Остеоид-остеома кости-трапеции у ребёнка (клиническое наблюдение)
- Авторы: Авдейчик Н.В.1, Голяна С.И.2, Гранкин Д.Ю.2, Нилов А.Д.1, Чернявская-Хаукка В.В.1
-
Учреждения:
- Национальный медицинский исследовательский центр детской травматологии и ортопедии имени Г.И. Турнера
- Национальный медицинский исследовательский центр детской травматологии и ортопедии им. Г.И. Турнера
- Выпуск: Том 11, № 4 (2023)
- Страницы: 529-536
- Раздел: Клинические случаи
- Статья получена: 09.08.2023
- Статья одобрена: 03.11.2023
- Статья опубликована: 20.12.2023
- URL: https://journals.eco-vector.com/turner/article/view/568182
- DOI: https://doi.org/10.17816/PTORS568182
- ID: 568182
Цитировать
Аннотация
Обоснование. Остеоид-остеома — доброкачественное новообразование скелета диаметром до 1,5 см, которое наиболее часто встречается у детей на втором десятилетии жизни и в возрасте 20–30 лет преимущественно у лиц мужского пола. Интересно, что при больших размерах новообразования (более 1,5 см) с гистологической картиной, идентичной остеоид-остеоме, патологический процесс расценивают как остеобластому или гигантскую остеоид-остеому. Наиболее часто опухоль выявляют в длинных трубчатых костях и только у 5–15 % пациентов — в костях кисти. На этапе диагностического поиска наиболее часто опухоль приходится дифференцировать с воспалительными костно-деструктивными и ревматоидными процессами. Предложены различные варианты лечения остеоид-остеомы — как консервативные, так и оперативные.
Клиническое наблюдение. Пациенту 17 лет проведено оперативное лечение в связи с патологическим очагом в кости-трапеции и выраженным длительным некупируемым болевым синдромом.
Обсуждение. Выявление остеоид-остеомы (при отсутствии соответствующего опыта) остается сложной проблемой, что связано с неспецифичностью клинических проявлений заболевания и нередко малой информативностью стандартного рентгенологического исследования. Необходимо проведение компьютерной томографии для обнаружения патологического очага. При выявлении опухоли в костях кисти целесообразно выполнять хирургическое вмешательство в объеме резекции патологического очага в пределах неизмененной костной ткани и при необходимости осуществлять костную пластику пострезекционного дефекта. При нерадикальном удалении опухоли характерный болевой синдром возобновляется в ближайшие сроки после оперативного вмешательства. Для подтверждения клинического диагноза необходимо проведение патоморфологического исследования.
Заключение. При длительном некупируемом болевом синдроме необходимо комплексное обследование пациента. Радикально выполненное оперативное вмешательство при остеоид-остеоме приводит к стойкому исчезновению болевого синдрома, быстрому восстановлению функции кисти и улучшению качества жизни ребенка.
Ключевые слова
Полный текст
ОБОСНОВАНИЕ
Опухоли и опухолеподобные процессы костей из всего многообразия заболеваний кисти составляют от 3,5 до 5,2 % [1]. Остеоид-остеома (остеоидная остеома, ОО) относится к доброкачественным костеобразующим новообразованиям скелета (гистологическая классификация костных опухолей Всемирной организации здравоохранения, 2020 г.) [2]. Впервые ее описал H. Jaffe в 1935 г. как небольшую сферическую опухоль (обычно менее 1,0–1,5 см в диаметре) с характерной гистологической картиной [3]. Данному заболеванию более подвержены мужчины (примерно в два раза чаще, чем женщины) в возрасте 20–30 лет, редко встречается у пациентов старше 40 лет [4, 5]. В литературе не представлено ни одного случая малигнизации этой доброкачественной опухоли [6].
Приблизительно у 50 % пациентов ОО локализуется в длинных трубчатых костях нижней конечности (бедренная и большеберцовая кости). Отмечено также расположение в плечевой кости и костях предплечья (13,3–31 % больных). Только у 5–15 % всех пациентов ОО выявлена в костях кисти. В этих случаях опухоль наиболее часто поражала кости запястья, реже — пястные кости и фаланги пальцев [3, 4].
G.F. Ghiam представили сообщение о 26 пациентах, у которых ОО располагалась в костях запястья (наиболее часто в ладьевидной кости, реже в крючковидной и головчатой костях) [7]. A. Marcuzzi сообщил о 18 пациентах с ОО запястья и кисти (средний возраст — 27 лет): у двух — в ладьевидной, у двух — в полулунной и у одного — в головчатой костях [8], а J.M. Ambrosia сообщил о 19 случаях, в том числе двух в головчатой, одном в крючковидной и одном в трехгранной костях [9].
D. Jafari представил 20-летний опыт наблюдения за результатами лечения 25 пациентов с ОО кисти и запястья. Средний возраст составлял 25,2 ± 7,6 года (от 16 до 46 лет). Наиболее частая локализация — в проксимальных фалангах (10 случаев) и в костях запястья (2 в ладьевидной, 2 в головчатой и 1 в трапециевидной) [5].
Наиболее ранний симптом ОО — возникновение и постепенное усиление боли. Боль усиливается ночью и часто облегчается/полностью купируется нестероидными противовоспалительными препаратами. При внутрисуставной локализации опухоли отмечают картину синовита соответствующего сустава, что клинически проявляется контрактурой и может имитировать первичный артрит [5, 10]. В дифференциальной диагностике используют так называемый салицилатный тест: после приема производных салицилата выраженность болевых проявлений снижается (вплоть до полного их купирования) на время действия препарата. Это связано с уменьшением выработки простагландинов и простациклинов в очаге поражения [11].
Несвоевременная диагностика доброкачественных опухолей кисти достигает 20 %, что сопровождается неадекватным лечением и высокой частотой неудовлетворительных результатов (3–16 %) [1]. Дифференциальную диагностику ОО следует проводить с другими доброкачественными и злокачественными опухолями мягких тканей и костей, первично-хроническими формами остеомиелита (абсцесс Броди, склерозирующий остеомиелит Гарре), ревматоидными заболеваниями, реакцией на инородное тело, костным некрозом, болезнью Кинбека [11].
Основные методы диагностики новообразования — рентгенологическое исследование и компьютерная томография (КТ). При этом многие авторы указывают, что на рентгенограммах в стандартных проекциях не всегда удается достоверно обнаружить «гнездо» опухоли [4, 5, 8].
Проведение КТ целесообразно как пациентам с четко обозначенным на рентгенограммах очагом поражения, так и пациентам, находящимся на этапе диагностического поиска. Различные режимы реконструкции изображения при КТ позволяют получить максимально объективное представление о расположении опухолевого очага [4, 5].
Магнитно-резонансная томография (МРТ) — менее специфический метод исследования, чем КТ. Описано до 35 % диагностических ошибок при проведении МРТ в качестве основного исследования, поскольку четко идентифицировать «нидус» опухоли при данном исследовании не всегда представляется возможным, а улавливаемые реактивные (вторичные) изменения со стороны окружающей костной ткани и прилежащих мягкотканных структур нередко ошибочно расценивают как проявления воспалительного процесса (артрит, остеомиелит), злокачественных новообразований, стрессовых переломов [11, 12].
В связи с естественным течением заболевания возможно самостоятельное «заживление» ОО, очаг может «вызревать» и перестраиваться в течение многих лет, что приводит к исчезновению симптомов [13]. В качестве консервативного лечения применяют нестероидные противовоспалительные препараты, но эта практика не получила широкого распространения, в первую очередь из-за побочных эффектов со стороны желудочно-кишечного тракта при длительном их использовании. Предложена также методика чрескожного сверления очага под контролем КТ с последующей термокоагуляцией (радиочастотной абляцией). В литературе представлены хорошие результаты при ее использовании — выздоровление происходит в 90–98 % случаев. Однако проведение такого лечения на кисти затруднено из-за малых размеров опухоли и особенностей анатомической области (близкое расположение сухожилий, сосудисто-нервных пучков). Применение этого метода ограничено, так как окружающие, чувствительные к теплу анатомические структуры могут быть повреждены во время вмешательства [11, 14].
Основной метод лечения ОО костей кисти — оперативное вмешательство, заключающееся в резекции опухолевого очага (удаление опухоли в пределах неизмененной костной ткани или ее иссечение единым блоком) [5, 11, 12]. При этом костная пластика пострезекционного дефекта (учитывая его размеры) не обязательна. Адекватно выполненное хирургическое вмешательство позволяет стойко купировать боли и добиться выздоровления пациента, в случае нерадикального удаления «гнезда» опухоли болевой синдром возобновляется в ближайшие недели после операции [5].
При патоморфологическом исследовании макроскопически ОО круглой или овальной формы с максимальным размером до 1,5 с. При световой микроскопии обнаруживают поля остеоидных костных трабекул с признаками обызвествления, окруженных хорошо васкуляризированной клеточно-волокнистой тканью с единичными, местами образующими группы, многоядерными гигантскими клетками [10].
В литературе представлены редкие клинические случаи заболевания у пациентов до 18 лет с локализацией процесса в костях кисти [3, 12, 15–19].
КЛИНИЧЕСКОЕ НАБЛЮДЕНИЕ
В клинику реконструктивной микрохирургии и хирургии кисти ФГБУ «НМИЦ детской травматологии и ортопедии им. Г.И. Турнера» Минздрава России поступил пациент П., 17 лет, с жалобами на боли в левой кисти. Со слов пациента, болевой синдром беспокоит в течение года, впервые боли в кисти появились после длительного катания на горных лыжах. С течением времени боли усиливались, проявлялись в основном ночью и после повышенной физической нагрузки. По месту жительства получал курс консервативной терапии, выполняли иммобилизацию кистевого сустава, но положительной динамики в виде стойкого купирования болей не отмечено. На фоне приема нестероидных противовоспалительных препаратов выраженность болевого синдрома снизилась. По результатам рентгенологического обследования данных за костно-травматические изменения не получено. Проведенные по месту жительства исследования показали неравномерное расширение суставной щели, признаки синовита запястно-пястного сустава I пальца кисти (по данным ультразвукового исследования), диффузный отек и «асептический некроз» кости-трапеции (по данным МРТ).
При клиническом осмотре левой кисти наблюдался незначительный отек основания I пальца и области первого запястно-пястного сустава, кожные покровы были обычной окраской. Движения в пальцах кисти, кистевом суставе были сохранены. Признаков карпальной нестабильности не отмечено. Активное отведение I пальца левой кисти сопровождалось болезненностью в проекции его основания, преимущественно по ладонной поверхности. При пальпации данной области боли усиливались по ладонной поверхности кисти, отмечались признаки нестабильности первого запястно-пястного сустава. Осевая нагрузка на I палец была умеренно болезненна. Неврологических нарушений не выявлено, были доступны все виды хватов кисти. Сила схвата правой кисти — 36,8 кг, левой — 34,0 кг (рис. 1).
Рис. 1. Внешний вид кистей, амплитуда движений в кистевом суставе у пациента П., 17 лет
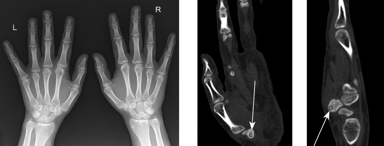
На рентгенограммах кистей в стандартных проекциях — без структурных изменений. При КТ кистей в области бугорка кости-трапеции левой кисти обнаружен отграниченный участок деструкции округлой формы размером 0,41 × 0,47 см со склеротическим ободком по периферии и с центрально расположенным включением костной плотности диаметром 0,2 см. Прилежащие отделы кортикального слоя пораженной кости истончены, периостальная реакция отсутствовала. Анатомические соотношения в лучезапястном суставе, суставах запястья и мелких суставах кисти не нарушены, суставные поверхности четкие, ровные. Костно-травматических изменений не выявлено (рис. 2).
Рис. 2. Пациент П., 17 лет. Рентгенограмма кистей в переднезадней проекции и компьютерная томограмма левой кисти в режиме MPR (фронтальная и сагиттальная плоскости), демонстрирующие локализацию «гнезда» опухоли (указана стрелками)
При МРТ определялась зона интенсивного диффузного трабекулярного отека кости-трапеции левой кисти, характеризующаяся гиперинтенсивным МР-сигналом на PD SPAIR и изогипоинтенсивным сигналом на Т1 ВИ. В структуре бугорка кости-трапеции по ладонной поверхности выявлено овоидное образование остеолитического характера диаметром 5 мм, с четкими контурами, окруженное по периферии слабовыраженным ободком остеосклероза. В структуре очага отмечен центральный участок остеосклероза низкоинтенсивного сигнала. Данное патологическое образование характеризовалось преимущественно изогипоинтенсивным сигналом на Т1 ВИ и PD SPAIR. Наблюдали умеренно выраженный отек параоссальных мягких тканей левой кисти соответствующей локализации (рис. 3).
Рис. 3. Пациент П., 17 лет. Магнитно-резонансные томограммы левой кисти, демонстрирующие локализацию «гнезда» опухоли (указана стрелкой)
По совокупности клинико-лучевых данных диагностирована остеоид-остеома кости-трапеции левой кисти. Учитывая стойкий болевой синдром и идентифицированное патологическое образование в левой кисти, принято решение выполнить оперативное вмешательство. Оперативное вмешательство проводили под эндотрахеальным наркозом, дополненным аксиллярной блокадой. После наложения кровоостанавливающего жгута в средней трети левого плеча, выполнен дугообразный разрез в проекции проксимального ряда костей запястья по ладонной поверхности. Отсепарованы короткие мышцы и выделена кость-трапеция. Надкостница в зоне расположения опухолевого очага отделена от подлежащего кортикального слоя без каких-либо затруднений, не отмечено ее вовлечения в патологический процесс (рис. 4, а). С целью интраоперационного определения топики «гнезда» опухоли установлена рентгеноконтрастная метка. Под контролем электронно-оптического преобразователя подтверждена предполагаемая локализация патологического образования. Последнее резецировано «единым блоком» в пределах неизмененной костной ткани, размеры иссеченного фрагмента — 1,0 × 0,7 см (рис. 4, б). Выполнено контрольное рентгенологическое исследование, подтвердившее радикальность резекции патологического образования. Рана ушита послойно с наложением интрадермального шва. Иммобилизация осуществлена мягкой повязкой.
Рис. 4. Пациент П., 17 лет. Интраоперационная фотография: а — после поднадкостничного выделения ладонной/волярной поверхности кости-трапеции; б — после резекции «гнезда» опухоли в пределах здоровых тканей
Резецированный фрагмент кости отправлен на гистологическое исследование.
В первые сутки после операции и в последующем характерных для дооперационного периода эпизодов ночных болей у подростка не отмечалось. Пациент выписан из клиники на 4-е сутки после операции.
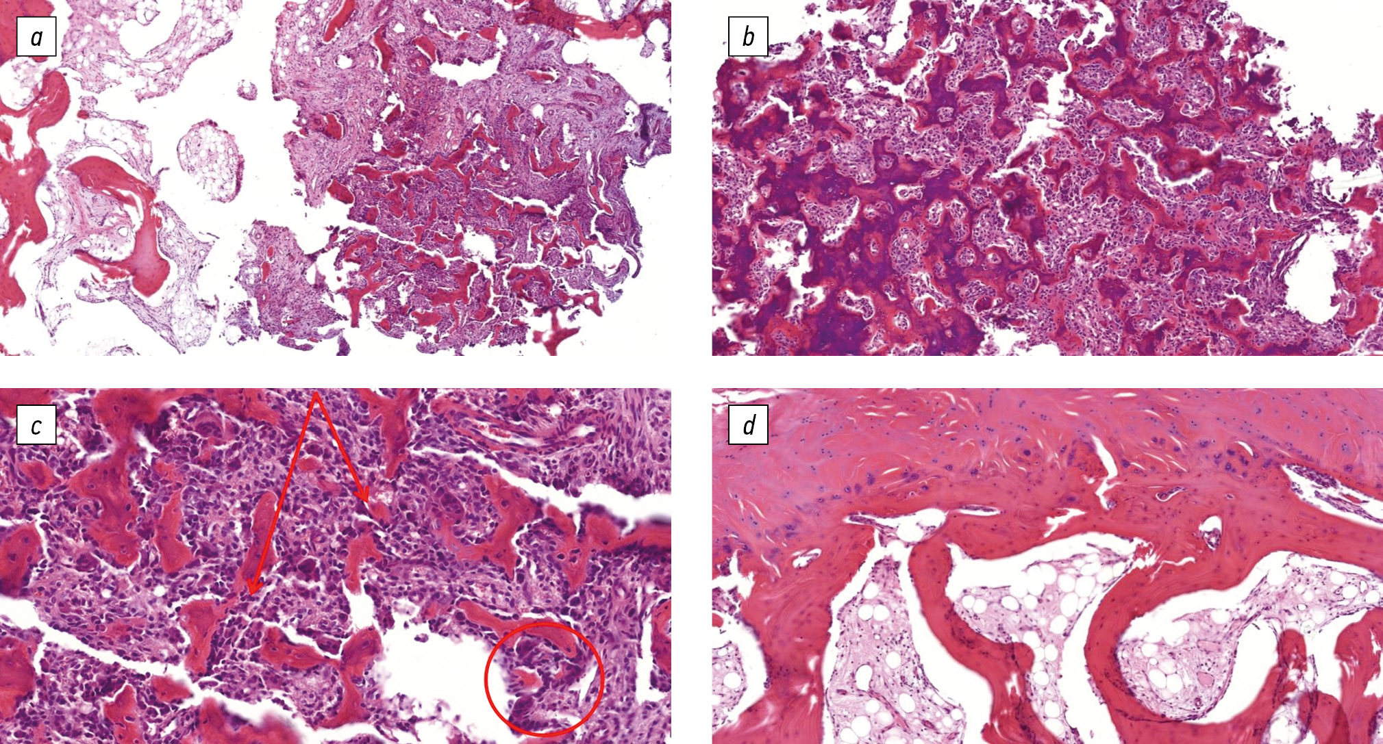
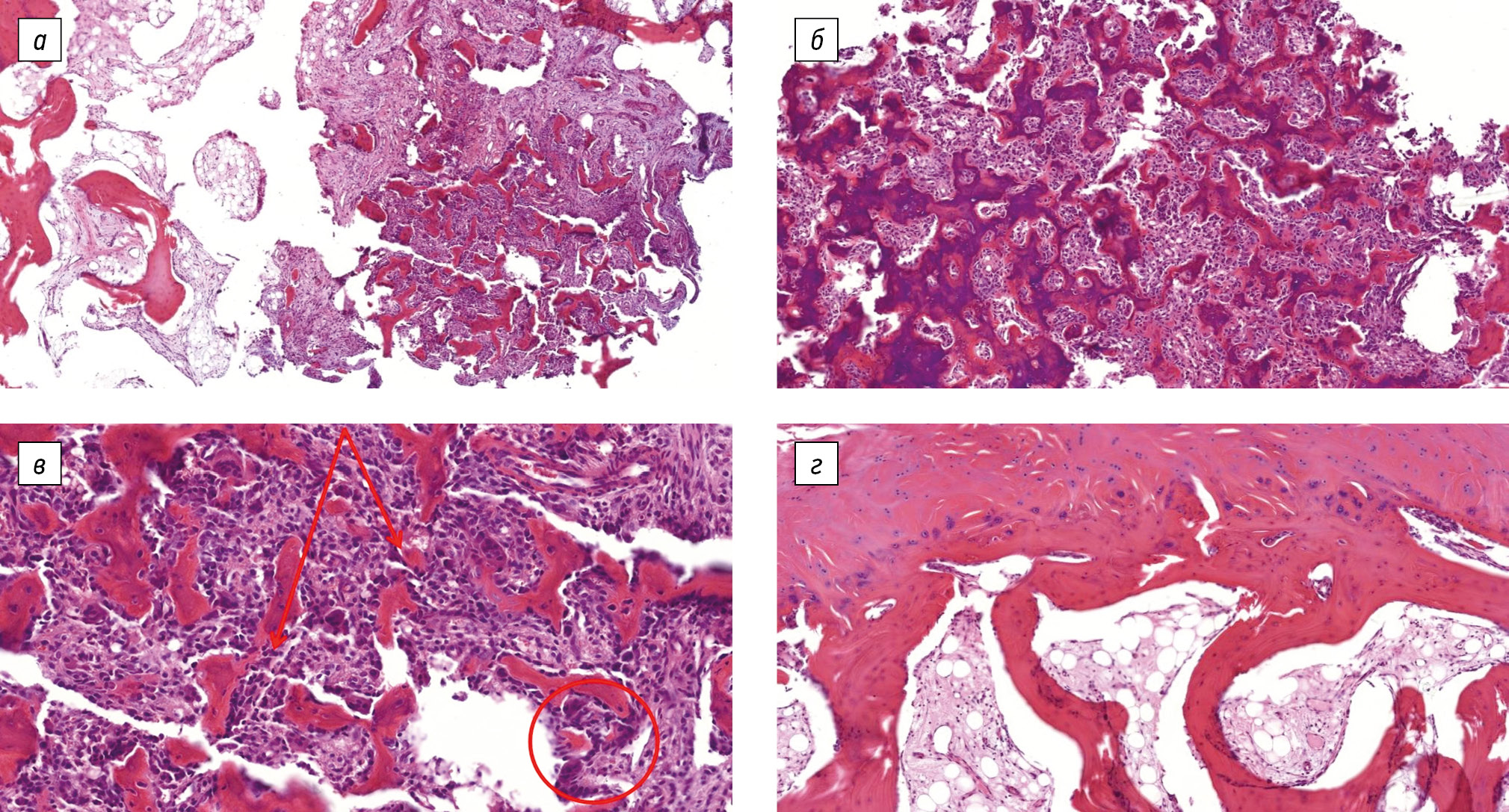
При гистологическом исследовании в периферических участках срезов определялись фрагменты костной ткани, представленные разнокалиберными костными трабекулами (рис. 5, а). Центральная часть исследуемого материала сформирована четко отграниченным очагом (нидусом), образованным переплетающимися между собой истонченными костными балочками причудливой формы с выраженной перифокальной остеобластической реакцией с немногочисленными гигантскими многоядерными клетками остеокластического типа (рис. 5, б). Плотность расположения костных балочек увеличивалась к периферии нидуса. В межтрабекулярном пространстве выявлялись фрагменты клеточно-волокнистой соединительной ткани, представленной веретеновидными клетками типа фибробластов (с гиперхромными ядрами овальной формы и светлой цитоплазмой), и округлыми клетками (множественное скопление остеокластов) (рис. 5, в). По периферии нидуса располагались преимущественно утолщенные (за счет гиперостоза) костные трабекулы, прилежащая к ним клеточно-волокнистая ткань была с признаками выраженного отека и миксоматоза. Помимо этого, в объеме исследуемого материала в клеточно-волокнистой ткани обнаружены множественные сосуды микроциркуляторного русла с утолщенной стенкой, а в периферических отделах — склерозированные соединительнотканные волокна надкостницы с мелкими и крупными остеогенными островками (рис. 5, г).
Рис. 5. Пациент П., 17 лет. Микрофотографии при гистологическом исследовании: а — обзорная микрофотография, демонстрирующая участок нидуса опухоли, граничащий с прилежащей костной тканью, окрашивание гематоксилином и эозином, ×50; б — фрагмент нидуса, представленный умеренно обызвествленными костными балками с клеточно-волокнистой соединительной тканью в межтрабекулярных пространствах, окрашивание гематоксилином и эозином, ×100; в — очаговая остеокластическая реакция с небольшим количеством гигантских многоядерных клеток остеокластического типа, окрашивание гематоксилином и эозином, ×200; г — утолщенные костные балки, граничащие со склерозированными соединительнотканными волокнами надкостницы, окрашивание гематоксилином и эозином, ×100
При клиническом осмотре пациента через 8 мес. после оперативного вмешательства данных за рецидив заболевания не выявлено. Движения в левом лучезапястном суставе — в пределах физиологической амплитуды, безболезненны; болей при физических нагрузках не отмечает. Сила схвата правой кисти — 37,0 кг, левой — 35,5 кг (тенденция к увеличению показателя по сравнению с результатами при первичном осмотре).
ОБСУЖДЕНИЕ
Локализация ОО в кисти — достаточно редкое явление, в связи с чем ее диагностика может быть затруднена. Один из характерных симптомов ОО — боль, усиливающаяся ночью [10]. Несоответствие между сильной болью и размером опухоли, вероятно, объясняется васкуляризацией очага поражения. Сосудистый характер поражения усиливает напряжение и отек, вызывая боль путем прямой стимуляции местных нервов вокруг внутрикостных сосудов. При физикальном обследование часто выявляют локальную болезненность, отек мягких тканей, а также снижение амплитуды движений, что имитирует первичный артрит [8]. У данного контингента пациентов болевые ощущения при приеме нестероидных противовоспалительных препаратов уменьшаются. В нашем исследовании у пациента зафиксирован положительный салицилатный тест, что позволило исключить другие заболевания кисти на этапе обследования.
Рентгенологическая картина при ОО в большинстве случаев достаточно характерна: на фоне асимметрично утолщенного кортикального слоя обнаруживают так называемый нидус (гнездо) — локальный участок деструкции костной ткани до 1,0 см в диаметре [20]. Однако в нашем наблюдении при рентгенологическом исследовании не выявлено костно-травматических изменений, что подтверждают данные литературы с описанием первоначальных рентгенограмм кисти без видимых изменений [8].
Предоперационная КТ-оценка участка структурных изменений костной ткани значительно помогает хирургу и повышает вероятность проведения резекции в адекватном (с позиции радикальности) объеме [4, 8].
Опухоль никогда не нарушает целостности кортикального слоя и надкостницы и не инфильтрирует окружающие мягкие ткани [6], что отмечено и нами при проведении оперативного вмешательства.
Многие авторы представляют хорошие результаты лечения пациентов с ОО: после хирургического лечения симптоматика регрессирует, при отдаленных наблюдениях опухоль не рецидивирует [10, 11]. При нерадикальном удалении опухоли так называемый продолженный рост клинически проявляется болевым синдромом в течение ближайших 7 мес. после оперативного вмешательства. В преобладающем большинстве случаев продолженный рост возникает после процедуры выскабливания новообразования, радикализм оперативного вмешательства достигается резекцией опухоли «единым блоком» [15].
В нашем наблюдении диагноз подтвержден гистологическим исследованием, показавшим характерное для ОО микроскопическое строение.
ЗАКЛЮЧЕНИЕ
Представленный клинический случай демонстрирует, что детей с длительным болевым синдромом в кисти необходимо комплексно обследовать, проводить дифференциальную диагностику с воспалительными процессами и исключать другие новообразования. Хирургическое лечение позволяет одномоментно восстановить функцию кисти и улучшить качество жизни пациента в связи с купированием болевого синдрома.
ДОПОЛНИТЕЛЬНАЯ ИНФОРМАЦИЯ
Источник финансирования. Данное исследование не имело финансовой поддержки.
Конфликт интересов. Авторы декларируют отсутствие явных и потенциальных конфликтов интересов, связанных с публикацией настоящей статьи.
Этическая экспертиза. Получено информированное согласие пациента на публикацию персональных данных. Исследование одобрено локальным этическим комитетом (протокол № 23-2 от 29.05.2023).
Вклад авторов. Н.В. Авдейчик — анализ литературы, написание текста статьи; С.И. Голяна — концепция исследования, редактирование текста статьи; Д.Ю. Гранкин — поиск и анализ литературных источников; А.Д. Нилов — выполнение гистологического исследования, анализ данных; В.В. Чернявская-Хаукка — поиск литературных источников.
Все авторы внесли существенный вклад в проведение исследования и подготовку статьи, прочли и одобрили финальную версию перед публикацией.
Об авторах
Наталья Валерьевна Авдейчик
Национальный медицинский исследовательский центр детской травматологии и ортопедии имени Г.И. Турнера
Автор, ответственный за переписку.
Email: natali_avdeichik@mail.ru
ORCID iD: 0000-0001-7837-4676
SPIN-код: 6059-4464
канд. мед. наук
Россия, Санкт-ПетербургСергей Иванович Голяна
Национальный медицинский исследовательский центр детской травматологии и ортопедии им. Г.И. Турнера
Email: ser.golyana@yandex.ru
ORCID iD: 0000-0003-1319-8979
SPIN-код: 8360-8078
канд. мед. наук
Россия, Санкт-ПетербургДенис Юрьевич Гранкин
Национальный медицинский исследовательский центр детской травматологии и ортопедии им. Г.И. Турнера
Email: grankin.md@gmail.com
ORCID iD: 0000-0001-8948-9225
SPIN-код: 1940-3837
научный сотрудник
Россия, Санкт-ПетербургАлександр Дмитриевич Нилов
Национальный медицинский исследовательский центр детской травматологии и ортопедии имени Г.И. Турнера
Email: sh097@mail.ru
ORCID iD: 0009-0005-8845-7009
SPIN-код: 8289-3490
врач-патологоанатом
Россия, Санкт-ПетербургВарвара Викторовна Чернявская-Хаукка
Национальный медицинский исследовательский центр детской травматологии и ортопедии имени Г.И. Турнера
Email: haukka90@mail.ru
ORCID iD: 0000-0002-6349-0559
врач — травматолог-ортопед
Россия, Санкт-ПетербургСписок литературы
- Очкуренко А.А., Молов Х.Х. Локализация доброкачественных опухолей, опухолеподобных и воспалительных заболеваний в костях кисти // Медицина Кыргызстана. 2012. № 3. С. 182–183.
- Tirabosco R., Hameed M. Dedifferentiated chordoma // Soft tissue and bone tumours. WHO classification of tumours. 5th ed. Vol. 3. Lyon: IARC, 2020. P. 454–455.
- Bailey J.R., Holbrook J. Phalangeal osteoid osteoma of thumb // J. Hand Surg. Am. 2019. No. 44. No. 11. Р. 95.e1–995.e4. doi: 10.1016/j.jhsa.2018.12.003
- Поздеев А.П., Чигвария Н.Г. Диагностика и лечение остеоидостеомы у детей // Детская хирургия. 2014. Т. 18. № 3. С. 14–19.
- Jafari D., Shariatzade H., Mazhar F.N., et al. Osteoid osteoma of the hand and wrist: a report of 25 cases // Med. J. Islam. Repub. Iran. 2013. No. 27. Р. 62–66.
- Блудов А.Б., Федорова А.В., Замогильная Я.А., и др. Остеоид-остеома // Саркомы костей, мягких тканей и опухоли кожи. 2022. № 3. С. 26–33.
- Ghiam G.F., Bora F.W. Jr. Osteoid osteoma of the carpal bones // J. Hand Surg. Am. 1978. No. 3. Р. 280–283. doi: 10.1016/s0363-5023(78)80093-8
- Marcuzzi A., Acciaro A.L., Landi A. Osteoid osteoma of the hand and wrist // J. Hand Surg. Br. 2002. No. 27. Р. 440–443. doi: 10.1054/jhsb.2002.0811
- Ambrosia J.M., Wold L.E., Amadio P.C. Osteoid osteoma of the hand and wrist // J. Hand Surg. Am. 1987. Vol. 12. No. 5. Pt. 1. P. 794–800. doi: 10.1016/s0363-5023(87)80072-2
- Erdogan O., Gurkan V. Hand osteoid osteoma: evaluation of diagnosis and treatment // Eur. J. Med. Res. 2019. Vol. 24. No. 1. P. 3. doi: 10.1186/s40001-019-0361-1
- Balog L., Szakács N., Kiss J., et al. A kéz osteoid osteomáinak kivizsgálása és műtéti ellátása [Osteoid osteoma of the hand – diagnostics and operative treatment] // Orv. Hetil. 2020. Vol. 161. No. 7. Р. 263–268. doi: 10.1556/650.2020.31645
- Álvarez-Álvarez A., Riera Campillo M., Reimunde Seoane E., et al. Osteoma osteoide: causa poco frecuente de dolor crónico en la muñeca en una niña // Arch. Argent. Pediatr. 2021. Vol. 119. No. 1. Р. e61–e64. doi: 10.5546/aap.2021.e61
- Goto T., Shinoda Y., Okuma T., et al Administration of nonsteroidal anti-inflammatory drugs accelerates spontaneous healing of osteoid osteoma // Arch. Orthop. Trauma Surg. 2011. Vol. 131. No. 5. Р. 619–625. doi: 10.1007/s00402-010-1179-z
- Chahal A., Rajalakshmi P., Khan S.A., et al. CT-guided percutaneous radiofrequency ablation of osteoid osteoma: our experience in 87 patients // Indian J Radiol. Imaging. 2017. Vol. 27. No. 2. Р. 207–215. doi: 10.4103/ijri.IJRI_260_16
- Jaehn T., Sievers R., Wanninger A., et al. Osteoidosteom im Os scaphoideum als Ursache für radiokarpale Handgelenksbeschwerden bei einem 15-jährigen Patienten // Der Unfallchirurg. 2018. Vol. 121. P. 497–501. doi: 10.1007/s00113-018-0479-6
- Katolik L.I. Osteoid osteoma of the scaphoid presenting with radiocarpal arthritis: a case report // Hand (NY). 2009. Vol. 4. No. 2. P. 187–190. doi: 10.1007/s11552-008-9159-2
- Georgiev G.P., Slavchev S.A., Dimitrova I.N. Osteoid osteoma of the middle phalanx of the third finger in a child mimicking a malignancy // Folia Medica (Plovdiv). 2018. Vol. 60. No. 2. P. 314–317. doi: 10.1515/folmed-2017-0085
- Boscainos P.J., Cousins G.R., Kulshreshtha R., et al. Osteoid osteoma // Orthopedics. 2013. Vol. 36. No. 10. P. 792–800. doi: 10.3928/01477447-20130920-10
- Егоренков В.В. Пограничные и доброкачественные опухоли костей // Практическая онкология. 2010. Т. 11. № 1. С. 37–44.
Дополнительные файлы









