Superior mesenteric artery syndrome following spinal deformity correction
- Authors: Strelnikova A.S.1, Kozyrev A.S.1, Vissarionov S.V.1, Kartavenko K.A.1, Murashko V.V.1
-
Affiliations:
- The Turner Scientific Research Institute for Children’s Orthopedics
- Issue: Vol 7, No 4 (2019)
- Pages: 105-112
- Section: Clinical cases
- Submitted: 09.10.2019
- Accepted: 15.11.2019
- Published: 20.01.2020
- URL: https://journals.eco-vector.com/turner/article/view/15738
- DOI: https://doi.org/10.17816/PTORS74105-112
- ID: 15738
Cite item
Abstract
Background. Superior mesenteric artery syndrome is a rare pathological condition caused by an abnormal transposition of the superior mesenteric artery from the abdominal part of the aorta. It results in compression of the distal part of the duodenum between the aorta and the superior mesenteric artery. It is clinically manifested by signs of acute intestinal obstruction, including pain in the epigastric region, nausea, and profuse vomiting. In the absence of timely treatment, patients may experience electrolyte disturbance, severe nutritional deficiency, the risk of perforation of the stomach, aspiration pneumonia, bezoar formation, thromboembolism, and the development of other life-threatening complications that can lead to death.
Case study. In the presented case study, superior mesenteric artery syndrome developed in a 17-year-old girl after surgical correction of a spinal deformity in the treatment of idiopathic scoliosis. This was due to postoperative loss of body weight, as well as a rapid change in the patient’s ratio of growth to body weight.
Discussion. Significant clinical improvement was achieved as a result of an integrated approach to the treatment of this complication. However, despite the successful result from conservative therapy, the patient remains at risk of developing chronic duodenal obstruction of varying severity, which may require surgical treatment.
Conclusion. With the untimely and incomplete treatment of superior mesenteric artery syndrome, the risk of developing chronic intestinal obstruction increases. Treatment of this complication begins with conservative therapy. In the absence of the effect of conservative therapy, and in the case of disease progression, the development of life-threatening conditions (such as bleeding and perforation) requires surgical treatment.
Full Text
Superior mesenteric artery syndrome (SMA; CAST syndrome) is a rare, life-threatening disease that changes the anatomical configuration among the aorta, the SMA, and the duodenum while decreasing the angle between the aorta and the SMA [1]. The incidence of this pathology is 0.2%–0.78%, and it is more common in females than in males [2, 3].
SMA syndrome is caused by compression of the horizontal part of the duodenum between the proximal part of the SMA and the aorta, which leads to obstruction of the duodenum [4, 5]. Mesenteric fatty tissue is necessary to maintain the aortic–mesenteric distance and create a space between the duodenum and the aortic–mesenteric angle. In the case of a considerable decrease in mesenteric fatty tissue (with rapid growth in adolescents, a sharp increase in the ratio of height and body weight and perioperative weight loss) [6], the aortic–mesenteric distance decreases, which predisposes to duodenum compression. Large weight loss after the surgical correction of scoliosis can decrease the amount of fatty tissue, which may be accompanied by the development of this syndrome [7].
Clinically, the syndrome is manifested by signs of acute intestinal obstruction [8], including acute pain in the epigastric region, nausea, and vomiting of bile. These symptoms often accompany functional dyspepsia, which can complicate the diagnosis establishment and affect the timeliness and correctness of treatment.
Computed tomography (CT), CT angiography, and ultrasound to measure the aortic–mesenteric distance and the distance between the aorta and the SMA are often used to diagnose SMA syndrome. Normally, the angle between the aorta and the SMA extending from it is 25°–60°. Diagnostic criteria for the syndrome include aortic–mesenteric angle less than 20°, aortic–mesenteric distance less than 8 mm, and proximal duodenum [9].
Complications are rare, and no approved clinical guidelines for the diagnosis, treatment, and prevention of this condition are currently available.
SMA syndrome and other predisposing factors can cause acute dilatation of the stomach [10], which is a special form of gastrointestinal tract obstruction caused by pronounced atony of the stomach. This condition usually occurs with damage to the central and peripheral nervous systems or due to overeating in individuals with anorexia nervosa [11]. Acute dilatation of the stomach without appropriate treatment can lead to life-threatening complications, such as dehydration, metabolic alkalosis, gastric necrosis, and systemic circulatory failure [12]. The hospital of the Turner Scientific Research Institute for Children’s Orthopedics reported the first confirmed case of acute paresis and gastric dilatation and intestinal paresis after surgical correction of severe idiopathic scoliosis in a 17-year-old patient, which developed as a result of SMA syndrome.
Clinical case
Patient A., 17 years old, was admitted to the Turner Scientific Research Institute for Children’s Orthopedics with complaints of deformity of the thoracic spine and chest, back pain, aggravated after physical and static loads, for the surgical treatment of spinal deformity.
Anamnesis revealed that spinal deformity was detected at the age of 7 years. At the same age, headaches appeared and began to disturb the patient. Upon further examination, an anomaly in the development of the craniovertebral region was diagnosed; in 2011, decompressive resection of the scales of the occipital bone was performed. The intensity and frequency of headaches decreased significantly. The patient received conservative treatment of spinal deformity, namely, exercise therapy, massage, swimming, and physiotherapy. Corset therapy was not used. Despite treatment, spinal deformity progressed amid the growth and development of the child.
In 2017, she was consulted by specialists from the Department of Spinal Pathology and Neurosurgery at the Turner Institute. Indications for surgical treatment of spinal deformity in a planned manner have been identified.
Examination results
Upon admission, a rough multi-plane deformity of the chest was revealed, along with decompensation of the frontal balance of the trunk due to the left-sided scoliotic arch of the thoracic spine, different heights of the angles of the shoulder blades, asymmetry of the shoulder girdle, asymmetry of the waist triangles, positive Adams test, and posterior left-sided shallow rib gibbus of 7.0 cm high. Laboratory and instrumental data are within the age limits. The patient was examined by a pediatrician neurologist, who revealed neurosis-like state and headaches of tension.
Radiographs, multispiral computed tomography (MSCT) of the spine revealed radiation pattern of severe idiopathic scoliosis of the thoracic spine. The left-sided scoliotic arch Th6–Th12 of 75° according to Cobb was determined. In functional images, the scoliotic arch was rigid, corrected to a value of 70° according to Cobb. The frontal balance was physiological. Rotation and torsion of the vertebrae have secondary degenerative and dystrophic changes in the vertebral-motor segments of the thoracic and lumbar regions (most pronounced at the apices of the scoliotic arches). No areas of bone density were revealed in the spinal canal (Fig. 1, 2).
Fig. 1. X-ray of the spine in a frontal view in a standing position
Fig. 2. X-ray of the spine in a lateral view in a standing position
Magnetic resonance imaging of the spine and spinal cord revealed curvature of the axis of the spine in the frontal plane with the formation of a left-sided scoliotic arch, with pathological rotation and torsion of the vertebral bodies within it. Changes in the MR signal from the bone marrow were not determined. Degenerative dystrophic changes in the intervertebral discs at the level of scoliotic deformity had the form of a decrease in the height and intensity of the MR signal at T2 WI. Sagittal size of the spinal canal in the visualized departments had no visible narrowing. Subarachnoid space was patent. Intracanal formations were absent. The spinal cord was represented by a single trunk. At the level of С4–Th1 segments, an unstressed syringomyelic cyst was determined by 2/3 of the transverse size of the spinal cord. The spinal cord was displaced in the spinal canal in accordance with the bends of the spine. The cerebellar tonsils were at the level of the McRae line. A post-resection defect of the scales of the occipital bone was noted. An epiconicum at level L1 was also found.
After obtaining the results of the examination and a collegial discussion of the case and after considering severe spinal deformity, its progression with the growth of the child, and impaired biomechanics of the spine and pelvis, the specialists of the Department of Spinal Pathology and Neurosurgery decided to perform reconstructive plastic surgery on the spine.
Treatment
Induction of anesthesia included intravenous bolus administration of propofol (4 mg/kg) and fentanyl (2 μg/kg). Orotracheal intubation after muscle relaxation by intravenous administration of rocuronium bromide at a dose of 0.5 mg/kg.
Mechanical lung ventilation with pressure control and normal ventilation maintenance.
Maintenance of anesthesia included intravenous microfluidic injection of propofol (3–5 mg/kg per hour) and fentanyl (3–5 mcg/kg per hour).
The full volume was performed in one surgical session, namely mobilizing discapophysectomy at the level of the Th6–Th10 vertebrae, anterior fusion with autobone, correction and stabilization of spinal deformity with the back multi-supporting corrective surgical hardware under the control of a computer navigation equipment. Posterior spine fusion with autobone [13].
The duration of the surgery was 7 h 30 min. Intraoperative blood loss was 1200.0 mL. Auto-reinfusion was 310.0 mL.
Intraoperative infusion therapy was performed at a rate of 10–12 mL/kg per hour. Crystalloid (sterofundin) and colloidal (gelofusin) solutions were introduced in a ratio of 2 : 1.
After the end of the surgery and assessment of the neurological status, the patient was extubated with the restoration of independent effective breathing and, with a clear mind, she was transferred to the intensive care unit.
In the early postoperative period, the patient received standard postoperative therapy, namely, antibiotic prophylaxis (cefotaxime), infusion therapy with administration of electrolytes, two-level extended epidural blockade (ropivacaine 0.2% 0.3 mg/kg per hour for 6 days), and symptomatic therapy.
In the early postoperative period, appetite decreased sharply; the patient refused to eat.
On day 3 after surgery, the patient complained of constant nausea and suffered repeated vomiting of congestive gastric discharge of 100–150 mL up to 4–5 times a day.
An X-ray examination of the abdominal organs with oral administration of a contrast agent was performed (Fig. 3), which revealed large curvature of the stomach in the upper border of the small pelvis, paresis, and moderate gastric dilatation. No signs of intestinal obstruction were found. An ultrasound examination of the abdominal organs showed no signs of acute surgical pathology.
Fig. 3. Radiograph of abdominal organs with oral administration of a contrast agent
Therapy of paresis and acute gastric dilatation was started, including gastric decompression (nasogastric tube), infusion therapy with electrolyte administration and partial parenteral nutrition, antiemetics (metoclopramide, ondansetron), prokinetics (ipidacrine), prolonged epidural blockade, cleansing enemas, and symptomatic therapy.
In the course of therapy, positive changes were achieved, namely, vomiting was stopped, the volume of stagnant gastric discharge along the nasogastric tube gradually decreased, and independent stool appeared. On day 7 after surgery, the nasogastric tube was removed, and the prolonged epidural blockade was canceled. Enteral nutrition was started. However, the patient had a decreased appetite; she refused to eat and only ate in small portions.
On day 9 after surgery, the patient experienced nausea, vomiting up to 2000 mL per day, pains in the epigastric region, especially after eating, a feeling of full stomach, and bloating. She still refused to eat.
Gastric decompression and gastric paresis therapy resumed.
Diagnostic fibrogastroduodenoscopy was performed (visualization of the descending part of the duodenum) and revealed paresis and gastric dilatation. A nasoduodenal probe was installed under the endoscopic control. Enteral nutrition was started with a balanced specialized isocaloric oligopeptide-based enteral nutrition mixture. However, during the day, the mixture was discharged along the gastric tube, which was regarded as a probe dislocation.
During repeated fibrogastroduodenoscopy (insertion of a gastroscope to the horizontal part of the duodenum), a sharp narrowing of the duodenum lumen was revealed at the level of the middle sections with the inability to conduct the endoscope beyond the narrowing.
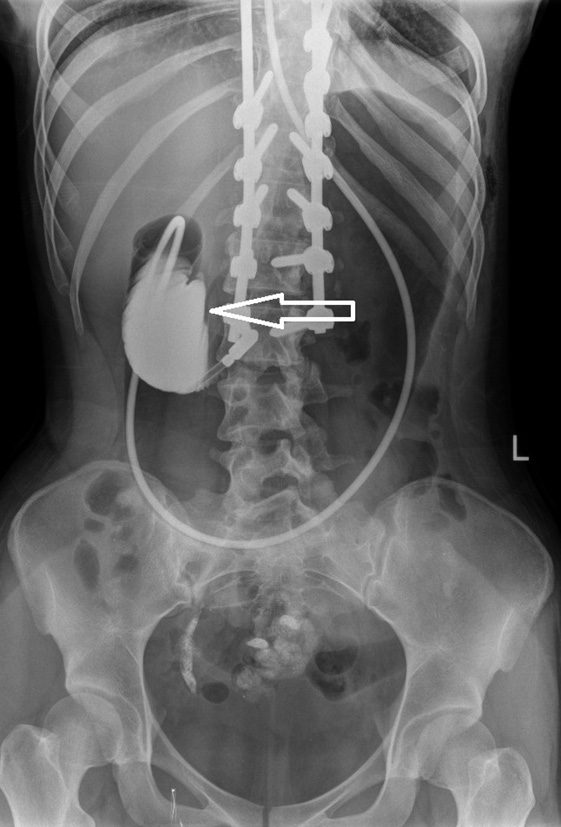
X-ray control was performed with the administration of a contrast agent through the duodenal probe (Fig. 4), which revealed restriction of the proximal distribution of the contrast agent with a clear, even vertical border at the level of the middle part of the horizontal loop of the duodenum.
Fig. 4. X-ray of the abdominal organs with the introduction of contrast through the duodenal probe
An intestinal probe under the control of an endoscope was inserted behind the area of the duodenum narrowing.
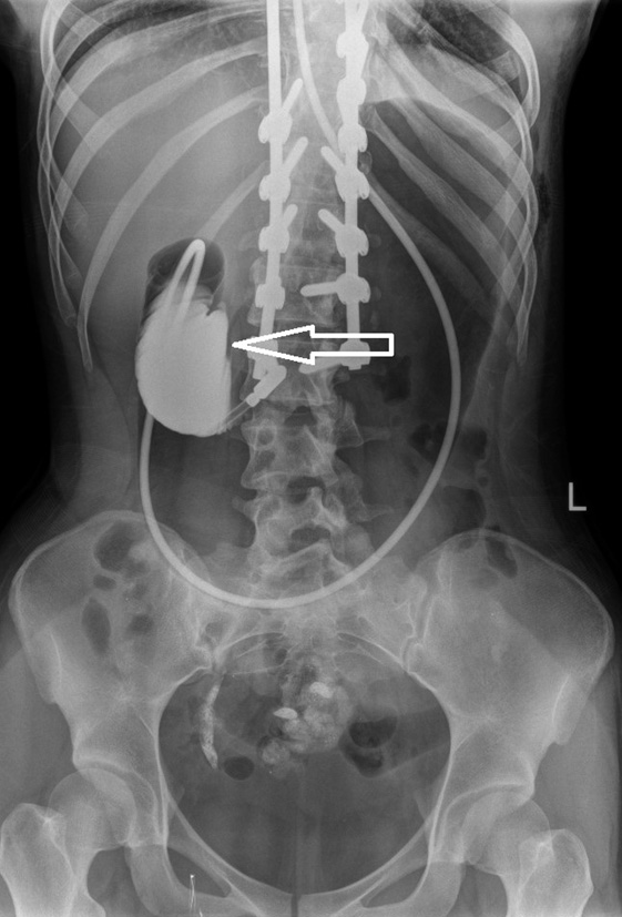
After a twofold change in body position (left side — back), a repeated X-ray control was performed (Fig. 5), which revealed the spread of the contrast agent into the jejunum. The introduction of the mixture into the duodenal probe was resumed. The mixture was absorbed completely without retrograde ingestion in the stomach.
Fig. 5. Repeated X-ray of the abdominal organs
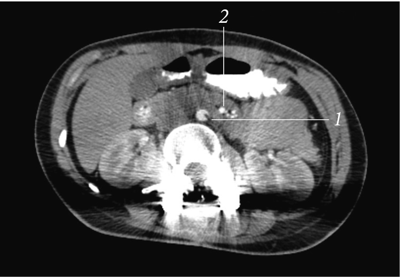
A combined MSCT with contrasting of the gastrointestinal tract and angiography of the abdominal cavity vessels was performed (Fig. 6). In specific, a tube was installed to the level of the duodenum, without distal disturbances in the contrast agent passage. Contrast agent traces in the small and large intestine were found. The stomach was not enlarged, the gas bubble was 110 × 40 mm, and the contents were traces of fluid. When contrasting of the vessels, the aortic–mesenteric angle was 7.7° (normal is 25°–60°), and the aortic–mesenteric distance was 5.1 mm (normal is 10–28 mm), which is a sign of SMA syndrome.
Fig. 6. Combined multispiral computed tomography with contrasting of the gastrointestinal tract and angiography of the vessels of the abdominal cavity: 1 — aorta; 2 — superior mesenteric artery
Conservative therapy was started, which included nutritional support in the form of nutrition through a duodenal probe, inserted with the narrowed part; parenteral nutrition; infusion therapy with electrolyte administration; decompression of the stomach; and prokinetics (metoclopramide). Within 8 days of conservative therapy, a positive trend was noted in the form of relief of vomiting and the appearance of an independent stool. The fluid intake through the mouth (water) with a gradual increase in volume and diet (mashed cereals, mashed potatoes) was started. To increase food tolerance, nutrition was given in small portions, and the body position was changed (on the left side, prone position, and genupectoral position).
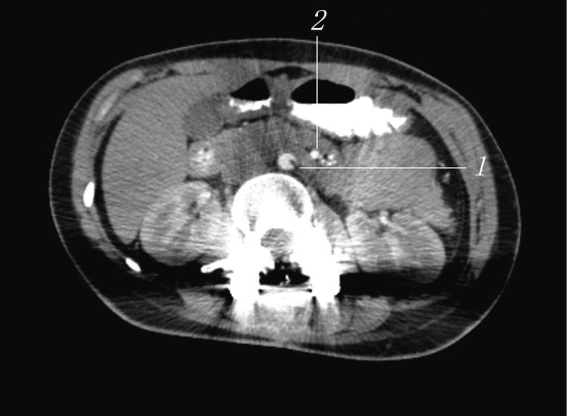
For 1.5 months, the patient received conservative therapy, during which complete assimilation of food introduced through the mouth and independent emptying of the intestine were achieved. On the control CT angiography, the aortic–mesenteric angle was 17° (norm 25°–60°), and the aortic–mesenteric distance was 13 mm (norm 10–28 mm) (Fig. 7). However, the patient continued to eat in small portions and experienced discomfort and nausea after eating a large amount of food. To select further treatment approach, monitoring by an abdominal surgeon was recommended to the patient.
Fig. 7. Control computed tomography: 1 — aorta; 2 — superior mesenteric artery
Discussion
In most cases of the SMA syndrome, surgical treatment was not performed. However, with a recurrent course, the absence of positive changes from conservative therapy for 4–6 weeks, and the risk of bleeding and intestinal perforation, surgical correction of this condition should be considered [14].
In the clinical case presented, during conservative treatment, positive changes were achieved, which did not require surgical intervention. However, despite the successful result from conservative therapy, the patient remains at risk of developing chronic duodenal obstruction of varying severity, which may also lead to the need for surgical treatment.
Surgical options for this pathological process
- An open or laparoscopic duodenojejunostomy in which an anastomosis is formed between the duodenum and jejunum, bypassing the compressed part. The frequency of a positive outcome is 80%–90%. It is a surgery of choice.
- Gastrojejunostomy is associated with the risk of developing biliary gastritis. Anastomosis is formed between the stomach and the jejunum. It is usually performed with duodenal ulcers.
- Laparoscopy and dissection of the Treitz ligament with the reduction of the upper angle of the duodenojejunal transition. This method of treatment is an alternative to gastro- and duodenojejunostomy, its use is less traumatic and leads to a quick relief of the syndrome [15].
With a prolonged course and the absence of timely treatment, patients may experience electrolyte disturbances, severe nutritional deficiency, and the risk of developing perforation of the stomach, aspiration pneumonia, formation of bezoar, and thromboembolism increases.
According to the literature, mortality from this disease is 33% [6].
Conclusion
SMA syndrome is a rare and dangerous condition. With untimely and inadequate treatment, the risk of chronic intestinal obstruction, manifested by nausea, vomiting, refusal to eat, increases. These symptoms exacerbate the course of the SMA syndrome, prevent an increase in the amount of fatty tissue around the duodenum, and lead to the progression of the disease.
Treatment of this complication starts with conservative therapy, which should include nutritional support (providing a high-calorie diet to increase perivascular adipose tissue, which includes nutrition through a duodenal probe, inserted behind a narrowed part of the duodenum, if necessary additional parenteral nutrition), infusion therapy with the administration of electrolytes, decompression of the stomach, intake of prokinetics to improve motility and emptying of the stomach, and measures to increase tolerance to food (turn on the left side, genupectoral position when eating through the mouth, eating in small portions). In the absence of the effect of conservative therapy, in case of disease progression, and with the development of life-threatening conditions (bleeding, perforation), surgical treatment is required.
Additional information
Funding. The work was not funded.
Conflict of interest. The authors declare no obvious or potential conflicts of interest related to the publication of this article.
Ethical considerations. The consent of patients and their legal representatives on the use and publication of personal information from medical documentation in anonymous form was obtained.
Contribution of authors
A.S. Strelnikova is the main author. She performed examination and treatment of the patient, analysis of the results, and writing and editing the text of the article.
A.S. Kozyrev, K.A. Kartavenko performed examination and treatment of the patient, analysis of the result, and editing the text of the article.
S.V. Vissarionov, V.V. Murashko edited the text of the article and performed counseling on the aspects of surgical interventions and treatment of the patient.
All authors made a significant contribution to the research and preparation of the article, and they have read and approved the final version before publication.
About the authors
Angelina S. Strelnikova
The Turner Scientific Research Institute for Children’s Orthopedics
Author for correspondence.
Email: angelina.str.93@gmail.com
ORCID iD: 0000-0003-2013-1553
MD, Anesthesiologist-Intensivist, Department of Anesthesiology, Resuscitation and Intensive Care
Russian Federation, 64, Parkovaya str., Saint-Petersburg, Pushkin, 196603Aleksandr S. Kozyrev
The Turner Scientific Research Institute for Children’s Orthopedics
Email: alexkozirev@inbox.ru
ORCID iD: 0000-0002-2828-4063
MD, PhD, Chief Doctor, Anesthesiologist-Intensivist of the Department of Anesthesiology, Resuscitation and Intensive Care
Russian Federation, 64, Parkovaya str., Saint-Petersburg, Pushkin, 196603Sergei V. Vissarionov
The Turner Scientific Research Institute for Children’s Orthopedics
Email: vissarionovs@gmail.com
ORCID iD: 0000-0003-4235-5048
MD, PhD, D.Sc., Professor, Correspondent Member of RAS, Deputy Director for Research and Academic Affairs, Head of the Department of Spinal Pathology and Neurosurgery
Russian Federation, 64, Parkovaya str., Saint-Petersburg, Pushkin, 196603Kirill A. Kartavenko
The Turner Scientific Research Institute for Children’s Orthopedics
Email: med-kart@yandex.ru
ORCID iD: 0000-0002-6112-3309
MD, PhD, Orthopedic and Trauma Surgeon of the Department of Spinal Pathology and Neurosurgery
Russian Federation, 64, Parkovaya str., Saint-Petersburg, Pushkin, 196603Vladislav V. Murashko
The Turner Scientific Research Institute for Children’s Orthopedics
Email: v.murashko@gmail.com
ORCID iD: 0000-0002-2201-6906
MD, Orthopedic and Trauma Surgeon of the Department of Spinal Pathology and Neurosurgery
Russian Federation, 64, Parkovaya str., Saint-Petersburg, Pushkin, 196603References
- Farina R, Foti PV, Cocuzza G, et al. Wilkie’s syndrome. J Ultrasound. 2017;20(4):339-342. https://doi.org/10.1007/s40477-017-0257-2.
- Welsch T, Büchler MW, Kienle P. Recalling superior mesenteric artery syndrome. Dig Surg. 2007;24(3):149-156. https://doi.org/10.1159/000102097.
- Ylinen P, Kinnunen J, Höckerstedt K. Superior mesenteric artery syndrome. A follow-up study of 16 operated patients. J Clin Gastroenterol. 1989;11(4):386-391.
- Mathenge N, Osiro S, Rodriguez II, et al. Superior mesenteric artery syndrome and its associated gastrointestinal implications. Clin Anat. 2014;27(8):1244-1252. https://doi.org/10.1002/ca.22249.
- Schwartz A. Scoliosis, superior mesenteric artery syndrome, and adolescents. Orthop Nurs. 2007;26(1):19-24. https://doi.org/10.1097/00006416-200701000-00007.
- Kumar R, Jaiswal G, Bhargava A, Kundu J. Superior mesenteric artery syndrome: Diagnosis and management. Kathmandu Univ Med J (KUMJ). 2016;14(55):288-291.
- Barquín-Yagüez J, Abadía Barno P, García Pérez JC. Superior mesenteric artery syndrome: an uncommon cause of intestinal obstruction. Rev Esp Enferm Dig. 2017;109(1):60.
- Oguz A, Uslukaya O, Ülger BV, et al. Superior mesenteric artery (Wilkie’s) syndrome: A rare cause of upper gastrointestinal system obstruction. Acta Chir Belg. 2016;116(2):81-88. https://doi.org/10.1080/00015458. 2016.1139830.
- Eisenson DL, Shah KN, Cohen EM, Eberson CP. Unusual mechanism for superior mesenteric artery syndrome after scoliosis surgery. R I Med J. 2017;100(8):32-35.
- Todd SR, Marshall GT, Tyroch AH. Acute gastric dilatation revisited. Am Surg. 2000;66(8):709-710.
- Дьяконова Е.Ю., Бекин А.С., Поддубный И.В., и др. Острое расширение желудка у детей // Педиатрическая фармакология. – 2014. – Т. 11. – № 3. – С. 99–102. [Dyakonova EY, Bekin AS, Poddubniy IV, et al. Acute gastric dilatation in children. Pediatric pharmacology. 2014;11(3):99-102. (In Russ.)]
- Watanabe S, Terazawa K, Asari M, et al. An autopsy case of sudden death due to acute gastric dilatation without rupture. Forensic Sci Int. 2008;180(2-3):e6-e10. https://doi.org/10.1016/j.forsciint.2008.07.005.
- Виссарионов С.В., Кокушин Д.Н., Дроздецкий А.П., Белянчиков С.М. Технология использования 3D-KT-навигации в хирургическом лечении детей с идиопатическим сколиозом. – Хирургия позвоночника. – 2012. – № 1. – С. 41–47. [Vissarionov SV, Kokushin DN, Drozdetsky AP, Belyanchikov SM. The 3D-CT navigation technology for surgical treatment of children with idiopathic scoliosis. Spine surgery. 2012;1:41-47. (In Russ.)]. https://doi.org/10.14531/ss2012.1.41-47.
- Osegueda de Rodríguez EJ, Hernández-Villegas AC, Serralde-Zúñiga AE, Reyes-Ramírez ALDC. The two sides of superior mesenteric artery syndrome treatment: conservative or surgical management? Nutr Hosp. 2017;34(4):997-1000. https://doi.org/10.20960/nh.1006.
- Рыжакова Ю.П., Баиндурашвили А.Г. Синдром спинального вытяжения после оперативной коррекции тяжелого сколиоза // XI Российский национальный конгресс «Человек и его здоровье»; Санкт-Петербург, 21–25 ноября 2006 г. – СПб., 2006. – С. 91. [Ryzhakova YP, Baindurashvili AG. Sindrom spinal’nogo vytyazheniya posle operativnoy korrektsii tyazhelogo skolioza. In: Proceedings of the 11th Russian National Congress “Chelovek i ego zdorov’e”; Saint Petersburg; 21-25 Nov 2006. Saint Petersburg; 2006. (In Russ.)]
Supplementary files











