Effectiveness of achillotomy in children with arthrogryposis
- Authors: Trofimova S.I.1, Derevianko D.V.2, Kochenova E.A.1, Petrova E.V.1
-
Affiliations:
- The Turner Scientific Research Institute for Children’s Orthopedics
- Novorossiysk City Polyclinic No. 5 of the Health Ministry of the Krasnodar Region
- Issue: Vol 7, No 2 (2019)
- Pages: 51-60
- Section: Original Study Article
- Submitted: 10.02.2019
- Accepted: 27.05.2019
- Published: 01.07.2019
- URL: https://journals.eco-vector.com/turner/article/view/11028
- DOI: https://doi.org/10.17816/PTORS7251-60
- ID: 11028
Cite item
Abstract
Introduction. Ponseti method is a widespread treatment for clubfoot in children with arthrogryposis. Closed subcutaneous achillotomy in these patients could not completely rectify the equinus deformity due to tissue rigidity which often leads to reconsideration of the tenotomy principles.
Aim. This study aimed to formulate the anticipating criteria to assess the effectiveness of achillotomy in order to develop a different achillotomy approach for children with arthrogryposis.
Materials and methods. This study retrospectively analyzed closed subcutaneous achillotomy in 28 patients (56 feet) with arthrogryposis. The mean age of the patients was 5.4 months (range 2–8 months). The children were subdivided into two groups according to the residual equinus deformity after the completion of Ponseti serial casting. All patients were physically and radiographically examined.
Results and discussion. The first group included 12 patients (24 feet), which achieved foot neutral position or dorsiflexion ≥5° after achillotomy. The second group consisted of 16 patients (32 feet) with residual equinus after achillotomy who required surgery. X-ray images showed that the patients in the second group had significantly wider tibiocalcaneal angle and smaller talocalcaneal angle in lateral view (р < 0.01). The correction values of the equinus deformity after achillotomy in the children with arthrogryposis were greatly limited: 27° (20°–30°) and 19° (10°–30°) in the first and second groups, respectively.
Conclusion. Closed subcutaneous achillotomy for effective equinus elimination during clubfoot treatment by Ponseti method should be performed only after complete correction at the level of tarsal joints. X-ray examination of the feet is recommended for the children with arthrogryposis in order to evaluate the talocalcaneal divergence and heel position more comprehensively. Furthermore, the values of tibiocalcaneal and talocalcaneal angles in lateral view prior to achillotomy are essential prognostic factors of its effectiveness. Moreover, the severity of equinus contracture should be considered prior to achillotomy. Achilles tenotomy is inappropriate if equinus deformity exceeds 30°. In such cases, open surgery should be considered.
Keywords
Full Text
Introduction
Clubfoot occurs in 90% of pediatric patients with congenital multiple arthrogryposis (hereinafter referred to as arthrogryposis) [1–6]. The treatment of such patients is challenging for orthopedists due to the high rigidity of the tissues of the ankle joint and foot, resistance of the deformity to correction, tendency to relapse, and presence of concomitant contractures of the knee and hip joints [7–11].
Currently, most surgeons believe that the treatment of clubfoot should be started with staged casting [8–10, 12]. The method of Ponseti, which was first described in 1963, has now become popular [13]. This method has also been commonly used in the treatment of pediatric patients with clubfoot with arthrogryposis [6, 14–19, 20].
Closed subcutaneous achillotomy is the last stage in the course of the correction of the equino-cavo-adductor-varus deformity of the feet using this technique. Achillotomy in pediatric patients with arthrogryposis, given the high rigidity of the tissues (the Achilles tendon is often shortened and wide), does not ensure the possibility of complete correction of the equinus component, which makes revising the concept of its implementation necessary in many cases.
Our study aimed to develop the criteria for predicting the efficacy of achillotomy for applying a differentiated approach to its implementation in pediatric patients with arthrogryposis.
Materials and methods
The study consisted of a retrospective analysis of the results of a closed subcutaneous achillotomy that was performed as part of the treatment of clubfoot using the Ponseti method in 28 patients (56 feet) with congenital multiple arthrogryposis from 2010 to 2018.
The study excluded patients who previously underwent achillotomy before fixation of the foot with the first plaster cast (so-called early achillotomy) [11, 16, 21].
Clubfoot severity was assessed using the Pirani scale before the onset of treatment and before and after performing achillotomy. The angle of equinus deformity was determined during the clinical examination before and after achillotomy [22].
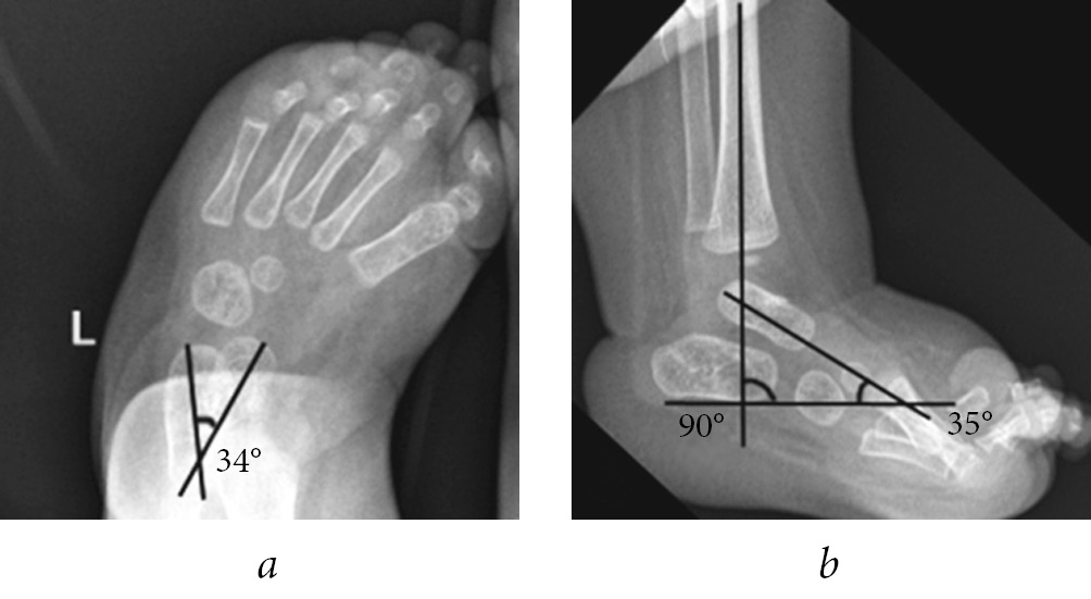
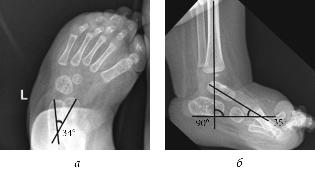
Radiography of the feet was performed in all pediatric patients before and after achillotomy and after plaster cast removal, in two standard views, namely, antero-posterior and lateral in the position of maximum dorsal flexion. After achillotomy, radiography of the feet was performed in a plaster cast immediately after manipulation. Radiographs were analyzed by evaluating the astragalocalcanean angle and astragalocalcanean and calcaneotibial angles in the antero-posterior and lateral views, respectively (Fig. 1).
Fig. 1. Radiograph of the foot of a 5-month-old infant: a — antero-posterior view: astragalocalcanean angle of 34°; b — lateral view: calcaneotibial angle of 90° and astragalocalcanean angle of 35°
The clubfoot elements were eliminated by staged casting using the Ponseti method with a gradual correction first of the cavus component, then inversion of the middle part of the foot and varus position of the calcaneus, followed by closed subcutaneous achillotomy, and the equinus component of the deformity was corrected [13]. Plaster casts were changed once every 5–7 days.
In pediatric patients with arthrogryposis, the treatment based on the abovementioned method had several aspects. First, the average number of casts used during the staged correction before achillotomy was 9.14 ± 0.25 (from 6 to 12), which was greater than that in the treatment of idiopathic clubfoot. Second, in some cases, after achillotomy, staged casting was continued (from one to three casts) for additional correction of equinus deformity.
Depending on the presence of a residual equinus after the end of the treatment according to Ponseti, 28 patients (56 feet) were divided into two groups. Group 1 included 12 patients (24 feet) who achieved the neutral position of the foot in the ankle joint or dorsal flexion of ≥5° was possible. In five patients of 12, equinus up to 10°, preserved after achillotomy, was eliminated during the staged casting for 1–3 weeks. Group 2 included 16 patients (32 feet) with residual equinus from 10° to 50°. All patients in group 2 required surgical intervention (posterior or posterior-medial release on the foot).
Groups 1 and 2 were compared on the basis of parameters, such as assessment on the Pirani scale before the treatment onset, before and after achillotomy, clinical assessment of the equinus deformity angle, and evaluation of X-ray before and after achillotomy and after plaster cast removal.
The study materials were subjected to statistical processing using the methods of parametric analysis. The accumulation, correction, systematization of the initial information, and visualization of the results obtained were performed in Microsoft Office Excel 2016 spreadsheets. Statistical analysis was performed using the STATISTICA 13.3 program (StatSoft Inc.). Quantitative indicators were evaluated using Shapiro–Wilk test for compliance with the normal distribution. The data obtained were combined into variation series, in which the arithmetic mean values (M) and standard deviations were calculated, the limits of the 95% confidence interval. Student’s t test was used to compare the mean values of the independent sets of quantitative data. The resulting values of Student’s t test were analyzed by comparison with critical values. Differences in indicators were considered statistically significant at p < 0.05. Paired Student’s t test was used to compare the mean calculated for related samples (values of the index before and after achillotomy). The resulting values of the paired Student’s t test were compared with critical values. Changes in the indicator were considered significant when the t value is greater than the critical value.
Results
The study included 16 boys and 12 girls with bilateral club foot. The mean age of patients during achillotomy was 5.4 months (range, 2–8 months). Table 1 shows the estimates of severity of foot deformity on a 6-point Pirani scale.
Table 1
Mean score of clubfoot severity on the Pirani scale in the patients of groups 1 and 2
Period of the severity assessment | Severity assessment, points | р | |
Group 1 | Group 2 | ||
Before plastering | 5.0 ± 0.2 | 5.2 ± 0.1 | 0.34 |
Before achillotomy | 2.5 ± 0.2 | 3.6 ± 0.1 | <0.01 |
After achillotomy | 1.5 ± 0.1 | 2.6 ± 0.1 | <0.01 |
Before treatment, the differences of the mean Pirani score for patients in groups 1 and 2 were not statistically significant (p = 0.34). During achillotomy, the mean score in groups 1 and 2 increased to 2.5 (1.0–4.0) and 3.6 (2.5–4.5), respectively; i.e., changes in group 2 were significantly less pronounced. After achillotomy, clubfoot severity decreased in both groups to the same extent, by a mean of 1 point, whereas the residual deformity in group 2 was significantly more pronounced.
The angle of equinus deformity, determined during clinical examination, before achillotomy in groups 1 and 2 was 23° (10°–30°) and 37° (20 –50°), respectively. Table 2 shows the data on the angle of equinus deformity in the patients of groups 1 and 2 at the stages of treatment.
Table 2
Mean value of the equinus deformity angle before and after achillotomy in the patients of groups 1 and 2
Period of determining the angle | Equinus deformity angle, ° | р | |
Group 1 | Group 2 | ||
Before achillotomy | 23.0 ± 1.1 | 37.0 ± 1.4 | <0.05* |
After achillotomy | –4.0** ± 1.1 | 18.0 ± 1.8 | <0.05* |
Note. * Statistically significant difference of indicators; ** dorsal flexion of 4°.
In group 1, during achillotomy, the mean value of the astragalocalcanean angle on the radiograph in the anterior–posterior view was 19° (10°–30°), the calcaneotibial angle in the lateral view was 114° (100°–130°), and the astragalocalcanean angle in the lateral view was 24° (12°–35°); in group 2, these angles were 10° (5°–15°), 131° (110°–140°), and 14° (10°–18°), respectively. Differences in the calcaneotibial and astragalocalcanean angles between the groups were statistically significant (p < 0.01) (Table 3). The decrease in the size of the astragalocalcanean angle indicated insufficient correction at the level of the tarsal joints during achillotomy. However, we also had to perform achillotomy in these cases because the radiograph images showed no changes in time in the mutual spatial arrangement of the astragalar and calcaneal bones after two or three stage plasterings.
Table 3
Radiographic data before and after achillotomy in the patients of groups 1 and 2
Angles on X-ray images | Group 1 | Group 2 | ||
Before achillotomy | After achillotomy | Before achillotomy | After achillotomy | |
Astragalocalcanean in antero-posterior projection, ° | 19.0 ± 1.0 | – | 10.0 ± 0.6 | – |
Calcaneotibial in lateral projection, ° | 114.0 ± 1.8 | 90.0 ± 1.3 | 131.0 ± 1.7 | 117.0 ± 1.1 |
Astragalocalcanean in lateral projection, ° | 24.0 ± 1.5 | 26.0 ± 1.9 | 14.0 ± 0.5 | 16.0 ± 1.5 |
After achillotomy, the equinus deformity angle in groups 1 and 2 was −4° (−20°–0°) and 18° (10°–30°), respectively (Table 2). The radiograph indices showed that the mean value of the calcaneotibial and astragalocalcanean angles was 90° (85°–100°) and 26° (18°–37°) in group 1, respectively, whereas the values of these angles were 117° (90°–120°) and 16° (12°–25°) in group 2, respectively (Table 3).
The correction value of equinus deformity as a result of achillotomy in the pediatric patients of group 1 was significantly higher than that in the patients of group 2, with a mean of 27° (20°–30°) and 19° (10°–30°), respectively (Student’s t test, 3.93; p < 0.05). Moreover, the mean value of equinus deformity correction as a result of achillotomy based on radiographic indicators was significantly lower than that based on clinical measurement data in patients of both groups (Table 4).
Table 4
Mean correction values of equinus deformity as a result of achillotomy in the patients of groups 1 and 2 based on clinical and radiographic indicators
Group | Equinus deformity | р | |
Clinical measurement, ° | calcaneotibial angle on the radiographic image, ° | ||
One | 27.0 ± 0.8 (20–30) | 22.0 ± 0.8 (15–30) | 0.01 |
Two | 19.0 ± 0.9 (10–30) | 14.0 ± 1.1 (0–20) | <0.01 |
The dependence of the value of equinus deformity correction as a result of achillotomy on the equinus angle before its implementation was analyzed. All patients were divided into several subgroups based on the value of this angle. Table 5 shows the results of the comparative analysis.
Table 5
Correction values of equinus deformity of the foot as a result of achillotomy, depending on its initial value
Correction value of equinus deformity, ° | Value of equinus before achillotomy, ° | ||
10–20 (n = 14) | 21–30 (n = 23) | 31 and more (n = 19) | |
10–20 | Number of patients | ||
1 (7%) | 6 (26%) | 18 (95%) | |
21–30 | 13 (93%) | 17 (74%) | 1 (5%) |
The correction value was >20° and up to 20° in most patients with equinus deformity up to 30° and >30° before achillotomy, respectively. The differences found in the compared subgroups were statistically significant (p < 0.01). Thus, the larger the equinus angle before achillotomy, the smaller the value of possible correction as a result of its implementation.
In addition, the equinus deformity correction value as a result of achillotomy was compared between 11 and 12 patients from groups 1 and 2, respectively, with the same equinus value before achillotomy, which was 20°–30°. Radiographic indicators before achillotomy in the patients from group 1 were as follows: the mean value of the astragalocalcanean angle on the radiographic image was 25° (10°–30°) and 25° (20°–35°) in the anterior–posterior and lateral views, respectively; for patients of group 2, these angles were 13° (11°–15°) and 16° (10°–18°), respectively. Table 6 shows the results of the comparative analysis.
Table 6
Distribution of patients of groups 1 and 2 with an equinus contracture of 20°–30° based on the correction value of equinus deformity as a result of achillotomy
Correction value of equinus deformity, ° | Group 1 (n = 11) | Group 2 (n = 12) |
10–20 | 0 | 6 (50%) |
21–30 | 11 (100%) | 6 (50%) |
Correction of equinus deformity was significantly different in the patients of groups 1 and 2 with the same equinus value before achillotomy (p < 0.05) due to differences in the value of the astragalocalcanean angle on radiographs of the feet, that is, incomplete correction of the deformity at the level of the tarsal joints during achillotomy in the patients of group 2.
To clarify the amount of equinus deformity, which can be completely eliminated as a result of achillotomy, in all patients enrolled in the study, we estimated the frequency of complete correction of equinus after achillotomy, depending on the value of equinus before its implementation. Table 7 shows the results of this assessment.
Complete correction of the deformity after achillotomy was possible only in patients with an equinus value of up to 30° before achillotomy. In this case, complete correction of the deformity occurred in all cases with an equinus of up to 20° and 20°–30°, and achillotomy was effective only in half of the cases.
Table 7
Frequency of complete correction of equinus deformity after achillotomy depending on the value of equinus deformity before its conduct
Equinus deformity value before achillotomy, ° | Frequency of complete correction of equinus deformity after achillotomy, % |
10–20 | 100 |
21–30 | 48 |
31–40 | 0 |
>40 | 0 |
The illustration of some stages of treatment of patients of groups 1 and 2 with clubfoot with arthrogryposis according to the Ponseti method and radiographic data are presented in Figures 2 and 3.
Fig. 2. Appearance and radiograph of the foot in the lateral projection of patient K. with clubfoot with arthrogryposis from group 1: a — before the beginning of casting according to Ponseti; b — before achillotomy; c — after achillotomy; and d — after additional stage casting (two casts)
Fig. 3. Appearance and radiograph of the foot in the lateral projection of patient M. with a clubfoot with arthrogryposis from group 2: a — before the beginning of Ponseti method of casting; b — before achillotomy; and c — after achillotomy
Discussion
Some authors believe that the Ponseti method for treating patients with a clubfoot with arthrogryposis enables to achieve correction of the foot deformity without surgery [10, 11, 21]. However, some studies reported a good result of treatment in the course of plastering by Ponseti, but later in a fairly large percentage of cases (from 21% to 80%) from 3 to 21 months after achillotomy, performing soft tissue releases was necessary because of equinus component relapse and forefoot adduction [15, 18, 19, 23].
In some cases, during a clinical examination, making an error in the size estimation of the dorsal flexion after achillotomy is possible, and the correction (flexure) at the level of transverse tarsal joint will be considered as a true correction at the level of the ankle joint. Since 2010, we began to perform radiographic examinations of the feet in the lateral projection before and after achillotomy to evaluate its efficacy. Some authors argue that measurements on radiographs of feet in pediatric patients up to 9 weeks of life are inaccurate [24, 25]. In our study, the mean age of patients during achillotomy was 5.4 months, when the degree of ossification of the tarsal bones was sufficient for accurate construction of reference lines and angles.
We identified the relationship between radiographic data before achillotomy and the presence of residual equinus after its conduct. Thus, in all patients of group 2, after achillotomy, the residual equinus was noted with a mean value of 18 ± 1.5° (5°–30°), and in these pediatric patients before achillotomy, radiographic images showed larger calcaneotibial angle and smaller value of astragalocalcanean angle when compared with those of patients of group 1 (p < 0.01) who achieved complete equinus deformity correction. In addition, comparison of patients of groups 1 and 2 with equal value of equinus deformity before achillotomy showed different efficacies of performing achillotomy, depending on the size of the astragalocalcanean angle on radiographic images of the feet.
Considering our study results and literature data, we can agree with the opinion that the larger the calcaneotibial angle and, more importantly, the smaller the astragalocalcanean angle before achillotomy, the less the possibility of equinus deformity correction [26]. This will be the radiographic criterion for predicting the residual deformities after achillotomy.
An increase in the calcaneotibial angle and a decrease in the astragalocalcanean angle indicate a significant soft tissue retraction of the ankle joint, not only the Achilles tendon but also the posterior part of the ankle joint capsule, tendons of the posterior tibial muscle, and peroneal muscles. Therefore, equinus deformity will be retained at the expense of other retarded soft tissue structures after the subcutaneous intersection of only the Achilles tendon [26].
The study showed that the value of single-stage correction of equinus deformity as a result of achillotomy in pediatric patients with arthrogryposis is rather limited. Thus, achillotomy was effective only in patients with an equinus deformity value of up to 30° before performing it, in which, on the basis of clinical and radiographic data, a complete correction of the deformity at the level of the tarsal joints was registered. Moreover, achillotomy was effective in all patients with equinus of up to 20°, and at equinus of 20°–30°, complete correction of equinus deformity was achieved only in half of the cases. Therefore, if the value of equinus contracture before achillotomy is >30°, a single-stage correction after achillotomy should not be considered; performing an open surgery to not create secondary deformities and not performing deliberately ineffective manipulations are better in this case.
Conclusions
For effective elimination of the equinus contracture in the treatment of clubfoot using the Ponseti method, closed subcutaneous achillotomy must be performed only after complete correction of the deformity at the level of the tarsal joints. In pediatric patients with arthrogryposis, we recommend radiography of the feet for more accurate visualization of astragalocalcanean divergence and calcaneal position. Furthermore, the calcaneotibial and astragalocalcanean angles on the foot radiograph in the lateral view before achillotomy represent an important prognostic criterion for residual deformity after it has been performed.
In addition, before achillotomy, the value of equinus contracture must be considered. Performing achillotomy is impractical with an equinus of >30°. Open surgery should be performed in such patients.
Additional information
Source of financing. None.
Conflict of interest. The authors declare no obvious or potential conflicts of interest related to the publication of this article.
Ethical review. The study was conducted in accordance with the ethical standards of the Helsinki Declaration of the World Medical Association, as amended by the Ministry of Health of Russia, and approved by the ethics committee of the Turner Scientific Research Institute for Children’s Orthopedics (protocol No. 9/12 of 02.11.2012).
Parents of the patients agreed to the processing of personal data and their publication.
Contribution of the authors
S.I. Trofimova collected and analyzed the data obtained, prepared the text, and created the design of the article.
D.V. Derevianko collected and analyzed the data obtained and edited the text of the article.
E.V. Petrova and E.A. Kochenova collected and processed the material.
About the authors
Svetlana I. Trofimova
The Turner Scientific Research Institute for Children’s Orthopedics
Author for correspondence.
Email: trofimova_sv2012@mail.ru
ORCID iD: 0000-0002-4116-8008
MD, PhD, Research Associate of the Department of Arthrogryposis
Russian Federation, 64, Parkovaya str., Saint-Petersburg, Pushkin, 196603Denis V. Derevianko
Novorossiysk City Polyclinic No. 5 of the Health Ministry of the Krasnodar Region
Email: dionis1976@inbox.ru
ORCID iD: 0000-0001-6421-6503
MD, Orthopedic and Trauma Surgeon of the Trauma and Orthopedics Department
Russian Federation, 46, Lenina ave., NovorossiyskEvgeniia A. Kochenova
The Turner Scientific Research Institute for Children’s Orthopedics
Email: jsummer84@yandex.ru
ORCID iD: 0000-0001-6231-8450
MD, PhD, Orthopedic and Trauma Surgeon of the Department of Arthrogryposis
Russian Federation, 64, Parkovaya str., Saint-Petersburg, Pushkin, 196603Ekaterina V. Petrova
The Turner Scientific Research Institute for Children’s Orthopedics
Email: pet_kitten@mail.ru
ORCID iD: 0000-0002-1596-3358
MD, PhD, Senior Research Associate of the Department of Arthrogryposis
Russian Federation, 64, Parkovaya str., Saint-Petersburg, Pushkin, 196603References
- Mead NG, Lithgow WC, Sweeney HJ. Arthrogryposis multiplex congenita. J Bone Joint Surg Am. 1958;40-A(6):1285-1309.
- Friedlander HL, Westin GW, Wood WL. Arthrogryposis multiplex congenita: a review of 45 cases. J Bone Joint Surg Am. 1968;50(1):89-112.
- Gibson DA, Urs NDK. Arthrogryposis multiplex congenital. J Bone Joint Surg Br. 1970;52(3):483-493.
- Lloyd-Roberts GS, Lettin AWF. Arthrogryposis multiplex congenita. J Bone Joint Surg Br. 1970;52(3):494-507.
- Петрова Е.В. Ортопедо-хирургическое лечение детей младшего возраста с артрогрипозом: Автореф. дис. ... канд. мед. наук. – СПб., 2007. [Petrova EV. Ortopedo-khirurgicheskoe lechenie detey mladshego vozrasta s artrogripozom. [dissertation] Saint Petersburg; 2007. (In Russ.)]
- Staheli LT, Hall JG, Jaffe KM, Paholke DO. Arthrogryposis. A text Atlas. Cambridge: Cambridge University Press; 2008. 178 p.
- Sodergard J, Ryoppy S. Foot deformities in arthrogryposis multiplex congenita. J Pediatr Orthop. 1994;14(6):768-772.
- Chang CH, Huang SC. Surgical treatment of clubfoot deformity in arthrogryposis multiplex congenita. J Formos Med Assoc. 1997;96(1):30-35.
- Widmann RF, Do TT, Burke SW. Radical soft-tissue release of the arthrogrypotic clubfoot. J Pediatr Orthop B. 2005;14(2):111-115.
- Kowalczyk B, Lejman T. Short-term experience with Ponseti casting and the Achilles tenotomy method for clubfeet treatment in arthrogryposis multiplex congenita. J Child Orthop. 2008;2(5):365-371. https://doi.org/10.1007/s11832-008-0122-0.
- Деревянко Д.В., Агранович О.Е., Петрова Е.В., и др. Лечение детей первого года жизни с косолапостью при артрогрипозе по методу Ponseti. Анализ ближайших результатов // Детская хирургия. – 2014. – № 1. – С. 4–9. [Derevyanko DV, Agranovich OE, Petrova EV, et al. Treatment of clubfoot in children with arthrogryposis in the first year of life by the Ponseti method. Analysis of immediate results. Pediatric surgery. 2014;(1):4-9. (In Russ.)]
- Niki H, Staheli LT, Mosca VS. Management of clubfoot deformity in amyoplasia. J Pediatr Orthop. 1997;17(6):803-807. https://doi.org/10.1097/00004694-199711000-00020.
- Ponseti IV, Smoley EN. Congenital clubfoot: the results of treatment. J Bone Joint Surg Am. 1963;45A:2261-2275.
- Ponseti IV. Congenital clubfoot: fundamentals of treatment. Oxford: Oxford University Press; 1996.
- Morcuende JA, Dobbs MB, Frick SL. Results of the Ponseti method in patients with clubfoot associated with arthrogryposis. Iowa Orthop J. 2008;28:22-26.
- Кенис В.М., Клычкова И.Ю., Степанова Ю.А. Метод Понсети в лечении сложных и нейрогенных форм косолапости у детей // Вестник травматологии и ортопедии им. Н.Н. Приорова. – 2011. – № 4. – С. 67–70. [Kenis VM, Klychkova IY, Stepanova YA. Ponseti method of treatment of severe and neurogenic clubfoot. Vestnik travmatologii i ortopedii imeni N.N. Priorova. 2011;(4):67-70. (In Russ.)]
- Деревянко Д.В., Агранович О.Е., Буклаев Д.С., и др. Лечение косолапости у детей младшего возраста с артрогрипозом с применением метода Понсети: возможности и перспективы // Травматология и ортопедия России. – 2014. – № 1. – С. 51–58. [Derevyanko DV, Agranovich OE, Buklaev DS. Treatment of clubfoot in young children with arthrogryposis by Ponseti method: possibilities and perspectives. Travmatologiâ i ortopediâ Rossii. 2014;(1):51-58. (In Russ.)]
- Kowalczyk B, Felus J. Ponseti casting and achilles release versus classic casting and soft tissue releases for the initial treatment of arthrogrypotic clubfeet. Foot Ankle Int. 2015;36(9):1072-1077. https://doi.org/10.1177/1071100715581656.
- van Bosse HJ. Syndromic feet: arthrogryposis and myelomeningocele. Foot Ankle Clin. 2015;20(4):619-644. https://doi.org/10.1016/j.fcl.2015.07.010.
- Вавилов М.А., Громов И.В., Баушев М.А. История развития метода И. Понсети в России // Здоровье и образование в XXI веке. – 2016. – Т. 18. – № 3. – С. 34–37. [Vavilov MA, Gromov IV, Baushev MA. Istoriya razvitiya metoda I. Ponseti v Rossii. Health and education millenium. 2016;18(3):34-37. (In Russ.)]
- van Bosse HJ, Marangoz S, Lehman WB, Sala DA. Correction of arthrogrypotic clubfoot with a modified Ponseti technique. Clin Orthop Relat Res. 2009;467(5):1283-1293. https://doi.org/10.1007/s11999-008-0685-6.
- Pirani S, Hodges D, Sekeramyi F. A reliable and valid method of assessing the amount of deformity in the congenital clubfoot deformity. J Bone Joint Surg Br. 2008;90(Supp_l):53.
- van Bosse HJP, Ponten E, Wada A, et al. Treatment of the lower extremity contracture/deformities. J Pediatr Orthop. 2017;37 Suppl 1:S16-S23. https://doi.org/10.1097/BPO.0000000000001005.
- Simons GW. A standardized method for the radiographic evaluation of clubfeet. Clin Orthop Relat Res. 1978(135):107-118.
- Radler C, Manner HM, Suda R, et al. Radiographic evaluation of idiopathic clubfeet undergoing Ponseti treatment. J Bone Joint Surg Am. 2007;89(6):1177-1183. https://doi.org/10.2106/JBJS.F.00438.
- Noh H, Park SS. Predictive factors for residual equinovarus deformity following Ponseti treatment and percutaneous Achilles tenotomy for idiopathic clubfoot: a retrospective review of 50 cases followed for median 2 years. Acta Orthop. 2013;84(2):213-217. https://doi.org/10.3109/17453674.2013.784659.
Supplementary files







