Orthopaedic sequelae of meningococcemia in children: options for the correction of lower and upper limb deformities (preliminary message)
- Authors: Garkavenko Y.E.1,2, Khodorovskaya A.M.1, Dolgiev B.H.1, Melchenko E.V.1
-
Affiliations:
- H. Turner National Medical Research Center for Сhildren’s Orthopedics and Trauma Surgery
- North-Western State Medical University named after I.I. Mechnikov
- Issue: Vol 8, No 1 (2020)
- Pages: 63-72
- Section: Exchange of experience
- Submitted: 28.04.2019
- Accepted: 04.12.2019
- Published: 06.04.2020
- URL: https://journals.eco-vector.com/turner/article/view/11994
- DOI: https://doi.org/10.17816/PTORS11994
- ID: 11994
Cite item
Abstract
Background. Мeningococcal infection with damage to various organs and systems, including the musculoskeletal system, causes growth plate dysfunction, which usually leads to the formation of orthopedic consequences, including axis deviation and/or limb length discrepancy.
Aim. This study aimed to analyze the features of limb deformities and methods for their correction in children with consequences of meningococcemia.
Materials and methods. The retrospective analysis was performed on patients with consequences of meningococcemia who were examined and surgically treated in the clinic between 2012 and 2018. A total of 12 patients (six boys and six girls) were included, with an age range of 2–15 years. The examination included clinical, X-ray, and physiological methods. Treatment methods consisted of a combination of angular deformity correction and limb lengthening.
Results. In 12 patients, 76 growth plate arrests of long bones were found. Most frequently (17.1%), growth plate arrests of the distal femur and proximal tibia were observed, which resulted in limb shortening and/or axis deviation. For restoration of limb alignment in 10 (83.3%) patients, transosseous compression-distraction osteosynthesis was performed. For limb deformity correction, guided growth technique was applied by using eight-plate for temporary epiphysiodesis of active functioning part of the growth plate in four (33.3%) patients, whereas partial growth plate arrest resection with following epiphysiodesis was achieved in two (16.6%).
Conclusions. Meningococcal septicemia leads to long bone growth plate dysfunction. The main complaints in this patient are limb shortening and their deformity. Along with the transosseous compression-distraction osteosynthesis technique, using the guided growth method by carrying out temporary epiphysiodesis of the remaining functioning part of the growth plate of damaged bone was appropriate.
Full Text
Meningococcemia represents one of the forms of generalized meningococcal infection, which is characterized by acute onset, a rise in body temperature, symptoms of general intoxication, and skin rashes with the development of toxic shock, and is nothing else than acute bacterial sepsis [1, 2].
The Russian literature only mentions the lesions of the musculoskeletal system with meningococcal infection in pediatric patients, but in a rather positive context. The authors noted that the incidence of joint lesions ranged from 3–6% to 15–22% of cases and that the outcome of arthritis is usually favorable, and joint functions are fully restored [3, 4].
Orthopedic problems in pediatric patients with a history of meningococcemia, apparently, are not considered in case of more severe manifestations of the acute inflammatory process in other vital organs and systems requiring active medical correction. However, pediatric patients with the consequences of meningococcal infection represent a group of patients with severe orthopedic deficiency.
Despite the fact that this problem is adequately discussed in quite a lot of international publications [5–7], we did not find information in the Russian-language literature regarding the analysis of limb deformities and their correction in pediatric patients with a history of meningococcemia. Given the current information deficit, we consider it necessary to discuss the orthopedic effects of meningococcal infection in pediatric patients in this publication.
The work aimed to study the aspects of limb deformities and methods for their correction in pediatric patients with a history of meningococcemia.
Materials and methods
From 2012 to 2018, 12 patients (six boys and six girls) aged 2 to 15 years were examined and treated at the clinic: nine had meningococcemia before the age of 1 year, two at the age of 1.5 years, and one at the age of 4 years. The pediatric patients were examined using clinical and radiological research methods with radiographs in two standard projections. According to the prescriptions, panoramic and functional radiographs of the upper or lower extremities, as well as computed tomography, were performed.
Surgical aids were performed including restoring the length and correction of the deformity of the affected limb segments using the multilocal or multisegmental compression-distraction osteosynthesis technique in eight (66.7%) pediatric patients and controlled growth in four (33.3%) pediatric patients, whereas in two (16.6 %) patients, these techniques were combined.
Results and discussion
A fairly large number of extensive stellate scars were noticeable in the clinical examination, which were registered in seven (58.33%) pediatric patients, and also deformed soft tissues of the limbs. In three (25%) patients, a significant deficit of soft tissues of the limb segments was noted, and three (25%) pediatric patients had amputation stumps of the fingers and toes, which caused limitations in self-care and significantly complicated walking. In 11 (91.7%) patients, shortening and deformities of segments of the lower extremities of various orientations were recorded. In four (33.3%) pediatric patients, along with the lower extremities lesion, the upper limbs were also affected. And in one (8.3%) patient, only the upper limbs were affected.
The orthopedic effects of meningococcemia are characterized by a multiplicity of lesions in the growth zones of long bones [8].
According to a radiographic study, 12 patients had lesions of 76 growth zones of long bones of the extremities. Moreover, distal femoral growth zones and proximal tibial growth zones were most often affected with shortening or deformity of the affected limb segments (Table 1).
In a smaller number of cases (9.2%), proximal femoral growth zones were affected with the formation of varus deformities of their necks.
Lesion to the growth zones of the long bones of the upper extremities was revealed in four (33.3%) patients (Table 2). Dysfunction of the growth zones of the humerus was registered in three (25%) patients: two (16.7%) in the ulnar and one (8.3%) in the radial bone. Three patients (25%) had a shortening of the shoulder by 6 to 8 cm, and one (8.3%) had shortening of both forearms with the formation of ulnar clubhand.
Computed tomography enabled to clarify the nature and size of the bone growth zone lesion and evaluate the possibilities of one or another proposed surgical treatment technique.
The surgical treatment of the orthopedic consequences of meningococcal infection aimed to restore the length and anatomical and biomechanical axes of the affected limb, as well as to restore or improve the anatomical ratios and functions of the affected joints.
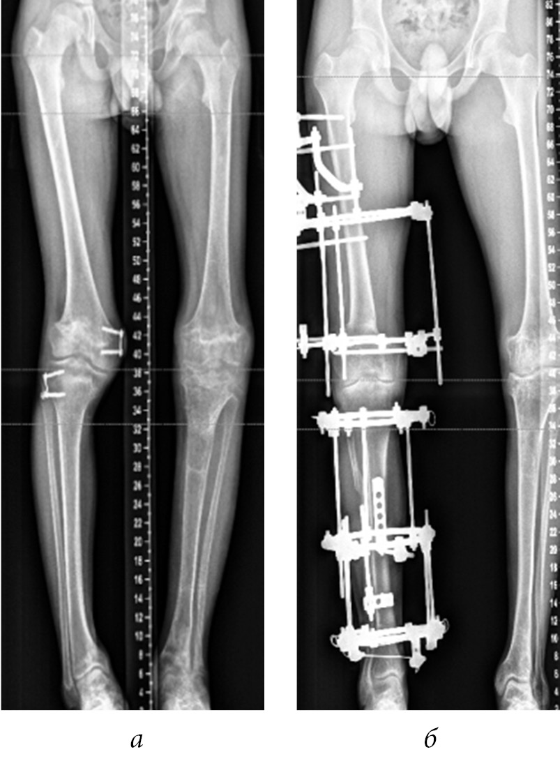
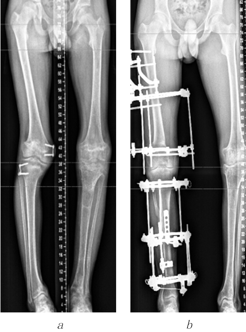
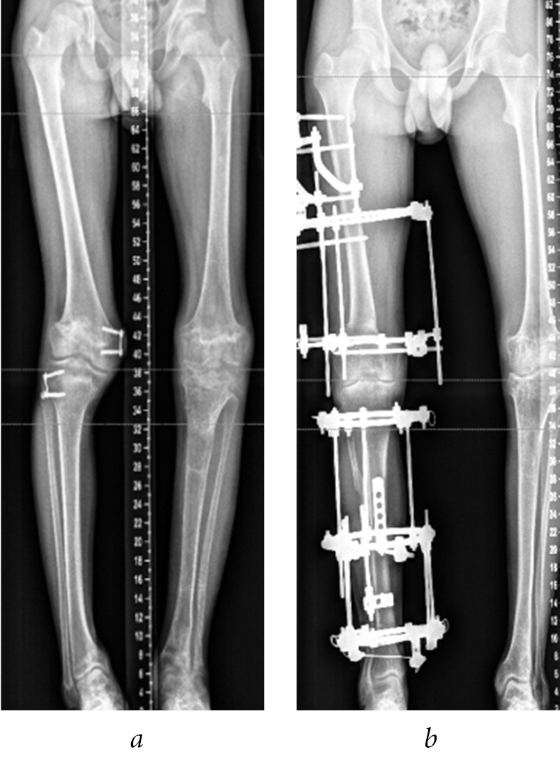
The shortening of the lower limb by 4 cm or more, the shoulder by 6 cm or more, and the forearm by 5 cm or more were considered an indication for surgical treatment, taking into account the age of the child. In the presence of angular deformities of the limb segments, accompanied by a shortening of 3 cm or more, one-stage correction of the length and shape of the limb segment by osteotomy was performed using compression-distraction osteosynthesis. At the final stage of treatment, to correct the multiplanar deformities of the bone metaphyses forming the knee and ankle joints, the Ortho-SUV reposition unit was used in three patients, which allowed to reduce the time and improve the quality of reposition (Fig. 1).
Fig. 1. Radiographs of patient G.’s lower extremities before (a) and during the correction of the shape and length of the right and left lower extremities using the Ortho-SUV reposition unit (b) and the standard layout of the Ilizarov apparatus (c)
In four (33.3%) patients, the deformity correction was performed according to the controlled growth method by temporary epiphysiodesis of the actively functioning part of the bone growth zone with eight-shaped plates. Of which, the marginal synostosis of the growth zone was resected with subsequent hemiepiphysiodesis in two (16.7%) patients (Fig. 2).
Fig. 2. Resection of synostosis of the proximal growth zone of the left tibia (a) and variants of hemiepiphysiodesis of the functioning sections of the growth zones of the femur and tibia with eight-shaped plates (b)
According to literature sources, multiple lesions of metaepiphysis of the long bones of the lower extremities in three pediatric patients with a history of meningococcal sepsis were first described in 1981 by Fernández et al. [9] and Patriquin et al. [10] pointed out the dysfunction of bone growth zones as the main cause of developing limb deformities.
The orthopedic effects of meningococcemia can be early or late. Early orthopedic effects are noted with circulatory disorders in the form of severe necrobiotic changes in the soft tissues of both proximal and distal extremities. During sloughing, rough scars of soft tissues are formed, and in the presence of deep defects in the skin and soft tissues, necrectomy with subsequent plastic closure of the skin defect or amputation of the distal limb segments may be required [6, 10].
In the cases presented, three (25%) patients required partial amputation of the fingers and toes, and these surgical interventions were performed at their primary healthcare facilities before admission to the hospital of the institute (Fig. 3).
Fig. 3. Photograph of patient K.’s right foot (a) and radiographs of patient G.’s hands (b) and feet (c) with the consequences of meningococcemia, namely, multiple lesions of the bone growth zones of the limbs and amputation stumps of the fingers and toes
Cicatricial deformities of the soft tissues of the limbs are manifested by a cosmetic deficiency. They can cause the formation of contractures and complicate the planning of surgical interventions and postoperative wound healing [11, 12]. All the patients presented had cicatricial changes in the skin of varying severity, and five surgical interventions were performed in three (25%) patients to eliminate cicatricial contractures of the knee and elbow joints at different stages of treatment.
According to Canavese et al. [12], cicatricial soft tissue contractures were registered in 29% of patients on the upper extremities and 40% on the lower extremities. Of these, 33 out of 48 patients included in the study underwent 50 surgical procedures to eliminate the contractures. Similar information is also presented in the works of other authors [8, 11, 13].
Data on the incidence of orthopedic complications after meningococcemia are scarce. Edwards et al. [14] studied the catamnesis of 130 patients with a history of meningococcal septicemia and found that the incidence of late orthopedic complications was 7.7%.
Since the generalization of the infectious process occurs in meningococcemia, most authors believe that the termination of the growth zone functioning is due to thrombosis of small vessels supplying the metaepiphysis with blood, in presence of disseminated intravascular blood coagulation syndrome, and not as a result of septic embolism [12, 15, 16].
According to some authors, after meningococcal infection, dysfunction of lower extremity bone growth zones is registered more often [17]. According to Appel et al. [18], in pediatric patients with a history of meningococcemia, the growth zones of the femur, tibia, and humerus are most often affected, which is also consistent with our cases. Less often, dysfunction of the distal growth zones of the fibula and distal growth zones of the ulnar and radius bones [11], as well as the growth zones of the maniphalanxes [8], occurs. Moreover, in the available literature, we have not found information about the lesion of the proximal growth zones of the fibula.
According to foreign literature, the lesion of the proximal areas of femoral bone growth is extremely rare [7, 10]. Thus, Fernández et al. [9] registered only one case of avascular necrosis of the proximal femoral epiphysis, and Nectoux et al. [10] reported two cases of avascular necrosis of the femoral heads in patients with consequences of meningococcal infection. Transient ischemia is considered by the authors as one of its possible causes, which developed in the acute period of meningococcal sepsis [10].
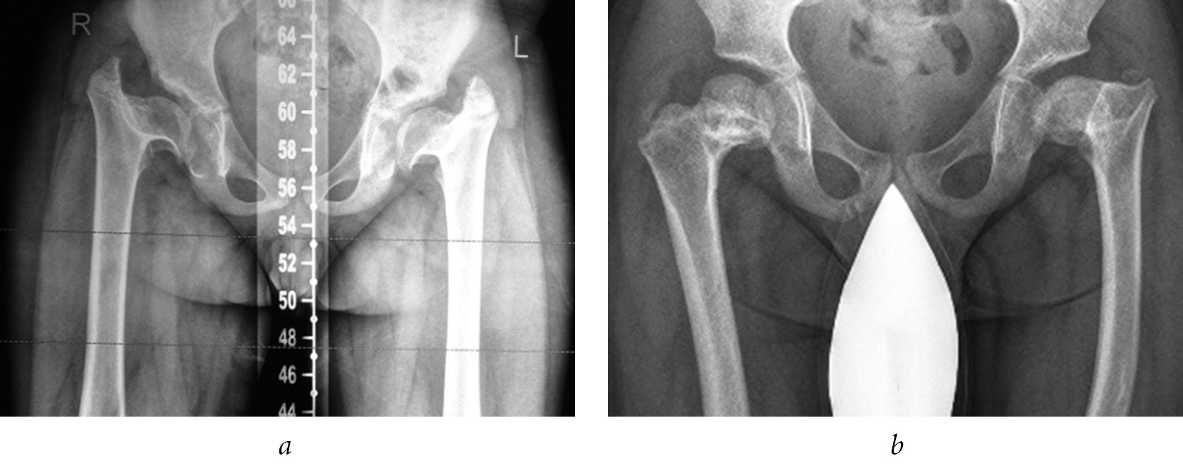
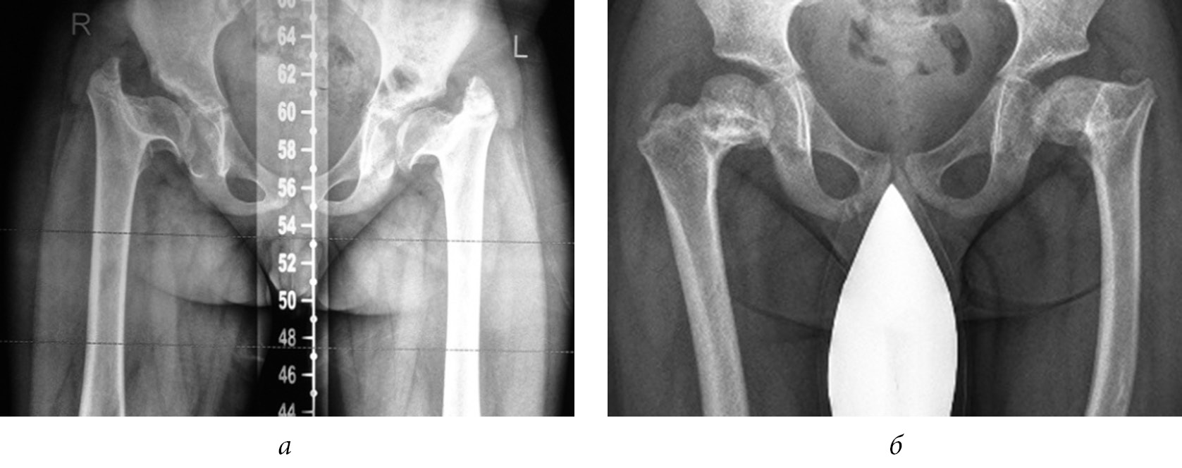
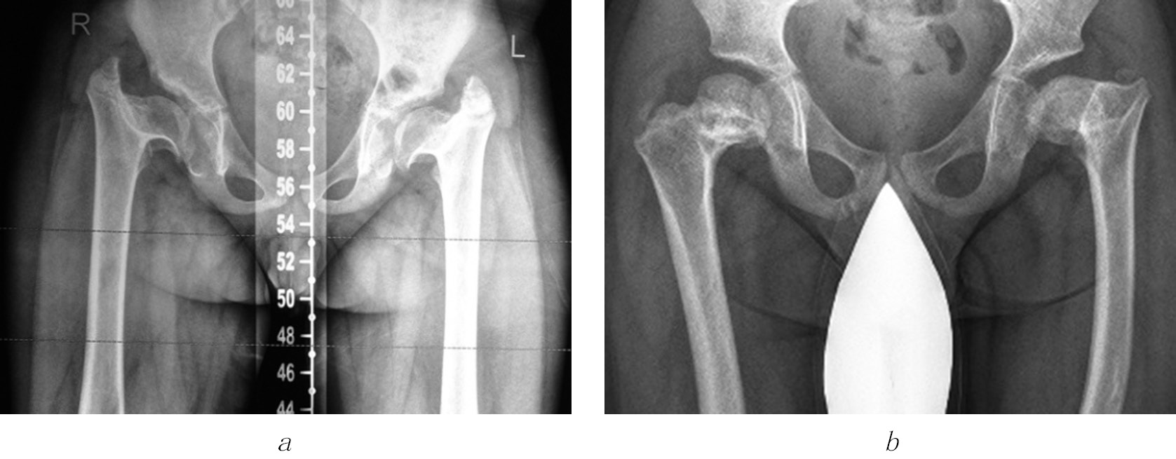
In our series of cases, in 8 out of 12 (66.7%) patients, we noted lesion to the proximal growth zones of the femoral bone with the formation of varus deformities of the necks, which necessitated surgical correction (Fig. 4).
Fig. 4. Radiographs of the hip joints of patients K. (a) and A. (b) with varus deformities of the femoral necks
As for the upper extremities, according to most authors, they are less likely to be affected in pediatric patients with a history of meningococcal sepsis, than the lower extremities [12, 17]. In our study, lesions of the upper extremities were registered only in four (33.3%) patients.
Having studied the orthopedic problems of patients with a history of meningococcal sepsis, Park and Bradish [17] concluded that elongation of the bones of the forearm should be performed when it is shortened by more than 5 cm. The authors also believed that when shortening one of the bones of the forearm, which causes the formation of the same clubhand, the deformity should be elongated and corrected only on the shortened and deformed bones. And upon reaching the correction of deformity, it is recommended to perform epiphysiodesis on both bones to prevent recurrence of deformity. At the same time, they admit that epiphyseodesis can lead to a significant shortening of the forearm and the need for repeated elongation.
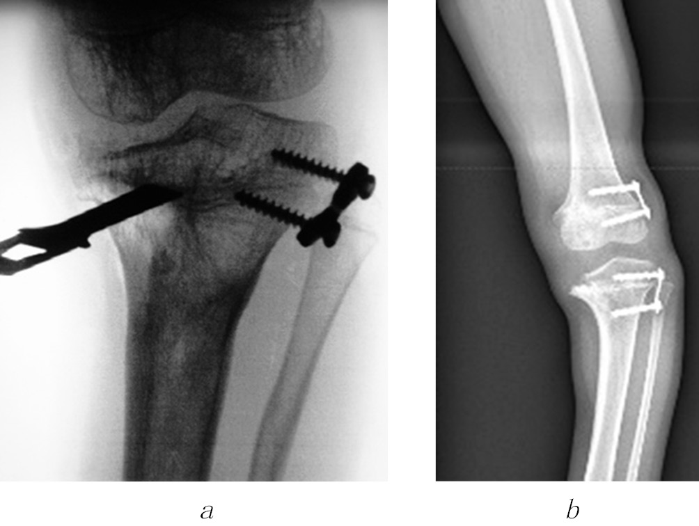
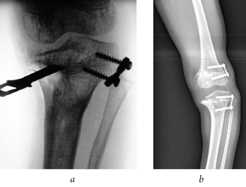
We believe that elimination of deformity of only a shortened bone is not enough, since in the process of child growth, the adjacent forearm bone is deformed, causing pronounced cosmetic and functional disorders (Fig. 5).
Fig. 5. Radiographs of the left forearm of patient G. before (a), in the process (b), and after (c) the elimination of the ulnar clubhand
An increasing number of specialists tend to believe that, in the presence of deformity of the affected segment of the limb, epiphysiodesis of the functioning part of the bone growth zone is necessary. So, Belthur et al. [19] presented the results of the surgical treatment of patients with premature partial closure of the bone growth zones forming the knee joint. To correct the deformity, they performed corrective osteotomy or correction by distraction osteosynthesis without additional epiphysiodesis. The relapse of the deformity was noted in 15 of 16 patients on average after 26 months. To prevent the recurrence of the deformity, the authors indicated the need to remove the remaining functioning part of the bone growth zone.
In contrast, Park and Bradish [17] completed similar interventions with epiphysiodesis in four patients with a history of meningococcemia with partial closure of the distal femoral and proximal tibial growth zones. The authors did not register the relapse of deformity during the follow-up period, which averaged 66 months.
In four cases among those presented, the controlled growth technique was used to prevent the recurrence of deformity and correct the length of the fibula in dysfunction of the tibial growth zones (Fig. 6). After analyzing the literature data and own cases (recurrence of valgus deformity of the knee joint 2 and 4 years after corrective osteotomy of the femur and tibia), we concluded that temporary epiphysiodesis of the remaining functioning sections of growth zones is advisable. However, given the small number of cases, it is premature to evaluate the long-term results of temporary epiphysiodesis.
Fig. 6. Consistent application of controlled growth techniques (a) and compression-distraction osteosynthesis (b) to correct deformities of segments of the right lower limb
Clinical case
Patient K., 10 years old, was admitted with a diagnosis of consequences of meningococcemia, valgus deformity of the right and varus deformity of the left knee joints, shortening of the lower extremities, cicatricial deformities of the soft tissues of the upper and lower extremities. Condition after surgical treatment. The anamnesis revealed that at the age of 8.5 months, the patient had a meningococcal infection. In 2005, at the age of 1 year, a surgery was performed at the Russian children’s clinical hospital, aimed at eliminating cicatricial deformities of knee joints with combined skin grafting. In 2014, cicatricial contractures of the left elbow and right knee joints were eliminated.
Upon admission to the department of bone pathology, the orthopedic status represented the disproportionate physique due to the shortening of the lower extremities. There were severe cicatricial deformities of the soft tissues of the upper and lower extremities. In the upper limbs, the length was D = S, and the range of motion in the joints was within normal limits. In the lower limbs, the relative length of the right lower limb was 56 cm and the left 55 cm. The anatomical length of the right thigh was 20 cm, and the right lower leg 29 cm. The anatomical length of the left thigh was 26 cm, and the left lower leg 27 cm. The range of motion in the hip joints was within normal limits. The lower limbs were deformed at the level of the knee joints, and there were valgus and varus deformities of the right and left knee joint, respectively (zone III according to Stevens). Extension/flexion on both the right and left knee joints was 5°/0°/35°. The range of motion in the ankle and foot joints was not impaired (Fig. 7).
Fig. 7. Photographs (a–c) and radiographs of the lower extremities (d) of patient K. with consequences of meningococcemia before surgical treatment
In 2014, the first stage was a superimposition of a wire-rod apparatus on the right thigh and lower leg and osteotomy of the right femur in the lower third tibia, and fibula in the upper third was performed (Fig. 8).
Fig. 8. Radiographs (a–c) and photograph (d) of patient K. before (a), during (b), and after the completion (c and d) of correction of the right lower limb deformity
In 2015, a wire-rod apparatus was placed on the left lower leg, and osteotomy of the lower leg bones in the upper third was performed (Fig. 9). Epiphysiodesis of the remaining functioning sections of the distal femoral and proximal tibia of the right lower limb was not performed.
Fig. 9. Radiographs of the lower limbs of patient K. before (a) and during (b) the correction of deformity of the left lower limb
In 2016, at the time of removal of the external fixation apparatus from the left lower leg, the orthopedic status reveals that the patient walked independently, without compensation of shortening, with limping on the right lower limb. The axis of the spine deviated from the midline in the frontal plane at the level of the thoracic region. In the upper limbs, length D = S, and the range of motion in the joints is within normal limits. In the lower limbs, shortening the right lower limb is by 4 cm due to the lower leg. Extension/flexion is 0°/0°/20° in the right knee joint and 0°/0°/35° in the left knee: the valgus deformity of the right knee joint (zone II according to Stevens) and varus deformity of the left knee joint (zone I according to Stevens). The range of motion in the hip joints is within normal limits, and the joints are stable. The follow-up period was 2 years. Despite a significant correction in the shape of the limbs, a distant relapse is likely to occur due to the varying degree of the lesion and functional activity of the long bone growth zones, which we registered in our patient (Fig. 10). For this reason, it is necessary to conduct a regular case follow-up of the patient until the end of bone growth to perform possible surgical correction of the shape and length of the limb segments.
Fig. 10. Radiographs (a and b) and radiographs of the lower extremities (c) of patient K. after treatment. Relapse of valgus deformity of the right knee and residual varus deformity of the left knee
Conclusion
Meningococcemia in pediatric patients, along with lesion to various organs and systems of the body, causes multiple lesions to the growth zones of long bones and leads to significant disorders of the anatomical and functional states of the musculoskeletal system. The severity of clinical manifestations due to the cessation of functioning of bone growth zones depends on the age at which the child had a generalized meningococcal infection, the potential of the functional activity of the growth zone, and the nature of its lesion. For correction and prevention of relapse of limb deformities in patients who have not reached bone maturity, the use of combined treatment methods is advisable.
Additional information
Source of funding. The study did not have financial support or sponsorship.
Conflict of interests. The authors declare no obvious or potential conflicts of interest related to the publication of this article.
Ethical statement. The study was conducted in accordance with the ethical standards of the Helsinki Declaration of the World Medical Association and approved by the local ethics committee of the Turner Scientific and Research Institute for Children’s Orthopedics (protocol No. 4 of 11/27/2018).
The consent of patients (their representatives) for processing and publication of personal data has been obtained.
Author contributions
Yu.E. Garkavenko created the study concept and design, performed data analysis, material processing, and the manuscript editing.
A.M. Khodorovskaya performed the literature review, and wrote the text of the article.
E.V. Melchenko, B.Kh. Dolgiev collected and processed the material.
All authors made a significant contribution to the research and preparation of the article, read and approved the final version before its publication.
About the authors
Yuriy E. Garkavenko
H. Turner National Medical Research Center for Сhildren’s Orthopedics and Trauma Surgery; North-Western State Medical University named after I.I. Mechnikov
Author for correspondence.
Email: yurijgarkavenko@mail.ru
ORCID iD: 0000-0001-9661-8718
SPIN-code: 7546-3080
Leading Research Associate of the Department of Bone Pathology; MD, PhD, D.Sc., Professor of the Chair of Pediatric Traumatology and Orthopedics
64, Parkovaya str., Saint-Petersburg, Pushkin, 196603; 41, Kirochnaya street, Saint-Petersburg, 191015Alina M. Khodorovskaya
H. Turner National Medical Research Center for Сhildren’s Orthopedics and Trauma Surgery
Email: alinamyh@gmail.com
ORCID iD: 0000-0002-2772-6747
SPIN-code: 3348-8038
MD, scientific associate of Physiology and Biomechanics Research Laboratory
Russian Federation, 64, Parkovaya str., Saint-Petersburg, Pushkin, 196603Bahauddin H. Dolgiev
H. Turner National Medical Research Center for Сhildren’s Orthopedics and Trauma Surgery
Email: dr-b@bk.ru
ORCID iD: 0000-0003-2184-5304
MD, Orthopedic and Trauma Surgeon of the Department of Bone Pathology
Russian Federation, 64, Parkovaya str., Saint-Petersburg, Pushkin, 196603Evgeny V. Melchenko
H. Turner National Medical Research Center for Сhildren’s Orthopedics and Trauma Surgery
Email: emelchenko@gmail.com
SPIN-code: 1552-8550
MD, PhD, scientific associate of the Department of Foot Pathology, Neuroorthopedics and Systemic Diseases
Russian Federation, 64, Parkovaya str., Saint-Petersburg, Pushkin, 196603References
- Петрушина А.Д., Мальченко Л.А., Кретинина Л.Н., и др. Неотложные состояния у детей. – М.: Медицинская книга, 2002. [Petrushina AD, Mal’chenko LA, Kretinina LN, et al. Neotlozhnye sostoyaniya u detey. Moscow: Meditsinskaya kniga; 2002. (In Russ.)]
- Скрипченко Н.В., Вильниц А.А. Менингококковая инфекция у детей. Руководство для врачей. – СПб.: Тактик-Студио, 2015. [Skripchenko NV, Vil’nits AA. Meningokokkovaya infektsiya u detey. Rukovodstvo dlya vrachey. Saint Petersburg: Taktik-Studio; 2015 (In Russ.)]
- Менингококковая инфекция у детей (эпидемиология, клиника, диагностика, терапия и профилактика): Методические рекомендации / под ред. Ю.В. Лобзина. – СПб., 2009. [Meningokokkovaya infektsiya u detey (epidemiologiya, klinika, diagnostika, terapiya i profilaktika): Metodicheskie rekomendatsii. Ed. by Y.V. Lobzin. Saint Petersburg; 2009. (In Russ.)]
- Скрипченко Н.В., Иванова М.В., Вильниц А.А., Скрипченко Е.Ю. Нейроинфекции у детей: тенденции и перспективы // Российский вестник перинатологии и педиатрии. – 2016. – Т. 61. – № 4. – С. 9–22. [Skripchenko NV, Ivanova MV, Vilnits АА, Skripchenko ЕY. Neuroinfections in children: Tendencies and prospects. Rossiyskiy vestnik perinatologii i pediatrii. 2016;61(4):9-22. (In Russ.)]. https://doi.org/10.21508/1027-4065-2016-61-4-9-22.
- Barre PS, Thompson GH, Morrison SC. Late skeletal deformities following meningococcal sepsis and disseminated intravascular coagulation. J Pediatr Orthop. 1985;5(5):584-588. https://doi.org/10.1097/01241398-198509000-00016.
- Wick JM, Krajbich I, Kelly S, Dewees T. Meningococcemia: the pediatric orthopedic sequelae. AORN J. 2013;97(5):559-578. https://doi.org/10.1016/j.aorn.2013. 03.005.
- Monsell F. The skeletal consequences of meningococcal septicaemia. Arch Dis Child. 2012;97(6): 539-544. https://doi.org/10.1136/archdischild-2011- 301295.
- Patriquin HB, Trias A, Jecquier S, Marton D. Late sequelae of infantile meningococcemia in growing bones of children. Radiology. 1981;141(1):77-82. https://doi.org/10.1148/radiology.141.1.7291546.
- Fernandez F, Pueyo I, Jimenez JR, et al. Epiphysiometaphyseal changes in children after severe meningococcic sepsis. AJR Am J Roentgenol. 1981;136(6):1236-1238. https://doi.org/10.2214/ajr.136.6.1236.
- Nectoux E, Mezel A, Raux S, et al. Meningococcal purpura fulminans in children. II: Late orthopedic sequelae management. J Child Orthop. 2010;4(5):409-416. https://doi.org/10.1007/s11832-010-0285-3.
- Bache CE, Torode IP. Orthopaedic sequelae of meningococcal septicemia. J Pediatr Orthop. 2006;26(1):135-139. https://doi.org/10.1097/01.bpo.0000187991.71645.e7.
- Canavese F, Krajbich JI, LaFleur BJ. Orthopaedic sequelae of childhood meningococcemia: management considerations and outcome. J Bone Joint Surg Am. 2010;92(12):2196-2203. https://doi.org/10.2106/JBJS. I.01468.
- Santos E, Boavida JE, Barroso A, et al. Late osteoarticular lesions following meningococcemia with disseminated intravascular coagulation. Pediatr Radiol. 1989;19(3):199-202. https://doi.org/10.1007/bf02388656.
- Edwards TA, Bowen L, Bintcliffe F, et al. The orthopaedic consequences of childhood meningococcal septicaemia. J Meningitis. 2017;01(02). https://doi.org/10.4172/2572-2050.1000109.
- Grogan DP, Love SM, Ogden JA, et al. Chondro-osseous growth abnormalities after meningococcemia: a clinical and histopathological study. J Bone Joint Surg Am. 1989;71A(6):920-928.
- Robinow M. Skeletal lesions following meningococcemia and disseminated intravascular coagulation. Am J Dis of Child. 1983;137(3):279. https://doi.org/10.1001/archpedi.1983.02140290065017.
- Park DH, Bradish CF. The management of the orthopaedic sequelae of meningococcal septicaemia. J Bone Joint Surg Br. 2011;93-B(7):984-989. https://doi.org/10.1302/0301-620x.93b7.26128.
- Appel M, Pauleto AC, Cunha LAM. Osteochondral sequelae of meningococcemia: radiographic aspects. J Pediatr Orthop. 2002;22:511-516.
- Belthur MV, Bradish CF, Gibbons PJ. Late orthopaedic sequelae following meningococcal septicaemia. J Bone Joint Surg Br. 2005;87-B(2):236-240. https://doi.org/10.1302/0301-620x.87b2.14827.
Supplementary files














