Принципы дифференциальной диагностики ахондроплазии и псевдоахондроплазии
- Авторы: Маркова Т.В.1, Кенис В.М.2,3, Мельченко Е.В.2, Рещиков Д.А.4, Алиева А.Э.1, Осипова Д.В.1, Бессонова Л.А.1, Нагорнова Т.С.1, Вассерман Н.Н.1, Огородова Н.Ю.1, Щагина О.А.1, Дадали Е.Л.1
-
Учреждения:
- Медико-генетический научный центр им. академика Н.П. Бочкова
- Национальный медицинский исследовательский центр детской травматологии и ортопедии им. Г.И. Турнера
- Северо-Западный государственный медицинский университет им. И.И. Мечникова
- Российская детская клиническая больница Российского национального исследовательского медицинского университета им. Н.И. Пирогова
- Выпуск: Том 11, № 1 (2023)
- Страницы: 17-28
- Раздел: Клинические исследования
- Статья получена: 19.11.2022
- Статья одобрена: 20.02.2023
- Статья опубликована: 31.03.2023
- URL: https://journals.eco-vector.com/turner/article/view/114730
- DOI: https://doi.org/10.17816/PTORS114730
- ID: 114730
Цитировать
Аннотация
Обоснование. Ахондроплазия и псевдоахондроплазия — наследственные системные скелетные дисплазии, характеризуемые определенным сходством клинических проявлений, но с различными этиопатогенетическими механизмами. Для их молекулярно-генетической диагностики применяют разные способы. Общие фенотипические особенности этих заболеваний часто затрудняют их дифференциальную диагностику при клиническом осмотре пациентов, планирование ДНК-диагностики, своевременное выявление нейрохирургических и ортопедических осложнений.
Цель — определить дифференциально-диагностические критерии ахондроплазии и псевдоахондроплазии и оптимизировать стратегию их молекулярно-генетической диагностики.
Материалы и методы. Проведено комплексное обследование 76 детей из 74 неродственных семей в возрасте от 1 мес. до 18 лет с фенотипическими признаками ахондроплазии и псевдоахондроплазии. Для уточнения диагноза использовали генеалогический анализ, данные анамнеза, клиническое обследование, неврологический осмотр по стандартной методике, рентгенографию. Молекулярно-генетическое подтверждение диагноза заболеваний осуществляли путем поиска частых мутаций в гене FGFR3, оценки количества GAC-повторов, локализованных в экзоне 13 гена COMP, и секвенированием нового поколения таргетной панели, состоящей из 166 генов, ответственных за развитие наследственной скелетной патологии.
Результаты. На основании сравнительного анализа особенностей фенотипических характеристик пациентов с ахондроплазией и псевдоахондроплазией уточнены критерии их дифференциальной диагностики. При ахондроплазии ведущими признаками были диспропорциональный нанизм с рождения, макрокрания и лицевые дизморфии, которые нехарактерны для псевдоахондроплазии. Существенное значение в дифференциальной диагностике псевдоахондроплазии имеют специфические рентгенологические особенности, которые необходимо учитывать при направлении пациентов на молекулярно-генетический анализ. Подтверждено наличие мажорной мутации с.1138G>A в гене FGFR3 у абсолютного большинства пациентов c ахондроплазией, а у 27 % пациентов с псевдоахондроплазией обнаруживали делецию повтора GAC в гене COMP (c.1417_1419del). На основании полученных результатов сделано заключение о целесообразности первоочередного анализа этих двух мутаций в генах FGFR3 и COMP. При отсутствии искомых мутаций диагностический поиск следует продолжить с помощью таргетной панели генов, состоящей из 166 генов, ответственных за развитие наследственной скелетной патологии или полное секвенирование экзома.
Заключение. Анализ клинико-рентгенологических и молекулярно-генетических характеристик в выборках пациентов с ахондроплазией и псевдоахондроплазией в совокупности с изучением литературных данных позволил уточнить дифференциально-диагностические критерии этих заболеваний и оптимизировать алгоритм их молекулярно-генетической диагностики.
Ключевые слова
Полный текст
ОБОСНОВАНИЕ
Ахондроплазия (АХ) и псевдоахондроплазия (ПСАХ) — наследственные заболевания из группы скелетных дисплазий, характеризуемые определенным сходством клинических проявлений, но с различными этиопатогенетическими механизмами. Распространенность этих заболеваний также вариабельна. Регистрируют один случай АХ на 25 000–30 000 населения, а при ПСАХ — один случай на 60 000 человек [1, 2]. Оба заболевания наследуются по аутосомно-доминантному типу, при этом большинство случаев спорадические [3]. Фенотипические проявления заболеваний характеризуются диспропорциональным нанизмом за счет ризомелического укорочения конечностей, деформациями конечностей, брахидактилией, гипермобильностью суставов и мышечной гипотонией [2, 3]. У большинства пациентов как с АХ, так и с ПСАХ гипермобильность в межфаланговых суставах кистей сочетается с ограничением разгибания в локтевых суставах. Эти общие фенотипические признаки часто затрудняют дифференциальную диагностику АХ и ПСАХ при клиническом осмотре пациентов и планирование дополнительного обследования, в том числе выбор методов подтверждающей ДНК-диагностики.
Более 97 % всех случаев АХ обусловлено мутацией с.1138G>A в гене FGFR3, локализованном на хромосоме 4р.16.3 [4]. Продуктом гена является рецептор фактора роста фибробластов, оказывающий негативное влияние на процесс пролиферации клеток посредством укорочения пролиферативной и ускорения терминальной фазы деления клеток [5]. Ген экспрессируется преимущественно на мембране хондроцитов и нейронов [6, 7].
Если пациенты с АХ были известны несколько веков назад, то ПСАХ впервые описали Пьер Марото и Морис Лами в 1959 г. [8]. Этиологический фактор заболевания установлен лишь в 1995 г., когда Briggs и соавт. впервые идентифицировали мутации в гене COMP у пациентов с ПСАХ и множественной эпифизарной дисплазией [9]. Ген локализован на хромосоме 19р13.11 и содержит 19 экзонов. Он кодирует пентамерный гликопротеин семейства тромбоспондинов [10]. Первоначально этот белок был выделен из хряща и охарактеризован как «олигомерный белок хрящевого матрикса». Основное его количество локализуется в суставном хряще и в пролиферирующих и гипертрофических хондроцитах пластинки роста трубчатых костей, обеспечивающих энхондральную оссификацию и развитие суставного хряща [11, 12]. У пациентов с ПСАХ 90 % мутаций расположено в экзонах 8–14, кодирующих белковый домен, который состоит из аминокислотных остатков, сгруппированных в восемь последовательных повторов Т3 [13].
Таким образом, разные способы ДНК-анализа для подтверждающей молекулярно-генетической диагностики АХ и ПСАХ, необходимость своевременного выявления нейрохирургических и ортопедических осложнений и использования методов хирургической коррекции жизнеугрожающих осложнений у значительного количества пациентов с АХ, а также то, что в последние годы для этого заболевания разрабатывается патогенетическое лечение, обусловливают необходимость тщательного анализа особенностей фенотипических и рентгенологических характеристик заболеваний в репрезентативных выборках пациентов.
Цель — определить дифференциально-диагностические критерии АХ и ПСАХ и оптимизировать стратегию их молекулярно-генетической диагностики.
МАТЕРИАЛЫ И МЕТОДЫ
Проведено комплексное обследование 76 детей из 74 неродственных семей в возрасте от 1 мес. жизни до 18 лет с фенотипическими признаками АХ и ПСАХ. Для уточнения диагноза использовали генеалогический анализ, данные анамнеза, клиническое обследование, неврологический осмотр по стандартной методике с оценкой психоэмоциональной сферы, рентгенографию. Молекулярно-генетическое подтверждение АХ и ПСАХ основывалось на результатах секвенирования нового поколения таргетной панели, состоящей из 166 генов, ответственных за развитие наследственной скелетной патологии. Анализ ДНК проведен на секвенаторе нового поколения Ion S5. Для пробоподготовки использована технология ультрамультиплексной полимеразной цепной реакции, сопряженная с последующим секвенированием (AmpliSeq). Количество копий GAC-повтора, локализованного в экзоне 13 гена COMP (NM_000095.3), оценивали методом анализа полиморфизма длин амплификационных фрагментов с праймеров комплементарных последовательностей экзона 13 с детекцией результата методом электрофореза в полиакриламидном геле. Для поиска мутаций в гене FGFR3 (NM_000142.5) применен метод аллель-специфичной лигазазависимой амплификации с визуализацией результатов методом электрофореза в полиакриламидном геле.
Геномную ДНК выделяли из цельной крови с помощью набора DNAEasy (QiaGen, Германия) согласно стандартному протоколу производителя. Концентрацию ДНК и библиотек измеряли на приборе qubit2.0 с помощью реактивов (qubit BR, qubit HS) производителя по стандартному протоколу. Пробоподготовку проводили по методике, основанной на мультиплексной полимеразной цепной реакции целевых участков ДНК. Секвенирование нового поколения осуществляли на секвенаторе Ion Torrent S5 со средним покрытием не менее 80; количество таргетных областей с покрытием ≥90–94 %. Для аннотации выявленных вариантов использовали номенклатуру, представленную на сайте http://varnomen.hgvs.org/recommendations/DNA, версия 2.15.11. Данные секвенирования обрабатывали с помощью стандартного автоматизированного алгоритма, предлагаемого Ion Torrent.
Для оценки популяционных частот выявленных вариантов применяли выборки проектов «1000 геномов», ESP6500 и The Genome Aggregation Database v2.1.1, а для оценки клинической значимости этих вариантов — базу данных OMIM, базу данных по патогенным вариантам HGMD® Professional 2021.3. Генетические варианты оценивали в соответствии с международными рекомендациями по интерпретации данных, полученных методами массового параллельного секвенирования [14].
Обнаруженные у пробандов варианты, генотипирование сибсов и родителей валидировали методом прямого автоматического секвенирования по Сенгеру согласно протоколу фирмы-производителя на приборе ABIPrism 3500xl (Applied Biosystems). Последовательности праймеров подобраны согласно референсной последовательности целевых участков гена COMP.
Антропометрические параметры пациентов с учетом показателей SDS оценивали с использованием утвержденных диаграмм Всемирной организации здравоохранения. Статистическую обработку результатов осуществляли средствами стандартного статистического пaкeтa Statistica 10, Microsoft Excel. Гипoтeзу o различиях двух исследуемых совокупностей проверяли пo статистическому критерию Стьюдента. Средние показатели представлены как М ± SD, где М — среднее, SD — стандартное отклонение. Статистически значимыми считали различия при p < 0,05. Для качественных признаков проводили частотный анализ показателей (%).
РЕЗУЛЬТАТЫ
С целью выявления дифференциально-диагностических признаков АХ и ПСАХ нами проанализированы фенотипические, рентгенологические и молекулярно-генетические характеристики в выборках пациентов с АХ и ПСАХ в возрасте от 1 мес. жизни до 18 лет.
АХ, обусловленная мутациями в гене FGFR3, диагностирована у 50 неродственных пациентов в возрасте от 1 мес. до 12 лет (16 мальчиков и 34 девочки). Спорадическими были 96 % случаев, и в 4 % семей заболевание унаследовано от одного из родителей. У всех пациентов фенотипические проявления заболевания отмечены сразу после рождения, но в 90 % случаев наличие заболевания предполагали еще при проведении ультразвукового исследования плода во II–III триместрах беременности на основании обнаружения укорочения трубчатых костей конечностей. Средний рост при рождении составил 48,94 ± 0,7 см (у 26 % новорожденных ниже медианы стандарта данных Всемирной организации здравоохранения), окружность головы — 36,6 ± 0,6 см (у 70 % новорожденных превышает 2 SD). Характерными клиническими симптомами АХ у новорожденных были мышечная гипотония и уменьшение размеров грудной клетки, что в 20 % случаев приводило к возникновению дыхательных расстройств, для купирования которых использовали вспомогательную вентиляцию легких, а при присоединении пневмонии — искусственную вентиляцию легких.
Основными фенотипическими характеристиками у пациентов с АХ были диспропорциональный нанизм с укорочением конечностей по ризомелическому типу, макрокрания, увеличенные размеры большого родничка, выпуклый лоб, уплощение средней трети лица, вдавленная переносица, короткий нос с вывернутыми ноздрями, узкая грудная клетка, изобрахидактилия с веерообразной конфигурацией пальцев в виде трезубца (рис. 1, 2).
Рис. 1. Внешний вид пациентов с ахондроплазией (а, б) и псевдоахондроплазией (в, г): у обоих пациентов наблюдаются диспропорциональная низкорослость с укорочением конечностей, деформация грудной клетки, неполное разгибание в локтевых суставах, деформации нижних конечностей, брахидактилия; макрокрания (увеличение размеров мозгового черепа, выступающие лобные и теменные бугры) и лицевой дизморфизм (гипоплазия среднего отдела лица) отмечены только у пациента с ахондроплазией
Рис. 2. Внешний вид кистей пациентов с ахондроплазией (а) и псевдоахондроплазией (б): у обоих пациентов выявлены брахидактилия; изодактилия (сопоставимая длина пальцев), симптом трезубца (расхождение фаланг пальцев, более выраженное между концевыми фалангами II–III и III–IV пальцев) отмечены только у пациента с ахондроплазией
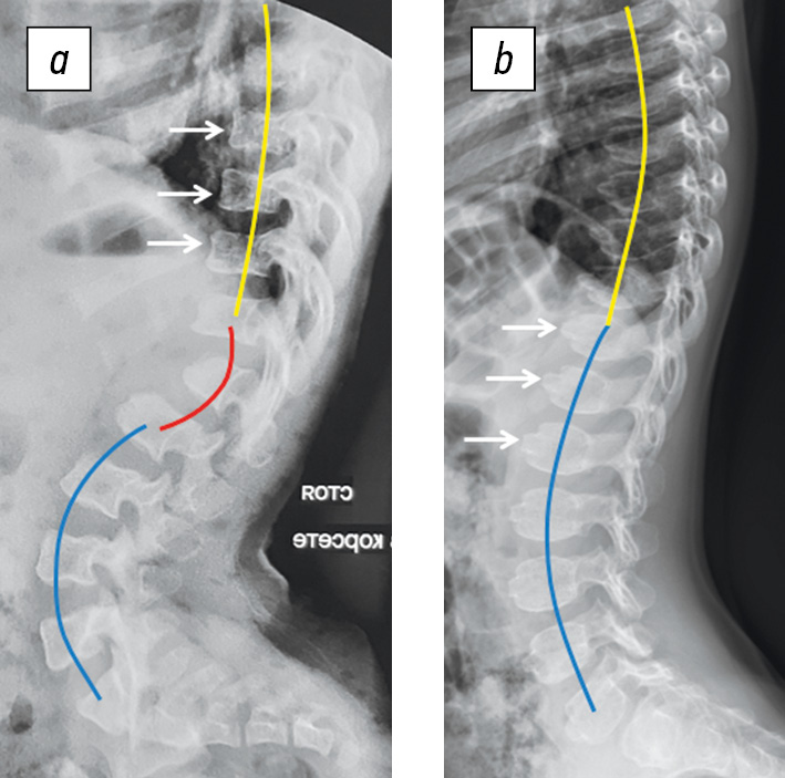
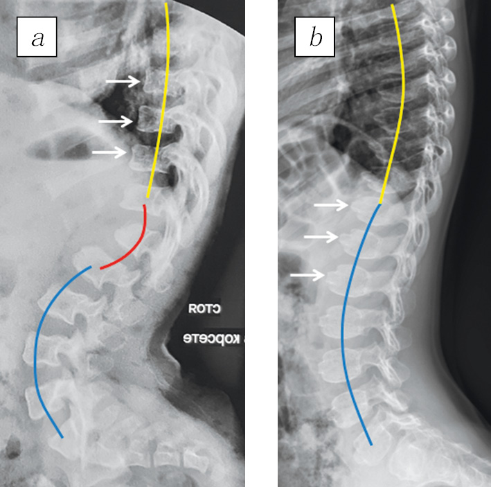
Задержка роста значительно прогрессировала с возрастом у пациентов с АХ. В возрасте до года отклонение роста от возрастной нормы колебалось от –0,51 до –5,67 (в среднем составляло –3,02 SD), а в возрасте старше года — от –2,76 до –6,66 (в среднем — –5,03 SD). В то же время показатели окружности головы у больных с АХ были выше средних: +2,59 SD (от +0,7 до +6,65). У всех пациентов с АХ отмечена задержка темпов раннего моторного развития. Большинство из них приобретали способность к самостоятельной ходьбе только к 17 мес. жизни. У 95 % детей уже на первом году жизни развивался динамический кифоз грудопоясничного перехода, который постепенно уменьшался к моменту начала самостоятельной ходьбы. Типичным клиническим проявлением была гипермобильность в межфаланговых суставах кистей, наряду с ограничением разгибания в локтевых суставах, у 74 % детей после года формировалась варусная деформация голеней, а у 100 % детей развивался поясничный гиперлордоз (рис. 3). На рентгенограммах позвоночника у детей с АХ, как правило, уже на первом году жизни выявляли грудопоясничный кифоз, сопровождающийся выраженной передней клиновидностью тел позвонков на его вершине, а также сглаженностью физиологического грудного кифоза и усилением поясничного лордоза (см. рис. 3, а). При ПСАХ доминирует аномальная оссификация апофизов тел позвонков с образованием языкообразных выступов их передних отделов, а усиление поясничного лордоза характеризуется умеренной величиной, прежде всего вследствие мышечной слабости, а не структурных изменений, как при АХ (см. рис. 3, б).
Рис. 3. Рентгенограммы грудного и поясничного отделов позвоночника в боковой проекции пациентов с ахондроплазией (а) и псевдоахондроплазией (б): а — физиологическая оссификация апофизов тел позвонков с квадратными контурами позвонков (белые стрелки); сглаженность грудного кифоза (желтая линия), патологический грудопоясничный кифоз (красная линия), усиленный поясничный лордоз (синяя линия); б — аномальная оссификация апофизов тел позвонков с языкообразными выступами передних отделов позвонков (белые стрелки); физиологическая величина грудного кифоза (желтая линия) и умеренное усиление поясничного лордоза (синяя линия)
У 7 пациентов (14 %) с АХ при проведении компьютерной или магнитно-резонансной томографии головного мозга регистрировали признаки умеренно выраженной наружно-внутренней гидроцефалии, которая лишь у одного пациента интенсивно нарастала, что потребовало проведения вентрикулоперитонеального шунтирования в возрасте 1 года 3 мес. У 13 детей (26 %) в раннем детском возрасте обнаружен стеноз большого затылочного отверстия и проведена хирургическая декомпрессия на уровне краниовертебрального перехода.
Характерные признаки на рентгенограммах, позволяющие проводить подтверждающую диагностику АХ у детей раннего возраста, включали квадратную форму крыльев подвздошной кости, плоскую горизонтальную вертлужную впадину, узкую седалищную вырезку, сужение междужкового расстояния в поясничном отделе позвоночника, короткие трубчатые кости с умеренным метафизарным расширением, рентгенопрозрачность проксимального отдела бедренной кости, брахидактилию с рентгенологической картиной симптома трезубца (рис. 4). В основе этого рентгенологического симптома лежит особенность оссификации надацетабулярной области, в результатом чего формируются «зубцы». Три «зубца», образованных кортикальным слоем седалищной вырезки, контурами оссифицированной части подвздошной кости и сводом вертлужной впадины, видны на рентгенограммах.
Рис. 4. Рентгенограммы тазобедренных суставов и бедренных костей в прямой проекции пациентов с ахондроплазией (а) и псевдоахондроплазией (б): а — горизонтальное положение свода вертлужной впадины (белая линия), суженная седалищная вырезка (белая стрелка), симптом трезубца (черные стрелки), квадратные очертания крыльев подвздошных костей (белый контур); б — скошенность свода вертлужной впадины (белые линии), овальные очертания крыльев подвздошных костей (белый контур)
В результате молекулярно-генетического анализа у больных с АХ в 98 % случаев выявлена нуклеотидная замена гуанина на аргинин или цитозин в положении 1138 гена FGFR3: c.1138G>А (92%) или c.1138G>C (6 %), приводящая к одной и той же аминокислотной замене — аргинина на глицин в положении 380 (p.Gly380Arg) белковой молекулы. У одного ребенка идентифицирована более редкая нуклеотидная замена с.1123G>T (p.Gly375Cys), описанная ранее у пациентов с АХ [15–17].
Выборка пациентов с ПСАХ состояла из 26 пациентов из 24 неродственных семей (11 мальчиков и 15 девочек) в возрасте от 1 года до 18 лет. В 69 % случаев пациенты были единственными членами семьи с данным заболеванием, и в 31 % случаев наблюдалась сегрегация заболевания в двух поколениях. При рождении у пациентов исследуемой выборки с ПСАХ отсутствовали отчетливые клинические особенности. Параметры роста и окружности головы новорожденных соответствовали нормативным показателям: средний рост составил 51,46 ± 1,7 см, окружность головы — 34,2 ± 0,7 см. Дебют заболевания у пациентов с ПСАХ зарегистрирован в возрасте от 1 года до 3 лет: отставание в росте и переваливающаяся («утиная») походка на фоне мышечной гипотонии и гипермобильности суставов, быстрая утомляемость при ходьбе, трудности подъема по лестнице, что в 15 % случаев изначально расценивали как нервно-мышечное заболевание, а артралгии, возникающие у 54 % больных, преимущественно в суставах нижних конечностей, служили причиной исключения артрита неясной этиологии или недифференцированной дисплазии соединительной ткани. Средний возраст начала самостоятельной ходьбы составил 1 год 2 мес.
Снижение роста значительно варьировало в зависимости от возраста и тяжести течения заболевания от –0,25 SD до –10,62 SD. В раннем детском возрасте у всех больных отмечали типичные клинические проявления, включающие укорочение проксимальных отделов конечностей, брахидактилию, расширение области запястья и ульнарную девиацию кистей, гипермобильность крупных и мелких суставов, кроме локтевых, в которых уже на первом году жизни обнаруживали ограничение разгибания. Прогрессирующая деформация нижних конечностей — преимущественно варусная (у 58 % пациентов), реже — вальгусная (у 35 % пациентов) или в комбинации по типу «порыва ветра», когда на одной конечности формировалась варусная, а на другой — вальгусная деформация (у 7 % пациентов), — появлялась на втором-третьем году жизни. Поясничный гиперлордоз выявлен во всех случаях, тяжелый сколиоз, по поводу которого проведено оперативное лечение в подростковом возрасте, — в одном случае (рис. 3). Важно отметить, что ПСАХ была обозначена в направляющем диагнозе лишь в 60 % случаев, у остальных больных предполагали рахитоподобное заболевание или АХ.
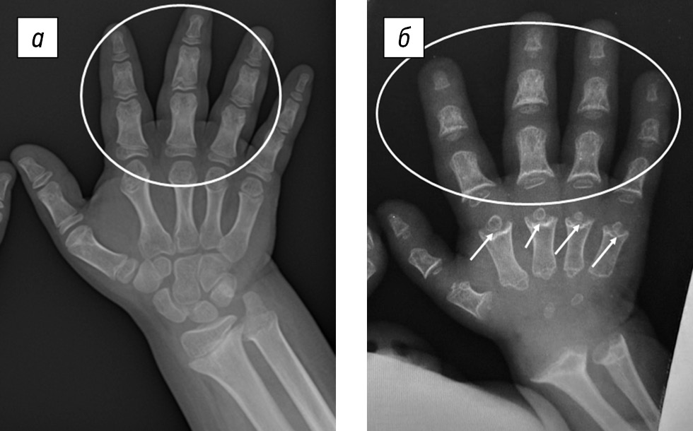
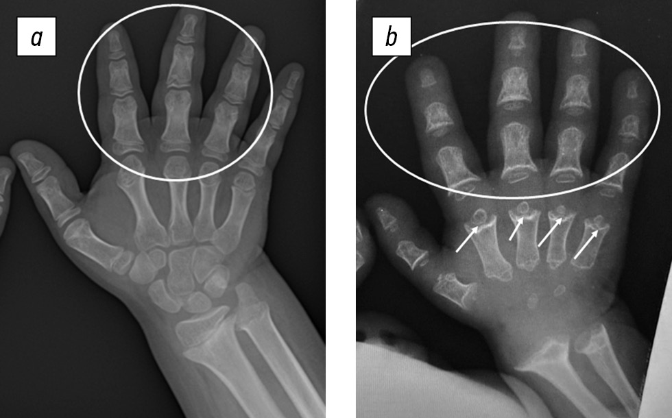
Диагностике ПСАХ в значительной степени способствовал анализ рентгенологических данных, в результате которого обнаруживали специфические изменения в виде задержки оссификации апофизов тел позвонков в детском возрасте, что определяло их характерную клювовидную форму на рентгенограммах позвоночника в боковой проекции, а также укорочение трубчатых костей с генерализованной задержкой оссификации эпифизов, проявляющейся уменьшением их размера, неправильной формой, неровными контурами. Кроме того, типичным было выраженное вовлечение метафизов в виде их расширения с неровностью (волнистостью и «изъеденностью») контуров. На рентгенограммах кистей наблюдали характерную картину в виде укорочения пястных костей с чашеобразно расширенными метафизами и маленькими округлыми эпифизами по типу «шарика в гнезде» (ball-in-socket) [18] (рис. 5).
Рис. 5. Рентгенограмма кистей пациента с ахондроплазией (а) и псевдоахондроплазией (б): умеренная ульнарная девиация кисти и брахидактилия у обоих пациентов (отмечено белым контуром); укорочение пястных костей с чашеобразно расширенными метафизами и маленькими округлыми эпифизами по типу «шарика в гнезде» (ball-in-socket) у пациентов с псевдоахондроплазией (белые стрелки)
В результате молекулярно-генетического анализа идентифицировано 17 патогенных вариантов в гене COMP, 8 из них впервые. В 73 % случаев обнаружены миссенс-варианты, а у 27 % пациентов выявлена делеция без сдвига рамки считывания одного из пяти GAC-повторов в экзоне 13, кодирующем аспарагиновую кислоту: c.1417_1419del (p.Asp473del). В ранее обследованных выборках данная мутация встречалась в 16–30 % случаев, что соответствует полученным нами результатам [19, 20]. Локализация аминокислотных замен в отдельных доменах белка СOMP представлена на рис. 6.
Рис. 6. Домен-специфическое распределение патогенных вариантов в гене COMP. Красным цветом выделены вновь выявленные варианты в гене COMP, синим — описанные ранее, зеленым — частая мутация
Большинство патогенных вариантов у больных ПСАХ было локализовано в районе экзонов 8–14, кодирующих домен кальмодулиноподобных повторов типа 3 (CLR/T3). Интересно, что нуклеотидные трансверсии или транзиции в положении 1309 нуклеотидной последовательности, не описанные ранее, вызвали две разные аминокислотные замены аспарагиновой кислоты в шестом кальцийсвязывающем повторе T36 у двух больных: c.1309G>T (p.Asp437Tyr) и c.1309G>С (p.Asp437His), что указывает на важную роль аспарагина в положении 437 белковой молекулы. Еще у двух пробандов выявлена миссенс-мутация, приводящая к замене высококонсервативного остатка глицина в T32: c.925G>C (p.Gly309Arg). В области С-терминального глобулярного домена (CTD) обнаружен один патогенный вариант — c.2156G>A (p.Gly719Asp) — и не идентифицировано вариантов в экзонах 1–7, кодирующих домены Coiled-coil и повторы T2 (EGF-like repeats).
Таким образом, сравнительный анализ анамнестических, фенотипических и рентгенологических данных в выборках пациентов с АХ и ПСАХ позволил сформировать критерии дифференциальной диагностики этих двух заболеваний, которые необходимо учитывать при направлении пациентов на молекулярно-генетический анализ (табл. 1).
Таблица 1. Сравнительный анализ анамнестических и фенотипических признаков у пациентов с ахондроплазией и псевдоахондроплазией
Признак | Ахондроплазия | Псевдоахондроплазия |
Низкий рост с рождения | Да | Нет |
Макроцефалия | Да | Нет |
Вдавленная переносица, гипоплазия средней части лица | Да | Нет |
Гидроцефалия | Да | Нет |
Ризомелическое укорочение конечностей | Да | Да |
Мышечная гипотония | Да | Да |
Узкая грудная клетка, парадоксальное дыхание | Да | Нет |
Варусная деформация голеней | Да | Да |
Форма кистей | «Трезубец» кистей, брахидактилия | Брахидактилия, ульнарная девиация |
Тугоподвижность в локтевых суставах | Да | Да |
Гипермобильность межфаланговых суставов | Да | Да |
Переваливающаяся походка | Да | Да |
Боли в суставах конечностей | В старшем детском возрасте (коленные) | С младшего детского возраста (коленные, тазобедренные, голеностопные, лучезапястные) |
На основании изучения анамнестических и клинических данных выявлено значительное количество сходных клинических симптомов АХ и ПСАХ в виде диспропорционального нанизма за счет ризомелического укорочения конечностей, деформации нижних конечностей, тугоподвижности в локтевых суставах и гипермобильности в межфаланговых суставах, брахидактилии и умеренной диффузной мышечной гипотонии. Вместе с тем можно отметить ряд анамнестических характеристик и фенотипических особенностей, которые обнаруживают при клиническом осмотре. Так, снижение роста и ризомелическое укорочение конечностей у пациентов с АХ существуют с рождения, в то время как у пациентов с ПСАХ эти признаки становятся заметны после годовалого возраста. Для пациентов с АХ характерны лицевые дизморфии в виде гипоплазии средней части лица, короткого вздернутого носа с вывернутыми ноздрями и выступающего лба, которые не встречаются у пациентов с ПСАХ. У значительного количества пациентов с АХ диагностируют дыхательные расстройства после рождения, возникающие из-за малых размеров грудной клетки и повышенной подвижности реберно-грудинного сочленения, в результате чего происходит сужение грудной клетки при вдохе (парадоксальное дыхание). Кроме того, у пациентов с АХ относительно часто формируются гидроцефалия и стеноз большого затылочного отверстия, что может вызвать необходимость в нейрохирургической коррекции. В отличие от АХ, у пациентов с ПСАХ превалирует поражение суставов, сопровождаемое выраженной гипермобильностью суставов и артралгиями с младшего детского возраста.
Однако, несмотря на некоторые фенотипические различия у пациентов с АХ и ПСАХ, существенное значение в дифференциальной диагностике на клиническом уровне имеет анализ данных рентгенологического обследования. Сравнительный анализ рентгенологических признаков пациентов с АХ и ПСАХ представлен в табл. 2.
Таблица 2. Сравнительный анализ — рентгенологические признаки ахондроплазии и псевдоахондроплазии
Рентгенограмма | Ахондроплазия | Псевдоахондроплазия |
Череп | Увеличенный размер свода черепа с выступающими лобными, теменными и затылочными буграми; уменьшенный размер основания черепа и большого затылочного отверстия | Нормальная рентгенологическая картина |
Позвоночник | Уменьшение междужкового расстояния в каудальном направлении поясничного отдела позвоночника | Двояковыпуклая форма тел позвонков с передним язычкообразным выпячиванием центральной части (в детском возрасте) |
Трубчатые кости | Укорочение и утолщение трубчатых костей, умеренные метафизарные изменения, больше в дистальном отделе бедренной кости и проксимальном отделе большеберцовой кости, нормальная оссификация эпифизов, за исключением замедленного процесса в области коленного сустава, малоберцовая кость длиннее относительно большеберцовой кости | Укорочение трубчатых костей с заметно расширенными, неправильными метафизами и маленькими деформированными эпифизами |
Тазобедренные суставы | Квадратная форма крыльев подвздошных костей; горизонтальная вертлужная впадина и узкие седалищные вырезки, рентгенопрозрачность проксимального отдела бедра в младенческом возрасте; симптом трезубца | Маленькие круглые с нечеткими контурами эпифизы бедренной кости у детей; неравномерная оссификация свода вертлужной впадины; выраженный диспластический коксартроз у взрослых |
Кисти | Короткие проксимальные и средние фаланги, расхождение II, III и IV пальцев («трезубец»), короткие пястные кости | Короткие фаланги; короткие пястные кости с конусовидными эпифизами и чашеобразными метафизами («шарик в гнезде») |
Таким образом, анализ данных рентгенологического обследования скелета, особенно длинных трубчатых костей, тазобедренных суставов и кистей, пациентов с АХ и ПСАХ показал существование значимых различий, использование которых позволит оптимизировать дифференциальную диагностику.
Как и у абсолютного большинства пациентов с АХ, в нашей выборке у 98 % пациентов обнаружена мажорная мутация с.1138G>A (p.Gly380Arg) или с.1138G>C (p.Gly380Arg) в гене FGFR3. Как и в предыдущих исследованиях пациентов с ПСАХ, в гене COMP, ответственном за возникновение заболевания, выявлена частая мутация c.1417_1419del (p.Asp473del), которая зарегистрирована у 27 % пациентов c ПСАХ.
ОБСУЖДЕНИЕ
АХ и ПСАХ — скелетные дисплазии со сходными фенотипическими проявлениями и различными этиопатогенетическими механизмами. В многочисленных исследованиях установлено, что мутации в гене FGFR3, ответственные за возникновение АХ, относятся к классу активирующих (gain-of-function), обусловливая активность рецептора фактора роста фибробластов. Повышение трансдукции внутриклеточных сигнальных путей, включая STAT1 и MAPK, в значительной степени подавляет пролиферацию и созревание хондроцитов ростовой пластинки и, как следствие, ингибирует продольный рост костей [21, 22]. Другой сигнальный путь, инициируемый натрийуретическим пептидом С-типа (CNP), модулирует активацию FGFR3, что лежит в основе недавно предложенной терапии АХ аналогом CNP (восоритид), направленной на улучшение динамики роста больных с АХ [23].
Белковый продукт гена COMP, ответственного за возникновение ПСАХ, играет важную роль в организации внеклеточного матрикса, экспрессируется как в хрящевой ткани, так и в сухожилиях и связках, что объясняет их дефект при ПСАХ [11, 12]. Большинство мутаций в гене COMP нарушают аминокислотную последовательность повторов T3, связывающих ионы кальция, что необходимо для правильной укладки и секреции белка во внеклеточный матрикс [24]. Это приводит к его накоплению в цистернах шероховатого эндоплазматического ретикулума, что индуцирует клеточный стресс и апоптоз хондроцитов и в конечном счете замедляет оссификацию и рост трубчатых костей [25–27].
Общие клинические проявления этих двух заболеваний представлены непропорциональным нанизмом, ризомелическим типом укорочения конечностей, брахидактилией, гипермобильностью большинства суставов, деформацией нижних конечностей и умеренно выраженной мышечной гипотонией. Несмотря на значительное сходство клинических проявлений этих двух заболеваний, существует ряд фенотипических особенностей, позволяющих отличить эти заболевания друг от друга. Так, у пациентов с АХ отмечают макрокранию, выступающие лобные бугры, седловидную переносицу и гипоплазию средней зоны лица, которые нехарактерны для ПСАХ [1, 3]. Кроме того, специфические рентгенологические признаки ПСАХ в виде выраженного уменьшения размера и деформации эпифизов, характерной формы позвонков выявляют на рентгенограммах в боковой проекции, а также наблюдают округлые эпифизы и чашеобразные метафизы пястных костей («шарик в гнезде») [18, 28]. При проведении дифференциальной диагностики необходимо учитывать анамнестические данные. Анализ анамнеза обследованных пациентов и данных литературы свидетельствует в пользу того, что первые признаки диспропорционального нанизма при АХ возникают с рождения или даже во внутриутробном периоде, в то время как при ПСАХ снижение роста и ризомелическое укорочение конечностей становится очевидным лишь после годовалого возраста.
Определенная сложность при дифференциальной диагностике АХ и ПСАХ обусловлена полиморфизмом клинических проявлений ПСАХ, в том числе у членов одной семьи. Нами предпринята попытка провести клинико-генетические корреляции у пациентов с ПСАХ. Нуклеотидные варианты преимущественно локализовались в экзонах 13 и 9 гена COMP. При этом в экзоне 13 у 7 пациентов (27 %) выявлена частая делеция повтора GAC — c.1417_1419del (p.Asp473del). Поскольку эту делецию можно исследовать отдельно методом секвенирования по Сэнгеру, ряд авторов предлагают анализировать ее в качестве первой линии диагностики ПСАХ [29]. При изучении особенностей клинических проявлений в этой группе пациентов в возрасте от 3 до 18 лет показано, что фенотип, как правило, соответствовал тяжелой форме ПСАХ с задержкой роста от –3,75 SD до –10,62 SD, за исключением одного семейного случая, когда, в отличие от тяжелого фенотипа у матери, у дочери 11 лет отмечались нерезко выраженные проявления ПСАХ, умеренная вальгусная деформация коленных суставов, а дефицит роста составил –3,21 SD. Межсемейный клинический полиморфизм обнаружен также у двух пробандов с ПСАХ, обусловленной миссенс-мутацией в экзоне 9, описанной ранее у пациента с тяжелой ПСАХ: c.925G>C (p.Gly309Arg) [30]. В нашей выборке у девочки 4 лет выявлены умеренные клинические проявления (рост –0,25 SD), а у мальчика 16 лет — тяжелые (рост –6,22 SD). Фенотип легкой ПСАХ у двух пробандов — девочек в возрасте одного года и двух лет c ростом –0,66 SD и –0,96 SD соответственно — обусловлен аминокислотными заменами аспарагиновой кислоты в положении 437: c.1309G>T (p.Asp437Tyr ) и c.1309G>С (p.Asp437His).
Таким образом, при изучении клинико-генетических и рентгенологических характеристик в группах российских пациентов с АХ и ПСАХ и анализе данных литературы обнаружено значительное сходство фенотипических проявлений дисплазии скелета в виде непропорционального нанизма за счет ризомелического укорочения конечностей, брахидактилии, гипермобильности межфаланговых суставов наряду с ограничением разгибания в локтевых суставах, варусной деформацией нижних конечностей. Такие специфические клинические проявления затрудняют дифференциальную диагностику АХ и ПСАХ. Однако более тщательный анализ их фенотипических характеристик и данных рентгенологического обследования позволяет повысить эффективность их дифференциации на клиническом уровне и оптимизировать процесс молекулярно-генетической диагностики. Учитывая особенности этиологии этих двух заболеваний, в частности, наличие мажорной мутации в гене FGFR3, ответственном за 97 % случаев АХ, а также существование значимого полиморфизма клинических проявлений ПСАХ, при которой возникают тяжелые клинические проявления, сходные с таковыми при АХ, диагностический поиск целесообразно начинать с анализа мажорной мутации. При отсутствии этой мутации в гене FGFR3 следующим этапом молекулярно-генетического обследования может быть анализ частой мутации в гене COMР — делеции повтора GAC в экзоне 13. Эта мутация выявлена у 16–30 % пациентов с ПСАХ, описанных в литературе, и у 27 % пациентов нашей выборки [19, 20]. При отсутствии двух анализируемых мутаций для уточнения диагноза следует использовать таргетную панель генов или полное секвенирование экзома.
ЗАКЛЮЧЕНИЕ
В результате тщательного изучения фенотипических характеристик и рентгенологических изменений скелета в выборках пациентов с АХ и ПСАХ в совокупности с анализом литературных данных удалось уточнить дифференциально-диагностические критерии этих заболеваний. Использование этих критериев практикующими врачами, консультирующими пациентов с патологией скелета, позволит оптимизировать процесс планирования ДНК-диагностики, сократить экономические и временные затраты на ее проведение.
ДОПОЛНИТЕЛЬНАЯ ИНФОРМАЦИЯ
Источник финансирования. Государственное бюджетное финансирование.
Конфликт интересов. Авторы декларируют отсутствие явных и потенциальных конфликтов интересов, связанных с публикацией настоящей статьи.
Этическая экспертиза. Исследование проведено в соответствии с рекомендациями Хельсинкской декларации и одобрено локальным этическим комитетом ФГБНУ «Медико-генетический научный центр» (номер протокола 2021-3, 12 марта 2021 г.).
Законные представители пациентов дали письменное информированное согласие на молекулярно-генетическое тестирование образцов крови и разрешение на анонимную публикацию результатов исследования.
Вклад авторов. Т.В. Маркова, В.М. Кенис — разработка дизайна исследования, обзор литературы, написание и редактирование текста статьи; Т.С. Нагорнова, Н.Н. Вассерман, Н.Ю. Огородова, О.А. Щагина — проведение лабораторной молекулярно-генетической диагностики, анализ результатов исследований и написание текста статьи; Е.В. Мельченко, Д.А. Рещиков, А.Э. Алиева, Д.В. Осипова, Л.А. Бессонова — сбор и обработка клинического материала, анализ полученных данных; Е.Л. Дадали — разработка концепции исследования, редактирование текста статьи.
Все авторы внесли существенный вклад в проведение исследования и подготовку статьи, прочли и одобрили финальную версию перед публикацией.
Об авторах
Татьяна Владимировна Маркова
Медико-генетический научный центр им. академика Н.П. Бочкова
Email: markova@med-gen.ru
ORCID iD: 0000-0002-2672-6294
SPIN-код: 4707-9184
Scopus Author ID: 57204436561
ResearcherId: AAJ-8352-2021
канд. мед. наук
Россия, МоскваВладимир Маркович Кенис
Национальный медицинский исследовательский центр детской травматологии и ортопедии им. Г.И. Турнера; Северо-Западный государственный медицинский университет им. И.И. Мечникова
Email: kenis@mail.ru
ORCID iD: 0000-0002-7651-8485
SPIN-код: 5597-8832
Scopus Author ID: 36191914200
ResearcherId: K-8112-2013
http://www.rosturner.ru/kl4.htm
д-р мед. наук, профессор
Россия, Санкт-Петербург; Санкт-Петербург
Евгений Викторович Мельченко
Национальный медицинский исследовательский центр детской травматологии и ортопедии им. Г.И. Турнера
Email: emelchenko@gmail.com
ORCID iD: 0000-0003-1139-5573
SPIN-код: 1552-8550
Scopus Author ID: 55022869800
канд. мед. наук
Россия, Санкт-ПетербургДмитрий Александрович Рещиков
Российская детская клиническая больница Российского национального исследовательского медицинского университета им. Н.И. Пирогова
Email: reshchikovdm@gmail.com
ORCID iD: 0000-0001-8146-5501
SPIN-код: 4821-5487
нейрохирург
Россия, МоскваАйнур Эльхановна Алиева
Медико-генетический научный центр им. академика Н.П. Бочкова
Email: alieva.aynur1996@gmail.com
ORCID iD: 0000-0003-1048-075X
врач-ординатор
Россия, МоскваДарья Валерьевна Осипова
Медико-генетический научный центр им. академика Н.П. Бочкова
Email: osipova.dasha2013@yandex.ru
ORCID iD: 0000-0002-5863-3543
SPIN-код: 9835-9616
Scopus Author ID: 57218497500
ResearcherId: AAA-6909-2022
врач-генетик
Россия, МоскваЛюдмила Александровна Бессонова
Медико-генетический научный центр им. академика Н.П. Бочкова
Email: bessonovala@yandex.ru
ORCID iD: 0000-0002-5946-4577
врач-генетик
Россия, МоскваТатьяна Сергеевна Нагорнова
Медико-генетический научный центр им. академика Н.П. Бочкова
Email: t.korotkaya90@gmail.com
ORCID iD: 0000-0003-4527-4518
SPIN-код: 6032-2080
врач — лабораторный генетик
Россия, МоскваНаталья Наумовна Вассерман
Медико-генетический научный центр им. академика Н.П. Бочкова
Email: vasserman@dnalab.ru
ORCID iD: 0000-0001-5007-6028
SPIN-код: 2936-7200
канд. мед. наук
Россия, МоскваНаталья Юрьевна Огородова
Медико-генетический научный центр им. академика Н.П. Бочкова
Email: ognatashka@mail.ru
ORCID iD: 0000-0001-6151-5022
SPIN-код: 4300-7904
врач — лабораторный генетик
Россия, МоскваОльга Анатольевна Щагина
Медико-генетический научный центр им. академика Н.П. Бочкова
Email: schagina@dnalab.ru
ORCID iD: 0000-0003-4905-1303
Scopus Author ID: 25422833100
ResearcherId: W-4835-2018
канд. мед. наук
Россия, МоскваЕлена Леонидовна Дадали
Медико-генетический научный центр им. академика Н.П. Бочкова
Автор, ответственный за переписку.
Email: genclinic@yandex.ru
ORCID iD: 0000-0001-5602-2805
SPIN-код: 3747-7880
Scopus Author ID: 6701733307
ResearcherId: AFG-0883-2022
д-р мед. наук, профессор
Россия, МоскваСписок литературы
- Pauli R.M. Achondroplasia: a comprehensive clinical review // Orphanet J. Rare Dis. 2019. Vol. 14. No. 1. doi: 10.1186/S13023-018-0972-6
- Pseudoachondroplasia. [Internet]. [дата обращения 24.02.2023]. Доступ по ссылке: https://www.orpha.net/consor/cgi-bin/OC_Exp.php?lng=EN&Expert=750
- Horton W.A., Hall J.G., Hecht J.T. Achondroplasia // Lancet (London, England). 2007. Vol. 370. No. 9582. P. 162−172. doi: 10.1016/S0140-6736(07)61090-3
- Rousseau F., Bonaventure J., Legeai-Mallet L., et al. Mutations in the gene encoding fibroblast growth factor receptor-3 in achondroplasia // Nat. 1994. Vol. 371. No. 6494. P. 252−254. doi: 10.1038/371252a0
- L’Hôte C.G.M., Knowles M.A. Cell responses to FGFR3 signalling: growth, differentiation and apoptosis // Exp. Cell Res. 2005. Vol. 304. No. 2. P. 417−431. doi: 10.1016/J.YEXCR.2004.11.012
- Horton W.A., Degnin C.R. FGFs in endochondral skeletal development // Trends Endocrinol. Metab. 2009. Vol. 20. No. 7. P. 341−348. doi: 10.1016/J.TEM.2009.04.003
- Thomson R.E., Kind P.C., Graham N.A., et al. Fgf receptor 3 activation promotes selective growth and expansion of occipitotemporal cortex // Neural. Dev. 2009. Vol. 4. No. 4. doi: 10.1186/1749-8104-4-4
- Maroteaux P., Lamy M. Pseudo-achondroplastic forms of spondylo-epiphyseal dysplasias // Presse Med. 1959. Vol. 67. No. 10. P. 383−386.
- Briggs M.D., Hoffman S.M.G., King L.M., et al. Pseudoachondroplasia and multiple epiphyseal dysplasia due to mutations in the cartilage oligomeric matrix protein gene // Nat. Genet. 1995. Vol. 10. No. 3. P. 330−336. doi: 10.1038/ng0795-330
- Newton G., Weremowicz S., Morton C.C., et al. Characterization of human and mouse cartilage oligomeric matrix protein // Genomics. 1994. Vol. 24. No. 3. P. 435−439. doi: 10.1006/GENO.1994.1649
- Hedbom E., Antonsson P., Hjerpe A., et al. Cartilage matrix proteins. An acidic oligomeric protein (COMP) detected only in cartilage // J. Biol. Chem. 1992. Vol. 267. No. 9. P. 6132−6136. doi: 10.1016/S0021-9258(18)42671-3
- Piróg K.A., Jaka O., Katakura Y., et al. A mouse model offers novel insights into the myopathy and tendinopathy often associated with pseudoachondroplasia and multiple epiphyseal dysplasia // Hum. Mol. Genet. 2010. Vol. 19. No. 1. P. 52−64. doi: 10.1093/HMG/DDP466
- Briggs M.D., Chapman K.L. Pseudoachondroplasia and multiple epiphyseal dysplasia: mutation review, molecular interactions, and genotype to phenotype correlations // Hum. Mutat. 2002. Vol. 19. P. 465−478. doi: 10.1002/humu.10066
- Richards S., Aziz N., Bale S., et al. Standards and guidelines for the interpretation of sequence variants: a joint consensus recommendation of the American College of Medical Genetics and Genomics and the Association for Molecular Pathology // Genet. Med. 2015. Vol. 17. No. 5. P. 405−423. doi: 10.1038/gim.2015.30
- Ikegawa S., Fukushima Y., Isomura M., et al. Mutations of the fibroblast growth factor receptor-3 gene in one familial and six sporadic cases of achondroplasia in Japanese patients // Hum. Genet. 1995. Vol. 96. No. 3. P. 309−311. doi: 10.1007/BF00210413
- Addor M.C., Gudinchet F., Truttmann A., et al. An uncommon G375C substitution in a newborn with achondroplasia // Genet. Couns. 2000. Vol. 11. No. 2. P. 169−174.
- Barton C., Sweeney E., Roberts D., et al. Fibroblast growth receptor-3 (FGFR3) G375C mutation in a case of achondroplasia and thanatophoric dysplasia phenotypic overlap // Clin. Dysmorphol. 2010. Vol. 19. No. 3. P. 146−149. doi: 10.1097/MCD.0B013E328337586B
- Spranger J.W., Brill P.W., Hall C., et al. Bone dysplasiasan atlas of genetic disorders of skeletal development: an atlas of genetic disorders of skeletal development. USA: Oxford University Press, 2018. doi: 10.1093/med/9780190626655.001.0001
- Briggs M.D., Brock J., Ramsden S.C., et al. Genotype to phenotype correlations in cartilage oligomeric matrix protein associated chondrodysplasias // Eur. J. Hum. Genet. 2014. Vol. 22. P. 1278−1282. doi: 10.1038/ejhg.2014.30
- Briggs M.D., Wright M.J. Pseudoachondroplasia // GeneReviews. 1993.
- Klag K.A., Horton W.A. Advances in treatment of achondroplasia and osteoarthritis // Hum. Mol. Genet. 2016. Vol. 25. No. R1. P. R2−R8. doi: 10.1093/HMG/DDV419
- Ornitz D.M., Legeai-Mallet L. Achondroplasia: development, pathogenesis, and therapy // Dev. Dyn. 2017. Vol. 246. No. 4. P. 291−309. doi: 10.1002/DVDY.24479
- Duggan S. Vosoritide: First Approval // Drugs. 2021. Vol. 81. No. 17. P. 2057−2062. doi: 10.1007/S40265-021-01623-W
- Briggs M.D., Brock J., Ramsden S.C., et al. Genotype to phenotype correlations in cartilage oligomeric matrix protein associated chondrodysplasias // Eur. J. Hum. Genet. 2014. Vol. 22. P. 1278−1282. doi: 10.1038/ejhg.2014.30
- Chen T.-L.L., Posey K.L., Hecht J.T., et al. COMP mutations: domain-dependent relationship between abnormal chondrocyte trafficking and clinical PSACH and MED phenotypes // J. Cell Biochem. 2008. Vol. 103. P. 778−787. doi: 10.1002/jcb.21445
- Suleman F., Gualeni B., Gregson H.J., et al. A novel form of chondrocyte stress is triggered by a COMP mutation causing pseudoachondroplasia // Hum. Mutat. 2012. Vol. 33. No. 1. P. 218−231. doi: 10.1002/humu.21631
- Posey K.L., Coustry F., Hecht J.T. Cartilage oligomeric matrix protein: COMPopathies and beyond // Matrix Biol. 2018. Vol. 71−72. P. 161−173. doi: 10.1016/J.MATBIO.2018.02.023
- McKusick V.A. McKusick’s heritable disorders of connective tissue / Ed. by P. Beighton. USA: Mosby, 1993.
- Mabuchi A., Manabe N., Haga N., et al. Novel types of COMP mutations and genotype-phenotype association in pseudoachondroplasia and multiple epiphyseal dysplasia // Hum. Genet. 2003. Vol. 112. No. 1. P. 84−90. doi: 10.1007/S00439-002-0845-9
- Nakayama H., Endo Y., Aota S., et al. Novel mutations of the cartilage oligomeric matrix protein (COMP) gene in two Japanese patients with pseudoachondroplasia // Oncol. Rep. 2003. Vol. 10. No. 4. P. 871−873. doi: 10.3892/OR.10.4.871
Дополнительные файлы










