauch F. Predictors and correlates of vitamin D status in children and adolescents with osteogenesis imperfecta. J Clin Endocrinol Metab. 2011;96(10):3193-3198. https://doi.org/10.1210/jc.2011-1480.
- Pepin MG, Byers PH. What every clinical geneticist should know about testing for osteogenesis imperfecta in suspected child abuse cases. Am J Med Genet C Semin Med Genet. 2015;169(4):307-313. https://doi.org/10.1002/ajmg.c.31459.
- Gatti D, Antoniazzi F, Prizzi R, et al. Intravenous neridronate in children with osteogenesis imperfecta: a randomized controlled study. J Bone Miner Res. 2005;20(5):758-763. https://doi.org/10.1359/JBMR.041232.
- Shi CG, Zhang Y, Yuan W. Efficacy of bisphosphonates on bone mineral density and fracture rate in patients with osteogenesis imperfecta: a systematic review and meta-analysis. Am J Ther. 2016;23(3):e894-904. https://doi.org/10.1097/MJT.0000000000000236.
- Костик М.М., Чикова И.А., Бучинская Н.В., и др. Опыт терапии бисфосфонатами детей с несовершенным остеогенезом // Лечение и профилактика. – 2014. – № 3. – С. 13–20. [Kostik MM, Chikova IA, Buchinskaya NV, et al. The experience of bisphosphonates therapy of children with osteogenesis imperfecta. Lechenie i profilaktika. 2014;(3):13-20. (In Russ.)]
- Marom R, Lee YC, Grafe I, Lee B. Pharmacological and biological therapeutic strategies for osteogenesis imperfecta. Am J Med Genet C Semin Med Genet. 2016;172(4):367-383. https://doi.org/10.1002/ajmg.c.31532.
- Sato A, Ouellet J, Muneta T, et al. Scoliosis in osteogenesis imperfecta caused by COL1A1/COL1A2 mutations — genotype-phenotype correlations and effect of bisphosphonate treatment. Bone. 2016;86:53-57. https://doi.org/10.1016/j.bone.2016.02.018.
- Hald JD, Evangelou E, Langdahl BL, Ralston SH. Bisphosphonates for the prevention of fractures in osteogenesis imperfecta: meta-analysis of placebo-controlled trials. J Bone Miner Res. 2015;30(5):929-933. https://doi.org/10.1002/jbmr.2410.
- Rijks EB, Bongers BC, Vlemmix MJ, et al. Efficacy and safety of bisphosphonate therapy in children with osteogenesis imperfecta: a systematic review. Horm Res Paediatr. 2015;84(1):26-42. https://doi.org/10.1159/000381713.
- Яхяева Г.Т., Намазова-Баранова Л.С., Маргиева Т.В. Опыт применения памидроновой кислоты в терапии у детей с несовершенным остеогенезом // Российский педиатрический журнал. – 2016. – Т. 19. – № 5. – С. 282–287. [Yakhyaeva GT, Namazova-Baranova LS, Margieva TV. Experience of the application of pamidronic acid in the therapy in children with osteogenesis imperfecta. Russian journal of pediatrics. 2016;19(5):282-287. (In Russ.)]. https://doi.org/10.18821/1560-9561-2016-19(5)-282-287.
- Munns CF, Rauch F, Zeitlin L, et al. Delayed osteotomy but not fracture healing in pediatric osteogenesis imperfecta patients receiving pamidronate. J Bone Miner Res. 2004;19(11):1779-1786. https://doi.org/10.1359/JBMR.040814.
- Anam EA, Rauch F, Glorieux FH, et al. Osteotomy healing in children with osteogenesis imperfecta receiving bisphosphonate treatment. J Bone Miner Res. 2015;30(8):1362-1368. https://doi.org/10.1002/jbmr.2486.
- Dwan K, Phillipi CA, Steiner RD, Basel D. Bisphosphonate therapy for osteogenesis imperfecta. Cochrane Database Syst Rev. 2014(7):CD005088. https://doi.org/10.1002/14651858.CD005088.pub3.
- Semler O, Netzer C, Hoyer-Kuhn H, et al. First use of the RANKL antibody denosumab in osteogenesis imperfecta type VI. J Musculoskelet Neuronal Interact. 2012;12(3):183-188.
- Hoyer-Kuhn H, Franklin J, Allo G, et al. Safety and efficacy of denosumab in children with osteogenesis imperfect — a first prospective trial. J Musculoskelet Neuronal Interact. 2016;16(1):24-32. PMC5089451 conflict of interest relevant to this article.
- Antoniazzi F, Monti E, Venturi G, et al. GH in combination with bisphosphonate treatment in osteogenesis imperfecta. Eur J Endocrinol. 2010;163(3):479-487. https://doi.org/10.1530/EJE-10-0208.
- Lindsay R, Krege JH, Marin F, et al. Teriparatide for osteoporosis: importance of the full course. Osteoporos Int. 2016;27(8):2395-2410. https://doi.org/10.1007/s00198-016-3534-6.
- Sinder BP, Salemi JD, Ominsky MS, et al. Rapidly growing Brtl/+ mouse model of osteogenesis imperfecta improves bone mass and strength with sclerostin antibody treatment. Bone. 2015;71:115-123. https://doi.org/10.1016/j.bone.2014.10.012.
- Grafe I, Yang T, Alexander S, et al. Excessive transforming growth factor-beta signaling is a common mechanism in osteogenesis imperfecta. Nat Med. 2014;20(6):670-675. https://doi.org/10.1038/nm.3544.
- Сергеев В.С., Тихоненко Т.И., Буклаев Д.С., и др. Клеточная терапия несовершенного остеогенеза // Гены & клетки. – 2016. – Т. 11. – № 4. – С. 22–33. [Sergeev VS, Tikhonenko TI, Buklaev DS, et al. Cell therapy of osteogenesis imperfecta. Genes and cells. 2016;11(4):22-23. (In Russ.)]
- Fassier F, Esposito P, Sponseller P, et al. Multicenter radiological assessment of the Fassier-Duval femoral rodding. In: Proceedings of the Annual meeting of the Pediatric Orthopaedic Society of North America (POSNA); 2006 May 2-6; San Diego, California.
- Wilkinson JM, Scott BW, Clarke AM, Bell MJ. Surgical stabilisation of the lower limb in osteogenesis imperfecta using the Sheffield telescopic intramedullary rod system. J Bone Joint Surg Br. 1998;80-B(6):999-1004. https://doi.org/10.1302/0301-620x.80b6.0800999.
- Esposito P, Plotkin H. Surgical treatment of osteogenesis imperfecta: current concepts. Curr Opin Pediatr. 2008;20(1):52-57. https://doi.org/10.1097/MOP.0b013e3282f35f03.
- el-Sobky MA, Hanna AA, Basha NE, et al. Surgery versus surgery plus pamidronate in the management of osteogenesis imperfecta patients: a comparative study. J Pediatr Orthop B. 2006;15(3):222-228. https://doi.org/10.1097/01.bpb.0000192058.98484.5b.
- Ruck J, Dahan-Oliel N, Montpetit K, et al. Fassier-Duval femoral rodding in children with osteogenesis imperfecta receiving bisphosphonates: functional outcomes at one year. J Child Orthop. 2011;5(3):217-224. https://doi.org/10.1007/s11832-011-0341-7.
- Sofield HA, Millar A. Fragmentation, realignment, and intramedullary rod fixation of deformities of the long bones in children: a ten year appraisal. J Bone Joint Surg. 1959;41(8):1371-1391.
- Bailey RW, Dubow HI. Studies of longitudinal bone growth resulting in an extensible nail. Surg Forum. 1963;14:455-458.
- Fassier F, Duval P. New concept for telescoping rodding in osteogenesis imperfecta: preliminary results. In: Proceedings of the Annual meeting of the Pediatric Orthopaedic Society of North America (POSNA); 2001 May 2-5; Cancun, Mexico.
- Cho TJ, Choi IH, Chung CY, et al. Interlocking telescopic rod for patients with osteogenesis imperfecta. J Bone Joint Surg Am. 2007;89(5):1028-1035. https://doi.org/10.2106/JBJS.F.00814.
- Li YH, Chow W, Leong JC. The Sofield-Millar operation in osteogenesis imperfecta. A modified technique. J Bone Joint Surg Br. 2000;82(1):11-16. https://doi.org/10.1302/0301-620X.82B1.0820011.
- Enright WJ, Noonan KJ. Bone plating in patients with type III osteogenesis imperfecta: results and complications. Iowa Orthop J. 2006;26:37-40.
- Cho TJ, Lee K, Oh CW, et al. Locking plate placement with unicortical screw fixation adjunctive to intramedullary rodding in long bones of patients with osteogenesis imperfecta. J Bone Joint Surg Am. 2015;97(9):733-737. https://doi.org/10.2106/JBJS.N.01185.
- Мингазов Э.Р., Попков А.В., Кононович Н.А., и др. Результаты применения интрамедуллярного трансфизарного эластичного армирования у пациентов с тяжелыми формами несовершенного остеогенеза // Гений ортопедии. – 2016. – № 4. – C. 6–16. [Mingazov ER, Popkov AV, Kononovich NA, et al. Results of using transphyseal elastic intramedullary nailing in patients with severe types of osteogenesis imperfecta. Genij ortopedii. 2016;(4):6-16. (In Russ.)]. https://doi.org/10.18019/1028-4427-2016-4-6-16.
- Gamble JG, Rinsky LA, Strudwick J, Bleck EE. Non-union of fractures in children who have osteogenesis imperfecta. J Bone Joint Surg Am. 1988;70(3):439-443.
- Ashby E, Montpetit K, Hamdy RC, Fassier F. Functional outcome of humeral rodding in children with osteogenesis imperfecta. J Pediatr Orthop. 2018;38(1):49-53. https://doi.org/10.1097/BPO.0000000000000729.
- Hoyer-Kuhn H, Semler O, Stark C, et al. A specialized rehabilitation approach improves mobility in children with osteogenesis imperfecta. J Musculoskelet Neuronal Interact. 2014;14(4):445-453.
Supplementary files
 
				
			 
					 
						 
						 
									
 
  
  
  
  
  Email this article
			Email this article 









