Передний переломовывих в локтевом суставе с параличом локтевого нерва у ребенка 6 лет
- Авторы: Ашар Н.1,2,3, Лиев С.1, Азми Н.2, Йик Р.1, Линэм Р.2, Чен Р.2
-
Учреждения:
- Университет Путра Малайзии
- Больница Серданг
- Технологический университет MARA, Больница Джалан
- Выпуск: Том 8, № 2 (2020)
- Страницы: 207-212
- Раздел: Клинические случаи
- Статья получена: 21.11.2019
- Статья одобрена: 04.02.2020
- Статья опубликована: 01.07.2020
- URL: https://journals.eco-vector.com/turner/article/view/17721
- DOI: https://doi.org/10.17816/PTORS17721
- ID: 17721
Цитировать
Аннотация
Обоснование. Передний переломовывих в локтевом суставе встречается редко, особенно у детей. Из всех представленных в литературе клинических случаев задние переломовывихи в локтевом суставе составили 75 %. Описание случаев передних вывихов в локтевом суставе публикуют редко, их частота составляет менее 2 %.
Клиническое наблюдение. Девочка 6 лет поступила в отделение скорой помощи с деформацией в области локтевого сустава и болью после того, как она споткнулась и упала в туалете. Отмечены симптом «когтеобразной кисти» и снижение чувствительности по ходу локтевого нерва. Рана отсутствовала, пульсация сосудов и кровообращение дистальнее повреждения были хорошими. На рентгенограмме выявлен передний вывих в левом локтевом суставе с переломом локтевого отростка. Попытка закрытого устранения вывиха была неуспешной. Под общей анестезией проведено открытое устранение вывиха с чрескожной фиксацией спицей Киршнера. Использован медиальный доступ к локтевому суставу. Интраоперационно обнаружено, что локтевой нерв был ущемлен дистальным фрагментом локтевой кости, но целостность нерва была сохранена. Поперечный перелом локтевого отростка фиксирован двумя спицами Киршнера, выполнена репозиция головки лучевой кости. Осуществлена мобилизация лучевого нерва до исчезновения натяжения. Восстановлена локтевая коллатеральная связка. Локтевой сустав иммобилизован с помощью лонгеты. Симптом «когтеобразной кисти» исчез через 2 нед. Перелом зажил, и спицы Киршнера были удалены через 6 нед. Через 8 нед движения в локтевом суставе восстановились в полном объеме. Локтевой сустав был стабилен при варусном и вальгусном стресс-тестах.
Обсуждение. Передний переломовывих в локтевом суставе относится к высокоэнергетическим травмам, поэтому необходимо помнить о возможности повреждения нервов и сосудов. В литературе отсутствуют четкие рекомендации относительно оперативного доступа. Для ревизии локтевого нерва и фиксации локтевого отростка мы выбрали медиальный доступ.
Заключение. К лечению этого редкого повреждения необходимо подходить с крайней осторожностью. Хирургический доступ необходимо выбирать с учетом нестабильности локтевого сустава и состояния сосудисто-нервных структур. Так, в описанном случае наблюдалась заднемедиальная нестабильность с параличом локтевого нерва.
Ключевые слова
Полный текст
Травматический вывих в локтевом суставе в детском возрасте встречается редко — составляет лишь 3–6 % всех повреждений локтевого сустава у детей [1]. Обычно он сопровождается переломами, хотя представлены сообщения об изолированных вывихах. Из всех опубликованных клинических случаев три четверти составили задние вывихи в локтевом суставе. Среди других подтипов вывихов, которые встречаются реже, различают передний, медиальный, латеральный, конвергентный и дивергентный [2]. Количество исследований вывихов локтевого сустава в педиатрии очень невелико, и большинство из них представляют собой описания клинических случаев редких типов вывихов и осложнений. О передних вывихах в локтевом суставе пишут редко, их распространенность составляет менее 2 % [3–6]. Авторы приводят описание клинического случая переднего переломовывиха в локтевом суставе с параличом локтевого нерва у шестилетней девочки.
Клиническое наблюдение
Здоровая девочка 6 лет получила травму левого локтевого сустава после того, как споткнулась и упала в туалете. Она была сразу же доставлена родителями в отделение скорой помощи. Клинически отмечались отек и деформация левого локтевого сустава. Ран или фликтен не было. Наблюдался симптом «когтеобразной кисти» с пониженной чувствительностью по ходу локтевого нерва. Однако пульсация на плечевой артерии и артериях дистальнее травмы присутствовала. Каких-либо других повреждений обнаружено не было.
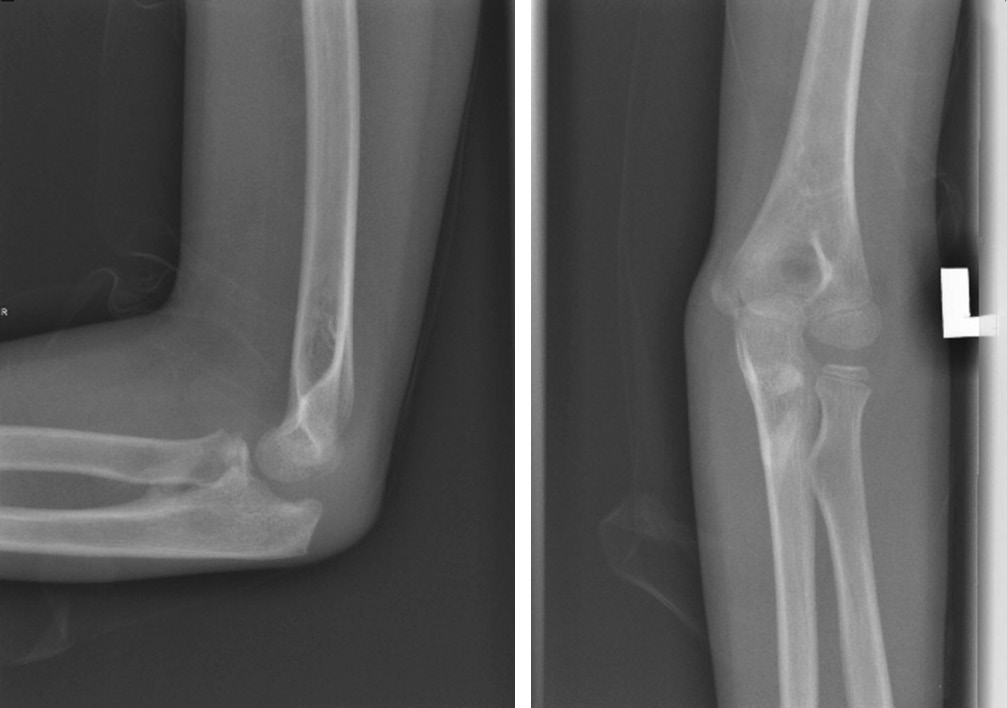
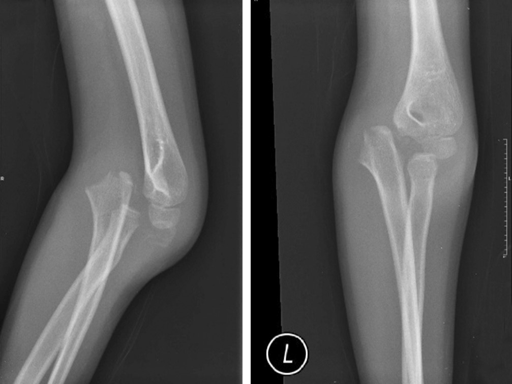
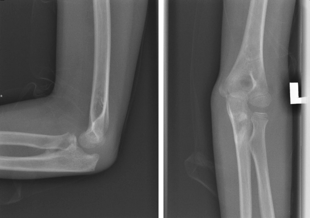
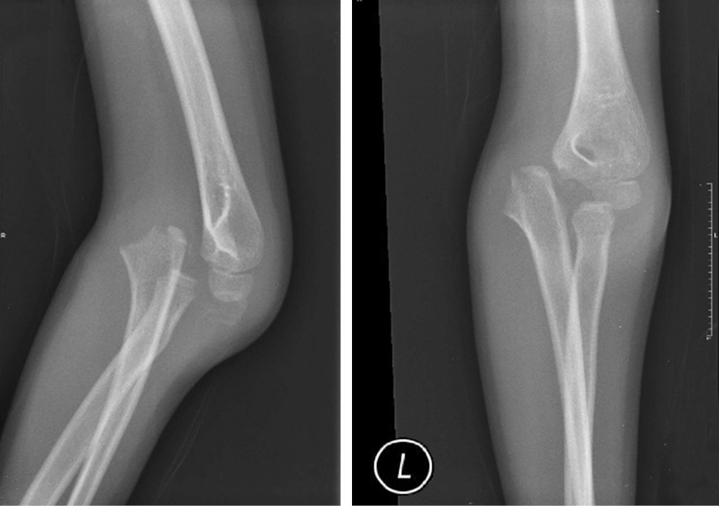
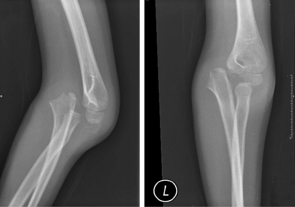
На обзорной рентгенограмме левого локтевого сустава выявлен передний вывих с переломом локтевого отростка (рис. 1). Примерно через два часа после травмы в отделении скорой помощи была предпринята попытка закрытого ручного устранения вывиха, которая оказалась неуспешной. Приблизительно через 6 ч после травмы под общей анестезией выполнено открытое устранение вывиха с чрескожной фиксацией спицей Киршнера. Для ревизии локтевого нерва и репозиции перелома выбран медиальный доступ. Интраоперационно обнаружено ущемление локтевого нерва дистальным фрагментом локтевой кости несколько дистальнее борозды медиального мыщелка. Нерв был натянут, его цвет казался слегка бледным, но целостность была не нарушена. Лучевой нерв был мобилизован проксимально и дистально до исчезновения натяжения. Перелом локтевого отростка произошел в области метафиза, при этом отломок кости был прикреплен в метаэпифизарной зоне, что соответствовало перелому II типа по Salter-Harris. Для репозиции выполнена осторожная контролируемая тракция за локоть. Перелом фиксирован двумя параллельными спицами Киршнера, репозиция головки лучевой кости была спонтанной. Полностью разорванная медиальная коллатеральная связка была восстановлена с помощью рассасывающейся нити 5/0. Интраоперационно оценена стабильность: локтевой сустав был стабилен в супинации, пронации, сгибании и разгибании. После репозиции и восстановления мягких тканей определялась хорошая пульсация на плечевой, лучевой и локтевой артериях. С помощью лонгеты локтевой сустав иммобилизован под углом 90° с предплечьем в положении супинации (рис. 2).
Рис. 1. Обзорная рентгенограмма левого локтевого сустава, на которой виден передний вывих в локтевом суставе с сопутствующим переломом локтевого отростка
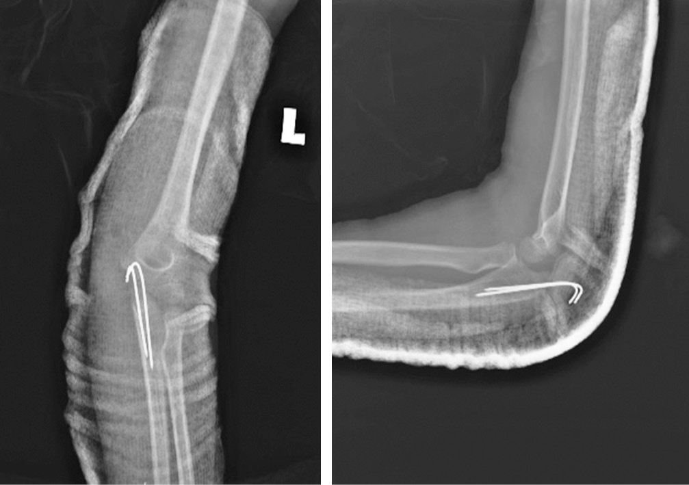
Рис. 2. Обзорная рентгенограмма левого локтевого сустава после операции. Вывих устранен, для стабилизации перелома локтевого отростка установлены спицы Киршнера
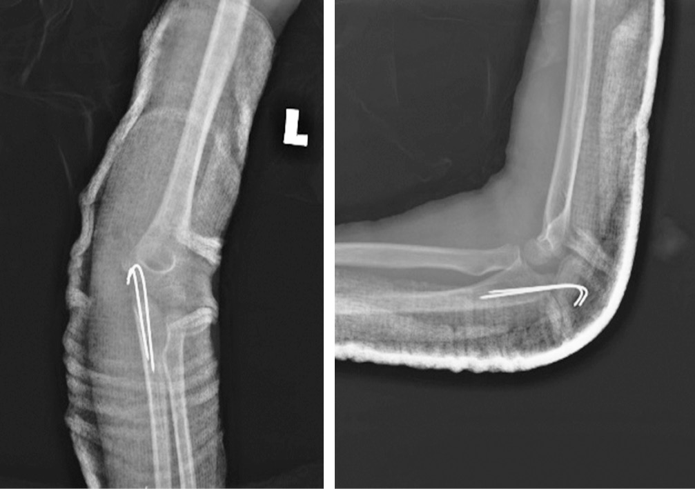
Онемение безымянного пальца и мизинца уменьшилось через неделю после операции. Симптом «когтеобразной кисти» исчез через 2 нед. Перелом зажил, и спицы Киршнера были удалены через 6 нед. (рис. 3). Осторожные пассивные движения в локтевом суставе начаты через 4 нед. с последующим присоединением активных движений через 6 нед. после операции. Лонгета была снята через 6 нед. Через 8 нед. был достигнут полный объем движений в локтевом суставе. Отмечена стабильность локтевого сустава при варусном и вальгусном стресс-тестах. Пациентка смогла вернуться к своей повседневной деятельности, и в данный момент находится под наблюдением с осмотром раз в 3 мес. (рис. 4).
Рис. 3. Перелом сросся через 6 нед. после операции
Рис. 4. Объем движений в локтевом суставе через 8 нед. после операции: а — сгибание; б — разгибание; в — супинация; г — пронация
Обсуждение
Вывих в локтевом суставе в детском возрасте встречается нечасто. Пик заболеваемости приходится на период между 10–15 годами, когда начинает закрываться зона роста [7]. Передний вывих в локтевом суставе происходит редко из-за сильного стабилизирующего действия плечелоктевого сустава и позадилежащих мягкотканных структур, то есть трехглавой мышцы плеча и заднего отдела капсулы [8].
Причиной переднего вывиха может стать прямое воздействие на заднюю поверхность предплечья при нахождении локтевого сустава в полусогнутом положении, при этом кончик локтевого отростка отрывается вблизи места прикрепления трехглавой мышцы плеча [1, 9, 10]. Это было видно во время интраоперационной ревизии.
По данным литературы, в педиатрии 75 % вывихов локтевого сустава ассоциировано с повреждением локтевого сустава, при этом в 24 % случаев это не было выявлено на первичной рентгенограмме [7]. Частыми сопутствующими повреждениями являются отрыв медиального надмыщелка, отрыв локтевого отростка, перелом венечного отростка, перелом медиального и латерального мыщелков, перелом головки и шейки лучевой кости. Ошибочная интерпретация результатов обзорной рентгенографии может привести к отсрочке адекватного лечения. Костно-хрящевые фрагменты или незамеченные отрывы могут стать причиной неадекватной репозиции и повторного смещения. В связи с этим в подозрительных или нерепонируемых случаях целесообразно выполнить магнитно-резонансную томографию.
Согласно данным литературы наибольшему риску повреждения при вывихе в локтевом суставе с переломом медиального надмыщелка подвержен срединный нерв, затем локтевой нерв [5]. Повреждение локтевого нерва при переднем вывихе нехарактерно. В представленном случаев было обосновано проведение открытой репозиции с ревизией локтевого нерва, поскольку закрытое устранение было безуспешным и присутствовали признаки сдавления локтевого нерва. Четких рекомендаций по оперативному доступу и хирургической технике в литературе нет. Мы выбрали медиальный доступ к локтевому суставу для устранения вывиха, а также ревизии локтевого нерва. Linscheid и Wheeler [3] предложили транспозицию локтевого нерва при открытом вправлении, но мы сочли это ненужным, поскольку нерв не был серьезно поврежден, и оставили его на месте без натяжения.
Публикаций о нестабильности связочного аппарата при вывихах локтевого сустава у детей крайне мало. Передний вывих в данном случае был направлен кпереди и медиально, при этом мы обнаружили, что медиальная коллатеральная связка была полностью разорвана. Для восстановления медиальной стабильности связки были сшиты. Не существует единого мнения о продолжительности иммобилизации сустава после репозиции. Необходим баланс между стабильностью и контрактурой локтевого сустава.
При вывихах локтевого сустава велик риск сосудистых повреждений, особенно при открытой травме [11, 12]. Большое значение имеет тщательная ревизия дистального кровообращения, поскольку повреждение интимы сосудистой стенки или тромбоз могли проявиться намного позже.
Заключение
Передний вывих в локтевом суставе с параличом локтевого нерва у детей встречается крайне редко. Очень важно не пропустить сопутствующее повреждение локтевого сустава. Благодаря ранней диагностике, раннему лечению и правильному планированию операции возможно добиться хорошего исхода и предотвратить осложнения.
Дополнительная информация
Источник финансирования. Отсутствует.
Конфликт интересов. Авторы заявляют об отсутствии явных или потенциальных конфликтов интересов, связанных с публикацией этой статьи.
Этическая экспертиза. Пациент и родители предоставили информированное согласие на публикацию этого клинического случая.
Вклад авторов
H.А.К. Ашар — концепция исследования, написание рукописи и сбор информации.
С.К. Лиев — концепция исследования, написание рукописи и решающая проверка важного интеллектуального содержания, обеспечение точности и целостности работы.
H.C. Азми, Р. Линэм, Р.А. Чен — существенный вклад в концепцию и разработку плана статьи, сбор информации и анализ.
Р.Д.К. Йик — решающая проверка научного содержания и анализ.
Все авторы внесли существенный вклад в проведение исследования и подготовку статьи, прочли и одобрили финальную версию перед публикацией.
Об авторах
Нур Айуни Кирул Ашар
Университет Путра Малайзии; Больница Серданг; Технологический университет MARA, Больница Джалан
Email: ayuni.kashar@gmail.com
ORCID iD: 0000-0003-3556-0721
аспирант, врач отделения ортопедии, факультета медицины и здравоохранения
Малайзия, Серданг, Селангор; Джалан Пучонг, Селангор; СелангорСиев Кеи Лиев
Университет Путра Малайзии
Автор, ответственный за переписку.
Email: kheils@upm.edu.my
ORCID iD: 0000-0003-4419-1382
хирург-ортопед отделения кисти и реконструктивной микрохирургии факультета медицины и здравоохранения
Малайзия, Серданг, СелангорНур Сьяхирах Азми
Больница Серданг
Email: syahirahazmi90@gmail.com
ORCID iD: 0000-0002-4057-3749
врач отделения ортопедии
Малайзия, Джалан Пучонг, СелангорРеймонд Дье Киат Йик
Университет Путра Малайзии
Email: rayyeak@yahoo.com
ORCID iD: 0000-0001-8232-5359
хирург-ортопед отделения спортивной хирургии отделения ортопедии, факультет медицины и здравоохранения
Малайзия, Серданг, СелангорРахул Линэм
Больница Серданг
Email: silverseraph15@yahoo.com
ORCID iD: 0000-0002-0546-3077
доктор медицины, врач отделения ортопедии
Малайзия, Джалан Пучонг, СелангорРайми Адам Чен
Больница Серданг
Email: hadoken86@gmail.com
Scopus Author ID: 0000-0003-0362-521X
доктор медицины, врач отделения ортопедии
Малайзия, Джалан Пучонг, СелангорСписок литературы
- Wilkins KE. Fractures and dislocations of the elbow region. In: Fractures in children. 4th ed. Vol. 3. Ed. by C.A. Rockwood, K.E. Wilkins, R.E. King. Philadelphia: Lippincott-Raven; 1996. P. 653-887.
- Dharmshaktu G, Singhal A, Khan I. Elbow dislocation in a 3 year old child: a report of a rare injury. Int J Contemp Pediatrics. 2015:254-256. https://doi.org/10.18203/2349-3291.ijcp20150539.
- Linscheid RL. Elbow Dislocations. JAMA. 1965;194(11):1171. https://doi.org/10.1001/jama.1965. 03090240005001.
- Josefsson PO, Nilsson BE. Incidence of elbow dislocation. Acta Orthop Scand. 2009;57(6):537-538. https://doi.org/10.3109/17453678609014788.
- Neviaser JS, Wickstrom JK. Dislocation of the elbow: a retrospective study of 115 patients. South Med J. 1977;70(2):172-173. https://doi.org/10.1097/00007611-197702000-00013.
- Roberts PH. Dislocation of the elbow. Br J Surg. 1969;56(11):806-815. https://doi.org/10.1002/bjs. 1800561103.
- Kaziz H, Naouar N, Osman W, Ayeche M. Outcomes of paediatric elbow dislocations. Malays Orthop J. 2016;10(1):44-49. https://doi.org/10.5704/MOJ.1603.008.
- Pokharel B, Gyawali GP, Pokharel R. Irreducible anterior dislocation of the elbow without associated fracture. J Nepal Med Assoc. 2013;52(190). https://doi.org/10.31729/jnma.2120.
- Aroojis A, Narula V, Sanghvi D. Pure medial elbow dislocation without concomitant fracture in a 10-year-old child. Indian J Orthop. 2018;52(6):678-681. https://doi.org/10.4103/ortho.IJOrtho_534_17.
- Kumar R, Sekhawat V, Sankhala SS, Bijarnia I. Anterior dislocation of elbow joint-case report of a rare injury. J Orthop Case Rep. 2014;4(3):16-18. https://doi.org/10.13107/jocr.2250-0685.186.
- Kailash S, Shanmuganathan S. Anterior dislocation of elbow with neurovascular injury: a rare case report. J Orthop Case Rep. 2017;7(1):91-94. https://doi.org/10.13107/jocr.2250-0685.704.
- Hyvonen H, Korhonen L, Hannonen J, et al. Recent trends in children’s elbow dislocation with or without a concomitant fracture. BMC Musculoskelet Disord. 2019;20(1):294. https://doi.org/10.1186/s12891-019-2651-8.
Дополнительные файлы
















