与儿童附着点炎相关的关节炎:临床特征和鉴别诊断(文献综述)
- 作者: Raupov R.K.1,2, Vissarionov S.V.1, Babaeva G.A.1, Noyanova Y.G.1, Sorokina L.S.2, Kostik M.M.2
-
隶属关系:
- H. Turner National Medical Research Center for Children’s Orthopedics and Trauma Surgery
- Saint Petersburg State Pediatric Medical University
- 期: 卷 11, 编号 1 (2023)
- 页面: 105-120
- 栏目: Scientific reviews
- ##submission.dateSubmitted##: 19.12.2022
- ##submission.dateAccepted##: 10.02.2023
- ##submission.datePublished##: 31.03.2023
- URL: https://journals.eco-vector.com/turner/article/view/119532
- DOI: https://doi.org/10.17816/PTORS119532
- ID: 119532
如何引用文章
详细
论证。附着点炎相关的关节炎是幼年特发性关节炎的亚型之一,其特点是关节、附着点和中轴骨骼(骶髂关节炎、脊柱炎)受损。附着点炎相关的关节炎临床表现多变,与骨科疾病表现相似,给诊断带来困难。
目的。本研究旨在分析国内外文献的基础上,提供附着点炎相关的关节炎的临床特征,并考虑鉴别诊断。
材料和方法。文献检索在开放式电子科学文献数据库eLibrary、PubMed和Cochrane Library中进行。分析了1981-2021年期间的46个国外资料来源和4个国内资料来源。文献检索的关键词为“附着点炎”、“附着点炎相关性关节炎”、“幼年型脊柱关节炎”、“SAPHO综合征”、“enthesis”、 “enthesitis”、“enthesitis-related arthritis”、“juvenile spnodyloarthritis”、“SAPHO syndrome”。文章使用了我们自己档案中的工具性研究方法数据。
结果。附着点炎相关关节炎的临床表现千变万化。实验室检查并不总能证明疼痛综合征的炎症性质。磁共振成像和超声波成像方法是最优先的诊断测试。最难诊断的是那些以关节炎表现为主的患者,有时关节炎表现是疾病的唯一症状。回顾了用于诊断附着点炎相关关节炎的分类标准。首先要与骨科疾病进行鉴别诊断。当出现局部肌肉骨骼疼痛症状时,应进行关节和附着点的超声波检查,以便对患者进行正确分型。
结论。骨科医生和风湿病医生都必须警惕与附着点炎相关的关节炎,因为附着点会受到最常见骨科疾病的影响。
全文:
BACKGROUND
Enthesitis-related arthritis (ERA) is one of the subtypes of juvenile idiopathic arthritis (JIA), characterized by damage not only to the joints but also to the entheses and axial skeleton (sacroiliitis, spondylitis). The clinical presentation can be very variable, and laboratory tests do not always prove the inflammatory nature of the pain syndrome. The greatest diagnostic difficulties arise in patients in whom the manifestations of enthesitis prevail over the manifestations of arthritis, and sometimes they are the only disease symptoms. ERA is often disguised as an orthopedic disease. This review article focuses on the clinical and instrumental aspects of ERA and differential diagnostics.
This study aimed to present the clinical characteristics of ERA and consider differential diagnostics based on the analysis of Russian and international literature.
MATERIALS AND METHODS
A literature search was conducted on the anatomical and physiological characteristics of enthesis, clinical and laboratory–instrumental manifestations of ERA, and differential diagnostics of ERA. The search for publications was performed in the open electronic databases of eLibrary, PubMed, and Cochrane Library using the keywords “enthesitis,” “enthesitis-related arthritis,” “juvenile spondyloarthritis,” “SAPHO syndrome,” “enthesis, enthesitis.” In total, 46 international and 4 Russian sources were analyzed for the period from 1981 to 2021. The inclusion criteria were as follows: studies presenting information and methodological materials with available full-text sources, randomized controlled and uncontrolled studies, and systematic reviews. Duplicate works containing similar information were excluded, and if similar ones were identified, the chronologically later version was chosen. This review uses data from instrumental research methods from our archive.
RESULTS AND DISCUSSION
Anatomical and physiological aspects
Enthesis (from the Greek Ννθεσις meaning “insert”) is the site of attachment of tendons and ligaments to the bones. LaCava first used the term enthesitis in 1959 to refer to inflammation of a tendon insertion site. Subsequently, Ball and Niepel and Sit’Aj in 1970 and 1979, respectively, proposed to use the term “enthesis” to refer to the site where the tendon, capsule, or ligament attaches to the bone and the term “enthesopathy” to refer to the pathological change in this site [1].
Enthesis can take the form of dense fibrous connective tissue (fibrous enthesis) or fibrous cartilage (fibrocartilagenous enthesis). Fibrous entheses occur at the site of the diaphyses of long bones and the spinal column, whereas fibrocartilagenous entheses are localized near the epiphyses of long bones and attach to short bones and some parts of the vertebrae. Fibrous enthesis is represented by mineralized collagen fibers that penetrate into the bone or periosteum, which is part of a wide site of the bone diaphysis (e.g., the junction of the deltoid muscle with the humerus). Fibrocartilagenous entheses consist of four zones (Fig. 1). Zone 1 is represented by a tendon or ligament that comprises type I and III collagen fibers, elastin, proteoglycans, and fibroblasts. Zone 1 passes into a non-mineralized fibrocartilagenous zone, consisting of type I, II, and III collagens, aggrecan, and chondrocytes. Zone 2 is the mechanical boundary between soft and hard tissues. Zone 3 is represented by mineralized fibrous cartilage, mainly composed of type II collagen with a small amount of aggrecan, type I and X collagens, and chondrocytes. The bone structure is zone 4 of enthesis [2, 3].
Fig. 1. Histological presentation of enthesis [4]
Benjamin et al. formulated the concept of “enthesis as an organ,” which includes periosteal and sesamoid fibrous cartilage, bone, soft tissues, and synovial membrane [5]. This concept is important from a functional point of view because tension/physical stress experienced by enthesis is distributed throughout the structures of “enthesis as an organ.” Thus, enthesis damage as a result of microinjury or other external influences can cause inflammation in adjacent tissues [6].
Entheses contain unique T-cell lines that contribute to the pathological process. Pro-inflammatory cytokines interleukin (IL)-2 and IL-3, interacting with Th17 lymphocytes, trigger a cascade of reactions mediated by IL-17 and IL-22, which leads to chronic inflammation and bone remodeling at the enthesis site [7].
An increase in the duration and amount of load on tendon cells (tendinocytes) promotes the release of various angiogenic, inflammatory, and growth factors that affect the extracellular matrix and induce degenerative changes in the tendons [8].
Thus, understanding the anatomical and physiological aspects of “enthesis as an organ” is significant in the diagnostics of both inflammatory and degenerative diseases of the joints and ligamentous apparatus, enables the use of drugs that block the links of the inflammatory process in inflammatory diseases, and promotes regeneration in degenerative changes.
Definitions
Enthesitis-related arthritis is a variant of JIA in which enthesopathy/enthesitis may occur. According to the International League of Associations of Rheumatology (ILAR) [9], the criteria shown in Table 1 have been developed for it.
Table 1. International League of Associations of Rheumatology criteria for enthesitis-related arthritis
Inclusion criteria | Exclusion criteria |
· Soreness of the iliosacral joints on palpation and/or inflammatory back pain · Presence of HLA-B27 · Onset of arthritis in a boy aged >6 years · Family history of medically confirmed HLA-B27-associated diseases (ankylosing spondylitis, enthesitis-related arthritis, sacroiliitis, inflammatory bowel disease, and Reiter’s syndrome) or acute anterior uveitis in first-degree relatives | · Psoriasis in a child or first-degree relatives. · Rheumatoid factor in at least two test results within 3 months · Systemic arthritis |
Enthesitis-related arthritis is arthritis and/or enthesitis associated with two or more inclusion criteria and no exclusion criteria | |
This definition of ERA has some shortcomings. Currently, the categories of ERA and psoriatic arthritis are mutually exclusive categories of JIA. Many pediatric patients with psoriasis and arthritis also experience enthesitis. Moreover, if a patient with ERA has a first-degree relative with manifestations of psoriasis, then it should be attributed to the undifferentiated variant of JIA. In addition, ILAR classification does not distinguish between axial and peripheral lesions in ERA. Some physicians refer to the axial lesion as “juvenile ankylosing spondylarthritis,” which appears logical but does not conform to the official ILAR category.
Juvenile spondyloarthritis, or juvenile spondyloarthropathy, is a generic term for a group of related conditions in childhood characterized by arthritis, enthesitis, increased risk of skeletal joint disease, and association with the HLA-B27 antigen [10]. Juvenile spondyloarthritis may include ERA, undifferentiated spondylarthritis, juvenile ankylosing spondylarthritis, psoriatic arthritis, reactive arthritis, and arthritis associated with inflammatory bowel disease.
The Pediatric Rheumatology INternational Trials Organization initiative group proposed a new definition “enthesitis/spondylitis-associated arthritis,” which includes peripheral arthritis + enthesitis or arthritis/enthesitis + signs of spondylitis [11]. In our opinion, this definition covers a wider range of diseases with similar characteristics and avoids division into different classification subgroups (ERA, psoriatic arthritis, and undifferentiated arthritis). In addition, cases of psoriatic arthritis with enthesitis can be included in this category.
In 2019, the American College of Rheumatology developed recommendations for the treatment of non-systemic forms of JIA and identified three main JIA phenotypes, namely, polyarthritis, enthesitis, and sacroiliitis [12].
Clinical presentation
The onset of ERA is usually after the age of 6 years and more often affects boys than girls. The disease onset may be characterized by arthritis of the lower extremities, usually asymmetric, affecting less than five joints, with rare polyarticular lesions. In some cases, a lesion occurs in the form of edema of the intertarsal joints and bones, overlying tendons, and entheses and soft tissues (tarsitis), accompanied by pain and limitation of movement in the midfoot. Early hip joint involvement is characteristic, which is extremely rare in other JIA forms. In general, most pediatric patients also have signs of enthesitis. The attachment sites of the plantar fascia (heel bone, base of the metatarsal bone V, and metatarsal heads) and the Achilles tendon to the calcaneus are often the most painful on palpation. Other localizations of enthesitis include the upper and lower parts of the patella (at the 2, 6, and 10 o’clock positions), tibial tuberosity, greater trochanter, ischial tuberosity, anterior and superior iliac spines, iliac crest, sternal-clavicular joint, and ulnar joint epicondyles (Fig. 2) [13].
Fig. 2. Localization of enthesis points [2]
Dactylitis is one of the manifestations of ERA. Dactylitis (or pandigital inflammation) is represented by tendovaginitis and peritendinous swelling of the soft tissues of the finger or toe in combination with enthesitis and synovitis. Clinically, a “sausage-shaped” deformity develops in one or more fingers or toes [11]. Dactylitis is more common in pediatric patients with an earlier onset of arthritis. X-ray examination usually reveals swelling of the bone marrow of the phalanx, osteosclerosis, and periosteal sclerosis. Dactylitis is one of the criteria for diagnosing psoriatic arthritis in pediatric patients [9]. Thus, conditions that can be also represented by dactylitis, namely, bone tuberculosis (spina ventosa), enchondroma, fibrous defects, and sarcoidosis, must be watched out for.
The axial skeleton lesion at disease onset is less common than in adults. The sacroiliac joints are more often involved; however, the vertebral bodies, arches, costovertebral and zygapophysial (facet) joints, and ligaments may be affected. In the early stages, inflammation may be asymptomatic and suspected in the case of limited range of motion when examining a patient for peripheral arthralgia, and arthritis. Over time, pains are felt in the lumbar and gluteal regions, and stiffness in movements develops. Inflammatory pain is characterized by pain at rest, in the morning, or after prolonged sitting. Patients feel better after physical activity and warm-up. On examination, tenderness on palpation of the sacroiliac joints, limited flexion in the lumbar region (modified Schober test) and pain in the lumbosacral region during flexion, abduction, and external rotation of the thigh (Faber/Patrick test) are revealed. In addition to movement restrictions and pain syndrome, arthritis of the cervical spine occurs less frequently. Generally, hip joint arthritis also refers to the lesion of the axial skeleton and is an important factor in the choice of a therapeutic approach. If clinical symptoms of an axial skeleton lesion are detected, magnetic resonance imaging (MRI) of the affected site has been prescribed as the most sensitive method for assessing early inflammatory changes [14–16].
An analysis of 753 patients with JIA revealed that hip involvement was associated with a later JIA onset, high laboratory activity, and occurred more often in patients with ERA and patients positive for HLA-B27 [17]. In patients with ERA, isolated arthritis of the hip joint is possible at disease onset, whereas in other JIA forms, hip joint damage develops with a chronic course and damage to many groups of joints.
An important component of diagnostics is the assessment of the patient’s gait. A rapid transfer of body weight from an affected leg to an intact one indicates damage to the knee, hip joints, or feet. When the calcaneus is affected, the patient prefers to stand on the entire foot or toe. Bilateral damage to the hip joints is characterized by a waddling (goose) gait. When taking anamnesis, limping must be checked for, as it can be noted in the morning hours but is absent during the examination (a symptom of morning stiffness). A parent-supplied video of a child’s impaired gait helps in diagnosing joint damage.
Extra-articular manifestations of enthesitis-related arthritis
Eye involvement in ERA is typically represented by anterior uveitis, whereas posterior uveitis is more common in other JIA forms. Anterior uveitis is characterized by eye redness, pain, photophobia, and “sandpaper” in the eyes. Most often, a unilateral lesion is diagnosed with anterior uveitis. In a study of 3778 patients with ERA, the prevalence of uveitis was 7.4%. In the group of patients with uveitis, boys predominated, HLA-B27 was more often detected, and they had an earlier disease onset and high erythrocyte sedimentation rates at uveitis onset [18, 19].
Skin lesions in pediatric patients with ERA are rare. Acne and pustulosis are common in children with ERA. In some patients, the synovitis, acne, pustulosis, hyperostosis, osteitis (SAPHO) phenotype is observed, which is a subtype of juvenile spondyloarthritis with skin lesions and hyperostosis of the sternoclavicular joint. Enthesitis and sacroiliitis may be extraintestinal manifestations of inflammatory bowel disease, which may be associated with erythema nodosum, pyoderma gangrenosum, and aphthous stomatitis.
In patients with ERA, inflammatory bowel disease can be detected. Warning signs include weight loss, abnormal bowel patterns, and high inflammatory laboratory activity. Thus, in such cases, inflammatory bowel disease must be ruled out.
Laboratory diagnostics
Routine blood and urine tests in patients with ERA often have no abnormalities. The values of nonspecific markers of inflammation (erythrocyte sedimentation rate and C-reactive protein) may increase. Anemia can occur with long-term chronic inflammation or damage to the intestines. HLA-B27 antigen is the specific marker of ERA, and it is detected in 50%–90% of pediatric patients. If inflammatory bowel disease is suspected, fecal calprotectin should be analyzed, and if it is significantly increased, an endoscopic examination of the gastrointestinal tract should be performed.
Studies in pediatric patients with ERA demonstrate an increase in the level of tumor necrosis factor-alpha (TNF-α), IL-17, and IL-23, which (1) are targets for specific biological therapy and (2) can be used as biomarkers of disease activity [7].
Instrumental diagnostics
Instrumental diagnostics in ERA aim primarily at ruling out other diseases that may clinically resemble ERA. These include joint injuries, sprain or rupture of ligaments, osteochondropathy, degenerative–dystrophic diseases of the spine, meniscus damage, chondromalacia, osteomyelitis, and bone fractures.
Radiography enables us to rule out osteodestructive diseases. In pediatric patients with ERA, radiography of the joints is more often performed to assess the degree of post-inflammatory changes, such as erosion of the articular surfaces, osteosclerosis site, syndesmophytes, and spondylitis.
Ultrasound diagnostics is the most convenient and commonly used method for confirming arthritis and enthesitis. Modern equipment enables us to obtain highly accurate and specific information, and ultrasound study is accessible, safe, non-invasive, non-time-consuming, has no contraindications, does not require preparation, and is performed in real time. In diagnostics of enthesitis, ultrasound study is the basic and preferred method.
All layers of enthesis must be visualized. The fibers of the tendon part of the enthesis in the zone of transition to its cartilaginous part change direction, which gives the effect of anisotropy (appearance of pseudo-reduced echogenic zones). The assessment of this effect is diagnostically significant in the ultrasound examination of the tendon part of the enthesis. The presence of anisotropy indicates the preservation of the enthesis zone. In the pathological process, the tendon–cartilage–bone zonality is disturbed, and this effect is not recorded. At the initial stages of enthesopathy development, the cartilaginous component may not be involved in the process, and ultrasound will register changes in the tendon, primarily as increased blood flow in the color Doppler mapping mode (Fig. 3). In the future, changes will become visible in the B-mode (Fig. 4). When tendons, cartilage, and bones are involved, their echogenicity and echostructure are altered [20].
Fig. 3. Enthesopathy of the tendon of the triceps brachii muscle and increased vascular pattern in the color Doppler mapping mode (a); cartilage changes in the enthesis site (joint in the Fig. a with enlargement) in the gray-scale mode, unclear contours with sites of bone tissue remodeling (indicated by an arrow) (b); ultrasound presentation of the unchanged elbow joint (c); and enthesitis with severe hypervascularization of the tendon of the triceps brachii (d, e)
Fig. 4. Distal enthesis of the quadriceps femoris and signs of hypervascularization (a); proximal enthesis of the infrapatellar ligament (signs of moderate hypervascularization and thickening of the ligament) (b); quadriceps enthesis in the MFI mode (high-resolution energy mode) (c); ultrasound presentation of enthesis in the B-mode (d); and signs of enthesitis of the Achilles tendon in the B-mode with changes in the contour of the calcaneus and structural changes in the tendon (e)
One of the advantages of ultrasound examination is that it allows comparing the contralateral side or apparently healthy side. In the ultrasound assessment of enthesopathy, two index systems are more commonly used. The Glasgow Ultrasound Enthesitis Scoring System is focused on scoring only in the gray-scale mode. Moreover, the assessment of specialists depends on the body mass index [21]. The Madrid Sonographic Enthesitis Index (Madrid scoring system) in addition to the B-mode includes Doppler sonography and does not depend on the body mass index [22].
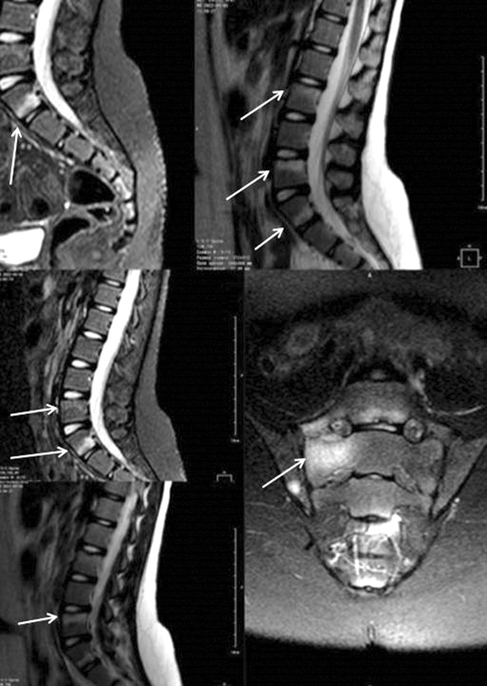
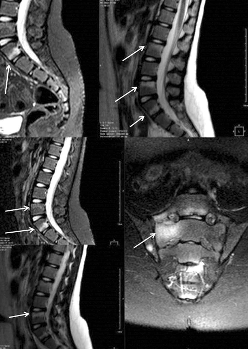
MRI is the method of choice for evaluating axial lesions. In ERA, MRI is most often used to diagnose sacroiliitis (Fig. 5), spondylitis, and arthritis of the peripheral joints and assess bone marrow edema. The earliest sign of sacroiliitis is bone marrow edema in the subchondral region of the synovial part of the sacroiliac joints. Additional signs are synovitis, capsulitis, and enthesitis. In pediatric patients, difficulties in diagnosing sacroiliitis are associated with the structural characteristics of the skeleton. A hyperintense signal may be registered from the apophyseal cartilage, which is not considered bone marrow edema. Edema is defined as a sign of inflammation if the signal is hyperintense compared with the signal from visible metaphyseal equivalents (iliac crest apophysis) on STIR [23]. Erosion indicates a long-term inflammatory process. According to the Assessment of Spondyloarthritis International Society (ASAS) consensus, significant sacroiliitis in adults is determined when a site of bone marrow edema in one anatomical zone is detected on at least two consecutive sections or a zone of bone marrow edema of two or more anatomical zones on at least one section [24]. According to modern concepts, any radiation findings of the sacroiliac joint site should be compared with the clinical presentation to avoid under- or overdiagnosis.
Fig. 5. Vertebral spondylodiscitis and sacroiliitis in a 9-year-old girl with enthesitis-related arthritis (magnetic resonance imaging, changes are indicated with arrows)
A 2017 study assessed the validity of the ASAS criteria in pediatric patients with suspected sacroiliitis. Sacroiliitis was diagnosed by MRI in 30 of 109 patients, whereas only 14 met the ASAS criteria. The low sensitivity of the criteria is explained by the need for the presence of bone marrow edema in at least two sections. The most common signs of sacroiliitis in pediatric patients were bone marrow edema in one section, synovitis, and capsulitis [25].
MRI is a valuable diagnostic tool in diagnosing peripheral arthritis and enthesitis, which enables us to rule out damage to the ligamentous apparatus and osteochondropathy.
In the case of polyarthritis, enthesitis with multiple localizations or concomitant chronic nonspecific osteomyelitis, whole-body MRI can be performed both for diagnostics at the initial stage and monitoring the efficiency of therapy [26].
SAPHO syndrome
SAPHO syndrome is characterized by aseptic inflammation of bones and joints and typical skin lesions. It was first described in 1987. Since then, various names have been used to designate it, namely, palmoplantar pustulosis with bilateral osteomyelitis of the clavicle, subacute symmetrical chronic osteomyelitis, sternoclavicular hyperostosis, and pustular arthrosteitis. Some authors refer SAPHO syndrome as autoinflammatory diseases [27].
SAPHO syndrome is registered in both children and adults. In most patients, the disease starts with local inflammatory changes, manifested by swelling, movement limitations, and pain, usually in the collarbone site. Subfebrile conditions and high levels of inflammatory markers are possible.
Skin lesions in SAPHO syndrome include palmoplantar pustulosis, severe acne, hidradenitis suppurativa, pustular dermatosis, pyoderma gangrenosum, and plaque psoriasis (Fig. 6). Palmar–plantar pustulosis is a special variant of psoriasis with chronic rashes presenting as pustules and vesicles on the palms and soles with remission and exacerbation periods. Palmar–plantar pustulosis occurs in 60% of the patients. Moderate and severe manifestations of acne affecting the face, chest, and back with subsequent scarring are noted in 25% of patients, mainly in men [28, 29]. Skin lesions may occur before, simultaneously with, or after osteoarticular manifestations. In 70% of patients, skin lesions were observed within 2 years before or after the onset of articular manifestations [30].
Fig. 6. Severe acne lesions in a patient with SAPHO syndrome
Arthritis was found in 92.5% of patients with SAPHO syndrome, with lesions of the axial skeleton in 91% of cases and peripheral joints in 36% of cases [31, 32].
Patients with SAPHO syndrome are characterized by sternocostoclavicular joint involvement. Costoclavicular enthesopathy and small foci of hyperostosis measuring <5 mm in diameter are considered early signs of SAPHO syndrome. Collarbone injury is more common in children than in adults. The medial end of the clavicle is often damaged in the form of osteitis and hyperostosis with progression in the lateral direction. In the case of arthrosteitis of the sternoclavicular joint, scintigraphy reveals a significant accumulation of contrast agent (bull’s head sign) more often in adult patients [33].
The spine is the second most common localization of skeletal lesions, and the thoracic spine is most commonly affected, followed by the lumbar and cervical regions. In ERA, the lumbar, cervical spine, and lastly thoracic spine are most typically involved. Both ERA and SAPHO syndrome are characterized by the following radiographic signs of vertebral lesions:
- Focal cortical erosions in one of the corners of the vertebral bodies (typical for adults) [34].
- Nonspecific spondylodiscitis and focal erosions with sclerosis of the cortical laminae of the vertebrae. In general, it is located in the intervertebral junction. Lesions in two adjacent vertebrae and multilevel damage are possible. Spondylodiscitis can be accompanied by pain lasting for several weeks and leads rarely to neurological disorders [35].
- Initially, reactive sclerosis with erosions of the end plate is noted, which, with progression, can cause diffuse sclerosis of one or more vertebral bodies accompanied by hyperostosis [31].
- It occurs in 20%–50% of patients, more often unilateral [33].
In long tubular bones, lesions by type of chronic abacterial osteomyelitis are registered in 30% of patients with SAPHO syndrome, more often in young patients. The metadiaphyses of the femur and the proximal and distal tibia are predominantly affected, whereas the fibular, humeral, radial, ulnar bones, and small joints of the feet are less often affected. The lesion is usually multifocal and symmetrical. The lower jaw is involved in the pathological process in 10% of cases. Diffuse unilateral sclerosis with a periosteal response, swelling, and pain in the site of the surrounding soft tissues are noted [31, 33].
Differential diagnostics
Most often, ERA must be differentiated from orthopedic and neurological diseases. Important aspects of timely and accurate diagnostics include examination of all joints, assessment of entheses and symptoms of sacroiliitis, correct interpretation of the results of instrumental studies, and a multidisciplinary approach to assessing clinical manifestations.
Table 2 presents the differential diagnostics of ERA with the most common orthopedic diseases.
Table 2. Differential diagnostics of enthesitis-related arthritis with orthopedic diseases
Disease | Clinical presentation | Instrumental diagnostics |
JEFH [36] | · Unilateral or bilateral HJ pain · More often in overweight boys aged 8–15 years · Limping in the evening · Concomitant endocrine disease · Limitation of the internal rotation of the thigh and pain during passive movements in the HJ · Drehmann’s sign, Hoffmeister’s sign, pelvic rotation sign, crossed shins sign, and Trendelenburg’s sign | HJ X-ray [37] · Alternation in sites of osteoporosis and osteosclerosis · Displacement of the epiphysis of the femoral head and shortening thickening of the femoral neck MRI · Pre-slip and bone marrow edema |
HJ chondrolysis [38] | · Idiopathic or more often secondary (JEFH, Legg–Calvé–Perthes’ disease, septic arthritis, and Stickler disease) · More common in adolescent girls with slowly progressive unilateral pain and stiffness on exertion · Limitation of flexion and abduction/adduction of the hip | HJ X-ray · May be without pathological changes in the early stages · In the later stages, there is joint space narrowing, periarticular osteoporosis, lateral osteophytes, and protrusion of the acetabulum MRI · Local wedge-shaped zone with signal hyperintensity (T2) and hypointensity (T1) in the middle third of the femoral head · Destruction of the femoral cartilage, synovitis, and effusion in the joint |
Osteochondropathy of the femoral head [39] | · More common in boys aged 4–8 years · Limping +/–pain in the knee joint and muscle hypotrophy · Limitation of abduction and internal rotation · There are five stages | X-ray · V-shaped defect of the femur, calcification of the lateral part of the epiphysis, lateral subluxation, horizontal position of the growth plate of the femoral head, and cysts in the proximal metaphysis MRI · Expansion of the joint space, effusion in the joint, diffuse change in the signal in the subchondral zone, change in the joint capsule, decrease in the epiphysis height, sites of necrosis, deformity of the femoral head, and fibrosclerosis |
Osteochondropathy of the tibial tuberosity | · More often in teenage athletes. · Pain in the knee joints, aggravated after jumping and kneeling · Soreness on palpation of the tibial tuberosity | X-ray · In the early stages, changes may not be expressed · Flattening of tuberosity, displacement of ossification nuclei, and fragmentation of tuberosity |
Osteochondropathy of the patella (infrapatellar tendinitis) [40] | · More common in adolescents who are involved in figure skating, basketball, and volleyball · Pain in the lower part of the patella on palpation and maximum flexion of the knee joint and hypotrophy of the thigh muscles | X-ray · Notching, fragmentation of the lower pole of the patella, ossification |
Apophysitis of the calcaneus | · Children aged 9–14 years involved in running and football · Pain in the calcaneus, aggravated by standing on toes or running · Possible swelling. Palpation tenderness along the edges of the calcaneus | X-ray · Compaction, sclerosis, and fragmentation of the apophysis with the expansion of the gap between the apophysis and the bone |
Osteochondropathy of the heads of II–IV metatarsal bones [41] | · More often in girls involved in dancing · Unilateral pain, usually in the head of the metatarsal bone II | X-ray · Sclerosis and flattening of the articular surface of varying degrees |
Avascular necrosis of the navicular bone [42] | · More common in boys aged 2–8 years · Swelling and pain in the midfoot · Pain on palpation | · Sclerosis, flattening, and fragmentation of the navicular bone |
Osteochondritis dissecan [43] | · Children aged 5–15 years · Localization: the medial condyle of the femur (Koenig’s disease), talus, and humeral head (Panner’s disease) · Pain, crepitus in the joint, pain on movement, and feeling of a foreign body · Positive Wilson’s sign in Koenig’s disease | X-ray · A clearly demarcated site of increased transparency, surrounded by a zone of sclerosis, closely connected with the bone, → a separated but not displaced site of the bone → a free bone fragment MRI · edema → restriction of the free site → partial separation of the subchondral fragment → complete separation without displacement → displacement of the subchondral fragment |
Patellofemoral syndrome [44] | · More common in adolescent girls during intensive growth periods · Valgus or varus deformity of the lower extremities, and hyperextension in the knee joints is often revealed · Bilateral lesions are more common · Dull aching pain after prolonged sitting with bent knees and pain when going down stairs · Examination: hypotrophy of the quadriceps muscle, pain on palpation of the patella, decrease in passive sliding of the patella | X-ray of the knee joint · Displacement and change in the shape of the patella · Increase in the Insall–Salvati index |
Note: JEFH, juvenile epiphysiolysis of the femoral head; HJ, hip joint; MRI, magnetic resonance imaging.
Key points for diagnosing ERA:
- Ruling out of orthopedic pathology
- Assessment of family history (psoriasis, Bechterew disease, and Crohn’s disease)
- Gait assessment
- Clinical and instrumental confirmation of enthesitis and arthritis
- Assessment of additional symptoms (skin lesions, weight loss, and subfebrile condition)
- Immunological screening (presence of HLA-B27)
- Assessment of the lesion of the axial skeleton and MRI confirmation of sacroiliitis in the early stages
Not all patients meet the criteria for ERA; however, they may have juvenile spondyloarthritis or undifferentiated JIA. One of the challenges is the differential diagnostics between ERA and fibromyalgia or chronic pain syndrome. A cross-existence of ERA and fibromyalgia complicates the diagnostics.
Fibromyalgia is characterized by chronic diffuse musculoskeletal pain in the absence of pathological changes in the musculoskeletal system that can cause pain syndrome. This condition is often accompanied by fatigue, sleep disturbance, headaches, irritable bowel syndrome, and subjective joint swelling. Pain on palpation of “painful (fibromyalgic) points,” some of which coincide with entheses, is typical (Fig. 7) [45].
Fig. 7. Pain points in fibromyalgia [45]
Diagnostic criteria for juvenile fibromyalgia [46]
Major criteria
- Generalized musculoskeletal pain in three localizations or more for 3 months and more
- Absence of a disease that can cause the pain
- Normal laboratory test results
- Pain in five typical pain points or more.
Minor сriteria
- Chronic anxiety or tension
- Fatigue
- Poor sleep
- Chronic headache
- Irritable bowel syndrome
- Subjective soft tissue edema
- Numbness
- Pain induction by physical activity
- Pain induction by weather change
- Pain induction by anxiety or stress
A diagnosis requires the presence of all major criteria and at least three minor criteria.
Treatment approaches
ERA treatment aims to relieve pain, restore joint function, achieve disease remission, prevent joint damage, and improve the quality of life.
At the initial disease stages, non-steroidal anti-inflammatory drugs (NSAIDs) are used. If NSAID therapy fails, intra-articular glucocorticoids may be used [47].
Antirheumatic disease-modifying drugs (sulfasalazine or methotrexate) are prescribed to most patients with ERA. However, recently, a treatment strategy with the initial prescription of genetically engineered biological drugs is increasingly discussed and chosen. Among the biological drugs in pediatric patients with ERA, the efficiency of TNFα inhibitors and IL-17 blockers has been proven [48, 49].
The approach to managing patients also depends on the involvement of the axial skeleton, including the hip joints. According to the ACR recommendations, TNF-α inhibitors are indicated in the case of active sacroiliitis and failure of prolonged NSAID therapy. In the case of contraindications to TNF-α inhibitors, sulfasalazine is used. Methotrexate monotherapy is not recommended. Methotrexate can be an adjunct to biological agents for concomitant polyarthritis and prevent the production of antidrug antibodies [12]. Currently, the question of which biological drug (TNF-α blocker or IL-17α) is preferable to use to start the therapy is being discussed.
In some cases, adult patients with spondyloarthritis receive a long NSAID course (up to 3 months) without cytostatics [50].
The efficiency of long-term NSAID therapy in pediatric patients with active sacroiliitis has not been studied, but it is often extrapolated from adult to pediatric practice.
Important components of the management of pediatric patients with ERA include rehabilitation measures, physiotherapeutic treatment methods, and exercise therapy.
CONCLUSION
ERA is a unique JIA subtype that is characterized by a diverse clinical course. The ERA classification criteria have several shortcomings and should therefore be reviewed. A multidisciplinary approach is necessary for the management of patients with enthesopathy or enthesitis. The alertness of both orthopedic surgeons and rheumatologists in enthesitis-related arthritis is important because entheses are affected in the most common orthopedic diseases.
ADDITIONAL INFORMATION
Funding. The study had no external funding.
Conflicts of interest. The authors declare no conflicts of interest.
Author contributions. R.K. Raupov collected the literature data and wrote the article. S.V. Vissarionov created the concept of scientific work and edited the article text. G.A. Babaeva wrote the article and provided the ultrasound images from a personal archive. Yu.G. Noyanova edited the article text. L.S. Sorokina collected the literature data. M.M. Kostik created the study design and edited the article text.
All authors made a significant contribution to the study and preparation of the article, read, and approved the final version before its publication.
作者简介
Rinat K. Raupov
H. Turner National Medical Research Center for Children’s Orthopedics and Trauma Surgery; Saint Petersburg State Pediatric Medical University
Email: rinatraup94@gmail.com
ORCID iD: 0000-0001-7749-6663
SPIN 代码: 2449-0294
Scopus 作者 ID: 57210883716
MD, Rheumatologist
俄罗斯联邦, Saint Petersburg; Saint PetersburgSergei V. Vissarionov
H. Turner National Medical Research Center for Children’s Orthopedics and Trauma Surgery
Email: vissarionovs@gmail.com
ORCID iD: 0000-0003-4235-5048
SPIN 代码: 7125-4930
Scopus 作者 ID: 6504128319
Researcher ID: P-8596-2015
MD, PhD, Dr. Sci. (Med.), Professor, Corresponding Member of RAS
俄罗斯联邦, Saint PetersburgGumru A. Babaeva
H. Turner National Medical Research Center for Children’s Orthopedics and Trauma Surgery
Email: gumru@yandex.ru
ORCID iD: 0000-0002-9742-9377
MD, Sonographer
俄罗斯联邦, Saint PetersburgYulia G. Noyanova
H. Turner National Medical Research Center for Children’s Orthopedics and Trauma Surgery
Email: julja1973@mail.ru
ORCID iD: 0000-0002-0533-0151
MD, PhD, Cand. Sci. (Med.)
俄罗斯联邦, Saint PetersburgLubov S. Sorokina
Saint Petersburg State Pediatric Medical University
Email: lubov.s.sorokina@gmail.com
ORCID iD: 0000-0002-9710-9277
SPIN 代码: 4088-4272
Scopus 作者 ID: 57217358279
Assistant Lecturer
俄罗斯联邦, Saint PetersburgMikhail M. Kostik
Saint Petersburg State Pediatric Medical University
编辑信件的主要联系方式.
Email: kost-mikhail@yandex.ru
ORCID iD: 0000-0002-1180-8086
SPIN 代码: 7257-0795
Scopus 作者 ID: 36945624400
MD, PhD, Dr. Sci. (Med.), Assistant Professor
俄罗斯联邦, Saint Petersburg参考
- Villotte S, Knüsel CJ. Understanding entheseal changes: definition and life course changes. Int J Osteoarchaeology. 2012;23(2):135–146. doi: 10.1002/oa.2289
- Textbook of pediatric rheumatology. Ed. by R.E. Petty, R.M. Laxer, C.B. Lindsley et al. Philadelphia: Elsevier; 2015.
- Benjamin M, McGonagle D. The anatomical basis for disease localisation in seronegative spondyloarthropathy at entheses and related sites. J Anat. 2001;199:503–526. doi: 10.1046/j.1469-7580.2001.19950503.x
- Cormick W. Enthesopathy – a personal perspective on its manifestations, implications and treatment. Australas J Ultrasound Med. 2010;13(4):19–23. doi: 10.1002/j.2205-0140.2010.tb00174.x
- Benjamin M, Moriggl B, Brenner E, et al. The “enthesis organ” concept: why enthesopathies may not present as focal insertional disorders. Arthritis Rheum. 2004;50(10):3306–3313. doi: 10.1002/art.20566
- Kehl AS, Corr M, Weisman MH. Review: Enthesitis: new insights into pathogenesis, diagnostic modalities, and treatment. Arthritis Rheumatol. 2016;68(2):312–322. doi: 10.1002/art.39458
- Russell T, Bridgewood C, Rowe H, et al. Cytokine “fine tuning” of enthesis tissue homeostasis as a pointer to spondyloarthritis pathogenesis with a focus on relevant TNF and IL-17 targeted therapies. Semin Immunopathol. 2021;43(2):193–206. doi: 10.1007/s00281-021-00836-1
- Millar NL, Hueber AJ, Reilly JH, et al. Inflammation is present in early human tendinopathy. Am J Sports Med. 2010;38(10):2085–2091. doi: 10.1177/0363546510372613
- Petty RE, Southwood TR, Manners P, et al. International League of Associations for Rheumatology classification of juvenile idiopathic arthritis: second revision, Edmonton, 2001. J Rheumatol. 2004;31(2):390–392.
- Sudoł-Szopińska I, Eshed I, Jans L, et al. Classifications and imaging of juvenile spondyloarthritis. J Ultrason. 2018;18(74):224–233. doi: 10.15557/JoU.2018.0033
- Rumsey DG, Laxer RM. The challenges and opportunities of classifying childhood arthritis. Curr Rheumatol Rep. 2020;22(1). doi: 10.1007/s11926-020-0880-3
- Ringold S, Angeles-Han ST, Beukelman T, et al. 2019 American College of Rheumatology/Arthritis Foundation Guideline for the treatment of juvenile idiopathic arthritis: therapeutic approaches for non-systemic polyarthritis, sacroiliitis, and enthesitis. Arthritis Care Res (Hoboken). 2019;71(6):717–734. doi: 10.1002/acr.23870
- Ramanathan A, Srinivasalu H, Colbert RA. Update on juvenile spondyloarthritis. Rheum Dis Clin North Am. 2013;39(4):767–788. doi: 10.1016/j.rdc.2013.06.002
- Chen HA, Chen CH, Liao HT, et al. Clinical, functional, and radiographic differences among juvenile-onset, adult-onset, and late-onset ankylosing spondylitis. J Rheumatol. 2012;39(5):1013–1018. doi: 10.3899/jrheum.111031
- Stoll ML, Bhore R, Dempsey-Robertson M, et al. Spondyloarthritis in a pediatric population: risk factors for sacroiliitis. J Rheumatol. 2010;37(11):2402–2408. doi: 10.3899/jrheum.100014
- Weiss PF, Xiao R, Biko DM, et al. Assessment of sacroiliitis at diagnosis of juvenile spondyloarthritis by radiography, magnetic resonance imaging, and clinical examination. Arthritis Care Res (Hoboken). 2016;68(2):187–194. doi: 10.1002/acr.22665
- Sorokina LS, Avrusin IS, Raupov RK, et al. Hip Involvement in juvenile idiopathic arthritis: a roadmap from arthritis to total hip arthroplasty or how can we prevent hip damage? Front Pediatr. 2021;9. doi: 10.3389/fped.2021.747779
- Martini A. It is time to rethink juvenile idiopathic arthritis classification and nomenclature. Ann Rheum Dis. 2012;71(9):1437–1439. doi: 10.1136/annrheumdis-2012-201388
- Walscheid K, Glandorf K, Rothaus K, et al. Enthesitis-related arthritis: prevalence and complications of associated uveitis in children and adolescents from a population-based nationwide study in Germany. J Rheumatol. 2021;48(2):262–269. doi: 10.3899/jrheum.191085
- Gandjbakhch F, Terslev L, Joshua F, et al. Ultrasound in the evaluation of enthesitis: status and perspectives. Arthritis Res Ther. 2011;13(6). doi: 10.1186/ar3516
- Balint PV, Kane D, Wilson H, et al. Ultrasonography of entheseal insertions in the lower limb in spondyloarthropathy. Ann Rheum Dis. 2002,61,905–910.
- Eder L, Jayakar J, Thavaneswaran A, et al. Is the MAdrid Sonographic Enthesitis Index useful for differentiating psoriatic arthritis from psoriasis alone and healthy controls? J Rheumatol. 2014;41(3):466–472. doi: 10.3899/jrheum.130949
- Akhadov TA, Mitish VA, Bozhko OV, et al. Possibilities of magnetic resonance imaging in the diagnosis of acute aseptic sacroilitis in children. Diagnostic radiology and radiotherapy. 2022;13(2):72–80. (In Russ.). doi: 10.22328/2079-5343-2022-13-2-72-80
- Rudwaleit M, van der Heijde D, Landewé R, et al. The development of Assessment of SpondyloArthritis international Society classification criteria for axial spondyloarthritis (part II): validation and final selection. Ann Rheum Dis. 2009;68(6):777–783. doi: 10.1136/ard.2009.108233
- Herregods N, Dehoorne J, Van den Bosch F, et al. ASAS definition for sacroiliitis on MRI in SpA: applicable to children? Pediatr Rheumatol Online J. 2017;15(1). doi: 10.1186/s12969-017-0159-z
- Greer MC. Whole-body magnetic resonance imaging: techniques and non-oncologic indications. Pediatr Radiol. 2018;48(9):1348–1363. doi: 10.1007/s00247-018-4141-9
- Cheng W, Li F, Tian J, et al. New Insights in the Treatment of SAPHO syndrome and medication recommendations. J Inflamm Res. 2022;15:2365–2380. doi: 10.2147/JIR.S353539
- Nguyen MT, Borchers A, Selmi C, et al. The SAPHO syndrome. Semin Arthritis Rheum. 2012;42(3):254–265. doi: 10.1016/j.semarthrit.2012.05.006
- Aljuhani F, Tournadre A, Tatar Z, et al. The SAPHO syndrome: a single-center study of 41 adult patients. J Rheumatol. 2015;42(2):329–334. doi: 10.3899/jrheum.140342
- Sonozaki H, Mitsui H, Miyanaga Y, et al. Clinical features of 53 cases with pustulotic arthro-osteitis. Ann Rheum Dis. 1981;40(6):547–553. doi: 10.1136/ard.40.6.547
- Earwaker JW, Cotten A. SAPHO: syndrome or concept? Imaging findings. Skeletal Radiol. 2003;32(6):311–327. doi: 10.1007/s00256-003-0629-x
- Cotten A, Flipo RM, Mentre A, et al. SAPHO syndrome. Radiographics. 1995;15(5):1147–1154. doi: 10.1148/radiographics.15.5.7501856
- Depasquale R, Kumar N, Lalam RK, et al. SAPHO: What radiologists should know. Clin Radiol. 2012;67(3):195–206. doi: 10.1016/j.crad.2011.08.014
- Laredo JD, Vuillemin-Bodaghi V, Boutry N, et al. SAPHO syndrome: MR appearance of vertebral involvement. Radiology. 2007;242(3):825–831. doi: 10.1148/radiol.2423051222
- Toussirot E, Dupond JL, Wendling D. Spondylodiscitis in SAPHO syndrome. A series of eight cases. Ann Rheum Dis. 1997;56(1):52–58. doi: 10.1136/ard.56.1.52
- Egiazaryan KA, Grigoriev AV, Ratyev AP. Etiology, pathogenesis, diagnosis and principles of treatment of slipped capital femoral epiphysis. Literature review. Surgical practice. 2022;(1):38–46. (In Russ.). doi: 10.38181/2223-2427-2022-1-38-46
- Kamosko MM, Poznovich MS. Radiological diagnosis of hip joint abnormalities in children. Pediatric Traumatology, Orthopaedics and Reconstructive Surgery. 2015;3(2):32–41. (In Russ.). doi: 10.17816/PTORS3232-41
- Amarnath C, Muthaiyan P, Mary TH, et al. Idiopathic chondrolysis of hip in children: New proposal and implication for radiological staging. Indian J Radiol Imaging. 2018;28(2):205–213. doi: 10.4103/ijri.IJRI_185_17
- Krutikova NYu, Vinogradova AG. Legg–Calve–Perthes disease. Current Pediatrics. 2015;14(5):548–552. (In Russ.). doi: 10.15690/vsp.v14i5.1437
- Valentino M, Quiligotti C, Ruggirello M. Sinding-Larsen-Johansson syndrome: a case report. J Ultrasound. 2012;15(2):127–129. doi: 10.1016/j.jus.2012.03.001
- Gudi SM, Luchshev MD, Kuznetsov VV, et al. Freiberg-Köhler disease: clinical manifestations, diagnostics, and treatment (literature review). Genij Ortopedii. 2022;28(3):431–443. (In Russ.). doi: 10.18019/1028-4427-2022-28-3-431-443
- Borges JL, Guille JT, Bowen JR. Köhler’s bone disease of the tarsal navicular. J Pediatr Orthop. 1995;15(5):596–598. doi: 10.1097/01241398-199509000-00009
- Baindurashvili AG, Sergeev SV, Petrov AG, et al. Clinical presentation tool osteochondritis dissecans knee in children. Vestnik Chuvashskogo universiteta. 2013;(3):370–375. (In Russ.).
- Gulati A, McElrath C, Wadhwa V, et al. Current clinical, radiological and treatment perspectives of patellofemoral pain syndrome. Br J Radiol. 2018;91(1086). doi: 10.1259/bjr.20170456
- De Sanctis V, Abbasciano V, Soliman AT, et al. The juvenile fibromyalgia syndrome (JFMS): a poorly defined disorder. Acta Biomed. 2019;90(1):134–148. doi: 10.23750/abm.v90i1.8141
- Yunus MB, Masi AT, Aldag JC. Preliminary criteria for primary fibromyalgia syndrome (PFS): multivariate analysis of a consecutive series of PFS, other pain patients, and normal subjects. Clin Exp Rheumatol. 1989;7(1):63–69.
- Mistry RR, Patro P, Agarwal V, et al. Enthesitis-related arthritis: current perspectives. Open Access Rheumatol. 2019;11:19–31. doi: 10.2147/OARRR.S163677
- Shipa MR, Heyer N, Mansoor R, et al. Adalimumab or etanercept as first line biologic therapy in enthesitis related arthritis (ERA) – a drug-survival single centre study spanning 10 years. Semin Arthritis Rheum. 2022;55. doi: 10.1016/j.semarthrit.2022.152038
- Brunner HI, Foeldvari I, Alexeeva E, et al. Secukinumab in enthesitis-related arthritis and juvenile psoriatic arthritis: a randomised, double-blind, placebo-controlled, treatment withdrawal, phase 3 trial. Ann Rheum Dis. 2022. doi: 10.1136/ard-2022-222849
- Noureldin B, Barkham N. The current standard of care and the unmet needs for axial spondyloarthritis. Rheumatology (Oxford). 2018;57:vi10-vi17. doi: 10.1093/rheumatology/key217
补充文件










