Nonbacterial osteomyelitis of the vertebral bodies and frontal bone: A description of a rare clinical case and a review of the literature
- Authors: Kozhevnikov A.N.1, Zorin V.I.2
-
Affiliations:
- H. Turner National Medical Research Center for Children's Orthopedics and Trauma Surgery
- H. Turner National Medical Research Center for Children’s Orthopedics and Trauma Surgery
- Issue: Vol 11, No 4 (2023)
- Pages: 517-527
- Section: Clinical cases
- Submitted: 04.07.2023
- Accepted: 10.10.2023
- Published: 20.12.2023
- URL: https://journals.eco-vector.com/turner/article/view/529686
- DOI: https://doi.org/10.17816/PTORS529686
- ID: 529686
Cite item
Abstract
BACKGROUND: Nonbacterial osteomyelitis is a chronic autoinflammatory skeletal disorder of unknown origin characterized by sterile bone lesions and presenting more frequently in children. Spinal manifestations are often common in nonbacterial osteomyelitis; however, cases with skull involvement, except for the mandible, are generally rare.
CLINICAL CASE: Herein, we report the case of an 11-year-old girl presenting with multifocal thoracic vertebral and frontal bone lesions, which led to destructive sinusitis. Nonbacterial osteomyelitis was diagnosed after a bone biopsy, which showed no evidence of granuloma, malignancy, or histiocytes. The histopathological findings were nonspecific inflammatory changes. Ibandronic acid was used to treat nonbacterial osteomyelitis. Clinical signs begin to improve after the first infusion. After the fourth infusion of ibandronic acid, the inflammation was reduced and frontal bone structure and thoracic vertebrae were restored.
DISCUSSION: Bisphosphonate therapy can be used in nonbacterial osteomyelitis when response to nonsteroidal anti-inflammatory drugs is not optimal. The efficacy of bisphosphonate therapy reaches 75%. However, bisphosphonate therapy in nonbacterial osteomyelitis has not been developed. The paper contained literature about rare cases with skull involvement and problems in bisphosphonate therapy in pediatric nonbacterial osteomyelitis.
CONCLUSIONS: Nonbacterial osteomyelitis is a treatable condition, whose care depends on a referral to a rheumatologist.
Full Text
BACKGROUND
Osteomyelitis in children is a heterogeneous group of inflammatory and destructive skeletal diseases of infectious and noninfectious nature. The diseases are characterized by similar clinical, laboratory, and radiological characteristics. The disease is classified into specific (granulomatous), nonspecific (purulent), and nonbacterial forms [1]. Nonbacterial cases of chronic osteomyelitis are classified as nonbacterial when it is impossible to isolate the infectious agent from the affected bone areas (foci of destruction). This pathology was first described by A. Giedion et al. in 1972 as a rare immunoinflammatory disease of the skeleton with an unknown etiology that is prone to recurrence [2]. Currently, the term “nonbacterial osteomyelitis” (NBO) or “chronic recurrent multifocal osteomyelitis” is used to describe all forms of chronic “sterile” osteomyelitis [3]. The disease typically manifests during childhood and adolescence, with a higher incidence in girls (ratio of 2:1). The disease onset is usually at approximately 10 years of age (with a range of 2–17 years according to various sources) [4]. Prevalence rates of the disease vary widely, ranging from 1 per 100,000 to 10–80 per 100,000 children of different ethnic groups [5]. NBO is characterized by a chronic, recurrent course with alternating exacerbations and remissions although rare monocyclic forms also occur. Skeletal lesions in children can be either mono- or multifocal [6]. Inflammation most commonly occurs in the metaepiphyseal sections of the long tubular bones, vertebral bodies, and shoulder girdle, including the clavicle and sternum. It less frequently occurs in the lower jaw and pelvic bones. Although any skeletal region can be affected by NBO, the cerebral skull is an extremely rare site of involvement [7]. The nonsyndromal form of NBO is the most common; however, in some cases, osteomyelitis may be a manifestation of ultrarare monogenic diseases, such as Majeed syndrome (OMIM: 609628), DIRA (OMIM: 612852), PAPA (OMIM: 604416), and cherubism (OMIM: 118400) [8, 9]. Pain syndrome is the most dominant clinical manifestation in children and is localized over the area of bone lesions with varying degrees of intensity. In cases of metaepiphyseal lesions in long tubular bones, clinical signs of arthritis may occur. With NBO, the child’s well-being typically remains unchanged, whereas symptoms of intoxication may be absent or very mild. Fever may be present, usually as subfebrile fever [10]. NBO is diagnosed by excluding other conditions. Thus, differential diagnosis with infectious osteomyelitis, tubostitis, malignant neoplasms (such as bone sarcoma, metastases, leukemia, and lymphoma), benign neoplasms (such as osteoid osteoma, bone cysts, and fibrous dysplasia), osteonecrosis, and other diseases is crucial [11]. Herein, we present the case of an 11-year-old girl who was diagnosed with multifocal NBO, which presented as lesions in the vertebral bodies and frontal bone. The disease was successfully treated with ibandronic acid, a bisphosphonate drug.
CLINICAL CASE
An 11-year-old girl presented to the Turner Research Center for Pediatric Traumatology and Orthopedics (Research Center) with complaints of localized pain in the lower thoracic spine for approximately 3 months. The patient experienced intense pain without any obvious cause. Pain was initially associated with sports activities, was not preceded by any known injury, and was initially thought to be related to muscle spasms or an overuse component. The patient failed to participate in her usual sports activities because of the sudden onset of pain, which led to a medical examination. During the initial medical treatment, the pain syndrome was diagnosed as a manifestation of juvenile osteochondrosis of the lower thoracic spine. However, despite reducing physical activity intensity and undergoing treatment (including physiotherapy, chondroprotector, and topical therapy with nonsteroidal anti-inflammatory drugs), the expected result was not achieved. Subsequently, magnetic resonance imaging (MRI) was performed on the child’s ThXI vertebral body, which revealed osteoid osteoma. As a result, the child was referred to a federal institution for treatment.
The patient’s early life was unremarkable, with normal growth and development for her age. She experienced few acute respiratory viral infections and received vaccinations according to the national calendar. There was no indication of an aggravated hereditary history of joint pathologies. The girl has a history of sports, having attended a tennis club for 3 years.
During the first visit to the Research Center, which occurred 2 months after the disease onset, an MRI review was conducted using T1-weighted imaging, T2-weighted imaging, and short-tau inversion recovery mode, supplemented with computed tomography (CT). The review revealed a lytic lesion of the ThXI vertebral body and a hyper-MR signal of the ThVIII vertebral body. The diagnosis was undifferentiated spondylitis. The patient was admitted to the Research Center’s department for further examination and trepanobiopsy with morphological verification of the condition (Fig. 1).
Fig. 1. Magnetic resonance (a) and computed (b) tomograms of the thoracolumbar spine with signs of spondylitis of ThVIII and ThXI vertebral bodies 2 months after disease onset (from the Turner Research Center for Pediatric Traumatology and Orthopedics’ archive)
Upon hospitalization at the Research Center, 3 months after the disease onset, the child reported constant aching pain in the lower thoracic spine, which intensified with intense physical activity. The pain subsided briefly after taking nonsteroidal anti-inflammatory drugs. In addition, the child’s mother reported frequent scattered arthralgias in the joints of the lower extremities.
Objective findings. The child’s overall condition was satisfactory. She did not have a fever, and their appetite was normal. However, her physique was undernourished, with a body mass index of 15.3 kg/m2. The skin and visible mucous membranes appeared clean, and there were no signs of inflammation. In addition, the peripheral lymph nodes were small. Heart sounds were audible and rhythmic at a rate of 80 beats per minute. Breathing was vesicular with no rales, and the respiratory rate was 18 breaths/min. The abdomen was soft and painless, and the liver and spleen were not enlarged. Normal physiological emissions were present. The child moved independently, and support on the lower limbs was not affected. Thoracic kyphosis increased when viewed from the side of the spine. Palpation of the spinous processes was painless, and movements of the thoracic and lumbar spines were unrestricted. The upper extremities had equal lengths, and the joints were not externally changed. The amplitude of the movements was full, and there was no pain. The length of the lower extremities was equal, and no external changes were observed. Full range of motion was noted, and there was no pain. The small joints of the hands and nail beds remained unchanged. The small joints of the feet were unchanged. The lumbosacral region had no remarkable features and was painless.
Laboratory tests showed normal renal and hepatic functions, with a C-reactive protein (CRP) level of 5 mg/L, fibrinogen level of 4 g/L, and sialic acid level of 2.0 mMol/L (normal range, 1.8–2.7). The erythrocyte sedimentation rate (ESR) was 18 mm/h (according to Westergren); hemoglobin, 124 g/L; erythrocyte count, 5.05 × 1012/L; platelet count, 330 × 109/L; and leukocyte count, 6.79 × 109/L, with 2% neutrophils, 41% lymphocytes, 3% eosinophils, and 8% monocytes. The total protein level was normal; however, dysproteinemia was observed with increased levels of the alpha-2 fraction (13.4%) and gamma-globulins (22%).
The patient’s 25(OH)D level was 34 ng/mL (normal range, 30–80). The C-terminal telopeptide (Beta-Cross laps) level was 3.3 ng/mL (normal range, 1.6–1.9), whereas the N-terminal propeptide level was 680 ng/mL (normal range, 438–666). The patient’s osteocalcin level was 87.5 ng/mL (normal range, 49.0–167.0), and the parathormone level was 31.2 pg/mL (normal range, 15–65). The patient’s antinuclear factor titer was 1/1280, with a granular type of luminescence (with a normal titer of <1/160). The child’s rheumatoid factor was negative, and antibodies against cyclic citrulline-containing peptide (anti-CCP) and citruline vimentin (anti-MCV) were not determined. Laboratory of diagnostics of autoimmune diseases at St. Petersburg State Medical University did not detect the HLA-B27 genotype using the polymerase chain reaction (PCR) method. The general urinalysis results were normal.
The patient was examined by an ophthalmologist and an ear, nose, and throat (ENT) specialist. No pathology was detected by the ophthalmologist. The ENT specialist noted chronic tonsillitis; however, it was not currently an exacerbation.
CT findings: A defect with a niche shape measuring 13 × 17 × 7 mm was detected in the middle section of the ThXI vertebral body. The defect destroyed the cranial closure plate and had indistinct, uneven sclerosed contours, and reactive osteosclerosis. In addition, an area of subchondral lucency measuring 4 × 6 mm was found at the cauda terminal plate on the posterior left surface, which caused thinning of the adjacent cortical layer. A homogeneous increase in the densitometric density of the osteosclerosis type was detected in the anterior part of the ThVIII vertebral body, measuring 12 × 8 mm, with a vaguely delineated area of the subchondral lumen of the caudal closure plate up to 4 × 6 mm. In addition, the height of the intervertebral spaces of ThX–ThXI and ThVIII–ThIX decreased. The facet joints at these levels were indistinct. The spinal canal does not exhibit any features. Compared with the previous study of the CT archive, negative dynamics were observed because of the progression of destruction of the ThXI vertebral body and the appearance of new zones of osteolytic changes in the ThVIII and ThXI vertebrae (Fig. 2). CT of the thoracic cavity showed no pathologies.
Fig. 2. Computed tomography of the thoracolumbar spine showing signs of destructive changes in the ThVIII and ThXI vertebral bodies 3 months after disease onset
The child underwent whole-body MRI, which revealed a lytic lesion of the ThXI vertebral body and a hyper-MR signal of the ThVIII vertebral body. No additional foci of destruction were found.
Trepanobiopsy of the ThXI vertebral body was performed, and the postoperative period was uneventful. The child was prescribed nimesulide, a nonsteroidal anti-inflammatory drug, at a dose of 75 mg twice daily until biopsy results were obtained. The treatment plan was determined based on the results. The child was discharged for outpatient treatment and observation.
Three weeks after discharge, the child experienced a brief episode of febrile fever followed by subfebrile fever, weakness, and loss of appetite. Simultaneously, the parents noticed localized pain sensations and swelling in the supraorbital area on the right side, which were initially interpreted as posttraumatic. According to the mother, shortly before the onset of pain, the child suffered a minor injury to this area during sedentary play. The parents sought medical help 2 weeks after the onset of fever and aforementioned complaints. A rheumatologist examined the child in outpatient conditions and observed swelling and localized pain upon palpation of the supraorbital region on the right side. The child was referred for CT of the facial part of the skull.
The first CT scan of the facial skull revealed a local disruption of the integrity of the anterior wall of the frontal sinus with a length of 2.5 mm (foci of destruction?) with total shading of the frontal sinus chamber and partial reduction of the pneumatization of the lattice bone cells (Fig. 3a, b).
Fig. 3. Computed tomography of the facial skull: a, b, at the time of the first treatment; c, d, 2 weeks later (data from the Research Center’s archive). Arrows indicate destructive changes
Laboratory examination showed an elevated COE level of 23 mm/h (according to Westergren), whereas the other indicators were within the reference values. The CRP level was <5 mg/L. The child’s facial skull underwent destructive changes caused by undifferentiated skeletal disease and an increased antinuclear factor titer. To exclude granulomatosis with polyangiitis, the laboratory study was supplemented with an analysis for antineutrophil cytoplasmic antibodies (ANCA) of the IgG class. Because of the suspected injury, the child was referred to an ENT specialist and a maxillofacial surgeon. Despite 2 weeks of treatment by the ENT specialist, including a course of antibacterial therapy, no improvement in the child’s condition was noted. All of the previously mentioned symptoms, including subfebrile fever, persisted. A follow-up CT of the facial area was performed.
The second CT scan of the facial skull revealed negative dynamics, with an increase in the area of bone destruction in the anterior wall of the right frontal sinus and appearance of destructive changes in the posterior wall. The content of liquid density in the presence of dense inclusions (sequesters?) was visualized in the cavity of the right chamber of the right frontal sinus. The conclusion was a destruction of the chamber walls of the right frontal sinus (osteomyelitis), which represented a negative progression when compared with the previous CT data (Fig. 3c, d).
A child with undifferentiated multifocal osteomyelitis of vertebrae ThVIII and ThIX and destructive right-sided frontitis was admitted to the ENT department of a children’s hospital on emergency indications. The referral stated that the child was undergoing biopsy to verify the disease stage. The ANCA IgG test result was negative. The ENT department performed surgical treatment for destructive frontitis, along with an additional course of antibiotic therapy. Biopsy of the affected area and culture of sinus contents were also performed. The child received nonsteroidal anti-inflammatory drugs throughout the disease course. The morphologic study of biopsy material from the focus of the destruction of the frontal sinus wall did not detect any infectious agent, and the sowing of the contents was sterile. The morphologic picture corresponded to chronic nonspecific osteomyelitis. The child was discharged with recommendations to continue treatment by a rheumatologist.
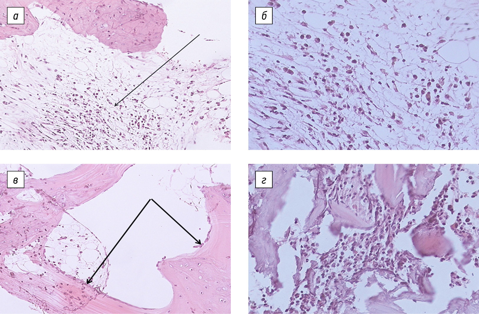
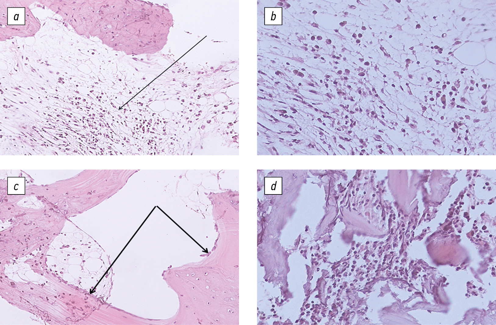
Trepanobiopsy of the ThXI vertebral body revealed pathological and histological findings. The bone tissue fragments showed areas of fibrosis with focal lymphomacrophage infiltration and an admixture of neutrophilic leukocytes up to 3–5 in the field of view (Fig. 4a, b). In addition, numerous areas of focal bone resorption with small clusters of osteoclasts and fragments of osteonecrosis were observed (Fig. 4c, d). Based on these findings, the morphologic picture is consistent with chronic moderately active nonspecific osteomyelitis. No signs characteristic of tumor growth were observed.
Fig. 4. Morphological picture of trepanobiopsy of the ThXI vertebral body. Cellular fibrous connective tissue with lymphomacrophage infiltration and an admixture of neutrophilic leukocytes is visualized in the interbalance spaces of cancellous bone tissue; hematoxylin and eosin staining, ×200 (a), ×400 (b). Foci of bone resorption with small accumulations of osteoclasts; hematoxylin and eosin staining, ×200 (c). Fragments of necrotized bone tissue surrounded by pronounced lymphomacrophage infiltration with few neutrophilic leukocytes; hematoxylin and eosin staining, ×400 (d)
The final diagnosis was NBO, multifocal form. Therapy continued with nonsteroidal anti-inflammatory drugs. Ibandronic acid therapy was initiated at a starting dose of 1.5 mg, with subsequent infusions every 3–4 months at a dose of 2 mg, according to the decision of the off-label medical committee. The therapy scheme was borrowed from A. Dhanrajani and R.P. Khubchandani (2018) [12]. Ibandronic acid was administered to the child in 250 mL of 0.9% sodium chloride solution over 3 h using an infusion machine at a rate of 2 mL/min. The child received five consecutive infusions of ibandronic acid. The efficacy of the therapy was confirmed by imaging methods supplemented by clinical data. After the first administration of the medication, the mother observed an enhancement in the child’s overall health, an increase in motor activity, and a reduction in pain. The child tolerated the treatment regimen well, and no adverse reactions were detected either early or late. The laboratory results indicated a decrease in the ESR levels to normal. Radiation dynamics were evaluated sequentially after the second and fourth infusions. Following the fourth infusion of ibandronic acid, CT data revealed the complete restoration of the integrity of the bone structure of the anterior and posterior walls of the frontal sinuses. Inflammatory changes on the side of vertebral bodies were reduced after the second infusion, and the final subsidence of spondylitis was observed after the fourth infusion (Fig. 5). No new foci of destruction were observed during treatment.
Fig. 5. Magnetic resonance imaging of the thoracolumbar spine after four consecutive infusions of ibandronic acid. No signs of trabecular edema of the vertebral bodies are observed. In the central-left section of the ThXI vertebral body, deformation of the upper lamina is determined as a local indentation with a zone of fatty transformation of the bone marrow and areas of limited sclerosis. The height of the ThX–ThXI disk is moderately reduced without significant reduction in its signal
No new destructive changes were detected during the 12-month dynamic observation period after treatment. The child did not experience joint pain or unreasonable temperature reactions, and no motor activity limitations were observed. A follow-up laboratory examination showed that the child’s ESR and red and white blood cell counts were within the reference range. The CRP level was 5 mg/L, the 25(OH)D level was 24 ng/mL, and the antinuclear factor titer was 1/320 (granular type of luminescence). The patient has been taking a daily dose of 2000 IU of vitamin D throughout the year. Currently, the child is gradually resuming the training process.
DISCUSSION
NBO is a rare noninfectious disease of unknown origin characterized by chronic multifocal skeletal lesions that are prone to recurrence. The disease course can often mimic an infectious process or neoplasm [13]. No specific clinical or laboratory diagnostic markers have been identified. The diagnosis is established based on the results of a biopsy of the foci of destruction, after confirming sterility and excluding tumor growth [14]. Despite a growing body of literature on the diagnosis and treatment of NBO in children, the manifestations are not always correctly interpreted because of the heterogeneity of clinical presentations and the complexity of pathology verification [15]. In children, the disease primarily affects the long tubular bones and less frequently the vertebral bodies, clavicles, and pelvic bones. Multifocal skeletal lesions are confirmed through a comprehensive examination of the child using imaging techniques such as whole-body MRI [16]. The diagnosis of NBO is based on a combination of major and minor criteria derived from clinical and instrumental signs. According to the classical criteria of A. Jansson et al., NBO can be diagnosed with two major criteria or one major criterion along with three minor criteria (Table) [17].
Table. Diagnostic criteria for nonbacterial osteomyelitis in children
Major criteria | Minor criteria |
1. Radiological local bone changes such as destruction, osteolysis, and osteosclerosis. 2. Multifocal bone lesions. 3. Papulopalmar pustulosis or psoriasis. 4. Negative blood cultures and contents obtained from bone biopsies | 1. The patient’s general well-being is only slightly affected. 2. Normal blood counts or a slight increase in C-reactive protein and erythrocyte sedimentation rate. 3. The disease duration is >6 months. 4. Hyperostosis. 5. Associated autoimmune diseases other than papulopalmar pustulosis or psoriasis. 6. Aggravated heredity for autoimmune diseases, autoinflammatory diseases, or chronic nonbacterial osteomyelitis |
Isolated clinical observations of the course of NBO with frontal bone lesions have been reported in Russian and foreign literature. According to the authors’ descriptions, these observations were manifestations of a systemic multifocal process. No studies have reported any cases of NBO in children with isolated lesions of the frontal bone [18, 19]. The presented clinical case is unique because of the rare variant of facial skull bone lesion, which led to the development of frontitis several months after sterile spondylitis. The frontal sinus chamber lesion also indicated a high risk of intracranial sinusogenic complications. Despite the typical presentation of NBO with vertebral body lesions, treatment with bisphosphonates was delayed until biopsy results confirmed “sterile” destruction of the frontal bone and presence of frontitis.
In 2018, M.S. Kofoed et al. reported NBO in two 11-year-old girls with delayed frontal bone lesions who received adalimumab therapy. Both patients developed destructive frontitis that resulted in severe intracranial complications. The genesis of frontal bone destruction was not agreed upon by the experts discussing these clinical cases. Immunosuppressive therapy was suggested as the cause of the destruction, which was subsequently canceled [20]. Several cases similar to the clinical observation can be found in open foreign sources and scientific literature. Specifically, this is a case of osteomyelitis affecting the sacrum and occipital bone in an 11-year-old boy and II metatarsal and frontal bones in a 9-year-old girl. In both cases, the diagnosis was established after biopsy and exclusion of tumor growth. Therapy with bisphosphonates resulted in complete restoration of bone structure and subsidence of inflammation [21, 22]. In this case, we applied the diagnostic criteria by A. Jansson et al. (refer to Table), which are recognized as the most sensitive. According to the criteria, the two major signs necessary for the diagnosis of NBO coincided with the child’s condition. However, the picture of the frontal bone lesion did not fully align with classical ideas regarding the NBO course, despite the biopsy confirming the sterility of the lesion. This is due to the phenomena of frontiers and absence of X-ray signs of osteosclerosis around the zone of destruction. Upon retrospective analysis of the case, the clinical, instrumental, and pathomorphologic features were consistent with the NBO course, as per the Bristol diagnostic criteria [23]. Furthermore, despite undergoing three courses of monotherapy with antibacterial drugs since the onset of signs of destructive frontitis, the child did not show significant improvement. This finding confirms the noninfectious genesis of the disease [24].
Currently, the treatment of NBO in children is mostly empirical because of the lack of approved clinical guidelines. However, therapy protocols have been systematized based on data accumulated over the last few decades. Nonsteroidal anti-inflammatory drugs are widely recognized as the most rational starting therapy for NBO [25]. In 2017, the Childhood Arthritis and Rheumatology Research Alliance (CARRA) published a protocol for treating NBO in children who have not responded adequately to nonsteroidal anti-inflammatory drugs and/or have spinal cord lesions. This protocol outlines three lines of therapy for the treatment of this condition. The first line of treatment involves the use of nonbiologic disease-modifying drugs, such as methotrexate or sulfasalazine, in standard anti-inflammatory doses. The second line involves the use of genetically engineered biological drugs, mainly from the group of tumor necrosis factor-alpha inhibitors (etanercept, adalimumab, infliximab, etc.), along with or without methotrexate. The third line involves the administration of bisphosphonates [26].
Bisphosphonates inhibit osteoclast activity and are believed to regulate bone remodeling. They have been proven to be highly effective anti-inflammatory agents and have contributed to rapid pain reduction in NBO [27]. Numerous studies have been published on the effective use of bisphosphonates in children with NBO, including those with vertebral body lesions. Clinical cases presenting the prevention of secondary scoliotic deformity with early administration of bisphosphonates have been discussed [28]. However, no uniform scheme has been established for the dosage, duration, and safety monitoring of bisphosphonates in children with NBO. CARRA researchers recommend pamidronic acid at a dose of 1 mg/kg per day (maximum of 60 mg/day) for three consecutive days every 3 months (with the first dose in the first series being 0.5 mg/kg per day) for at least 2 years [29].
Zoledronic acid is an alternative to bisphosphonates. However, no information is available on the efficacy of the other forms. However, the long-term use of pamidronic acid and alternative forms of bisphosphonates may not always be comparable [30]. Y. Zhao et al. (2018) reported that a single administration of zoledronic acid in patients with the vertebral form of NBO can be as effective as a 2-year course of therapy with pamidronic acid [31]. Cases of successful use of ibandronic acid for treating chronic sclerosing osteomyelitis, including lesions of the facial skull bones, have been reported. The data presented indicate good tolerability, rapid relief of pain, and high antiresorptive efficacy of the treatment [32]. The results of therapy for a clinical case of an 11-year-old child with NBO using ibandronic acid also confirm its high efficacy and good tolerability.
CONCLUSIONS
NBO is a rare immunoinflammatory skeletal disease that can affect any bone. Although cranial bone involvement is extremely rare, vertebral forms are common. This article reviews a highly unusual disease, which required the effective collaboration of a rheumatologist, orthopedist, and ENT specialist for diagnosis and treatment. NBO is a potentially treatable disease, and the success of therapy depends on the timing of referral to a rheumatologist.
ADDITIONAL INFORMATION
Funding source. The authors declare no funding for the conduct of the study.
Conflict of interest. The authors declare the absence of any obvious and potential conflicts of interest related to the publication of this article.
Ethical review. The protocol for the examination and treatment of children was approved by the local ethical committee of the Turner Research Center for Pediatric Traumatology and Orthopedics of the Ministry of Health of Russia (Minutes of the Meeting No. 3 dated October 28, 2009). The patient’s representatives provided consent for publication.
Authors’ contribution. A.N. Kozhevnikov, concept and design of the study and writing the text; V.I. Zorin, collection and processing of material and stage editing of the text.
All authors made a significant contribution to the study and preparation of the article and read and approved the final version before publication.
Acknowledgments. The authors express their deep gratitude to the Pathomorphologic Service of the Turner Research Center for Pediatric Traumatology and Orthopedics for the data provided.
About the authors
Aleksei N. Kozhevnikov
H. Turner National Medical Research Center for Children's Orthopedics and Trauma Surgery
Author for correspondence.
Email: infant_doc@mail.ru
ORCID iD: 0000-0003-0509-6198
SPIN-code: 1230-6803
MD, PhD, Cand. Sci. (Med.), Pediatric Rheumatologist
Russian Federation, Saint PetersburgVyacheslav I. Zorin
H. Turner National Medical Research Center for Children’s Orthopedics and Trauma Surgery
Email: zoringlu@yandex.ru
ORCID iD: 0000-0002-9712-5509
SPIN-code: 4651-8232
MD, PhD, Cand. Sci. (Med.), Assistant Professor
Russian Federation, Saint PetersburgReferences
- Kostik MM, Maletin AS, Petukhova VV, et al. Nonbacterial and bacterial osteomyelitis in children: a case-control retrospective study. Front Pediatr. 2023;11. doi: 10.3389/fped.2023.1067206
- Roderick MR, Sen ES, Ramanan AV. Chronic recurrent multifocal osteomyelitis in children and adults: current understanding and areas for development. Rheumatology (Oxford). 2018;57(1):41–48. doi: 10.1093/rheumatology/kex066
- Chichko AM, Bashlakova AN, Begun AN, et al. Slozhnosti diagnostiki khronicheskogo nebakterial’nogo osteomielita u detei. Meditsinskii zhurnal. 2022;4(82):126–132. (In Russ.)
- Grote V, Silier CC, Voit AM, et al. Bacterial osteomyelitis or nonbacterial osteitis in children: a study involving the German surveillance unit for rare diseases in childhood. Pediatr Infect Dis J. 2017;36(5):451–456. doi: 10.1097/INF.0000000000001469
- Schnabel A, Range U, Hahn G, et al. Unexpectedly high incidences of chronic non-bacterial as compared to bacterial osteomyelitis in children. Rheumatol Int. 2016;36(12):1737–1745. doi: 10.1007/s00296-016-3572-6
- Hofmann SR, Kapplusch F, Girschick HJ, et al. Chronic recurrent multifocal osteomyelitis (crmo): presentation, pathogenesis, and treatment. Curr Osteoporos Rep. 2017;15(6):542–554. doi: 10.1007/s11914-017-0405-9
- Hedrich CM, Morbach H, Reiser C, et al. New insights into adult and paediatric chronic non-bacterial osteomyelitis CNO. Curr Rheumatol Rep. 2020;22(9):52. doi: 10.1007/s11926-020-00928-1
- Koryllou A, Mejbri M, Theodoropoulou K, et al. Chronic nonbacterial osteomyelitis in children. Children (Basel). 2021;8(7):551. doi: 10.3390/children8070551
- Iyer RS, Thapa MM, Chew FS. Chronic recurrent multifocal osteomyelitis: review. Am J Roentgenol. 2011;196(6):87–91. doi: 10.2214/AJR.09.7212
- Ma L, Liu H, Tang H, et al. Clinical characteristics and outcomes of chronic nonbacterial osteomyelitis in children: a multicenter case series. Pediatr Rheumatol Online J. 2022;20(1):1. doi: 10.1186/s12969-021-00657-4
- Schaal MC, Gendler L, Ammann B, et al. Imaging in non-bacterial osteomyelitis in children and adolescents: diagnosis, differential diagnosis and follow-up-an educational review based on a literature survey and own clinical experiences. Insights Imaging. 2021;12(1):113. doi: 10.1186/s13244-021-01059-6
- Dhanrajani A, Khubchandani RP. Bisphosphonates in pediatric rheumatology: a review. Int J Clin Rheumatol. 2018;13(3):179–184.
- Bhat CS, Anderson C, Harbinson A, et al. Chronic non-bacterial osteitis – a multicentre study. Pediatr Rheumatol Online J. 2018;16(1):74. doi: 10.1186/s12969-018-0290-5
- Wipff J, Costantino F, Lemelle I, et al. A large national cohort of French patients with chronic recurrent multifocal osteitis. Arthritis Rheumatol. 2015;67(4):1128–1137. doi: 10.1002/art.39013
- Hofmann SR, Kubasch AS, Range U, et al. Serum biomarkers for the diagnosis and monitoring of chronic recurrent multifocal osteomyelitis (CRMO). Rheumatol Int. 2016;36(6):769–779. doi: 10.1007/s00296-016-3466-7
- Kozlova AL, Burlakov VI, Nesterenko ZA, et al. Chronic nonbacterial osteomyelitis: single center experience. Pediatric Hematology/Oncology and Immunopathology. 2020;19(4):76–84. (In Russ.) doi: 10.24287/1726-1708-2020-19-4suppl-76-84
- Jansson A, Renner ED, Ramser J, et al. Classification of non-bacterial osteitis: retrospective study of clinical, immunological and genetic aspects in 89 patients. Rheumatology. 2007;46(1):154–160. doi: 10.1093/rheumatology/kel190
- Mudri J, Lock J, Phadke O, et al. Chronic recurrent multifocal osteomyelitis causing optic neuropathy. J AAPOS. 2022;26(1):43–46. doi: 10.1016/j.jaapos.2021.09.003
- Fraleigh R, Wei XC, Yu W, et al. Chronic recurrent multifocal osteomyelitis with a comprehensive approach to differential diagnosis of paediatric skull pain. BMJ Case Rep. 2023;16(1). doi: 10.1136/bcr-2022-252471
- Kofoed MS, Fisker N, Christensen AE, et al. Sinogenic intracranial complications: is adalimumab a culprit? BMJ Case Rep. 2018;2018. doi: 10.1136/bcr-2017-221449.
- Watanabe T, Ono H, Morimoto Y, et al. Skull involvement in a pediatric case of chronic recurrent multifocal osteomyelitis. Nagoya J Med Sci. 2015;77(3):493–500.
- Anderson CM, Irwin G, Martin N. Chronic non-infectiveo osteitis (CNO) presenting as a lytic skull lesion. Rheumatology. 2018;57(8). doi: 10.1093/rheumatology/key273.010
- Roderick MR, Shah R, Rogers V, et al. Chronic recurrent multifocal osteomyelitis (CRMO) – advancing the diagnosis. Pediatr Rheumatol Online J. 2016;14(1):47. doi: 10.1186/s12969-016-0109-1
- Kostik MM, Kopchak OL, Taschilkin AI, et al. Criteria for differentiation of non-bacterial and haematogenous osteomyelitis: a case-control study with prospective verification of the outcomes. Current Pediatrics. 2018;17(6):458–464. (In Russ.) doi: 10.15690/vsp.v17i6.1976
- Zhao Y, Ferguson PJ. Chronic nonbacterial osteomyelitis and chronic recurrent multifocal osteomyelitis in children. Pediatr Clin North Am. 2018;65(4):783–800. doi: 10.1016/j.pcl.2018.04.003
- Kraus R, Laxer RM. Characteristics, treatment options, and outcomes of chronic non-bacterial osteomyelitis in children. Curr Treat Options in Rheum. 2020;6:205–222. doi: 10.1007/s40674-020-00149-8
- Hospach T, Langendoerfer M, von Kalle T, et al. Spinal involvement in chronic recurrent multifocal osteomyelitis (CRMO) in childhood and effect of pamidronate. Eur J Pediatr. 2010;169(9):1105–1111. doi: 10.1007/s00431-010-1188-5
- Shi X, Hou X, Hua H, et al. Case report: Child chronic nonbacterial osteomyelitis with rapid progressive scoliosis-an association with disease? Front Pediatr. 2023;11. doi: 10.3389/fped.2023.1076443
- Hirano D, Chiba K, Yamada S, Ida H. Oral alendronate in pediatric chronic recurrent multifocal osteomyelitis. Pediatr Int. 2017;59(4):506–508. doi: 10.1111/ped.13236
- Kaut S, van den Wyngaert I, Christiaens D, et al. Chronic nonbacterial osteomyelitis in children: a multicentre Belgian cohort of 30 children. Pediatr Rheumatol Online J. 2022;20(1):41. doi: 10.1186/s12969-022-00698-3
- Zhao Y, Wu EY, Oliver MS, et al. Chronic nonbacterial osteomyelitis/chronic recurrent multifocal osteomyelitis study group and the childhood arthritis and rheumatology research alliance scleroderma, vasculitis, autoinflammatory and rare diseases subcommittee. Consensus treatment plans for chronic nonbacterial osteomyelitis refractory to nonsteroidal antiinflammatory drugs and/or with active spinal lesions. Arthritis Care Res (Hoboken). 2018;70(8):1228–1237. doi: 10.1002/acr.23462
- Otto S, Troeltzsch M, Burian E, et al. Ibandronate treatment of diffuse sclerosing osteomyelitis of the mandible: pain relief and insight into pathogenesis. J Craniomaxillofac Surg. 2015;43(9):1837–1842. doi: 10.1016/j.jcms.2015.08.028
Supplementary files









