Атрофическое несращение на фоне тяжелого остеолиза лучевой кости у здорового ребенка: успешная экстренная операция. Лечение с применением аллотрансплантата малоберцовой кости и аутологичных факторов роста у детей
- Авторы: Приано Д.1, Д’Эррико М.1, Перетто Л.2, Мемео А.2
 - 
							Учреждения: 
							
- Миланский университет
 - Институт Дж. Пини
 
 - Выпуск: Том 8, № 4 (2020)
 - Страницы: 461-466
 - Раздел: Клинические случаи
 - Статья получена: 27.04.2020
 - Статья одобрена: 21.09.2020
 - Статья опубликована: 09.01.2021
 - URL: https://journals.eco-vector.com/turner/article/view/33929
 - DOI: https://doi.org/10.17816/PTORS33929
 - ID: 33929
 
Цитировать
Аннотация
Обоснование. Переломы предплечья — самые распространенные переломы у детей и подростков, и чаще они встречаются у мальчиков, чем у девочек. За последние 20 лет с увеличением частоты операций повысилась и частота осложнений, в том числе количество случаев несращений, которые считают крайне редкими и тяжелыми у детей. В данной статье описано успешное лечение поздно диагностированного атрофического несращения предплечья с тяжелым остеолизом с использованием аллотрансплантата малоберцовой кости и аутологичных факторов роста у ранее здорового 4-летнего ребенка.
Клиническое наблюдение. Мальчик, 4 года, поступил с обширным костным дефектом. Биопсия костной ткани была отрицательна на синдром Горхема – Стоута, выявлена реактивная костная ткань с аномальной васкуляризацией, некротическими костно-хрящевыми фрагментами и гигантскими мононуклеарными клетками. В ходе других лабораторных исследований никаких изменений обнаружено не было, поэтому все причины детского остеолиза были исключены. Пациент уже перенес несколько операций по поводу этого перелома. Нами было проведено дополнительное хирургическое лечение. В итоге удалось добиться хорошего результата благодаря использованию аутотрансплантата малоберцовой кости с факторами роста костного мозга и стабилизацией спицами Киршнера. Через 28 мес. при контрольном обследовании у пациента были зарегистрированы полная консолидация несращения, а также отсутствие нейроваскулярной и суставной недостаточности.
Обсуждение. Несращение у детей встречается редко и поэтому трудно поддается диагностике и лечению. Поскольку в ходе всех исследований основные причины несращения были исключены, данную патологию удалось устранить с помощью методов, обычно применяемых у взрослых пациентов, при этом особое внимание уделяли зонам роста.
Заключение. Хотя описанный случай единичный, хотелось бы подчеркнуть важность ранней диагностики, а также сложность исключения некоторых педиатрических причин потери костной массы и осложнений, связанных с неправильным диагнозом и/или лечением. Было показано, что использование костного аллотрансплантата и аутологичных факторов роста у ребенка, перенесшего несколько операций, может привести к хорошим результатам.
Ключевые слова
Полный текст
Переломы предплечья — самые распространенные переломы у детей и подростков, чаще встречаются у мальчиков, чем у девочек [1–3]. Переломы предплечья, включая дистальную часть лучевой и локтевой кости, составляют до 36–45 % всех переломов у детей и подростков [4]. Согласно результатам недавних исследований, вероятно, частота переломов дистального отдела лучевой кости у детей растет вследствие интенсификации занятий спортом и расширением культурно-оздоровительных мероприятий среди детей и подростков [5, 6]. С 2000 по 2009 г. частота переломов предплечья у детей увеличилась в 4 раза, а частота хирургического лечения — с 13,3 % в 2000 г. до 52,7 % в 2008 г. [7].
До 1980-х гг. в литературе не сообщалось ни об одном случае несращения у детей. Фактически несращение всегда считали следствием серьезных ошибок в лечении. Тем не менее в статьях начала 90-х гг. несращение также не упоминается как возможное осложнение переломов дистального отдела лучевой кости у детей [8]. Однако за последние 20 лет увеличение количества показаний к хирургическому вмешательству привело к увеличению числа осложнений, следовательно, возросла частота случаев несращения, считающегося у детей крайне редким и тяжелым [6–9]. Таким образом, можно назвать следующие факторы риска несращения у детей: возраст старше 10 лет; мужской пол; высокий индекс массы тела и высокоэнергетическая травма; открытый перелом; костный дефект; табакокурение; продолжительность и вид хирургического вмешательства; сердечно-сосудистые заболевания; нейрофиброматоз [6–9]. Помимо периода роста ребенка факторами, также способствующими несращению диафиза длинных костей у детей, являются обширное ятрогенное повреждение мягких тканей, повреждение надкостницы и недостаточная фиксация перелома или недостаточный период иммобилизации (<8 нед.) [10]. Относительную большую толщину кортикального слоя костей, малый объем костного мозга и слабую васкуляризацию локтевой кости следует отнести к анатомическим механическим факторам риска несращения переломов предплечья. Это одно из наиболее опасных осложнений данной анатомической области [10].
Для постановки окончательного диагноза и выбора оптимального метода лечения важно составить полное представление о зоне несращения. С этой целью, помимо рентгенологического обследования, целесообразно выполнять компьютерную томографию или магнитно-резонансную томографию. Эти исследования помогают также исключить причины вторичного остеолиза, такие как атрофия, альгодистрофия, остеомиелит, асептический некроз или идиопатический остеолиз. Классификация идиопатического остеолиза по Хардеггеру (Hardegger) включает наследственный многоцентровой остеолиз с доминантной или рецессивной передачей, ненаследственный многоцентровой остеолиз с нефропатией, синдром Горхема – Стоута (Gorham-Stout) и синдром Винчестера (Winchester).
Синдром Горхема – Стоута исключить труднее всего, поскольку в 57 % случаев он ассоциирован с травмой в анамнезе [11]. Данный синдром проявляется остеолизом кости или прилегающей области кости, расположенной близко к очагу, может быть затронут и сустав. При этом редком заболевании неизвестной этиологии остеолиз начинается с разрастания сосудистых структур, происходящих из костной ткани, что вызывает разрушение костного матрикса. Это патологическое состояние может возникать в любом возрасте, но, как правило, встречается у детей и молодых людей [12]. Синдром Горхема – Стоута — это диагноз исключения, для подтверждения которого необходимо сочетание клинических, радиологических и гистопатологических данных [13]. На рентгенограмме присутствуют рентгенопрозрачный очаг в интрамедуллярной или подкорковой области пораженной кости с медленно прогрессирующей атрофией, растворением, фрагментацией и исчезновением части кости с последующим концентрическим сужением оставшейся костной ткани («вид тающего леденца»), а также атрофия окружающих мягких тканей. При микроскопическом исследовании наблюдается незлокачественная пролиферация сосудов с анастомозированием, тонкостенными лимфатическими сосудами и/или капиллярами в окружении фиброзной стромы, проходящей между остаточными костными трабекулами [13]. В отдельных случаях костный дефект и несращение можно лечить консервативно с использованием лечебной физкультуры или без нее. Чаще всего при этом заболевании приходится прибегать к хирургическому лечению (с применением различных методов), особенно при олиготрофическом, атрофическом или септическом несращении, например, если во время последующего наблюдения отмечается прогрессирующее смещение перелома у детей старше 10 лет [6].
Приводим данные успешного лечения атрофического несращения предплечья на фоне тяжелого остеолиза с использованием аллотрансплантата малоберцовой кости и аутологичных факторов роста у ранее здорового 4-летнего ребенка, которого впоследствии наблюдали в течение 5 лет.
Клиническое наблюдение
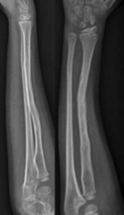
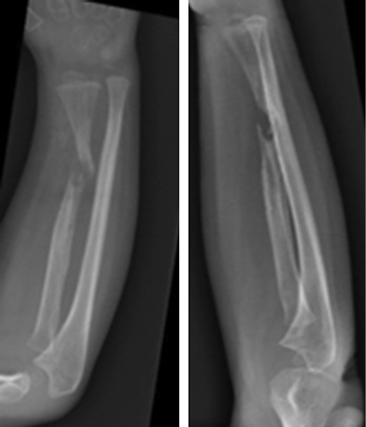
В декабре 2014 г. в отделение неотложной помощи поступил 4-летний мальчик после травмы правого предплечья с деформацией, болью и потерей функций, но без раны и без нейроваскулярной недостаточности. Установлен диагноз: «дистальный диафизарный перелом правой лучевой кости». Сломанная конечность была иммобилизована гипсовой повязкой. В январе 2015 г. появились признаки консолидации и гипс сняли. Через месяц после новой незначительной травмы пациент снова поступил в отделение неотложной помощи с диагнозом повторного перелома, но в этом случае у него был выявлен перелом со смещением дистальной трети правой лучевой кости (рис. 1).
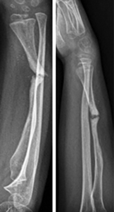
Рис. 1. Повторный перелом через 3 мес.
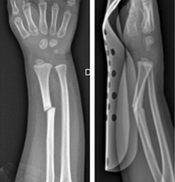
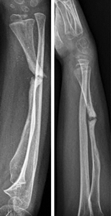
При хирургическом лечении были использованы спицы Киршнера, но во время операции произошло осложнение в виде ятрогенного продольного перелома, который был синтезирован проволочным серкляжем. Примерно через 3 мес. после операции, хотя на рентгенограмме были незначительные признаки консолидации кости, металл был удален и предплечье было иммобилизовано новой повязкой (рис. 2).
Рис. 2. На рентгенограмме незначительные признаки консолидации кости, но металл был удален и предплечье иммобилизовано новой гипсовой повязкой
В июне 2015 г. были отмечены признаки местной резорбции кости в области переломов, и в связи с подозрением на синдром Горхема – Стоута проведены магнитно-резонансная томография и консультация со специалистом по редким заболеваниям (рис. 3).
Рис. 3. В области переломов — признаки локальной резорбции кости
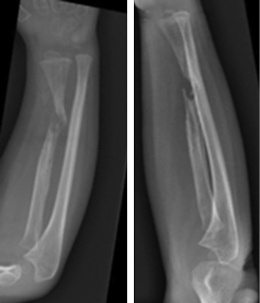
Была выполнена биопсия кости, и по заключению двух разных итальянских центров синдром Горхема – Стоута был исключен, так как выявлены реактивная костная ткань с аномальной васкуляризацией, некротические костно-хрящевые фрагменты и гигантские мононуклеарные клетки. Несмотря на то что пациент поступил в нашу больницу с этими результатами, было решено повторить биопсию, и исключение синдрома Горхема – Стоута было подтверждено. После этого провели дополнительные лабораторные исследования и консультации с большим количеством специалистов, чтобы исключить все причины, которые могли привести к обширному остеолизу. Спустя 11 мес. после последней травмы произведена новая операция на месте перелома с иссечением ткани и имплантированием аутологичного трансплантата малоберцовой кости с факторами роста костного мозга. Трансплантат стабилизирован спицами Киршнера (рис. 4).
Рис. 4. Рентгенограмма до и после иссечения ткани, аутологичная малоберцовая кость с костномозговыми факторами роста, аутотрансплантат стабилизирован интрамедуллярной спицей Киршнера
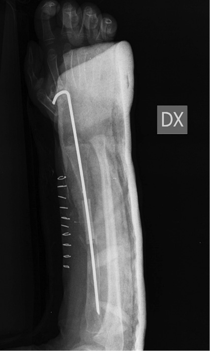
Через 10 дней после выписки из больницы пациент вновь обратился в отделение неотложной помощи с нарастающей болью в ноге, откуда была получена кость. Установлен диагноз местной гематомы, вызванной поражением межкостной артерии. В связи с этим проведена экстренная сосудистая операция для дренирования гематомы и закрытия поражения артерии. В феврале 2016 г., всего через 10 дней после последней операции, у пациента снова появилась боль в ноге. Было решено обратиться за советом в другой институт, в котором диагностировали псевдоаневризму пораженной артерии, по поводу которой проведена новая экстренная сосудистая операция. Между тем рентген не показал консолидации трансплантата в предплечье. После неудачи повторного введения факторов роста костного мозга в декабре 2016 г. выполнена новая операция с санацией очага несращения и трансплантацией трупной кости с фактором роста костного мозга, стабилизированной спицами Киршнера (рис. 5, 6).
Рис. 5. Отсутствие на рентгенограмме консолидации аутологичной малоберцовой кости
Рис. 6. Рентгенограмма после санации очага несращения и трупный костный трансплантат с костномозговым фактором роста, стабилизированный спицами Киршнера
Клинически, как и по данным рентгенологического исследования, у пациента наблюдалось местное улучшение. Спустя 6 мес. после последней трансплантации спица Киршнера была удалена. При контрольном осмотре через 28 мес. у пациента зарегистрированы полная консолидация начального участка несращения, отсутствие нейроваскулярной недостаточности и суставной недостаточности. Больного можно считать выздоровевшим (рис. 7, 8).
Рис. 7. Рентгенограмма после удаления спицы Киршнера через 28 мес. после травмы
Рис. 8. Клиническая картина через 28 мес. после травмы
Обсуждение
В представленном случае пациента сначала лечили консервативными методами с наложением гипса, а затем методами открытой репозиции и интрамедуллярной фиксации. J.H. Yeo et al. отмечают, что несращение редко встречается у детей младше 8 лет. Этот случай особенно интересен с учетом того, что несращение закрытого перелома дистального отдела лучевой кости явление чрезвычайно редкое и в литературе представлено мало исследований среди детей [5]. Мы не располагаем доказательствами, но можем полагать, что лечение изначально было ненадлежащим. Фактически, согласно De Raet et al. [3], первая причина несращения почти всегда является ятрогенной из-за неправильного метода лечения, поскольку здоровая кость у детей всегда заживает при консервативном лечении. Согласно Pedrazzini et al. потеря репозиции и неправильное сращение отмечают после недостаточной закрытой репозиции и неудовлетворительной иммобилизации гипсовой повязкой [14]. На момент обращения в нашу больницу у пациента уже был обширный остеолиз лучевой кости, и рентгенологическая картина соответствовала синдрому Горхема – Стоута [12, 13]. По мнению N.D. Choma et al., исключить этот синдром не просто, поэтому была проведена вторая биопсия, которая еще раз подтвердила отсутствие синдрома Горхема – Стоута. Эндокринологические и генетические исследования также исключили причины вторичного остеолиза [5, 12, 15]. Поскольку общепризнано, что несращение у детей связано с патологическим состоянием кости или сосудов [16], мы рассматривали этот случай как атрофическое несращение, хотя это заболевание встречается крайне редко и трудно поддается лечению в детском возрасте [6].
Атрофия костей и множественные хирургические вмешательства создают серьезные проблемы для ревизионной операции. Известно, что для реконструкции конечности с серьезным костным дефектом и укорочением кости необходимо точное планирование [3, 5, 10, 17]. Kwa et al. описали несращение дистального отдела лучевой кости, хотя лечение проводилось исключительно при помощи костной пластики и наложения гипса [8]. В нашем исследовании для ускорения заживления кости использовали факторы роста в сочетании с костным аутотрансплантатом без васкуляризации, как предлагали в 2008 г. Rampoldi et al. [18]. Более того, согласно C.C. Bray et al [19], аутологичный костный трансплантат обладает лучшим остеоиндуктивным и остеокондуктивным потенциалом. Хорошим остеоиндуктивным потенциалом обладают и аутологичные факторы роста [19, 20]. Частота сращений составляет почти 90 % в случае травматических дефектов крупной кости при несосудистой трансплантации малоберцовой кости [20, 21]. Недостатком трансплантации малоберцовой кости являются осложнения на донорском участке, такие как инфекция, нестабильность голеностопного сустава, вальгусная деформация голеностопного сустава и редкие стрессовые переломы большеберцовой кости [20, 21]. В нашем случае произошло еще одно осложнение — псевдоаневризма, по поводу которой проведено экстренное хирургическое лечение. По окончании лечения донорский участок зажил с полным восстановлением функций. Поскольку консолидация отсутствовала, была проведена вторая операция с использованием аллотрансплантата, стабилизированного спицами Киршнера. Это лечение позволило восстановить область повреждения и функцию пораженной верхней конечности.
Заключение
Приведенный случай подчеркивает важность ранней диагностики и правильного раннего лечения для предупреждения более серьезных осложнений. Несращение у детей встречается редко и трудно поддается лечению, поэтому необходимо проводить раннюю диагностику и своевременное лечение. Необходимо также исключить все причины потери костной массы у ребенка, такие как синдром Горхема – Стоута и другие идиопатические остеолизы. После нескольких лет лечения и операций пациент удовлетворен диапазоном движений и отсутствием боли. Хотя в статье описан единичный случай, можно предположить, что использование костного аллотрансплантата и аутологичных факторов роста у ребенка, перенесшего несколько операций, позволит получить отличные результаты. Кроме того, после нескольких операций следует обращать внимание на осложнения как на месте основного вмешательства, так и на донорском участке.
Дополнительная информация
Источник финансирования. Исследование не имело спонсорской поддержки.
Конфликт интересов. Авторы заявляют об отсутствии конфликта интересов.
Этическая экспертиза. У законных представителей нашего пациента было получено информированное согласие на публикацию данных.
Вклад авторов
Даниэле Приано, Марио Д’Эррико, Антонио Мемео — концепция и дизайн исследования, сбор, анализ и интерпретация данных, подготовка первоначальной рукописи, редактирование и утверждение окончательного варианта рукописи перед подачей.
Лаура Перетто — сбор данных, подготовка первоначальной рукописи, обзор, редактирование и утверждение окончательного варианта рукописи перед подачей.
Все авторы внесли существенный вклад в проведение исследования и подготовку статьи, прочли и одобрили финальную версию перед публикацией.
Об авторах
Даниэле Приано
Миланский университет
														Email: daniele.priano@gmail.com
				                	ORCID iD: 0000-0002-5123-4478
				                																			                								
ординатор
Италия, МиланМарио Д’Эррико
Миланский университет
							Автор, ответственный за переписку.
							Email: orto.derrico@gmail.com
				                					                																			                								
ординатор
Италия, МиланЛаура Перетто
Институт Дж. Пини
														Email: laura.peretto@gmail.com
				                	ORCID iD: 0000-0001-5664-3687
				                																			                								
хирург-ортопед, отделение детской ортопедии
Италия, МиланАнтонио Мемео
Институт Дж. Пини
														Email: antonio.memeo@asst-pini-cto.it
				                					                																			                								
хирург-ортопед, заведующий отделением детской ортопедии
Италия, МиланСписок литературы
- Song KS, Lee SW, Bae KC, et al. Primary nonunion of the distal radius fractures in healthy children. J Pediatr Orthop B. 2016;25(2):165-169. https://doi.org/10.1097/BPB.0000000000000257.
 - Saini P, Meena S, Shekhawat V, Kishanpuria TS. Nonunion of forearm fracture: A rare instance in a toddler. Chin J Traumatol. 2012;15(6):379-381. https://doi.org/10.3760/cma.j.issn.1008-1275.2012.06.015.
 - De Raet J, Kemnitz S, Verhaven E. Nonunion of a pediatric distal radial metaphyseal fracture following open reduction and internal fixation: A case report and review of the literature. Eur J Trauma Emerg Surg. 2008;34(2): 173-176. https://doi.org/10.1007/s00068-007-6168-8.
 - Lyons RA, Delahunty AM, Kraus D, et al. Children’s fractures: A population based study. Inj Prev. 1999;5(2):129-132. https://doi.org/10.1136/ip.5.2.129.
 - Yeo JH, Jung ST, Kim MC, Yang HY. Diaphyseal nonunion in children. J Orthop Trauma. 2018;32(2):e52-e58. https://doi.org/10.1097/BOT.0000000000001029.
 - Di Gennaro GL, Stilli S, Trisolino G. Post-traumatic forearm nonunion in healthy skeletally immature children: A report on 15 cases. Injury. 2017;48(3):724-730. https://doi.org/10.1016/j.injury.2017.01.023.
 - Sinikumpu JJ, Lautamo A, Pokka T, Serlo W. The increasing incidence of paediatric diaphyseal both-bone forearm fractures and their internal fixation during the last decade. Injury. 2012;43(3):362-366. https://doi.org/10.1016/j.injury.2011.11.006.
 - Kwa S, Tonkin MA. Nonunion of a distal radial fracture in a healthy child. J Hand Surg. 2016;22(2):175-177. https://doi.org/10.1016/s0266-7681(97)80056-3.
 - Zura R, Kaste SC, Heffernan MJ, et al. Risk factors for nonunion of bone fracture in pediatric patients: An inception cohort study of 237,033 fractures. Medicine (Baltimore). 2018;97(31):e11691. https://doi.org/10.1097/MD.0000000000011691.
 - Memeo A, Verdoni F, De Bartolomeo O, et al. A new way to treat forearm post-traumatic non-union in young patients with intramedullary nailing and platelet-rich plasma. Injury. 2014;45(2):418-423. https://doi.org/10.1016/j.injury.2013.09.021.
 - Hardegger F, Simpson LA, Segmueller G. The syndrome of idiopathic osteolysis. Classification, review, and case report. J Bone Joint Surg Br. 1985;67(1):88-93. https://doi.org/10.1302/0301-620X.67B1.3968152.
 - El-Kouba G, de Araújo Santos R, Pilluski PC, et al. Gorham-Stout syndrome: Phantom bone disease. Rev Bras Ortop. 2010;45(6):618-622. https://doi.org/10.1016/s2255-4971(15)30313-x.
 - Zacharia B, Chundarathil J, Meethal KC, et al. Gorham’s disease of the fibula: A case report. J Foot Ankle Surg. 2009;48(3):347-352. https://doi.org/10.1053/j.jfas. 2009.01.004.
 - Pedrazzini A, Bastia P, Bertoni N, et al. Distal radius nonunion after epiphyseal plate fracture in a 15 years old young rider. Acta Biomed. 2018;90(1-S):169-174. https://doi.org/10.23750/abm.v90i1-S.7999.
 - Choma ND, Biscotti CV, Bauer TW, et al. Gorham’s syndrome: A case report and review of the literature. Am J Med. 1987;83(6):1151-1156. https://doi.org/10.1016/0002-9343(87)90959-4.
 - Cannata G, De Maio F, Mancini F, Ippolito E. Physeal fractures of the distal radius and ulna: Long-term prognosis. J Orthop Trauma. 2003;17(3):172-179; discussion 179-180. https://doi.org/10.1097/00005131-200303000-00002.
 - Zhen P, Lu H, Gao MX, et al. Successful management of atrophic nonunion of a severely osteoporotic femoral shaft in a child. J Pediatr Orthop B. 2012;21(6):592-595. https://doi.org/10.1097/BPB.0b013e328352d546.
 - Rampoldi M, Palombi D, Artale AM, Marsico A. Pseudartrosi dell’avambraccio: Sintesi interna rigida e innesto osseo autologo. Giot. 2008;34:77-85.
 - Bray CC, Walker CM, Spence DD. Orthobiologics in pediatric sports medicine. Orthop Clin North Am. 2017;48(3):333-342. https://doi.org/10.1016/j.ocl. 2017.03.006.
 - Fioravanti C, Frustaci I, Armellin E, et al. Autologous blood preparations rich in platelets, fibrin and growth factors. Oral Implantol (Rome). 2015;8(4):96-113. https://doi.org/10.11138/orl/2015.8.4.096.
 - Thevarajan K, Teo P. Free non-vascularized fibular graft for treatment of pediatric traumatic radial bone loss: A case report. Malays Orthop J. 2013;7(2):37-40. https://doi.org/10.5704/MOJ.1307.003.
 
Дополнительные файлы
				
			
						
					
						
									



























