Restoration of the support function of the lower limbs in children with coxarthrosis after bilateral total hip arthroplasty (Biomechanical research)
- Authors: Nikityuk I.E.1, Kononova E.L.1, Baskov V.E.1, Imomov K.D.1
-
Affiliations:
- The Turner Scientific Research Institute for Children’s Orthopedics
- Issue: Vol 7, No 1 (2019)
- Pages: 43-50
- Section: Original papers
- Submitted: 05.04.2019
- Accepted: 05.04.2019
- Published: 06.04.2019
- URL: https://journals.eco-vector.com/turner/article/view/11633
- DOI: https://doi.org/10.17816/PTORS7143-50
- ID: 11633
Cite item
Abstract
Background. Deforming arthrosis of the hip joint in children leads to serious disorders of the walking biomechanics due to a decrease in the support and motor functions of the lower limbs. In patients with stage III coxarthrosis, when the potential of reconstructive surgeries has been exhausted, a total hip arthroplasty is performed.
Objective. To study the biomechanical parameters of support ability of the lower limbs in children with bilateral coxarthrosis before and after bilateral total hip arthroplasty.
Material and methods. Stabilometric and plantographic studies were conducted in 12 patients with bilateral coxarthrosis, aged from 13 to 17 years old, before and after hip arthroplasty. The time interval between operations on the contralateral joints ranged from 6 to 12 months. The control group consisted of 15 children of the same age, with no signs of orthopedic disorders.
Results. Before carrying out hip arthroplasty in patients, the tension of the statokinetic system was revealed during the implementation of support for the vertical balance of the body. The plantography method made it possible to diagnose disorders of the support function of the feet in the form of supination rigidity of the anterior section, a tendency toward rigidity of the internal longitudinal arch. After bilateral total hip arthroplasty in patients, the stability of the vertical posture improved, the support ability of the heads of the 1st metatarsal bones was significantly restored, and the weight-bearing distribution across the foot sections was normalized.
Conclusion. After bilateral hip arthroplasty in patients with coxarthrosis, stabilization of the support function of the postoperative lower limbs was achieved.
Keywords
Full Text
Background
The problem of the hip arthrosis in children belongs to the complex section of contemporary orthopedics. The most common causes of pediatric hip arthrosis are childhood dysplasia, congenital dislocation of hip, Perthes disease, spondyloepiphyseal dysplasia, slipped capital femoral epiphysis, consequences of purulent arthritis, and juvenile rheumatoid arthritis. Untimely or inadequate treatment contributes to the development and progression of coxarthrosis, where its terminal stage III could transform hip joint (HP) into a low-functional anatomy of HP, leading to severe biomechanical disorders and results in a decrease in the supporting and motor functions of the lower extremities [1]. In such cases, total hip replacement (THR) is suggested to pediatric patients with irreversible anatomical and functional disorders, when the potential of reparative surgeries and the own resources of the affected joint have been exhausted [2].
This organ replacement surgery prevents the progression of biomechanical disorders of the lower extremities and improves their support function. In this regard, it is extremely important to quantify the support function of the lower extremities in pediatric patients after THR surgery, especially in case of bilateral lesion. In addition, the adaptive capability of the affected lower extremities is of particularly interesting. Functional diagnostics of the feet condition, a method for assessing the support function of the lower extremities, [3], may help elucidating the load-bearing plantar characteristics [4].
The study aimed to analyze the biomechanical parameters of the support ability of the lower extremities in pediatric patients with bilateral coxarthrosis before and after bilateral THRs.
Material and methods
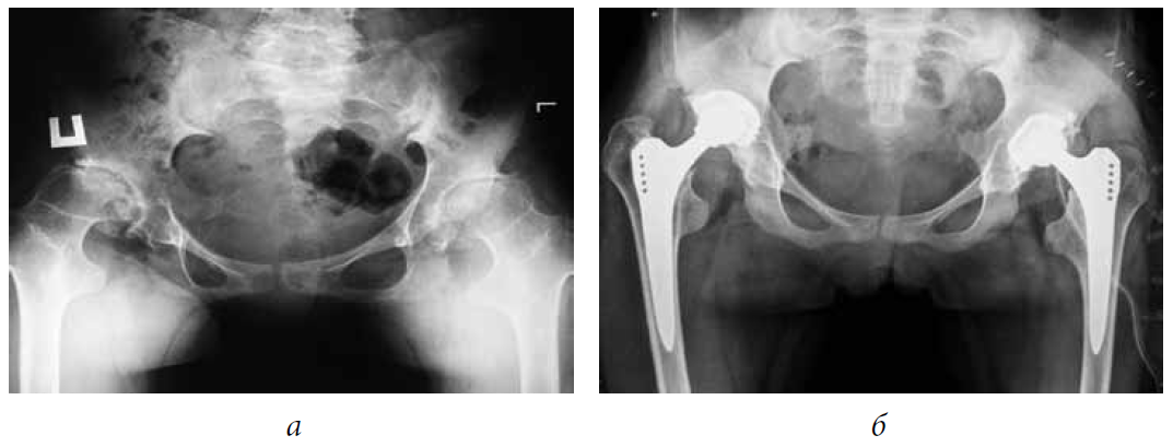
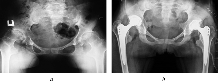
Stabilometric and plantographic studies were conducted in 12 pediatric patients with bilateral coxarthrosis, stage III, which developed as a result of HP dysplasia in 6 patients and spondyloepiphyseal dysplasia in 6 patients. The age of the patients ranged from 13 to 17 years (average age was 15.1 ± 0.47 years). The examinations were performed before (Fig. 1, a) and after (Fig. 1, b) the bilateral THR within 1–3 years. The time interval between surgeries on the contralateral joints ranged from 6 to 12 months.
Fig. 1. Radiograph of the hip joint (HP) of patient A, 16 years old. Spondyloepiphyseal dysplasia. Bilateral coxarthrosis, stage III: a — before hip replacement; b — after bilateral THR
The control group included age-matched 15 pediatric patients with no signs of orthopedic pathology.
To assess the state of vertical stability of the body, a computer-based stabilometric complex MBN-Biomechanics (MBN, Russia) was used. The studies were conducted according to the standard method with open and closed eyes [5], the most significant parameters of the displacement of mass center projection (MCP) of the body were calculated as follows: coordinates X (mm) and Y (mm) of MCP, and average length L (mm) of the MCP trajectory.
To study the support function of the feet, we used the hardware and software system Podoskan (MBN, Russia). To assess the functioning of the feet over time, we used biomechanical tests with various weight loads on the foot, namely, the load with double support plantography (half the weight of the body on each foot) and with single support plantography (whole body weight on each foot).
Plantographic characteristics and functional parameters of the feet were evaluated using our own technique [6]: we set identification points on the plantograms, along which the line of the transverse arch of the foot (BC) and force rays (ОG), (ОP), and (ОH) was plotted. While walking on the line, power load is directed respectively to toes I, II, and V (Fig. 2).
Fig. 2. Identification points of plantograms of healthy child B, 12 years old: a — plantogram with double support load; b —plantogram of the left foot with a single support load; c — plantogram of the right foot with a single support load
The following plantographic indices were calculated: t = KE/BC, m = GS/GO, s = PW/PO, and l = MN/HO, which correspond to anterior, medial, median, and lateral support indices that indicate the state of the transverse, internal, median, and external longitudinal foot arches respectively.
Statistical analysis of the data was performed using Student’s t-factor. The indicator p was calculated, p < 0.05 was considered statistically significant at.
Results and discussion
Analysis of the stabilometric data showed that patients with bilateral coxarthrosis had no statistically significant deviations of the body MCP relative to the absolute value in the frontal plane (X axis). A significant ventral deviation of MCP was observed in the sagittal plane (Y axis) compared with healthy children, which was most pronounced with closed eyes (Table 1).
Table 1
Stabilometric parameters in patients with bilateral coxarthrosis before and after total hip replacement (THR)
Parameters | Groups of the children examined | |||
Healthy (n = 15) | Pre-treatment (n = 12) | Post-treatment (n = 12) | ||
X, mm | О | 0.26 ± 0.08 | 0.48 ± 1.17 | 0.52 ± 1.34 |
C | 0.23 ± 0.05 | 0.86 ± 0.92 | 0.96 ± 1.48 | |
Y, mm | О | 9.4 ± 0.96 | 18.6 ± 2.14* | 12.8 ± 1.56 |
C | 6.8 ± 0.82 | 22.4 ± 1.93* | {15.2 ± 1.84} | |
L, mm | О | 678 ± 24.7 | 944 ± 44.3* | 946 ± 38.6 |
C | 865 ± 25.2 | 1086 ± 52.6* | 1116 ± 46.4 | |
Note. O, test with open eyes; C, test with eyes closed. * significantly changing rates at p < 0.05 compared with similar indicators in the norm. { }, significantly changing rates at p < 0.05 compared with the same figures prior to the surgery.
Generally, a symmetric loading on the lower extremities was detected in pediatric patients with bilateral localization of hip joint lesion, indicating a mutual compensation for stability disorders in the frontal plane in each limb, as it requires less energy for functional activities, such as the upright posture and walking [7].
As shown in Table 1, patients before and after THR showed significant increase in deviations in the statokinesiogram L length, implying an excessive statokinetic system tension.In contrast, static state of the musculoskeletal system remained satisfactory, and the mechanisms for implementing the vertical balance of the body retained their adequacy.
Patients after bilateral THR showed stabilized MCP in sagittal plane. At that, no negative changes were revealed in the MCP in frontal plane, since the average indices of the X axis coordinates virtually did not change in the same patients.
Taken together, findings indicate that after organ replacement surgeries in pediatric patients with bilateral lesion of the hip joint, there was no deterioration in the symmetry of the distribution of the load between the lower extremities and stabilization of the upright posture.
The plantographic study elucidated the plantar load characteristics during functional tests, as in patients with bilateral coxarthrosis; there was a tendency to impair support function of the feet (supination position of the anterior section). This was manifested on plantograms where a decrease in the support ability of the head of the first metatarsal bone on one (Fig. 3) or on both sides was observed.
Fig. 3. Plantograms of patient A, 16 years old. Spondyloepiphyseal dysplasia. Bilateral coxarthrosis, stage III (before the THR): a — with double support load; b — with a single support load of the left foot; c — with a single support load of the right foot. Deficiency of the support function of the head of the first metatarsal bone of the left foot is revealed
In tests with double support on the feet prior to THR, a significant decrease in the value of the anterior support index t on feet of the affected lower extremities was revealed, which indicates a distinct rigidity of the transverse arch of the feet. During the transition to single support plantography, there were no changes in the spring function of the transverse arches, as indicated by a minor change in the average value of the front support indexes in response to a twofold increase in axial load (Table 2).
Table 2
Comparative evaluation of plantographic characteristics of the feet of healthy children and patients with bilateral coxarthrosis before and after THR
Category of children | Plantographic indices (×10–2) | |||||||
Double support plantography (M ± m) | Single support plantography (M ± m) | |||||||
t | m | s | l | t | m | s | l | |
Healthy (n = 30) | 93.6 ± 0.5 | 21.8 ± 0.32 | 24.0 ± 0.38 | 13.3 ± 2.45 | 96.2 ± 0.34* | 25.2 ± 0.3* | 26.3 ± 0.39* | 1.7 ± 1.19* |
Prior to the treatment (n = 24) | {85.5 ± 2.30} | 19.6 ± 1.17 | 22.3 ± 0.81 | 12.8 ± 2.90 | {86.5 ± 2.46} | {21.3 ± 1.25} | 25.2 ± 0.88 | 4.5 ± 1.17* |
After the treatment (n = 24) | [93.2 ± 0.45] | 22.2 ± 0.44 | 23.2 ± 0.32 | 14.5 ± 2.30 | [95.4 ± 0.65] | [24.3 ± 0.35] | 25.4 ± 0.43 | 2.0 ± 0.26* |
Note. * significantly changing rates of single support plantography compared with similar indicators of double support at p < 0.05; { }, indicators that differ from similar indicators in the norm, with p < 0.05; [ ], indicators that differ from those prior to treatment, with p < 0.05.
The tendency to rigidity was also noted for the internal longitudinal arch of the feet of the affected lower extremities, despite the physiological level of the median index of the support m in double support plantography, there was no significant physiological increase with single support plantography. The support index m turned out to be significantly lower than the similar indicator in the norm.
It should be noted that prior to the THR, double support plantography showed normal parameters s and l, which indicates functional consistency of the corresponding arches of the feet in patients with bilateral coxarthrosis. This fact suggests a preservation of the adaptive potential of the musculoskeletal system in patients, which may be promising in terms of rehabilitation treatment.
After bilateral THR in patients with coxarthrosis, there was a significant improvement in the support function of the feet, which was manifested by a significant restoration of the support ability of the head of the first metatarsal bone of feet, confirmed by a plantographic study (Fig. 4).
Fig. 4. Plantograms of patient A, 16 years old. Spondyloepiphyseal dysplasia. Bilateral coxarthrosis, stage III (after total hip replacement (THR)): a — with double support load; b — with a single support load of the left foot; c — with single support load of the right foot
The distribution of the load on the foot departments became more uniform and approached normal values. There was also a significant improvement in the function of the vaulted apparatus of the feet, namely there was a complete reliable normalization of the indicators of the anterior t and medial m support indexes (see Table 2). And within the range of normal values, the parameters of the support indices s and l of both feet were preserved. Such a normalization of plantographic characteristics after treatment can be explained by surgical restoration of hip joint biomechanics, which eliminates excessive anteversion of the femoral neck [8], restores the head centering and stability in the HJ [9]. Given that hip joint is the main source of the generation of “biomechanical reactions” of the lower extremities in the process of standing and walking, the change in the distribution of pressure on the feet enables to determine the condition of the supporting function not only of the lower extremities, but also of the hip joints [10].
In addition, the existing biomechanical connection between the foot and pelvis [11, 12] serves as a marker of hip joint condition, therefore a more even distribution of load across the feet departments and the normalization of their vaulted apparatus after bilateral THR may indicate an increase in their functional consistency.
Conclusion
After bilateral THR in patients with bilateral coxarthrosis, stage III, there is a clear positive trend in maintaining the vertical balance of the body and foot biomechanics in the form of normalization of their functional activity, which may indicate an improvement in the support function of the operated lower extremities.
Additional information
Source of financing. The work was conducted within the framework of the State task of the Ministry of Health of the Russian Federation No. АААА-А18-118122690158-2.
Conflict of interest. The authors declare no obvious and potential conflicts of interest related to the publication of this article.
Ethical review. The study performed in accordance with the ethical standards of the Helsinki Declaration of the World Medical Association, as amended by the Ministry of Health of Russia, and approved by the ethics committee of the Turner Scientific Research Institute for Children’s Orthopedics. The patients (their representatives) signed the consent to the processing and publication of personal data.
Contribution of the authors
I.E. Nikityuk was engaged in development of the study design, collection and statistical processing of the material, review of publications on the topic of the article and writing the text of the manuscript.
E.L. Kononova collected and analyzed the material, reviewed the publications on the topic of the article, wrote the text, and performed stepwise and final editing of the manuscript.
V.E. Baskov collected and analyzed the material, wrote the text, and was engaged in staged editing of the manuscript.
H.D. Imomov collected and analyzed the material, and wrote the text of the manuscript.
Acknowledgment. The authors express gratitude to Alena Nikolaevna Melchenko, the head of the department for the implementation of international projects and external communications of the Turner Scientific Research Institute for Children’s Orthopedics for providing assistance in translating into English the summarizing part of the publication.
About the authors
Igor E. Nikityuk
The Turner Scientific Research Institute for Children’s Orthopedics
Author for correspondence.
Email: femtotech@mail.ru
ORCID iD: 0000-0001-5546-2729
MD, PhD, Leading Researcher of the Laboratory of Physiological and Biomechanical Research
Russian Federation, 64, Parkovaya str., Saint-Petersburg, Pushkin, 196603Elizaveta L. Kononova
The Turner Scientific Research Institute for Children’s Orthopedics
Email: Yelisaveta@yandex.ru
ORCID iD: 0000-0001-7624-013X
MD, PhD, Head of the Laboratory of Physiological and Biomechanical Research
Russian Federation, 64, Parkovaya str., Saint-Petersburg, Pushkin, 196603Vladimir E. Baskov
The Turner Scientific Research Institute for Children’s Orthopedics
Email: dr.baskov@mail.ru
MD, PhD, Head of the Department of Hip Pathology
Russian Federation, 64, Parkovaya str., Saint-Petersburg, Pushkin, 196603Khisrav D. Imomov
The Turner Scientific Research Institute for Children’s Orthopedics
Email: Kh.Imomov90@mail.ru
ORCID iD: 0000-0001-5025-7689
MD, PhD Student, Orthopedic and Trauma Surgeon of the Department of Hip Pathology
Russian Federation, 64, Parkovaya str., Saint-Petersburg, Pushkin, 196603References
- Metcalfe D, Peterson N, Wilkinson JM, Perry DC. Temporal trends and survivorship of total hip arthroplasty in very young patients. Bone Joint J. 2018;100-B(10):1320-1329. https://doi.org/10.1302/0301-620X.100B10.BJJ-2017-1441.R2.
- Зоря В.И., Смирнов А.В. Предоперационное планирование эндопротезирования тазобедренного сустава при дегенеративно-дистрофических заболеваниях в терминальных стадиях у подростков // Казанский медицинский журнал. – 2016. – Т. 97. – № 4. – С. 645–651. [Zorya VI, Smirnov AV. Preoperative planning of hip joint arthroplasty in terminal stage degenerative diseases in adolescents. Kazan Med Zh. 2016;97(4):645-651. (In Russ.)]. https://doi.org/10.17750/KMJ2015-645.
- Cousins SD, Morrison SC, Drechsler WI. The reliability of plantar pressure assessment during barefoot level walking in children aged 7-11 years. J Foot Ankle Res. 2012;5(1):8. https://doi.org/10.1186/1757-1146-5-8.
- Xu C, Wen XX, Huang LY, et al. Normal foot loading parameters and repeatability of the Footscan(R) platform system. J Foot Ankle Res. 2017;10:30. https://doi.org/10.1186/s13047-017-0209-2.
- Никитюк И.Е., Икоева Г.А., Кивоенко О.И. Система управления вертикальным балансом у детей с церебральным параличом более синхронизирована по сравнению со здоровыми детьми // Ортопедия, травматология и восстановительная хирургия детского возраста. – 2017. – Т. 5. – № 3. – С. 50–57. [Nikityuk IE, Ikoyeva GA, Kivoyenko OI. The vertical balance management system is more synchronized in children with cerebral paralysis than in healthy children. Pediatric traumatology, orthopaedics and reconstructive surgery. 2017;5(3):50-57. (In Russ.)]. https://doi.org/10.17816/PTORS5349-57.
- Никитюк И.Е., Гаркавенко Ю.Е., Кононова Е.Л. Особенности опорной функции нижних конечностей у детей с последствиями поражения проксимального отдела бедра острым гематогенным остеомиелитом // Ортопедия, травматология и восстановительная хирургия детского возраста. – 2018. – Т. 6. – № 1. – С. 14–22. [Nikityuk IE, Garkavenko YE, Kononova EL. Special aspects of the support function of lower limbs in children with the consequences of unilateral lesion of the proximal femur with acute hematogenous osteomyelitis. Pediatric traumatology, orthopaedics and reconstructive surgery. 2018;6(1):14-22. (In Russ.)]. https://doi.org/10.17816/PTORS6114-22.
- Paulus DC, Settlage DM. Bilateral symmetry of ground reaction force with a motor-controlled resistance exercise system using a mechanical advantage barbell for spaceflight. Biomed Sci Instrum. 2011;48:340-344.
- Слизовский Г.В., Кужеливский И.И. Способ хирургического лечения диспластического коксартроза у детей // Мать и Дитя в Кузбассе. – 2013. – № 3. – С. 28–32. [Slizovskiy GV, Kuzhelivskiy II. Surgical treatment method of children dysplastic coxarthrosis. Mat’ i Ditya v Kuzbasse. 2013;(3):28-32. (In Russ.)]
- Анисимова Е.А., Юсупов К.С., Анисимов Д.И. Морфология костных структур тазобедренного сустава в норме и при диспластическом коксартрозе (обзор) // Саратовский научно-медицинский журнал. – 2014. – Т. 10. – № 3. – С. 373–377. [Anisimova EA, Yusupov KS, Anisimov DI. Morfologiya kostnykh struktur tazobedrennogo sustava v norme i pri displasticheskom koksartroze (obzor). Saratov journal of medical scientific research. 2014;10(3):373-377. (In Russ.)]
- Norkin CС, Levangie PK. Joint Structure and Function. Philadelphia: FA Davis Company; 2011. 588 p.
- Kim TH, Lee CW, Kim SG, An BW. The effect of a pelvis-concentrated exercise program on male college students’ body alignment and foot base pressure. J Phys Ther Sci. 2015;27(4):1165-1167. https://doi.org/10.1589/jpts.27.1165.
- Ohkawa T, Atomi T, Hasegawa K, Atomi Y. The free moment is associated with torsion between the pelvis and the foot during gait. Gait Posture. 2017;58:415-420. https://doi.org/10.1016/j.gaitpost.2017.09.002.
Supplementary files








