Combined reconstruction of femoral condylar osteochondral defects in adolescents: clinical cases and a review
- Authors: Semenov S.Y.1, Zorin V.I.1,2
-
Affiliations:
- H. Turner National Medical Research Center for Сhildren’s Orthopedics and Trauma Surgery
- North-Western State Medical University named after I.I. Mechnikov
- Issue: Vol 13, No 1 (2025)
- Pages: 86-96
- Section: Clinical cases
- Submitted: 31.01.2025
- Accepted: 24.02.2025
- Published: 18.04.2025
- URL: https://journals.eco-vector.com/turner/article/view/649883
- DOI: https://doi.org/10.17816/PTORS649883
- EDN: https://elibrary.ru/CLSGZJ
- ID: 649883
Cite item
Abstract
BACKGROUND: A leading cause of femoral condylar lesions in children and adolescents is dystrophic processes resulting in subchondral bone destruction followed by overlying cartilage involvement. The most common pathological conditions include osteochondritis dissecans and corticosteroid-induced osteonecrosis. Currently, there is no consensus on the optimal surgical approach for treating osteochondral defects of the femoral condyles.
CASE DESCRIPTIONS: Two clinical cases of adolescents with extensive osteochondral defects of the femoral condyles are presented.
DISCUSSION: This article provides a review, existing classification systems, and an overview of surgical options for deep osteochondral defects of the femoral condyles. Existing methods induce good to excellent clinical outcomes. However, the absence of randomized and comparative studies of these treatment approaches does not allow for a clear determination of the optimal surgical strategy. In most contemporary studies, outcomes are assessed using indirect imaging methods, which negatively correlate with clinical results and may distort accuracy of treatment outcome interpretation.
CONCLUSION: Osteochondral defects of the femoral condyles remain a critical problem in pediatric and adolescent orthopedics and traumatology. Considering the variety of existing surgical techniques (from revascularization osteoperforation to joint replacement), combined reconstruction using autologous bone grafts and collagen membranes may offer stable and favorable clinical and functional outcomes.
Full Text
BACKGROUND
Dystrophic processes are among the leading causes of destructive lesions of the femoral condyles in children and adolescents. The most common condition associated with these lesions is osteochondritis dissecans (OCD), which involves sequestration of the subchondral bone, often accompanied by damage to the articular cartilage and potential instability of the osteochondral fragment [1]. This term was first introduced in 1887 by Franz König [2], who proposed an inflammatory origin of the condition. Although modern etiopathogenetic theories no longer support inflammation as the primary cause of OCD, the term remains widely used in clinical practice [3–5].
The prevalence of OCD in the general population ranges from 2.3 to 31.6 cases per 100,000 [6], with the incidence increasing from 6.8 per 100,000 among children aged 6–11 years to 11.2 per 100,000 among those aged 12–16 years [7]. Depending on the patient’s age and the status of the growth plates at the time of diagnosis, OCD can be classified into juvenile and adult forms. The juvenile form typically presents at the age range of 10–15 years and is characterized by open growth plates, which is the key factor in both prognosis and treatment selections [8–12].
The second major factor contributing to osteochondral destruction is medication-induced osteonecrosis, which commonly occurs as a complication of glucocorticoid therapy used to treat underlying conditions. This pathological process is similarly characterized by subchondral bone damage, eventually leading to the involvement of the overlying articular cartilage [13, 14].
The most widely accepted classification system for osteochondral defects was proposed by the International Society for Cartilage Restoration (ICRS) and involves the following four stages [15]:
I—stable, continuity: softened area covered by intact cartilage;
II—partial discontinuity, stable on probing;
III—complete discontinuity, “dead in situ,” not dislocated;
IV—dislocated fragment, loose within the bed or empty defect.
Guhl’s classification, based on arthroscopic evaluation of the osteochondral lesion, is also commonly used in scientific sources [16, 17]:
1—intact lesion;
2—early separation;
3—partial detachment;
4—crater formation and a free osteochondral fragment.
Treatment Approaches
Although conservative therapy is highly effective in the early-stage (I and II) juvenile forms of OCD, it has still not gained widespread application in clinical practice. This can largely be attributed to the prolonged restriction of required physical activity as well as its incompatibility with the age-appropriate social, cultural, athletic, and vocational activities of the patient [9, 18–20]. The duration of conservative treatment averages 10–18 months. During this period, the patients are advised to abstain from any sports activities and adhere to a strict protective regimen [21, 22].
If conservative management proves ineffective for stable lesions, surgical techniques may be considered for stimulating regenerative processes, including lesion tunneling, microfracture, and cell-based therapies (intended to enhance in situ healing).
In 1959, Pridie proposed a technique involving the drilling of cartilage and bone at the site of an osteochondral defect, which is commonly referred to as tunneling in Russian-language sources [23]. Tunneling facilitates the filling of the pathological lesion with a fibrin clot containing multipotent mesenchymal stem cells sourced from the bone marrow and numerous growth factors that stimulate chondrogenesis [19, 20]. These two variants of drilling (tunneling) of the lesion are transchondral (intra-articular) and retroarticular (extra-articular) [17, 24–26]. This technique is most commonly applied in pediatric patients for defects not exceeding 2.5 cm2 [18, 27, 28]. According to past reports [27, 28], the efficacy of tunneling in children with open growth plates may reach 95%–100%. However, a significant drawback of tunneling is the risk of thermal injury to the surrounding tissues during improper drilling, which can reduce subchondral bone bleeding and hinder the formation of robust and stable fibrocartilage tissues [29, 30].
In 1997, Steadman introduced microfracture as an alternative to tunneling. One of the primary advantages of this method is the elimination of thermal damage, which involves the creation of microfractures at a depth of 4–5 mm, with a density of approximately 3–4 per cm2 until evident bleeding [18, 31, 32].
In 2006, based on the long-term outcomes of 85 patients who underwent microfracture surgery, Kreuz et al. concluded that this technique yields good results in patients aged <40 years [31, 33]. However, some authors have expressed skepticism regarding its appropriateness, arguing that the resulting coarse fibrous tissue lacks durability under mechanical load and tends to undergo rapid lysis [34, 35].
Since the early 21st century, cell-based techniques have gained increasing popularity—namely, autologous chondrocyte implantation (ACI) and matrix-induced autologous chondrocyte transplantation (MACT). These are regenerative chondral procedures that have demonstrated excellent outcomes in the treatment of osteochondral defects. Pestka et al. reported differences in the in vitro analysis of cartilage tissue samples intended for ACI. The expressions of the chondrocyte surface markers CD44, type II collagen, and aggrecan were significantly higher in patients aged <20 years compared with those aged 20–50 years. Chondrocytes from younger patients have a greater reparative/chondrogenic potential, which may contribute to improved cartilage healing [35]. The MACT technique was first described in 2003. In this technique, the matrix retains the blood clot containing migrated mesenchymal stromal cells. The authors then compared the effectiveness of MACT and ACI and demonstrated the advantages of MACT, particularly in terms of being a single-stage procedure, which involves less surgical trauma and offers higher cost-effectiveness [22, 35–39]. Nevertheless, cellular techniques do not fully restore an optimal osteochondral unit and are thus associated with significant limitations and high costs relative to other surgical options, preventing them from becoming a routine, let alone optimal, treatment for osteochondral defects of the femoral condyles.
Surgical management of unstable osteochondral lesions of the femoral condyles (grades III–IV) focuses on restoring the integrity of the articular surface, particularly in cases involving extensive defects and disruption of the subchondral bone. Diverse treatment approaches have been reported in the literature, including the removal of loose osteochondral fragments, refixation of the detached fragment using metal or biodegradable implants, implantation of osteochondral autografts, and transplantation of fresh osteochondral allografts [18–22, 28, 36].
The isolated removal of the loose osteochondral fragment can provide rapid symptom relief, such as the resolution of joint “locking,” pain, and synovitis (or hemarthrosis) [12, 20, 22, 28, 36]. However, the incongruity of the articular surface increases the contact stress on the adjacent cartilage, accelerating wear and initiating a cascade of degenerative joint changes. In the long-term follow-up (on average, after 7 years), this event leads to the development of pronounced signs of osteoarthritis in >75% of all cases [32].
In 1968, Trillat expressed dissatisfaction with the outcomes of osteochondral fragment refixation, citing the following three main concerns: (1) bone tissues are often absent from the detached fragments; (2) the underlying bone may be necrotic; (3) if bone tissues are present in the pathological site, it may be fragmented, thereby increasing the risk of fixation failure. The condition of the osteochondral fragment often deteriorates during surgery. The best outcomes for this technique have been reported in patients with open growth plates, wherein the osteochondral fragment remains in situ [18, 37].
When reconstructive surgical techniques involving osteochondral acellular graft transplantation are employed, most authors report favorable outcomes across the various methods employed, thereby emphasizing the importance of carefully selected indications based on lesion characteristics.
In 1955, Smillie was the first to implant a bone autograft harvested from the tibia into a defect zone [18, 27, 40]. Scott Jr. and Stevenson reported good to excellent outcomes in >70% of all cases involving osteochondral defect treatment [40].
In 1992, Hangody published a technique for the arthroscopic autotransplantation of cylindrical osteochondral grafts of diameter 4.5 mm harvested from non-weight-bearing areas of the femoral condyles [41]. Mosaic autologous chondroplasty enables the harvesting of cylindrical autologous osteochondral tissues from non-weight-bearing areas and then implantation into the lesion site. The best outcomes were observed in younger patients with osteochondral defects of size 2.5–4 cm2. Favorable clinical outcomes have been reported in 79%–94% of all cases, with radiographic evidence of graft integration at 18 months of follow-up [43–45]. However, other authors have highlighted the drawbacks of this technique, including persistent donor site pain, the inability to cover large defects, insufficient graft integration, and partial graft lysis followed by fibrous tissue transformation [18, 22, 28, 29].
In 2021, Villalba et al. reported favorable long-term outcomes in patients aged 17–21 years presenting with large osteochondral defects of the lateral femoral condyle. To reconstruct such a defect, the authors employed an autologous iliac crest bone graft in combination with a collagen membrane. The authors found this technique simple, reproducible in diverse clinical settings, and providing substantial restoration of the femoral condyle with a return to sports activity [46].
One of the main advantages offered by osteochondral allograft transplantation is the absence of any donor site pain and the feasibility of treating large defects, even those exceeding 2.5–3.0 cm2. Numerous studies have reported a success rate of 80%–90% for this approach [22, 23, 47–55]. The main limitations of this technique are related to tissue availability, the maintenance and preservation of chondrocyte viability in vitro, and the potential transplant–host immunologic reactions [50–54]. In 2014, Murphy et al. recorded that 4 of 43 patients required revision surgery and 1 patient ultimately underwent total knee arthroplasty at a follow-up of 1–14.7 years [54].
Considering the wide range of available techniques, this article presents the author’s clinical experience in the surgical treatment of adolescents with deep and extensive osteochondral destruction of the femoral condyles.
CASE DESCRIPTIONS
Case 1
Patient B (female, age 17 years) was admitted under the authors’ care with complaints of pain in the right knee joint.
Anamnesis: at the age of 13 years, the patient developed pain in the right knee without any preceding trauma. She was evaluated locally, underwent radiological imaging, and was diagnosed with König disease of the right knee joint. Conservative therapy was initiated but proved ineffective. At the age of 16 years, the patient underwent surgical treatment—arthroscopy of the right knee joint with revascularization osteoperforation of the pathological lesion in the medial condyle of the right femur. At 6 months after the surgery, following a minor injury (leg twisting), the patient experienced renewed pain and mechanical locking of the right knee.
Local status: the patient could walk independently but limped and experienced pain of 4–5 value on the visual analog scale after walking for >500 m, along with swelling of the soft tissues in the right knee region. The tests for knee joint instability were negative. Pain was elicited on flexion beyond 120° in the right knee and on palpation over the medial femoral condyle. Functional scores: Lysholm, 55 points; KSS, 54 points.
Radiographic evaluations—including X-ray, spiral computed tomography, and magnetic resonance imaging—identified an osteochondral defect in the central region of the medial femoral condyle, measuring 2.0 × 1.4 × 1.0 cm. The lesion was classified as a deep defect (ICRS grade IV). Postoperative changes were recorded, accompanied by synovitis of the right knee joint and early signs of secondary deforming osteoarthritis (stages I–II) (Fig. 1).
Fig. 1. Diagnostic imaging of patient B (age: 17 years at admission): a, X-ray of the right knee joint in anteroposterior and axial views; b, computed tomography scans exhibiting frontal, sagittal, and axial slices through the lesion; c, magnetic resonance imaging scans, frontal and sagittal views through the lesion. The area of destruction is indicated by an arrow.
Considering the pain syndrome, lack of response to previous treatment, and imaging findings (i.e., a large osteochondral defect with cartilage sequestration), the patient underwent surgical treatment consisting of arthrotomy and intralesional resection of the pathological area of the medial condyle of the right femur. An autologous bone graft was harvested from the right iliac crest. Combined reconstruction of the osteochondral defect was then performed using autologous bone grafting in combination with a collagen membrane (Fig. 2).
Fig. 2. Intraoperative images of patient B. a, arthrotomy, lesion is marked by an arrow; b, view of the defect after sequestrectomy, site is indicated by an arrow; the removed sequestrum is shown; c, autologous bone grafting of the defect; d, collagen membrane placed over the defect.
The procedure was performed via a medial parapatellar approach involving lateral displacement of the patella. Following sequestrectomy and necrosectomy down to the bleeding cancellous bone, a tricortical bone graft was harvested from the iliac crest, matching the dimensions of the defect. The graft was shaped to match the dimensions of the femoral condylar defect, placed into the defect zone, and then secured by press-fitting with an impactor. A collagen membrane was placed over the graft and secured to the surrounding cartilage with interrupted absorbable sutures.
Follow-up evaluation was performed 8 months after the reconstruction. Arthroscopy revealed the site reconstructed with autologous bone and a collagen membrane, covered by coarse fibrous tissue that seemed stable upon probing with a hook (Fig. 3).
Fig. 3. Patient B. Arthroscopic view 8 months after reconstruction.
Clinical evaluation was performed 2.5 years after the surgery. The patient reported no active complaints. She experienced occasional pain in the right knee joint after prolonged walking (for more than 2–3 km). The range of motion in the knee was full and painless. Functional scores: Lysholm, 92 points; KSS, 95 points (Fig. 4).
Fig. 4. Follow-up clinical and imaging evaluation of patient B at 2.5 years after reconstruction: a, range of motion in the right knee joint; b, magnetic resonance images in the frontal and sagittal planes.
Case 2
Patient M (age: 15 years) was referred for evaluation due to complaints of pain in the left knee.
Anamnesis: at the age of 13 years, the patient received glucocorticoid therapy followed by methotrexate for the treatment of hemorrhagic vasculitis. Due to the development of clinical signs of bilateral knee synovitis, triamcinolone was injected into the left knee joint, twice at 2-week intervals. No imaging examinations were performed at that time. Considering the worsening symptoms, radiological assessment (by X-ray and computed tomography) was performed 6 months after the onset of joint symptoms, which revealed destructive changes in both the femoral lateral condyles, with greater severity on the left side. The underlying disease was in stable remission, with no recurrent manifestations of hemorrhagic vasculitis. Presently, therapy for the underlying condition has been discontinued 6 months before presentation to the authors’ institution.
Local status at admission: the patient walked without using any assistive devices, over a walking range of 250–300 m, after which he began to experience pain in the left knee joint of rate 5–6 on the visual analog scale, along with occasional episodes of joint locking. No visible deformity of the knees was observed. Palpation revealed moderate tenderness along the joint space. Flexion was limited to 110°, with marked pain at the end of the range. No signs of frontal or sagittal instability were detected. The mechanical axis of the lower limbs at the level of the knees was preserved. No neurocirculatory deficits were detected in the distal extremities. Functional scores: Lysholm, 53 points; KSS, 59 points.
Imaging examinations revealed an osteochondral destruction zone in the lateral condyle of the left femur measuring 3.3 × 2.8 × 1.5 cm, along with a loose osteochondral body measuring 2.2 × 2 × 0.5 cm (ICRS grade IV). The imaging findings are shown in Figure 5.
Fig. 5. Imaging of patient M.: a, magnetic resonance imaging, sagittal slice; b, spiral computed tomography, sagittal slice through the osteochondral defect of the lateral femoral condyle; c, spiral computed tomography, 3D reconstruction illustrating the size of the defect and the presence of a loose osteochondral fragment in the lateral femoral condyle. Arrows indicate the osteochondral defect region and the loose osteochondral fragment.
Considering the patient’s condition as well as the size and depth of the defect and associated pathological changes, osteochondral reconstruction of the lateral condyle of the left femur was indicated. Accordingly, a lateral parapatellar approach to the left knee joint was performed. The patella was mobilized and retracted medially. The pathological site was visualized with the knee flexed. The free osteochondral body was removed. Scar tissues and the underlying sclerotic bone were excised until the “bloody dew” sign could be observed. An autologous graft from the iliac crest was impacted into the postresection defect. A collagen membrane, tailored to match the size of the cartilage defect, was placed over the graft site and secured with interrupted sutures (Polysorb 6/0). The surgical steps are depicted in Figure 6.
Fig. 6. Intraoperative images of patient M.: a, osteochondral defect of the lateral femoral condyle, with the removed osteochondral body; b, post-resection defect filled with an autologous bone graft; c, the area of bone grafting was covered with a collagen membrane secured with interrupted sutures.
The postoperative period processed without any complications. Immobilization using an orthosis was maintained for 3 weeks, after which functional bracing was implemented for an additional 3 weeks during gradual reintroduction of weight-bearing. A regimen of therapeutic physical exercises aimed at restoring joint motion was initiated in the third week following surgery.
At the 14-month follow-up, the patient showed no significant complaints, albeit moderate pain was noted in the left knee after prolonged walking of over 3 km. He leads a normal lifestyle, excluding running and jumping. Knee flexion reached 120°. No signs of synovitis were observed. Functional scores: Lysholm, 88 points; KSS, 95 points.
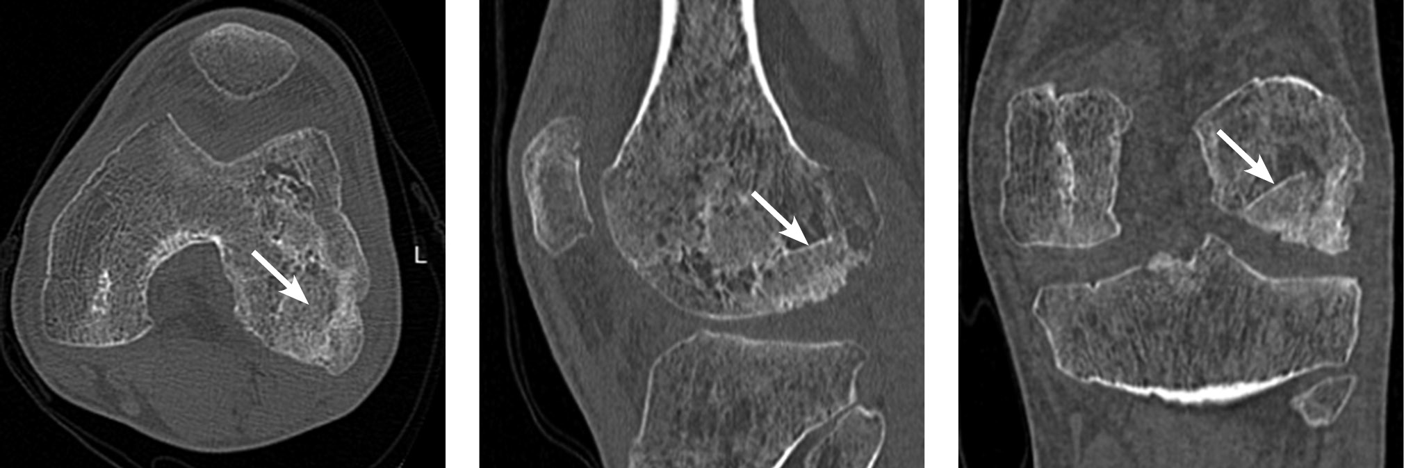
Follow-up computed tomography revealed full consolidation and integration of the bone graft (Fig. 7).
Fig. 7. Patient M. Computed tomography of the left knee joint with three standard projections. The bone graft zone is indicated by an arrow.
DISCUSSION
In 2023, Cabral et al. confirmed positive outcomes associated with each of the surgical procedures employed to treat extensive osteochondral lesions, emphasizing the importance of selecting an appropriate technique based on the specific characteristics of the lesion. In osteochondral defects, the restoration of joint surface congruity is crucial, particularly in adolescents, considering that untreated lesions or those managed by simple fragment excision are associated with the risk of early onset osteoarthritis [54]. Joint incongruity increases contact pressure on the adjacent articular surfaces, thereby accelerating wear and initiating a degenerative cascade.
Currently, several surgical strategies are available for the treatment of femoral condylar osteochondral destruction. Of these, fragment refixation is considered the most anatomically favorable option and, when the fragment is of adequate quality, it should be regarded as the primary treatment approach. In cases involving non-fixable small lesions, mosaicplasty may be applied. For larger defects, more recent techniques involve the use of cellular and/or acellular osteochondral grafts or fresh allografts, although their application is limited by the regenerative capacity of the donor tissues and the inherent quality of the graft [18–22, 28, 36].
Currently, different techniques have been proposed for the treatment of osteochondral defects, including collagen membranes, cell-based products, scaffold membranes with autologous chondrocyte cultures, and mosaicplasty. These approaches differ significantly in their practical applications. For instance, the use of covering membranes allows for a single-stage surgical procedure. Cell-based therapies (gels or membranes) typically require multiple stages and remain highly costly. The authors found no conclusive evidence in the scientific sources demonstrating superior clinical outcomes of cell-based treatments for large osteochondral defects when compared with the use of collagen membranes alone.
The existing methods can yield good-to-excellent clinical outcomes; however, the lack of comparative studies across the entire spectrum of available techniques prevents the determination of a clearly optimal surgical approach. When evaluating the treatment potential for osteochondral defects, it is important to consider the quality of the regenerated tissues and whether a certain method can adequately address the patient’s functional requirements. A few studies have assessed histological tissue quality, while most contemporary reports evaluated the outcomes using indirect imaging modalities. Unfortunately, such imaging demonstrated a poor correlation with clinical outcomes, which potentially led to the misinterpretation of treatment efficacy.
This article presents the author’s experience in managing adolescents with extensive and deep osteochondral defects of the femoral condyles. Combined reconstruction using a spongy autologous bone graft and a collagen membrane to replace osteochondral defects could yield a significant clinical benefit maintained for over 1 year following the procedure.
CONCLUSION
Osteochondral defects of the femoral condyles remain a relevant issue in traumatology and orthopedics, including those among pediatric and adolescent patients. Considering the variety of available techniques (ranging from revascularizing osteoperforation to joint replacement), combined reconstruction with autologous bone grafting and collagen membranes may offer durable clinical and functional outcomes in adolescents with deep and extensive femoral condylar defects.
ADDITIONAL INFORMATION
Author contributions: S.Yu. Semenov: data curation, literature analysis, writing – original draft; V.I. Zorin: conceptualization, study design, writing – original draft, writing – review & editing, approval of the final version. All authors approved the version of the manuscript to be published and agreed to be accountable for all aspects of the work, ensuring that questions related to the accuracy or integrity of any part of the work are appropriately investigated and resolved.
Consent for publication: Written informed consent was obtained from all patients and/or their legal representatives for the publication of personal data including photographs (with faces concealed), in a scientific journal and its online version (signed on July 21, 2021, and April 29, 2022). The scope of the published data was approved by the patients and/or their legal representatives.
Funding sources: This work was not supported by any external sources.
Disclosure of interests: The authors have no relationships, activities, or interests for the last three years related with for-profit or not-for-profit third parties whose interests may be affected by the content of the article.
Statement of originality: No previously published material (text, images, or data) was used in this work.
Data availability statement: All data obtained in this study are available in the article.
Generative AI: No generative artificial intelligence technologies were used to prepare this article.
Provenance and peer-review: This paper was submitted unsolicited and reviewed following the standard procedure. The review process involved an external reviewer and an in-house reviewer.
About the authors
Sergey Y. Semenov
H. Turner National Medical Research Center for Сhildren’s Orthopedics and Trauma Surgery
Author for correspondence.
Email: sergey2810@yandex.ru
ORCID iD: 0000-0002-7743-2050
SPIN-code: 8093-3924
MD, PhD, Cand. Sci. (Medicine)
Russian Federation, Saint PetersburgVyacheslav I. Zorin
H. Turner National Medical Research Center for Сhildren’s Orthopedics and Trauma Surgery; North-Western State Medical University named after I.I. Mechnikov
Email: zoringlu@yandex.ru
ORCID iD: 0000-0002-9712-5509
SPIN-code: 4651-8232
MD, PhD, Cand. Sci. (Medicine), Assistant Professor
Russian Federation, Saint Petersburg; Saint PetersburgReferences
- Kocher MS, Tucker R, Ganley TJ, et al. Management of osteochondritis dissecans of the knee: current concepts review. Am J Sports Med. 2006;34(7):1181–1191. doi: 10.1177/0363546506290127
- Konig F. The classic: on loose bodies in the joint. 1887. Clin Orthop Relat Res. 2013;471(4):1107–1115. doi: 10.1007/s11999-013-2824-y
- Andriolo L, Crawford DC, Reale D, et al. Osteochondritis dissecans of the knee: etiology and pathogenetic mechanisms. A systematic review. Cartilage. 2020;11(3):273–290. doi: 10.1177/1947603518786557
- Grimm NL, Weiss JM, Kessler JI, et al. Osteochondritis dissecans of the knee: pathoanatomy, epidemiology, and diagnosis. Clin Sports Med. 2014;33(2):181–188. doi: 10.1016/j.csm.2013.11.006
- Tarabella V, Filardo G, Di Matteo B, et al. 2016 From loose body to osteochondritis dissecans: a historical account of disease definition. Joints. 2016;4(3):165–170. doi: 10.11138/jts/2016.4.3.165
- Linden B. Osteochondritis dissecans of the femoral condyles: a long-term follow-up study. J Bone Joint Surg Am. 1977;59(6):769–776.
- Kessler JI, Weiss JM, Nikizad H, et al. Osteochondritis dissecans of the ankle in children and adolescents: demographics and epidemiology. Am J Sports Med. 2014;42(9):2165–71. doi: 10.1177/0363546514538406
- Hefti F, Beguiristain J, Krauspe R, et al. Osteochondritis dissecans: a multicenter study of the European Pediatric Orthopedic Society. J Pediatr Orthop B. 1999;8(4):231–245.
- Andriolo L, Candrian C, Papio T, et al. Osteochondritis dissecans of the knee - conservative treatment strategies: a systematic review. Cartilage. 2019;10(3):267–277. doi: 10.1177/1947603518758435
- Sales de Gauzy J, Mansat C, Darodes PH, Cahuzac JP. Natural course of osteochondritis dissecans in children. J Pediatr Orthop B. 1999;8(1):26–28.
- Masquijo J, Kothari A. Juvenile osteochondritis dissecans (JOCD) of the knee: current concepts review. EFORT Open Rev. 2019;4(5):201–212. doi: 10.1302/2058-5241.4.180079
- Vorotnikov AA, Airapetov GA, Vasyukov VA, et al. Modern aspects of the treatment of Koenig’s disease in children. N.N. Priorov Journal of Traumatology and Orthopedics. 2020;27(3):79–86. EDN: RZDPAL doi: 10.17816/vto202027379-86
- Biddeci G, Bosco G, Varotto E, et al. Osteonecrosis in children and adolescents with acute lymphoblastic leukemia: early diagnosis and new treatment strategies. Anticancer Res. 2019;39(3):1259–1266. doi: 10.21873/anticanres.13236
- Görtz S, De Young AJ, Bugbee WD. Fresh osteochondral allografting for steroid-associated osteonecrosis of the femoral condyles. Clin Orthop Relat Res. 2010;468(5):1269–1278. doi: 10.1007/s11999-010-1250-7
- Ellermann JM, Donald B, Rohr S, et al. Magnetic resonance imaging of osteochondritis dissecans: validation study for the ICRS classification system. Acad Radiol. 2016;23(6):724–729. doi: 10.1016/j.acra.2016.01.015
- Semenov AV, Kukueva DM, Lipkin YuG, et al. Surgical treatment of stable foci of the osteochondritis dissecans in children: a systematic review. Russian Journal of Pediatric Surgery. 2021;25(3):179–185. EDN: WBGGVW doi: 10.18821/1560-9510-2021-25-3-179-185
- Louisia S, Beaufils P, Katabi M, et al. Transchondral drilling for osteochondritis dissecans of the medial condyle of the knee. Knee Surg Sports Traumatol Arthrosc. 2003;11(1):33–39. doi: 10.1007/s00167-002-0320-0
- Pligina EG, Kerimova LG, Burkin IA, et al. Echnologies for stimulation of the reparative processes in children with knee osteochondritis dissecans: a review. Russian Journal of Pediatric Surgery, Anesthesia and Intensive Care. 2022;12(2):187–200. EDN: DQHMBM doi: 10.17816/psaic1006
- Assenmacher AT, Pareek A, Reardon PJ, et al. Long-term outcomes after osteochondral allograft: a systematic review at long-term follow-up of 12.3 years. Arthroscopy. 2016;32(10):2160–2168. doi: 10.1016/j.arthro.2016.04.020
- Crawford DC, Safran MR. Osteochondritis dissecans of the knee. J Am Acad Orthop Surg. 2006;14(2):90–100. doi: 10.5435/00124635-200602000-00004
- Pridie AH. The method of resurfacing osteoarthritic knee. J Bone Joint Surg. 1959;41:618–623.
- Barrett I, King AH, Riester S, et al. Internal fixation of unstable osteochondritis dissecans in the skeletally mature knee with metal screws. Cartilage. 2016;7(2):157–162. doi: 10.1177/1947603515622662
- Avakyan AP. Osteochondritis dissecans of the medial condyle of the femur in children and adolescents (diagnosis and treatment) [dissertation abstract]. Moscow; 2015. 24 p. (In Russ.) EDN: HVQCAE
- Donaldson LD, Wojtys EM. Extraarticular drilling for stable osteochondritis dissecans in the skeletally immature knee. J Pediatr Orthop. 2008;28(8):831–835. doi: 10.1097/BPO.0b013e31818ee248
- Accadbled F, Turati M, Kocher MS. Osteochondritis dissecans of the knee: Imaging, instability concept, and criteria. J Child Orthop. 2023;17(1):47–53. doi: 10.1177/18632521221149054
- Bryanskaya AI, Tikhilov RM, Kulyaba TA, et al. Urgical treatment of patients with local defects of joint surface of femur condyles (review). Traumatology and Orthopedics of Russia. 2010;(4):84–92. EDN: NCPGHV
- Airapetov G, Vorotnikov A, Konovalov E. Surgical methods of focal hyaline cartilage defect management in large joints (literature review). Genij Ortopedii. 2017;23(4):485–491. doi: 10.18019/1028-4427-2017-23-4-485-491
- Brittberg M. How to treat patients with osteochondritis dissecans (juvenile and adult). In: Brittberg M. Cartilage repair (clinical guidelines). DJO Publications; 2012. P. 171–184
- Brittberg M, Lindahl A, Nilsson A, et al. Treatment of deep cartilage defects in the knee with autologous chondrocyte transplantation. N Engl J Med. 1994;331(14):889–895. doi: 10.1056/NEJM199410063311401
- Steadman JR, Rodkey WG, Singleton SB, et al. Microfracture technique forfull-thickness chondral defects: technique and clinical results. Operative Techniques in Orthopaedics. 1997;7(4):300–304. doi: 10.1016/S1048-6666(97)80033-X
- Kreuz PC, Erggelet C, Steinwachs MR, et al. Is microfracture of chondral defects in the knee associated with different results in patients aged 40 years or younger? Arthroscopy. 2006;22(11):1180–1186. doi: 10.1016/j.arthro.2006.06.020
- Brittberg M, Winalski CS. Evaluation of cartilage injuries and repair. J Bone Joint Surg Am. 2003;85-A (Suppl 2):58–69. doi: 10.2106/00004623-200300002-00008
- Brix M, Kaipel M, Kellner R, et al. Successful osteoconduction but limited cartilage tissue quality following osteochondral repair by a cell-free multilayered nano-composite scaffold at the knee. Int Orthop. 2016;40(3):625–632. EDN: HRXGPP doi: 10.1007/s00264-016-3118-2
- Pestka JM, Bode G, Salzmann G, et al. Clinical outcomes after cell-seeded autologous chondrocyte implantation of the knee: when can success or failure be predicted? Am J Sports Med. 2014;42(1):208–215. doi: 10.1177/0363546513507768
- Airapetov GA. The treatment of the кoenig’s disease (review of literature). Medical Alliance. 2019;(2):70–76. EDN: AUQYET
- Trillat A. Internal derangement of the knee: osteochondral fractures of the knee. Proceedings of the Royal Society of Medicine. 1968;61(1):45. doi: 10.1177/003591576806100115
- Bhattacharjee A, McCarthy HS, Tins B, et al. Autologous bone plug supplemented with autologous chondrocyte implantation in osteochondral defects of the knee. Am J Sports Med. 2016;44(5):1249–1259. doi: 10.1177/0363546516631739
- Berruto M, Ferrua P, Uboldi F, et al. Can a biomimetic osteochondral scaffold be a reliable alternative to prosthetic surgery in treating late-stage SPONK? Knee. 2016;23(6):936–941. doi: 10.1016/j.knee.2016.08.002
- Smillie IS. Treatment of osteochondritis dissecans. J Bone Joint Surg Br. 1957;39-B(2):248–260. doi: 10.1302/0301-620X.39B2.248
- Scott DJ Jr, Stevenson CA. Osteochondritis dissecans of the knee in adults. Clin Orthop Relat Res. 1971;76:82-86. doi: 10.1097/00003086-197105000-00012
- Hangody L, Dobos J, Baló E, et al. Clinical experiences with autologous osteochondral mosaicplasty in an athletic population: a 17-year prospective multicenter study. Am J Sports Med. 2010;38(6):1125–1133. doi: 10.1177/0363546509360405
- Carey JL, Wall EJ, Grimm NL, et al. Novel arthroscopic classification of osteochondritis dissecans of the knee: a multicenter reliability study. Am J Sports Med. 2016;44(7):1694–1698. doi: 10.1177/0363546516637175
- Buckwalter JA, Anderson DD, Brown TD, et al. The roles of mechanical stresses in the pathogenesis of osteoarthritis: implications for treatment of joint injuries. Cartilage. 2013;4(4):286–294. doi: 10.1177/1947603513495889
- Fokter SK, Strahovnik A, Kos D, et al. Long term results of operative treatment of knee osteochondritis dissecans. Wien Klin Wochenschr. 2012;124(19–20):699–703. doi: 10.1007/s00508-012-0230-1
- Villalba J, Peñalver J, Sanchez J. Treatment of big osteochondral defects in the lateral femoral condyle in young patients with autologous graft and collagen mesh. Rev Esp Cir Ortop Traumatol. 2021;65(5):317–321. EDN: GCHFYC doi: 10.1016/j.recote.2021.05.010
- Filardo G, Andriolo L, Soler F, et al. Treatment of unstable knee osteochondritis dissecans in the young adult: results and limitations of surgical strategies – the advantages of allografts to address an osteochondral challenge. Knee Surg Sports Traumatol Arthrosc. 2019;27(6):1726–1738. EDN: AXGLXQ doi: 10.1007/s00167-018-5316-5
- Bugbee WD, Convery FR. Osteochondral allograft transplantation. Clin Sports Med. 1999;18(1):67–75. doi: 10.1016/s0278-5919(05)70130-7
- Brown D, Shirzad K, Lavigne SA, et al. Osseous Integration after fresh osteochondral allograft transplantation to the distal femur: a prospective evaluation using computed tomography. Cartilage. 2011;2(4):337–345. doi: 10.1177/1947603511410418
- Cook JL, Stoker AM, Stannard JP, et al. A novel system improves preservation of osteochondral allografts. Clin Orthop Relat Res. 2014;472(11):3404–3414. doi: 10.1007/s11999-014-3773-9
- Sherman SL, Garrity J, Bauer K, et al. Fresh osteochondral allograft transplantation for the knee: current concepts. J Am Acad Orthop Surg. 2014;22(2):121–133. doi: 10.5435/JAAOS-22-02-121
- Williams RJ 3rd, Ranawat AS, Potter HG, et al. Fresh stored allografts for the treatment of osteochondral defects of the knee. J Bone Joint Surg Am. 2007;89(4):718–726. doi: 10.2106/JBJS.F.00625
- Lyon R, Nissen C, Liu XC, Curtin B. Can fresh osteochondral allografts restore function in juveniles with osteochondritis dissecans of the knee? Clin Orthop Relat Res. 2013;471(4):1166–1173. doi: 10.1007/s11999-012-2523-0
- Cabral J, Duart J. Osteochondritis dissecans of the knee in adolescents: how to treat them? J Child Orthop. 2023;17(1):54–62. EDN: QTHWVD doi: 10.1177/18632521231152269
- Murphy RT, Pennock AT, Bugbee WD. Osteochondral allograft transplantation of the knee in the pediatric and adolescent population. Am J Sports Med. 2014;42(3):635–640. doi: 10.1177/0363546513516747
Supplementary files











