Effect of brachial plexus block on the incidence of arterial hypotension and bradycardia events during shoulder arthroscopy in adolescents
- Authors: Trukhin K.S.1, Zabolotskii D.V.2,3, Koriachkin V.A.2, Kuleshov O.V.1,4, Zakharov K.I.1, Сherednichenko A.A.1, Kulikov A.Y.1
-
Affiliations:
- Clinic of High Medical Technologies named after N.I. Pirogov, Saint Petersburg University
- Saint Petersburg State Pediatric Medical University
- H. Turner National Medical Research Center for Сhildren’s Orthopedics and Trauma Surgery
- North-Western State Medical University named after I.I. Mechnikov
- Issue: Vol 8, No 1 (2020)
- Pages: 35-42
- Section: Original Study Article
- Submitted: 25.10.2019
- Accepted: 23.12.2019
- Published: 06.04.2020
- URL: https://journals.eco-vector.com/turner/article/view/17538
- DOI: https://doi.org/10.17816/PTORS17538
- ID: 17538
Cite item
Abstract
Background. The role and significance of the technical aspects of interscalene brachial plexus block in the occurrence of sudden arterial hypotension and bradycardia events during shoulder arthroscopy in a semi-sitting position are ambiguous.
Aim. The study aimed to assess the effect of interscalene brachial plexus block on the incidence of hypotension-bradycardia events during shoulder arthroscopic surgery in adolescents in a semi-sitting position.
Materials and methods. This retrospective analysis of anesthesia protocols included 288 patients who underwent arthroscopic shoulder surgery in a semi-sitting position under the interscalene brachial plexus block. Regional blockades were performed with neurostimulation in Group 1 (n = 23), neurostimulation and ultrasound navigation without repositioning the needle in Group 2 (n = 70), and neurostimulation and ultrasound navigation with multiple precision repositioning the needle in Group 3 (n = 195).
Results. Hypotension-bradycardia events were detected in 26 patients out of 288 (9%). There was a statistically significant difference in the frequency of hypotension-bradycardia in all groups: 10 (43.48%) in Group 1, 15 (21.43%) in Group 2, and 1 (0.51%) in Group 3 (p = 0.000). A direct correlation between hypotension-bradycardia episodes and local anesthetic volume (r = 0.405; p < 0.05), and Horner’s syndrome (r = 0.684, p < 0.05) was found.
Conclusions. Interscalene brachial plexus block with a target delivery of low volume of local anesthetic and dual navigation reduces the risk of hypotension-bradycardia. Horner’s syndrome can be considered an early predictor of hypotension-bradycardia events.
Full Text
Intraoperative stability of hemodynamic parameters is one of the factors of patient safety during anesthesia. With arthroscopic surgical interventions on the shoulder of a patient who is in a semi-sitting or beach-chair position (raising the head end of the operating table by 45–80° and flexing the hips and knees), under conditions of the interscalene brachial plexus block (IBPB), there is a high probability of developing arterial hypotension-bradycardia (AHB) episodes. The frequency of which, according to the literature, is 13–28% [1–3]. In some cases, AHB can lead to stagnation of the circulation. AHB in a patient in the beach-chair position is considered to be the development of the Bezold–Jarisch reflex due to the redistribution of blood to the lower extremities and stimulation of the receptors of the “empty” left ventricle, vasomotor center, and vagus nerve core [4]. Currently, there is no unambiguous concept of the predisposing factors of this complication [5]. In particular, it is known that AHB syndrome develops with excessive sedation and fentanyl use [6, 7], adrenaline addition in a local anesthetic or irrigation solution [2, 8, 9], and blockade on the right side [6]. In IBPB, many authors used the method of paresthesias or fasciculations in response to neurostimulation and used significant (from 30.0 to 50.0 mL) volumes of local anesthetics [3, 10, 11].
To our knowledge, there is only one study that combined neurostimulation with ultrasound (US) navigation, and the volume of local anesthetics was 13–18 mL [2]. It has been proven that US control during peripheral regional blocks can reduce the volume of local anesthetics [12, 13], but it remains unclear whether lower volumes of anesthetic can reduce the incidence of AHB [5].
Thus, in the available literature, the role and importance of the technical aspects of IBPB implementation in the prevention of AHB are not described.
This study aimed to evaluate the influence of the technique of performing the IBPB on the incidence of AHB during surgeries in the shoulder joint.
Materials and methods
After approval by the local ethics committee of the Saint Petersburg State Pediatric Medical University, a retrospective analysis of the anesthesia protocols was performed for 288 adolescent patients who underwent arthroscopic shoulder surgery from 2011 to 2019.
Criteria for inclusion in the study were surgery under conditions of IBPB in conscious patients or with anxiolysis (no more than three points on the Ramsay scale) and semi-sitting position (beach chair). Exclusion criteria were pathology of the brachiocephalic vessels, cerebral circulation, pacemakers and cardiac conduction system, syncopal condition history, chronic respiratory diseases with respiratory failure of I–II degrees, intraoperative controlled hypotension, and deep drug sedation (four points or more on the Ramsay scale).
The study included 288 patients aged 16–18 years who, after preinfusion (500 mL of crystalloid solution) and premedication (fentanyl at a dose of 50–100 μg [0.5–1 μg/kg], diazepam at a dose of 5–10 mg, and ketoprofen at a dose 100 mg intravenously) underwent IBPB. Depending on the method for performing IBPB, the patients were divided into three groups (Table 1).
Table 1
General characteristics of patients
Characteristic | Group 1 (n = 23) | Group 2 (n = 70) | Group 3 (n = 195) | р |
Age, years | 18 [17; 18] | 18 [17; 18] | 18 [17; 18] | 0.97 |
Gender, m/f, n, % | 16/7 (70/30) | 49/21 (70/30) | 127/68 (65/34) | 0.72 |
Height, m | 1.74 [1.68; 1.78] | 1.74 [1.62; 1.8] | 1.75 [1.66; 1.8] | 0.74 |
Body weight, kg | 64 [59; 70] | 64 [56; 74] | 65 [59; 73] | 0.69 |
Body mass index | 21.6 [20.9; 22.5] | 21.6 [20.9; 22.8] | 21.8 [21.1; 22.8] | 0.67 |
ASA, I/II, n | 19/4 | 59/11 | 170/25 | 0.74 |
Note. ASA, American Society of Anesthesiologist is the perioperative risk scale of the ASA.
IBPB was performed in Group 1 using a neurostimulator (Stimuplex HNS12, 1–0.5 mA, 1 Hz, 0.1 ms, B. Braun, Melsungen, Germany) according to the Meier method [14] using 20–30 mL of 0.5% ropivacaine for the brachial plexus block and 10–15 mL of 0.2% ropivacaine for the superficial branches of the cervical plexus block. To determine the total amount of anesthetic, we sensitized the calculated dose of 3 mg/kg ropivacaine.
In Group 2, IBPB was performed under US control (Sonosite M-Turbo, Sonosite, Bothell, USA: 12 MHz linear sensor, transverse scanning at the level of the С6–С7 vertebrae with lateral access and long-axis imaging of the needle) and neurostimulation (Stimuplex HNS12, 0.5 mA, 1 Hz, 0.1 ms). The needle was brought to the middle trunk, and having received a neuromuscular response (a contraction of the shoulder biceps), 20–30 mL of 0.5% ropivacaine was injected without further repositioning, controlling its distribution by US navigation to all elements of the brachial plexus subfascially in the interscalene space. Then, a block of the superficial branches of the cervical plexus was performed with 10 mL of 0.2% ropivacaine. To determine the total amount of the anesthetic agent, we focused on US criteria for the solution distribution to all elements of the brachial and cervical plexus but did not exceed the total dose of 3 mg/kg ropivacaine.
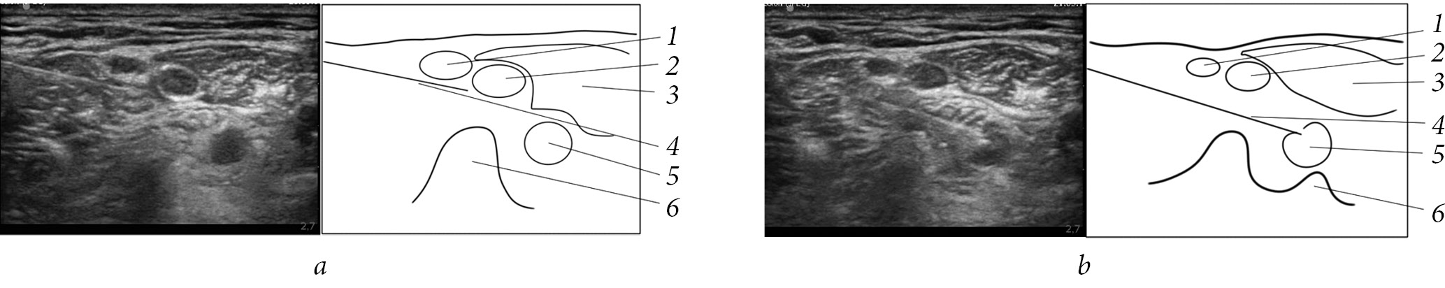
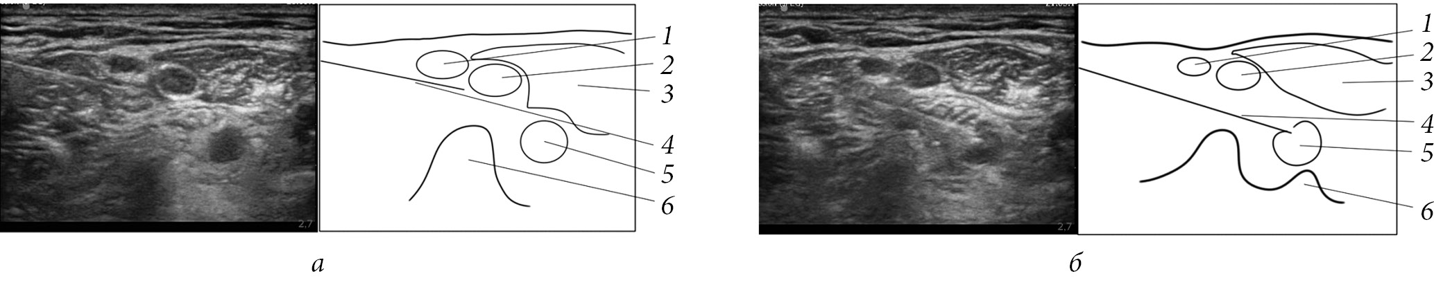
In Group 3, IBPB was performed under US navigation (Sonosite M-Turbo: 12 MHz linear sensor, transverse scanning at the level of the С6–С7 vertebrae with lateral access and long-axis imaging of the needle) and neurostimulation (Stimuplex HNS12, 0.5 mA, 1 Hz, 0.1 ms) with a selective block of the brachial plexus trunks. This was achieved by repeatedly repositioning the needle and introducing individual boluses of local anesthetic, not exceeding 0.5–1 mL, from each position. The solution was distributed around each trunk of the brachial plexus, which determined the necessary volume of local anesthetic. In total, 7–10 mL of 0.5% ropivacaine for block of the brachial plexus (Fig. 1) and 5–7 mL of 0.2% ropivacaine for the block of the superficial branches of the cervical plexus were used [15].
Fig. 1. Block of the upper, middle (a), and lower (b) trunks of the brachial plexus with lateral access: 1, the upper trunk of the brachial plexus; 2, the middle trunk of the brachial plexus; 3, the anterior scalene muscle; 4, needle; 5, the lower trunk of the brachial plexus; 6, the C7 vertebra
The quality of the sympathetic component of the block was determined by the perfusion index increase measured by a pulse oximeter on the nail phalanx of finger II of the operated extremity before and 15 min after the block. The quality of the block motor component was evaluated 15 min after the block procedure, in accordance with the possibility of active movements in the deltoid, biceps, and triceps muscles of the shoulder (0 = yes and 1= no). The degree of depth of the sensor block was determined by the pin-prick method in С4–Th1 dermatomes 15 min after the block (0 = complete preservation of sensitivity, 1 = moderate decrease in sensitivity, and 2 = complete anesthesia). The development of Horner’s syndrome was recorded (0 = absence and 1 = presence).
After the block, the patient was transferred to the beach-chair position. Oxygen inhalation was provided through the nasal cannula. The level of depth of sedation was evaluated using the Ramsay scale. In emotionally labile patients, propofol was administered intravenously at a rate of 0.5–1 mg/kg per hour to achieve a sedation level of 2–3 points. The used volume of the local anesthetic solution and intraoperative administration of sedating drugs and narcotic analgesics and their dosages were taken into account.
Heart rate (HR) and blood pressure were measured every 5 min using a multifunctional monitor (IntelliVue MP50, Philips, Hamburg, Germany). According to the diagnostic criteria of Song et al. [5], AHB episodes were evaluated as a decrease in HR by at least 30 per minute over a 5-min interval or an HR of less than 50 per minute and/or a decrease in systolic blood pressure by more than 30 mmHg within a 5-min interval or a systolic blood pressure of below 90 mmHg.
Statistical processing was performed using the Statistica 10 software package (StatSoft Inc., Tulsa, USA). The Shapiro–Wilk test determined the normality of distribution. Quantitative variables were presented as the median and interquartile range (25th and 75th percentiles — [Q1; Q3]), average values, and confidence intervals. The Kruskal–Wallis test compared the quantitative variables and the χ2 criterion for categorical variables. The exact Fisher test was used to compare binary variables and with restrictions on the use of the χ2 criterion. Analysis of variance compared the repeated measurement values. The Spearman’s rank correlation coefficient evaluated the relationships between the variables. A p-value of less than 0.05 was considered statistically significant. Post-hoc pairwise comparisons were performed using the Mann–Whitney U test with a significance level of p < 0.017.
Results
After transferring to the beach-chair position, AHB occurred after 13.2 ± 3.7 min in 26 (9%) patients. Moreover, AHB developed significantly (p = 0.000) less frequently in Group 3 compared with that in Groups 1 and 2. When analyzing the dependence of AHB occurrence on the use of US navigation in the general sample, a weak positive correlation was obtained (r = 0.354; p < 0.05; Table 2).
Table 2
Arterial hypotension-bradycardia and anesthetic characteristics
Indicators | Group 1 (n = 23) | Group 2 (n = 70) | Group 3 (n = 195) | р |
Arterial hypotension-bradycardia, n (%) | 10 (43.48) | 15 (21.43)* | 1 (0.51)*† | 0.000 |
IBPB on the right, n (%) | 13 (56.52) | 46 (65.71) | 124 (63.59) | 0.73 |
Volume of local anesthetic, mL | 30 [30; 35] | 30 [28; 34] | 15 [15; 18]*† | 0.000 |
Fentanyl, μg (50/100) | 17/6 | 60/10 | 172/23 | 0.164 |
Initial perfusion index | 1.0 [0.8; 1.8] | 1 [0.7; 1.6] | 0.9 [0.7; 1.5] | 0.33 |
Δ IP after the block | 15 [8.3; 18.3] | 11 [6.6; 15.8] | 8.2 [6.1; 10.3]*† | 0.002 |
Depth of the sensor block: with dermatome of C8 (0/1/2) with dermatome of Th1 (0/1/2) | 0/0/23 0/0/23 | 0/0/70 1/0/70* | 85/106/4*† 98/97/0*† | 0.000 0.000 |
Duration of the sensor block, h | 14 [13; 17] | 13 [11; 15]* | 12 [10; 14]*† | 0.000 |
Horner’s syndrome | 17 (73.91) | 24 (34.29)* | 2 (1.03)*† | 0.000 |
Note. IBPB, interscalene brachial plexus block; Δ PI, increase in perfusion index. * p < 0.017 compared with Group 1. † p < 0.017 compared with Group 2.
There was a statistically significant difference between the groups according to the degree of sensory block in С8 and Th1 dermatomes (p = 0.000) in the absence of a significant difference in the С4–С7 segments. In the general sample, weak correlations between AHB and sensory block were revealed at levels C8 (r = 0.365) and Th1 (r = 0.381; p < 0.05), as well as the relationship between AHB and anesthesia method (r = –0.456; p < 0.05) and the local anesthetic volume (r = 0.435; p < 0.05; Fig. 2).
Fig. 2. The correlation between the local anesthetic volume and arterial hypotension and bradycardia episodes (r = 0.435; p < 0.05; 95% confidence interval)
There was a weak direct correlation between AHB and perfusion index increase after the block (r = 0.448; p < 0.05), as well as between the local anesthetic volume and perfusion index (r = 0.428; p < 0.05).
A statistically significant difference (p = 0.000) between the groups in the used volumes of local anesthetic for the brachial plexus block with the maximum volumes in Group 1 was revealed (Fig. 3). In the post-hoc analysis, the differences were statistically significant between Groups 1 and 3 and between Groups 2 and 3 (p < 0.017).
Fig. 3. Volumes of local anesthetic solutions for brachial plexus block (p < 0.05)
There was no significant difference between groups in terms of the depth of sedation (p = 0.45), volume of infusion (p = 0.16), and use of fentanyl (p = 0.16), diazepam (p = 0.13), and propofol (p = 0.077).
Horner’s syndrome was detected in 44 (15.28%) patients, whereas the syndrome development was registered in 18 patients (78.26%) in Group 1, 24 (34.29%) in Group 2, and 2 (1.03%) Group 3 (p = 0.000). There was a direct average correlation between AHB and Horner’s syndrome (r = 0.684; p < 0.05). When assessing Horner’s syndrome as a predictor of AHB development, the sensitivity and specificity were 92.3% and 92.7%, respectively, and the absolute risk of a positive result was 55.8%. In the absence of Horner’s syndrome, the probability of AHB was 0.078, and the odds ratio was 153.5 (95% confidence interval 33.7–69.9).
The receiver operating characteristic analysis showed that the area under the curve was 0.925 (Fig. 4), which indicates the excellent prognostic quality of the model for assessing the diagnostic significance of Horner’s syndrome in predicting the AHB occurrence.
Fig. 4. Receiver operating characteristic analysis of the prognosis of arterial hypotension-bradycardia in the presence of Horner’s syndrome
When assessing the hemodynamic parameters, a significant difference was noted between the minimum HR levels and mean blood pressure in Groups 1 and 2 compared with that in Group 3 (p < 0.05). In addition, in Group 1, a statistically significant difference was revealed with a positive trend between the initial HR and the HR after laying in the beach-chair position (p < 0.05; Fig. 5).
Fig. 5. Analysis of changes in heart rate and mean arterial pressure in the groups (data are presented as mean and 95% confidence interval). * p < 0.05 compared with Group 3. ** p < 0.05 compared with the baseline. HR, heart rate; MAP, mean arterial pressure
Discussion
In our study, the frequency of AHB was 9% in the total sample, which is 1.5–3 times less than the literature values of 13% to 28% [3, 5, 8]. In our opinion, this is due to a decrease in the volume of local anesthetics and the use of US navigation and neurostimulation. The frequency of AHB in Group 1 was 43.48%, which is 1.5 times more than in the studies of Liguori et al. [3] and Kim et al. [10]. In Group 3, AHB was registered only in 0.51%.
According to a study by Nallam [11], the use of ondansetron reduced AHB from 22.44% to 6.1%, and a study of Liguori [10] found that the prophylactic administration of beta-adrenoreceptor antagonists (5 mg metoprolol) reduced AHB from 28% to 5% (p = 0.004).
One of the triggers of the Bezold–Jarisch reflex is considered to be the initial hypercontractility of the “empty” heart, which can be prevented with beta-adrenoreceptor antagonists [4, 8, 10]. However, the desired effect cannot always be achieved [1]. According to Chierichini et al. [2], the replacement of adrenaline with norepinephrine in irrigation fluid can reduce AHB from 28.4% to 8.3%. In this case, similar volumes of local anesthetics (13.0–18.0 mL) were used in combination with US simulation and neurostimulation. An anesthetic agent was injected into the upper trunk of the brachial plexus or roots of С5–С6, achieving diffusion of the anesthetic to all trunks. According to our data, the intraoperative administration of fentanyl did not affect the incidence of AHB. The same results were obtained by Nallam and Dara [11]. We did not note a statistical difference between right-sided and left-sided access to the brachial plexus, unlike the studies of Seo et al. [6] and Simeoforidou et al. [16].
As a result of our analysis, the dependence of the frequency of Horner’s syndrome on the volume of local anesthetic was revealed, which confirms the opinion of Sukhani [17] on a direct correlation of the volumes of local anesthetics and the frequency of stellate ganglion block. The literature data on the frequency of Horner’s syndrome are ambiguous, and many authors did not reveal any difference when using 20 and 40 mL of local anesthetic for IBPB [18]. In an experiment on cadavers, Feigl et al. [19] found that 30 mL of the stain administered according to the Winnie technique in the interscalene groove spread ventrally and dorsally to the anterior scalene muscle with staining of the sympathetic trunk. Probably, this volume can be considered critical for the development of the sympathetic ganglia block. However, the injection site should also be considered. Thus, Kim et al. [20] revealed that there was no Horner’s syndrome when using 20.0 mL of anesthetic injected with interscalene access, but it developed in 2 (8.3%) of 24 patients with 20.0 mL injected with supraclavicular access.
The data are presented that the development of Horner’s syndrome does not depend on the use of US navigation, a neurostimulator, or a combination thereof in the case of administration of 20.0 mL of local anesthetic [21], but there is a dependence on age. The authors concluded that the combination of US control and neurostimulation is promising, and because of the accuracy of administration, both the volume of anesthetic and the incidence of Horner’s syndrome can be reduced. Our data in Group 3, using dual navigation and targeted selective delivery of local anesthetic, confirm these assumptions.
A further decrease in the volume of local anesthetic is considered inappropriate because of a decrease in the block duration [22]. In our work, we did not reveal a correlation between Horner’s syndrome and age (r = 0.017; p < 0.05). The direct relationship of Horner’s syndrome with AHB (r = 0.684; p < 0.05) confirms the hypothesis of Seo et al. [6] and Song et al. [5] that stellate ganglion block can lead to AHB.
Conclusion
The implementation of the IBPB under US navigation and the use of neurostimulation can reduce the volume of local anesthetic, ensuring its selective targeted delivery, and reduce the incidence of AHB. Horner’s syndrome should be considered an early predictor of the development of AHB episodes.
Additional information
Source of funding. The study was not financially supported.
Conflict of interests. The authors declare no obvious or potential conflicts of interest related to the publication of this article.
Ethical statement. The study was conducted in accordance with the ethical standards of the Helsinki Declaration of the World Medical Association as amended by the Ministry of Health of Russia and approved by the ethics committee of the Saint Petersburg State Pediatric Medical University (protocol No. 12/1 of 12/10/2018). Patient representatives signed an informed consent to participate in the study and published data without identification.
Author contributions
K.S. Trukhin developed the study methodology and design, wrote all sections of the article, and performed data collection and analysis and the literature analysis.
D.V. Zabolotsky developed the study methodology and design and performed stage editing of the article.
V.A. Koryachkin performed stage editing of the article.
O.V. Kuleshov developed the study methodology and design.
K.I. Zakharov, A.A. Cherednichenko, and A.Yu. Kulikov collected and analyzed the data.
All authors made a significant contribution to the research and preparation of the article and read and approved the final version before publication.
About the authors
Konstantin S. Trukhin
Clinic of High Medical Technologies named after N.I. Pirogov, Saint Petersburg University
Author for correspondence.
Email: k_truhin_dok@mail.ru
ORCID iD: 0000-0002-5410-0467
MD, anesthesiologist and intensive care specialist
Russian Federation, 154, Fontanka river emb., Saint Petersburg, 190103Dmitrii V. Zabolotskii
Saint Petersburg State Pediatric Medical University; H. Turner National Medical Research Center for Сhildren’s Orthopedics and Trauma Surgery
Email: k_truhin_dok@mail.ru
ORCID iD: 0000-0002-6127-0798
MD, PhD, D.Sc., Professor, Head of the Chair of Anesthesiology, Intensive Care and Emergency Pediatrics; Senior Research Associate of the Department of Spine Pathology and Neurosurgery
Russian Federation, 2, Litovskay street, Saint-Peterburg, 194100; 64, Parkovaya str., Saint-Petersburg, Pushkin, 196603Viktor A. Koriachkin
Saint Petersburg State Pediatric Medical University
Email: k_truhin_dok@mail.ru
ORCID iD: 0000-0002-3400-8989
MD, PhD, D.Sc., Professor, Department of Anesthesiology, Intensive Care and Emergency Pediatrics
Russian Federation, 2, Litovskay street, Saint-Peterburg, 194100Oleg V. Kuleshov
Clinic of High Medical Technologies named after N.I. Pirogov, Saint Petersburg University; North-Western State Medical University named after I.I. Mechnikov
Email: k_truhin_dok@mail.ru
ORCID iD: 0000-0001-5177-2527
MD, PhD, Head of the Anesthesiology and Intensive Care Department; Associate Professor of the Department of Anesthesiology and Reanimatology
Russian Federation, 154, Fontanka river emb., Saint Petersburg, 190103; 41, Kirochnaya street, Saint-Petersburg, 191015Kirill I. Zakharov
Clinic of High Medical Technologies named after N.I. Pirogov, Saint Petersburg University
Email: k_truhin_dok@mail.ru
ORCID iD: 0000-0003-1440-4308
MD, Orthopedic and Trauma Surgeon of the Traumatology Department
Russian Federation, 154, Fontanka river emb., Saint Petersburg, 190103Andrei A. Сherednichenko
Clinic of High Medical Technologies named after N.I. Pirogov, Saint Petersburg University
Email: k_truhin_dok@mail.ru
ORCID iD: 0000-0002-4290-4206
MD, anesthesiologist and intensive care specialist
Russian Federation, 154, Fontanka river emb., Saint Petersburg, 190103Aleksei Yu. Kulikov
Clinic of High Medical Technologies named after N.I. Pirogov, Saint Petersburg University
Email: k_truhin_dok@mail.ru
ORCID iD: 0000-0003-0130-253X
MD, PhD, anesthesiologist and intensive care specialist
Russian Federation, 154, Fontanka river emb., Saint Petersburg, 190103References
- Kahn RL, Hargett MJ. Beta-adrenergic blockers and vasovagal episodes during shoulder surgery in the sitting position under interscalene block. Anesth Analg Analgesia. 1999;88(2):378-381. https://doi.org/10.1097/00000539-199902000-00029.
- Chierichini A, Frassanito L, Vergari A, et al. The effect of norepinephrine versus epinephrine in irrigation fluid on the incidence of hypotensive/bradycardic events during arthroscopic rotator cuff repair with interscalene block in the sitting position. Arthroscopy. 2015;31(5):800-806. https://doi.org/10.1016/j.arthro. 2015.02.030.
- Kim JH, Song SY, Ryu T, et al. Changes in heart rate variability after sitting following interscalene block. Clin Auton Res. 2015;25(5):327-333. https://doi.org/10.1007/s10286-015-0312-z.
- Tetzlaff JE. Cousins and Bridenbaugh’s neural blockade in clinical anesthesia and pain medicine. Mayo Clin Proc. 2010;85(7):e51. https://doi.org/10.4065/mcp.2010.0230.
- Song SY, Roh WS. Hypotensive bradycardic events during shoulder arthroscopic surgery under interscalene brachial plexus blocks. Korean J Anesthesiol. 2012;62(3):209. https://doi.org/10.4097/kjae.2012.62.3.209.
- Seo KC, Park JS, Roh WS. Factors contributing to episodes of bradycardia hypotension during shoulder arthroscopic surgery in the sitting position after interscalene block. Korean J Anesthesiol. 2010;58(1):38-44. https://doi.org/10.4097/kjae.2010.58.1.38.
- Song SY, Son SH, Kim SO, Roh WS. Intravenous fentanyl during shoulder arthroscopic surgery in the sitting position after interscalene block increases the incidence of episodes of bradycardia hypotension. Korean J Anesthesiol. 2011;60(5):344-350. https://doi.org/10.4097/kjae.2011.60.5.344.
- D’Alessio JG, Weller RS, Rosenblum M. Activation of the Bezold-Jarisch reflex in the sitting position for shoulder arthroscopy using interscalene block. Anesth Analg. 1995;80(6):1158-1162. https://doi.org/10.1097/00000539-199506000-00016.
- Sia S, Sarro F, Lepri A, Bartoli M. The effect of exogenous epinephrine on the incidence of hypotensive/bradycardic events during shoulder surgery in the sitting position during interscalene block. Anesth Analg. 2003;97(2):583-588, table of contents. https://doi.org/10.1213/01.ane.0000070232.06352.48.
- Liguori GA, Kahn RL, Gordon J, et al. The use of metoprolol and glycopyrrolate to prevent hypotensive/bradycardic events during shoulder arthroscopy in the sitting position under interscalene block. Anesth Analg. 1998;87(6):1320-1325. https://doi.org/10.1213/00000539-199812000-00020.
- Nallam SR, Dara S. Effect of intravenous ondansetron on reducing the incidence of hypotension and bradycardia events during shoulder arthroscopy in sitting position under interscalene brachial plexus block: A prospective randomized trial. Indian J Anaesth. 2015;59(6):353-358. https://doi.org/10.4103/0019-5049.158739.
- Conroy PH, Awad IT. Ultrasound-guided blocks for shoulder surgery. Curr Opin Anaesthesiol. 2011;24(6):638-643. https://doi.org/10.1097/ACO. 0b013e32834c155f.
- Gautier P, Vandepitte C, Ramquet C, et al. The minimum effective anesthetic volume of 0.75% ropivacaine in ultrasound-guided interscalene brachial plexus block. Anesth Analg. 2011;113(4):951-955. https://doi.org/10.1213/ANE.0b013e31822b876f.
- Майер Г., Бюттнер Й. Периферическая регионарная анестезия: атлас / под ред. П.Р. Камчатнова. – М.: БИНОМ. Лаборатория знаний, 2010. – 260 с. [Mayer G, Byuttner J. Perifericheskaya regionarnaya anesteziya: atlas. Ed. by P.R. Kamchatnov. Moscow: BINOM. Laboratoriya znaniy; 2010. 260 p. (In Russ.)]
- Патент РФ на изобретение № 2610883/17.02.2017. Бюл. № 5. Трухин К.С., Кулешов О.В., Заболотский Д.В., и др. Способ межлестничной анестезии при артроскопических оперативных вмешательствах на плечевом суставе. [Patent RUS No. 2610883/17.02.2017. Byul. No. 5. Trukhin KS, Kuleshov OV, Zabolotskiy DV, et al. Sposob mezhlestnichnoy anestezii pri artroskopicheskikh operativnykh vmeshatel’stvakh na plechevom sustave. (In Russ.)]
- Simeoforidou M, Vretzakis G, Chantzi E, et al. Effect of interscalene brachial plexus block on heart rate variability. Korean J Anesthesiol. 2013;64(5):432-438. https://doi.org/10.4097/kjae.2013.64.5.432.
- Sukhani R, Barclay J, Aasen M. Prolonged Horner’s syndrome after interscalene block: a management dilemma. Anesth Analg. 1994;79(3):601-603. https://doi.org/10.1213/00000539-199409000-00038.
- Maalouf DB, Dorman SM, Sebeo J, et al. Prospective, randomized double-blind study: does decreasing interscalene nerve block volume for surgical anesthesia in ambulatory shoulder surgery offer same-day patient recovery advantages? Reg Anesth Pain Med. 2016;41(4):438-444. https://doi.org/10.1097/AAP.0000000000000418.
- Feigl G, Fuchs A, Gries M, et al. A supraomohyoidal plexus block designed to avoid complications. Surg Radiol Anat. 2006;28(4):403-408. https://doi.org/10.1007/s00276-006-0113-0.
- Kim BG, Han JU, Song JH, et al. A comparison of ultrasound-guided interscalene and supraclavicular blocks for post-operative analgesia after shoulder surgery. Acta Anaesthesiol Scand. 2017;61(4):427-435. https://doi.org/10.1111/aas.12864.
- Stasiowski M, Zuber M, Marciniak R, et al. Risk factors for the development of Horner’s syndrome following interscalene brachial plexus block using ropivacaine for shoulder arthroscopy: a randomised trial. Anaesthesiol Intensive Ther. 2018;50(3):215-220. https://doi.org/10.5603/AIT.a2018.0013.
- Fredrickson MJ, Abeysekera A, White R. Randomized study of the effect of local anesthetic volume and concentration on the duration of peripheral nerve blockade. Reg Anesth Pain Med. 2012;37(5):495-501. https://doi.org/10.1097/AAP.0b013e3182580fd0.
Supplementary files








