First clinical experience of a new surgical technique including correction of bony alignment of first foot ray combined with reconstruction of muscle balance in case of adolescent hallux valgus
- Authors: Fishkin M.V.1, Fomenko M.V.2, Schermann H.3
-
Affiliations:
- Dana Children’s Hospital, Medical Center
- Kaplan Medical Center
- Tel-Aviv Sourasky Medical Center
- Issue: Vol 9, No 2 (2021)
- Pages: 183-193
- Section: Exchange of experience
- Submitted: 12.10.2020
- Accepted: 06.04.2021
- Published: 09.07.2021
- URL: https://journals.eco-vector.com/turner/article/view/46722
- DOI: https://doi.org/10.17816/PTORS46722
- ID: 46722
Cite item
Abstract
BACKGROUND: Hallux valgus deformity of the big toe in adolescents accounts for 22%–44% of all relevant cases. Despite a relatively large number of surgical treatment methods proposed to correct this deformity, treatment results are not always satisfactory. The problem of imbalance between the external traction of the abductor hallucis muscle and the contracted adductor muscle in hallux valgus remains controversial and is not covered in the literature.
AIM: This study aimed to examine the results of hallux valgus deformity treatment, following the suggested combined technique.
MATERIALS AND METHODS: Eight teenage patients (10 feet), aged 15 years on average, were assessed. Patients were undergoing treatment in the department of pediatric orthopedics of the Dana Hospital, Tel Aviv, within the period from 2015 to 2019. The average postoperative observation period was 30 months. This study suggested a new combined technique, including (1) modified oblique Chevron osteotomy with a V-shaped cut in the distal aspect of the first metatarsal with the dorsal wedge excision performed at the apex of its angulation, (2) valgus osteotomy of the medial cuneiform bone with the insertion of the V-shaped bone allograft, and (3) transfer of the dorsal portion of the pre-split tendon of abductor hallucis muscle to the base of the triangular medial capsular flap of the first metatarsophalangeal joint (MPJ). The tendon received optimal tension to restore the muscular balance.
RESULTS: This surgical technique provided safe and stable correction of the hallux valgus deformity, restored muscular balance, avoided movement restriction of the first MPJ, and restored the function and strength of the abductor halluces muscle that prevented the recurrence of the deformity. The number of good and excellent results was much greater than those in published reports.
CONCLUSIONS: Despite a relatively small group of patients, the suggested technique has shown improvements in hallux valgus deformity in adolescents.
Full Text
BACKGROUND
Hallux valgus deformity of the big toe is characterized by congruent double angulation deformity of the first ray of the foot with a valgus deviation of the big toe relative to the axis of the first metatarsal bone and varus deviation of the first metatarsal bone with a medial protrusion of its head [1]. Although several surgical treatment methods have been proposed to correct this deformity, the results of surgical interventions are not always satisfactory.
The frequency of hallux valgus in adolescents (adolescent hallux valgus, AHV) ranges from 22% to 46% [2], with 88% in girls [2–4].
Hereditary and congenital deformities, muscle imbalance, excessive pronation, valgus deformity, equinus deformity, and relative elongation and adduction of the first metatarsal bone are considered the main etiological causes of this pathology [3, 4].
Given the lack of consensus regarding the causes of the pathology, methods of surgical treatment varied and were not generally accepted.
The chevron osteotomy, first described by Corless (1976) and popularized by Austin and Leventen (1981), is an extremely stable type of osteotomy that is widely used to correct mild to moderate incongruent deformities of the first metatarsophalangeal joint with a relatively small intermetatarsal angle [5]. In this case, the main correction mechanism is the lateral displacement of the head of the first metatarsal bone. Moreover, up to 20% of avascular necrosis is directly proportional to the more distal level of the osteotomy line [6]. The relapse rate of deformity in this type of osteotomy reaches 10% [4].
In recent years, studies have increasingly mentioned the use of chevron osteotomy not only for correction by displacement of fragments in width (lateralization of the distal fragment) but also at an angle by excision of a bone wedge with a medial base [7]. However, this technique does not address the impaired blood supply to the head of the first metatarsal bone. Several unsatisfactory outcomes were recorded after corrective osteotomy of the base of the first metatarsal bone with moderate deformity. The deformity recurred in 65% of patients, postoperative pain is noted in 35%, and repeated surgeries are performed in 23.5% [8].
Percutaneous correction of the deformity in children also has unsatisfactory outcomes, such as overcorrection in 61% and revision in 18% of cases [9].
Studies have revealed that double osteotomy of the first metatarsal bone is an effective procedure in the treatment of severe hallux valgus in adolescents with a low frequency of relapses and complications [3, 10, 11].
The advantages of double osteotomy [Logroscino (1948) modified by Peterson and Newman (1993)] include simultaneous correction of the angulation and rotation in two centers of deformity, low recurrence rate, and simple removal of the fixator in the outpatient setting [4, 11]. Its disadvantages include insufficient stable fixation of fragments with frequent secondary dorsal displacement of the first metatarsal bone head, which leads to transverse metatarsalgia because of excessive load on the heads of the second and third metatarsal bones. A high incidence of pseudarthrosis at the osteotomy site was described, as well as avascular necrosis of the head of the first metatarsal bone with thermal or mechanical damage to the choroid plexus feeding the head of the first metatarsal bone by an oscillating saw or osteotome, contracture of the first metatarsophalangeal joint, loss of the graft from the osteotomy of the first metatarsal bone base with the loss of correction, and inability to maintain fixation with the rod for a long period because of the risk of infection along the wire [10].
This study aimed to analyze the results of surgical treatment of hallux valgus of the big toe in adolescents using our proposed new combined technique, which includes the following:
- Corrective oblique chevron osteotomy of the first metatarsal bone neck (in our modification) with excision of the bone wedge, performed at the apex of angulation.
- Valgus osteotomy of the medial sphenoid bone.
- Transfer of the dorsal part of the previously split tendon of the musculus abductor hallucis to the base of the triangular medial capsular flap of the first metatarsophalangeal joint to restore muscle balance.
MATERIALS AND METHODS
This study presents the results of the surgical treatment of congruent hallux valgus in adolescents using a new combined technique.
The treatment results of eight patients (10 feet), including five girls and three boys, with adolescent hallux valgus of moderate and severe forms, who were treated in the orthopedics department of the Dana Children’s Hospital (Tel Aviv, Israel) from 2015 to 2019, were analyzed. Bilateral (n = 2), right-sided (n = 2), and left-sided (n = 4) corrections were performed. The average age of the patients was 15 (13–18) years. The average follow-up period was 30 months. Anteroposterior and lateral radiographs in the upright position were analyzed before and after the surgery.
The hallux valgus angle (HVA), intermetatarsal angle (IMA), and distal metatarsal articular angle (DMAA) were measured according to the generally accepted method (Fig. 1).
Fig. 1. Scheme for measuring the angles of deformity in hallux valgus: DMAA, distal metatarsal articular angle; HVA, hallux valgus angle; IMA, intermetatarsal angle
Statistical analysis was not performed due to the small sample of patients. The outcomes were assessed clinically and radiologically as excellent, good, satisfactory, and poor according to the DuPont bunion rating score [5], with 23–25 points indicating excellent, 20–22 points implying good, 17–19 points indicating satisfactory, and <16 points indicating poor outcomes (Table 1).
Table 1. Evaluation of the treatment results of hallux valgus of the big toe
Foot number | IMA, points | HVA, points | MPJ range of motion; extension/flexion, points | Subjective assessment of pain, points | Cosmetic result, points | Total number of points | Results |
1 | 5 | 4 | 3 | 3 | 3 | 18 | Satisfactory |
2 | 5 | 4 | 4 | 4 | 4 | 21 | Good |
3 | 5 | 5 | 4 | 5 | 5 | 24 | Excellent |
4 | 5 | 5 | 4 | 5 | 5 | 24 | Excellent |
5 | 5 | 5 | 4 | 5 | 5 | 24 | Excellent |
6 | 5 | 5 | 5 | 5 | 5 | 25 | Excellent |
7 | 5 | 5 | 5 | 5 | 5 | 25 | Excellent |
8 | 4 | 4 | 4 | 5 | 4 | 21 | Good |
9 | 4 | 2 | 4 | 5 | 3 | 18 | Satisfactory |
10 | 5 | 5 | 4 | 5 | 5 | 24 | Excellent |
Note. HVA, hallux valgus angle; IMA, intermetatarsal angle; MPJ, metatarsophalangeal joint.
The most common complaint of the patients before surgery was a pain in the anteromedial part of the foot when standing and walking due to the pressure of the shoes.
The patients underwent correction of bone deformities of the first ray of the foot and restoration of the disturbed muscle balance according to our method.
Description of the surgical intervention
The surgery was performed from a medial longitudinal approach at the border of the plantar and dorsal skin, which started 1.5 cm proximal to the medial sphenoid bone and ended in the middle of the main phalanx of the big toe. Thereafter, the musculus abductor hallucis was exposed, its tendons were isolated until the toe attachment to the medial sesamoid bone, the tendons were split longitudinally, the rear part of the toe was dissected from the sesamoid bone, and its end was sutured with vicryl thread 1-0. Then, capsulotomy of the first metatarsophalangeal joint of a triangular shape was performed with the base facing distally. The apex of the cutout flap was also sutured with vicryl 1-0. The tuberosity (bunion) of the head of the first metatarsal bone was removed using an oscillating saw. Under an electron-optical image intensifier, a Kirschner guide wire with a diameter of 1.6 mm was inserted at the border of the neck and head of the first metatarsal bone at the level of the base of the sesamoid bones in the medial–lateral direction parallel to the base of the main phalanx valgization of the big toe (Fig. 2, a). Another (orienting) wire with a diameter of 1.6 mm (Fig. 4, c) was inserted into the base of the first metatarsal bone at 90° angle to the axis of this bone in the medial–lateral direction.
Fig. 2. Stages of surgical intervention: a, capsulotomy with medial approach, bunion resection, guide wire insertion at the border of the neck and head of the first metatarsal bone at the level of the base of the sesamoid bones in the medial–lateral direction parallel to the base of the valgus main phalanx of the big toe; b, the guide is put on the guide wire at 30° angle between the longitudinal axis of the first metatarsal bone and the handle
On the guide wire, which passed through the base of the head of the first metatarsal bone, the guide was put on following our technique to perform chevron osteotomy (Fig. 2, b).
The guide consists of a working body, which comprises two arms connected at 90° angle, with a thickness and width of 6 mm. Each arm has a longitudinal slit for the oscillating saw blade. A longitudinal channel with a diameter of 1.7 mm for the guide wire is located at the junction point of the two arms. The working body is connected to the handle made of polymer material using a bayonet-shaped spacer (Fig. 3).
Fig. 3. Original guide
The guide was put on the guide wire to form a 30° angle between the longitudinal axis of the first metatarsal bone and the guide handle (Fig. 2, b).
Through the slit in the lower arm of the guide working organ, an osteotomy was performed using an oscillating saw, and a blank saw blade was inserted into the cut to protect the plantar segment of the osteotomy and to stabilize the guide (Fig. 4, a). Then, at the dorsal part, osteotomy was performed through the upper arm of the guide working organ. The two fragments obtained were separated (Fig. 4, b, c). During osteotomy, the wire in the canal, in contact with the oscillating saw blade, protects the head of the first metatarsal bone from damage by the saw. We attach great importance to the difference in the length of the distal segment arms (the plantar arm is twice as long as the dorsal arm), as this prevents damage to the sesamoid–capitate joints and displacement of vessels supplying blood to the head (plantar–lateral plexus).
Fig. 4. Stages of surgery: a, osteotomy of the neck of the first metatarsal bone; b, separated distal segment of the first metatarsal bone, V-shaped osteotomy; c, resection of a wedge-shaped fragment from the proximal segment parallel to the orienting wire; d, alignment with correction and conduction of guide wire 2 before the insertion of the cannulated compression screw
Osteotomy through the guide wire in the distal–proximal and medial–lateral directions also caused displacement to a maximum distance from the plexus, and this converts the two-plane osteotomy to a three-plane osteotomy.
A triangular fragment was dissected with the base facing medially from the distal part of the proximal segment, parallel to the orienting wire, previously passed through the base of the first metatarsal bone (Fig. 4, c). After removing the excised fragment, the osteotomy was closed by pollex varus (Fig. 4, d). In this case, a slight plantar displacement of the head was observed, which value is directly proportional to the size of the base of the resected fragment, that is, the severity of the deformity. With this displacement, together with the maximum possible preservation of the length of the first ray of the foot, the transfer of load to the heads of the second and third metatarsal bones can be prevented by the formation of painful plantar callosities.
The achieved correction is fixed with guide wire 2 with a diameter of 1 mm (from the set of Baruk canal headless compression screw), drawn from the proximal segment to the distal one in the dorsal–plantar and proximal–distal directions (Fig. 4, d), and along with a headless canal compression screw.
Then, varus deviation of the first metatarsal bone was corrected by osteotomy of the internal cuneiform bone with the placement of a wedge-shaped allograft. Osteotomy was performed immediately proximal to the attachment site of the tendon of the musculus tibialis anterior, parallel to the distal articular facet of this bone. At the same time, the preservation of the periosteum in the lateral part of this bone maintains the stability of the osteotomy when the bone is opened and the allograft is introduced, which is held externally (dynamically) by the stretched tendon of the musculus tibialis anterior and therefore usually does not require additional internal fixation. The use of an open wedge-shaped osteotomy with graft placement results in the lengthening of the first ray of the foot and compensation of the shortening caused by the osteotomy of the neck of the first metatarsal bone with wedge resection.
Upon completion of the bone segment correction, the disturbed muscle balance was restored by transferring the previously cut dorsal segment of the abductor muscle tendon to the base of the capsular flap. For this purpose, at the base of this flap, a hole was formed which the cut tendon that passed through, and using vicryl sutures, this tendon was pulled to the 10° position of varus correction with maximum dorsal extension of the first metatarsophalangeal joint (wave-like Pulvertaft tendon suture). The resulting overcorrection disappears during the first months after the surgery until normal coaxial alignment in the joint is restored. The tension of the tendon of the abductor muscle in the maximum dorsal extension prevents the limitation of extension after surgery (Fig. 6, b). The wound is sutured layer by layer (subcutaneous fatty tissue is sutured using vicryl 3-0, and intradermal suture is made with monocril 4-0).
The additional fixation with a plaster cast up to the knee joint with the big toe was used for up to 6 weeks; as a result, the transplanted tendon fused with its new attachment. After removing the plaster and control X-ray imaging, the patient used a special sandal with a hard sole for up to 2 weeks.
Cutting off the tendon of the musculus adductor hallucis and capsuloplasty were performed only in some cases (especially severe ones), so that the blood supply to the head of the first metatarsal bone was not compromised. Additional Akin osteotomy was performed in one of the patients with severe bilateral valgus interphalangeal deformity. Immobilization was performed with a short circular plaster cast for 6 weeks (in some cases with fixation of the big toe in the position of the achieved correction), followed by walking in DARCO sandal for another 2–3 weeks until the consolidation of the fragments.
The stages and levels of bone correction are illustrated in Fig. 5. As shown in the diagram, deformity correction at two levels with excision (distal) and insertion (proximal) of the wedge-shaped allograft preserves the length of the first ray of the foot. The diagram also shows the internal stabilization method of the osteotomy of the neck of the first metatarsal bone with a cannulated compression screw (Fig. 5, b, d) and dynamic stabilization of the wedge inserted into the cuneiform bone with the tendon of the musculus tibialis anterior (Fig. 5, b, d).
Fig. 5. Scheme of stages and levels of bone correction: a, places of planned corrective osteotomies of the first metatarsal bone and medial sphenoid bone in the frontal view; b, position of the segments after excision of the wedge from the neck of the first metatarsal bone, fixation with a compression screw, and insertion of the wedge-shaped allograft into the medial cuneiform bone in the frontal view; c, planned osteotomies in the lateral view; d, condition after removal of the wedge and fixation with a screw of the neck of the first metatarsal bone and insertion of the wedge-shaped allograft into the medial cuneiform bone in the lateral view (attention should be paid to the plantar translation of the head)
RESULTS
All postoperative wounds healed by primary intention. Subsequently, there were no complaints of pain in the foot when walking and at rest. The mobility of the first metatarsophalangeal joint was preserved, and the function of the musculus abductor hallucis was restored up to 5 points. Complete consolidation of the fragments after corrective osteotomy in the desired position was achieved without avascular necrosis and without shortening the first ray.
An acceptable range of motion in the interphalangeal joint was achieved in all cases. Preoperative deformity angles decreased significantly, namely, HVA had an average postoperative angle of 13.9°, with average correction of 58%; IMA had an average correction angle after surgery of 7.9°, with average correction of 41%; DMAA had an average correction angle after surgery of 3.9°, with average correction of 82% (Table 2).
Table 2. Correction of deformity angles
Deformity angle | Before surgery, deg. | After correction, deg. | Difference, deg. | Correction, % |
HVA | 33.1 | 13.9 | 19.2 | 58 |
IMA | 13.4 | 7.9 | 5.5 | 41 |
DMАA | 22.1 | 3.9 | 18.2 | 82.3 |
Note. DMAA, distal metatarsal articular angle; HVA, hallux valgus angle; IMA, intermetatarsal angle.
Overall assessment was performed according to the DuPont bunion rating score [5], with 6, 4, and 2 points indicating excellent, good, and satisfactory results, respectively (Table 1).
One female patient underwent reoperation due to the loss of postoperative correction. Osteotomy of the medial sphenoid bone was performed with the insertion of a triangular allograft and shortening of the tendon of the musculus abductor hallucis. A good cosmetic and functional result was obtained. The loss of postoperative correction was due to a technical error during the corrective osteotomy of the sphenoid bone, which resulted in its lengthening instead of valgization, and insufficient tension of the musculus abductor hallucis.
In another case of a satisfactory result, the patient refused repeated surgery.
Clinical case
A 13-year-old female patient complained of pain in the anteromedial parts of the feet, mostly on the left, which aggravated when wearing shoes. Examination revealed hallux valgus with varus deviation of the first metatarsal bone and hyperemia in the region of the medially protruding head of the first metatarsal bone. There was also a pronounced hammer-shaped deformity of the second toe of the left foot. The patient was unable to retract actively her big toes (toe spread test). A radiograph of the left foot under load revealed a hallux valgus deformity of the big toe of the left foot (Fig. 6, a). Corrective osteotomy with restoration of muscle balance (Fig. 6, b) according to our method was performed under anesthesia on September 13, 2016. The deformity of the second toe was corrected. The postoperative period was uneventful. After 6 weeks, the plaster cast was removed; after additional 2 weeks of walking in a special hard sandal, full load was allowed. Movements in the first metatarsophalangeal joint and active abduction of the big toe were fully restored. The patient has no complaints, and she returned to active sports. Two years after surgery on the left foot, the operation on the right foot was successful. Figure 6, c, d presents frontal and lateral radiographs of her left foot under load 36 months after the surgery.
Fig. 6. Patient, 13 years old. Hallux valgus deformity of the big toe of the left foot: a, X-ray image in frontal projection before surgery; b, stage of surgery with the transfer of the dorsal–distal part of the tendon of the musculus abductor hallucis, and it was sutured with tension to the base of the triangular medial capsular flap; c, frontal X-ray image 36 months after the surgery showing correction of the deformity and complete consolidation of osteotomies; d, lateral X-ray image
DISCUSSION
We presented the primary results of a small group of patients who underwent surgery using our proposed method from September 20, 2015, to January 15, 2019.
There is no consensus in the literature on the optimal treatment of hallux valgus. The treatment of this pathology in adolescents with congruent deformity of the first metatarsophalangeal joint is even more controversial. The high incidence of complications and relapses, especially with open growth zones, is often the reasons for refusal of surgical treatment [9]. Double osteotomy of the first metatarsal bone described by Peterson in severe forms of deformity has improved significantly the results of treatment [4, 11]. This technique is the method of choice for severe deformity, especially with an increase in the DMAA [2, 4, 11]. Aronson et al. [3] presented the results of treatment of 18 feet in 16 patients treated using the modified Peterson bunion technique. The average follow-up period was 23.4 months. HVA decreased by 16°, IMA decreased by 6°, and DMAA decreased by 11°. For comparison, the average angular correction using our method was characterized by a decrease in HVA, IMA, and DMAA by 19.2°, 5.5°, and 18.2°, respectively (Table 2). Our results appear better than those of Peterson and Coughlin, and the DMAA correction is more significant.
Double osteotomy of the first metatarsal bone proposed by Peterson and Newman has two main advantages over other types of osteotomies:
a) The length of the first metatarsal bone does not change, which helps avoid overloading the heads of the second and third metatarsal bones with the development of metatarsalgia.
b) Double osteotomy corrects three-plane deformity (medial displacement of the head, hallux valgus, varus deviation, and internal rotation of the first metatarsal bone head) [3, 4].
The main disadvantage of the Peterson double osteotomy is the occurrence of contracture of the first metatarsophalangeal joint due to prolonged transarticular fixation with a rod or wire [4].
In our opinion, derotation of the metatarsal head, which is one of the declared advantages of double transverse osteotomy of the first metatarsal bone, is not justified. With the gradual development of the internal rotation of the head of the metatarsal bone under the influence of the displaced tendon of the musculus abductor hallucis and the lateral displacement of the sesamoid bones, atrophy and flattening of the intersesamoid bone crest occur. This, in turn, makes derotation of the neck in the presence of a spherical head unnecessary, and derotation of the position of the main phalanx of the big toe is achieved by transferring the abductor tendon to its anatomical place with adequate tension.
The combination of oblique chevron osteotomy of the cervix I of the metatarsal bone with excision of the bone wedge (in our modification) at the distal apex of the angulation of the first metatarsal bone and valgus osteotomy of the medial sphenoid bone with insertion of a bony wedge-shaped allograft does not imply transarticular fixation and avoids contracture of the first metatarsophalangeal joint.
Johnson et al. [4] presented the results of treatment of nine patients (14 feet) with moderate to severe deformity (AHV). The average age of the patients was 15 years, and the average follow-up period was 27 months. Average postoperative corrections of HVA, IMA, and DMAA were 21.54°, 9.25°, and 6.21° respectively. Our indices (Table 2), except for DMAA, are less significant; however, their mean angles of deformity of HVA and IMA were greater than ours; therefore, the absolute value of the correction of these angles was also significant.
In the literature, we did not find a similar method of surgical treatment of hallux valgus deformity of the big toe using two osteotomies, supplemented by restoration of the disturbed muscle balance. The restoration of muscle balance is the basis of all reconstructive foot surgeries. The balance between the external traction of the musculus abductor hallucis, which tendon migrates in the plantar direction, and the contracted adductor muscle in the hallux valgus deformity of the big toe remains a controversial issue that has not been covered in the literature.
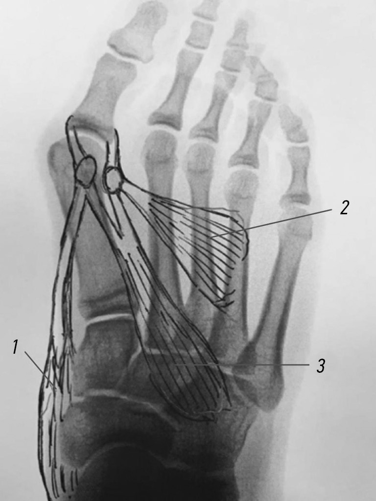
With hallux valgus, the muscle balance is disturbed, which, from our point of view, is the main cause of the development and progression of hallux valgus deformity of the big toe. Owing to the imbalance between the traction of the musculus abductor hallucis and the musculus adductor hallucis, the sesamoid bones are laterally displaced with the plantar–lateral displacement of the abductor, which starts to function as a flexor of the big toe (Fig. 7). In this case, the flexion complex, reinforced by the “former” abductor, stretches like a bowstring, causing a gradual varus deviation of the first metatarsal bone and a pollex valgus of the big toe.
Fig. 7. Scheme of the influence of muscles (1, musculus abductor hallucis; 2, musculus abductor hallucis; 3, short flexor of the big toe) on the hallux valgus and varus deviation of the first metatarsal bone, accompanied by lateral displacement of the sesamoid bones, with an external plantar displacement of the musculus abductor hallucis tendon
The functional transformation of the musculus abductor hallucis into its flexor is easily checked by a simple test, i.e., by asking the patient to spread the toes. Then, with moderate or severe deformity, the big toe will bend, and with a mild degree, the force of its abduction against external resistance will decrease.
Usually, the shortening of the medial portion of the capsule of the first metatarsophalangeal joint and the lateral release ensure its retention in the correction position only in the early postoperative period. The anatomical alignment of this joint achieved in this way is lost over time because of the regeneration of the transected adductor tendon and the absence of resistance from the musculus abductor hallucis.
The surgical technique described provides a safe and stable correction of the hallux valgus and the varus position of the first metatarsal bone, restores the disturbed muscular balance, avoids restriction of movements in the first metatarsophalangeal joint, and restores the function and strength of the musculus abductor hallucis. One of the aims of the distal chevron osteotomy in the oblique plane from the inner-distal point to the outer-proximal one, perpendicular to the axis of the main phalanx of the valgus big toe, was the maximum removal of the osteotomy from the plantar–lateral vascular plexus responsible for blood supply to the osteotomized head of the first metatarsal bone. This prevents both mechanical and thermal injuries and avascular necrosis in our small group of patients.
The use of our special guide provides an accurate and stable three-plane osteotomy of the neck of the first metatarsal bone.
The limitations of this study include a small sample of patients, a relatively short postoperative follow-up, and the absence of a control group of patients.
CONCLUSION
Despite the small number of patients, we hope that the proposed technique will improve the results of the treatment of hallux valgus in adolescents, reduce significantly concomitant complications, and reduce the loss of correction in the long-term postoperative period.
ADDITIONAL INFORMATION
Funding. The study had no external funding.
Conflict of interest. The authors declare no conflict of interest.
Ethical considerations. The study was performed in accordance with the ethical standards of the Declaration of Helsinki of the World Medical Association and approved by the Ethics Committee of the Ichilov Medical Center, Tel Aviv, Israel (Commission 0676-19-TLV, 2019). Patient representatives signed an informed consent to publish de-identified data.
Author contributions. M.V. Fishkin developed the study concept and design, performed surgical treatment of patients, and performed staged editing of the article. M.V. Fomenko collected and analyzed the data, performed the literature analysis, provided surgical treatment, and wrote all sections of the article. H. Schermann analyzed the data and edited the article.
All authors made significant contributions to the research and preparation of the article, read, and approved the final version before its publication.
About the authors
Michael V. Fishkin
Dana Children’s Hospital, Medical Center
Email: mfishkin2003@yahoo.com
ORCID iD: 0000-0003-0719-9983
Israel, Tel-Aviv
Maxim V. Fomenko
Kaplan Medical Center
Author for correspondence.
Email: Fomenko_mv@mail.ru
ORCID iD: 0000-0001-7526-8296
MD, PhD
Israel, RehovotHaggai Schermann
Tel-Aviv Sourasky Medical Center
Email: sheralmi@bu.edu
ORCID iD: 0000-0002-9271-6932
Israel, Tel-Aviv
References
- Mosca VS. Principles and management of pediatric foot and ankle deformities and malformation. Philadelphia: Lippincott Williams & Wilkins (LWW); 2014.
- Coughlin MJ, Roger A. Mann Award. Juvenile hallux valgus: etiology and treatment. Foot Ankle Int. 1995;16(11):682–697. doi: 10.1177/107110079501601104
- Aronson J, Nguyen LL, Aronson EA. Early results of the modified Peterson bunion procedure for adolescent hallux valgus. J Pediatr Orthop. 2001;21(1):65–69. doi: 10.1097/00004694-200101000-00014
- Johnson AE, Georgopoulos G, Erickson MA, Eilert R. Treatment of adolescent hallux valgus with the first metatarsal double osteotomy. J Pediatr Orthop. 2004;24(4):358-362.
- DeOrio J. Technique tip: dorsal wedge resection (uniplanar) in the chevron osteotomy for high distal metatarsal articular angle bunions. Foot Ankle Int. 2007;28(5):642–644. doi: 10.3113/FAI.2007.0642
- Malal JJ, Shaw-Dunn J, Kumar CS. Blood supply to the first metatarsal head and vessels at risk with a chevron osteotomy. J Bone Joint Surg Am. 2007;89:2019–2022. doi: 10.2106/JBJS.F.01030
- Austin DW, Leventen EO. A new osteotomy for hallux valgus: a horizontally directed “V” displacement osteotomy of the metatarsal head for hallux valgus and primus varus. Clin Orthop Relat Res. 1981;(157):25–30.
- Iyer S, Demetracopoulos CA, Sofka CM, Ellis SJ. High rate of recurrence following proximal medial opening wedge osteotomy for correction of moderate hallux valgus. Foot Ankle Int. 2015;36(8):756–763.
- Gicquel T, Fraisse B, Marleix S, Chapuis M, Violas P. Percutaneous hallux valgus surgery in children: Short-tern outcomes of 33 cases. Orthop Traumatol Surg Res. 2013;99(4):433–439. doi: 10.1016/j.otsr.2013.02.003
- Harb Z, Kokkinakis M, Ismail H, Spence G. Adolescent hallux valgus: a systematic review of outcomes following surgery. J Child Orth. 2015;9(2):105–112. doi: 10.1007/s11832-015-0655-y
- Peterson HA, Newman SR. Adolescent bunion deformity treated with double and longitudinal pin fixation of the first ray. J Pediatr Orthop. 1993;13(1):80–84. doi: 10.1097/01241398-199301000-00016
Supplementary files











