Сравнительная оценка моделей контузионной травмы спинного мозга из вентрального и дорсального доступов у кроликов в эксперименте
- Авторы: Шабунин А.С.1,2, Савина М.В.3, Рыбинских Т.С.1, Древаль А.Д.4, Сафаров В.Д.4,2, Сафонов П.А.4, Федюк А.М.4, Ситовская Д.А.5, Дячук Н.М.4, Байдикова А.С.4, Конькова Л.С.4, Власова О.Л.2, Виссарионов С.В.4
-
Учреждения:
- Национальный медицинский исследовательский центр детской травматологии и ортопедии им. Г.И. Турнера
- Санкт-Петербургский политехнический университет Петра Великого
- Национальный медицинский исследовательский центр травматологии и ортопедии имени Г.И. Турнера
- Национальный медицинский исследовательский центр детской травматологии и ортопедии имени Г.И. Турнера
- Российский научно-исследовательский нейрохирургический институт имени профессора А.Л. Поленова
- Выпуск: Том 11, № 4 (2023)
- Страницы: 487-500
- Раздел: Экспериментальные и теоретические исследования
- Статья получена: 12.08.2023
- Статья одобрена: 25.10.2023
- Статья опубликована: 20.12.2023
- URL: https://journals.eco-vector.com/turner/article/view/568295
- DOI: https://doi.org/10.17816/PTORS568295
- ID: 568295
Цитировать
Аннотация
Обоснование. Современные экспериментальные модели для изучения позвоночно-спинномозговой травмы преимущественно основаны на повреждении спинного мозга у крыс или мышей. Как правило, моделирование экспериментальных травм спинного мозга выполняют из дорсального доступа, что исключает его повреждение в результате сдавления отломками тела сломанного позвонка и существенно ограничивает применение полученных результатов с точки зрения клинической практики.
Цель — провести сравнительный анализ экспериментальной модели позвоночно-спинномозговой травмы у кроликов из вентрального доступа с моделью позвоночно-спинномозговой травмы из дорсального доступа.
Материалы и методы. Исследование проводили на 20 самках кроликов породы Советская шиншилла массой 3,5–4,5 кг. Кролики были разделены на две группы и подвергались стандартизированным повреждениям спинного мозга из вентрального и дорсального доступов на уровне позвонка LII (по 10 кроликов в каждой группе). У всех экспериментальных животных регистрировали соматосенсорные, моторные вызванные потенциалы и H-рефлекс до травмы, сразу после и через 3 и 8 ч после травмы. Выполнены также гистологические исследования с проведением качественного и полуколичественного анализа биопсийных образцов поврежденных участков спинного мозга и оценкой числа дистрофичных нейронов в динамике. Результаты нейрофизиологического и гистологического исследования спинного мозга при вентральной и дорсальной травмах подвергали статистической обработке.
Результаты. При моделировании травмы спинного мозга из вентрального доступа наблюдается более выраженное его повреждение по сравнению с моделью из дорсального доступа. Выявлено нарушение функций нейронов как на уровне травматизации, так и ниже зоны повреждения. При вентральном доступе отмечена меньшая степень кровоизлияния, чем при дорсальном, по данным гистологического исследования.
Заключение. Полученные результаты указывают на более выраженный строго контузионный механизм повреждения спинного мозга при экспериментальном моделировании травмы из вентрального доступа и максимальную приближенность полученной модели к клинической ситуации. Созданная экспериментальная модель контузионного повреждения спинного мозга у лабораторного животного в дальнейшем может быть использована в хронических экспериментах.
Ключевые слова
Полный текст
ОБОСНОВАНИЕ
Позвоночно-спинномозговая травма (ПСМТ) — актуальная и значимая медицинская и социальная проблема, в связи с тем что в большинстве случаев приводит к стойкой утрате трудоспособности и развитию инвалидности [1]. Несмотря на то что существует множество научных публикаций по данной тематике, продолжается поиск эффективных методов лечения, основанных на изучении патогенетических механизмов нарушений при травме в экспериментальных работах. Однако часто результаты экспериментальных исследований не удается внедрить в клиническую практику, что обусловлено трудностью воспроизведения в эксперименте как условий ПСМТ, так и дальнейших патологических процессов, близких к реальным у человека, а также видоспецифическими особенностями процессов регенерации и восстановления функции проводящих путей у животных моделей [2]. Именно поэтому усовершенствование экспериментальных моделей ПСМТ у лабораторных животных остается актуальной проблемой экспериментальной травматологии.
Основное биомеханическое отличие экспериментальных моделей ПСМТ от ПСМТ у человека состоит в повреждении дорсальных структур спинного мозга и использовании ламинэктомии для доступа к ним при моделировании удара. При этом в клинической ситуации в подавляющем большинстве случаев происходит повреждение передних структур спинного мозга в результате удара и сдавливания отломками тела сломанного позвонка.
При обзоре доступных сообщений по известным экспериментальным моделям травмы спинного мозга у лабораторных животных выявлена недостаточная стандартизация и воспроизводимость этих моделей на животных, исключая мышей или крыс, для которых существует обширная база публикаций и соответствующих критериев по оценке как тяжести травматических повреждений в эксперименте, так и последующего восстановления [3–6]. Использование мелких грызунов в большинстве экспериментов связано с экономическими факторами — относительной невысокой стоимостью эксперимента при долгосрочных исследованиях. Однако применение мелких грызунов в качестве модельных объектов имеет целый ряд ограничений при изучении дальнейших последствий ПСМТ, что обусловлено рядом факторов: размерами и физиологическими особенностями лабораторного животного, анатомическим строением корешков спинного мозга, скоростью регенерации аксонов и рисками спонтанной регенерации поврежденных участков [7, 8]. Использование лабораторных животных малых размеров сопряжено с необходимостью крайне высокой точности имплантации долгосрочных регистрирующих электродов, что может влиять на воспроизводимость данных. Все эти причины объясняют редкое использование нейрофизиологических исследований при моделировании позвоночно-спинномозговой травмы.
По данным разных авторов, для лабораторной работы целесообразно применение стандартных средних и крупных видов животных, среди которых одним из перспективных для изучения ПСМТ является кролик. Особенность анатомического строения кролика заключается в большей протяженности спинного мозга по сравнению с грызунами. Кроме того, кролик обладает наиболее низким репаративным потенциалом спинномозговых структур среди других животных, используемых в эксперименте (мышей, собак, кошек, морских свинок и свиней) [9, 10]. Как лабораторное животное кролик может служить оптимальной моделью для оценки состояния в послеоперационном периоде, а также в неврологических исследованиях по изучению компрессионных повреждений и ишемии-реперфузии спинного мозга, что связано с особенностями его кровоснабжения от брюшной аорты [11].
Результаты нейрофизиологического и гистоморфологического исследования спинного мозга у кроликов описаны в единичных научных работах, посвященных моделированию контузионной ПСМТ. Следует отметить, что в данных работах травму наносили с дорсальной стороны, а наблюдение ограничивалось 4 ч после ПСМТ из дорсального доступа [12, 13].
До настоящего момента в доступной научной литературе не представлены воспроизводимые модели контузионной ПСМТ из вентрального доступа, которые были бы максимально приближены к клинической ситуации, что вызвано большой сложностью проведения подобных вмешательств и общей трудозатратностью экспериментов по моделированию контузионной ПСМТ на кроликах.
Цель — провести сравнительный анализ экспериментальной модели позвоночно-спинномозговой травмы у кроликов из вентрального доступа с моделью позвоночно-спинномозговой травмы из дорсального доступа.
МАТЕРИАЛЫ И МЕТОДЫ
Стратегия исследования
Исследование проводили на 20 самках кроликов породы Советская шиншилла массой 3,5–4,5 кг. Животные были разделены на две группы: 10 кроликам проводили моделирование ПСМТ из вентрального доступа, 10 кроликам — из дорсального доступа.
Карантинизацию, содержание и подготовку лабораторных животных перед операцией выполняли в соответствии с ГОСТ 33216-2014 «Руководство по содержанию и уходу за лабораторными животными. Правила содержания и ухода за лабораторными грызунами и кроликами».
Всем животным в ходе работы осуществляли электрофизиологическое исследование до, сразу после, через 3 и 8 ч после нанесения ПСМТ с помощью оборудования Нейро-МВП-8 («Нейрософт», Россия). Регистрировали моторные вызванные потенциалы (МВП), соматосенсорные вызванные потенциалы (ССВП) и Н-рефлекс. Электроды устанавливали в условиях комбинированной анестезии, включавшей предварительную седацию животного раствором ксилазина («Рометар», Россия) в дозе 5 мг/кг с последующей ингаляцией паров севофлурана в концентрации 3 %. После установки электродов животное выводили из наркоза на 1,5 ч в целях минимизации остаточного миорелаксирующего действия севофлурана. Далее на фоне внутривенной инфузии пропофола в концентрации 4–6 мг/кг в час регистрировали исходные нейрофизиологические показатели. После регистрации нейрофизиологических параметров моделировали травму спинного мозга при продолжающейся инфузии пропофола, сопровождаемой инъекциями нестероидных противовоспалительных препаратов. Повторно нейрофизиологические показатели регистрировали сразу после, через 3 и 8 ч после травмы. Любые препараты, оказывающие миорелаксирующее воздействие, не применяли вследствие необходимости оценки проведения моторных сигналов сразу после травмы. На протяжении всего эксперимента мониторировали электрокардиограмму и частоту дыхания у лабораторных животных. Через 8 ч после момента моделирования повреждения спинного мозга животных выводили из эксперимента путем внутривенного введения 10 % раствора лидокаина под общей анестезией.
Нейрофизиологические исследования
Стимулирующие и регистрирующие электроды для проведения нейрофизиологического исследования устанавливали соответственно схемам, изображенным на рис. 1. Для воспроизводимости результатов нейрофизиологического обследования в процессе эксперимента стимулирующие и регистрирующие электроды имплантировали хирургическим путем.
Рис. 1. Схема регистрации нейрофизиологических показателей экспериментального животного: а — соматосенсорные вызванные потенциалы (1 — стимулирующий электрод на седалищном нерве, 2.1 — регистрирующий электрод на коре головного мозга, 2.2 — регистрирующий электрод на поясничном утолщении спинного мозга); б — моторные вызванные потенциалы (1 — стимулирующий электрод в проекции моторной зоны коры головного мозга, 2.1 — регистрирующий электрод на трицепсе плеча, 2.2 — регистрирующий электрод на икроножной мышце); в — Н-рефлекс (1 — стимулирующий электрод на седалищном нерве, 2 — регистрирующий электрод на икроножной мышце)
Вследствие необходимости продолжительной регистрации сигналов в разные временные интервалы были использованы cuff-электроды собственного производства, представлявшие собой плетеную токопроводящую нить на основе нержавеющей стали, покрытую медицинским силиконом. Две подобные нити имели неизолированные концевые участки, которые фиксировали на нерве на стандартном расстоянии 1 см относительно друг друга. Совокупный импеданс системы из пары (активный и референтный электроды) подобных электродов при наложении на целевой участок, измеряемый встроенными функциями программного обеспечения «Нейрософт-М», находился в диапазоне 0,8–1,0 кОм.
Для регистрации МВП и ССВП активный и референтный электроды устанавливали в губчатый слой костей свода черепа c обеих сторон от сагиттальной линии согласно схеме, представленной на рис. 2, после просверливания первого кортикального слоя костной фрезой диаметром 0,3 мм.
Рис. 2. Схема имплантации внутричерепных электродов: а — схема разметки зон установки внутричерепных электродов (активно — фронтально и референтно — дорсально), стимулирующих для моторных вызванных потенциалов, регистрирующих для соматосенсорных вызванных потенциалов; б — операционное поле с подготовленными отверстиями для имплантации
Данные точки имплантации выбраны в связи с локализацией в этой области моторной и сенсорной зон коры головного мозга согласно атласам мозга кролика [14]. При регистрации МВП имплантируемые в череп электроды выполняли стимулирующую функцию, а при исследовании ССВП — регистрирующую. Внутричерепные электроды были выполнены на основе золотой проволоки. После установки электроды фиксировали костным цементом.
Стимулирующие электроды для исследования ССВП и Н-рефлекса устанавливали на седалищный нерв обеих задних конечностей и фиксировали к окружающим мышцам отдельными узловыми швами. Для регистрации Н-рефлекса парные игольчатые электроды располагали в мышцах — сгибателях задних конечностей. Для регистрации МВП с мышц задних лап использовали регистрирующие электроды для Н-рефлекса, для регистрации МВП с передней лапы парные игольчатые электроды устанавливали в m. triceps brachii. Активный регистрирующий электрод размещали в толще брюшка мышцы, референтный — у сухожилия мышцы.
После установки электродов для получения МВП осуществляли электрическую стимуляцию коры головного мозга одиночными электрическими импульсами длительностью 0,2 мс, интенсивность стимуляции — 100 мА. Для регистрации ССВП проводили ритмическую стимуляцию седалищного нерва электрическим током частотой 0,5 Гц, длительность стимула — 0,2 мс, интенсивность стимуляции — 2 мА.
При исследовании Н-рефлекса для получения максимального значения амплитуды Н- и М-ответа при стимуляции седалищного нерва постепенно увеличивали интенсивность импульса от 0,2 до 8,0 мА с шагом 0,2 мА.
Моделирование позвоночно-спинномозговой травмы
Контузионную ПСМТ из вентрального доступа моделировали по авторской методике, отраженной в патенте на изобретение № 2768486 «Способ моделирования травматического повреждения спинного мозга из вентрального доступа в поясничном отделе позвоночника» (2022) [15]. После выбривания и обработки операционного поля спиртовым раствором антисептика скальпелем выполняли линейный разрез кожи и подкожной жировой клетчатки длиной 8–10 см по параректальной линии живота. Рассекали первый слой мышц передней брюшной стенки (наружная косая мышца), далее тупым методом расслаивали слои мышц до позвоночника (наружная и внутренняя косые мышцы). Ввиду малой толщины и прочности кроличьей брюшины и большой вероятности ее повреждения доступ к забрюшинному пространству производили как можно ближе к позвоночнику. По краю поперечных отростков рассекали внутреннюю косую и поперечную мышцы. Осуществляли ревизию забрюшинного пространства и идентификацию позвонка LII. Затем лопатками отодвигали в сторону забрюшинную клетчатку и органы забрюшинного пространства. С помощью изогнутого распатора Фарабефа и коагулятора тело позвонка LII освобождали от мышц, связок и надкостницы. Костной фрезой диаметром 3 мм в центре тела позвонка высверливали отверстие, аккуратно извлекали костную стружку. При помощи ударной установки повреждали спинной мозг, вес груза составлял 100 г, свободный ход — 30 см. При данном варианте подхода к спинному мозгу и его повреждению позвоночно-двигательный сегмент, в зоне которого наносили травму спинного мозга, в стабилизации не нуждался. Затем обеспечивали гемостаз и послойно ушивали рану наглухо.
Ударная установка представляла собой конструкцию из двух частей. Ударной частью (импактором) служил металлический стержень длиной 20 см и массой 15 г, в верхней части которого был закреплен дополнительный груз массой 20 г. Вторая часть установки представляла собой металлическую раму, которую располагали строго в горизонтальном положении в ходе операции с помощью специального уровня, с направляющей трубкой, фиксированной на раме (рис. 3).
Рис. 3. Фотографии установки для нанесения удара в сборке
У второй группы животных ПСМТ моделировали из дорсального ламинэктомического доступа на том же уровне (позвонок LII) и с той же силой удара.
Животные обеих групп были иммобилизованы на протяжении всего периода исследования во избежание смещения и повреждения системы электродов.
Гистологическое исследование
Кролики подвергались эвтаназии через 0, 3 и 8 ч после нанесения травмы и после проведения нейрофизиологического исследования. В соответствующий временной промежуток вскрывали позвоночный канал путем его рассечения и извлекали спинной мозг от первого поясничного сегмента (LI) до V поясничного позвонка (LV). Затем каждый образец помещали в 10 % раствор забуференного формалина на 48 ч. При вырезке аутопсийного материала получены поперечные и продольные срезы спинного мозга. Ориентиром служила зона наибольших макроскопических изменений (кровоизлияния в ткань спинного мозга). Из данной области вырезали поперечный срез, затем выполняли продольные срезы в краниальном и каудальном направлениях на уровне передних рогов спинного мозга длиной 0,7 см, после чего снова производили поперечные срезы. Материал обезвоживали стандартным способом в спиртах возрастающей концентрации и заливали в парафин. Парафиновые блоки микротомировали, получались гистологические срезы толщиной 3 мкм, которые окрашивали гематоксилином и эозином. Визуализацию проводили на микроскопах AxioStar (CarlZeiss, Германия) и ЛОМО БЛМ (Россия), микрофотографии выполнены на встроенную в микроскоп ЛОМО БЛМ камеру MC-CAM. Площадь кровоизлияния оценивали с использованием программного обеспечения MC-View (Германия), количество нейронов — с помощью программного обеспечения QuPath (Великобритания).
Статистическая обработка данных
Статистическую обработку данных осуществляли в программе Wolfram Mathematica 11. Нормальность распределений определяли путем теста Шапиро – Уилка, межгрупповые различия — при помощи теста Манна – Уитни.
РЕЗУЛЬТАТЫ
Общие наблюдения
В результате 20 операций по моделированию повреждения спинного мозга из вентрального и дорсального доступов интраоперационных осложнений отмечено не было. Все экспериментальные животные перенесли этап имплантации электродов для нейрофизиологического исследования и этап моделирования травмы без необходимости дополнительных вмешательств. При применении вентрального доступа отмечены высокая хирургическая сложность и необходимость в крайне быстром и своевременном обеспечении гемостаза после нанесения удара импактором. В последующем восьмичасовом послеоперационном периоде летальности экспериментальных животных не наблюдалось.
В результате манипуляций в обеих группах животных в клинической картине выявлено отсутствие любой двигательной активности задних лап — как произвольной, так и непроизвольной и опущенное положение хвоста, что позволяло сделать заключение о полном повреждении моторных путей спинного мозга, которое подтверждено данными нейрофизиологического исследования.
Результаты нейрофизиологических исследований
Моторные вызванные потенциалы
В первой и второй группах экспериментальных животных до моделирования травмы зарегистрированы МВП с мышц передней конечности и обеих задних конечностей (рис. 4). Показатели МВП в группе вентрального и дорсального доступов достоверно не отличались (p > 0,05), что указывало на сопоставимость животных в группе и возможность дальнейшего сравнения результатов.
Рис. 4. Моторные вызванные потенциалы с задних (1 и 2 к.) и передней конечности (3 к.) у кролика в норме до моделирования травмы (масштаб — 4 мс/2 мВ). к — канал (отведения)
Сразу после нанесения ПСМТ из вентрального и дорсального доступов и в течение последующих 8 ч отсутствовали МВП с мышц задних конечностей при сохранных МВП с мышц передних конечностей, что свидетельствовало о полном нарушении проведения по моторным путям спинного мозга на уровне травмы (рис. 5).
Рис. 5. Моторные вызванные потенциалы через 8 ч после моделирования позвоночно-спинномозговой травмы из дорсального и вентрального доступов (масштаб — 4 мс/2 мВ). Моторные вызванные потенциалы с задних конечностей отсутствуют
После моделирования ПСМТ при обоих видах доступа постепенно увеличивались показатели амплитуды МВП с мышц передней конечности, которые к 8-му часу после травмы были достоверно увеличены (p = 0,005) и почти в 2 раза превышали значения амплитуды МВП до травмы (табл.).
Таблица. Показатели моторных вызванных потенциалов, регистрируемых с передней конечности кролика при вентральной и дорсальной травме
Группа | Показатель | До травмы | Сразу после ПСМТ | Через 3 ч после ПСМТ | Через 8 ч после ПСМТ |
ДТ | Латентность, мс | 2,67 ± 1,42 | 4,76 ± 2,42* | 4,16 ± 2,21* | 4,21± 1,11* |
Амплитуда, мВ | 1,63 ± 0,96 | 1,10 ± 0,47 | 1,42 ± 0,84 | 2,81± 2,12* | |
Длительность, мс | 9,61 ± 2,36 | 7,94 ± 1,77 | 9,28 ± 3,63 | 8,09 ± 2,18 | |
ВТ | Латентность, мс | 2,67 ± 1,42 | 4,47 ± 2,34* | 4,60 ± 2,55* | 4,30 ± 0,31* |
Амплитуда, мВ | 1,63 ± 0,96 | 1,18 ± 0,76 | 1,98 ± 0,63 | 2,90 ± 1,82* | |
Длительность, мс | 9,61 ± 2,36 | 9,50 ± 3,53 | 8,20 ± 3,05 | 9,48 ± 3,58 |
Примечание. ВТ — вентральная травма; ДТ — дорсальная травма; ПСМТ — позвоночно-спинномозговая травма. * достоверность различия показателя до и после ПСМТ (p < 0,05).
Н-рефлекс
У всех кроликов первой и второй групп до моделирования травмы зарегистрирован Н-рефлекс и М-ответ с m. gastrocnemius, показатели которых были сопоставимы в обеих группах. При сравнительном анализе показателей Н-рефлекса и М-ответа в группе вентрального и дорсального доступов сразу после, через 3 и 8 ч после травмы не выявлено достоверных отличий между группами (p = 0,2). В 70 % наблюдений при вентральном и дорсальном доступах наблюдалась достоверная асимметрия Н-рефлекса и М-ответа между правой и левой сторонами (p = 0,03), которая возникала сразу после травмы и увеличивалась через 3 и 8 ч после травмы в обеих группах.
Обнаружены особенности регистрации Н-рефлекса у кроликов в виде нерегулярных дополнительных ответов в диапазоне 25–60 мс, визуально похожих на Н-рефлекс, но отличающихся от него по времени появления, которые, по данным литературы, описаны как полисинаптические ответы. Такие изменения Н-рефлекса наблюдались у кроликов в 50 % случаев до травмы. После моделирования ПСМТ полисинаптические ответы в группе дорсального доступа зарегистрированы в 90 % наблюдений. При этом происходило постепенное увеличение амплитуды и частоты регистрации полисинаптических ответов, которые через 8 ч после травмы достигали максимальных значений (рис. 6). В 80 % наблюдений при дорсальном доступе данная спонтанная активность приобретала ритмический характер. При вентральном доступе, наоборот, происходило достоверное снижение количества и амплитуды полисинаптических ответов по сравнению с группой дорсального доступа (p = 0,001). Полисинаптические ответы после применения вентрального доступа зарегистрированы только в 10 % наблюдений.
Рис. 6. Н-рефлекс у кролика с дорсальным доступом до (а) и через 8 ч (б) после дорсальной травмы (масштаб — 5 мс/15 мВ/1мВ): а — до травмы регистрируются Н-рефлекс и М-ответ; б — через 8 ч после травмы в большом количестве регистрируются полисинаптические ответы
Соматосенсорные вызванные потенциалы
При исследовании ССВП у кроликов до травмы в ответ на стимуляцию седалищного нерва с обеих сторон зарегистрированы вызванный потенциал с уровня поясничного утолщения и корковый потенциал с проекционных зон коры головного мозга (рис. 7).
Рис. 7. Соматосенсорные вызванные потенциалы у кролика в норме. 1 к. — вызванный потенциал с проекционных зон коры головного мозга; 2 к. — вызванный потенциал с уровня поясничного утолщения (масштаб — 10 мс/15 мкВ). к — канал (отведения)
Для оценки ССВП использованы латентности и амплитуды потенциала поясничного утолщения и коркового потенциала. При сравнительном анализе показателей ССВП до моделирования ПСМТ не обнаружено достоверных отличий между первой и второй группами (p = 0,8).
Стабильным показателем для оценки является латентность вызванных ответов, тогда как амплитуда ССВП у кроликов вариабельна и зависит от особенностей животного.
Сразу после вентральной травмы корковые ССВП отсутствовали у всех кроликов (рис. 8). Через 3 и 8 ч после травмы корковые ответы не восстанавливались. Сразу после использования дорсального доступа корковые ССВП отсутствовали у 1 кролика из 10 (10 %), а у остальных животных были снижены. Через 3 ч после травмы ССВТ отсутствовали уже у 5 кроликов из 10, а у остальных отмечалось прогрессирующее снижение амплитуды (p = 0,005). Через 8 ч после дорсальной травмы корковые потенциалы у этих животных не регистрировались.
Рис. 8. Соматосенсорные вызванные потенциалы у кролика до травмы (а) и после травмы (б): первый канал — корковые ответы, второй канал — ответы с поясничного уровня (масштаб — 10 мс/15 мкВ): а — до травмы регистрируются спинальный и корковый потенциалы; б — после травмы регистрируется потенциал с поясничного уровня, корковый ответ отсутствует, что указывает на полное нарушение проведения по соматосенсорным проводящим путям спинного мозга на уровне травмы. Амплитуды ответа с поясничного уровня увеличены. к — канал (отведения)
Таким образом, после вентральной травмы полное нарушение проведения по спинному мозгу наступало сразу, тогда как после дорсальной — прогрессировало постепенно, полное нарушение проведения наблюдалось у всех животных к 8-му часу после травмы.
При регистрации ССВП через 8 ч после нанесения повреждения у экспериментальных животных при вентральном и дорсальном доступах выявлено двукратное увеличение амплитуды потенциала с уровня поясничного утолщения (рис. 9), степень увеличения амплитуды достоверно преобладала при дорсальном доступе (p = 0,001).
Рис. 9. Сравнение кривых соматосенсорных вызванных потенциалов при отведении с поясничного утолщения после моделирования позвоночно-спинномозговой травмы из вентрального и дорсального доступов: а — сразу после травмы; б — через 3 ч; в — через 8 ч. Через 8 ч после травмы увеличивается амплитуда соматосенсорных вызванных потенциалов при отведении с поясничного утолщения. ДТ — дорсальная травма; ВТ — вентральная травма
Гистологическая картина
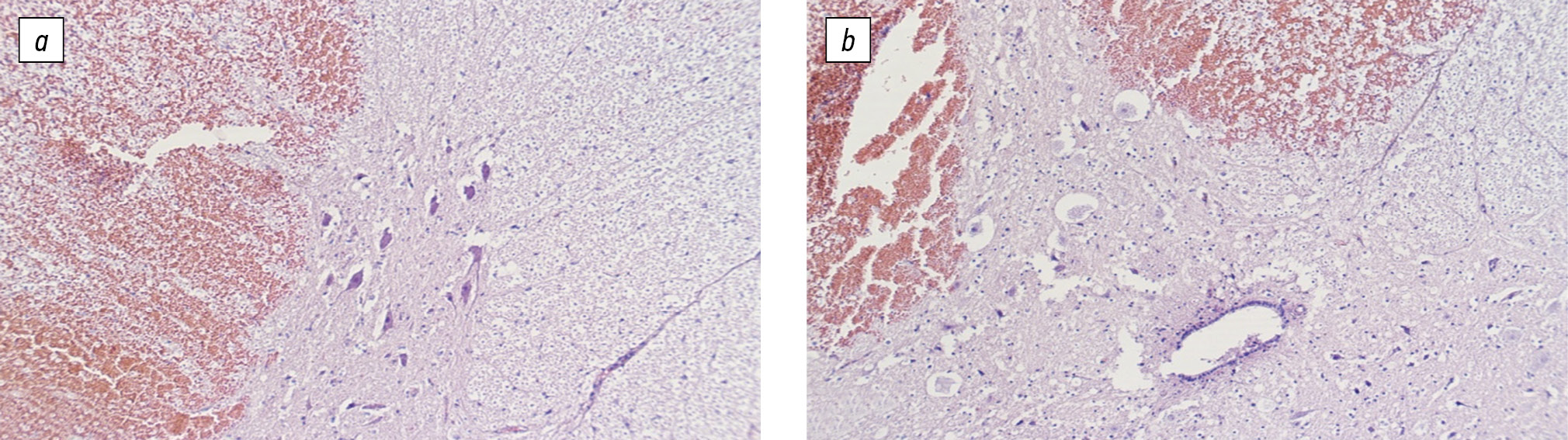
Во всех образцах спинного мозга в зоне нанесения повреждения обнаружены множественные кровоизлияния. В образцах с травмой спинного мозга, нанесенной из дорсального доступа, выявлены более массивные и обширные кровоизлияния из преимущественно неизмененных эритроцитов, затрагивающие в основном белое вещество в области задних и боковых канатиков. Площадь кровоизлияний составляла от 10 до 38 % относительно площади поперечного среза спинного мозга (рис. 10, а, б). В образцах, взятых при повреждении спинного мозга из вентрального доступа, кровоизлияния были мелкоочаговыми, затрагивали только серое вещество, площадь кровоизлияний составляла от 2,3 до 14 % относительно площади поперечного среза спинного мозга (рис. 10, в). Через 8 ч после нанесения травмы в очагах кровоизлияний определялись скопления нейтрофильных гранулоцитов: до 40–50 штук в одном поле зрения при увеличении ×400. Кроме того, в образцах визуализировались эктазированные сосуды, в просвете части которых были тромботические массы (рис. 10, г).
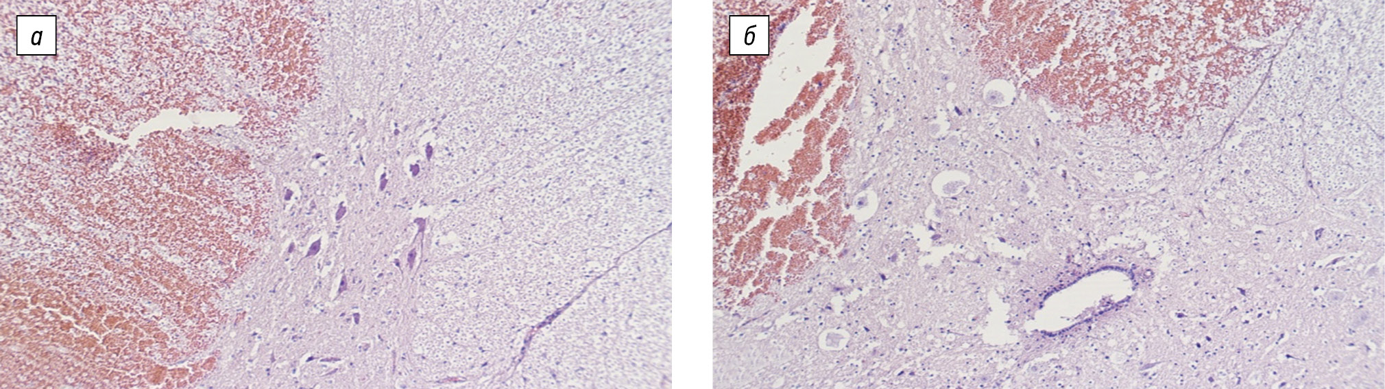
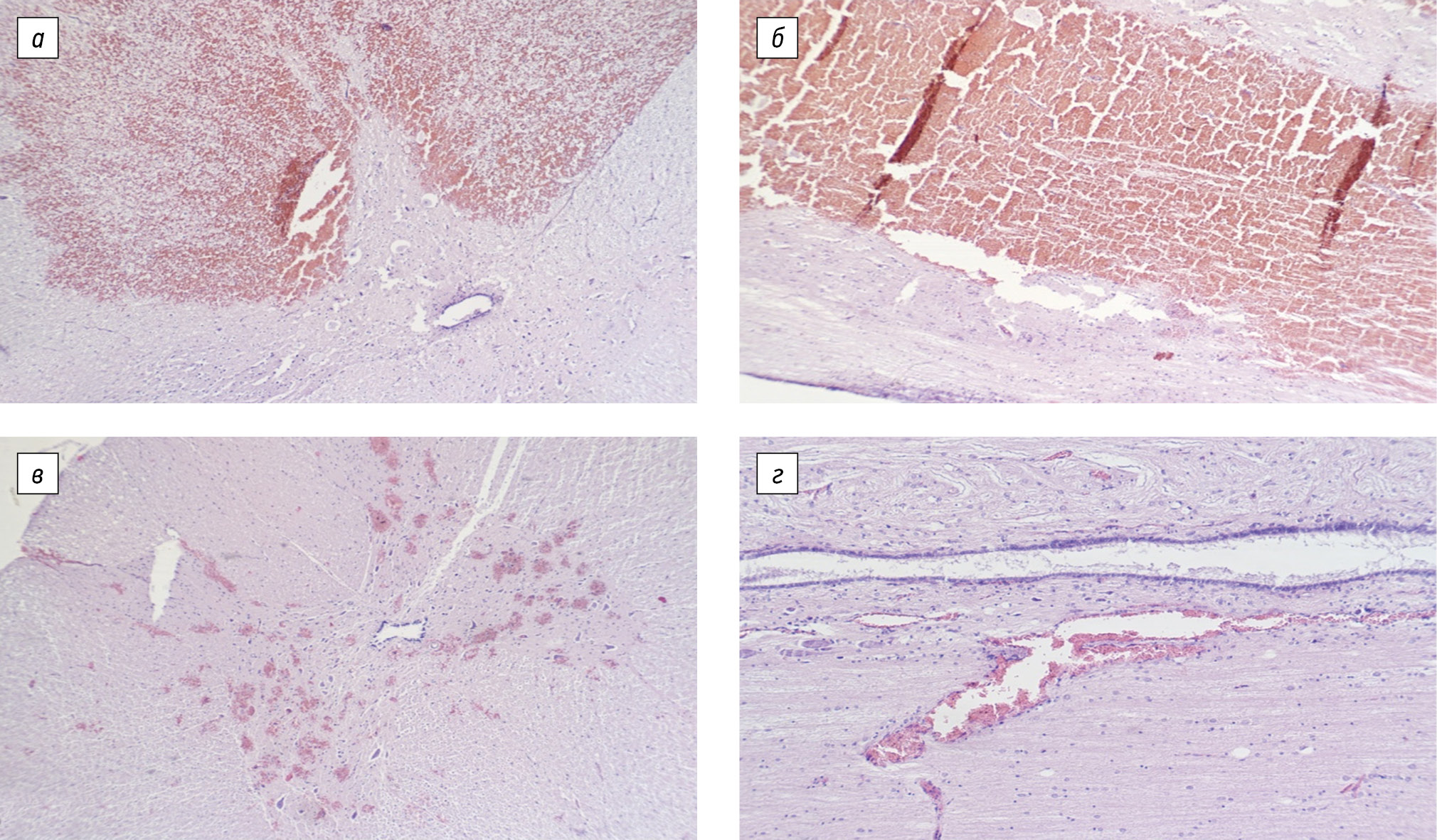
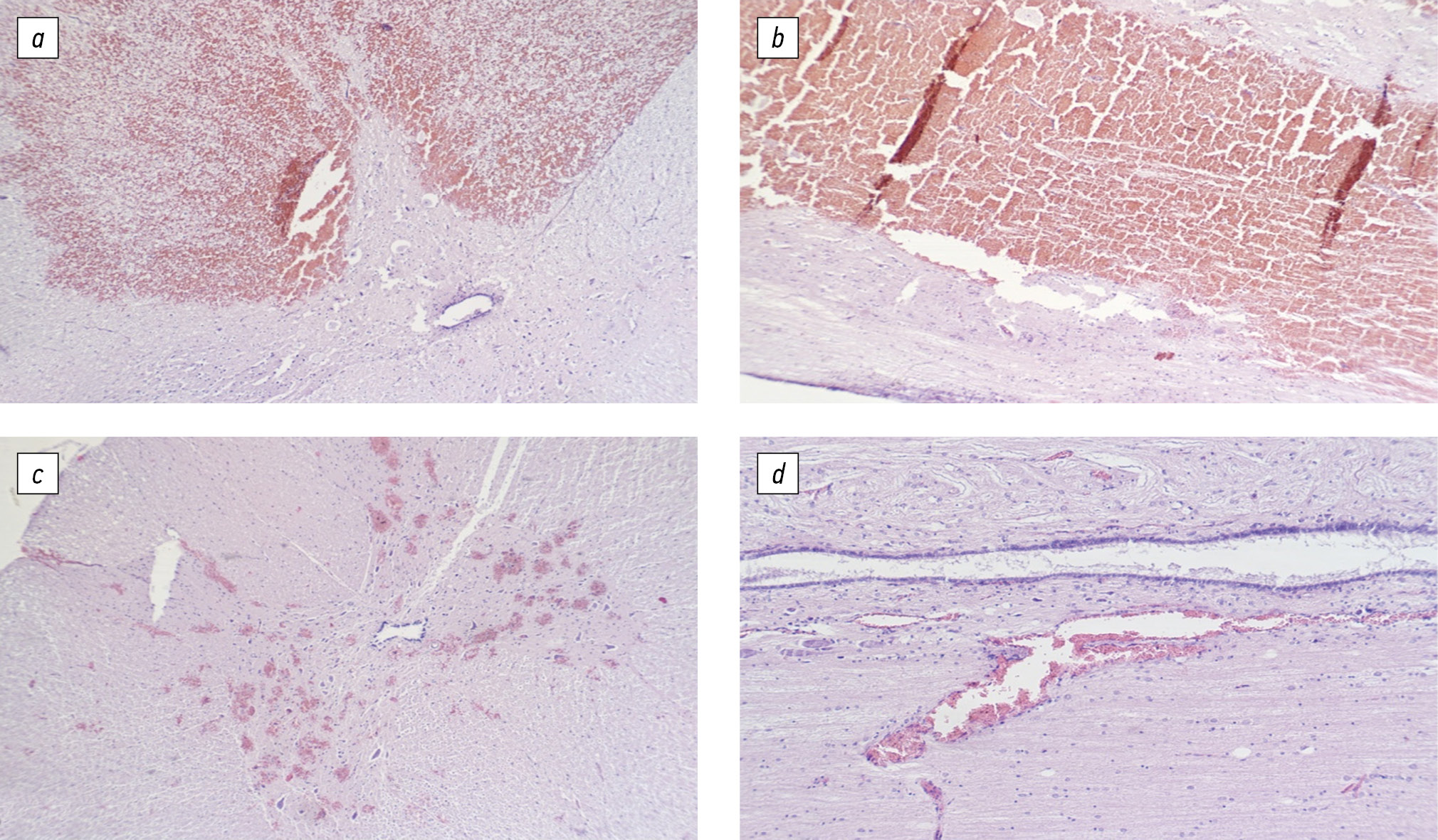
Рис. 10. Кровоизлияния в зоне нанесения травмы спинного мозга, окраска гематоксилином и эозином: а — дорсальная травма, массивное кровоизлияние в область передних и боковых канатиков (поперечный срез, ×50); б — дорсальная травма, массивное кровоизлияние в область передних и боковых канатиков (продольный срез, ×50); в — вентральная травма, мелкоочаговые кровоизлияния в серое вещество спинного мозга (поперечный срез, ×50); г — эктазированный сосуд, в просвете — тромботические массы (продольный срез, ×100)
Во всех образцах спинного мозга выявлены отек и разволокнение нейропиля серого и белого вещества через 8 ч после нанесения повреждения. Изменения в мягких мозговых оболочках представлены субарахноидальными кровоизлияниями и очаговым отеком.
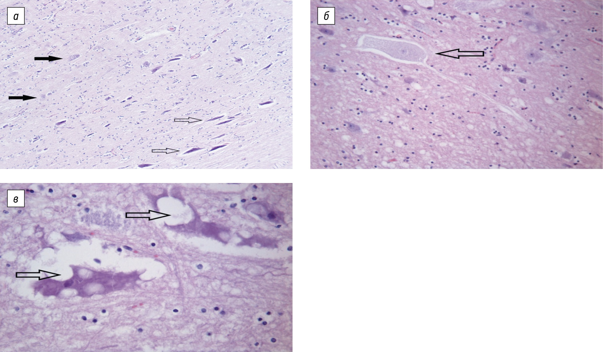
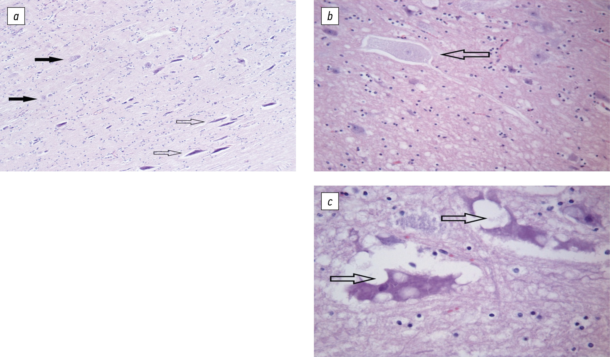
Тела нейронов во всех образцах подвергались дистрофическим изменениям в виде тигролиза вещества Ниссля, дистрофии по темному и светлому типам (рис. 11, а). По мере увеличения времени от момента нанесения повреждения эти изменения становились более выраженными (рис. 11, б, в). При подсчете количества тел нейронов с признаками дистрофии определялись следующие соотношения: в образцах, забранных непосредственно после травмы, нанесенной из вентрального доступа, доля измененных нейронов составляла 38–40 %; к 3-му часу количество дистрофически измененных нейронов увеличивалось до 45–48 %; к 8-му часу — составляло от 85 до 90 %. При нанесении травмы из дорсального доступа эта доля равнялась 30–35 % сразу после травмы, 61–65 % к 3-му часу и 95–99 % к 8-му часу.
Рис. 11. Изменения нейронов в зоне нанесения травмы спинного мозга, окрашивание гематоксилином и эозином: а — дистрофические изменения в нейронах (продольный срез, ×100); черные стрелки — гидропическое набухание, тигролиз; пустые стрелки — дистрофия по темному типу; б — гидропическое набухание и тигролиз вещества Ниссля (поперечный срез, ×400); в — дистрофия нейрона по темному типу, стрелками указаны крупные вакуоли в цитоплазме (поперечный срез, ×400)
В образцах с повреждением спинного мозга, полученного из дорсального доступа, дистрофические изменения нейронов более выражены в передних рогах спинного мозга (рис. 12, а, б).
Рис. 12. Дистрофические изменения в нейронах передних рогов спинного мозга при дорсальной травме, окрашивание гематоксилином и эозином: а, б — 99 % измененных нейронов в области переднего рога спинного мозга (поперечный срез, ×100)
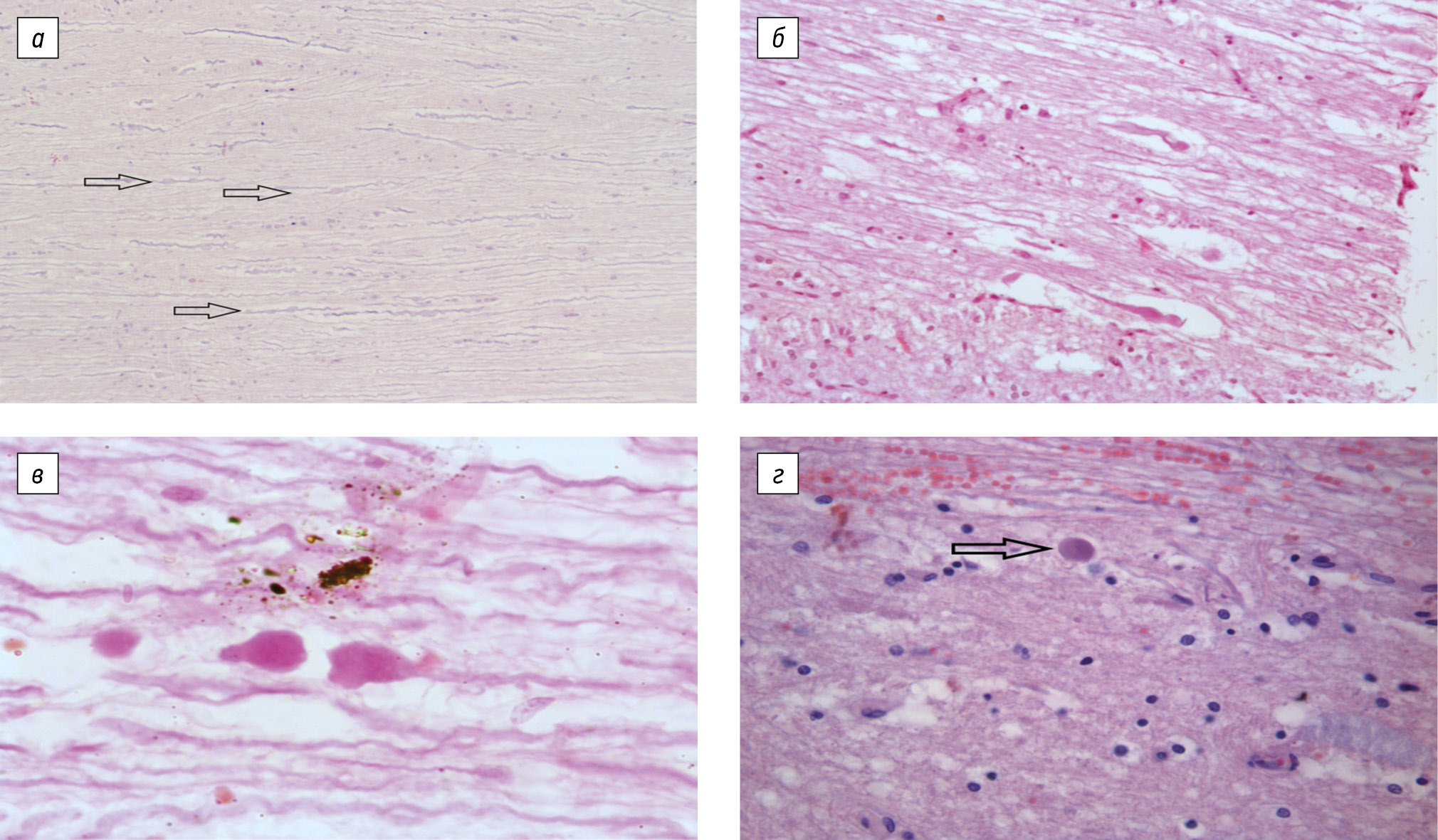
После нанесения травмы во всех образцах обнаруживали начальные признаки диффузного аксонального повреждения в виде булавовидных и бусовидных утолщений в аксонах, распространяющихся на 3–4 мм выше и ниже места нанесения повреждения (рис. 13, а). При подсчете полуколичественным методом к 8 ч в группе нанесения ПСМТ из вентрального и дорсального доступов отмечались схожие признаки вторичной аксонопатии на протяжении всего образца, наиболее выраженной в области передних канатиков ниже очага повреждения спинного мозга (рис. 13, б, в). Кроме того, в веществе спинного мозга определялись крахмальные (амилоидные) тельца, что также указывает на массивное аксональное повреждение (рис. 13, г).
Рис. 13. Диффузное аксональное повреждение при травматическом поражении спинного мозга. Продольные срезы, окраска гематоксилином и эозином: а — многочисленные утолщенные и деформированные аксоны (указаны стрелками), ×100; б — прогрессирование диффузного аксонального повреждения с формированием булавовидных утолщений и разрывов аксонов, ×400; в — разрыв аксона с формированием эозинофильных аксональных шаров, ×400; г — амилоидное тельце (указано стрелкой) на границе серого и белого вещества, диффузный отек и разволокнение нейропиля, ×400
ОБСУЖДЕНИЕ
В настоящем исследовании представлены результаты моделирования ПСМТ из вентрального доступа у кроликов, которое, по данным литературы, является более трудозатратным и сложным с позиции хирургической техники исполнения по сравнению с «классической» схемой дорсального доступа, широко применяемой в экспериментах на крысах или на кроликах. Большинство исследований, проведенных на кроликах, посвящено исследованию ишемического повреждения спинного мозга, что связано с особенностями кровоснабжения поясничных сегментов, а также относительной простотой и удобством хирургической техники преобладающих моделей. Литературных данных относительно контузионной травмы спинного мозга, при которой травматизирующий фактор воздействовал бы с вентральной стороны, найдено не было, что не позволяет провести сравнительный анализ эффективности модели из вентрального доступа с ранее выполненными экспериментами.
Нейрофизиологические исследования для изучения функции спинного мозга обнаружены лишь в 17,8 % публикаций, в которых моделируется ПСМТ у экспериментальных животных [4].
В представленной работе разработана и создана экспериментальная модель контузионного повреждения спинного мозга из вентрального доступа у лабораторного животного. Данная модель максимально приближена к клинической ситуации, при которой травматизация спинного мозга происходит с вентральной части в результате повреждающего воздействия отломками тела сломанного позвонка.
С целью сравнительного анализа нарушений в спинном мозге в настоящем исследовании выполнено моделирование ПСМТ из вентрального и дорсального доступов, нейрофизиологическое обследование, включающее оценку Н-рефлекса, сенсорных и моторных проводящих путей спинного мозга сразу после, через 3 и 8 ч после экспериментальной травмы. После окончания эксперимента осуществляли сравнительный анализ гистологических изменений спинного мозга в зависимости от вида травмы.
Согласно результатам исследования гистологических изменений меньшая степень кровоизлияния отмечена в зоне повреждения при ПСМТ из вентрального доступа по сравнению ПСМТ из дорсального доступа. Данное отличие можно объяснить пересечением питающих целевой сегмент сосудов при вентральном доступе. По данным ранее проведенных исследований, посвященных сравнительному описанию кровоснабжения спинного мозга, для кроликов характерно гомосегментарное кровоснабжение при практическом отсутствии коллатералей [11, 16, 17], что приводит к меньшей гематоме при пересечении питающих артерий. Выраженность других морфологических изменений в настоящем исследовании при вентральном и дорсальном вариантах травмы была сопоставима, что при меньшей степени кровоизлияния свидетельствует о преимущественно контузионном механизме повреждения спинного мозга при ПСМТ из вентрального доступа, вызывающем повреждение аксонов спинного мозга, и о меньшей степени компрессионных и трофических нарушений спинного мозга за счет гематомы.
Результаты нейрофизиологического исследования у кроликов при ПСМТ показали разную степень повреждения спинного мозга в зависимости от вида травмы. По данным ССВП при дорсальном доступе сразу после нанесения повреждения частично нарушалось проведение по спинному мозгу, через 8 ч — полностью прерывалось проведение вследствие нарастания степени поражения нейронов спинного мозга, что можно объяснить отсроченными изменениями на фоне гематомы и отека спинного мозга. После ПСМТ из вентрального доступа в 90 % случаев сразу после травмы появлялись признаки полного поражения спинного мозга, что указывает на более тяжелое повреждение аксонов спинного мозга при этом доступе.
При вентральном и дорсальном доступах у всех кроликов через 8 ч после повреждения спинного мозга в 2 раза увеличивалась амплитуда МВП с мышц передней конечности и амплитуда ССВП с уровня поясничного утолщения, что можно объяснить перестройкой функциональной активности сохранных нейронов спинного мозга выше и ниже уровня ПСМТ.
Показатели Н-рефлекса и М-ответа, полученные в настоящей работе до нанесения травмы, сопоставимы с данными ранее проведенных исследований у интактных кроликов [18], что свидетельствует о корректности используемых методик регистрации и воспроизводимости модели эксперимента. Выявлены отличия в показателях Н-рефлекса у кроликов в зависимости от типа травмы. При ПСМТ из дорсального доступа в 90 % наблюдений увеличивалась частота регистрации полисинаптических ответов, что можно объяснить растормаживанием активности периферических мотонейронов ниже уровня травмы. При вентральной травме, наоборот, достоверно уменьшались количество и амплитуда полисинаптических ответов по сравнению с группой дорсальной травмы, что может указывать на снижение функциональной активности и повреждение периферических мотонейронов спинного мозга ниже уровня травмы и требует дальнейшего изучения.
При анализе амплитуд Н-рефлекса и М-ответа при обеих типах травмы выявлен большой разброс и неоднозначность изменений показателей Н-рефлекса и М-ответа с левой и правой сторон, что может быть связано как с небольшой выборкой настоящего исследования, а также с неравномерным повреждением спинного мозга вследствие его смещения при моделировании травмы.
В целом результаты нейрофизиологического исследования указывали на сопоставимость нарушений показателей МВП, ССВП до и после травмы спинного мозга с исследованиями в клинике [19], что позволяет использовать эти данные для мониторирования функции спинного мозга у кроликов в продолженных экспериментальных моделях ПСМТ, направленных на разработку способов лечения. При этом вентральный вариант нанесения травмы у кролика можно рассматривать как более адекватную модель для изучения данной патологии у человека.
ЗАКЛЮЧЕНИЕ
В результате исследования апробирована экспериментальная модель острого контузионного повреждения спинного мозга из вентрального доступа у лабораторного животного. Модель ПСМТ из вентрального подхода позволяет получить более выраженный контузионный эффект повреждения структур спинного мозга в экспериментальных условиях в сравнении с ПСМТ из дорсального доступа. Разработанная экспериментальная модель контузионного повреждения спинного мозга максимально приближена к клинической практике и может составить основу для научных исследований, направленных на изучение изменений спинного мозга и новых хирургических, фармакологических и физических методов лечения при хронической ПСМТ.
ДОПОЛНИТЕЛЬНАЯ ИНФОРМАЦИЯ
Источник финансирования. Отсутствует.
Конфликт интересов. Авторы декларируют отсутствие явных и потенциальных конфликтов интересов, связанных с публикацией настоящей статьи.
Этическая экспертиза. Исследование одобрено локальным этическим комитетом ФГБУ «НМИЦ детской травматологии и ортопедии имени Г.И. Турнера» Минздрава России (протокол № 21-4 от 22.11.2021).
Вклад авторов. А.С. Шабунин, М.В. Савина — концепция и дизайн исследования, написание текста, анализ полученных данных; Т.С. Рыбинских — разработка хирургической техники, хирургические вмешательства, анализ данных; А.Д. Древаль, В.Д. Сафаров — сбор и обработка данных, написание текста, техническое обеспечение эксперимента; П.А. Сафонов — хирургические вмешательства, анализ данных; А.М. Федюк, Д.А. Ситовская — сбор и обработка гистологических материалов, гистоморфологическое исследование, написание текста; А.С. Байдикова, Н.М. Дячук — хирургические вмешательства, сбор и обработка данных; Л.С. Конькова — ветеринарное сопровождение, сбор и обработка данных; О.Л. Власова, С.В. Виссарионов — концепция и дизайн исследования, редактирование текста статьи.
Все авторы внесли существенный вклад в проведение исследования и подготовку статьи, прочли и одобрили финальную версию перед публикацией.
Об авторах
Антон Сергеевич Шабунин
Национальный медицинский исследовательский центр детской травматологии и ортопедии им. Г.И. Турнера; Санкт-Петербургский политехнический университет Петра Великого
Автор, ответственный за переписку.
Email: anton-shab@yandex.ru
ORCID iD: 0000-0002-8883-0580
SPIN-код: 1260-5644
научный сотрудник
Россия, Санкт-Петербург; Санкт-ПетербургМаргарита Владимировна Савина
Национальный медицинский исследовательский центр травматологии и ортопедии имени Г.И. Турнера
Email: drevma@yandex.ru
ORCID iD: 0000-0001-8225-3885
SPIN-код: 5710-4790
канд. мед. наук
Россия, Санкт-ПетербургТимофей Сергеевич Рыбинских
Национальный медицинский исследовательский центр детской травматологии и ортопедии им. Г.И. Турнера
Email: timofey1999r@gmail.com
ORCID iD: 0000-0002-4180-5353
SPIN-код: 7739-4321
клинический ординатор
Россия, Санкт-ПетербургАнна Дмитриевна Древаль
Национальный медицинский исследовательский центр детской травматологии и ортопедии имени Г.И. Турнера
Email: anndreval@yandex.ru
ORCID iD: 0009-0007-3985-634X
SPIN-код: 4175-6620
студент
Россия, Санкт-ПетербургВладислав Дмитриевич Сафаров
Национальный медицинский исследовательский центр детской травматологии и ортопедии имени Г.И. Турнера; Санкт-Петербургский политехнический университет Петра Великого
Email: vladsafarov.vs@mail.ru
ORCID iD: 0009-0006-2948-133X
SPIN-код: 5240-1801
студент
Россия, Санкт-Петербург; Санкт-ПетербургПлатон Андреевич Сафонов
Национальный медицинский исследовательский центр детской травматологии и ортопедии имени Г.И. Турнера
Email: safo165@gmail.com
ORCID iD: 0009-0006-7554-1292
SPIN-код: 6088-1297
студент
Россия, Санкт-ПетербургАндрей Михайлович Федюк
Национальный медицинский исследовательский центр детской травматологии и ортопедии имени Г.И. Турнера
Email: Andrej.fedyuk@gmail.com
ORCID iD: 0000-0002-2378-2813
SPIN-код: 3477-0908
ординатор
Россия, Санкт-ПетербургДарья Александровна Ситовская
Российский научно-исследовательский нейрохирургический институт имени профессора А.Л. Поленова
Email: daliya_16@mail.ru
ORCID iD: 0000-0001-9721-3827
SPIN-код: 3090-4740
врач-патологоанатом
Россия, Санкт-ПетербургНикита Михайлович Дячук
Национальный медицинский исследовательский центр детской травматологии и ортопедии имени Г.И. Турнера
Email: wrwtit@yandex.ru
ORCID iD: 0009-0009-4384-9526
студент
Россия, Санкт-ПетербургАлександра Сергеевна Байдикова
Национальный медицинский исследовательский центр детской травматологии и ортопедии имени Г.И. Турнера
Email: baidikovaalexandra@yandex.ru
ORCID iD: 0009-0008-8785-0193
SPIN-код: 7805-1341
студент
Россия, Санкт-ПетербургЛидия Сергеевна Конькова
Национальный медицинский исследовательский центр детской травматологии и ортопедии имени Г.И. Турнера
Email: lidia.kireeva@yandex.ru
ORCID iD: 0009-0007-5400-3513
SPIN-код: 3527-7121
аспирант
Россия, Санкт-ПетербургОльга Леонардовна Власова
Санкт-Петербургский политехнический университет Петра Великого
Email: vlasova.ol@spbstu.ru
ORCID iD: 0000-0002-9590-703X
SPIN-код: 7823-8519
д-р физ.-мат. наук, доцент
Россия, Санкт-ПетербургСергей Валентинович Виссарионов
Национальный медицинский исследовательский центр детской травматологии и ортопедии имени Г.И. Турнера
Email: vissarionovs@gmail.com
ORCID iD: 0000-0003-4235-5048
SPIN-код: 7125-4930
д-р мед. наук, профессор, чл.-корр. РАН
Россия, Санкт-ПетербургСписок литературы
- Alizadeh A., Dyck S.M., Karimi-Abdolrezaee S. Traumatic spinal cord injury: An overview of pathophysiology, models and acute injury mechanisms // Front. Neurol. 2019. Vol. 10. P. 282. doi: 10.3389/fneur.2019.00282
- Tator C.H. Review of treatment trials in humanspinal cord injury: issues, difficulties, and recommendations // Neurosurgery. 2006. Vol. 59. No. 5. P. 957–982. doi: 10.1227/01.NEU.0000245591.16087.89
- Verstappen K., Aquarius R., Klymov A., et al. Systematic evaluation of spinal cord injury animal models in the field of biomaterials // Tissue Eng. Part B Rev. 2022. Vol. 28. No. 6. P. 1169–1179. doi: 10.1089/ten.TEB.2021.0194
- Sharif-Alhoseini M., Khormali M., Rezaei M., et al. Animal models of spinal cord injury: a systematic review // Spinal Cord. 2017. Vol. 55. No. 8. P. 714–721. doi: 10.1038/sc.2016.187
- Li J.J., Liu H., Zhu Y., et al. Animal models for treating spinal cord injury using biomaterials-based tissue engineering strategies // Tissue Eng. Part B Rev. 2022. Vol. 28. No. 6. P. 79–100. doi: 10.1089/ten.TEB.2020.0267
- Виссарионов С.В., Рыбинских Т.С., Асадулаев М.С., и др. Моделирование повреждений спинного мозга: достигнутые успехи и недостатки // Ортопедия, травматология и восстановительная хирургия детского возраста. 2020. Т. 8. № 4. C. 485–494. doi: 10.17816/PTORS34638
- Kjell J., Olson L. Rat models of spinal cord injury: from pathology to potential therapies // Dis. Model. Mech. 2016. Vol. 9. No. 10. P. 1125–1137. doi: 10.1242/dmm.025833
- Ballermann M., Fouad K. Spontaneous locomotor recovery in spinal cord injured rats is accompanied by anatomical plasticity of reticulospinal fibers // Eur. J. Neurosci. 2006. Vol. 23. No. 8. P. 1988–1996. doi: 10.1111/j.1460-9568.2006.04726.x
- Hiraizumi Y., Fujimaki E., Tachikawa T. Long-term morphology of spastic or flaccid muscles in spinal cord-transected rabbits // Clin. Orthop. Relat. Res. 1990. Vol. 260. P. 287–297.
- Greenaway J.B., Partlow G.D., Gonsholt N.L., et al. Anatomy of the lumbosacral spinal cord in rabbits // J. Am. Anim. Hosp. Assoc. 2001. Vol. 37. No. 1. P. 27–34. doi: 10.5326/15473317-37-1-27
- Mazensky D., Flesarova S., Sulla I. Arterial blood supply to the spinal cord in animal models of spinal cord injury. A review // Anat. Rec. (Hoboken). 2017. Vol. 300. No. 12. P. 2091–2106. doi: 10.1002/ar.23694
- Vink R., Noble L.J., Knoblach S.M., et al. Metabolic changes in rabbit spinal cord after trauma: Magnetic resonance spectroscopy studies // Ann. Neurol. 1989. Vol. 25. No. 1. P. 26–31. doi: 10.1002/ana.410250105
- Sung D.H., Lee K.M., Chung S.H., et al. Change of Stretch reflex in spinal cord injured rabbit: experimental spasticity model duk // Journal of the Korean Academy of Rehabilitation Medicine. 2002. Vol. 26. No. 1. P. 37–45.
- Shek J.W., Wen G.Y., Wisniewski H.M. Atlas of the rabbit brain and spinal cord. Karger Basel, 1986.
- Патент РФ на изобретение № 2021124504 / 16.08.2021. Виссарионов С.В., Рыбинских Т.С., Асадулаев М.С. Способ моделирования травматического повреждения спинного мозга из вентрального доступа в поясничном отделе позвоночника [дата обращения 04.11.2023]. Доступ по ссылке: https://i.moscow/patents/ru2768486c1_20220324
- Mazensky D., Danko J., Petrovova E., et al. Arterial peculiarities of the thoracolumbar spinal cord in rabbit // Anat. Histol. Embryol. 2014. Vol. 43. No. 5. P. 346–351. doi: 10.1111/ahe.12081
- Mazensky D., Petrovova E., Danko J. The anatomical correlation between the internal venous vertebral system and the cranial venae cavae in rabbit // Anat. Res. Int. 2013. Vol. 2013. P. 1–4. doi: 10.1155/2013/204027
- Turan E., Ünsal C., Üner A.G. H-reflex and M-wave studies in the fore- and hindlimbs of rabbit // Turkish J. Vet. Anim. Sci. 2013. Vol. 37. No. 5. P. 559–563. doi: 10.3906/vet-1210-27
- Гнездицкий В.В., Корепина О.С. Атлас по вызванным потенциалам мозга (практическое руководство, основанное на анализе конкретных клинических наблюдений). Иваново: ПресСто, 2011. 532 с.
Дополнительные файлы

















