Перспективы применения терапии бисфосфонатами у детей с болезнью Легга – Кальве – Пертеса, протекающей с признаками остеоартрита. Предварительные результаты моноцентрового исследования
- Авторы: Кожевников А.Н.1,2, Барсуков Д.Б.1, Бортулёв П.И.1, Брайлов С.А.1
-
Учреждения:
- Национальный медицинский исследовательский центр детской травматологии и ортопедии имени Г.И. Турнера
- Санкт-Петербургский государственный педиатрический медицинский университет
- Выпуск: Том 12, № 4 (2024)
- Страницы: 463-472
- Раздел: Новые технологии в травматологии и ортопедии
- Статья получена: 25.09.2024
- Статья одобрена: 24.10.2024
- Статья опубликована: 15.12.2024
- URL: https://journals.eco-vector.com/turner/article/view/636471
- DOI: https://doi.org/10.17816/PTORS636471
- ID: 636471
Цитировать
Аннотация
Обоснование. Болезнь Легга – Кальве – Пертеса — мультифакторное заболевание, при котором механизм формирования очага некроза носит невоспалительный аваскулярный характер. В некоторых случаях заболевание у детей протекает более агрессивно с признаками остеоартрита. Такой вариант течения болезни Легга – Кальве – Пертеса проявляется активным воспалением костной ткани и артритом, что часто приводит к выраженной деформации головки бедренной кости и развитию раннего коксартроза. В настоящее время проблема лечения остеоартрита у детей с болезнью Легга – Кальве – Пертеса не решена в связи с низкой эффективностью нестероидных противовоспалительных средств. Терапия подавления активности остеокластов при помощи бисфосфонатов у взрослых с идиопатическим асептическим некрозом головки бедренной кости признана патогенетически обоснованной. Использование бисфосфонатов у детей с болезнью Легга – Кальве – Пертеса, сопровождающейся признаками остеоартрита, не изучено.
Цель — оценить эффективность и безопасность применения бисфосфонатов у детей с болезнью Легга – Кальве – Пертеса, протекающей с признаками остеоартрита.
Материалы и методы. Основу исследования составили данные лечения 14 детей (средний возраст детей — 7,5 ± 2,4 года, 71,4 % девочки) с болезнью Легга – Кальве – Пертеса (на стадии импрессионного перелома) и активным остеоартритом тазобедренного сустава. Все дети имели артрит, торпидный к терапии нестероидными противовоспалительными средствами, длительностью не менее 3 мес. В лечении использовали ибандроновую кислоту в дозе 1,0 мг на инфузию детям до 7 лет, в дозе 1,5 мг детям старше 7-летнего возраста с кратностью введения каждые 3 мес. Исследование включало пять последовательных инфузий. Результаты лечения оценивали через 6, 12, 18 мес. на основании совокупной динамики клинических, инструментальных и лабораторных данных. Для определения степени активности остеоартрита была применена модифицированная шкала SCORING OF HIP MRI FOR JIA.
Результаты. У всех детей болевой синдром тазобедренного сустава уменьшился уже после первой инфузии ибандроновой кислоты. Неактивная стадия остеоартрита на фоне использования бисфосфонатов была достигнута у 78,5 % (11) детей после трех последовательных инфузий, у 21,5 % (3) — после четырех введений препарата. Постинфузионные реакции отмечены у 85,7 % (12) детей на начальном этапе лечения бисфосфонатами и носили кратковременный характер. Показатели скорости оседания эритроцитов, С-реактивного белка, интерлейкина-6 и фактора некроза опухоли альфа в сыворотке крови у детей с остеоартритом не выходили за рамки референсных значений. Недостаточность 25-OH витамина D выявлена лишь у 28,5 % (4) пациентов на момент диагностики остеоартрита.
Заключение. Применение бисфосфонатов у детей с болезнью Легга – Кальве – Пертеса, протекающей с остеоартритом, можно рассматривать как инновационный патогенетически обоснованный метод лечения. Полученные данные указывают на перспективность использования бисфосфонатов у детей с болезнью Легга – Кальве – Пертеса. Требуются дальнейшие наблюдения изучаемой группы детей для оценки отдаленных результатов.
Полный текст
ОБОСНОВАНИЕ
Болезнь Легга – Кальве – Пертеса (БЛКП) причислена к одному из наиболее часто встречаемых и тяжелых заболеваний опорно-двигательного аппарата в детском возрасте, течение которого нередко приводит к развитию коксартроза и потере функций сустава. В основе заболевания лежат механизмы аваскулярного формирования очага остеонекроза, которые до конца не изучены [1]. Заболевание протекает постадийно — от начальной фазы развития некроза головки бедренной кости, через стадию импрессионного перелома к процессу новообразования костной ткани [2]. Исход заболевания более благоприятен при условии своевременного полноценного лечения [3]. Однако в некоторых случаях у детей, несмотря на правильность терапии, болезнь протекает в более агрессивной форме с признаками остеоартрита. Такой вариант течения БЛКП проявляется хроническим воспалением костной ткани и артритом (синовитом) тазобедренного сустава на стадии формирования и разгара очага остеонекроза [4]. Применение нестероидных противовоспалительных средств (НПВС) в большинстве случаев не влияет на течение заболевания и не предотвращает развития деформации головки бедренной кости [5]. Неудовлетворенность результатами традиционных методов лечения послужила поводом для поиска новых терапевтических моделей воздействия на течение остеоартрита у детей с БЛКП.
БЛКП — наиболее частая разновидность асептического некроза головки бедренной кости у детей (АНГБК) [6]. Распространенность АНГБК составляет 0,4–29 на 100 000 детей различных этнических групп. При БЛКП чаще страдают мальчики. В большинстве случаев поражение — одностороннее (85–90 %) [7]. Считается, что транзиторный синовит на начальной стадии формирования очага остеонекроза является частой составляющей течения БЛКП. Однако в ряде случаев синовит может приобретать признаки хронического артрита с воспалением костной ткани, причины которого неизвестны [8]. Одним из механизмов развития хронического воспалительного процесса тазобедренного сустава может быть неконтролируемая гиперактивность остеокластов очага некроза, которая сопровождается гиперпродукцией провоспалительных цитокинов [9]. Такой вариант течения заболевания следует расценивать как остеоартрит, терапия которого в настоящее время не разработана. В большинстве случаев пролонгированный прием НПВС не приносит ожидаемого эффекта, что может приводить к затяжному течению заболевания [10]. Применение иммуноподавляющей терапии не считается обоснованным в силу того, что признаки остеоартрита не отвечают критериям диагностики такого заболевания, как ювенильный идиопатический артрит [11]. Затяжное течение остеоартрита может способствовать увеличению объема очага некроза, грубой деформации головки бедренной кости, кроме того, воспалительный процесс не позволяет проводить своевременное хирургическое лечение [12]. В многочисленных исследованиях продемонстрировано, что терапия с применением бисфосфонатов (БФ-терапия) у взрослых с идиопатическим АНГБК способствовала стиханию воспалительного процесса. БФ-терапия препятствовала дальнейшему прогрессированию деформации головки бедренной кости, приводила к уменьшению болевого синдрома и улучшению функции тазобедренного сустава [13]. Клинические исследования применения БФ-терапии у детей с БЛКП, по данным отечественных и зарубежных источников, в настоящее время не представлены [14].
Цель — оценить эффективность и безопасность применения бисфосфонатов у детей с болезнью Легга – Кальве – Пертеса, протекающей с признаками остеоартрита.
МАТЕРИАЛЫ И МЕТОДЫ
В исследование включены 14 детей (71,4 % девочки) с БЛКП, сопровождающейся признаками остеоартрита, которые получали лечение в НМИЦ детской травматологии и ортопедии им Г.И. Турнера в период 2022–2024 гг. На момент включения в исследование у всех детей диагностирована БЛКП в стадии импрессионного перелома, течение которой сопровождалось МР-признаками трабекулярного отека костной ткани и «активного» хронического синовита (рис. 1). Все дети имели артрит, торпидный к терапии НПВС, длительностью не менее 3 мес. Протокол лечения включал применение пяти последовательных инфузий препарата из группы бисфосфонатов — ибандроновой кислоты. Доза ибандроновой кислоты варьировала в зависимости от возраста и составила для детей до 7-летнего возраста 1,0 мг, старше 7 лет — 1,5 мг на инфузию. Инфузии ибандроновой кислоты осуществляли с интервалом 3 мес. БФ-терапию в обязательном порядке включали в структуру комплексного восстановительного лечения, которое состояло из лечебной гимнастики, противовоспалительных физиотерапевтических процедур, а также соблюдения ортопедического режима с исключением осевой нагрузки на пораженную конечность. Эффективность и переносимость терапии оценивали по результатам динамического наблюдения за пациентами через 3, 6, 9, 12 и 18 мес. от начала терапии. Клиническая часть протокола исследования предполагала объективный осмотр пациента, определение степени ограничения амплитуды движений в тазобедренном суставе, оценку выраженности болевого синдрома согласно визуальной аналоговой шкале боли (ВАШ), суставному индексу боли Ричи (RAI) и их динамики [15].
Рис. 1. Магнитно-резонансная томограмма: II стадия остеохондропатии головки бедренной кости слева с признаками остеоартрита; в режиме STIR определяются обширная зона деструкции головки бедренной кости, реактивный трабекулярный отек головки и шейки, явления хронического синовита
Лабораторные и инструментальные методы диагностики были второй составной частью протокола исследования. Рентгенографию тазобедренных суставов в переднезадней проекции и в проекции Lauenstein выполняли непосредственно перед началом лечения, а также через 3, 6, 12 и 18 мес. от начала БФ-терапии, что позволяло определить стадию заболевания (оценивали по классификации Рейнберга) и форму головки бедренной кости. Форму головки бедренной кости оценивали по соотношению ее минимального и максимального радиусов при помощи трафарета Mose с концентрическими окружностями, нанесенными на расстоянии 2 мм друг от друга. Трафарет накладывали на рентгенограмму в переднезадней проекции таким образом, чтобы вокруг контура головки бедренной кости оказалась описана соответствующая окружность минимального диаметра. При значениях указанного соотношения более 0,95 хрящевую модель считали сферичной, при значениях 0,95–0,86 диагностировали I степень деформации, при значениях 0,85–0,76 — II степень, а при значениях 0,75 и менее — III степень. Кроме того, для оценки степени активности остеоартрита, расчета объема очага некроза в эпифизе и реактивной зоны отека костной ткани применяли магнитно-резонансную томографию тазобедренных суставов, которую проводили каждые 3 мес. С этой целью использовали магнитно-резонансный томограф Philips Ingenia ElitionX 3 Тесла с последовательной визуализацией тазобедренных суставов в режимах T1 TSE, T2 STIR в коронарной, аксиальной и сагиттальной проекциях.
Помимо визуальной интерпретации данных, степень активности остеоартрита определяли при помощи модифицированной модели шкалы SCORING OF HIP MRI FOR JIA, которая была адаптирована для детей с БЛКП [16]. Данная система фокусируется на анализе воспалительного субстрата при ювенильном идиопатическом артрите тазобедренного сустава и включает последовательную оценку в числовом значении степени выраженности синовита, трабекулярного отека костной ткани, эрозивных изменений, деформации хрящевой ткани. Модифицированная шкала для детей с БЛКП включала последовательную оценку степени выраженности воспалительных изменений и характера поражения головки бедренной кости. Ввиду отсутствия истинных признаков ювенильного идиопатического артрита эрозивный компонент и степень деформации хрящевого покрытия головки бедренной кости у детей с БЛКП не определяли.
Для оценки воспаления тазобедренного сустава по шкале SCORING OF HIP MRI FOR JIA определяли степень утолщения синовиальной оболочки и наличие выпота. Измерения проводили на T2 STIR в коронарной плоскости два рентгенолога. При подсчете МР-признаков воспаления использовали градацию от 0 до 3, где 0 — отсутствие выпота и утолщения синовиальной оболочки; 1 — минимальное скопление выпота в капсуле сустава; 2 — умеренное скопление синовиальной жидкости с растяжением капсулы сустава и реакцией синовиальной оболочки; 3 — значительное скопление синовиальной жидкости с растяжением капсулы сустава и пролиферацией синовиальной оболочки (рис. 2).
Рис. 2. Магнитно-резонансная томограмма: признаки различной степени выраженности синовита тазобедренного сустава у детей с болезнью Легга – Кальве – Пертеса. В режимах STIR представлены: минимальное скопление выпота в капсуле сустава (а); умеренное скопление синовиальной жидкости с растяжением капсулы сустава и реакцией синовиальной оболочки (б, в); значительное скопление синовиальной жидкости с растяжением капсулы сустава и пролиферацией синовиальной оболочки (г)
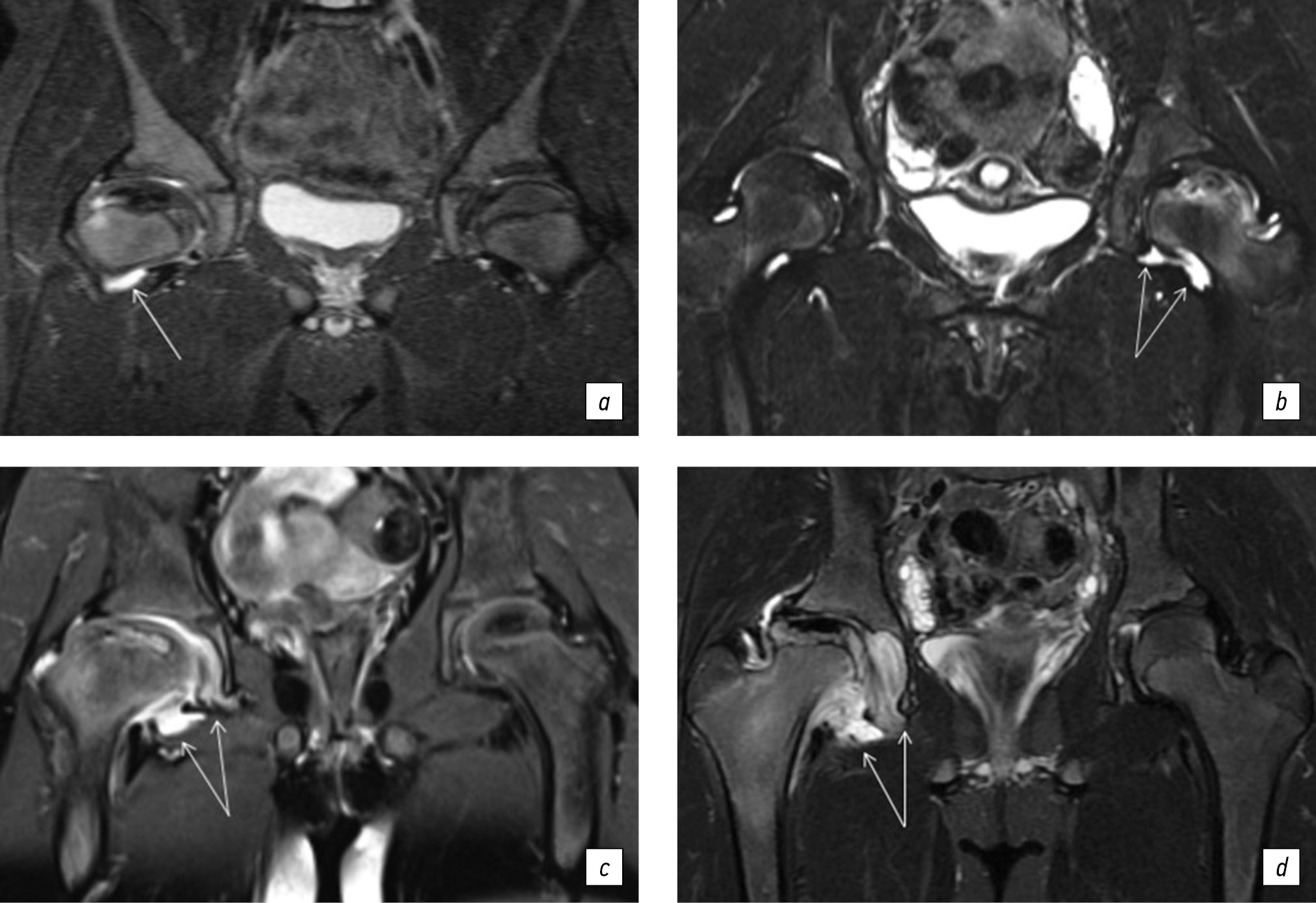
Тяжесть поражения головки бедренной кости оценивали по объему очага некроза и интенсивности трабекулярного отека прилежащих отделов костной ткани и выражали в балах, где 0 — отсутствие очага некроза и трабекулярного отека; 1 — объем очага некроза и зона трабекулярного отека занимают не более 33 % эпифиза; 2 — объем очага некроза и зона отека занимают 34–66 % эпифиза; 3 — объем очага некроза и зона отека занимают 67–100 % эпифиза (рис. 3). Таким образом, максимальное суммарное число балов — 6. Считалось, что остеоартрит с высокой степенью активности соответствует 5–6 баллам, умеренной активности — 3–4 баллам, низкой активностью — 2 баллам. Неактивная стадия остеоартрита у детей соответствует 0–1 баллу при условии отсутствия очага некроза (рис. 4). Лабораторный комплекс включал определение значений стандартных маркеров воспалительной активности и костного метаболизма, а также уровень кальпротектина, виментина, интерлейкина-6 (IL6), фактора некроза опухоли альфа (TNF-α) в сыворотке крови, титра антинуклеарного фактора (АНФ) на клеточной линии HEp-2 на момент верификации остеоартрита. Всем детям также проводили тестирование на наличие антифосфолипидного синдрома и гипергомоцистеинемии.
Рис. 3. Магнитно-резонансная томограмма: признаки различной тяжести поражения головки бедренной кости у детей с болезнью Легга – Кальве – Пертеса. На магнитно-резонансной томограмме в режимах STIR представлены: объем очага некроза и зона трабекулярного отека занимают не более 33 % эпифиза (а); объем очага некроза и зона отека занимают 34–66 % эпифиза (б); объем очага некроза и зона отека занимают 67–100 % эпифиза (в, г)
Рис. 4. Магнитно-резонансная томограмма: признаки неактивной стадии остеоартрита у двух детей с левосторонней болезнью Легга – Кальве – Пертеса на фоне применения бисфосфонатов, режим STIR
Статистическую обработку результатов исследования осуществляли с применением стандартных программ: специализированного пакета Excel фирмы Microsoft. Сравнительный анализ эмпирических данных наглядно представлен в форме таблиц. Абсолютные количественные данные выражены в виде медианы и интерквартильного размаха (Ме [25; 75]), относительные — в процентных соотношениях. Все представители пациентов добровольно подписали информированное согласие на участие в исследовании.
РЕЗУЛЬТАТЫ
Оценена эффективность БФ-терапии у 14 детей и представлены результирующие данные. Возраст детей на момент начала заболевания варьировал от 5 до 11 лет (средний возраст — 7,5 ± 2,4 года). Длительность течения заболевания до момента диагностики остеоартрита на фоне АНГБК и начала БФ-терапии в среднем составила 14 [10, 22] мес., средняя продолжительность наблюдения за пациентом — 16 [12, 18] мес., а максимальная продолжительность — 24 мес. В 71,4 % случае выявлен АНГБК левого тазобедренного сустава.
Неактивная стадия остеоартрита на фоне БФ-терапии достигнута у 78,5 % (11) детей после трех последовательных инфузий, у 21,5 % (3) — после четырех введений препарата. Основными нежелательными реакциями, обусловленными терапией, были кратковременные постинфузионные эпизоды артралгии и дорсалгии, а также фебрильная температура, зафиксированные у 87,5 % (12) детей. Вышеперечисленные реакции отмечены только после первой инфузии препарата и в период 24–72 ч. Иных осложнений не было. Стихание болевого синдрома произошло уже после первой инфузии препарата. К моменту третьей инфузии ибандроновой кислоты большинство детей не испытывали болевых ощущений при пассивных и активных движениях в пораженном суставе (рис. 5, 6).
Рис. 5. График динамики снижения болевого синдрома по данным визуально-аналоговой шкалы (10-балльная система)
Рис. 6. График динамики снижения болевого синдрома по данным индекса Ричи (RAI) для тазобедренного сустава (0 — отсутствие болезненности при движении; 1 — боль слабая — пациент констатирует боль; 2 — боль умеренная — пациент констатирует боль и морщится; 3 — боль выраженная — пациент отдергивает конечность)
На рентгенограммах тазобедренных суставов, выполненных непосредственно перед началом БФ-терапии, у всех 14 пациентов выявлена стадия импрессионного перелома по классификации Рейнберга. Во всех наблюдениях отмечалась деформация головки бедренной кости, при этом I степень (легкая деформация) зафиксирована у 10 (71,4 %), а II степень — у 4 (28,6 %) детей. Тяжелая деформация головки бедренной кости (III степень) не обнаружена ни у одного пациента. На рентгенограммах тазобедренных суставов, выполненных после четырех последовательных инфузий, у 10 (71,4 %) пациентов зарегистрирована стадия восстановления, а в 4 (28,6 %) наблюдениях — стадия фрагментации. Выраженность деформации головки бедренной кости, несмотря на регулярное использование всеми детьми отводящего приспособления, несколько увеличилась — I степень деформации констатирована у 7 (50 %), а II степень — у 4 (28,6 %) пациентов. В 3 наблюдениях (21,4 %) зафиксирована деформация головки бедренной кости III степени, служащая причиной подвывиха в пораженном суставе. В последующем, с целью стабилизации тазобедренного сустава, трем этим детям выполнена тройная остеотомия таза.
По данным магнитно-резонансной томографии на основании модифицированной модели шкалы SCORING OF HIP MRI FOR JIA на момент включения в исследование у 78,5 % детей наблюдалась высокая степень активности остеоартрита тазобедренного сустава, что соответствовало 5–6 балам. У всех остальных детей была умеренная степень активности остеоартрита, равная 4 баллам. Динамика степени активности остеоартрита у детей с БЛКП на фоне БФ-терапии представлена на рис. 7.
Рис. 7. График динамики активности остеоартрита у детей с болезнью Легга – Кальве – Пертеса на фоне терапии бисфосфонатами на основании применения модифицированной шкалы SCORING OF HIP MRI FOR JIA (0–6)
При анализе основных лабораторных показателей воспаления (уровень С-реактивного белка, тромбоцитов и лейкоцитов) у всех детей в момент верификации остеоартрита не выявлено отклонений от референсных значений. Концентрация основных провоспалительных цитокинов в сыворотке крови находилась в пределах нормы, а среднее значение скорости оседания эритроцитов составило 9 [5; 17] мм/ч (табл. 1). Титр антинуклеарного фактора на клеточной линии HEp-2 был значительно повышен только у 3 (21,4 %) больных. Лабораторных данных, свидетельствующих в пользу антифосфолипидного синдрома или наличия гипергомоцистеинемии, выявлено не было. Обращают на себя внимание недостаточность 25-OH витамина D, выявленная лишь у 28,5 % (4) больных на момент диагностики остеоартрита, и увеличение числа детей с недостаточностью данного витамина до 50 % (7) по истечении 6 мес. БФ-терапии (рис. 8). По завершении курса БФ-терапии только у 3 детей (21,4 %) сохранялись лабораторные признаки недостаточности 25-OH витамина D. Среди маркеров костного метаболизма на фоне активной фазы остеоартрита с очагом некроза отмечен повышенный уровень С-концевого телопептида у 78,5 % (11) детей. Нормализация уровня данного показателя у большинства детей достигнута через 6 мес. от начала БФ-терапии (табл. 2, 3). Изменения со стороны N-концевого пропептида требовали дальнейшего наблюдения в динамике. После завершения курса БФ-терапии уровень N-концевого пропептида у всех детей соответствовал нормальным значениям. Изменений активности щелочной фосфатазы, равно как и нарушений электролитного баланса на фоне БФ-терапии, обнаружено не было (рис. 9). Остальные показатели костного метаболизма у детей с БЛКП до начала лечения и по истечении длительного периода БФ-терапии не выходили за рамки референсных значений.
Таблица 1. Лабораторная характеристика некоторых показателей воспаления у детей с болезнью Легга – Кальве – Пертеса и активным остеоартритом до начала лечения и через 6 мес. после применения бисфосфонатов
Параметр | До начала применения бисфосфонатов | Через 6 мес. применения бисфосфонатов | Норма |
Скорость оседания эритроцитов, мм/ч | 9 [5; 17] | 7 [3; 11] | 0–15 |
С-реактивный белок, мг/л | 0–5 | ||
Гемоглобин, г/л | 124 [112; 132] | 122 [114; 130] | 120–140 |
Лейкоциты, 109/л | 4,5–9,5 | ||
Тромбоциты, 109/л | 332 [298; 345] | 264 [206; 302] | 180–410 |
Интерлейкин-6 в сыворотке (IL6), пг/мл | 0–7 | ||
Фактор некроза опухоли α в сыворотке, пг/мл | 0–7 | ||
Виментин в сыворотке, пг/мл | 0–7 | ||
Кальпротектин в сыворотке, мкг/мл | 0–2,9 | ||
Антинуклеарный фактор в титре ≥1/160, абс (%) | 9 (64,3 %) | – | <1/160 |
Антинуклеарный фактор в титре ≥1/640, абс (%) | 3 (21,5 %) | – | <1/160 |
Рис. 8. Уровень 25(OH) витамина D в сыворотке крови у детей с болезнью Легга – Кальве – Пертеса и остеоартритом до начала лечения и по истечении 6 мес. применения бисфосфонатов
Таблица 2. Сывороточный уровень С-концевого телопептида у детей с болезнью Легга – Кальве – Пертеса и остеоартритом до начала лечения и через 6 мес. применения бисфосфонатов (нг/мл)
Пациент | Возраст, лет | До начала применения бисфосфонатов | Через 6 мес. применения бисфосфонатов | Норма* |
1 | 8 | 1,74 (↑) | 1,78 (N) | 1,55–1,73 |
2 | 7 | 2,22 (↑) | 1,88 (N) | 1,55–1,73 |
3 | 9 | 2,42 (↑) | 1,90 (N) | 1,63–1,94 |
4 | 11 | 1,94 (↑) | 1,84 (N) | 1,01–1,81 |
5 | 12 | 2,26 (↑) | 1,35 (N) | 1,01–1,81 |
6 | 9 | 1,64 (N) | 1,62 (N) | 1,63–1,94 |
7 | 9 | 1,96 (↑) | 1,88 (N) | 1,63–1,94 |
8 | 8 | 1,84 (N) | 1,84 (N) | 1,63–1,94 |
9 | 12 | 1,53 (N) | 1,64 (N) | 1,01–1,81 |
10 | 8 | 1,82 (↑) | 1,71 (N) | 1,55–1,73 |
11 | 10 | 2,12 (↑) | 2,02 (↑) | 1,63–1,94 |
12 | 6 | 1,96 (↑) | 1,44 (N) | 1,55–1,73 |
13 | 10 | 1,98 (↑) | 1,54 (N) | 1,63–1,94 |
14 | 11 | 2,66 (↑) | 1,64 (N) | 1,63–1,94 |
* Референсные значения в таблице представлены в соответствии с данными клинико-диагностической лаборатории ФГБУ «НМИЦ детской травматологии и ортопедии имени Г.И. Турнера».
Таблица 3. Сывороточный уровень N-концевого пропептида у детей с асептическим некрозом головки бедренной кости и остеоартритом на фоне применения бисфосфонатов (нг/мл)
Пациент | Возраст, лет | До начала применения бисфосфонатов | Через 6 мес. применения бисфосфонатов | Норма* |
1 | 8 | 556 (↓) | 514 (↓) | 584–738 |
2 | 7 | 654 (N) | 628 (N) | 584–738 |
3 | 9 | 517 (N) | 586 (N) | 388–571 |
4 | 11 | 537 (N) | 465 (N) | 207–597 |
5 | 12 | 467 (↑) | 424 (↑) | 109–267 |
6 | 9 | 381 (↓) | 612 (↓) | 670–1042 |
7 | 9 | 458 (↓) | 726 (N) | 670–1042 |
8 | 8 | 428 (N) | 480 (N) | 388–571 |
9 | 12 | 440 (N) | 612 (N) | 207–597 |
10 | 8 | 560 (↓) | 580 (↓) | 670–1042 |
11 | 10 | 456 (↓) | 634 (↓) | 737–1103 |
12 | 6 | 602 (N) | 536 (↓) | 584–738 |
13 | 10 | 870 (N) | 900 (N) | 737–1103 |
14 | 11 | 278 (↓) | 415 (↓) | 737–1103 |
* Референсные значения представлены в соответствии с данными клинико-диагностической лаборатории ФГБУ «НМИЦ детской травматологии и ортопедии имени Г.И. Турнера».
Рис. 9. Активность щелочной фосфатазы в сыворотке крови у детей с болезнью Легга – Кальве – Пертеса и остеоартритом до начала лечения и по истечении 6 мес. применения бисфосфонатов
ОБСУЖДЕНИЕ
Применение лекарственных препаратов, ингибирующих гиперактивность остеокластов у детей, является новой концепцией патогенетической терапии БЛКП, протекающей с признаками остеоартрита. Идея применения бисфосфонатов у детей с БЛКП видится весьма перспективной и открывает новые возможности в контроле течения заболевания.
Исследования эффективности БФ-терапии у детей с БЛКП отсутствуют. Нами была изучена проблема оптимизации консервативной терапии остеоартрита у детей с БЛКП. Анализ результатов лечения пациентов НМИЦ детской травматологии и ортопедии имени Г.И. Турнера показал, что БЛКП с признаками выраженного воспалительного процесса на ранних стадиях сопровождалась увеличением объема очага некроза в эпифизе и характеризовалась торпидным течением. Наличие синовита не позволяло своевременно проводить хирургическое лечение. Исход такого варианта течения заболевания без должного лечения неминуемо приводил к формированию грубой деформации суставных структур и подвывиха пораженном суставе. Низкая эффективность НПВС диктовала необходимость применения иных противовоспалительных средств. Модель терапии была позаимствована у взрослых пациентов с идиопатическим АНГБК и заключалась в краткосрочном применении БФ-терапии [17]. Кроме того, поводом для начала исследования была высокая эффективность БФ-терапии у детей с небактериальным остеомиелитом, при котором генез формирования очагов деструкции костной ткани состоит в неконтролируемой гиперактивности остеокластов [18]. Выбор в пользу ибандроновой кислоты был основан на более оптимистичных экспериментальных и клинических данных восстановления наномеханических свойств анатомической структуры головки бедренной кости после ишемического остеонекроза [19]. Доза, продолжительность и мониторинг безопасности БФ-терапии соответствовали клиническим рекомендациям Европейского сообщества ревматологов по лечению небактериального остеомиелита у детей (CARRA, 2017, 2019) [20].
ЗАКЛЮЧЕНИЕ
Предложенная нами схема БФ-терапии у детей с БЛКП привлекательна не только тем, что способствует уменьшению воспаления и активности остеокластов, но и тем, что препятствует дальнейшему прогрессированию деформации головки бедренной кости. Не менее важно, что БФ-терапия не предполагает участия специалиста ревматологического профиля и может использоваться в условиях детского травматолого-ортопедического отделения. Предварительные результаты эффективности и безопасности терапии открывают перспективы применения бисфосфонатов в комплексном лечении детей с БЛКП с признаками остеоартрита. Однако, учитывая небольшое количество пациентов и короткие сроки наблюдения, эффективность БФ-терапии требует дальнейшего детального изучения и анализа полученных результатов.
ДОПОЛНИТЕЛЬНАЯ ИНФОРМАЦИЯ
Источник финансирования. Авторы заявляют об отсутствии внешнего финансирования при проведении исследования.
Конфликт интересов. Авторы декларируют отсутствие явных и потенциальных конфликтов интересов, связанных с публикацией настоящей статьи.
Этический комитет. Протокол обследования и лечения детей одобрен локальным этическим комитетом, ученым советом ФГБУ «НМИЦ детской травматологии и ортопедии им. Г.И. Турнера» Минздрава России (протокол заседания № 8 от 12.2021).
Информированное согласие на публикацию. Пациенты и их представители дали согласие на участие в исследовании и публикацию данных.
Вклад авторов. Все авторы внесли существенный вклад в проведение исследования и подготовку статьи, прочли и одобрили финальную версию перед публикацией.
Наибольший вклад распределен следующим образом: А.Н. Кожевников — концепция и дизайн исследования, написание текста; Д.Б. Барсуков — этапное редактирование текста, сбор и анализ данных; П.И. Бортулёв — этапное и заключительное редактирование текста статьи, сбор и анализ данных; С.А. Брайлов — этапное редактирование текста, сбор и анализ данных.
Об авторах
Алексей Николаевич Кожевников
Национальный медицинский исследовательский центр детской травматологии и ортопедии имени Г.И. Турнера; Санкт-Петербургский государственный педиатрический медицинский университет
Автор, ответственный за переписку.
Email: infant_doc@mail.ru
ORCID iD: 0000-0003-0509-6198
SPIN-код: 1230-6803
канд. мед. наук
Россия, Санкт-Петербург; Санкт-ПетербургДмитрий Борисович Барсуков
Национальный медицинский исследовательский центр детской травматологии и ортопедии имени Г.И. Турнера
Email: dbbarsukov@gmail.com
ORCID iD: 0000-0002-9084-5634
SPIN-код: 2454-6548
канд. мед. наук
Россия, Санкт-ПетербургПавел Игоревич Бортулёв
Национальный медицинский исследовательский центр детской травматологии и ортопедии имени Г.И. Турнера
Email: pavel.bortulev@yandex.ru
ORCID iD: 0000-0003-4931-2817
SPIN-код: 9903-6861
канд. мед. наук
Россия, Санкт-ПетербургСергей Александрович Брайлов
Национальный медицинский исследовательский центр детской травматологии и ортопедии имени Г.И. Турнера
Email: sergeybraylov@mail.ru
ORCID iD: 0000-0003-2372-9817
SPIN-код: 9369-6073
Россия, Санкт-Петербург
Список литературы
- Pavone V., Chisari E., Vescio A., et al. Aetiology of Legg-Calvé-Perthes disease: a systematic review // World J Orthop. 2019. Vol. 10, N 3. P. 145–165. doi: 10.5312/wjo.v10.i3.145
- Кожевников О.В., Лысиков В.А., Иванов А.В. Болезнь Легга–Кальве–Пертеса: этиология, патогенез, диагностика и лечение // Вестник травматологии и ортопедии им Н.Н. Приорова. 2017. Т. 24, № 1. С. 77–87. EDN: YZJHUT doi: 10.17816/vto201724177-87
- Mills S., Burroughs K.E. Legg-Calve-Perthes disease. In: StatPearls [Internet]. Treasure Island (FL): StatPearls Publishing, 2024.
- Martí-Carvajal A.J., Solà I., Agreda-Pérez L.H. Treatment for avascular necrosis of bone in people with sickle cell disease // Cochrane Database Syst Rev. 2019. Vol. 12, N 12. doi: 10.1002/14651858.CD004344.pub7
- Kumar V., Ali S., Verma V., et al. Do bisphosphonates alter the clinico-radiological profile of children with Perthes disease? A systematic review and meta-analysis // Eur Rev Med Pharmacol Sci. 2021. Vol. 25, N 15. P. 4875–4894. doi: 10.26355/eurrev_202108_26445
- Liu N., Zheng C., Wang Q., et al. Treatment of non-traumatic avascular necrosis of the femoral head (review) // Exp Ther Med. 2022. Vol. 23, N 5. P. 321. doi: 10.3892/etm.2022.11250
- Leroux J., Abu Amara S., Lechevallier J. Legg-Calvé-Perthes disease // Orthop Traumatol Surg Res. 2018. Vol. 104, N 1S. P. S107–S112. doi: 10.1016/j.otsr.2017.04.012
- Шабалдин Н.А., Головкин С.И., Шабалдин А.В. Клинико-иммунологические особенности транзиторного синовита тазобедренного сустава и болезни Легга-Кальве-Пертеса у детей раннего и школьного возраста // Мать и дитя в Кузбассе. 2016. Т. 1, № 64. С. 21–26. EDN: WZXSSX
- Kim H.K., Herring J.A. Pathophysiology, classifications, and natural history of Perthes disease // Orthop Clin North Am. 2011. Vol. 42, N 3. P. 285–295. doi: 10.1016/j.ocl.2011.04.007
- Rampal V., Clément J.L., Solla F. Legg-Calvé-Perthes disease: classifications and prognostic factors // Clin Cases Miner Bone Metab. 2017. Vol. 14, N 1. P. 74–82. doi: 10.11138/ccmbm/2017.14.1.074
- Nelitz M., Lippacher S., Krauspe R., et al. Perthes disease: current principles of diagnosis and treatment // Dtsch Arztebl Int. 2009. Vol. 106, N 31–32. P. 517–523. doi: 10.3238/arztebl.2009.0517
- Divi S.N., Bielski R.J. Legg-Calvé-Perthes disease // Pediatr Ann. 2016. Vol. 45, N 4. P. 144–149. doi: 10.3928/00904481-20160310-03
- D Orth S.A., Vijayvargiya M. A paradigm shift in osteonecrosis treatment with bisphosphonates: a 20-year study // JB JS Open Access. 2021. Vol. 6, N 4. doi: 10.2106/JBJS.OA.21.00042
- Кожевников А.Н., Барсуков Д.Б., Губаева А.Р. Болезнь Легга–Кальве–Пертеса, протекающая с признаками остеоартрита: механизмы возникновения и перспективы консервативной терапии с применением бисфосфонатов // Ортопедия, травматология и восстановительная хирургия детского возраста. 2023. Т. 11, № 3. С. 405–416. EDN: SRCYNI doi: 10.17816/PTORS456498
- Guellec D., Prado G., Miceli-Richard C., et al. Hip pain associated with acetabular dysplasia in patients with suspected axial spondyloarthritis: DESIR cohort data // BMC Musculoskelet Disord. 2022. Vol. 23, N 1. P. 640. doi: 10.1186/s12891-022-05575-4
- Tanturri de Horatio L., Shelmerdine S.C., d’Angelo P., et al. A novel magnetic resonance imaging scoring system for active and chronic changes in children and adolescents with juvenile idiopathic arthritis of the hip // Pediatr Radiol. 2023. Vol. 53, N 3. P. 426–437. doi: 10.1007/s00247-022-05502-8
- Huang Z.Q., Fu F.Y., Li W.L., et al. Current treatment modalities for osteonecrosis of femoral head in Mainland China: a cross-sectional study // Orthop Surg. 2020. Vol. 12, N 6. P. 1776–1783. doi: 10.1111/os.12810
- Hospach T., Langendoerfer M., von Kalle T., et al. Spinal involvement in chronic recurrent multifocal osteomyelitis (CRMO) in childhood and effect of pamidronate // Eur J Pediatr. 2010. Vol. 169, N 9. P. 1105–1111. doi: 10.1007/s00431-010-1188-5
- Aruwajoye O.O., Aswath P.B., Kim H.K.W. Material properties of bone in the femoral head treated with ibandronate and BMP-2 following ischemic osteonecrosis // J Orthop Res. 2017. Vol. 35, N 7. P. 1453–1460. doi: 10.1002/jor.23402
- Kraus R., Laxer R.M. Characteristics, treatment options, and outcomes of chronic non-bacterial osteomyelitis in children // Curr Treat Options in Rheum. 2020. Vol. 6. P. 205–222. doi: 10.1007/s40674-020-00149-8
Дополнительные файлы













