Clinical and radiological characteristics of two patients with osteoporosis–pseudoglioma syndrome caused by a pathogenic homozygotic variant in the LRP5 gene
- Authors: Merkuryeva E.S.1, Markova T.V.1, Kenis V.M.2, Kadyshev V.V.1, Nagornova T.S.1, Noskova E.V.3, Dadali E.L.1
-
Affiliations:
- Research Centre for Medical Genetics
- H. Turner National Medical Research Center for Children’s Orthopedics and Trauma Surgery
- Chelyabinsk Regional Children’s Clinical Hospital
- Issue: Vol 11, No 4 (2023)
- Pages: 547-556
- Section: Clinical cases
- Submitted: 09.10.2023
- Accepted: 07.11.2023
- Published: 20.12.2023
- URL: https://journals.eco-vector.com/turner/article/view/607380
- DOI: https://doi.org/10.17816/PTORS607380
- ID: 607380
Cite item
Abstract
BACKGROUND: Osteoporosis–pseudoglioma syndrome (OMIM #259770) is an ultrarare autosomal recessive disease characterized by congenital or infant blindness, severe osteoporosis, and spontaneous bone fractures. The syndrome is caused by pathogenic variants in the LRP5 gene, which encodes a protein involved in the transmission of signals in the Wnt/β-catenin signaling pathway. To date, 77 pathogenic variants associated with osteoporosis–pseudoglioma syndrome have been registered in LRP5, mainly localized in the second and third beta-propeller domains of the protein, which have a high affinity for the Wnt ligand.
CLINICAL CASES: Two siblings presented with clinical manifestations of osteoporosis–pseudoglioma syndrome caused by a pathogenic homozygous missense variant c.1481G>A (p.Arg494Gln) in LRP5. The phenotype of the patients was characterized by a combination of blindness, low bone-mineral density, short stature, and fractures and deformities of long tubular bones and the spine.
DISCUSSION: The rarity of the osteoporosis–pseudoglioma syndrome and the similarity of the clinical manifestations of various skeletal disorders and their genetic heterogeneity lead to a late diagnosis and treatment.
CONCLUSIONS: We are the first to present the clinical, radiological, and genetic characteristics of two siblings with clinical manifestations of osteoporosis–pseudoglioma syndrome. Its rarity necessitates detailed description of the clinical and genetic characteristics of this syndrome. Molecular genetic testing is an important part of a comprehensive diagnosis.
Full Text
BACKGROUND
Osteoporosis–pseudoglioma syndrome (OPG) (ICD-10: Q87.5; OMIM 259770) is an autosomal recessive disorder with a prevalence of 1:2,000,000 [1]. In the current classification structure of skeletal dysplasias, OPG belongs to the group of bone fragility disorders along with osteogenesis imperfecta [2].
The clinical manifestations of OPG were first described by Bianchine et al. in affected members of three unrelated families [3]. Further, Neuhauser observed three sisters and two brothers with osteoporosis of varying severity and frequent fractures who were blind since infancy; two of them had low intelligence [4]. Several patients with OPG have been reported to date. Some of these patients exhibited growth retardation, microcephaly, muscle hypotonia, and joint hypermobility in addition to characteristic symptoms. The symptoms of OPG typically manifest from birth or infancy and are characterized by progressive vision loss, which often leads to complete blindness. In some cases, blindness may not occur until adolescence. Eye pathology associated with OPG includes vitreoretinal dystrophy with retrolental conglomerates, microphthalmia, anterior segment anomalies, cataracts, and ocular phthisis. Additionally, osteoporosis commonly develops around aged 2–3 years, which can lead to multiple fractures and secondary deformities of the tubular bones and spine [5].
Gong et al. have demonstrated that the LRP5 gene, located on human chromosome 11q13.2 and consisting of 23 exons, is responsible for OPG [6]. The gene encodes a single-pass transmembrane protein, which is a low-density lipoprotein receptor and is localized at the cell membrane. It binds to ligands during receptor-mediated endocytosis, participates in signal transduction through the Wnt/β-catenin signaling pathway, and induces the transcription of target genes in the cell nucleus. Pathogenic variants in the LRP5 gene disrupt canonical Wnt signaling, a crucial metabolic pathway in osteoblasts during embryonic and postnatal osteogenesis, and macrophage function during the reduction of the embryonic capillary network in ocular structures [7]. Currently, 77 nucleotide sequence variants associated with OPG are known and are mainly located in the second and third beta-propeller domains of LRP5, which have high affinity for the Wnt ligand [8–10].
OPG syndrome is caused by variants that result in the loss of function of the LRP5 protein. Conversely, variants that increase function lead to increased bone density and the development of autosomal dominant osteopetrosis type 1 (OMIM 607634).
Given the rarity of this disease and absence of descriptions of OPG syndrome in the Russian scientific literature, we present our observations of the clinical and radiological characteristics of two Russian siblings with OPG syndrome. The syndrome was caused by a pathogenic homozygous missense variant in the LRP5 gene: c.1481G>A (p.Arg494Gln).
CLINICAL CASES
Two female siblings, aged 10 and 20 years, were observed.
Examination methods were used to confirm the diagnosis, including genealogical analysis; clinical examination; standard neurological examination with an assessment of the psycho-emotional sphere; radiography of the spine, hip joints, and tubular bones of the limbs; and sequencing of a targeting panel consisting of 166 genes responsible for the development of hereditary skeletal pathology.
Genomic DNA was extracted from whole blood using the DNAEasy kit (QiaGen, Germany) following the manufacturer’s standard protocol. The concentration of DNA and DNA libraries was measured using a Qubit2.0 instrument and reagents (Qubit BR, Qubit HS) according to the manufacturer’s instructions. Samples were prepared using a technique based on the multiplex polymerase chain reaction of targeted DNA sections. The Ion Torrent S5 sequencer was used for next-generation sequencing with an average coverage of at least 80 target regions and a coverage of at least 20 ≥90%–94%. Primary processing of sequencing data was performed using a standard automated algorithm (Ion Torrent).
Population frequencies of the identified variants were estimated using data from the 1000 Genomes Project, ESP6500, and The Genome Aggregation Database v2.1.1. To assess the clinical significance of the selected variants, the OMIM database and the HGMD® Professional Pathogenic Variants Database version 2022.1 were consulted. The pathogenicity and causality of genetic variants were evaluated following international guidelines for interpreting data obtained using high-throughput sequencing methods [11].
The proband’s variants were validated, and the siblings and their parents were genotyped using direct automatic Sanger sequencing on an ABI Prism 3100 instrument (Applied Biosystems), following the manufacturer’s protocol. Primer sequences were selected based on the reference sequence of the target regions of the LRP5 gene NM_002335.4.
Written informed consent was obtained from the parents of the siblings for molecular genetic testing of blood samples, and permission for anonymous publication of the study results was granted.
Clinical, radiological, and molecular genetic examinations were performed on the two female siblings who complained of blindness, lower limb deformity, and spinal pain.
Pedigree analysis showed that the parents, who were of Russian nationality, were healthy and not blood-related. The height of the mother and father were 155 and 176 cm, respectively. Additionally, there is a healthy 24-year-old daughter in the family.
Patient 1 was born from a second pregnancy with chronic intrauterine fetal hypoxia and chronic placental insufficiency due to delayed labor at 42 weeks. At birth, the patient’s body length was 51 cm, body weight was 3800 g, head circumference was 35 cm, chest circumference was 35 cm, and Apgar score was 7/8 points. Speech development delay was noted. Motor development progressed in accordance with age milestones, with the child holding her head up at one month, sitting at six months, and walking at one year. At 2 months old, the patient was diagnosed with vitreous fibrosis in both eyes and retinal detachment in the right eye, which were possibly caused by intrauterine bilateral uveitis. At 4 months old, the child was referred to an ophthalmologic clinic and was diagnosed with congenital pathology in both eyes. The condition, which began in the intrauterine period, included microphthalmos with microcornea, iridocrystalline synechiae, vitreous fibrosis on both sides, and secondary right-sided ophthalmic hypertension. At 1 year and 5 months old, echography of the eyeballs confirmed right-sided axial microphthalmos with an anteroposterior axis (APA) of the eye measuring 16.3 mm. Coarse fixed films were found in the vitreous body, and a fibrous mass with blood flow (hyaloid artery) was observed coming from the optic disc toward the anterior segment of the eye. No retinal detachment was detected. Thickening of the inner membranes up to 1.4 mm was detected on the left side, with an APA of 16.0 mm. Identical changes were observed on the right side, but with an additional finding of a V-shaped retinal detachment with subretinal fluid. Single calcinates were detected in the projection of the vasculature. During ultrasound of the eyes at aged 2 years and 9 months, eyeball atrophy was detected on the right side (APA: 12–13 mm). Rough, fixed opacities were observed in the anterior third of the vitreous body. A weakly expressed fixed mass extended from the optic disc toward the anterior segment of the eye. The inner membranes were irregularly thickened up to 2.1 mm, and calcifications were detected in some areas. Signs of retinal detachment were observed, with an APA of 14.4 mm on the left side. Rough, fixed opacities was detected in the projection of the anterior and middle thirds of the vitreous body. In contrast to the previous study, extensive areas of calcification were found. The child received transscleral laser cyclocoagulation in both eyes and is currently being monitored by an ophthalmologist for congenital total retinal detachment caused by intrauterine uveitis, congenital cataract, microphthalmia, subatrophy of the eyeballs, vitreous fibrosis of both eyes, and bilateral blindness.
At aged 4 years, the patient suffered a closed fracture of the right femur due to a fall. Subsequently, at aged 11 and 15 years, the patient experienced repeated fractures of the same bone. At 11, the patient underwent open repositioning and fusion of the right femur fragments with a plate, and at 15, repositioning and metal osteosynthesis with spokes were performed. Over time, the patient developed shortening and deformity of the lower limbs, particularly on the right side, which affected her gait. The student completed nine grades at a specialized school for visually impaired and blind children under the VIII type program.
On examination, the patient was found to be short at 139 cm (–3.84 SD) and overweight at 67 kg and had a body mass index (BMI) of 34.68 kg/m2 (grade II obesity). Additionally, the head circumference was measured at 62 cm (Fig. 1a).
Fig. 1. Main clinical manifestations in two patients with osteoporosis–pseudoglioma syndrome: a, appearance of proband 1 (girl, 20 years old): short stature, increased thoracic kyphosis, shortening of the right lower limb by 5 cm, saber-like deformity of the shins, grade II obesity, microphthalmos; b, appearance of proband 2 (girl, 10 years and 8 months old): short stature, increased thoracic kyphosis, broad chest, kyphoscoliosis, grade I obesity, microphthalmos
The patient’s body position was affected by a discrepancy in the length of their lower limbs, with the right femur being 5 cm shorter than the left, as well as their deformation. To move independently, the patient required crutches, orthoses on the lower limbs, and orthopedic shoes. Additionally, the patient exhibited a bell-shaped expanding thorax, increased thoracic kyphosis, and lumbar hyperlordosis. The axis of the spine was curved in a C-shape in the thoracolumbar region with a torsional component. The axis of the upper extremities was intact, and the amplitude of movements in the joints was not limited. In the lower extremities, a valgus antecurvation deformity of the tibiae was observed. Movements in the hip joints were moderately limited within their range, including abduction, flexion, and rotation. Right knee joint flexion was limited to 60°. The feet were deformed, with reduced vault height and a valgus deviation of the hind parts of 30°. When standing without shortening compensation, compensatory settings were used, including equinus setting of the foot, flexion setting in the knee joint, and flexion and external rotation setting of the hip.
X-ray osteodensitometry showed low bone mineral density (BMD) in the lumbar spine (LI–LIV), with a BMD of 0.382 g/cm2 and a Z-criterion of –5.2 SD. Biochemical blood analysis showed normal levels of total calcium, inorganic phosphorus, parathyroid hormone, 25(OH)D, and alkaline phosphatase.
Patient 2 is the proband’s sibling, a 10-year-old girl who was born during the fourth pregnancy. The patient’s mother had multivaginal anemia, mild anemia, and pre-eclampsia during the third trimester. At birth, patient 2 weighed 3660 g, was 51 cm long, and had a head and chest circumference of 35 cm. Her Apgar score was 8/8. During her first dispensary examination at 1 month old, blindness was suspected. At 1.5 months old, the child underwent an eye ultrasound, which revealed microphthalmos, fibrous strands in the vitreous body, hemophthalmos, total congenital retinal detachment on the right side, and subtotal left-sided retinal detachment. The child’s psychomotor development was age-appropriate. She began holding her head at one month old, sitting at six months old, walking at eleven months old, and speaking separate words at one year and two months old. Additionally, the girl has completed the third grade at a special school for visually impaired and blind children and is performing well in the program.
At the age of 2 years, the patient experienced a fracture in the right tibia with minimal trauma. Subsequently, at the ages of 2.5 and 3 years, the patient experienced repeated fractures in the left tibia.
At 10 years and 8 months old, examination showed the following: height, 127 cm (–2.2 SD); body weight, 39 kg; body mass index, 24.2 kg/m2 (grade I obesity); head circumference, 50 cm (–1.9 SD); and chest circumference, 80 cm (Fig. 1b). The child presented with a broad chest, kyphosis in the thoracic region, and scoliosis in the thoracolumbar region. The axis of the upper extremities was not disturbed, and complete movements were observed in the joints of the upper limbs. The lower limb axes were moderately multidirectionally deformed within 10° due to the “wind gust” type, with valgus deformity on the right and varus deformity on the left. Joint hypermobility was pronounced, scoring eight points on the Beighton scale.
X-ray osteodensitometry revealed low BMD in the lumbar spine (LI–LIV) with a BMD of 0.282 g/cm2 and a Z-criterion of 4.2 SD. Biochemical blood analysis revealed that the indices of total calcium, inorganic phosphorus, parathyroid hormone, 25(OH)D, and alkaline phosphatase were within the reference range.
Spinal radiographs of both patients showed increased thoracic kyphosis, decreased height of vertebral bodies (particularly in the central and anterior regions), “fish vertebrae” contours, anisospondylia (varying height of adjacent deformed vertebral bodies), more vertical positioning of ribs (primarily in the upper thorax), and a general decrease in vertebral body BMD (Figs. 2 and 3).
Fig. 2. Lateral projection spine radiographs of patients 1 and 2: increased thoracic kyphosis (black dashed line); decreased vertebral body height, mainly in the central and anterior parts with formation of “fish vertebrae” contours (white lines), most pronounced at the apex of kyphosis; anisospondylia (different heights of adjacent deformed vertebral bodies); overall decrease in bone mineral density of vertebral bodies
Fig. 3. Radiographs of the spine in direct projection of patients 1 and 2: reduction in the height of vertebral bodies, predominantly in the central part, with the formation of “pseudobabcular” vertebral contours (indicated by white lines), most pronounced at the apex of kyphosis (circled by a black line); relative enlargement of the central parts of the intervertebral discs (white arrows); more vertical positioning of the ribs, predominantly in the upper parts of the thorax (black arrows)
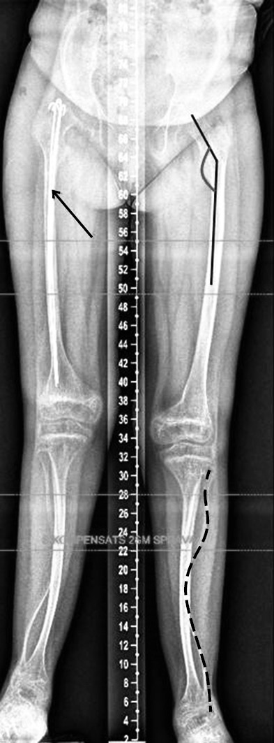
Radiographs of patient 1’s lower extremities revealed an increase in the neck–diaphyseal angle, a “serpentine” curvature of the fibula, and intramedullary reinforcement with spokes in the right femur after fracture (Fig. 4).
Fig. 4. Radiograph of the lower extremities of patient 1 in the standing position (panoramic) in direct projection: increased neck–diaphyseal angle (black line), “serpentine” curvature of the fibula (black dashed line), and intramedullary reinforcement with spokes of the right femur after fracture (arrow)
Radiography of patient 2’s hip joints revealed an increase in the neck–diaphyseal angle, decreased BMD, and disordered bone architecture of the proximal femur. Additionally, thinning of the bottom and protrusion of the acetabulum were observed (Fig. 5).
Fig. 5. Radiograph of the hip joints in direct projection in patient 2: increased neck–diaphyseal angle (black line), decreased mineral density, and disrupted bone architecture of the proximal femur (black arrow); thinning of the floor and acetabular protrusion (white arrow)
Based on clinical and radiological data, OPG syndrome was diagnosed. The diagnosis was confirmed by sequencing a targeting panel consisting of 166 genes responsible for developing hereditary skeletal pathology. A previously described pathogenic variant of the nucleotide sequence in the LRP5 gene in the homozygous state c.1481G>A, resulting in the substitution of the amino acid arginine for glutamine (p. Arg494Gln), was identified [6]. The patients’ parents and 24-year-old sister were heterozygous carriers of the detected variant in the LRP5 gene.
DISCUSSION
OPG syndrome is a rare autosomal recessive genetic disorder that causes congenital or infantile visual loss and early onset of severe osteoporosis [12]. Some patients may experience muscle hypotonia, ligamentous weakness, intellectual deficits, and obesity [13]. The disease is caused by pathogenic variants of the LRP5 gene. The molecular mechanism of OPG syndrome has been extensively studied. When the Wnt protein binds to the transmembrane Frizzled receptor and the LRP5 coreceptor, a process is initiated within the cell. This results in the deactivation of the β-catenin degradation complex, which consists of axin, APC, GSK3, and CK1α. Consequently, β-catenin is stabilized and accumulates in the cytoplasm. Subsequently, the β-catenin protein translocates to the nucleus and initiates the transcription of target genes. These genes are responsible for the differentiation and function of osteoblasts and neural crest derivative cells, such as ganglion and glial cells of the peripheral nervous system [14]. The LRP5 protein is crucial for normal regression of the embryonic vascular network of the eye. This affects the function of macrophages that perform apoptosis of capillary cells of the three vascular networks of the eye located in the pupillary membrane, lens, and eyeball [14, 15].
The present study describes the clinical and radiological characteristics of two Russian female siblings with OPG syndrome. The phenotype observed in these patients was characterized by a combination of vision loss and severe osteoporosis, which is consistent with that in previously described cases. Blindness was diagnosed within the first two months of life. Additionally, the affected siblings exhibited obesity, predominantly of the abdominal type, which is a unique clinical manifestation. Loh et al. have reported that excessive fat deposition is associated with the effect of LRP5 protein concentration on glucose and cholesterol metabolism [16]. In the model of LRP5 knockout mice, Fujino et al. have shown that LRP5 deficiency leads to increased plasma cholesterol levels in mice fed a high-fat diet because of decreased hepatic clearance of chylomicron residues [17].
OPG syndrome was confirmed based on the detection of a previously described pathogenic homozygous missense variant in the LRP5 gene, c.1481G>A, resulting in the substitution of arginine for glycine at position 494 of the polypeptide chain in the second β-propeller domain of the LRP5 protein (Fig. 6).
Fig. 6. Schematic representation of the structure and domain organization of LRP5 protein. Localization of amino acid substitution in the second β-propeller domain of LRP5 protein in patients with osteoporosis–pseudoglioma syndrome
The LRP5 protein comprises a large extracellular domain, a transmembrane domain, and a cytoplasmic domain. The extracellular domain begins with an amino-terminal end, followed by alternating β-propeller motifs (YWTD-type) that have a high affinity for the Wnt ligand, an EGF-like domain, and three LDL type A domains. The C-terminal region of the receptor is located in the cell cytoplasm and contains a signal sequence responsible for receptor internalization (Fig. 6) [18]. YWTD is a binding domain with high affinity for the Wnt ligand [6, 10].
Of the 77 pathogenic variants in the LRP5 gene that cause OPG syndrome, 49.3% are missense substitutions located in β-propeller structures. These variants result in receptor protein function loss and Wnt signaling pathway disruption [6, 19]. Several studies have demonstrated that individuals who carry heterozygous variants in the LRP5 gene may exhibit mild clinical symptoms of OPG syndrome, such as a decrease in bone mineral density resulting in fractures or mild indications of vitreoretinopathy [6, 20–24].
In the siblings we observed, bone fractures appeared to be accidental or related to impaired vision. However, radiological examination of the extremities revealed a general decrease in BMD with osteopenia-like abnormalities. Furthermore, spinal radiographs showed changes in the shape of vertebral bodies, including fish-like deformities in the lateral projection and pseudobabboid deformities in the straight projection. Osteodensitometry indicated low BMD in the lumbar spine. As the patients aged, they developed kyphoscoliosis and disproportionate growth retardation.
CONCLUSIONS
Childhood fractures that occur repeatedly because of low trauma are primarily caused by genetic factors. Therefore, these factors should be identified in all patients with early osteoporosis [25, 26]. The first steps in diagnosing this disease involve carefully collecting the patient’s genealogical history, conducting clinical and radiological examinations, and analyzing biochemical tests. These are beneficial for establishing the genetic nature of the disease. Our clinical observation revealed an autosomal recessive inheritance of the disease, as two affected siblings were born to healthy parents. The combination of infantile blindness and bone fractures is a characteristic symptom of OPG syndrome.
In recent years, advancements in molecular genetic analysis have allowed for the clarification of etiopathogenetic mechanisms of numerous diseases associated with decreased BMD and bone fragility. The identification of disease-causing nucleotide sequence variants is accelerated by massively parallel sequencing. Accurate molecular genetic diagnosis contributes to the effectiveness of medical and genetic counseling in families with a history of this pathology to prevent the occurrence of recurrent cases of the disease. The genetic heterogeneity of diseases that decrease BMD, along with similar clinical manifestations, is pronounced. The significant size of genes responsible for the occurrence of this pathology suggests the use of gene sequencing as part of targeting panels or complete exome sequencing as the main method for establishing the nosologic form.
ADDITIONAL INFORMATION
Funding source. No dedicated funding.
Conflict of interest. The authors declare no conflicts of interest related to the publication of this article.
Ethical review. Informed consent was obtained from the patients and their representatives for molecular genetic testing of blood samples and publication of personal data.
Authors’ contribution. E.S. Merkuryeva, collection and processing of clinical material, literature review, writing the text of the article; T.V. Markova and V.M. Kenis, development of study design, editing of the text of the article; T.S. Nagornova, laboratory molecular genetic diagnostics, analysis of research results; V.V. Kadyshev, analysis of the obtained data, editing of the text of the article; E.V. Noskova, medical and genetic counseling and examination of patients; E.L. Dadali, conceptualization, text editing, approval of the final version of the article.
All authors made significant contributions to the study and article preparation and read and approved the final version before publication.
About the authors
Elena S. Merkuryeva
Research Centre for Medical Genetics
Email: elena.merkureva@gmail.com
ORCID iD: 0000-0001-6902-253X
MD, PhD student, geneticist
Russian Federation, MoscowTatiana V. Markova
Research Centre for Medical Genetics
Email: markova@med-gen.ru
ORCID iD: 0000-0002-2672-6294
SPIN-code: 4707-9184
MD, PhD, Cand. Sci. (Med.)
Russian Federation, MoscowVladimir M. Kenis
H. Turner National Medical Research Center for Children’s Orthopedics and Trauma Surgery
Author for correspondence.
Email: kenis@mail.ru
ORCID iD: 0000-0002-7651-8485
SPIN-code: 5597-8832
MD, PhD, Dr. Sci. (Med.), Professor
Russian Federation, Saint PetersburgVitaly V. Kadyshev
Research Centre for Medical Genetics
Email: vvh.kad@gmail.com
ORCID iD: 0000-0001-7765-3307
SPIN-code: 4015-1309
MD, PhD, Cand. Sci. (Med.), Assistant Professor
Russian Federation, MoscowTatiana S. Nagornova
Research Centre for Medical Genetics
Email: nagornova@med-gen.ru
ORCID iD: 0000-0003-4527-4518
SPIN-code: 6032-2080
MD, laboratory geneticist
Russian Federation, MoscowElena V. Noskova
Chelyabinsk Regional Children’s Clinical Hospital
Email: noskovaev89@gmail.com
MD, geneticist
Russian Federation, ChelyabinskElena L. Dadali
Research Centre for Medical Genetics
Email: genclinic@yandex.ru
ORCID iD: 0000-0001-5602-2805
SPIN-code: 3747-7880
MD, PhD, Dr. Sci. (Med.), Professor
Russian Federation, MoscowReferences
- Orphanet [Internet]. Osteoporosis pseudoglioma syndrome [cited 2023 Nov 8]. Available from: https://www.orpha.net/consor/cgi-bin/OC_Exp.php?lng=en&Expert=2788
- Unger S,Ferreira CR , Mortier GR, et al. Nosology of genetic skeletal disorders: 2023 revision. Am J Med Genet A. 2023;191(5):1164–1209. doi: 10.1002/ajmg.a.63132
- Bianchine JW, Briard-Guillemot ML, Maroteaux P, et al. Generalized osteoporosis with bilateral pseudoglioma – an autosomal recessive disorder of connective tissue: report of three families – review of the literature. Am J Hum Genet. 1972,24:34A.
- Neuhäuser G, Kaveggia EG, Opitz JM. Autosomal recessive syndrome of pseudogliomantous blindness, osteoporosis and mild mental retardation. Clin Genet. 1976;9(3):324–332. doi: 10.1111/j.1399-0004.1976.tb01581.x
- De Paepe A, Leroy JG, Nuytinck L, et al. Osteoporosis-pseudoglioma syndrome. Am J Med Genet. 1993;45(1):30–37. doi: 10.1002/ajmg.1320450110
- Gong Y, Slee RB, Fukai N, et al.; Osteoporosis-Pseudoglioma Syndrome Collaborative Group. LDL receptor-related protein 5 (LRP5) affects bone accrual and eye development. Cell. 2001;107(4):513–523. doi: 10.1016/s0092-8674(01)00571-2
- Boyden LM, Mao J, Belsky J, et al. High bone density due to a mutation in LDL-receptor-related protein 5. N Engl J Med. 2002;346(20):1513–1521. doi: 10.1056/NEJMoa013444
- Marques-Pinheiro A, Levasseur R, Cormier C, et al. Novel LRP5 gene mutation in a patient with osteoporosis-pseudoglioma syndrome. Joint Bone Spine. 2010;77(2):151–153. doi: 10.1016/j.jbspin.2009.11.013
- Laine CM, Chung BD, Susic M, et al. Novel mutations affecting LRP5 splicing in patients with osteoporosis-pseudoglioma syndrome (OPPG). Eur J Hum Genet. 2011;19(8):875–881. doi: 10.1038/ejhg.2011.42
- Takagi J, Yang Y, Liu JH, et al. Complex between nidogen and laminin fragments reveals a paradigmatic beta-propeller interface. Nature. 2003;424(6951):969–974. doi: 10.1038/nature01873
- Richards S, Aziz N, Bale S, et al; ACMG Laboratory Quality Assurance Committee. Standards and guidelines for the interpretation of sequence variants: a joint consensus recommendation of the American College of Medical Genetics and Genomics and the Association for Molecular Pathology. Genet Med. 2015;17(5):405–424. doi: 10.1038/gim.2015.30
- Levasseur R, Lacombe D, de Vernejoul MC. LRP5 mutations in osteoporosis-pseudoglioma syndrome and high-bone-mass disorders. Joint Bone Spine. 2005;72(3):207–214. doi: 10.1016/j.jbspin.2004.10.008
- Biha N, Ghaber SM, Hacen MM, et al. Osteoporosis-pseudoglioma in a mauritanian child due to a novel mutation in LRP5. Case Rep Genet. 2016;2016. doi: 10.1155/2016/9814928
- Kato M, Patel MS, Levasseur R, et al. Cbfa1-independent decrease in osteoblast proliferation, osteopenia, and persistent embryonic eye vascularization in mice deficient in Lrp5, a Wnt coreceptor. J Cell Biol. 2002;157(2):303–314. doi: 10.1083/jcb.200201089
- Baron R, Rawadi G. Targeting the Wnt/beta-catenin pathway to regulate bone formation in the adult skeleton. Endocrinology. 2007;148(6):2635–2643. doi: 10.1210/en.2007-0270
- Loh NY, Neville MJ, Marinou K, et al. LRP5 regulates human body fat distribution by modulating adipose progenitor biology in a dose- and depot-specific fashion. Cell Metab. 2015;21(2):262–273. doi: 10.1016/j.cmet.2015.01.009
- Fujino T, Asaba H, Kang MJ, et al. Low-density lipoprotein receptor-related protein 5 (LRP5) is essential for normal cholesterol metabolism and glucose-induced insulin secretion. Proc Natl Acad Sci USA. 2003;100(1):229–234. doi: 10.1073/pnas.0133792100
- Zhong ZA, Williams BO. LRP5(low density lipoprotein receptor-related protein 5). Atlas of Genetics and Cytogenetics in Oncology and Haematology. 2011;15(3):270–275.
- Ai M, Heeger S, Bartels CF, et al; Osteoporosis-Pseudoglioma Collaborative Group. Clinical and molecular findings in osteoporosis-pseudoglioma syndrome. Am J Hum Genet. 2005;77(5):741–753. doi: 10.1086/497706
- Campos-Obando N, Oei L, Hoefsloot LH, et al. Osteoporotic vertebral fractures during pregnancy: be aware of a potential underlying genetic cause. J Clin Endocrinol Metab. 2014;99(4):1107–1111. doi: 10.1210/jc.2013-3238
- Hartikka H, Mäkitie O, Männikkö M, et al. Heterozygous mutations in the LDL receptor-related protein 5 (LRP5) gene are associated with primary osteoporosis in children. J Bone Miner Res. 2005;20(5):783–789. doi: 10.1359/JBMR.050101
- Saarinen A, Mäyränpää MK, Lehesjoki AE, et al. Low-density lipoprotein receptor-related protein 5 (LRP5) variation in fracture prone children. Bone. 2010;46(4):940–945. doi: 10.1016/j.bone.2009.12.022
- van Meurs JB, Trikalinos TA, Ralston SH, et al; GENOMOS Study. Large-scale analysis of association between LRP5 and LRP6 variants and osteoporosis. JAMA. 2008;299(11):1277–12390. doi: 10.1001/jama.299.11.1277
- Ferrari SL, Deutsch S, Baudoin C, et al. LRP5 gene polymorphisms and idiopathic osteoporosis in men. Bone. 2005;37(6):770–775. doi: 10.1016/j.bone.2005.06.017
- Mäkitie O, Zillikens MC. Early-onset osteoporosis. Calcif Tissue Int. 2022;110(5):546–561. doi: 10.1007/s00223-021-00885-6
- Costantini A, Mäkitie RE, Hartmann MA, et al. Early-onset osteoporosis: rare monogenic forms elucidate the complexity of disease pathogenesis beyond type I collagen. J Bone Miner Res. 2022;37(9):1623–1641. doi: 10.1002/jbmr.4668
Supplementary files










