Лечение комплексного регионарного болевого синдрома после заполнения полости солитарной костной кисты гранулами бета-трикальцийфосфата
- Авторы: Аминова Л.Р.1, Лобашов В.В.1,2, Ахтямов И.Ф.1,2
-
Учреждения:
- ФГБОУ ВО «Казанский государственный медицинский университет»
- ГАУЗ «Городская клиническая больница № 7» г. Казани
- Выпуск: Том 7, № 4 (2019)
- Страницы: 97-104
- Раздел: Клинические случаи
- Статья получена: 01.04.2019
- Статья одобрена: 29.11.2019
- Статья опубликована: 20.01.2020
- URL: https://journals.eco-vector.com/turner/article/view/11568
- DOI: https://doi.org/10.17816/PTORS7497-104
- ID: 11568
Цитировать
Аннотация
Обоснование. Комплексный регионарный болевой синдром — состояние, характеризующееся множеством клинических проявлений, в первую очередь хронической постоянной болью, связанной с разнообразными повреждениями и анатомически не ограниченной областью иннервации конкретного периферического нерва.
Клиническое наблюдение. Представлен пример лечения комплексного регионарного болевого синдрома у пациентки 13 лет, возникшего вследствие оперативного лечения солитарной костной кисты нижней трети малоберцовой кости. Диагностика была основана на клинических, лабораторных, лучевых, инструментальных и гистологических методах исследования. Использовали лекарственную терапию (болеутоляющие препараты, антидепрессанты, нейролептики, антиконвульсанты, неопиоидные анальгетики центрального действия, биcфосфонаты), холодноплазменную абляцию, невролиз n. suralis, пролонгированную проводниковую аналгезию, туннелизацию заполненной костнопластическим материалом костномозговой полости малоберцовой кости, сегментарную резекцию кости.
Обсуждение. Комплексный регионарный болевой синдром является малоизученным состоянием, этим определяется сложность его диагностики. В описанном случае возникновение комплексного регионарного болевого синдрома можно связать как с травмированием тканей во время оперативного вмешательства, так и с интраоперационным повреждением нервных волокон. Установленные в исследованиях стадии комплексного регионарного болевого синдрома могут проявляться не у всех пациентов, в данном случае мы также не наблюдали стадийности течения патологического процесса. При устранении облитерации костномозговой полости после сегментарной резекции склерозированного участка малоберцовой кости удалось добиться снижения выраженности болевого синдрома и последующего исчезновения проявлений комплексного регионарного болевого синдрома.
Заключение. Рассмотренный пример демонстрирует степень эффективности различных методов при лечении комплексного регионарного болевого синдрома. Лечение комплексного регионарного болевого синдрома необходимо проводить с учетом этиологии болевого синдрома.
Полный текст
В статье представлен пример лечения комплексного регионарного болевого синдрома (КРБС) у пациентки 13 лет, возникшего вследствие оперативного лечения солитарной костной кисты (СКК) нижней трети малоберцовой кости с заполнением полости гранулами бета-трикальцийфосфата.
Солитарная (синонимы: однокамерная, простая) костная киста — заболевание, поражающее кости и характеризующееся образованием однокамерной полости, заполненной прозрачной жидкостью соломенного цвета, а также в большинстве наблюдений — наличием выстилки, имеющей соединительнотканную структуру и факультативно содержащей единичные гигантские многоядерные клетки [1]. Солитарная костная киста является одним из наиболее частых опухолеподобных поражений костей у детей [2]. Чаще всего встречается в метафизарной зоне длинных трубчатых костей [3]. Солитарная костная киста приводит к истончению смежных отделов кортикального слоя кости, что может послужить причиной патологического перелома. Основные задачи лечения заключаются в снижении риска возникновения патологического перелома, восстановлении органотипической костной структуры пораженного отдела кости. Лечение подразумевает применение консервативных и хирургических методов. Несмотря на множество описанных в литературе методик, единого стандарта лечения пациентов с СКК нет [2].
Комплексный регионарный болевой синдром — состояние, характеризующееся множеством клинических проявлений, в первую очередь хронической постоянной болью, связанной с разнообразными повреждениями и анатомически не ограниченной областью иннервации конкретного периферического нерва. Выделяют два типа КРБС: КРБС I типа, широко известный в ХХ в. как рефлекторная симпатическая дистрофия (в настоящее время использование данного термина считается некорректным), и КРБС II типа, обозначаемый как каузалгия [4]. Часто синдром сопровождается чувствительными нарушениями, изменением цвета, температуры кожи, нарушениями потоотделения, тремором, дистонией, локальным остеопорозом и др. Причинами КРБС могут быть различные факторы, наиболее часто он возникает после травм и хирургических вмешательств (в 80–85 % случаев). Данный синдром является относительно редким заболеванием и, следовательно, недостаточно изученным. Этим в какой-то степени обусловлены сложности его своевременной диагностики [5]. Комплексный регионарный болевой синдром выявляют в течение первых 4 мес. после травмы лишь у 3,8–7,0 % пациентов.
Диагноз КРБС устанавливают на основе следующих критериев (Будапештские критерии КРБС) [6].
- Продолжительная боль, по своей интенсивности не соответствующая предшествующей травме или оперативному вмешательству.
- В анамнезе должно присутствовать как минимум одно из перечисленных нарушений в каждой из четырех категорий:
- чувствительные — гиперальгезия и/или аллодиния;
- вазомоторные — данные о температурной асимметричности, и/или изменении окраски кожных покровов, и/или асимметричности окраски кожных покровов;
- судомоторные/отечность — отек, и/или изменение потоотделения, и/или асимметричность потоотделения;
- двигательные/трофические — данные об уменьшении амплитуды движений, и/или двигательной дисфункции (слабость, тремор, дистония), и/или трофических изменениях (со стороны волосяного покрова, ногтей, кожи).
- Во время обследования пациента должен быть зарегистрирован хотя бы один диагностический признак из нижеперечисленных:
- чувствительные — наличие гиперальгезии и/или аллодинии;
- вазомоторные — температурная асимметричность (> 1 °C), и/или изменение окраски кожных покровов, и/или асимметричность окраски кожных покровов;
- судомоторные/отечность — отек, и/или изменение потоотделения, и/или асимметричность потоотделения;
- моторные/трофические — уменьшение амплитуды движений, и/или двигательная дисфункция (слабость, тремор, дистония), и/или трофические изменения (со стороны волосяного покрова, ногтей, кожи).
- Нет другого диагноза, который мог бы объяснить все симптомы.
Лечение КРБС включает медикаментозные средства, регионарные блокады периферических нервов, реабилитационные мероприятия, а также психотерапию [7]. Целесообразность применения некоторых из методов лечения представляется довольно спорной [8], поэтому не существует абсолютного стандарта терапевтических мероприятий при этом синдроме. Однако, безусловно, терапия должна быть этиопатогенетически обоснованной, только тогда возможны положительные результаты [9].
Бета-трикальцийфосфат (β-TCP) — биосовместимый, биодеградируемый синтетический материал, используемый в качестве биологического наполнителя для замещения поврежденной костной ткани. По данным большинства исследований, β-ТСР в практике ортопедов зарекомендовал себя как материал, обладающий необходимыми для замещения пострезекционных дефектов остеопластическими характеристиками [10].
Обычно полное или практически полное восстановление структуры кости происходит спустя несколько лет после использования данного остеозамещающего материала [10]. Скорость замещения β-TCP зависит от множества факторов: количества имплантируемого материала, типа кости, возраста пациента. Только в нескольких случаях при применении данного материала наблюдались рецидивы кист и остеомиелит [10]. Однако при анализе источников в базе данных PubMed и eLibrary клинических случаев, связанных с атипичной резорбцией костезамещающего материала при заполнении полости, образовавшейся после краевой резекции новообразования, выявлено не было.
Клиническое наблюдение
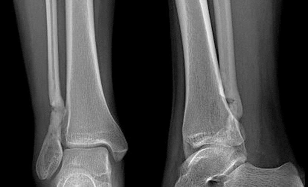
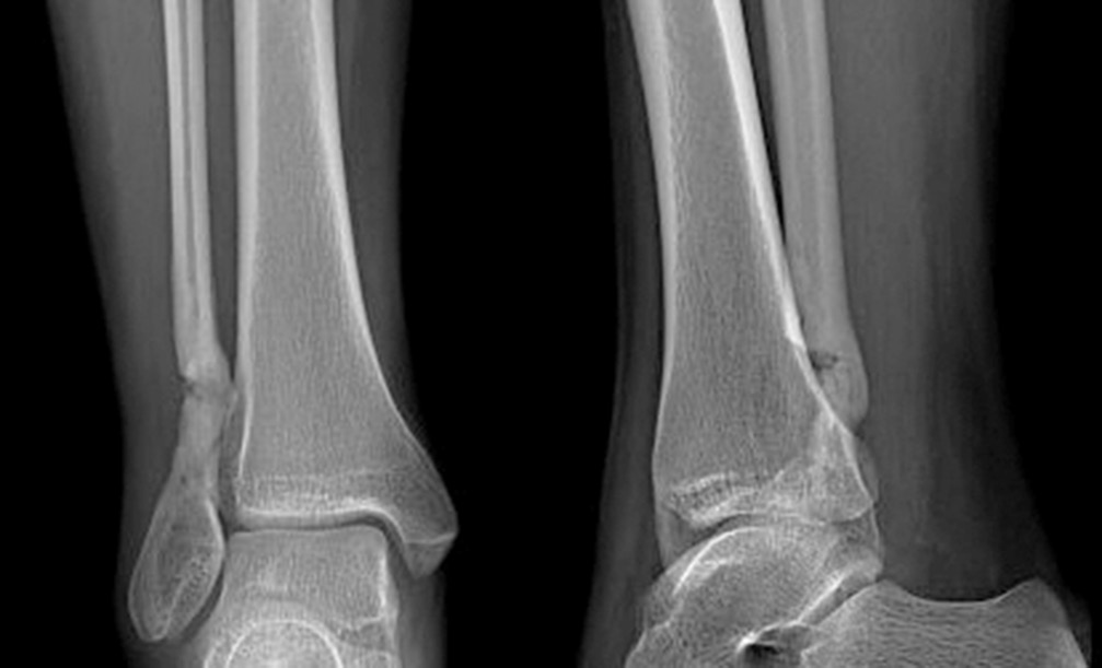
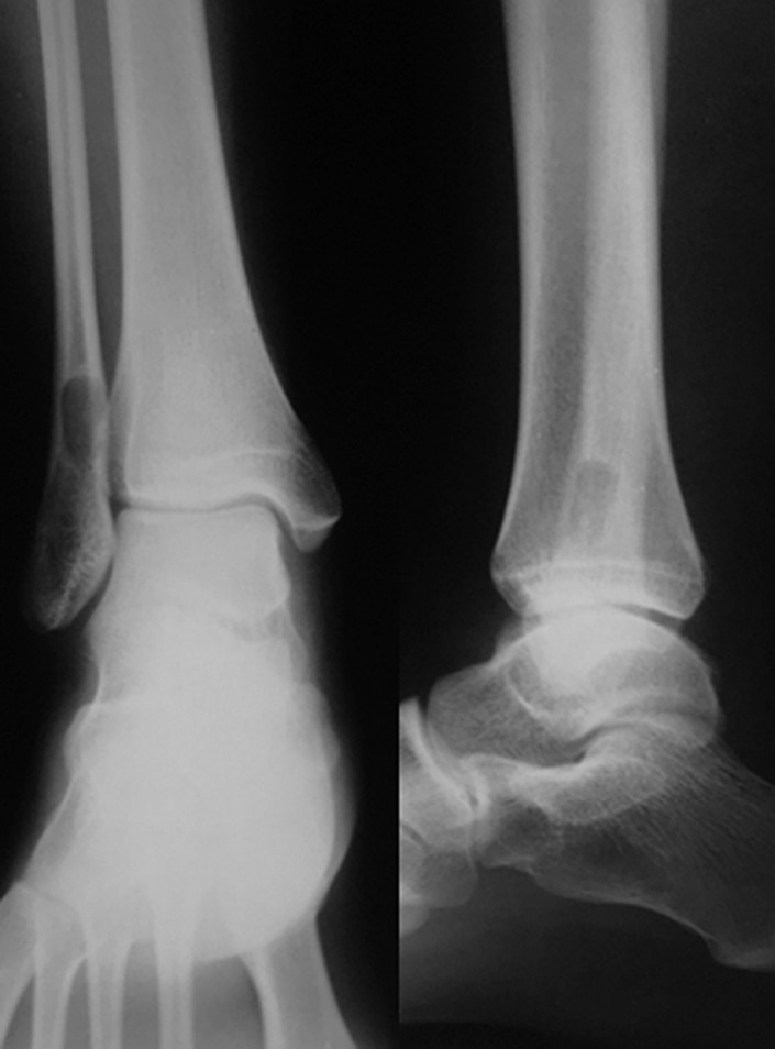
После получения травмы голеностопного сустава у 13-летней пациентки при рентгенологическом обследовании обнаружен очаг деструкции нижней трети правой малоберцовой кости овальной формы размером 1,9 × 0,8 см (30.11.2012) (рис. 1). Был рекомендован рентгенологический контроль через каждые 6 мес. Спустя год на снимке определялось увеличение размеров полости до 2,2 × 1,0 см. Пациентка жаловалась на непостоянный болевой синдром слабой выраженности (по визуальной аналоговой шкале (ВАШ) 2–3 балла), усиливающийся при физических нагрузках (по ВАШ до 5–6 баллов).
Рис. 1. Рентгенограмма. В проекции нижней трети правой малоберцовой кости кистозное образование овальной формы с четкими, ровными контурами, размером 1,9 × 0,8 см, кортикальный слой на уровне образования истончен
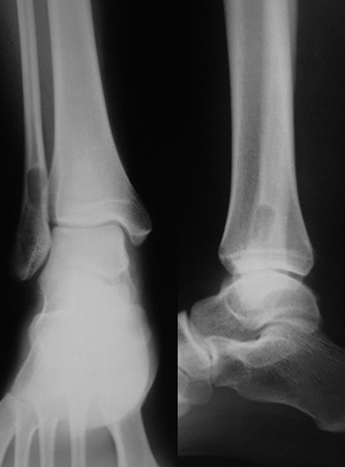
Через 3 мес. после повторного рентгенологического исследования (20.01.2014) проведено оперативное вмешательство в объеме краевой резекции пораженного отдела правой малоберцовой кости с электрокоагуляцией стенок кисты и пластикой пострезекционного дефекта кости гранулами β-TCP (ChronOs, Швейцария). Доступ к патологически измененному отделу нижней трети малоберцовой кости наружный. Интраоперационно после удаления кортикального слоя было обнаружено геморрагическое содержимое объемом 2,0 мл, которое эвакуировали. Эндостальная поверхность сохранившихся кортикальных стенок обработана ложкой Фолькмана. На рентгенограмме после хирургического вмешательства наблюдалось заполнение образовавшейся полости гранулами костнопластического материала. По данным гистологического исследования — солитарная костная киста.
Ходьба при помощи костылей с дозированной нагрузкой на оперированную нижнюю конечность разрешена на 14-е сутки после оперативного вмешательства. На 21-е сутки после операции в зоне резекции костной кисты произошел перелом сохранившегося кортикального слоя малоберцовой кости без смещения (рис. 2). Иммобилизацию правой голени и стопы в постфрактурном периоде не осуществляли.
Рис. 2. Рентгенограмма. Состояние после оперативного лечения — краевой резекции пораженного отдела малоберцовой кости. Патологический перелом нижней трети малоберцовой кости, полость заполнена гранулами бета-трикальцийфосфата
Спустя 2 нед. после перелома появились боли жгучего характера, оцениваемые пациенткой в 5–7 баллов по ВАШ, на их фоне также возникали эпизоды болей стреляющего характера (по ВАШ 7–9 баллов). Клинический тест позволил выявить нейропатию периферических нервов голени — n. suralis и n. peroneus. Выполнены диагностические блокады с применением лидокаина, позволившие кратковременно купировать болевые ощущения.
30.09.2014 выполнено хирургическое вмешательство — невролиз n. suralis. В раннем послеоперационном периоде характерный болевой синдром отсутствовал, однако на 5-й день он вновь проявился. Проведена стимуляционная электронейромиография, и при исследовании двигательных волокон n. peroneus, n. tibialis с обеих сторон патологии не выявлено.
Температура тела повысилась до субфебрильной, такое состояние наблюдалось на протяжении двух лет. Назначен курс лечения, включавший ипидакрин по 10 мг 2 раза в сутки, прегабалин по 75 мг 2 раза в сутки, витамины группы B в течение месяца.
В дальнейшем не наблюдалось положительной динамики, что привело к предположению о выраженном вовлечении n. suralis в рубцово-спаечные процессы и необходимости повторной ревизии или резекции данного нерва.
С целью купирования болевого синдрома в средней трети правой голени установлен катетер (на 1 мес.) для пролонгированной анальгезии с применением 0,2 % ропивакаина. Во время действия местного анестетика болевые ощущения значительно уменьшались до 2 баллов по ВАШ. Пациентка самостоятельно регулировала введение препарата посредством микроинфузионной помпы с регулируемой скоростью потока. Оптимальной для снятия болевого синдрома была инфузия в течение 2 ч со скоростью 4 мл/ч 4–5 раз в сутки по необходимости.
19.01.2015 проведена ревизионная операция — невролиз n. suralis. В послеоперационном периоде сначала наблюдалось улучшение (по ВАШ 0–1 балл), однако спустя двое суток появились стреляющие боли по ходу ветви нерва (до 9 баллов по ВАШ). Назначен курс лечения, включавший амитриптилин в дозе до 50 мг/сут в течение 2 мес. с целью купирования нейропатической боли.
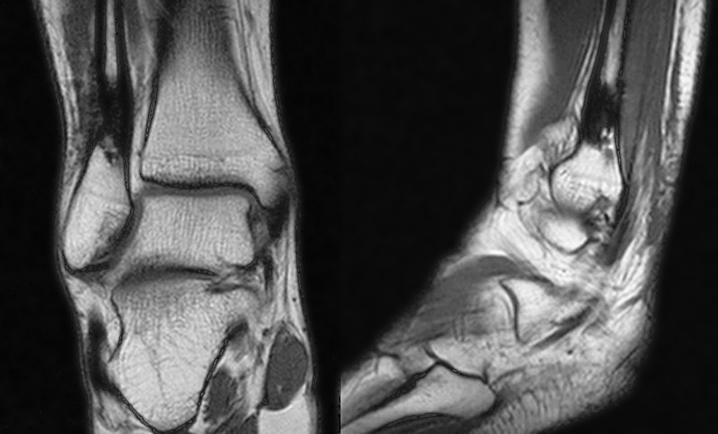
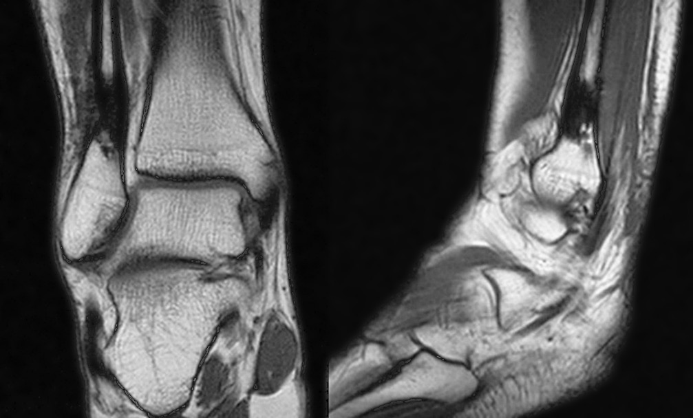
В течение 3 мес. происходила централизация болевого очага в виде усиления болевых ощущений тупого, распирающего характера в области пораженного участка кости (до 6–8 баллов по ВАШ) со значительным усилением в ночное время и при нагрузках. На рентгенограмме наблюдались облитерация костномозговой полости, на магнитно-резонансной томограмме — рубцово-спаечный процесс мягких тканей области нижней трети голени (рис. 3). Отмечались незначительное ограничение амплитуды движений в правом голеностопном суставе, небольшая отечность и температурная асимметрия (местное повышение температуры соответствующего участка кожи).
Рис. 3. Магнитно-резонансная томограмма. Рубцово-спаечный процесс мягких тканей области нижней трети правой голени
28.04.2015 проведено оперативное вмешательство в объеме туннелизации участка нижней трети малоберцовой кости, представленного перестраивающимся костнопластическим материалом. В послеоперационном периоде в течение 2–3 мес. интенсивность боли уменьшилась (до 4–6 баллов по ВАШ), в последующем она достигла прежнего уровня (8 баллов по ВАШ). На компьютерной томограмме спустя 6 мес. после операции отмечались округлый дефект, перерыв кортикального слоя с неравномерными участками склероза костной ткани дистальных отделов малоберцовой кости, отсутствие визуализации костномозговой полости на данном уровне.
15.08.2015 проведена чрескожная абляция холодной плазмой Arthrocare Quantum 2 с помощью насадки Topaz Microdebrider в целях временного блокирования рецепции. Эффект процедуры оказался незначительным (по ВАШ 6–8 баллов).
Повторная установка катетера (на 2 нед.) в среднюю треть правой голени для пролонгированной аналгезии с применением 0,2 % ропивакаина также оказалась малоэффективной (по ВАШ 4–6 баллов в течение инфузии).
Болевой синдром до 4–5 баллов по ВАШ зарегистрирован при приеме флупиртина малеата в дозе 200 мг, или эторикоксиба 90 мг, или при внутримышечных инъекциях кеторолака трометамина 30 мг.
На основе клинических данных (продолжительная боль, нарушение чувствительности, температурная асимметрия, уменьшение амплитуды движений), с учетом неэффективности проведенного лечения и отсутствия идентифицированного заболевания, которым бы объяснялись вышеперечисленные жалобы, был установлен диагноз КРБС.
В январе 2016 г. с целью лечения КРБС назначено введение 5 мг золедроновой кислоты в сочетании с приемом препаратов кальция в дозе 1000 мг и витамином D в дозе 10 000 МЕ. Проведен курс габапентина по 300 мг 2 раза в сутки с постепенным увеличением до 300 мг 3 раза в сутки и дулоксетина, начиная с 30 мг/сут, затем через неделю увеличивая дозу до 60 мг/сут. Курс лечения — 3 мес.
Наблюдались стойкий болевой синдром (до 6–8 баллов по ВАШ), снижение поверхностной чувствительности по заднелатеральной поверхности правой голени, анестезия тыльной и подошвенной поверхностей наружного отдела правой стопы начиная от латеральной поверхности III пальца. Пациентка ходила при помощи костылей. Стопа не опорная: при попытках наступить на пораженную конечность боль заметно усиливалась. Обострение болевого синдрома происходило в вечернее и ночное время суток (до 8–10 баллов по ВАШ). Боли отмечались при пальпации в области латеральной лодыжки правой голени. Амплитуда движений в правом голеностопном суставе была ограничена за счет болевого синдрома. Периодически появлялись отечность и гипертермия в пораженной области.
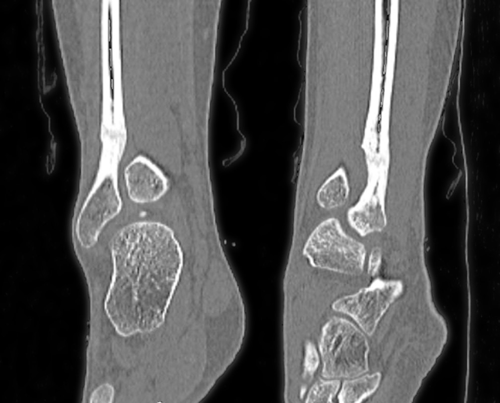
При компьютерной томографии на уровне дистального метадиафиза правой малоберцовой кости определялись деформация, остеосклеротические изменения кости на протяжении 29,0 мм с эндостально расположенными участками высокой плотности; кость локально несколько вздута, отмечались сквозные каналы после туннелизации; узурация и кистовидная перестройка задненаружной поверхности правой таранной кости, утолщение прилежащих отделов суставной капсулы правого голеностопного сустава в задненаружных отделах вследствие незначительного отека, количество синовиальной жидкости было несколько увеличено (рис. 4).
Рис. 4. Мультиспиральная компьютерная томография. Деформация, остеосклеротические изменения кости на протяжении 29,0 мм с эндостально расположенными участками высокой плотности; кость локально несколько вздута
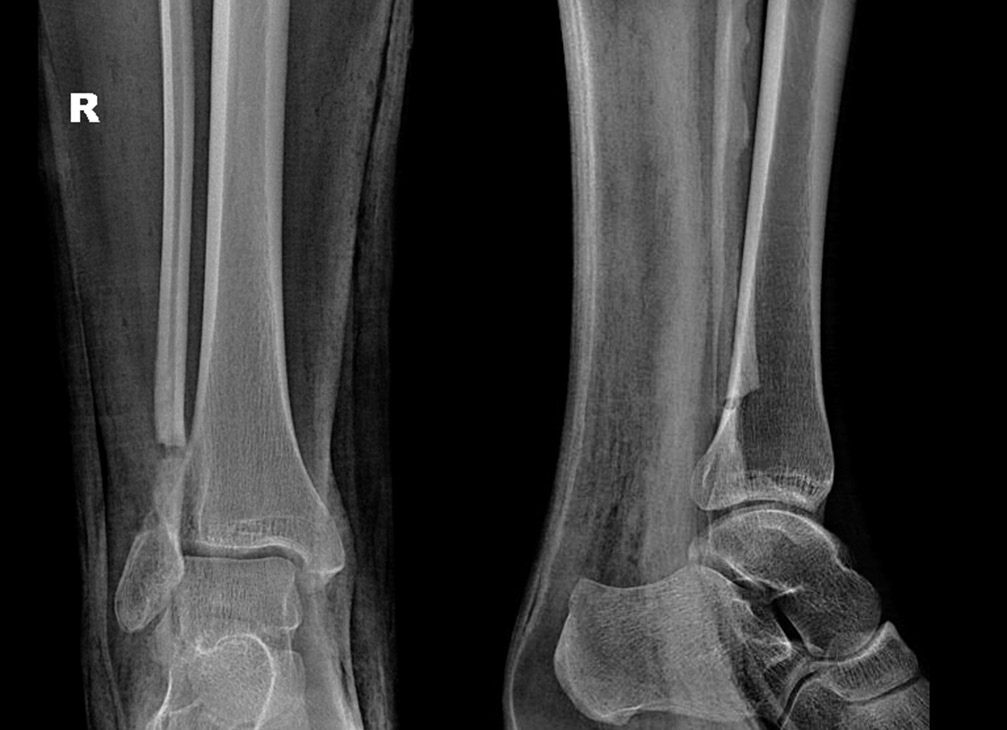
11.04.2017 из-за неэффективности консервативного и оперативного лечения проведена субпериостальная сегментарная резекция склерозированного участка нижней трети правой малоберцовой кости в пределах неизмененной костной ткани. Размеры резецированного участка кости составили 1,5 × 3,0 см. По гистологическим данным определен участок остеосклероза. Наложена гипсовая лонгета сроком на 8 нед. (рис. 5).
Рис. 5. Рентгенограмма. Состояние через месяц после операции — сегментарной резекции склеротически измененного участка нижней трети малоберцовой кости
В послеоперационном периоде выраженность болевого синдрома снизилась (до 4–6 баллов по ВАШ). Проводили интенсивные реабилитационные мероприятия. Спустя 4 мес. после резекции склерозированного участка нижней трети малоберцовой кости на контрольной рентгенограмме определялись неоднородность структуры и нечеткость контуров дистального метадиафиза малоберцовой кости с формированием костной мозоли (рис. 6). Признана целесообразной полная нагрузка на конечность. При осмотре через 6 мес. после операции болевой синдром отсутствовал (по ВАШ 0 баллов), наблюдалась потеря чувствительности в области тыльной поверхности стопы. Последующее обследование через 12 мес. после резекции показало отсутствие болевого синдрома и других клинических проявлений. По данным компьютерной томографии прослеживалась отчетливая тенденция к восстановлению органотипической костной структуры нижней трети малоберцовой кости в зоне оперативного вмешательства (рис. 7).
Рис. 6. Рентгенограмма спустя 4 мес. после операции (сегментарной резекции). Образование костной мозоли, заполнение дефекта кости новообразованной костной тканью
Рис. 7. Мультиспиральная компьютерная томография спустя 12 мес. после операции — сегментарной резекции нижней трети малоберцовой кости. Определяются признаки наметившейся дифференциации костной структуры на кортикальный слой и костномозговую полость
Обсуждение
Комплексный регионарный болевой синдром является достаточно редким состоянием, что определяет сложность его диагностики, поэтому его не сразу выявляют клиницисты. Установление первопричины, обусловливающей возникновение данного синдрома и его тип, также представляет некоторую проблему. Как говорилось выше, выделяют КРБС I и II типов. КРБС I провоцируется повреждением тканей в результате травмы конечности, а КРБС II — повреждением нерва. В описанном случае возникновение КРБС можно связать как с травмированием тканей во время оперативного вмешательства (краевая резекция пораженного отдела малоберцовой кости), так и с интраоперационным повреждением нервных волокон. К тому же затруднительно установить точное время возникновения первых проявлений КРБС, так как физическая нагрузка на конечность была ограничена вследствие восстановления в послеоперационном периоде.
На данном этапе нельзя с полной уверенностью утверждать, повлияла ли перестройка костнопластического материала, сопровождавшаяся остеосклеротическим процессом, на дальнейшее развитие КРБС, поскольку подобная рентгенологическая картина отмечена позже возникновения основных симптомов заболевания, или же атипичная репарация костной ткани, проявляющаяся облитерацией костномозговой полости, наблюдалась на фоне КРБС вследствие возможных нейротрофических нарушений.
Остается нерешенным вопрос и о нарушении чувствительности: гиперальгезия в области латеральной лодыжки и потеря чувствительности тыльной и подошвенной поверхностей наружного отдела стопы. Этот признак можно трактовать и как следствие нарушения целостности нерва в результате оперативного вмешательства, что объясняет чувствительные расстройства и после исчезновения болевого синдрома при последующем обследовании, и как проявление КРБС, одним из диагностических критериев которого служит нарушение чувствительности.
Установленные в исследовании стадии КРБС могут проявляться не у всех пациентов [6], и в данном случае мы не наблюдали определенной стадийности, что также затрудняло диагностику.
Использование стандартных методов как нехирургического (антидепрессанты, антипсихолитики, антиконвульсанты, бисфосфонаты), так и оперативного (холодноплазменная абляция, ревизия и невролиз n. suralis) лечения в рассматриваемом случае не дало стойкого положительного результата. Тем не менее временный эффект наблюдался при применении регионарных блокад, пролонгированной проводниковой аналгезии, невролиза n. suralis, туннелизации участка нижней трети малоберцовой кости, представленного перестраивающимся костнопластическим материалом. При устранении облитерации костномозговой полости после сегментарной резекции склерозированного участка малоберцовой кости удалось добиться уменьшения выраженности болевого синдрома и последующего исчезновения проявлений КРБС.
Заключение
Рассмотренный пример демонстрирует:
1) сложность диагностики, интерпретации полученных данных и выбора тактики лечения КРБС;
2) кратковременный эффект или отсутствие результата при применении симптоматических методов лечения комплексного регионарного болевого синдрома — как консервативных, так и оперативных;
3) значение знания этиологии болевого синдрома в лечении КРБС.
Дополнительная информация
Источник финансирования. Финансирование исследования не проводилось.
Конфликт интересов. Авторы декларируют отсутствие явных и потенциальных конфликтов интересов, связанных с публикацией настоящей статьи.
Этическая экспертиза. Пациент подписал добровольное информированное согласие на участие в исследовании, а также на обработку и публикацию персональных данных.
Вклад авторов
Л.Р. Аминова — обработка и анализ полученных данных, составление литературного обзора, написание разделов статьи.
В.В. Лобашов (лечащий врач) — дизайн исследования, редактирование статьи.
И.Ф. Ахтямов — редактирование статьи.
Все авторы внесли существенный вклад в проведение исследования и подготовку статьи, прочли и одобрили финальную версию перед публикацией.
Об авторах
Ляйсан Рустамовна Аминова
ФГБОУ ВО «Казанский государственный медицинский университет»
Автор, ответственный за переписку.
Email: leysan150@gmail.com
ORCID iD: 0000-0001-8701-164X
SPIN-код: 9809-4571
студент педиатрического факультета
Россия, 420012, г. Казань, ул. Бутлерова, 49Владислав Васильевич Лобашов
ФГБОУ ВО «Казанский государственный медицинский университет»; ГАУЗ «Городская клиническая больница № 7» г. Казани
Email: lobashoff@ya.ru
ORCID iD: 0000-0002-3467-0358
SPIN-код: 4138-4735
ассистент кафедры травматологии, ортопедии и хирургии экстремальных состояний; канд. мед. наук, врач — травматолог-ортопед
Россия, 420012, Казань, ул. Бутлерова, 49; 420103, Казань, ул. Маршала Чуйкова, 54Ильдар Фуатович Ахтямов
ФГБОУ ВО «Казанский государственный медицинский университет»; ГАУЗ «Городская клиническая больница № 7» г. Казани
Email: yalta60@mail.ru
ORCID iD: 0000-0001-5264-5634
SPIN-код: 6579-8640
заведующий кафедрой травматологии, ортопедии и хирургии экстремальных состояний; д-р мед. наук, профессор, врач — травматолог-ортопед
Россия, 420012, Казань, ул. Бутлерова, 49; 420103, Казань, ул. Маршала Чуйкова, 54Список литературы
- Поздеев А.П., Белоусова Е.А. Солитарные костные кисты у детей // Ортопедия, травматология и восстановительная хирургия детского возраста. – 2017. – Т. 5. – № 2. – C. 65–74. [Pozdeev AP, Belousova EA. Solitary bone cysts in children. Pediatric traumatology, orthopaedics and reconstructive surgery. 2017;5(2):65-74. (In Russ.)]. https://doi.org/10.17816/PTORS5265-74.
- Zhao JG, Wang J, Huang WJ, et al. Interventions for treating simple bone cysts in the long bones of children. Cochrane Database Syst Rev. 2017;2:CD010847. https://doi.org/10.1002/14651858.CD010847.pub3.
- Kadhim M, Thacker M, Kadhim A, Holmes L, Jr. Treatment of unicameral bone cyst: systematic review and meta analysis. J Child Orthop. 2014;8(2):171-191. https://doi.org/10.1007/s11832-014-0566-3.
- Lascombes P, Mamie C. Complex regional pain syndrome type I in children: What is new? Orthop Traumatol Surg Res. 2017;103(1S):S135-S142. https://doi.org/10.1016/j.otsr.2016.04.017.
- Bruehl S. Complex regional pain syndrome. BMJ. 2015;351:h2730. https://doi.org/10.1136/bmj.h2730.
- Harden RN, Oaklander AL, Burton AW, et al. Complex regional pain syndrome: practical diagnostic and treatment guidelines. 4th ed. Pain Med. 2013;14(2):180-229. https://doi.org/10.1111/pme.12033.
- Юркевич В.В., Колесникова И.В., Рудык В.Н. Комплексный регионарный болевой синдром (КРБС) // Вопросы реконструктивной пластической хирургии. – 2006. – № 5. – С. 47–55. [Yurkevich VV, Kolesnikova IV, Rudyk VN. Kompleksnyy regionarnyy bolevoy sindrom (KRBS). Voprosy rekonstruktivnoy plasticheskoy khirurgii. 2006;5(16):47-55. (In Russ.)]
- Shah A, Kirchner JS. Complex regional pain syndrome. Foot Ankle Clin. 2011;16(2):351-366. https://doi.org/10.1016/j.fcl.2011.03.001.
- Корячкин В.А. Комплексный регионарный болевой синдром: пособие для врачей. – СПб.: РНИИТО, 2014. [Koryachkin VA. Kompleksnyy regionarnyy bolevoy sindrom: posobie dlya vrachey. Saint Petersburg: RNIITO; 2014. (In Russ.)]
- Tanaka T, Komaki H, Chazono M, et al. Basic research and clinical application of beta-tricalcium phosphate (beta-TCP). Morphologie. 2017;101(334):164-172. https://doi.org/10.1016/j.morpho.2017.03.002.
Дополнительные файлы











