Экспериментальная оценка эффективности хитозановых матриц в условиях моделирования костного дефекта in vivo (предварительное сообщение)
- Авторы: Виссарионов С.В.1, Асадулаев М.С.1, Шабунин А.С.1,2, Юдин В.Е.2, Панеях М.Б.3, Попрядухин П.В.2, Новосад Ю.А.2, Гордиенко В.А.4, Аганесов А.Г.5
-
Учреждения:
- Федеральное государственное бюджетное учреждение «Национальный медицинский исследовательский центр детской травматологии и ортопедии имени Г.И. Турнера» Министерства здравоохранения Российской Федерации
- Федеральное государственное автономное образовательное учреждение высшего образования «Санкт-Петербургский политехнический университет Петра Великого»
- Федеральное государственное бюджетное образовательное учреждение высшего образования «Санкт-Петербургский государственный педиатрический медицинский университет» Министерства здравоохранения Российской Федерации
- Федеральное государственное бюджетное образовательное учреждение высшего образования «Санкт-Петербургский государственный педиатрический медицинский университет» Министерства здравоохранения Российской Федерации
- Федеральное государственное бюджетное научное учреждение «Российский научный центр хирурги имени академика Б.В. Петровского»
- Выпуск: Том 8, № 1 (2020)
- Страницы: 53-62
- Раздел: Экспериментальные и теоретические исследования
- Статья получена: 17.10.2019
- Статья одобрена: 30.12.2019
- Статья опубликована: 06.04.2020
- URL: https://journals.eco-vector.com/turner/article/view/16480
- DOI: https://doi.org/10.17816/PTORS16480
- ID: 16480
Цитировать
Аннотация
Обоснование. Несмотря на широкий спектр проводимых исследований, разработка костнопластического материала, обладающего не только остеокондуктивными, но и остеоиндуктивными свойствами, остается крайне актуальным вопросом современного медицинского материаловедения. Данная работа посвящена экспериментальной оценке эффективности синтетического костнопластического композиционного материала на основе хитозана и гидроксиапатита.
Цель — исследование воздействия губчатых имплантатов на основе хитозана, а также его композита с наночастицами гидроксиапатита в количестве 50 масс. % на ранний остеогенез в зоне сквозного дефекта подвздошной кости.
Материалы и методы. В основной группе применяли губчатые имплантаты на основе хитозана и его композита с наночастицами гидроксиапатита в количестве 50 масс. %. В группе сравнения использовали имплантаты и выполняли замещение коммерческим костнопластическим материалом Reprobone. Материалы имплантировали в зону сквозного дефекта подвздошной кости кроликов на 28-е сутки.
Результаты. Установлены высокая скорость резорбции материалов на основе хитозана в костной ткани и активное разрастание ретикулофиброзной костной ткани по краям дефекта, а в группе имплантатов из хитозана с гидроксиапатитом происходило образование островков хрящевой ткани и костной мозоли. Имплантаты из хитозана и гидроксиапатита оказывали асептическое действие.
Заключение. Полученные данные свидетельствуют об остеокондуктивности исследованных материалов и перспективности дальнейших разработок в данном направлении.
Ключевые слова
Полный текст
Одна из наиболее важных и значимых задач в практической деятельности травматологов-ортопедов — заполнение костных дефектов различной этиологии [1, 2]. На сегодняшний день традиционно для костной пластики костных дефектов используют аутогенную кость, которая в настоящее время остается золотым стандартом замещения костных изъянов разной локализации [3, 4]. Однако перед специалистами всегда возникает ряд проблем, связанных с развитием осложнений в зоне забора трансплантатов области донорской раны, особенно в послеоперационном периоде. При этом стоит обратить внимание на такие отрицательные явления, как боль в области послеоперационной раны, инфекционные осложнения, гематома в области забора трансплантата, перелом донорской кости, косметический дефект костных структур и кожного покрова в этой зоне, а также ограниченность объема донорского ресурса [5]. Кроме того, следует учитывать, что нередко у пациентов ортопедического профиля сопутствующим диагнозом является остеопороз, что значительно снижает плотность костной ткани и служит причиной поиска альтернатив костно-пластического материала.
Второй наиболее распространенный материал для замещения костных дефектов — аллотрансплантат [1, 3, 6–8]. Однако при таком варианте замещения костных дефектов, несмотря на современные методы обработки биологических материалов, существует риск передачи ВИЧ, а также вирусов гепатита B и C. Кроме того, сохраняют актуальность проблемы, связанные с резорбцией и ремоделированием аллотрансплантата в организме реципиента [5].
Детальное изучение физиологических механизмов перестройки и ремоделирования костной ткани и тканевой инженерии привело к разработке новых синтетических имплантатов в качестве костно-пластического материала [3]. Помимо упомянутых выше требований к новым разрабатываемым синтетическим материалам можно перечислить ряд общих необходимых условий, включающих простоту в использовании, доступность, пластичность, наличие остеоиндуктивных и остеокондуктивных свойств [3, 9].
Цель тканевой инженерии — регенерация тканей, в том числе и костной, при помощи различных матриц (скаффолдов) на основе синтетических материалов, большей частью полимерных, стволовых клеток и биомодуляторов [1, 10]. Идеальный скаффолд должен содержать межтрабекулярные пространства, достаточные для адгезии и роста клеток, чтобы обеспечить транзит питательных веществ и метаболитов. Скорость деградации трансплантата не должна превышать скорость нормальной регенерации костной ткани. Механические свойства имплантата должны соответствовать возможным нагрузкам и при этом не приводить к дополнительной травматизации краевых зон дефекта [11].
Несмотря на многообразие костезамещающих материалов различного состава и свойств, на сегодняшний день среди них нельзя выделить «идеальный», подходящий для использования в различных областях хирургии [10]. При разработке новых биоматериалов для восстановления дефектов следует учитывать механизмы репаративной регенерации костной ткани. Костезамещающие материалы должны не только служить каркасом для формирующейся кости (остеокондукция) и стимулировать созревание костных клеток (остеоиндукция), но и инициировать эти процессы на соответствующей стадии репаративной регенерации.
Перспективным полимером для биомедицинского применения является хитозан [12–15], представляющий собой гетерополисахарид, получаемый путем деацетилирования природного полимера — хитина. Хитозан обладает рядом привлекательных физико-химических и биологических свойств, в частности, биорезорбируемостью, биосовместимостью, гемостатическими свойствами, у него отсутствует цитотоксичность [16]. Продуктом резорбции хитозана является D-глюкозамин — нормальный компонент синовиальной жидкости, способный облегчать нормальное отложение Ca2+ в костной ткани. Совокупность всех этих положительных свойств позволяет говорить о перспективности применения хитозана в хирургии при регенерации костной ткани.
Гидроксиапатит (ГА) представляет собой нормальный компонент костной ткани, обеспечивающий ее прочность. Гидроксиапатит располагается между пучками коллагеновых волокон в виде параллельно ориентированных пластинок. Композитные биоматериалы, содержащие наноразмерный ГА, обладают огромным потенциалом для репарации и синтеза собственной костной ткани [17–19]. Идея применения ГА в составе композитных материалов для костной пластики нашла воплощение в широком спектре работ по современному материаловедению в направлении «биомедицина» [18, 20–23], поэтому модификация губчатых хитозановых матриц с использованием ГА может стать перспективным вариантом решения вопроса с целью не только усиления прочностных характеристик имплантата, но и формирования структуры, более приближенной к нативной.
Хотя для оценки различных аспектов новых материалов проводится широкий спектр исследований in vitro, на данный момент полноценное исследование процесса репаративного остеогенеза in vitro, in situ и in silica не представляется возможным в силу сложности данного процесса. Единственным вариантом адекватной оценки репаративной регенерации костных дефектов являются испытания in vivo.
Цель — исследовать воздействие губчатых имплантатов на основе хитозана, а также его композита с наночастицами гидроксиапатита в количестве 50 масс. % на ранний остеогенез в зоне сквозного дефекта подвздошной кости.
Материалы и методы
Исследуемые материалы были получены путем лиофилизации 3 % раствора хитозана (Heppe, Германия, средняя молекулярная масса 168 кДа, степень деацетилирования 90 %) в 2 % уксусной кислоте с последующим переводом в основную форму путем выщелачивания в 10 % растворе NaOH. Аналогичным путем были получены губки на основе хитозана ГА, при этом в исходный раствор хитозана также были добавлены наночастицы ГА (ФГУП ИХС РАН, Россия) в количестве 50 масс. %. Полученным губкам придавали форму цилиндра диаметром 4–5 мм и высотой 1 см, после чего их стерилизовали путем автоклавирования. В качестве коммерческого материала сравнения был выбран применяемый в клинической практике Reprobone (Ceramisys Ltd, Великобритания), состоящий на 60 % из ГА и на 40 % из β-трикальция фосфата.
Экспериментальное исследование проведено на 18 самках кроликов породы Шиншилла в возрасте от 8 до 12 мес. средней массой 2000–2500 г, выведенных в ФГУП «ПЛЖ «Рапполово» (серия и номер ветеринарного свидетельства: 247 № 0150967 от 19.06.2018). Работа выполнена в условиях экспериментальной лаборатории НМИЦ детской травматологии и ортопедии имени Г.И. Турнера с соблюдением международных требований к проведению данного вида исследований.
Были смоделированы повреждения подвздошной кости путем нанесения двух сквозных отверстий диаметром 5 мм, расположенных на расстоянии 1 см друг от друга (рис. 1). Общая длительность экспериментального исследования составила 28 сут. Данный срок обусловлен тем, что после 2–4 нед. резорбция костной ткани прекращается, остеокласты подвергаются апоптозу и фагоцитированию. После чего наступает короткий период покоя, когда сформированная полость покрывается остеобластами и в течение следующих 3 мес. заполняется остеоидом.
Рис. 1. Внешний вид зоны смоделированного дефекта: а — зона дефекта до имплантации исследуемых материалов; б — зона дефекта с имплантированными губчатыми материалами на основе хитозана
Суммарно во всех группах экспериментальных животных было смоделировано 16 дефектов, заполненных губчатым материалом на основе хитозана (ХЧ), 16 перфорационных отверстий, заполненных хитозаном с гидроксиапатитом (ХГА), 16 перфорационных отверстий положительного контроля с материалом Reprobone и 16 дефектов группы отрицательного контроля, где у животных после моделирования перфорационные отверстия оставались полыми (см. таблицу). Материал Reprobone производста Ceramisys состоит из ГА (60 %) и трикальцийфосфата (40 %).
Распределение животных по группам
Группа животных | Материалы и локализация | Количество животных |
ХЧ/КМ | Слева: ХЧ, 2 шт. Справа: КМ, 2 шт. | 3 |
ХЧ/ХГА | Слева: ХЧ, 2 шт. Справа: ХГА, 2 шт. | 3 |
ХГА/КМ | Слева: ХГА, 2 шт. Справа: КМ, 2 шт. | 3 |
ХЧ/КНТР | Слева: ХЧ, 2 шт. Справа: контроль, без лечения, 2 шт. | 3 |
ХГА/КНТР | Слева: ХГА, 2 шт. Справа: контроль, без лечения, 2 шт. | 3 |
КМ/КНТР | Слева: КМ, 2 шт. Справа: контроль, без лечения, 2 шт. | 3 |
Всего | 18 |
Примечание. ХЧ — губка хитозановая; ХГА — губка хитозановая с гидроксиапатитом; КМ — коммерческий материал Reprobone; КНТР — контрольная группа, без лечения.
Все манипуляции с животными осуществляли в условиях адекватного обезболивания. Наркотизацию животных проводили при помощи смеси тилетамина/золазепама в соотношении 1 : 1 (Золетил 100, Vibrac, Франция) и ксилазила (Рометар, Bioveta, Чехия). Дозировка для вводного наркоза составляла 0,15 мл Золетила 100 на 1 кг веса животного, 0,1 мл Рометара на 1 кг веса животного. Поддерживающая доза равнялась половине вводной. В целях расчета дозировки препаратов экспериментальных животных предварительно взвешивали.
Операционное поле подготавливали после введения животного в стадию операционного наркоза: выстригали и выбривали шерсть, затем трехкратно обрабатывали кожный покров раствором кожного антисептика с экспозицией 5 мин и ограничивали зону вмешательства стерильными простынями. Дополнительно проводили инфильтрационную анестезию 0,1 % раствором лидокаина гидрохлорида.
Пальпаторно определяли ость тазовой кости с дорсальной поверхности. Далее в стерильных условиях в проекции ости тазовой кости брюшистым лезвием скальпеля выполняли разрез кожи длиной 2,5 см. Послойно тупо и остро выделяли тазовую кость. После разреза надкостницы скелетировали крыло подвздошной кости при помощи прямого распатора. Кость перфорировали под защитой мягких тканей лопатками Буяльского.
В ходе манипуляции фиксированную в дрели стерильную фрезу диаметром 5 мм жестко позиционировали под углом 90° к плоскости подвздошной кости. Угол нанесения перфорационного отверстия измеряли при помощи угломера. После стабилизации положения дрели под углом 90° к плоскости кости осуществляли сквозное перфорирование крыла подвздошной кости. С каждой стороны манипуляцию повторяли дважды, в результате чего получали два костных дефекта диаметром 5 мм на расстоянии 10 мм друг от друга, которые заполняли исследуемым материалом в соответствии с экспериментальной группой.
В зависимости от имплантируемых материалов было сформировано четыре экспериментальные группы, при этом для учета индивидуальных различий животных были получены шесть различных парных комбинаций материалов, которые помещали в разные зоны дефектов во избежание перекрестного воздействия (см. таблицу). Суммарно в группах синтетических материалов, положительного и отрицательного контроля было смоделировано по 16 дефектов подвздошной кости.
Костные дефекты подвздошной кости было удобно заполнять ХЧ и ХГА: при помощи анатомического пинцета материалы легко сжимались и помещались в костный дефект, после чего в течение 5 с первоначальная форма восстанавливалась и материалы плотно и полноценно заполняли костный дефект. Все это сопровождалось дополнительным механическим гемостазом костного дефекта.
При имплантации материала Reprobone, представляющего собой гранулы, имплантат (5–6 гранул) помещали в костный дефект при помощи пинцета и плотно прижимали. При этом материал располагался враспор костного дефекта. Необходимо отметить, что на момент ушивания в ране продолжалось кровотечение из краев подвздошной кости в области перфорационного отверстия.
В группе отрицательного контроля у животных после моделирования перфорационные отверстия оставались полыми.
Затем проводили гемостаз и послойно ушивали рану. В послеоперационном периоде рану в течение 3 дней ежедневно обрабатывали антисептическим раствором. До и после операции производили инъекции раствора цефуроксима в дозе 30 мг/кг внутримышечно.
В процессе исследования ежедневно осматривали животных. На 28-е сутки эксперимента выполняли цифровую рентгенографию в прямой и боковой проекциях c целью визуализации и рентгенологической оценки зоны моделирования костного дефекта в области крыла подвздошной кости. По окончании указанного срока животных выводили из эксперимента в соответствии с международными стандартами гуманного отношения к животным, проводили вскрытие и забор аутопсийных образцов из зоны дефекта.
Основным показателем эффективности экспериментальных образцов выступали результаты морфологической оценки аутопсийных образцов зоны дефекта, а именно: определение степени резорбции трансплантата, оценка выраженности и активности воспалительных реакций в зоне повреждения костной ткани, определение стадии регенерации в зоне дефекта по наличию (или отсутствию) хрящевых островков, их перестройки в ретикулофиброзную костную ткань.
Для адекватного сопоставления данных эксперимента с учетом индивидуальных особенностей животных указанные манипуляции проводили с обеих сторон, причем с каждой стороны моделировали по два костных дефекта. При этом в соседние дефекты имплантировали только материалы одного вида во избежание перекрестного эффекта.
Полученные аутопсийные образцы подвергали декальцинации в растворе на основе ЭДТА (Раствор Б, Bio Vitrum, Россия) в течение 45 дней с последующей проводкой через спирты повышающихся концентраций в гистопроцессоре Thermo Scientific Excelsior AS (Thermo Fisher Scientific, Великобритания) в течение 12 ч. Заливку в парафин проводили на станции Thermoscientific Histo Star (Thermo Fisher Scientific, Великобритания), нарезку парафиновых блоков — на микротоме Microm HM 430 (Thermo Fisher Scientific, Великобритания).
Полученные срезы окрашивали в автоматической гистологической станции Microm HMS 740 эозином, гематоксилином Майера и пикрофуксином по Ван Гизону (Bio Vitrum, Россия). После окраски гистологического препарата осуществляли морфологическое исследование путем световой микроскопии на микроскопе производства Carl Zeiss (Германия), модель Axio Lab.A1.
Результаты
В процессе эксперимента не было отмечено существенных отклонений в поведении животных, а также летальных исходов и каких-либо осложнений после процедуры имплантации исследуемых материалов.
В результате визуальной оценки области хирургического вмешательства на макропрепарате после вывода животных из эксперимента и взятия аутопсии на 28-е сутки после операции в зонах имплантации материалов ХЧ выявлено отсутствие зияющего костного дефекта.
У группы положительного контроля с имплантированным материалом Reprobone обнаружены костный дефект размером до 0,2 мм, а также имплантированные образцы синтетического материала.
В группе отрицательного контроля при макроскопической оценке зоны оперативного вмешательства отмечалось наличие незаполненных костных дефектов размером до 0,3 мм.
Материалы ХЧ в первоначальном виде выявлены не были. У животных группы положительного контроля имплантированные образцы практически сохраняли первоначальный вид.
При гистологическом исследовании аутопсийных образцов были получены следующие данные.
- Группа отрицательного контроля с перфорационными отверстиями (рис. 2).
Рис. 2. Группа контроля: некротический детрит с густой инфильтрацией нейтрофильными лейкоцитами и прилегающими костными балками и надкостницей. Окраска гематоксилином и эозином, увеличение ×40
В зоне дефекта костной ткани находится большое количество некротического детрита с множественными густо лежащими нейтрофильными лейкоцитами. К зоне дефекта и окружающей костной ткани прилежат надкостница и небольшие фрагменты поперечно-полосатой мышечной ткани с очаговой лимфогистиоцитарной инфильтрацией и единичными в поле зрения гигантскими многоядерными клетками типа инородных тел.
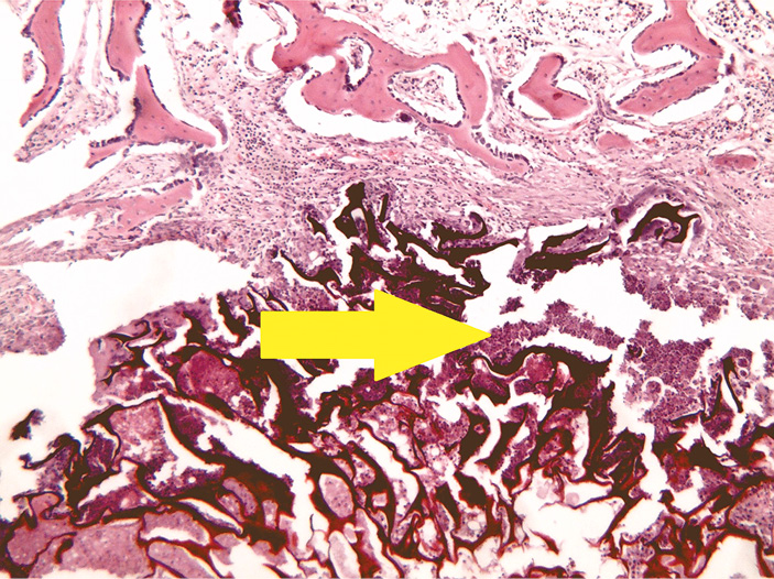
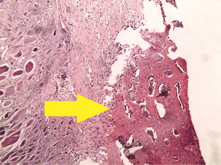
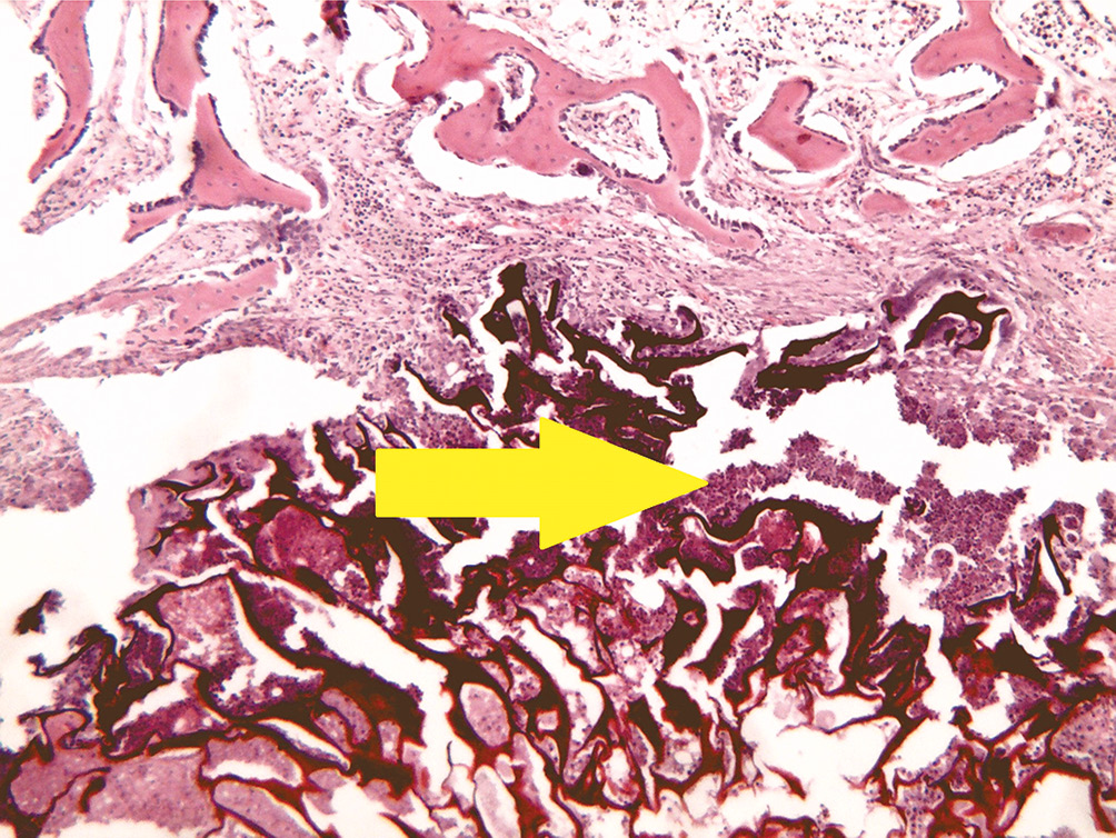
- Группа положительного контроля с использованием материала Reprobone.
В исследованном материале на 28-е сутки эксперимента отмечается крупный дефект пластинчатой костной ткани, крыла подвздошной кости, заполненный губчатым, резко эозинофильным материалом. Среди ячеек губки наблюдается выраженная смешанно-клеточная экссудативная реакция, по периферии материала преобладает экссудат нейтрофильных лейкоцитов с очагами мелкоглыбчатых распадов. В центральных и парацентральных ячейках губки экссудат преимущественно состоит из лимфоцитов и макрофагов. Между костной тканью и инородным телом виден «ободок» из грубоволокнистой соединительной ткани с очагами лимфомакрофагальной инфильтрации с примесью гигантских многоядерных клеток типа инородных тел (рис. 3). Присутствуют признаки формирования гранулематозного воспаления в надкостнице.
Рис. 3. Группа положительного контроля: губчатая структура Reprobone, заполняющая зону костного дефекта. В ячейках инородного тела — выраженная инфильтрация нейтрофильными лейкоцитами. Окраска гематоксилином и эозином, увеличение ×40
- Группа с губчатым материалом на основе хитозана (рис. 4).
Рис. 4. Группа с хитозаном: разрастание по краям дефекта ретикулофиброзной костной ткани. Окраска гематоксилином и эозином, увеличение ×40
На 28-е сутки в зоне дефекта отмечается участок, заполненный волокнистым хрящом. Элементов исследуемого образца синтетического материала в зоне дефекта не обнаружено. По краям дефекта кости виден переход волокнистой хрящевой ткани в ретикулофиброзную костную ткань.
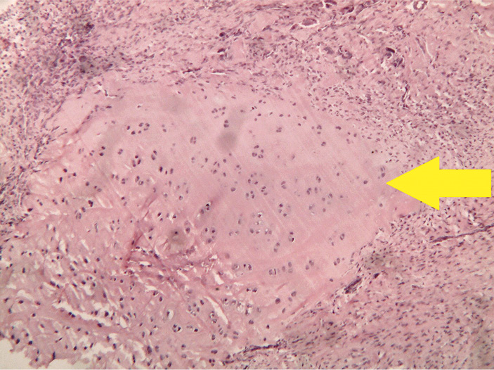
- Группа с губчатым материалом на основе хитозана и гидроксиапатита (рис. 5).
Рис. 5. Группа с протезом из хитозана с гидроксиапатитом: хрящевые островки среди грубоволокнистой ткани в зоне костного дефекта. Окраска гематоксилином и эозином, увеличение ×40
На 28-е сутки в зоне дефекта наблюдается участок, заполненный грубоволокнистой соединительной тканью с многочисленными гигантскими клетками инородных тел, сформированными вокруг небольших очагов из остатков исследуемого образца. К грубоволокнистой соединительной ткани прилежит костная мозоль с небольшими и немногочисленными более крупными хрящевыми «островками».
Обсуждение
В ходе работы удалось создать экспериментальную модель костного дефекта крыла подвздошной кости у лабораторных животных и провести сравнительный анализ применения различных типов имплантатов в качестве костно-пластических материалов.
В группе отрицательного контроля, где костные дефекты оставались незаполненными, в зоне дефекта при морфологическом исследовании образцов было отмечено наличие некротического детрита с густой инфильтрацией нейтрофильными лейкоцитами.
Для группы положительного контроля была характерна крайне низкая скорость резорбции образцов. Поскольку в эксперименте моделировали дефект, не являвшийся по определению критичным, низкая скорость резорбции в данной группе выступала ограничителем процесса репарации. Более того, при гистологическом исследовании были отмечены экссудативная реакция в зоне дефекта и гранулематозное воспаление с гигантскими многоядерными клетками типа инородных тел в прилежащей надкостнице, что позволяет предположить негативную реакцию тканей на данный материал на ранних этапах заживления. Тем не менее данный тип реакции также может быть обусловлен интраоперационной контаминацией раны бактериальными агентами.
Губчатые материалы ХГА показали достаточно высокую скорость резорбции. В первоначальном виде образцы на макропрепарате не были обнаружены, остатки имплантируемых материалов определялись только при помощи морфологического исследования биопсийных образцов зоны дефекта.
Материалы ХЧ на этапе введения в эксперимент отличались удобством использования в силу губчатой структуры. Применение цилиндрических образцов диаметром чуть больше, нежели исходное отверстие дефекта, позволило достичь плотной фиксации образца в зоне дефекта при минимальном воздействии на его края в силу высоких упругостных свойств исходных материалов.
В группе ХГА отмечалась достаточно высокая степень резорбции со слабовыраженными проявлениями хронического воспаления в ответ на введение инородного тела. Наряду с этим в области дефекта были обнаружены островки хрящевой ткани, свидетельствующие в пользу стимуляции остеоиндукции, а также признаки формирования костной мозоли.
Наилучшим образом с позиций морфологического исследования показали себя имплантаты ХЧ. Помимо максимальной скорости резорбции в эксперименте было также отмечено образование ретикулофиброзной костной ткани и полное отсутствие следов негативного ответа прилежащих тканей. В то же время быстрая скорость резорбции материала может быть и существенным недостатком. Поскольку в данном исследовании целью была качественная оценка тканевого ответа и остеоиндуктивных свойств материалов, моделирование дефекта, не являющегося критическим, было допустимо и позволило провести оценку в существенно меньшие сроки. Однако в случае критических дефектов костной ткани, предполагающих существенно больший срок восстановления, излишне быстрая резорбция образцов становится резко негативным фактором.
Полученные результаты коррелируют с литературными данными по исследованию биорезорбции иных хитозановых и хитозан-гидроксиапатитных пористых матриц для репарации костных дефектов [13, 17, 18]. В работе [18] при общей схожести исследуемого материала его размеры и концентрации ГА существенно превосходили соответствующие параметры в нашем исследовании и, как следствие, был зафиксирован более выраженный негативный ответ прилежащих тканей. Использование наночастиц ГА в концентрации 50 масс. % позволило получить менее хрупкий материал, что обеспечило как удобство применения и фиксации в сравнении с более плотным и хрупким коммерческим аналогом, так и более положительную реакцию прилежащей ткани и повышенную остеокондуктивность исследуемых материалов.
Ограничения исследования
К ограничениям исследования необходимо отнести следующие моменты.
- В работе изучали влияние разработанных материалов на ранних стадиях репаративного остеогенеза. Небольшие сроки эксперимента не позволяют сделать однозначный вывод о долгосрочном эффекте и до конца сопоставить положительные и отрицательные стороны использования материалов с более долгим сроком резорбции (группа материала Reprobone).
- Целью рентгенографии области оперативного вмешательства был контроль зоны имплантации. Кроме того, она носила обзорный характер, вследствие этого невозможно было достоверно количественно оценить изменение зоны дефекта.
- Размеры и локализация изначального дефекта не позволяли сделать предположения о положительном или негативном влиянии вязкоупругих свойств губчатых материалов в случае механических нагрузок в зоне дефекта.
Заключение
В результате исследования удалось оценить биологические свойства, а также биорезорбцию экспериментальных материалов на основе ХГА в сравнении с положительным и отрицательным контролем. Были подтверждены положительное влияние данных материалов на процесс костной регенерации и слабовыраженная негативная реакция прилежащих тканей на имплантат. Кроме того, установлено, что материалы ХЧ в костной ткани крайне быстро подвергаются резорбции, что может иметь как положительное, так и отрицательное значение в зависимости от размеров дефекта и способа применения вышеописанных материалов. При этом хитозан по сравнению с другими исследованными материалами оказывает наиболее сильное стимулирующее воздействие на регенерацию костной ткани, в то время как ХГА в использованном соотношении проявил себя как наиболее слабый стимулятор остеоиндукции. Следует также выделить асептический эффект при применении ХГА.
Результаты исследования свидетельствуют о том, что необходимы дальнейшие исследования и доработка материалов. Простота процесса получения исследуемых материалов методом лиофильной сушки в сочетании с их эффективностью позволяют говорить о перспективности дальнейших разработок в направлении костной имплантации тканеинженерных конструкций в виде композитов на основе ХГА.
Дополнительная информация
Источник финансирования. Грант РНФ 19-73- 30003.
Конфликт интересов. Авторы заявляют об отсутствии конфликта интересов.
Этическая экспертиза. Экспериментальное исследование было одобрено локальным этическим комитетом. Выписка из протокола № 19-1 заседания локального этического комитета ФГБУ «НИДОИ им. Г.И. Турнера» Минздрава России от 01.07.2019.
Вклад авторов
С.В. Виссарионов — разработка методологии, дизайна исследования и написание текста статьи.
М.С. Асадулаев — участие в разработке дизайна исследования, подготовка и проведение хирургических вмешательств, обработка экспериментальных данных, написание текста статьи.
А.С. Шабунин — участие в разработке дизайна исследования, обработка экспериментальных данных, ведение сопутствующей документации, написание текста статьи.
В.Е. Юдин — разработка исследуемых материалов.
М.Б. Панеях — изготовление гистологических препаратов, морфологическое исследование материалов, написание текста статьи.
П.В. Попрядухин — разработка и получение исследуемых материалов.
Ю.А. Новосад — разработка и получение исследуемых материалов, участие в проведении хирургических вмешательств.
В.А. Гордиенко — участие в проведении хирургических вмешательств, написание текста статьи.
А.Г. Аганесов — участие в разработке дизайна исследования, обработка экспериментальных данных.
Благодарности. Выражаем благодарность за оказанную помощь и содействие в проведении эксперимента научному сотруднику Наталье Борисовне Фоминой, а также сотрудникам лаборатории экспериментальной хирургии — заведующей операционным блоком Ольге Константиновне Карцевой, Татьяне Петровне Масленниковой (ИХС РАН), рентген-лаборантам, а также врачу-рентгенологу Татьяне Валерьевне Мурашко, студентам СПбГПМУ Лоле Айдаровне Давлетовой, Андрею Михайловичу Федюку, Петру Леонидовичу Сущинскому, клиническому ординатору СПбГПМУ Бийке Наримановне Атабиевой.
Об авторах
Сергей Валентинович Виссарионов
Федеральное государственное бюджетное учреждение «Национальный медицинский исследовательский центр детской травматологии и ортопедии имени Г.И. Турнера» Министерства здравоохранения Российской Федерации
Email: vissarionovs@gmail.com
ORCID iD: 0000-0003-4235-5048
Scopus Author ID: 6504128319
д-р мед. наук, профессор, член-корр. РАН, заместитель директора по научной и учебной работе, руководитель отделения патологии позвоночника и нейрохирургии
Россия, 196603, г. Санкт-Петербург, г. Пушкин, ул. Парковая, дом 64-68Марат Сергеевич Асадулаев
Федеральное государственное бюджетное учреждение «Национальный медицинский исследовательский центр детской травматологии и ортопедии имени Г.И. Турнера» Министерства здравоохранения Российской Федерации
Автор, ответственный за переписку.
Email: marat.asadulaev@yandex.ru
ORCID iD: 0000-0002-1768-2402
SPIN-код: 3336-8996
Scopus Author ID: 57191618743
клинический ординатор, лаборант лаборатории экспериментальной хирургии
Россия, 196603, г. Санкт-Петербург, г. Пушкин, ул. Парковая, дом 64-68Антон Сергеевич Шабунин
Федеральное государственное бюджетное учреждение «Национальный медицинский исследовательский центр детской травматологии и ортопедии имени Г.И. Турнера» Министерства здравоохранения Российской Федерации; Федеральное государственное автономное образовательное учреждение высшего образования «Санкт-Петербургский политехнический университет Петра Великого»
Email: anton-shab@yandex.ru
ORCID iD: 0000-0002-8883-0580
SPIN-код: 1260-5644
Scopus Author ID: 57191623923
лаборант лаборатории экспериментальной хирургии; аспирант
Россия, 196603, г. Санкт-Петербург, г. Пушкин, ул. Парковая, дом 64-68; 195251, г. Санкт-Петербург, ул. Политехническая, д.29Владимир Евгеньевич Юдин
Федеральное государственное автономное образовательное учреждение высшего образования «Санкт-Петербургский политехнический университет Петра Великого»
Email: yudin@hq.macro.ru
ORCID iD: 0000-0002-5517-4767
SPIN-код: 4996-7540
Scopus Author ID: 7103377720
д-р физ.-мат. наук, профессор, заведующий лабораторией полимерных материалов для тканевой инженерии и трансплантологии
Россия, 195251, г. Санкт-Петербург, ул. Политехническая, д.29Моисей Бениаминович Панеях
Федеральное государственное бюджетное образовательное учреждение высшего образования «Санкт-Петербургский государственный педиатрический медицинский университет»Министерства здравоохранения Российской Федерации
Email: moisey031190@gmail.com
ORCID iD: 0000-0002-2527-9058
ассистент кафедры патологической анатомии с курсом судебной медицины
Россия, 194100, г. Санкт-Петербург, ул. Литовская д.2Павел Васильевич Попрядухин
Федеральное государственное автономное образовательное учреждение высшего образования «Санкт-Петербургский политехнический университет Петра Великого»
Email: pavelpnru@gmail.com
ORCID iD: 0000-0001-5478-5630
Scopus Author ID: 39161683200
канд. техн. наук, старший научный сотрудник лаборатории полимерных материалов для тканевой инженерии и трансплантологии
Россия, 195251, г. Санкт-Петербург, ул. Политехническая, д.29Юрий Алексеевич Новосад
Федеральное государственное автономное образовательное учреждение высшего образования «Санкт-Петербургский политехнический университет Петра Великого»
Email: yurynovosad@gmail.com
ORCID iD: 0000-0002-6150-374X
студент
Россия, 195251, г. Санкт-Петербург, ул. Политехническая, д.29Василий Аркадьевич Гордиенко
Федеральное государственное бюджетное образовательное учреждение высшего образования «Санкт-Петербургский государственный педиатрический медицинский университет» Министерства здравоохранения Российской Федерации
Email: chet1337@gmail.com
ORCID iD: 0000-0003-0590-2137
лаборант-исследователь лаборатории экспериментальной хирургии
Россия, 194100, г. Санкт-Петербург, ул. Литовская д.2Александр Георгиевич Аганесов
Федеральное государственное бюджетное научное учреждение «Российский научный центр хирурги имени академика Б.В. Петровского»
Email: chet1337@gmail.com
ORCID iD: 0000-0001-8823-5004
д-р мед. наук, профессор, руководитель отделения хирургии позвоночника
Россия, 119991, г. Москва, Абрикосовский переулок, 2Список литературы
- Анастасиева Е.А., Садовой М.А., Воропаева А.А., Кирилова И.А. Использование ауто- и аллотрансплантатов для замещения костных дефектов при резекциях опухолей костей // Травматология и ортопедия России. – 2017. – Т. 23. – № 3. – С. 148–155. [Anastasieva EA, Sadovoy MA, Voropaeva AA, Kirilova IA. Reconstruction of bone defects after tumor resection by autoand allografts (review of literature). Travmatologiia i ortopediia Rossii. 2017;(23):148-155. (In Russ.)]
- Котельников Г.П., Колсанов А.В., Щербовских А.Е. Реконструкция посттравматических и постоперационных дефектов нижней челюсти // Хирургия. Журнал им. Н.И. Пирогова. – 2017. – № 7. – С. 69–72. [Kotel’nikov GP, Kolsanov AV, Shcherbovskikh AE. Reconstruction of posttraumatic and postoperative defects of lower jaw. Khirurgiia (Mosk). 2017;(7):69-72. (In Russ.)]. https://doi.org/10.17116/hirurgia2017769-72.
- Garcia-Gareta E, Coathup MJ, Blunn GW. Osteoinduction of bone grafting materials for bone repair and regeneration. Bone. 2015;81:112-121. https://doi.org/10.1016/j.bone.2015.07.007.
- Гайворонский И.В., Губочкин Н.Г., Микитюк С.И., и др. Анатомические обоснования формирования костных трансплантатов на мышечно-сосудистой ножке в нижней трети предплечья и возможностей их перемещения // Вестник Российской военно-медицинской академии. – 2016. – Т. 3. – № 55. – С. 129–134. [Gayvoronskiy IV, Gubochkin NG, Mikityuk SI. Anatomic substantiation of formation of bone grafts on muscle-pedicle in lower third of the forearm and the possibility of their transplantation. Vestnik Rossiiskoi voenno-meditsinskoi akademii. 2016;3(55):129-134. (In Russ.)]
- Предеин Ю.А., Рерих В.В. Костные и клеточные имплантаты для замещения дефектов кости // Современные проблемы науки и образования. – 2016. – № 6. – С. 132–146. [Predein YA, Rerikh VV. Bone and cellular implants for replacement bone defects. Sovremennye problemy nauki i obrazovaniya. 2016;(6):132-146. (In Russ.)]
- Лекишвили М.В., Склянчук Е.Д., Акатов В.С., и др. Костнопластические остеоиндуктивные материалы в травматологии и ортопедии // Гений ортопедии. – 2015. – № 4. – С. 61–67. [Lekishvili MV, Sklyanchuk ED, Akatov VS, et al. Osteoplastic osteoinductive materials in traumatology and orthopaedics. Genij ortopedii. 2015;(4):61-67. (In Russ.)]
- Хватов В.Б., Свищев А.В., Ваза А.Ю., и др. Способ изготовления лиофилизированного аллотрансплантата кости // Трансплантология. – 2016. – № 1. – С. 13–18. [Khvatov VB, Svishchev AV, Vaza AY. Sposob Method of manufacturing a lyophilized allograft bone. Transplantologiia. 2016;(1):13-18. (In Russ.)]
- Кирилова И.А., Подорожная В.Т., Шаркеев Ю.П., и др. Свойства деминерализованного костного матрикса для биоинженерии тканей // Комплексные проблемы сердечно-сосудистых заболеваний. – 2017. – Т. 6. – № 3. – С. 25–36. [Kirilova IA, Podorozhnaya VT, Sharkeev YP, et al. Properties of the demineralized bone matrix for bioenginery of tissue. Copmplex issues of cardiovascular diseases. 2017;6(3):25-36. (In Russ.)]
- Кирилова И.А., Садовой М.А., Подорожная В.Т. Сравнительная характеристика материалов для костной пластики: состав и свойства // Хирургия позвоночника. – 2012. – № 3. – С. 72–83. [Kirilova IA, Sadovoy MA, Podorozhnaya VT. Comparative characteristics of materials for bone grafting: composition and properties. Spine surgery. 2012;(3):72-83. (In Russ.)]
- Кирилова И.А. Деминерализованный костный трансплантат как стимулятор остеогенеза: современные концепции // Хирургия позвоночника. – 2004. – № 3 – С. 105–110. [Kirilova IA. Demineralized bone graft as an osteogenesis stimulator: current literature review. Spine surgery. 2004;(3):105-110. (In Russ.)]
- Roseti L, Parisi V, Petretta M, et al. Scaffolds for bone tissue engineering: state of the art and new perspectives. Mater Sci Eng C Mater Biol Appl. 2017;78:1246-1262. https://doi.org/10.1016/j.msec.2017.05.017.
- Deepthi S, Venkatesan J, Kim SK, et al. An overview of chitin or chitosan/nano ceramic composite scaffolds for bone tissue engineering. Int J Biol Macromol. 2016;93(Pt B):1338-1353. https://doi.org/10.1016/ j.ijbiomac.2016.03.041.
- Balagangadharan K, Dhivya S, Selvamurugan N. Chitosan based nanofibers in bone tissue engineering. Int J Biol Macromol. 2017;104(Pt B):1372-1382. https://doi.org/10.1016/j.ijbiomac.2016.12.046.
- Logith Kumar R, Keshav Narayan A, Dhivya S, et al. A review of chitosan and its derivatives in bone tissue engineering. Carbohydr Polym. 2016;151:172-188. https://doi.org/10.1016/j.carbpol.2016.05.049.
- Dobrovolskaya IP, Yudin VE, Popryadukhin PV, et al. In vivo studies of chitosan fiber resorption. J Appl Cosmetol. 2015;33:81-87.
- Rinaudo M. Chitin and chitosan: properties and applications. Prog Polym Sci. 2006;31(7):603-632. https://doi.org/10.1016/j.progpolymsci.2006.06.001.
- Sharma C, Dinda AK, Potdar PD, et al. Fabrication and characterization of novel nano-biocomposite scaffold of chitosan-gelatin-alginate-hydroxyapatite for bone tissue engineering. Mater Sci Eng C Mater Biol Appl. 2016;64:416-427. https://doi.org/10.1016/ j.msec.2016.03.060.
- Zhang J, Liu G, Wu Q, et al. Novel mesoporous hydroxyapatite/chitosan composite for bone repair. J Bionic Eng. 2012;9(2):243-251. https://doi.org/10.1016/s1672-6529(11)60117-0.
- Danoux CB, Barbieri D, Yuan H, et al. In vitro and in vivo bioactivity assessment of a polylactic acid/hydroxyapatite composite for bone regeneration. Biomatter. 2014;4:e27664. https://doi.org/10.4161/biom.27664.
- Cox SC, Thornby JA, Gibbons GJ, et al. 3D printing of porous hydroxyapatite scaffolds intended for use in bone tissue engineering applications. Mater Sci Eng C Mater Biol Appl. 2015;47:237-247. https://doi.org/10.1016/j.msec.2014.11.024.
- Dutta SR, Passi D, Singh P, Bhuibhar A. Ceramic and non-ceramic hydroxyapatite as a bone graft material: a brief review. Ir J Med Sci. 2015;184(1):101-106. https://doi.org/10.1007/s11845-014-1199-8.
- Ratnayake JTB, Mucalo M, Dias GJ. Substituted hydroxyapatites for bone regeneration: A review of current trends. J Biomed Mater Res B Appl Biomater. 2017;105(5):1285-1299. https://doi.org/10.1002/jbm.b.33651.
- Oliveira HL, Da Rosa WLO, Cuevas-Suárez CE, et al. Histological evaluation of bone repair with hydroxyapatite: a systematic review. Calcif Tissue Int. 2017;101(4):341-354. https://doi.org/10.1007/s00223-017-0294-z.
Дополнительные файлы














