Diagnostic value of synovial calprotectin (S100A8/A9) in differential diagnosis of juvenile idiopathic arthritis and pigmented villonodular synovitis in children: preliminary results of a single-center study
- Authors: Kozhevnikov A.N.1, Derkach E.A.1, Porohova A.A.1, Lukyanov S.A.1
-
Affiliations:
- H. Turner National Medical Research Center for Children’s Orthopedics and Trauma Surgery
- Issue: Vol 13, No 1 (2025)
- Pages: 5-13
- Section: Clinical studies
- Submitted: 24.08.2024
- Accepted: 21.01.2025
- Published: 18.04.2025
- URL: https://journals.eco-vector.com/turner/article/view/635368
- DOI: https://doi.org/10.17816/PTORS635368
- EDN: https://elibrary.ru/MPTCHZ
- ID: 635368
Cite item
Abstract
BACKGROUND: Juvenile idiopathic arthritis is the most common chronic inflammatory musculoskeletal disease in children. Its most prevalent clinical subtype is oligoarthritis. Pigmented villonodular synovitis, also known as tenosynovial giant cell tumor, is a rare benign synovial disorder, which may clinically resemble oligoarthritis. Differential diagnosis between juvenile idiopathic arthritis and pigmented villonodular synovitis is challenging. Intra-articular steroids used in juvenile idiopathic arthritis therapy may induce negative effects in patients with pigmented villonodular synovitis. Orthopedic and surgical procedures used to rule out pigmented villonodular synovitis are burdensome for children. Magnetic resonance imaging may yield similar findings for both conditions at early stages. Several studies revealed that serum calprotectin is a promising biomarker for juvenile idiopathic arthritis.
AIM: To assess synovial fluid calprotectin concentrations in children with oligoarthritis and pigmented villonodular synovitis.
METHODS: The synovial fluid concentrations of calprotectin, interleukin-6, and tumor necrosis factor-alpha in 42 children with oligoarthritis and 12 children with diffuse pigmented villonodular synovitis of the knee joint were obtained by enzyme-linked immunosorbent assay. In patients with juvenile idiopathic arthritis, cytokine levels were determined at disease onset, and prior to therapeutic and diagnostic arthroscopy in those with pigmented villonodular synovitis.
RESULTS: Synovial calprotectin significantly increased in children with oligoarthritis (108 [28.2; 237] μg/mL) compared to those with pigmented villonodular synovitis (1.53 [1.26; 1.69] μg/mL; p < 0.001). No statistically significant differences were found in synovial tumor necrosis factor-alpha and interleukin-6 concentrations between patients with juvenile idiopathic arthritis and those with pigmented villonodular synovitis. ROC analysis showed a synovial calprotectin threshold of >2.9 μg/mL for the diagnosis of juvenile idiopathic arthritis (AUC = 0.996 ± 0.00479; 95% CI: 0.926–1.000).
CONCLUSION: In children, the differential diagnosis of oligoarthritis is often complicated by clinically similar nonrheumatic joint disorders. The main synovial proinflammatory markers cannot be used for the differential diagnosis of juvenile idiopathic arthritis and pigmented villonodular synovitis. Synovial calprotectin concentration is a promising biomarker of juvenile idiopathic arthritis.
Full Text
BACKGROUND
Juvenile idiopathic arthritis (JIA) is the most common chronic inflammatory musculoskeletal disease affecting children [1]. Although the exact causes of JIA remain unknown, it is known to have a duration of more than 6 weeks and affects children aged under 16 years [2]. There are several clinical subtypes of this disease, including oligoarticular JIA (or oligoarthritis), which is the most prevalent clinical subtype among white European populations [3]. The hallmark of persistent oligoarthritis in children is the involvement of one or two larger joints, most often a knee and/or ankle, but without a known progression to a new body part over time [4]. Arthritis is typically associated with exudation and proliferation processes and may progress without any underlying hematological abnormalities [5]. JIA is a diagnosis of exclusion that must be established according to the International League of Associations for Rheumatology (ILAR) classification criteria (ILAR 1997; 2001; Edmonton revision 2004) [6].
Pigmented villonodular synovitis (PVNS) is a rare tenosynovial giant cell tumor, which may clinically resemble oligoarthritis [7]. This disease is caused by the nodular or unrestrained proliferation of the synovial villi associated with the overexpression of colony-stimulating factor 1 (CSF1), which is characterized by the massive accumulation of hemosiderin [8]. PVNS typically affects one joint, and the associated lesions may be either localized or diffuse.
Differential diagnosis between JIA and PVNS is challenging [9]. Intra-articular steroids used in JIA therapy may induce negative effects in patients with PVNS. Orthopedic surgical procedures performed to diagnose and treat PVNS are extremely aggressive and stressful for children (Fig. 1) [10].
Fig. 1. a, capsulectomy of the knee in a child with pigmented villonodular synovitis; b, synovial biopsy of an elbow in a child with undifferentiated arthritis.
The routine laboratory investigations do not provide useful data and hence do not precisely diagnose these diseases. Magnetic resonance imaging may yield similar findings for both conditions at the early stages (Fig. 2) [11]. However, the assessment of specific laboratory biomarkers in the synovial fluid of children diagnosed with unspecified monoarthritis can suggest a rheumatic etiology, which would eliminate the need for repeated, unjustified invasive procedures. The identification of a laboratory biomarker in cases of undifferentiated monoarthritis, which is indicative of the course of JIA, is therefore of critical importance. To achieve the aforementioned objectives, we undertook a specific approach to the diagnosis and treatment of monoarthritis in children at a single medical center.
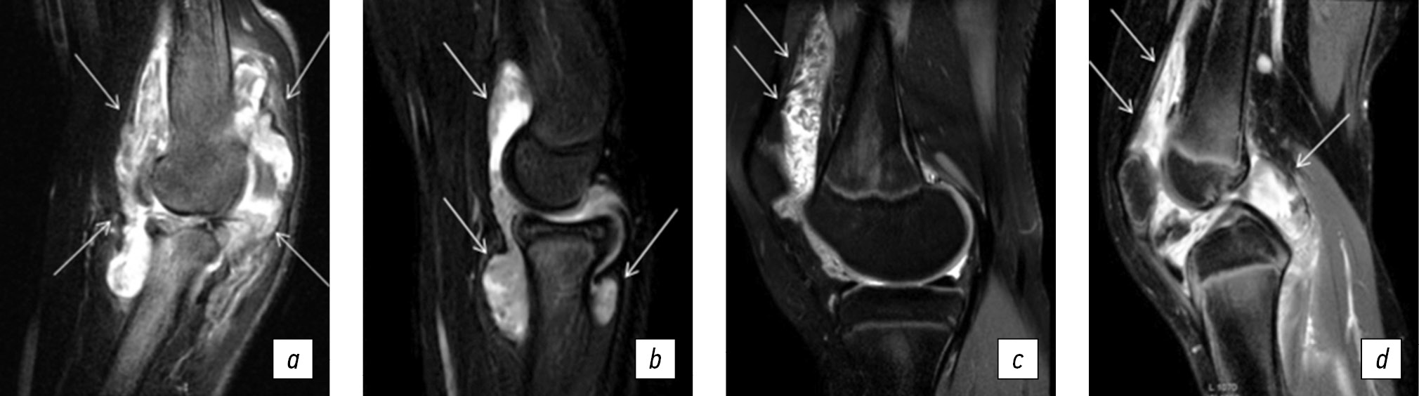
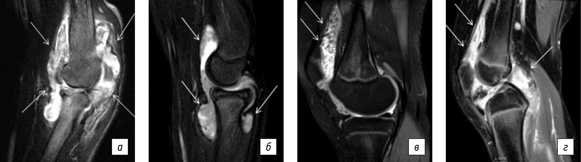
Fig. 2. Knee and elbow magnetic resonance imaging with short tau inversion recovery in pediatric patients (Source: Author’s archive). a, pigmented villonodular synovitis of the elbow, heterogeneous total synovial proliferation with extensive capsular distension; b, juvenile idiopathic arthritis of the elbow, subtotal synovial proliferation with nodular degeneration; c, pigmented villonodular synovitis of the knee, heterogeneous nodular synovial proliferation; d, juvenile idiopathic arthritis of the knee, heterogeneous total synovial proliferation with capsular distension.
Among the numerous biochemical assays available presently, calprotectin has high potential as a biomarker for immune-mediated inflammatory diseases. Calprotectin is a heterodimer that belongs to the S100 family of calcium-binding inflammatory leukocyte proteins and consists of two protein molecules, S100A8 and S100A9 (S100A8/S100A9; MRP8/14). S100A8/A9 is the primary intracellular protein of neutrophils, monocytes, and macrophages, and it acts as one of the mediators of inflammation and immune response [12, 13]. Calprotectin can be classified as an effector protein of innate immunity that is activated via inflammation or microbial invasion. Through the Toll-like receptor 4 (TLR4) system of macrophages and endothelial cells, calprotectin stimulates the inflammatory cascade, attracts formed elements to the inflammation site, promotes cell degranulation, and activates phagocytosis [14]. The overexpression of synovial calprotectin in patients with rheumatoid arthritis (RA) and JIA can be attributed to the involvement of the innate immune system in the pathogenetic self-reactive immune mechanisms of the disease [15]. In patients with RA, high synovial calprotectin is associated with protein overexpression by activated synovial macrophages and fibroblasts. The synergistic interaction of calprotectin with metalloproteinases may be responsible for inducing erosive changes in patients with RA [16, 17]. Several studies have suggested serum calprotectin as a promising biomarker for tracking the activity and aggressive course of RA and JIA [18, 19]. However, the potential of synovial fluid calprotectin as a specific biomarker for JIA in cases of undifferentiated monoarthritis in children warrants further exploration.
The present study aimed to assess the synovial fluid calprotectin concentrations in patients with oligoarthritis and PVNS.
METHODS
Enzyme immunoassay (ELISA) was performed to determine the levels of synovial fluid calprotectin in 42 children with oligoarticular JIA (all girls, mean age 4.2 ± 2.6 years) and 12 children with PVNS (66.7% were girls, mean age 14.2 ± 2.6 years) who were treated at the H. Turner National Medical Research Center for Children’s Orthopedics and Trauma Surgery during 2018–2023. All children with JIA had knee monoarthritis at the time of enrollment and none had received any prior disease-modifying antirheumatic drugs. PVNS in all children was diagnosed as a diffuse monoarticular form with knee involvement, as confirmed by diagnostic arthroscopy and biopsy (Fig. 3).
Fig. 3. Knee joint in a patient with a, juvenile idiopathic arthritis, b, pigmented villonodular synovitis.
The levels of synovial fluid calprotectin were measured at the time of onset in all children with JIA (at the active phase of the disease) or before therapeutic and diagnostic arthroscopy in children with PVNS. The synovial fluid was sampled by arthrocentesis. The immunological study was conducted at the clinical diagnostic laboratory of the H. Turner National Medical Research Center for Children’s Orthopedics and Trauma Surgery. In patients with PVNS, synovial fluid samples were analyzed after 10-min EBA 20S centrifugation at 2000 rpm. The assay of human calprotectin in the serum and synovial fluid samples was performed using the DRG ELISA EIA-5111 Kit (Germany). Furthermore, serum and synovial fluid analyses were supported by the determination of tumor necrosis factor-alpha (TNF-α) by alpha-TNFA-Best solid-phase ELISA (Vector-Best CJSC, Russia) and interleukin-6 (IL-6) by Cobas e411 electrochemiluminescence assay (Roche, Switzerland). The results were statistically processed using standard software, including the Microsoft Excel package. The distribution of the quantitative variables was presented as the median [5th; 95th percentiles]. The graphs were generated using the MedCalc program.
RESULTS
In the present study, we analyzed the correlation among calprotectin, TNF-α, and IL-6 levels in the groups of children with JIA and PVNS. The primary laboratory markers of inflammation (erythrocyte sedimentation rate [ESR], C-reactive protein [CRP], platelets, and white blood cells) did not differ significantly between children from the two groups at the time of diagnosis. There were no significant differences in the serum TNF-α, IL-6, and calprotectin levels between children with PVNS and those with oligoarthritis (Table 1). The antinuclear antibody (ANA) test yielded a positive result in 33.3% (n = 4) of children with PVNS (all girls), with a titer of ≤1/320 (AC-2.4), exhibiting a nuclear granular fluorescence pattern (as determined through duplicate analysis with a 3-month interval). In the JIA group, 80.1% (n = 34) of the girls showed an elevated ANA titer, including 55.2% (n = 22) with an ANA titer of ≥1/1280 and a comparable fluorescence pattern. However, because of the significant hemorrhagic component, synovial fluid cytology was not performed in children with PVNS.
Table 1. Clinical and laboratory characteristics of the study groups of children at the time of diagnoses.
Parameters | Value and frequency | Significance level, p | |
oligoarthritis (n = 42) | pigmented villonodular synovitis (n = 12) | ||
Girls, n (%) | 42 (100%) | 8 (66.7%) | >0.05 |
Age at disease onset, years | 4.2 [2; 7] | 14.2 [12; 16] | <0.01 |
ESR, mm/h | 14 [6; 28] | 17 [10; 25] | >0.05 |
CRP, mg/L | 2.7 [1.3; 4.5] | 2.2 [1.8; 3.3] | >0.05 |
Hemoglobin, g/L | 114 [110; 128] | 112 [108; 124] | >0.05 |
White blood cells, 109/L | 8.0 [6.8; 10.6] | 7.4 [6.2; 10.8] | >0.05 |
Platelets, 109/L | 442 [416; 476] | 438 [408; 466] | >0.05 |
Serum IL-6, pg/mL | 4.1 [2.5; 6.75] | 5.6 [3.2; 12.6] | >0.05 |
Serum TNF-α, pg/mL | 0.65 [0.2; 0.85] | 0.8 [0.2; 1.3] | >0.05 |
Serum calprotectin, µg/mL | 2.61 [1.25; 3.95] | 1.26 [0.78; 2.35] | >0.05 |
SF IL-6, pg/mL | 4200 [330; 14400] | 4300 [1612; 6580] | >0.05 |
SF TNF-α, pg/mL | 2.14 [0.68; 4.22] | 1.96 [0.34; 3.18] | >0.05 |
SF calprotectin, µg/mL | 108 [28.2; 237] | 1.53 [1.26; 1.69] | <0.01 |
ANA ≥1/160, n (%) | 34 (80.1%) | 4 (33.3%) | >0.05 |
ANAs ≥1/1280, n (%) | 22 (52.3%) | 0 (0.0%) | – |
Note. ESR, erythrocyte sedimentation rate; CRP, C-reactive protein; TNF-α, tumor necrosis factor-alpha; ANAs, antinuclear antibodies; PVNS, pigmented villonodular synovitis; SF, synovial fluid.
No significant differences were noted in the mean values of synovial fluid IL-6 between the oligoarthritis and PVNS groups, with values of 4,200 [330; 14, 400] pg/mL and 4,300 [1, 612; 6, 580] pg/mL, respectively. In addition, there were no statistically significant differences in the synovial fluid TNF-α levels, that is, 2.14 [0.68; 4.22] pg/mL in patients with oligoarthritis and 1.96 [0.34; 3.18] pg/mL in patients with PVNS (p > 0.05). The synovial fluid calprotectin levels were significantly higher in children with oligoarthritis, at 108 [28.2; 237] µg/mL when compared to 1.53 [1.26; 1.69] µg/mL in the PVNS group (p < 0.01, Fig. 4). Correlation analysis demonstrated a direct positive strong correlation (r = 0.721, odds ratio 20.1371, 95% confidence interval 0.561–0.828, p < 0.01) between the synovial fluid calprotectin levels and oligoarthritis (Table 2). Table 3 and Figure 5 shows the significant characteristics of the synovial fluid calprotectin, TNF-α, and IL-6 levels in the differential diagnosis of oligoarthritis and PVNS based on the ROC curve analysis. The calculated data suggested that calprotectin has the greatest predictive value in the differential diagnosis of oligoarthritis and PVNS (AUC 0.996, 95% confidence interval 0.26–1,000). Based on these criteria, a synovial fluid calprotectin level of >2.9 µg/mL should be considered as a threshold value for oligoarthritis. As such, the test sensitivity and specificity is >95%.
Fig. 4. Distribution of a, synovial fluid calprotectin and b, synovial fluid interleukin-6 levels in patients with oligoarthritis and pigmented villonodular synovitis (PVNS).
Table 2. Correlational model for the significance of synovial fluid cytokine levels in the differential diagnosis of oligoarthritis and pigmented villonodular synovitis.
Parameter | The correlation coefficient, r | T-test | Odds ratio | 95% CI for odds ratio | Significance level, р |
SF IL-6 | –0.134 | –0.240 | 0.9970 | –0.388 to 0.138 | 0.3325 |
SF TNF-α | –0.139 | 0.306 | 0.0307 | –0.392 to 0.134 | 0.3161 |
SF CP | 0.721 | 2.815 | 20.1371 | 0.561–0.828 | <0.01 |
Note. SF IL-6, synovial fluid interleukin-6; SF TNF-α, synovial fluid tumor necrosis factor-alpha; SF CP, synovial fluid calprotectin.
Table 3. ROC analysis for the significance of synovial fluid cytokine levels in the differential diagnosis of oligoarthritis and pigmented villonodular synovitis.
Parameter | Threshold value | AUC | Standard error | AUC (95% CI) | Sensitivity, % | Specificity, % |
SF IL-6 | >3200 pg/mL | 0.564 | 0.0979 | 0.423–0.699 | 56.2 | 66.7 |
SF TNF-α | >0.46 pg/mL | 0.552 | 0.103 | 0.410–0.687 | 55.1 | 50 |
SF CP | >2.9 µg/mL | 0.996 | 0.00479 | 0.926–1.000 | 99.8 | 91.7 |
Note. SF IL-6, synovial fluid interleukin-6; SF TNF-α, synovial fluid tumor necrosis factor-alpha; SF CP, synovial fluid calprotectin.
Fig. 5. ROC curve for assessing the significance of synovial fluid calprotectin, tumor necrosis factor-alpha, and interleukin-6 levels in the differential diagnosis of oligoarthritis and pigmented villonodular synovitis.
DISCUSSION
We determined the synovial fluid levels of TNF-α, IL-6, and calprotectin levels in patients with JIA and PVNS as well as analyzed these parameters in the blood serum. The study findings demonstrated a significant multiple increase in the synovial fluid calprotectin levels in children with oligoarthritis when compared to those with PVNS. No statistically significant differences were noted in the synovial fluid levels of TNF-α and IL-6 between patients with JIA and those with PVNS.
PVNS is a rare disease that remains difficult to diagnose. This aspect can be attributed to nonspecific clinical signs of PVNS and the low level of awareness among physicians [20]. Pediatric rheumatologists and orthopedic surgeons are well aware of situations wherein clinical and instrumental findings have been misinterpreted, sometimes resulting in unjustified aggressive orthopedic and surgical procedures in patients with JIA [21]. Arthroscopic partial synovectomy is considered the standard of care for the nodular form of PVNS, while subtotal capsulectomy is reserved for the diffuse form. Radiotherapy is not recommended in children because of the high risk of radiation-induced sarcoma [22]. CSF1 receptor inhibitors are not approved for pediatric use [23]. Therefore, diagnostic errors may result in the discontinuation of anti-inflammatory therapy, unjustified synovectomy, and early osteoarthritis.
National clinical and methodological guidelines suggest that the diagnosis of JIA should be based on the ILAR classification criteria. Laboratory inflammation markers, such as CRP and ESR, which are widely applied in clinical practice, show poor specificity for the diagnosis of the disease. Furthermore, the rheumatoid factor is not a diagnostic marker for children with oligoarthritis [24]. The diagnostic value of ANA titers in the HEp-2 cell line is undisputed, although their frequency is not higher than 50%–70% [25]. In contrast to the CRP synthesized by hepatocytes, calprotectin is released locally at the inflammation site and can therefore serve as a good marker of the chronic inflammatory process [26]. However, calprotectin is not included in the guidelines for the diagnosis of JIA. Rheumatologists are well aware of this protein from gastroenterology, wherein fecal calprotectin is used as a biomarker for suspected inflammatory bowel disease, such as Crohn’s disease in children [27].
Numerous multicenter studies have demonstrated a correlation between serum calprotectin levels and the activity and severity of RA, JIA, and psoriatic arthritis [28]. Some papers have suggested that serum calprotectin may serve as a “precursor marker” of exacerbation in the non-systemic forms of JIA [29, 30]. Notably, the potential of serum calprotectin is not limited to these applications. In several studies, calprotectin has been successfully used as an inflammation marker in the differential diagnosis of early-stage osteoarthritis and RA in adults [31, 32].
This study aimed to identify a laboratory biomarker in the synovial fluid to differentiate between oligoarthritis and PVNS in children. Therefore, a group of JIA patients with knee monoarthritis and low laboratory activity was selected, which is usually associated with difficulties in pathological verification. No significant differences were noted in the synovial fluid TNF-α levels between children with oligoarthritis and those with PVNS. Despite the different pathogenetic mechanisms, the synovial fluid IL-6 levels were comparable between the two groups of children. It is widely acknowledged that IL-6 serves as a primary inflammation mediator and is one of the pivotal cytokines in the pathogenesis of JIA. This finding is consistent with the basic principles of targeted therapy for JIA, which includes IL-6 inhibitors [33]. However, despite its association with synovitis and elevated IL-6 levels, the efficacy of immunosuppressive drugs has been limited in PVNS [34].
Similar findings of synovial fluid IL-6 overexpression in patients with PVNS have been reported in other studies [35]. This nonspecific phenomenon may be attributed to the hyperactivity of mononuclear cells, histiocytes, and synovial fibroblasts in the PVNS [36]. Furthermore, several studies have demonstrated elevated synovial levels of all three major proinflammatory cytokines (TNF-α, IL-6, and IL-1β) in patients with PVNS [37, 38].
In the present study, the synovial fluid TNF-α level was not elevated in patients with PVNS, and the synovial fluid IL-1β level was not assessed. The synovial fluid calprotectin level demonstrated a higher diagnostic sensitivity. Specifically, all children with diffuse PVNS exhibited significantly lower synovial fluid calprotectin levels when compared with the oligoarthritis group. Meanwhile, the serum calprotectin levels in patients with PVNS and oligoarthritis were within the reference ranges or only minimally elevated (the normal value being <2.9 mg/mL). These findings are consistent with the data published by other studies suggesting a correlation between the level of JIA activity and serum calprotectin [39]. The low serum calprotectin levels were expected in all children with PVNS. The calculated threshold value for synovial fluid calprotectin of >2.9 mg/mL, as detected in the ROC analysis in the differential diagnosis of PVNS and oligoarthritis, which corresponds to a similar normal value of serum calprotectin, is likely to be a coincidence and warrants further analysis.
The preliminary results so far suggested that the measurement of synovial fluid calprotectin may help in the differential diagnosis of JIA and PVNS. However, further research involving a larger sample size with PVNS is necessary to obtain more reliable data.
Study Limitations: The authors consider the major limitations of this study to be the small number of patients with PVNS, the deliberate inclusion of JIA patients with knee monoarthritis, the low laboratory activity, the variable duration of monoarthritis from the onset to the enrollment in patients of different groups, as well as the lack of comparative study with the literature data. Furthermore, the findings may be confounded by the hemorrhagic component of the synovial fluid in patients with PVNS and the need for additional sample processing.
CONCLUSION
The preliminary findings suggest the potential use of the synovial fluid calprotectin assay in the differential diagnosis of JIA and PVNS. However, the small number of patients with PVNS and the lack of data from other studies warrant further research and a detailed analysis of the present findings.
ADDITIONAL INFORMATION
Author contributions: A.N. Kozhevnikov: conceptualization and study design, writing – original draft; E.A. Derkach, A.A. Porohova, S.A. Lukyanov: data collection and processing. All authors approved the version of the manuscript to be published and agreed to be accountable for all aspects of the work, ensuring that questions related to the accuracy or integrity of any part of the work are appropriately investigated and resolved.
Ethics approval: The study was approved by the Local Ethics Committee of the H. Turner National Medical Research Center for Children’s Orthopedics and Trauma Surgery, Ministry of Health of Russia (Protocol No. 24-2/1, July 26, 2024).
Consent for publication: The authors obtained written informed consent from patients and/or their legal representatives to publish personal data, including photographs, in a scientific journal and its online version. The scope of the published data was approved by the patient and/or the patient’s legal representatives.
Funding sources: This work was not supported by any external sources.
Disclosure of interests: The authors have no relationships, activities, or interests for the last three years related to for-profit or not-for-profit third parties whose interests may be affected by the content of the article.
Statement of originality: No previously published material (text, images, or data) was used in this work.
Data availability statement: The data obtained in this study is available in the article.
Generative AI: No generative artificial intelligence technologies were used to prepare this article.
Provenance and peer review: This paper was submitted unsolicited and reviewed following the standard procedure. The review process involved an external reviewer and the in-house reviewer.
About the authors
Aleksey N. Kozhevnikov
H. Turner National Medical Research Center for Children’s Orthopedics and Trauma Surgery
Author for correspondence.
Email: Infant_doc@mail.ru
ORCID iD: 0000-0003-0509-6198
SPIN-code: 1230-6803
MD, PhD, Cand. Sci. (Medicine)
Russian Federation, Saint PetersburgElena A. Derkach
H. Turner National Medical Research Center for Children’s Orthopedics and Trauma Surgery
Email: serodedenko@gmail.com
ORCID iD: 0000-0002-9926-5281
MD
Russian Federation, Saint PetersburgAleksandra A. Porohova
H. Turner National Medical Research Center for Children’s Orthopedics and Trauma Surgery
Email: sasha.porokhova@yandex.ru
ORCID iD: 0009-0008-9820-6563
MD
Russian Federation, Saint PetersburgSergey A. Lukyanov
H. Turner National Medical Research Center for Children’s Orthopedics and Trauma Surgery
Email: sergey.lukyanov95@yandex.ru
ORCID iD: 0000-0002-8278-7032
SPIN-code: 3684-5167
MD, PhD, Cand. Sci. (Medicine)
Russian Federation, Saint PetersburgReferences
- Ravelli A, Martini A. Juvenile idiopathic arthritis. Lancet. 2007;369(9563):767–778. EDN: MKWHUD doi: 10.1016/S0140-6736(07)60363-8
- Stoll ML, Cron RQ. Treatment of juvenile idiopathic arthritis: a revolution in care. Pediatr Rheumatol Online J. 2014;12:13. EDN: SOKSUT doi: 10.1186/1546-0096-12-13
- Giancane G, Consolaro A, Lanni S, et al. Juvenile idiopathic arthritis: diagnosis and treatment. Rheumatol Ther. 2016;3(2):187–207. EDN: YGSPXE doi: 10.1007/s40744-016-0040-4
- Kim KH, Kim DS. Juvenile idiopathic arthritis: diagnosis and differential diagnosis. Korean J Pediatr. 2010;53(11):931–935. doi: 10.3345/kjp.2010.53.11.931
- Tsurikova NA, Ligostaeva EA, Zholobova ES. Oligoarticular juvenile idiopathic arthritis at early stages of disease: a way to verification of diagnosis. Clinical Practice in Pediatrics. 2017;12(2):33–38. EDN: YNUAHF doi: 10.20953/1817-7646-2017-2-33-38
- Ringold S, Angeles-Han ST, Beukelman T, et al. 2019 American College of Rheumatology/Arthritis Foundation guideline for the treatment of juvenile idiopathic arthritis: therapeutic approaches for non-systemic polyarthritis, sacroiliitis, and enthesitis. Arthritis Care Res (Hoboken). 2019;71(6):717–734. EDN: UKDZNY doi: 10.1002/acr.23870
- Kozhevnikov AN, Pozdeeva NA, Konev MA, et al. Juvenile arthritis: clinical manifestations and differential diagnosis and differential diagnosis. Pediatric Traumatology, Orthopaedics and Reconstructive Surgery. 2014;4(2):66–73. EDN: TGIWBD doi: 10.17816/PTORS2466-73
- Fecek C, Carter KR. Pigmented villonodular synovitis. In: StatPearls. StatPearls Publishing; 2023.
- Turkucar S, Makay B, Tatari H, et al. Pigmented villonodular synovitis: four pediatric cases and brief review of literature. J Postgrad Med. 2019;65(4):233–236. doi: 10.4103/jpgm.JPGM_305_19
- Karami M, Soleimani M, Shiari R. Pigmented villonodular synovitis in pediatric population: review of literature and a case report. Pediatr Rheumatol Online J. 2018;16(1):6. EDN: HZMVEO doi: 10.1186/s12969-018-0222-4
- Şahin E, Tatari H. Pigmented villonodular synovitis of the knee confused with juvenile rheumatoid arthritis in a 3-year-old child: a case report. J Surg Med. 2020;4(9):838–841. doi: 10.28982/josam.716164
- Kittanakom S, Shajib MS, Garvie K, et al. Comparison of fecal calprotectin methods for predicting relapse of pediatric inflammatory bowel disease. Can J Gastroenterol Hepatol. 2017;2017:1450970. doi: 10.1155/2017/1450970
- Wang S, Song R, Wang Z, et al. S100A8/A9 in inflammation. Front Immunol. 2018;9:1298. doi: 10.3389/fimmu.2018.01298
- Inciarte-Mundo J, Frade-Sosa B, Sanmartí R. From bench to bedside: Calprotectin (S100A8/S100A9) as a biomarker in rheumatoid arthritis. Front Immunol. 2022;13:1001025. EDN: CXOGZE doi: 10.3389/fimmu.2022.1001025
- Pathirana WGW, Chubb SP, Gillett MJ, et al. Faecal calprotectin. Clin Biochem Rev. 2018;39(3):77–90.
- Avdeeva AS. Clinical significance of calprotectin in rheumatic diseases. Rheumatology Science and Practice. 2018;56(4):494–499. EDN: XYBWFV doi: 10.14412/1995-4484-2018-494-499
- Carrión M, Juarranz Y, Martínez C, et al. IL-22/IL-22R1 axis and S100A8/A9 alarmins in human osteoarthritic and rheumatoid arthritis synovial fibroblasts. Rheumatology (Oxford). 2013;52(12):2177–2186. doi: 10.1093/rheumatology/ket315
- Romano M, Gerloni V, De Lucia O, et al. Serum calprotectin (S100A8/9), clinical and ultrasound assessment in patients with juvenile idiopathic arthritis. Clin Exp Rheumatol. 2021;39(5):1132–1140. EDN: OHJSIP doi: 10.55563/clinexprheumatol/5tckci
- d’Angelo DM, Attanasi M, Di Donato G, et al. The role of serum calprotectin in defining disease outcomes in non-systemic juvenile idiopathic arthritis: a pilot study. Int J Mol Sci. 2023;24(2):1671. EDN: CMXPYF doi: 10.3390/ijms24021671
- Denisov LN, Nesterenko VA, Smirnov AV. Pigmented villonodular synovitis: literature review and case report. Modern Rheumatology Journal. 2022;16(3):91–95. EDN: LNWUMR doi: 10.14412/1996-7012-2022-3-91-95
- Ottaviani S, Ayral X, Dougados M, et al. Pigmented villonodular synovitis: a retrospective single-center study of 122 cases and review of the literature. Semin Arthritis Rheum. 2011;40(6):539–546. doi: 10.1016/j.semarthrit.2010.07.005
- Baroni E, Russo BD, Masquijo JJ, et al. Pigmented villonodular synovitis of the knee in skeletally immature patients. J Child Orthop. 2010;4(2):123–127. doi: 10.1007/s11832-009-0236-z
- Brahmi M, Vinceneux A, Cassier PA. Current systemic treatment options for tenosynovial giant cell tumor/pigmented villonodular synovitis: targeting the CSF1/CSF1R axis. Curr Treat Options Oncol. 2016;17(2):10. EDN: NHDZJE doi: 10.1007/s11864-015-0385-x
- Alexeeva E.I. Juvenile idiopathic arthritis: clinical picture, diagnosis, treatment. Current Pediatrics. 2015;14(1):78–94. EDN: TIHOVF doi: 10.15690/vsp.v14i1.1266
- Mahmud SA, Binstadt BA. Autoantibodies in the pathogenesis, diagnosis, and prognosis of juvenile idiopathic arthritis. Front Immunol. 2019;9:3168. doi: 10.3389/fimmu.2018.03168
- Romand X, Bernardy C, Nguyen MVC, et al. Systemic calprotectin and chronic inflammatory rheumatic diseases. Joint Bone Spine. 2019;86(6):691–698. doi: 10.1016/j.jbspin.2019.01.003
- Jeong SJ. The role of fecal calprotectin in pediatric disease. Korean J Pediatr. 2019;62(8):287–291. doi: 10.3345/kjp.2019.00059
- Marushko T, Holubovska Y, Kulchytska YE. Evaluation of serum calprotectin (MRP-8/MRP-14) levels in patients with juvenile idiopathic arthritis. Journal of Pediatric and Neonatal Individualized Medicine. 2021;10(1):e100140. doi: 10.7363/100140
- Altobelli E, Angeletti PM, Petrocelli R, et al. Serum calprotectin a potential biomarker in juvenile idiopathic arthritis: a meta-analysis. J Clin Med. 2021;10(21):4861. EDN: GYXALT doi: 10.3390/jcm10214861
- Boyko Y, Ivanova V, Vakaruk M, et al. Blood calprotectin in children with juvenile idiopathic arthritis: relationship to flare development after discontinuation of treatment. Reumatologia. 2020;58(4):202–207. EDN: JTXAVJ doi: 10.5114/reum.2020.98431
- Salari P, Grassi M, Cinti B, et al. Synovial fluid calprotectin for the preoperative diagnosis of chronic periprosthetic joint infection. J Arthroplasty. 2020;35(2):534–537. EDN: DDBCRI doi: 10.1016/j.arth.2019.08.052
- Boffa A, Merli G, Andriolo L, et al. Synovial fluid biomarkers in knee osteoarthritis: a systematic review and quantitative evaluation using BIPEDs criteria. Cartilage. 2021;13(Suppl 1):82S–103S. EDN: QPLRZJ doi: 10.1177/1947603520942941
- Kostik MM, Chikova IA, Isupova EA, et al. The use of tocilizumab in 40 patients with polyarticular juvenile idiopathic arthritis: the results of a retrospective study. Current Pediatrics. 2017;16(2):148–155. EDN: YRGVSX doi: 10.15690/vsp.v16i2.1716
- Tsujioka Y, Nishimura G, Sugimoto H, et al. Imaging findings of juvenile idiopathic arthritis and autoinflammatory diseases in children. Jpn J Radiol. 2023;41(11):1186–1207. EDN: AZVCVW doi: 10.1007/s11604-023-01447-6
- Chen C, Zheng L, Zeng G, et al. Identification of potential diagnostic biomarkers for tenosynovial giant cell tumour by integrating microarray and single-cell RNA sequencing data. J Orthop Surg Res. 2023;18(1):905. EDN: EROOHX doi: 10.1186/s13018-023-04279-2
- Liu Y, Liang X, Xu B, et al. Identification of potential biomarkers of pigmented villonodular synovitis by transcriptome analysis. Research Square. 2022. doi: 10.21203/rs.3.rs-1707206/v1
- Heng H, Li D, Su W, et al. Exploration of comorbidity mechanisms and potential therapeutic targets of rheumatoid arthritis and pigmented villonodular synovitis using machine learning and bioinformatics analysis. Front Genet. 2023;13:1095058. EDN: GVONHD doi: 10.3389/fgene.2022.1095058
- O’Keefe RJ, Rosier RN, Teot LA, et al. Cytokine and matrix metalloproteinase expression in pigmented villonodular synovitis may mediate bone and cartilage destruction. Iowa Orthop J. 1998;18:26–34.
- Kozhevnikov AN, Pozdeeva NA, Derkach EA, et al. A pilot study of serum calprotectin ability to be a potential biomarker of erosive course juvenile arthritis. African Journal of Rheumatology. 2023;11(2):110–115.
Supplementary files
