Trochanteric epiphysiodesis in complex treatment of children with hip pathology: analysis of preliminary results
- Authors: Pozdnikin I.Y.1, Baskov V.E.1, Barsukov D.B.1, Bortulev P.I.1, Kostomarova E.A.1, Imomov K.D.1
-
Affiliations:
- H. Turner National Medical Research Center for Children’s Orthopedics and Trauma Surgery
- Issue: Vol 8, No 3 (2020)
- Pages: 249-258
- Section: Original Study Article
- Submitted: 29.04.2020
- Accepted: 15.07.2020
- Published: 06.10.2020
- URL: https://journals.eco-vector.com/turner/article/view/33942
- DOI: https://doi.org/10.17816/PTORS33942
- ID: 33942
Cite item
Abstract
Background. The relative overgrowth of the greater trochanter is one of the most common deformities of the proximal femur in association with several disorders of the hip joint.
Aim. To analyze the dynamics of proximal femoral growth after trochanteric epiphysiodesis as well as to determine the options for using this method in the complex treatment of children with hip pathology.
Materials and methods. We analyzed the data of clinical and radiological examinations and surgical treatment (permanent trochanteric epiphysiodesis with metal fixation) outcomes for 43 (52 joints) patients aged 4–12 years with a developing high position of the greater trochanter.
Results. The surgery enabled slowing down of the growth of the greater trochanter on the side of intervention by (average) 50% (p < 0.05), although the values of the neck-shaft angle both on the affected side and the side opposite to it did not change (p < 0.05).
Conclusion. In moderate disorders of the growth plate of the femoral head epiphysis, trochanteric epiphysiodesis can prevent the progression and, in some cases, correct disturbed ratios of the hip joint, thereby avoiding the need for larger surgical interventions.
Full Text
Disturbance in the growth zones of the femoral neck and head, which results in the formation of the so-called relative overgrowth of the greater trochanter, is one of the most common disorders of the hip joint [1–3]. This condition also leads to gait impairment due to gluteal muscle dysfunction, limited hip joint movement, trochanteric-pelvic impingement, and coxarthrosis [2–5]. An expectant management is currently used as treatment of such deformities of the proximal femur. To treat disorders of the hip joint in children aged 10–13 years, the classical variants of corrective osteotomies and Veau–Lamy transposition of the greater trochanter are employed [6–8]. However, in international literature, preference is given to methods that immediately eliminate the causes of extra- and intra-articular impingement syndrome to prevent the development and progression of coxarthrosis in young adults [9].
In recent years, minimally invasive techniques have been developed for controlled correction of deformities by influencing the bone growth zone, taking into account the natural growth potential in children. These techniques have proven their efficiency and are increasingly used in pediatric orthopedics, particularly in the correction of angular deformities and asymmetry of the lower extremities [10–13]. Foreign studies reported about trochanteric epiphysiodesis in patients with Perthes disease after performing a corrective varus osteotomy of the femur to prevent a high position of the greater trochanter. The authors have noted a statistically significant increase in the range of motion and muscle strength [14–18].
In Russian literature, no study has reported about trochanteric epiphysiodesis performed alone or in combination with surgical treatments of children in order to prevent progression and to treat impaired relationships in the hip joint in the form of an emerging high position of the greater trochanter by affecting its growth zone. According to the literature and our own experience, the high position of the greater trochanter is most often associated with avascular necrosis of the femoral head, following conservative treatment of congenital hip dislocation, as well as with septic arthritis [1, 3, 8].
The work aimed to investigate the growth dynamics of the proximal femur after trochanteric epiphysiodesis and to determine treatment options in children with hip joint pathology.
Materials and methods
In this study, we examined and treated 43 (52 joints) patients aged 4–12 years with a developing high position of the greater trochanter caused by various hip joint disorders. All patients presented changes in the structure of the bone tissues of the femoral head and neck, corresponding to types II–IV ischemic lesions according to the Kalamchi classification.
The patients were distributed according to nosology: (1) patients with avascular necrosis of the femoral head (complications of conservative treatment of hip dysplasia and congenital hip dislocation) (n = 21, 48.8%), (2) patients with hematogenous osteomyelitis (septic arthritis) (n = 12, 27.9%), and (3) patients with Perthes disease with total epiphysis lesion (n = 10, 23.3%).
Of the 43 patients, 27 were girls (62.8%) and 16 were boys (37.2%). The follow-up period ranged from 6 to 39 months. The average patient age at the time of surgery was 8.7 ± 2.4 years. All patients (52 joints) underwent trochanteric epiphysiodesis as surgical treatment. In 31 cases, trochanteric epiphysiodesis was performed alone, and in 21 cases, it was combined with reconstructive interventions (i.e., Salter iliac pelvic osteotomy and triple pelvic osteotomy) on the pelvic component of the joint.
In this study, we performed permanent trochanteric epiphysiodesis, i.e., fixation was performed using an eight-shaped plate with screws or a cortical screw with a washer.
The inclusion criteria were as follows: emerging deformities of the proximal femur with a high position of the greater trochanter, in which its apex was located above the center of the femoral head but below its superior pole; changes in the structure of the femoral neck, accompanied by its shortening; functioning growth zone of the greater trochanter at the time of intervention; and patients without surgical treatment history.
The exclusion criteria were as follows: hip dislocation upon examination; patients with varus deformity of the femoral neck (neck–shaft angle <120°), torsional deformity of the femur that impairs the stability of the hip joint; patients with complications of surgical interventions, trauma, rickets, and rheumatoid arthritis; and patients with neurological disorders and systemic skeletal dysplasias.
Examination methods included clinical examination (complaint assessment, history taking) as well as X-ray examination. Data obtained were processed using statistical methods, including the assessment of the arithmetic mean (M) and standard error of the mean (m). Intragroup analysis was performed using the nonparametric Wilcoxon test with a probability of type I error <5% (p < 0.05).
Clinical examination
In this study, the clinical presentation in the sample was not noticeable, since the patients had no disorders in hip joint stability. In patients who were allowed axial load on the lower extremities (except for children with Perthes disease), gait disturbance in the form of mild lameness on the affected limb was noted, and there were minimal or no complaints at all. A typical clinical manifestation in unilateral lesions was limb shortening (0.6 ± 0.4 cm), but the range of motion in the hip joint was normal. A weakly positive Trendelenburg symptom was detected in nine (20.9%) children.
X-ray examination
To analyze anatomical changes in the proximal femur, radiographic parameters characterizing the ratio of the femoral head and greater trochanter in the frontal plane were studied using frontal (anteroposterior) radiographs of the pelvis with neutral rotation of the extremities. These parameters were as follows: (a) articulotrochanteric distance (ATD), which is the distance from the greater trochanter apex to the upper pole of the femoral head (mm); (b) trochanter-to-trochanter distance (TTD), which is the distance from the greater trochanter apex to the middle of the lesser trochanter along the line parallel to the anatomical axis of the femur (this indicator reflects the growth of the greater trochanter and does not depend on the growth of the epiphysis); and (c) lesser trochanter-to-articular surface distance, which reflects the growth of the epiphysis and femoral neck and does not depend on the growth of the greater trochanter. Calculations were performed using Philips Intelli Space PACS DCX v.3.2 program according to the method described by Pozdnikin et al. [1].
Indications for surgical treatment
Anatomical factors were considered an indication of surgery when the frontal radiograph of the hip joints showed that the apex of the greater trochanter is higher than the center of the femoral head, but it still did not exceed the level of its upper pole, the growth zones of the greater trochanter and epiphysis are not affected, and the neck–shaft angle was not <120°.
In 31 cases, only trochanteric epiphysiodesis was performed. If a deficiency in femoral head coverage was found (degree of bone coverage less than 3/4; Wiberg angle ≤10°), in addition to trochanteric epiphysiodesis, reconstruction of the pelvic component, i.e., Salter iliac osteotomy of the pelvis or triple pelvic osteotomy, was performed (21 joints). In patients with Perthes disease, pelvic osteotomy was performed to ensure the principle of containment treatment in the formation of extrusion hip subluxation. Cases where the greater trochanter apex was located above the level of the upper pole of the head with negative ATD values, neck–shaft angles not less than 120°, limited femoral abduction, and positive Trendelenburg symptom that causes gait disturbance, were considered indications of Veau-Lamy transposition of the greater trochanter and/or corrective osteotomy of the femur. These cases were excluded from the study.
Surgical technique
When performing trochanteric epiphysiodesis in combination with pelvic osteotomy, a lateral angular approach to the hip joint between the m. tensor fascia lata and m. gluteus medius was employed. If trochanteric epiphysiodesis was performed alone, a 4–5 cm linear incision of the skin and subcutaneous tissue was made along the lateral surface of the thigh in the projection of the greater trochanter. Immediately above the growth zone of the greater trochanter, the deep fascia of the thigh was dissected linearly, and the m. vastus lateralis was dissected crosswise. The growth zone of the greater trochanter was then exposed. A bone autograft (10 × 10 mm in size and 1.5–2.0 mm thick) was collected using a chisel or an oscillating saw from the femoral shaft at the border of the bone mass of the greater trochanter and the metaphysis of the femur along the lateral surface. The growth zone of the greater trochanter was destroyed using a 2.5-mm drill from the lateral, anterior, and posterior-lateral surfaces of the femur to a depth of 5–10 mm without reaching the trochanteric fossa. The autograft obtained was placed in the formed diastasis.
To exclude displacement of the greater trochanter, adherence to bed rest, or use of ambulation support in the postoperative period, before the destruction of the growth zone, the greater trochanter was fixed to the femur using an eight-shaped plate with screws or a cortical screw with a washer. The eight-shaped plate was installed from the lateral surface of the hip, and the cortical screw was inserted from the superior lateral parts of the greater trochanter toward the lesser trochanter parallel to the intertrochanteric line of the femur (Figs. 1, 2) [19].
Fig. 1. Radiographs of patient U (7 years old) diagnosed with congenital dislocation of the right hip, condition after conservative treatment, and residual developmental hip dysplasia. Complications of aseptic necrosis of the femoral head include femoral neck shortening, formation of Kalamchi type II deformity, and high position of the greater trochanter: a, at 4 months old; b, at 1 year old; c, d, at 7 years old, before surgery; e, immediately after iliac pelvic osteotomy and trochanteric epiphysiodesis on the right
Fig. 2. Radiographs of patient G (4 years old) diagnosed with complications of septic arthritis of the hip joint, emerging high position of the greater trochanter on the right, and multiplanar deformity of the femoral neck with eccentric growth of the epiphysis posteriorly: a, b, before surgery; c, immediately after trochanteric epiphysiodesis on the right
In the postoperative period, after trochanteric epiphysiodesis, dosed walking without support was allowed 3–5 days after the surgery.
Results
Treatment results were monitored up to 39 months after surgery. The clinical presentation after surgery did not essentially change. The severity of lameness and Trendelenburg symptom did not increase. No complications were noted in any case. In the follow-up period, signs of partial synostosis at the level of the growth zone of the greater trochanter and formation of bone “bridges” occurred 2–4 months after epiphysiodesis. Considering the relatively low growth rates of the greater trochanter, we analyzed the medium-term radiological results of treatment of 13 patients. These patients had unilateral lesions, had not undergone hip joint interventions, and had a follow-up period of at least 12 months. The opposite intact hip joint was used to compare the parameters. Thus, there were 13 affected and intact hip joints in our sample. Table presents X-ray indicators characterizing the proximal femur.
Average values of the radiological parameters of the intact and affected hip joints before surgery and 12–39 months after surgery
Parameters | Hip joints | |||
Before surgery | 12–39 months after surgery | |||
Affected | Intact | Affected | Intact | |
ATD (M ± SD), mm | 10.01 ± 5.84 | 16.07 ± 5.09** | 11.35 ± 6.88 | 15.58 ± 4.99 |
TTD (M ± SD), mm | 41.19 ± 4.48 | 40.74 ± 5.77 | 46.26 ± 2.68* | 50.74 ± 6.92 |
LTA (M ± SD), mm | 51.20 ± 7.63 | 56.80 ± 7.63 | 57.61 ± 7.98* | 66.32 ± 6.96 |
NSA (M ± SD), deg. | 135.20 ± 3.56 | 138.60 ± 9.96 | 133.40 ± 5.73 | 136.80 ± 8.93 |
Note. ATD, distance from the greater trochanter apex to the upper pole of the femoral head; TTD, distance from the greater trochanter apex to the middle of the lesser trochanter along the line parallel to the anatomical axis of the femur; LTA, distance from the lesser trochanter to the upper pole of the femoral head; NSA, neck–shaft angle; * significant differences in TTD and LTA indices in the affected hip joints before and after surgery (p < 0.05); ** significant differences in the ATD index in the affected side and intact side (p < 0.05).
The normal growth of the greater trochanter over the follow-up period was calculated in millimeters as the difference between the TTD value at the start and end of follow-up in the healthy hip joint.
Growth retardation of the greater trochanter was calculated in millimeters and the difference between the TTD of the healthy hip joint (normal growth) and on the affected side over the postoperative follow-up period was presented as percent.
The table shows that the initial ATD value on the affected side was significantly less than that on the intact side (p < 0.05). Over the follow-up period, values of the ATD parameters in the main and control groups almost remained unchanged. Differences between the indicators also did not change, that is, no progressive displacement of the greater trochanter apex in relation to the superior pole of the head was noted. In addition, the mean values of the normal growth of the greater trochanter (TTD index) for the intact and affected joints did not differ initially, that is, the condition of the greater trochanter on the affected side did not progress. During the postoperative follow-up period, the TTD index increased by 10.0 ± 5.5 mm in the healthy hip joint and by 5.08 ± 4.1 mm in the affected hip joint. Thus, based on the changes in the TTD index, surgical treatment slowed the growth of the greater trochanter by 49.3% (p < 0.05). The neck–shaft angle during the follow-up period did not fundamentally change on both the affected and intact sides, with differences in dynamics by no more than 0.9% (p > 0.05) (Fig. 3).
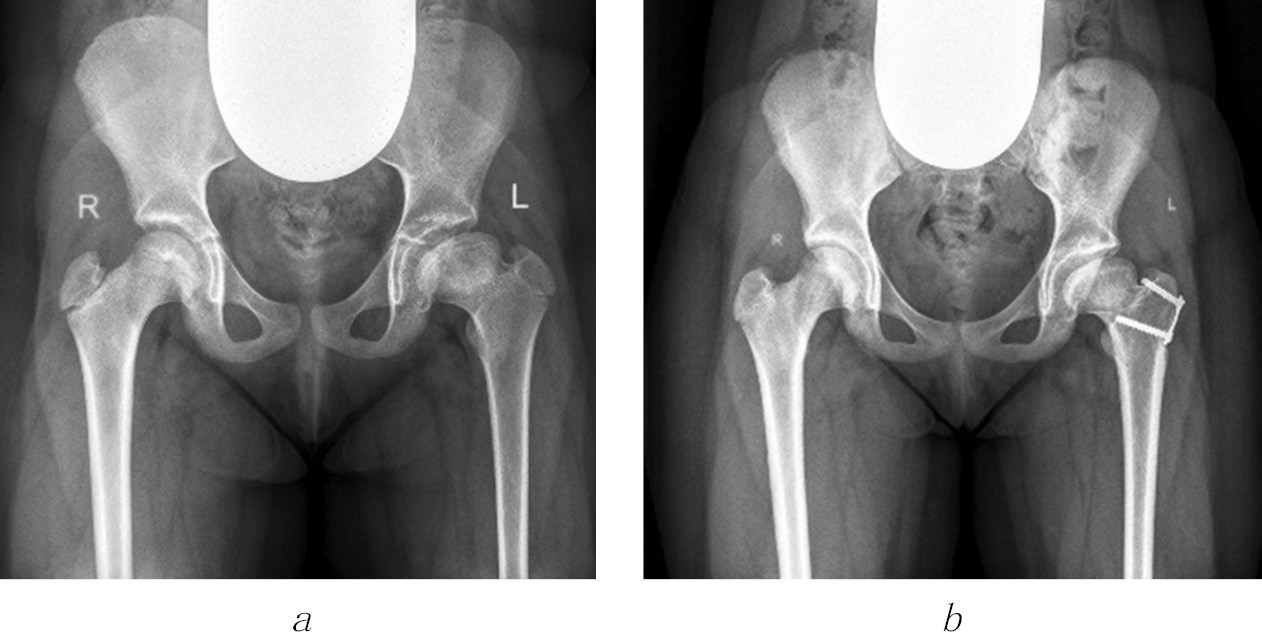
Fig. 3. Radiographs of patient K (9 years old) diagnosed with Perthes disease on the left side but was in the recovery stage: a, before surgery; b, 2.5 years after the trochanteric epiphysiodesis on the left
Discussion
A high position of the greater trochanter is one of the main problems of proximal femur residual deformities. Such disorders develop after avascular necrosis of the proximal femur of types II–IV according to the Kalamchi classification. The problem is characterized not only with impaired growth of the femoral neck but also with growth imbalance, that is, abnormal anatomical relationships between the femoral head, femoral neck, and greater trochanter. This condition causes weakening of the gluteal muscles due to the convergence of their attachment points and, accordingly, gait disturbance. Further reduction in the distance between the greater trochanter and the ilium leads to limited hip abduction and rotation, development of trochanteric-pelvic impingement, and pain [1, 20–23].
Within the framework of this work, we intended to focus on the risk for a high position of the greater trochanter and to determine factors influencing this process. In our opinion, the expectant management accepted currently in relation to these disorders and surgery by greater trochanter transposition after 10–13 years are not optimal for many reasons.
- The convergence of the attachment points of the gluteal muscles leads to a gradual decrease in their length and strength. After transposition of the greater trochanter, overstretching of the gluteal muscles will affect their function negatively.
- Intermittent trauma to the cartilaginous edge of the acetabulum caused by the greater trochanter base with its relative overgrowth contributes to the progression of coxarthrosis.
- After several years, the patient will have a pathological gait stereotype associated with a change in the hip joint biomechanics.
- Reconstructive surgery involving osteotomy of the greater trochanter or femur is traumatic and accompanied by prolonged exclusion of the axial load on the extremity in the postoperative period.
Blocking the growth zone of the greater trochanter was first introduced by Langenskiöld and Salenius in 1967 [24]. Recent foreign literature provides single publications on this problem, describing the treatment of children with Perthes disease [14–18]. In particular, Matan et al. and Kwon et al. performed both trochanteric epiphysiodesis and corrective (varus) osteotomy of the femur to prevent the above disorders [15, 25]. In general, the effectiveness of slowing the growth of the greater trochanter in children with Perthes disease remains controversial [13, 26].
Surgery has two major effects on the growth zone of the greater trochanter: complete destruction of the growth zone and inhibition of function (temporary blocking). According to our experience and literature review, the normal growth rate of the greater trochanter is approximately 2 mm per year [1, 16]. Moreover, the general growth of the greater trochanter and changes in the TTD index occur not only due to its growth zone, but also due to its appositional formation, from the center of the cartilaginous trochanter to the periphery. Our data show that trochanteric epiphysiodesis can slow down its growth by approximately 50%, which is consistent with the literature [18, 24]. In this regard, temporary trochanteric epiphysiodesis even in growth disorders of the femoral neck will not provide appropriate corrective effect [27]. In our opinion, in preschool children with mild and moderate disorders, the maximum effect can be obtained by permanent epiphysiodesis, while maintaining the function of the epiphyseal plate.
Further investigation of the problem will help in developing clearer indications of this low-traumatic intervention. Thus, development and progression of impaired relations in the hip joint are prevented, and in some cases, correction is attained, and the need for major surgical interventions, such as greater trochanter transposition or corrective osteotomy of the hip, is avoided.
Research limitations
- Patients had short follow-up period after surgical treatment. Comprehensive information can be obtained by monitoring the patient until the end of growth.
- For more accurate assessment of changes, each nosological group should include a large number of patients, and analysis should be done by age groups.
Conclusion
Permanent epiphysiodesis of the greater trochanter can slow down its growth by an average of 50%. Compared with temporary epiphysiodesis, permanent epiphysiodesis helps obtain the required effect in a short time without waiting for the dynamic stress on the screws of the eight-shaped plate. Fixation of the greater trochanter with a cortical screw and a washer compresses its growth zone immediately during the intervention. When trochanteric epiphysiodesis was performed according to the technique described, no significant changes in the neck–shaft angle were found during the follow-up period. Apparently, this is due to the absence of intraoperative damage to the vessels in the trochanteric fossa of the femur, since the growth zone was destroyed by the drill to a depth without reaching the trochanteric fossa.
Additional information
Source of funding. The work was conducted within the framework of the State assignment of the Ministry of Health of the Russian Federation No. АААА-А18-118122690158-2.
Conflict of interests. The authors declare no conflict of interest.
Ethical statement. The study was performed in accordance with the ethical standards of the Declaration of Helsinki of the World Medical Association, as amended by the Ministry of Health of Russia, and approved by the ethical committee of the H. Turner National Medical Research Center for Children’s Orthopedics and Trauma Surgery (protocol No. 20-1, dated 04/27/2020). Patient’s representatives signed an informed consent for the publication of data without identification of personality.
Author contributions
I.Yu. Pozdnikin developed the concept and design of the study, collected and analyzed the data, analyzed the literature, performed surgical treatment of patients, and wrote all sections of the article.
V.E. Baskov, D.B. Barsukov, and P.I. Bortulev performed staged editing of the article and performed surgery.
E.A. Kostomarova and Kh.D. Imomov collected and processed the material.
All authors have made significant contributions to the research and preparation of the article and have read and approved the final version before its publication.
About the authors
Ivan Y. Pozdnikin
H. Turner National Medical Research Center for Children’s Orthopedics and Trauma Surgery
Author for correspondence.
Email: pozdnikin@gmail.com
ORCID iD: 0000-0002-7026-1586
SPIN-code: 3744-8613
MD, PhD, Research Associate of the Department of Hip Pathology
Russian Federation, Saint PetersburgVladimir E. Baskov
H. Turner National Medical Research Center for Children’s Orthopedics and Trauma Surgery
Email: drbaskov@mail.ru
ORCID iD: 0000-0003-0647-412X
MD, PhD, Head of the Department of Hip Pathology
Russian Federation, Saint PetersburgDmitry B. Barsukov
H. Turner National Medical Research Center for Children’s Orthopedics and Trauma Surgery
Email: dbbarsukov@gmail.com
ORCID iD: 0000-0002-9084-5634
MD, PhD, Senior Research Associate of the Department of Hip Pathology
Russian Federation, Saint PetersburgPavel I. Bortulev
H. Turner National Medical Research Center for Children’s Orthopedics and Trauma Surgery
Email: pavel.bortulev@yandex.ru
ORCID iD: 0000-0003-4931-2817
MD, Research Associate of the Department of Hip Pathology
Russian Federation, Saint-PetersburgEkaterina A. Kostomarova
H. Turner National Medical Research Center for Children’s Orthopedics and Trauma Surgery
Email: pozdnikin@gmail.com
ORCID iD: 0000-0002-6898-3213
MD, PhD student of the Department of Hip Pathology
Russian Federation, Saint-PetersburgKhisrav D. Imomov
H. Turner National Medical Research Center for Children’s Orthopedics and Trauma Surgery
Email: Kh.Imomov90@mail.ru
ORCID iD: 0000-0001-5025-7689
MD, PhD student of the Department of Hip Pathology
Russian Federation, Saint-PetersburgReferences
- Поздникин И.Ю., Басков В.Е., Барсуков Д.Б., и др. Гипертрофия большого вертела и вертельно-тазовый импинджмент-синдром у детей (причины формирования, рентгеноанатомическая характеристика) // Ортопедия, травматология и восстановительная хирургия детского возраста. – 2019. – Т. 7. – № 3. – С. 15–24. [Pozdnikin IY, Baskov VE, Barsukov DB, et al. Relative overgrowth of the greater trochanter and trochanteric-pelvic impingement syndrome in children: causes and x-ray anatomical characteristics. Pediatric traumatology, orthopaedics and reconstructive surgery. 2019;7(3):15-24. (In Russ.)]. https://doi.org/10.17816/PTORS7315-24.
- Schneidmueller D, Carstens C, Thomsen M. Surgical treatment of overgrowth of the greater trochanter in children and adolescents. J Pediatr Orthop. 2006;26(4):486-490. https://doi.org/10.1097/01.bpo. 0000226281.01202.94.
- Соколовский О.А., Ковальчук О.В., Соколовский А.М., и др. Формирование деформаций проксимального отдела бедра после аваскулярного некроза головки у детей // Новости хирургии. – 2009. – Т. 17. – № 4. – С. 78–91. [Sokolovskiy OA, Koval’chuk OV, Sokolovskiy AM, et al. Formirovanie deformatsiy proksimal’nogo otdela bedra posle avaskulyarnogo nekroza golovki u detey. Novosti khirurgii. 2009;17(4):78-91. (In Russ.)]
- Kelikian AS, Tachdjian MO, Askew MJ, Jasty M. Greater trochanteric advancement of the proximal femur: a clinical and biomechanical study. Hip. 1983:77-105.
- Stevens PM, Coleman SS. Coxa breva: its pathogenesis and a rationale for its management. J Pediatr Orthop. 1985;5(5):515-521.
- Фридланд М.О. Ортопедия. – М.: Медгиз, 1954. – 361 с. [Fridland MO. Ortopediya. Moscow: Medgiz; 1954. 361 p. (In Russ.)]
- Оперативная хирургия с топографической анатомией детского возраста / под ред. Ю.Ф. Исакова, Ю.М. Лопухина. – М.: Медицина, 1977. [Operativnaya khirurgiya s topograficheskoy anatomiey detskogo vozrasta. Ed. by Y.F. Isakov, Y.M. Lopukhin. Moscow: Meditsina; 1977. (In Russ.)]
- Краснов А.И. Многоплоскостные деформации проксимального отдела бедренной кости у детей и подростков после консервативного лечения врожденного вывиха бедра (диагностика, лечение) // Травматология и ортопедия России. – 2002. – № 3. – С. 80–83. [Krasnov AI. Mnogoploskostnye deformatsii proksimal’nogo otdela bedrennoy kosti u detey i podrostkov posle konservativnogo lecheniya vrozhdennogo vyvikha bedra (diagnostika, lechenie). Travmatologiia i ortopediia Rossii. 2002;(3):80-83. (In Russ.)]
- Leunig M, Ganz R. The evolution and concepts of joint-preserving surgery of the hip. Bone Joint J. 2014;96-B(1):5-18. https://doi.org/10.1302/0301-620X. 96B1.32823.
- Stevens PM. Guided growth for angular correction: a preliminary series using a tension band plate. J Pediatr Orthop. 2007;27(3):253-259. https://doi.org/10.1097/BPO.0b013e31803433a1.
- Моренко Е.С., Кенис В.М. Коррекция осевых деформаций коленного сустава у детей методом управляемого роста (обзор литературы) // Ортопедия, травматология и восстановительная хирургия детского возраста. – 2016. – Т. 4. – № 1. – С. 57–62. [Morenko ES, Kenis VM. Guided growth for correction of axial deformities of the knee in children: a literature review. Pediatric traumatology, orthopaedics and reconstructive surgery. 2016;4(1):57-62. (In Russ.)]. https://doi.org/10.17816/PTORS4157-62.
- Корж Н.А., Хмызов С.А., Корольков А.И., и др. Метод временного блокирования зон роста при лечении деформаций нижних конечностей у детей // Ортопедия, травматология и протезирование. – 2013. – № 2. – С. 114–121. [Korzh NA, Khmyzov SA, Korol’kov AI, et al. Metod vremennogo blokirovaniya zon rosta pri lechenii deformatsiy nizhnikh konechnostey u detey. Ortop Travmatol Protez. 2013;(2):114-121. (In Russ.)]
- Burghardt RD, Herzenberg JE. Temporary hemiepiphysiodesis with the eight-plate for angular deformities: mid-term results. J Orthop Sci. 2010;15(5):699-704. https://doi.org/10.1007/s00776-010-1514-9.
- Gage JR, Cary JM. The effects of trochanteric epiphyseodesis on growth of the proximal end of the femur following necrosis of the capital femoral epiphysis. J Bone Joint Surg Am. 1980;62(5):785-794.
- Matan AJ, Stevens PM, Smith JT, Santora SD. Combination trochanteric arrest and intertrochanteric osteotomy for Perthes’ disease. J Pediatr Orthop. 1996;16(1):10-14. https://doi.org/10.1097/00004694-199601000-00003.
- McCarthy JJ, Weiner DS. Greater trochanteric epiphysiodesis. Int Orthop. 2008;32(4):531-534. https://doi.org/10.1007/s00264-007-0346-5.
- Shah H, Siddesh ND, Joseph B, Nair SN. Effect of prophylactic trochanteric epiphyseodesis in older children with Perthes’ disease. J Pediatr Orthop. 2009;29(8):889-895. https://doi.org/10.1097/BPO.0b013 e3181c1e943.
- Stevens PM, Anderson LA, Gililland JM, Novais E. Guided growth of the trochanteric apophysis combined with soft tissue release for Legg-Calve-Perthes disease. Strategies Trauma Limb Reconstr. 2014;9(1):37-43. https://doi.org/10.1007/s11751-014-0186-y.
- Патент РФ на изобретение № 2676400/ 16.08.2017. Бюл. № 1. Поздникин И.Ю. Способ коррекции роста большого вертела при хирургическом лечении детей с некрозом головки бедренной кости. [Patent RUS N 2676400/ 16.08.2017. Byul. N 1. Pozdnikin IY. Sposob korrektsii rosta bol’shogo vertela pri khirurgicheskom lechenii detey s nekrozom golovki bedrennoy kosti. (In Russ.)]
- Bombelli R, Santore RF, Poss R. Mechanics of the normal and osteoarthritic hip. A new perspective. Clin Orthop Relat Res. 1984(182):69-78.
- Macnicol MF, Makris D. Distal transfer of the greater trochanter. J Bone Joint Surg Br. 1991;73(5):838-841.
- Bardakos NV, Vasconcelos JC, Villar RN. Early outcome of hip arthroscopy for femoroacetabular impingement: The role of femoral osteoplasty in symptomatic improvement. J Bone Joint Surg Br. 2008;90(12): 1570-1575. https://doi.org/10.1302/0301-620X.90B12. 21012.
- Leunig M, Ganz R. Relative neck lengthening and intracapital osteotomy for severe Perthes and Perthes-like deformities. Bull NYU Hosp Jt Dis. 2011;69 Suppl 1:S62-67.
- Langenskiold A, Salenius P. Epiphyseodesis of the greater trochanter. Acta Orthop Scand. 1967;38(2):199-219. https://doi.org/10.3109/17453676708989634.
- Kwon KS, Wang SI, Lee JH, et al. Effect of greater trochanteric epiphysiodesis after femoral varus osteotomy for lateral pillar classification B and B/C border Legg-Calve-Perthes disease: A retrospective observational study. Medicine (Baltimore). 2017;96(31):e7723. https://doi.org/10.1097/MD.0000000000007723.
- Van Tongel A, Fabry G. Epiphysiodesis of the greater trochanter in Legg–Calve–Perthes disease: The importance of timing. Acta Orthop Belg. 2006;72(3):309-313.
- Joo SY, Lee KS, Koh IH, et al. Trochanteric advancement in patients with Legg-Calve-Perthes disease does not improve pain or limp. Clin Orthop Relat Res. 2008;466(4):927-934. https://doi.org/10.1007/s11999-008-0128-4.
Supplementary files










