The use of orthotics in a patient with congenital backbone deformation after surgical treatment
- Authors: Murashko V.V.1, Kokushin D.N.1, Vissarionov S.V.1, Lein G.A.2, Pavlov I.V.3,4, Redchenko I.A.1,3
- 
							Affiliations: 
							- The Turner Scientific Research Institute for Children’s Orthopedics
- The Prosthetic and Orthopedic Center “Scoliologic.ru”
- LLC “NWSPC “Ortetica”
- LLC “SIE “Stylian”
 
- Issue: Vol 6, No 4 (2018)
- Pages: 103-109
- Section: Clinical cases
- Submitted: 10.01.2019
- Accepted: 10.01.2019
- Published: 29.12.2018
- URL: https://journals.eco-vector.com/turner/article/view/10863
- DOI: https://doi.org/10.17816/PTORS64103-109
- ID: 10863
Cite item
Abstract
Introduction. New questions of indications and methods of surgical treatment of children with congenital spinal deformity are covered in detail. However, straightening deformed segment of the spine and fixing with metal construction is not sufficient, and conditions for its retention and prevention of migration must be created. The expediency of the study is relevant because of lack of systematic review of the results of orthotic support as complex treatment of this group of patients, both in Russia and abroad. The problems faced by vertebral surgeons are the following: the tendency of deformation relapse as the child grows, tendency of deformation of unfixed (lower and upper) segments of the vertebral column.
Clinical case. For observation, we selected an 11-year-old patient. The diagnosis was congenital scoliosis on posterolateral hemivertebra Th4, dysplastic course of congenital spinal deformity. The surgical treatment performed was extirpation of hemivertebra Th4(S) and the correction of local congenital deformity with multicore corrective system in combination with bone grafting. We achieved complete correction of congenital local curve at the level of the posterior lateral hemivertebra and reduction of compensatory curves in the thoracic and lumbar spine. In the postoperative period, the patient was provided with corrective brace, with the aim of influencing on the compensatory curve.
Discussion. This clinical observation aimed to determine the different approaches to treatment of children with congenital deformities of the thoracic spine, which consists of surgical correction of local congenital curvature curve with subsequent correction of compensatory curves by using a correcting brace.
Conclusion. As a result of the surgical intervention, correction of congenital spinal deformity was achieved, and the use of a corrective brace in the postoperative period allowed the correction of compensatory curves and maintained the achieved result until the end of the patient’s growth.
Full Text
Introduction
In children, the incidence of congenital scoliosis caused by abnormal vertebral development ranges from 2%–11% [1]. According to literary sources, approximately 50% of the children in the growth and development stages are prone to the progressive nature of congenital scoliosis, leading to the formation of severe and rigid spinal deformities at preschool age, which are often accompanied by neurologic impairment [2, 3].
In the studies by Russian and foreign experts, the issues of indications and methods of surgical treatment of pediatric congenital spinal deformities with vertebral anomalies have been sufficiently discussed. The authors have indicated that surgical treatment with fixation of a minimal number of vertebral motor segments should be given to the patients with congenital spinal deformity at an early age. Besides, it is advisable to provide spinal support by surgical hardware elements on the vertebrae adjacent to the abnormal 
one [4, 5].
However, the issue of orthotics has been encountered in pediatric congenital scoliosis during the postoperative period. A panel of researchers argues the use of spinal support following the correction of congenital spinal deformity. Further, the stabilization of the result achieved with the use of a surgical hardware is not indicated because it could lead to back muscle weakness. In addition, they believe that the patient should practice proper posture by keeping the torso in the correct position, thereby allowing his own pectoral muscle sling [6]. Besides, other experts believe that after surgical correction of congenital curvature, it is necessary to use semi-rigid fixation spinal supports to maintain the postoperative result, ensuring an optimal condition for the formation of bone block in the vertebral motor segment [7]. A number of authors recommend the use of hard (plastic) spinal supports, after the intervention. They believe that only with the use of this type of additional external fixation of the spine, it is possible to maintain the achieved correction of congenital deformity and obtain a stable bone block in the area of surgery. However, the aforementioned studies do not comprise the versions of postoperative orthoses (fixing or corrective) that are necessary to be used in children with congenital scoliosis [8–10].
Finding orthotic solution for patients with congenital spinal deformity associated with compensatory curve, in contrast to the main arch with an abnormal vertebra, remains the most challenging, and it is yet to be fully resolved. To date, there is no comprehensive study on the postoperative orthotics for pediatric patients.
The present clinical observation shows approaches to the treatment of an 11-year-old child with congenital deformity of the thoracic spine. Corrective spinal surgery was performed to correct the local congenital arch of curvature. Postoperatively, spinal support was implemented to correct the compensatory anti-curvature arches throughout the patient’s growth phase.
Clinical case
Patient F., born in 2003, was admitted to the Turner Scientific Research Institute for Children’s Orthopedics with a diagnosis of congenital scoliosis with a vertebral anomaly, posterolateral hemivertebra Th4, and a dysplastic course of congenital deformity of the spine. Based on the anamnesis of the patient, spinal deformity was revealed at the age of 11 during a routine examination at a clinic in a primary health care facility. After undergoing a radiological examination of the spine in two views, the patient was subsequently referred to the Turner Scientific Research Institute for Children’s Orthopedics for consultation.
Upon admission, the patient was comprehensively examined and consulted by experts.
The anamnesis comprised the data that the parents of this patient had noticed clinical manifestations of spinal deformity at the age of 7, as evidenced by the asymmetry of the shoulder girdles and the different heights of the angles of shoulder blades. When referring to the specialists, the situation of patient was regarded as a postural disorder. Conservative treatment was prescribed, and no radiological examination was performed. Despite the treatment, the deformity continued to gradually progress. At the age of 10, a curvature was evident in the lower part of the spine. One year later, radiological examination was performed. The orthopedic status revealed that the patient did not limp and could independently walk. However, there was a head tilt to the right, marked asymmetry of the shoulder girdles, waist triangles, multiplanar deformity of the spine and chest, and pelvic distortion to the left. In addition, deviations of the spinal axis to the left in the upper thoracic region, to the right in the thoracic region, and to the left in the lumbar region were observed. Orthopedic status of the upper and lower extremities did not show any abnormality.
Upon examination by a neurologist, no focal neurological symptoms were revealed.
Laboratory data were within the normal age limits.
ECG showed sinus rhythm with a heart rate of 78 beats per minute.
Ultrasound examination of the abdominal organs and kidneys revealed no echo structural changes.
A pediatrician did not identify any acute somatic or infectious disease. Further, there were no contraindications to elective spinal surgery.
Radiographs of the spinal column revealed the existence of a hemivertebra at Th4 vertebral level with deformity angles, where the upper thoracic left-sided local scoliotic arch at the level of the hemivertebra was 30°, and the local kyphosis was 31°. Moreover, right-sided scoliotic chest arch was 36°, and the thoracolumbar scoliotic left-sided arch was 22°, according to Cobb. The size of the thoracic kyphosis was 36°, and the value of lumbar lordosis was 39°, according to 
Cobb.
MSCT and MRI studies did not reveal any intracanal pathology.
Based on the complaints, anamnesis, and clinical radiological picture, the final diagnoses were congenital scoliosis with the impairment of the formation of vertebrae, complete posterolateral hemivertebra Th4 on the left, and dysplastic course of congenital spinal deformity.
The radiographs of the spine of the patient upon admission to surgical treatment of congenital spinal deformity are presented in Fig. 1.
Fig. 1. Radiographs of the spine of the patient F., 11 years old, in two views before the surgical treatment
Considering the pronounced static-dynamic impairment of the spine and the progressive nature of congenital spine deformities in the pediatric patient, a corrective spinal surgery was decided to be performed. The patient showed a continuous growth in the congenital local arch of the curvature. Therefore, surgical treatment was performed in the volume of extirpation of the posterolateral hemivertebra Th4(S), where multiple-seated corrective system combined with bone grafting were adopted to correct the local congenital spinal deformity. The entire scope of surgical intervention was performed from the posterior approach according to the standard method [4]. Postoperatively, no neurological complications were reported.
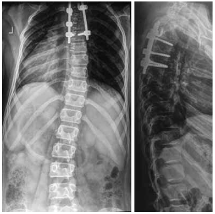
After the surgical treatment, control radiographs revealed a radical corrected local congenital spinal deformity in upper thoracic region, the multi-support surgical hardware (4 transpedicular support elements and 1 infra-laminar support hook) installed in the vertebrae Th3, Th5, and Th6 were correct and stable. Right-sided scoliotic arch at the level of the vertebrae Th7–Th10 was 15°, and the left-sided arch at the level of L1–L4 was 11° (Fig. 2).
Fig. 2. Radiographs of the spine of the patient F., 11 years old, in two views after the surgical treatment
After the surgical treatment, a completely corrected congenital local arch of curvature at the level of the posterolateral hemivertebra and reduced scoliotic deformity arches in the thoracic and lumbar regions were recorded. The size of the thoracic kyphosis was 38°, whereas that of lumbar lordosis was 42°, according to Cobb, and it was within the physiological norm. Besides, the laminar hook was installed on the concave side of the curvature at the level of the posterolateral hemivertebra due to the small size of the base of the arch of the vertebra Th3 and Th2, which did not allow the transpedicular screw to be inserted.
The postoperative period was uneventful and healing occurred by primary adhesion. To make a rigid spinal support for the bed-resting patient, a virtual negative image of his body was made using a portable 3D scanner without plaster casts. A special program was used to process the negative image of the orthosis, and the positive image of the patient’s body was subsequently created on a machine with numerical control. Taking the residual values of spinal deformity in the thoracic and lumbar regions into account, a spinal support of low-pressure thermoplastic was made for the patient. The orthosis has pressure zones (bandages) in the region of the apexes of the curvature and unloading on the opposite side in accordance with the radiological pattern and the extent of the deformity. On postoperative day 7, the patient was put on his feet and equipped with a rigid spinal support. In addition, the patient was recommended to wear the spinal support for 18–20 h per day, massage the upper and lower extremities, and perform breathing exercises.
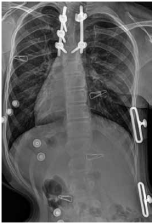
After 4 months, a follow-up examination reported no complaints. A control radiograph of the spine with spinal support, in standing frontal view, was performed. The position of the surgical hardware was radiologically stable and correct. There was no loss of the achieved correction. In addition, there was a right-sided scoliotic arch Th7–Th10 of magnitude 9°, and a left-sided scoliotic arch L1–L4 of 12°, according to Cobb (Fig. 3).
Fig. 3. Radiographs of the spine of the patient F., 11 years old, after surgical treatment, in a spinal support
During the entire follow-up period, the patient was on a spinal support for 20 h a day, received courses of conservative treatment, and underwent periodic follow-up examinations. Ten months after the surgical treatment, follow-up examination revealed that a replacement of the spinal support was necessitated because the pediatric patient had grown by 7 cm. The pressure was strengthened by the orthosis bandages to achieve a better correction of residual curvature angles in the thoracic and lumbar regions. The patient did not have any complaint. Improvement in the appearance of the patient was clinically marked. There was a decrease in the size of the costal humpback in the thoracic region, the symmetrical arrangement of the shoulder girdle and the angles of the shoulder blades were evident, and pelvic distortion was solved. Nonetheless, the asymmetry of the waist triangles demonstrated only minimal improvement. A radiograph of the spine without spinal support, in standing and frontal view, was made. The position of the surgical hardware was reported to be radiologically stable and correct. There was no loss of the achieved correction, and the residual deformity arches in the thoracic and lumbar spine were corrected (Fig. 4).
Fig. 4. Radiographs of the spine of the patient F., 12 years old, 1 year after the surgical treatment, in a spinal support
Over the next 3 years, the pediatric patient was supervised with a spinal support, and the previous mode of wearing an orthosis was observed. Moreover, the patient underwent control examinations every 4 months and an imaging study every 6 months, received courses of conservative treatment, back massage (excluding the postoperative scar area), and did swimming. During this period of observation, one more replacement of the spinal support was required, and several additional corrections were performed during the follow-up period. During this period, the growth of the patient had increased by another 3 cm. At the age of 14, the patient had menses, and the height of the child between the ages of 14 and 15 did not change. A stable pattern was clinically observed, as manifested by a symmetrical arrangement of the shoulder girdles and angles of the shoulder blades, the absence of pelvic distortion, and the presence of slight asymmetry of the waist triangles. At the age of 14.5, a gradual withdrawal of the spinal support had started, during which the time spent without spinal support gradually increased, starting from night period. During this time without spinal support, the patient was actively engaged in physical therapy aimed to strengthen the muscles of the back, shoulder girdle, and abdominal tension. In addition, the patient did swimming and received back massage courses. Courses of conservative therapy enabled the patient to completely exclude the spinal support for 6 months. At the age of 15, the control spinal imaging study was performed. On the radiographs, the position of the surgical hardware in the upper thoracic region was correct and stable. There was no loss of the achieved correction of the deformity as compared to that of postoperative period. There was a right-sided scoliotic arch of Th7–Th10 of 5°, and a left-sided scoliotic arch of L1–L4 of 8° (Fig. 5).
Fig. 5. Radiographs of the spine of the patient F., 15 years old, in a standing position without spinal support
Thus, corrective spinal surgery, followed by postoperative spinal support could produce a satisfactory result in the treatment of congenital spinal deformity.
Discussion
To date, various approaches have been used to determine the management of congenital spinal deformities in pediatric children. Some authors recommend conservative treatment, including active functional orthotics combined with physical therapy, back massage, and hydrotherapeutic procedures, until the end phase of the growth of pediatric patient. Conversely, surgical treatments have been performed during the period of growth completion following the second growth spurt [11–13]. In the present case, the surgical hardware was installed throughout the entire deformed section or sections of the spinal column.
Furthermore, other experts recommend immediate surgical treatment upon detection and confirmation of the progressive nature of the congenital deformity. Such strategy involves the implementation of multiple-staged surgical interventions, where an extended surgical hardware can be used to correct the congenital curvature in pediatric patient in the active growth phase. Upon completion of the growth period, the final stage of treatment consists of the installation of a multi-support extended surgical hardware and bone grafting [14].
The present case devotes a practical approach to the correction of congenital spinal deformity in a pediatric patient in the active growth phase.
Conclusion
It is evident that the local congenital curvature, in the upper thoracic spine and at the level of the abnormal vertebra, can be completely corrected by instrumentally fixing a minimal number of vertebral motor segments. In addition, the surgery reduced the size of deformity arches in the thoracic and lumbar spine. The use of a corrective orthosis enabled additional correction to the anti-curvature arches in the thoracic and lumbar regions, and maintenance of the postoperative result until the growth of pediatric patient had ceased. Furthermore, fixing the minimum number of vertebral motor segments at the level of the abnormal vertebra created an optimal condition for the active growth of the spine and provided opportunities for the motor activity of the spinal column.
Additional information
Source of funding. This observation has no sponsorship.
Conflict of interest. The authors declare no conflict of interest.
Ethical review. Patient representatives (parents) have given written consent to the processing and publication of all personal data for scientific purposes.
Contribution of the authors
V.V. Murashko, D.N. Kokushin, and S.V. Vissarionov performed surgical treatment of the patient, edited the article, and assessed the results of complex treatment.
G.A. Lein, I.V. Pavlov, and I.A. Redchenko performed postoperative orthotics with a functional correcting spinal support, wrote the text of the article, evaluated the results of the complex treatment.
About the authors
Vladislav V. Murashko
The Turner Scientific Research Institute for Children’s Orthopedics
							Author for correspondence.
							Email: partgerm@yandex.ru
				                					                																			                								
MD, Orthopedic and Trauma Surgeon of the Department of Spine Pathology and Neurosurgery
Russian Federation, 64, Parkovaya str., Saint-Petersburg, Pushkin, 196603Dmitry N. Kokushin
The Turner Scientific Research Institute for Children’s Orthopedics
														Email: partgerm@yandex.ru
				                					                																			                								
MD, PhD, Senior Research Associate of the Department of Pathology of the Spine and Neurosurgery
Russian Federation, 64, Parkovaya str., Saint-Petersburg, Pushkin, 196603Sergei V. Vissarionov
The Turner Scientific Research Institute for Children’s Orthopedics
														Email: vissarionovs@gmail.com
				                	ORCID iD: 0000-0003-4235-5048
				                																			                								
MD, PhD, Professor, Deputy Director for Research and Academic Affairs, Head of the Department of Spinal Pathology and Neurosurgery
Russian Federation, 64, Parkovaya str., Saint-Petersburg, Pushkin, 196603Grigoriy A. Lein
The Prosthetic and Orthopedic Center “Scoliologic.ru”
														Email: lein@scoliologic.ru
				                					                																			                								
MD, PhD, Orthopedic and Trauma Surgeon, General Director of the Prosthetic and Orthopedic Center “Scoliologic.ru”
Russian Federation, Saint PetersburgIvan V. Pavlov
LLC “NWSPC “Ortetica”; LLC “SIE “Stylian”
														Email: johnkorset@yandex.ru
				                	ORCID iD: 0000-0002-0412-6351
				                																			                								
Ivan V. Pavlov — MD, PhD, Orthopedic and Trauma Surgeon, General Director of the LLC “NWSPC “Ortetica” and LLC “SIE “Stylian”
Russian Federation, Saint PetersburgIgnatiy A. Redchenko
The Turner Scientific Research Institute for Children’s Orthopedics; LLC “NWSPC “Ortetica”
														Email: johnkorset@yandex.ru
				                					                																			                								
MD, Orthopedic and Trauma Surgeon, PhD Student of the Department of Spine Pathology and Neurosurgery
Russian Federation, 64, Parkovaya str., Saint-Petersburg, Pushkin, 196603; Saint-PetersburgReferences
- Ульрих Э.В. Аномалии позвоночника у детей. Руководство для врачей. – СПб.: Сотис, 1995. [Ul’rikh EV. Anomalii pozvonochnika u detey. Rukovodstvo dlya vrachey. Saint Petersburg: Sotis; 1995. (In Russ.)]
- Виссарионов С.В., Картавенко К.А., Кокушин Д.Н., Ефремов А.М. Хирургическое лечение детей с врожденной деформацией грудного отдела позвоночника на фоне нарушения формирования позвонков // Хирургия позвоночника. – 2013. – № 2. – С. 32–37. [Vissarionov SV, Kartavenko KA, Kokushin DN, Efremov AM. Surgical treatment of children with congenital thoracic spine deformity associated with vertebral malformation. Spine Surgery. 2013;(2):32-37. (In Russ.)]
- Еликбаев Г.М., Хачатрян В.А., Осипов И.Б., Сарычев С.А. Эпидемиология и ранняя диагностика врожденных пороков развития позвоночника и спинного мозга // Вопросы современной педиатрии. – 2008. – Т. 7. – № 4. – С. 58–61. [Elikbaev GM, Khachatryan VA, Osipov IB, Sarychev SA. Epidemiology and early diagnosis of congenital malformations of spinal column and spinal cord. Current pediatrics. 2008;7(4):58-61. (In Russ.)]
- Виссарионов С.В., Кокушин Д.Н., Белянчиков С.М., Ефремов А.М. Хирургическое лечение детей с врожденной деформацией верхнегрудного отдела позвоночника // Хирургия позвоночника. – 2011. – № 2. – С. 35–40. [Vissarionov SV, Kokushin DN, Belyanchikov SM, Efremov AM. Surgical treatment of children with congenital deformity of the upper thoracic spine. Spine surgery. 2011;(2):35-40. (In Russ.)]
- Kaspiris A, Grivas TB, Weiss HR, Turnbull D. Surgical and conservative treatment of patients with congenital scoliosis: alpha search for long-term results. Scoliosis. 2011;6:12. doi: 10.1186/1748-7161-6-12.
- Волчкович Л.Г., Кибасова М.В., Косянчук Т.В. Опыт физической реабилитации детей после оперативного лечения сколиоза // Тихоокеанский медицинский журнал. – 2016. – № 4. – C. 81–83. [Volchkovich LG, Kibasova MV, Kosyanchuk TV. Experience of physical rehabilitation of children after surgical treatment of scoliosis. Pacific medical journal. 2016;(4):81-83. (In Russ.)]. doi: 10.17238/PmJ1609-1175.2016.4.81-83.
- Физическая и реабилитационная медицина: национальное руководство / Под ред. Г.Н. Пономаренко. – М.: ГЭОТАР-Медиа, 2016. [Fizicheskaya i reabilitatsionnaya meditsina: natsional’noe rukovodstvo. Ed by G.N. Ponomarenko. Moscow: GEOTAR-Media; 2016. (In Russ.)]
- Леин Г.А. Медицинская реабилитация пациентов школьного возраста, страдающих идиопатическим сколиозом: Дис. … канд. мед. наук. – СПб., 2012. [Lein GA. Meditsinskaya reabilitatsiya patsientov shkol’nogo vozrasta, stradayushchikh idiopaticheskim skoliozom [dissertation] Saint Petersburg; 2012. (In Russ.)]
- Тесаков Д.К., Альзоба С.В., Белецкий А.В., и др. Медицинская технология корсетной коррекции деформаций позвоночника // Xирургия позвоночника. – 2010. – № 4. – С. 30–40. [Tesakov DK, Al’zoba SV, Beletskiy AV, et al. Medical technology of brace correction of spinal deformities. Spine Surgery. 2010;(4):30-40. (In Russ.)]
- Weiss HR. Congenital scoliosis — presentation of three severe cases treated conservatively. Stud Health Technol Inform. 2008;140:310-313.
- Виссарионов С.В., Кокушин Д.Н., Картавенко К.А., Ефремов А.М. Хирургическое лечение детей с врожденной деформацией поясничного и пояснично-крестцового отделов позвоночника // Хирургия позвоночника. – 2012. – № 3. – С. 33–37. [Vissarionov SV, Kokushin DN, Kartavenko KA, Efremov AM. Surgical treatment of children with congenital deformity of the lumbar and lumbosacral spine. Hirurgiâ pozvonočnika. 2012;(3):33-37. (In Russ.)]. doi: 10.14531/ss2012.3.33-37.
- Rigo M, Reiter C, Weiss HR. Effect of conservative management on the prevalence of surgery in patients with adolescent idiopathic scoliosis. Pediatr Rehabil. 2003;6(3-4):209-214. doi: 10.1080/ 13638490310001642054.
- Врожденные деформации позвоночника // Ортопедия: национальное руководство / Под ред. С.П. Миронова, Г.П. Котельникова. – М.: ГЭОТАР-Медиа, 2008. – C. 262–310. [Vrozhdennye deformatsii pozvonochnika. In: Ortopediya: natsional’noe rukovodstvo. Ed by S.P. Mironov, G.P. Kotel’nikov. Moscow: GEOTAR-Media; 2008. P. 262-310. (In Russ.)]
- Михайловский М.В., Шуц С.А., Садовая Т.Н. Проблема механической коррекции сколиотической деформации в комплексе консервативного лечения // Хирургия позвоночника. – 2006. – № 4. – С. 33–39. [Mikhailovskiy MV, Shuts SA, Sadovaya TN. Problem of Scoliotic Deformity Mechanical Correction in a System of Conservative Treatment. Spine Surgery. 2006;(4):33–39. (In Russ.)]
Supplementary files
 
				
			 
					 
						 
						 
									
 
  
  
  
  
  Email this article
			Email this article 








