Хирургическое лечение воронкообразной деформации грудной клетки крайне тяжелой степени у пациента подросткового возраста (клиническое наблюдение)
- Авторы: Рыжиков Д.В.1, Долгиев Б.Х.1, Виссарионов С.В.1, Жукова Ю.О.1, Борозняк И.А.2
-
Учреждения:
- Национальный медицинский исследовательский центр детской травматологии и ортопедии имени Г.И. Турнера
- Курская областная детская клиническая больница
- Выпуск: Том 13, № 1 (2025)
- Страницы: 77-85
- Раздел: Клинические случаи
- Статья получена: 10.02.2025
- Статья одобрена: 24.02.2025
- Статья опубликована: 18.04.2025
- URL: https://journals.eco-vector.com/turner/article/view/654520
- DOI: https://doi.org/10.17816/PTORS654520
- EDN: https://elibrary.ru/BXDWFN
- ID: 654520
Цитировать
Аннотация
Обоснование. Воронкообразная деформация грудной клетки — это мальформация, проявляющаяся деформациями хрящевых участков ребер и грудины различной степени выраженности и, согласно литературным данным, составляет от 75 до 91% общего числа деформаций грудной клетки. Оперативное лечение детей с воронкообразной деформацией грудной клетки на данный момент — актуальная проблема, требующая решения, несмотря на значимое количество способов хирургической коррекции. Существующие методики не универсальны, особенно в отношении асимметричных, ригидных форм данного порока развития, и поэтому их непрерывно модифицируют и совершенствуют.
Клиническое наблюдение. Пациенту 17 лет проведено хирургическое вмешательство в связи с крайне тяжелой степенью воронкообразной деформации грудной клетки, отягощенной ранее проведенным кардиохирургическим лечением порока сердца с использованием продольной стернотомии и протезом митрального клапана. Оперативное лечение включало релиз магистральных, жизненно важных анатомических образований, использование аппарата внешней фиксации с высоким корригирующим моментом в ходе операции, постепенную интраоперационную коррекцию под мониторингом функции сердца.
Обсуждение. Коррекция воронкообразной деформации грудной клетки тяжелой степени на фоне ранее проведенной продольной стернотомии — операция повышенного риска осложнений, в числе которых фатальные (асистолия, массивное кровотечение). Авторы данного наблюдения считают уместной следующую хирургическую технику для данных клинических случаев: малоинвазивную торакопластику с дополнительным субмечевидным доступом и элевацией грудины с применением аппарата внешней фиксации. Как считают авторы, в данном случае нецелесообразно применять стандартные методы элевации грудины (штопор, шовный материал, зажимы), которые могут привести к повреждению тела грудины при выраженной ригидной деформации, не рекомендовано использовать изолированную торакоскопию стандартной MIRPE, не гарантирующую сохранения целостности органов грудной клетки, неуместен традиционный переворот пластины для одномоментного (форсированного) достижения коррекции воронкообразной деформации грудной клетки.
Заключение. Пациенты с воронкообразной деформацией грудной клетки, значительно превосходящей показатели тяжелой степени, а также с последствиями ранее проведенных кардиохирургических вмешательств нуждаются в объеме лечения, который отличается от стандартной торакопластики при воронкообразной деформации грудной клетки. Рассмотренный вариант лечения, включающий релиз магистральных, жизненно важных анатомических образований, использование аппарата внешней фиксации для постепенной интраоперационной коррекции под мониторингом функции сердца, может быть рекомендован в сложных клинических ситуациях.
Полный текст
ОБОСНОВАНИЕ
Воронкообразная деформация грудной клетки (ВДГК) — распространенная ортопедическая патология у детей, сопровождающаяся косметическим дефектом, а при выраженных степенях искривления — нарушением респираторной функции и работы сердца [1]. Значительное уменьшение объема переднего средостения создает условия для смещения сердца влево и формирует перегрузку его правых отделов. Снижение объема плевральных полостей ухудшает респираторные функции, уменьшает возможности физической нагрузки у ребенка. Нередко проявления этого нарушения присутствуют в момент эмоционального напряжения [2].
Коррекция ВДГК последние четверть века развивается по двум направлениям. Первое — консервативное лечение детей с негрубыми и мобильными деформациями передней грудной стенки. Второе — хирургическое направление, ориентированное на разработку новых методов коррекции ВДГК средней и тяжелой степеней искривления с применением малоинвазивных технологий. В настоящее время данная группа оперативных вмешательств определена аббревиатурой MIRPE (Minimally invasive repair of pectus excavatum) [3].
В последние годы хирургическое лечение детей с типичной локальной формой симметричной ВДГК средней и тяжелой степеней — отработанная методика, которая достаточно широко внедрена в клиническую практику. При этом необходимо подчеркнуть, что у применяемого хирургического вмешательства, выполненного с учетом строгих показаний и соблюдением технологии, тем не менее возможен риск развития возможных осложнений при крайне тяжелых формах искривления и определенных анатомических вариантах [4, 5].
Отягощающие факторы, которые увеличивают риск оперативного лечения у данной группы пациентов: тяжесть деформации и протяженный вариант [6], а также асимметричность и значительная ригидность искривления грудной стенки [7]. Кроме того, проведенные ранее операции на грудинно-реберном комплексе также серьезно влияют на предпосылки возникновения неблагоприятных исходов лечения пациентов с деформациями грудной клетки [8].
Представленные в литературе классификации патологии ВДГК не описывают степени деформаций, которые многократно (например, в 4–5 раз) превышают показатели тяжелой степени. При этом данная категория пациентов встречается в практике хирурга, выполняющего хирургические вмешательства у подобной группы больных. Такие пациенты всегда требуют пристального внимания и особенного подхода к лечению на этапе предоперационного планирования, корректного проведения хирургического вмешательства в сочетании с динамическим контролем и активной восстановительной терапии в раннем послеоперационном периоде [9]. Ригидная асимметричная деформация грудной клетки усложняет процесс лечение в связи с необходимостью более сложного и травматичного восстановления рельефа анатомической зоны реконструкции.
В плане ранее проведенных операций на грудино-реберном комплексе по поводу сопутствующей патологии наиболее часто встречаются пациенты с выполненной в детском возрасте продольной стернотомией грудной клетки после кардиохирургической реконструкции и, как следствие, рубцовыми изменениями в зоне переднего средостения, что создает риски осложнений в виде кровотечения, а также нарушения ритма сердца вследствие его повреждения.
Значимый момент при тяжелой степени деформации грудной клетки — положение сердца: так, например, при выраженном смещении сердца влево (резервное пространство) в ходе операции, направленной на восстановление ретростернального пространства, кроме стандартных рисков осложнений, появляется опасность возврата сердца в положение близкое к центральному с его ротацией и нарушением сердечного ритма. Подобное состояние может быть обусловлено нарушением проходимости магистральных сосудов на фоне их смещения и деформации (ишемия миокарда, нарушение симпатической иннервации) [10]. Однако существуют клинические ситуации, когда по причине формирования рубцово-измененных тканей в ретростернальном пространстве после перенесенных кардиохирургических вмешательств фиксированный перикард сохраняет сердце в центральном положении, а прогрессирующая ВДГК приводит к формированию кардиогенного синдрома. В этой ситуации выделение перикарда необходимо, но не всегда возможно на торакоскопическом этапе MIRPE, так как возрастает риск ранения сердца. Некоторые авторы считают необходимым в рассматриваемой группе пациентов быть готовым к массивному кровотечению и реконструкции сердца кардиохирургом при его повреждении [11].
Комбинация перечисленных факторов в сочетании с фоновыми заболеваниями (например, генетическая патология, сопутствующие хронические заболевания) создает вероятность нетипичной сложной клинической ситуации у пациента с ВДГК, требующего внимания при формировании индивидуального операционного плана, его тщательной и скрупулезной реализации в виде профилактических мероприятий по предупреждению осложнений.
С учетом вышеизложенного представленное клиническое наблюдение — сложная, редкая и нетипичная клиническая ситуация, подразумевающая индивидуальный подход к лечению и необходимость четкой реализации плана хирургического вмешательства.
КЛИНИЧЕСКОЕ НАБЛЮДЕНИЕ
В 2024 г. в НМИЦ детской травматологии и ортопедии имени Г.И. Турнера на консультативный прием обратился пациент Б., 17 лет, с жалобами на деформацию грудной клетки, выраженный косметический дефект, одышку при незначительных физических нагрузках, головокружение, сердцебиение и редкие предобморочные состояния.
Из анамнеза известно, что с рождения мальчик наблюдался у нефролога по поводу гидронефроза справа и хронического пиелонефрита, по поводу которого был оперирован в возрасте 3 мес. У пациента была определена ВДГК и деформация позвоночника легкой степени на 1-м году жизни, доброкачественная внутричерепная гипертензия, по поводу которых проводили наблюдение и консервативную терапию в течение первых 3 лет. В возрасте 1 года у ребенка диагностированы пролапс митрального клапана II степени с миксоматозной дегенерацией створок, хроническая сердечная недостаточность I степени с рекомендацией наблюдения кардиологом и динамического исследования в объеме электрокардиографии и эхокардиографии. В возрасте 12 лет у пациента после генетического обследования выявлена в 45-м экзоне гена FBN1 нуклеотидная замена NM-000138.4:с.5470T в гетерозиготном состоянии, данная замена патогенна. Установлен синдром Марфана, аутосомно-доминантный тип наследования, оформлена инвалидность. По поводу митральной недостаточности III степени, расширения корня аорты на уровне синуса Вальсальвы в 13-летнем возрасте на фоне ухудшения пролапса клапана перенес кардиохирургическую операцию из продольной стернотомии, включающую многокомпонентную пластику митрального клапана с четырехугольной резекцией задней створки, ушивание расщепления передней створки, пластику клапана на опорном полукольце.
В течение следующих 2 лет на фоне более выраженного роста скелета в период ростового скачка выявлены прогрессирование ВДГК и сколиоза, усиление нарушений работы сердца, в том числе повышение нагрузки на оперированный митральный клапан. После этого осуществлено динамическое наблюдение и консервативное лечение врачами: педиатром, гастроэнтерологом, кардиологом, ортопедом, окулистом (смешанный астигматизм средней степени, типичный для основного синдрома).
В течение последующих 4 лет, несмотря на консервативное лечение, отмечены выраженное прогрессирование деформации грудной клетки и позвоночника, ухудшение самочувствия и снижение физической активности. По направлению кардиохирургов пациент неоднократно обращался в профильные медицинские учреждения с рекомендациями коррекции деформации грудной клетки. Однако в хирургическом лечении ребенку было отказано по причине высоких рисков необратимых и угрожающих жизни осложнений в ходе операции.
После консультации у специалиста из учреждения авторов в 2024 г. было получено направление на плановое оперативное лечение деформации грудной клетки на основании подтверждения у пациента декомпенсированной формы ВДГК.
ФИЗИКАЛЬНЫЕ ДАННЫЕ
При поступлении на стационарное лечение в НМИЦ детской травматологии и ортопедии имени Г.И. Турнера пациент был полностью обследован с целью определения возможности проведения планового оперативного ортопедического лечения.
Пациент правильного телосложения, астенического типа, рост 193,5 см, размах верхних конечностей соответствует росту, вес 49,9 кг. Ребенок правильно ориентируется во времени и пространстве, доступен контакту, негативно относится к своему состоянию и необходимости лечения, исходное анкетирование (анкеты, разработанные в НМИЦ детской травматологии и ортопедии имени Г.И. Турнера, для оценки исходного состояния и удовлетворенности лечения на заключительном этапе торакопластики) показывает выраженное психоэмоциональное напряжение и кардиореспираторный синдром. Эпидемиологический анамнез не отягощен, перенес ветряную оспу в возрасте 4 лет. Кожные покровы чистые, бледные, обычной окраски. Пациент ходит самостоятельно без дополнительных опор, без хромоты. Голова расположена относительно оси тела по центру, в среднем положении. Движения в шейном отделе в полном объеме, безболезненные. Отмечается асимметрия надплечий (до 20 мм), разная высота стояния нижних углов лопаток (до 20 мм), асимметрия треугольников талии, положение туловища декомпенсировано со смещением влево до 15 мм на фоне выраженной левосторонней поясничной дуги, торсионного компонента и грудной правосторонней компенсаторной дуги. Тракционная проба показывает низкую мобильность деформации позвоночника.
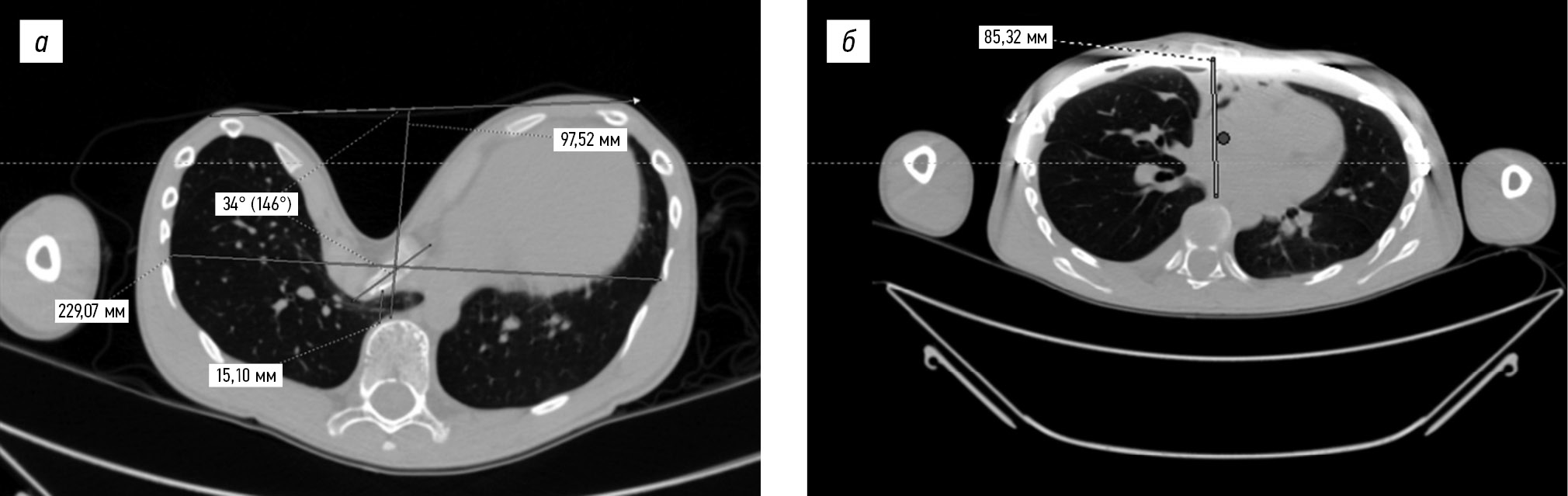
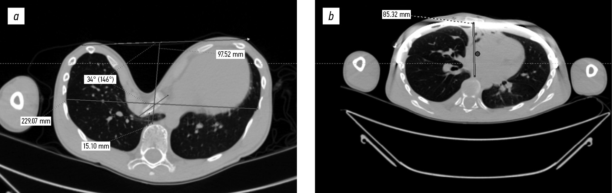
Грудная клетка грубо деформирована (см. приложение, DOI: 10.17816/PTORS654520-4252264), с правосторонней воронкообразной деформацией, зона деформации ригидная, глубина западения до 92 мм (стоя, на вдохе, на уровне вершины деформации), поперечник передней грудной стенки 300 мм, протяженный тип деформации, асимметричный и эксцентричный, вершина деформации низкая — на уровне пятого межреберья, краниальная граница ВДГК включает I ребро. Сердечный толчок слева определяется визуально выраженно, боли в грудной клетке на осмотре в зоне сердечного треугольника без четкой локализации пациентом. В проекции грудины, с границами от края рукоятки и дистальнее основания мечевидного отростка, — послеоперационный рубец, длиной около 14 см, кожные покровы подпаяны к подлежащим тканям, рубец неподвижен, без признаков воспаления.
При осмотре верхних и нижних конечностей было выявлено, что их абсолютная и относительная длина симметрична с обеих сторон. Амплитуда движений в суставах верхних конечностей без функционально значимых ограничений. На уровне дистальных сегментов конечностей неврологические и гемодинамические нарушения не обнаружены.
ДИАГНОСТИЧЕСКИЕ ИССЛЕДОВАНИЯ
Эхокардиография: левый желудочек с диастолическим размером 43 мм, систолический размер 28 мм, фракция выброса 63%, фракция сократимости 34%, толщина межжелудочковой перегородки, диастола, 7 мм, толщина задней стенки левого желудочка, диастола, 7 мм, относительная толщина стенки левого желудочка 0,33%, индекс конечного диастолического размера 25,29. Индекс левого предсердия 19,41. Индекс правого предсердия 17,65. Митральный клапан с регургитацией, створки уплотнены, скорость кровотока 1,3 м/с, диастолическая функция Е/А 1,2. Аорта: синус Вальсальвы с диаметром 35 мм, восходящий отдел 28 мм. Аортальный клапан с незначительной регургитацией и максимальной скоростью кровотока 1 м/с. Трикуспидальный клапан с незначительной регургитацией и градиентом трикуспидальной регургитации 25 мм рт. ст. Легочная артерия: ствол 22 мм, створки без особенностей, максимальная скорость до 0,8 м/с. Перикард без выпота. По заключению: состояние после пластики митрального клапана, митральная недостаточность и фиброз, расширение корня аорты.
Электрокардиография: положение электрической оси сердца резко влево, частота сердечных сокращений 71 в минуту, угол альфа 77°, неполная блокада правой ножки пучка Гисса. Вероятность аварийной электрокардиографии.
Функция внешнего дыхания: нарушения вентиляционной способности легких по ограничительному типу, значительно выраженные.
Ультразвуковое исследование органов брюшной полости: эхопризнаки аномалии формы желчного пузыря, дилатация чашечно-лоханочной системы правой почки.
Стабилометрия — определено левостороннее отклонение общего центра масс тела и назад, выраженная дисфункция III степени статокинетической системы с признаками ее субкомпенсации.
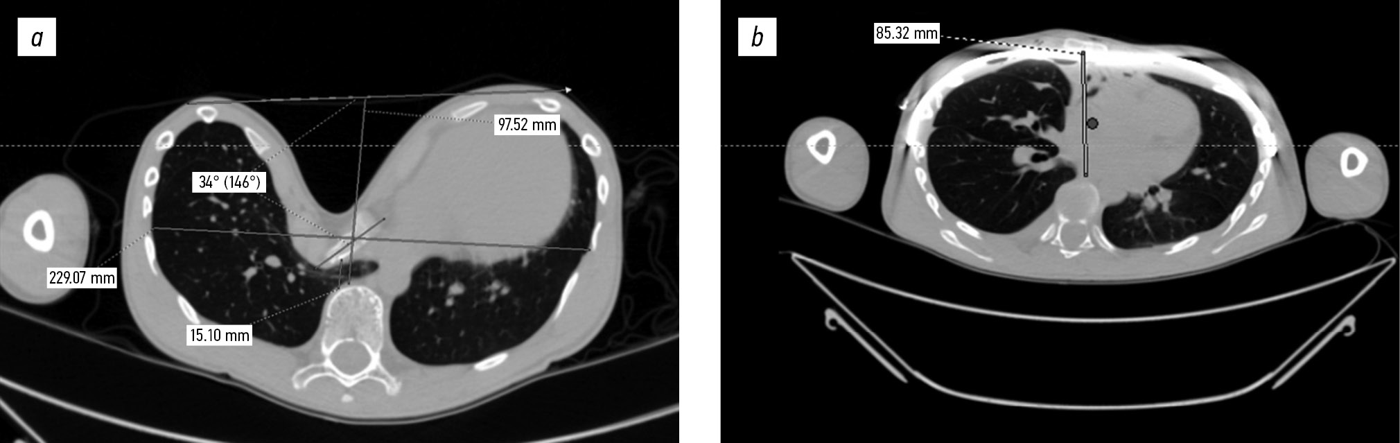
Компьютерная томография грудной клетки: определена деформация грудной клетки с воронкообразным компонентом, асимметричным, индекс Галлера 15,170 / индекс компрессии 0,154 / угол грудино-реберного комплекса 34° правосторонний. Консолидированная стернотомия в условиях проволочных серкляжных швов на 6 уровнях, дистальный край грудины в непосредственной близости от вентральной поверхности позвоночника и магистральных сосудов (аорта, нижняя полая вена). Определено опорное полукольцо сердца (пластика митрального клапана).
Рентгенография грудной клетки: не выявлено особенностей по сравнению с данными компьютерной томографии, определена деформация позвоночника с основной левосторонней поясничной дугой с вершиной на II позвонке до 78° и грудным правосторонним противоискривлением до 34° в положении стоя (рис. 1).
Рис. 1. Рентгенография позвоночника пациента на протяжении в прямой проекции, в положении стоя: поясничный левосторонний сколиоз с протяженным грудным противоискривлением; серкляжный проволочный шов грудины после продольной стернотомии, опорное полукольцо митрального клапана.
Дополнительные осмотры специалистов:
- офтальмолог — смешанный астигматизм средней степени;
- эндокринолог — белково-энергетическая недостаточность, конституциональная высокорослость;
- кардиолог — синдром Марфана, пролапс митрального клапана III степени с миксоматозной дегенерацией; недостаточность митрального клапана II–III степени; расширение корня аорты на уровне корня Вальсальвы; многокомпонентная пластика митрального клапана с опорным полукольцом.
По результатам обследования в профильном отделении принято решение о проведении планового хирургического лечения с восстановлением ретростернального пространства с целью коррекции ВДГК крайне тяжелой степени, которая провоцирует перегрузку правых отделов сердца, в том числе уже оперированную митральную недостаточность, снижение выраженности кардиореспираторного синдрома на фоне основного заболевания, предотвращение дальнейшего прогрессирования деформации.
ЛЕЧЕНИЕ
После стандартной предоперационной подготовки под эндотрахеальным наркозом в условиях региональной продленной паравертебральной блокады в положении лежа на спине с отведением верхних конечностей до 90° и сгибанием в локтевых суставах до 45° проведено оперативное лечение. Объем хирургического вмешательства заключался в малоинвазивной торакопластике с дополнительным субмечевидным доступом и остеосинтезом грудинно-реберного комплекса фиксирующей системой, разработанной в НМИЦ детской травматологии и ортопедии имени Г.И. Турнера (Патент RU № 2828751С1. РУ № РЗН 2024/22790 «Фиксирующая система грудино-реберного комплекса для хирургической коррекции асимметричной деформации грудной клетки», выпускаемая ИВЦ «Анатомика», г. Казань).
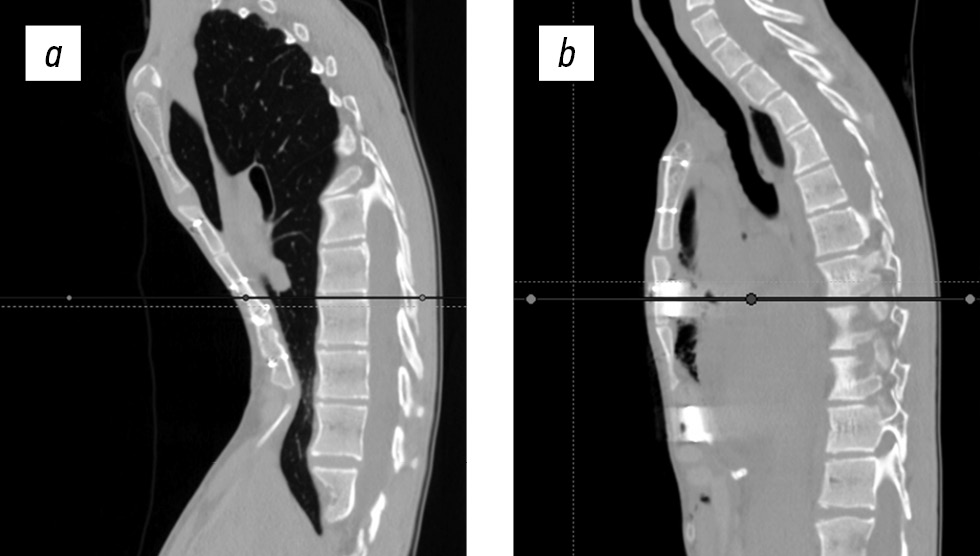
Оперативное лечение проведено из трех доступов, два из которых длиной 40 мм располагались справа и слева по переднеподмышечной линии на уровне V ребра, один — субмечевидный длиной до 65 мм. Из субмечевидного доступа с учетом практически полного слияния реберных дуг в этой зоне выполнена парциальная резекция VII ребра в составе реберной дуги слева на протяжении 40 мм. Кроме того, из этого же доступа резецирован фрагмент реберного хряща IV ребра справа. В результате сформированных подходов на уровне резецированных реберных хрящей был создан канал в ретростернальное пространство, заполненный рубцово-измененными тканями, фиксирующими к дорсальной поверхности грудины перикард правых отделов сердца, аорту и нижнюю полую вену. После этого на операционном столе смонтирован аппарат внешней фиксации с опорной пластиной на винтовой стойке с возможностью постепенной элевации грудины на дистракционном винтовом устройстве (рис. 2). С применением смонтированного аппарата после выделения ретростернального пространства, достаточного для расположения опорной пластины с использованием общехирургического инструментария под визуальным контролем осуществлен постепенный релиз дорсальной поверхности грудины до уровня второго межреберья (рис. 2).
Рис. 2. Этап ретростернального релиза и элевации грудины аппаратом внешней фиксации (АВФ). Релиз аорты, перикарда и нижней половой вены. Интраоперационная установка АВФ на 40 мин.
Элевацию грудины осуществляли постепенно в течение 40 мин, сопровождая процедуру периодическими остановками манипуляции при появлении брадикардии и элементами дополнительного релиза в зоне натяжения рубцово-измененных тканей в ретростернальном пространстве (рис. 3).
Рис. 3. Этап перехода от элевации грудино-реберного комплекса аппаратом внешней фиксации к остеосинтезу двумя пластинами.
После достижения оптимальной коррекции грудино-реберного комплекса через ранее сформированные боковые доступы предварительно провели интрадюссер слева-направо под визуальным контролем. Затем завели две пластины в зону ретростернального пространства с целью фиксации достигнутого результата коррекции. Заведенные пластины зафиксированы стабилизатором слева и двумя болтовыми соединениями М5 с блокировкой. Остеосинтез фиксирующей системой грудино-реберного комплекса стабилен. Аппарат внешней фиксации, использованный для элевации грудины, демонтирован. Проведено дренирование плевральных полостей справа и слева, ретростернального пространства по вентральной поверхности (рис. 4).
Рис. 4. Контрольная рентгенография грудной клетки в прямой проекции через двое суток после лечения.
Продолжительность операции составила 170 мин. Интраоперационная кровопотеря — 120 мл.
После оперативного лечения пациент переведен в палату интенсивной терапии в положении на спине. На следующие сутки после хирургического вмешательства приступили к активизации пациента в положении сидя. В послеоперационном периоде проводили аналгезию в мультимодальном варианте с ранее выполненной региональной аналгезией и микроструйным введением фентанила. Со вторых суток после хирургического вмешательства на фоне продолжающейся активизации пациента терапия дополнена нестероидными противовоспалительными препаратами на двое суток с постепенным снижением и отключением опиоидных анальгетиков. Пациент вертикализирован на третьи сутки после операции.
Плановое обследование включало обзорную рентгенографию грудной клетки в переднезадней проекции через сутки, а также на 5-й и 10-й день от момента операции, компьютерную томографию грудной клетки через трое суток после вмешательства. После проведения компьютерной томографии грудной клетки и вертикализации два дренажа удалены, правый плевральный дренаж удален на пятые сутки после дополнительного рентгенологического контроля (рис. 5, 6).
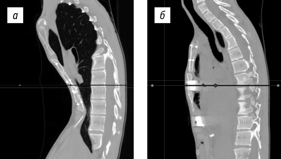
Рис. 5. Компьютерные томограммы до и после коррекции: a — исходный размер ретростернального пространства, до операции; б — контрольное исследование на 5-е сутки после операции.
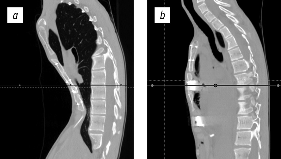
Рис. 6. Компьютерные томограммы до и после коррекции: a — до операции; б — 5-е сутки после операции.
Постепенная активизация ребенка до восстановления бытовых нагрузок продолжена до десяти суток с момента операции, после чего пациент выписан на амбулаторное наблюдение. С момента операции прошло более шести месяцев, физическая нагрузка (исключая физически тяжелые виды деятельности и спорт) восстановлена полностью, болевой синдром купирован, общее самочувствие хорошее.
ОБСУЖДЕНИЕ
Исправление ВДГК тяжелой степени, на фоне ранее проведенной продольной стернотомии, — операция повышенной сложности, она сопровождается угрозой возникновения осложнений, в числе которых фатальные (асистолия, массивное кровотечение). Единого мнения относительно тактики лечения данной категории пациентов в настоящее время не разработано. На основании литературных данных возможно несколько путей решения этой непростой задачи. Первый заключается в выполнении рестернотомии с последующим релизом ретростернального пространства и создания условий для остеосинтеза грудины в положении коррекции. Данный тип операции достаточно безопасен с позиции выделения из рубцово-измененных тканей органов средостения, однако требует проведения остеосинтеза грудины в положении коррекции, которая нередко на момент операции находится в условиях остеосинтеза. Кроме того, при таком подходе к лечению возможен риск замедленной консолидации и несращения грудино-реберного комплекса.
Второй подход предполагает радикальную торакопластику, которая включает выделение и резекцию хрящевых отделов ребер, участвующих в деформации, с целью достижения мобильности грудины, которую после релиза ретростернального пространства фиксируют в положении коррекции. При этом по интактным тканям надхрящницы, которые не резецировались, идет последующее восстановление стабильности реберного каркаса. Данный вариант вмешательства достаточно травматичен, и его используют реже альтернативных.
Стандартная малоинвазивная торакопластика MIRPE в данной клинической ситуации не рассмотрена по описанным выше причинам — возможности опасных и фатальных осложнений, которые редки, но по тяжести не могут быть игнорированы. Межцентровое исследование данной группы пациентов в числе прочих осложнений продемонстрировало до 7% случайных ранений сердца [12].
Представленный в настоящей статье вариант хирургической техники для данной категории пациентов включает малоинвазивную торакопластику в сочетании с дополнительным субмечевидным доступом. Такая методика оперативного вмешательства позволяет обеспечить наименьшую травматичность с учетом выполненного ранее кардиохирургического лечения и сохранить стабильность грудино-реберного комплекса. При этом такой подход делает возможным доступ в зону рубцов на вершине деформации и контроль ретростернального пространства во время проведения манипуляционных инструментов, а также установку имплантата во время остеосинтеза. Одновременно с этим необходимо подчеркнуть, что при подобном варианте лечения актуально решение двух задач: оптимальной визуализации ретростернального пространства (визуальная и мануальная), а также коррекции грудины, которая при крайних эксцентричных деформациях после стернотомии бывает достаточно ригидной.
С учетом решаемых проблем в ходе операции в данном клиническом наблюдении авторам удалось достичь полной коррекции ретростернального пространства без грубого нарушения ритма сердца за счет очень медленной и постепенной дистракции с использованием аппарата внешней фиксации, обеспечив при этом достаточный визуальный и мануальный контроль из двух областей — субмечевидной зоны входа в ретростернальное пространство и через ложе резецированного реберного хряща справа. С точки зрения авторов, в подобных клинических ситуациях крайне нецелесообразно применять стандартные классические методики элевации грудины с помощью штопора, шовного материала или зажимов, которые приводят к повреждению тела грудины на фоне выраженной ригидной деформации. Кроме того, нецелесообразно использовать изолированную торакоскопию стандартной MIRPE, не исключающую повреждения органов, а также традиционный переворот пластины с целью одномоментного (форсированного) достижения коррекции ВДГК. Необходимо отметить, что выполнение коррекции деформации грудной клетки, дозированной по времени проведения манипуляции, создало благоприятные условия для исключения нарушений ритма сердца при осуществлении ортопедического вмешательства. Авторы считают возможным рекомендовать предложенный вариант коррекции асимметричной ВДГК, многократно превышающей показатели тяжелой степени после кардиохирургических вмешательств.
ЗАКЛЮЧЕНИЕ
Пациенты с ВДГК, значительно превосходящей показатели тяжелой степени, а также с последствиями ранее проведенных кардиохирургических вмешательств нуждаются в объеме лечения, который отличается от стандартной торакопластики при ВДГК. Рассмотренный вариант лечения, включающий релиз магистральных, жизненно важных анатомических образований, использование аппарата внешней фиксации с высоким корригирующим моментом в ходе операции, постепенную интраоперационную коррекцию под мониторингом функции сердца, может быть рекомендован в сложных клинических ситуациях.
ДОПОЛНИТЕЛЬНАЯ ИНФОРМАЦИЯ
Вклад авторов. Д.В. Рыжиков — концепция научной работы, анализ литературных данных, написание статьи; Б.Х. Долгиев — сбор литературных данных, написание текста статьи; С.В. Виссарионов — дизайн исследования, редактирование текста статьи; Ю.О. Жукова, И.А. Борозняк — сбор литературных данных, редактирование текста статьи. Авторы одобрили рукопись (версию для публикации), а также согласились нести ответственность за все аспекты работы, гарантируя надлежащее рассмотрение и решение вопросов, связанных с точностью и добросовестностью любой ее части.
Согласие на публикацию. Авторы получили письменное информированное добровольное согласие пациента и его законных представителей на публикацию персональных данных, в том числе фотографий (с закрытием лица), в научном журнале, включая его электронную версию (дата подписания 28.11.24). Объем публикуемых данных пациентом и его законными представителями согласован.
Источники финансирования. Публикация в рамках государственного задания, тема НИР «Комплексное лечение детей с врожденной деформацией грудной клетки, позвоночника и нестабильностью грудино-реберного комплекса» (регистрационный номер 124020400007-0).
Раскрытие интересов. Авторы заявляют об отсутствии отношений, деятельности и интересов за последние три года, связанных с третьими лицами (коммерческими и некоммерческими), интересы которых могут быть затронуты содержанием статьи.
Оригинальность. При создании настоящей работы авторы не использовали ранее опубликованные сведения (текст, иллюстрации, данные).
Доступ к данным. Все данные, полученные в настоящем исследовании, доступны в статье и в приложении к ней.
Генеративный искусственный интеллект. При создании настоящей статьи технологии генеративного искусственного интеллекта не использовали.
Рассмотрение и рецензирование. Настоящая работа подана в журнал в инициативном порядке и рассмотрена по обычной процедуре. В рецензировании участвовали внешний и внутренний рецензенты.
Приложение. Внешний вид пациента (видео). DOI: 10.17816/PTORS654520-4252264
Об авторах
Дмитрий Владимирович Рыжиков
Национальный медицинский исследовательский центр детской травматологии и ортопедии имени Г.И. Турнера
Автор, ответственный за переписку.
Email: dryjikov@yahoo.com
ORCID iD: 0000-0002-7824-7412
SPIN-код: 7983-4270
канд. мед. наук
Россия, Санкт-ПетербургБагауддин Хавашевич Долгиев
Национальный медицинский исследовательский центр детской травматологии и ортопедии имени Г.И. Турнера
Email: dr-b@bk.ru
ORCID iD: 0000-0003-2184-5304
SPIN-код: 2348-4418
MD
Россия, Санкт-ПетербургСергей Валентинович Виссарионов
Национальный медицинский исследовательский центр детской травматологии и ортопедии имени Г.И. Турнера
Email: vissarionovs@gmail.com
ORCID iD: 0000-0003-4235-5048
SPIN-код: 7125-4930
д-р мед. наук, профессор, чл.-корр. РАН
Россия, Санкт-ПетербургЮлия Олеговна Жукова
Национальный медицинский исследовательский центр детской травматологии и ортопедии имени Г.И. Турнера
Email: julsapzhuk@yandex.ru
ORCID iD: 0009-0009-8862-1330
MD
Россия, Санкт-ПетербургИрина Александровна Борозняк
Курская областная детская клиническая больница
Email: irishka25121998@mail.ru
ORCID iD: 0009-0002-8074-7798
MD
Россия, КурскСписок литературы
- Suehs CM, Molinari N, Bourdin A, et al. Change in cardiorespiratory parameters following surgical correction of pectus excavatum: protocol for the historical-prospective HeartSoar cohort. BMJ Open. 2023;13(6):e070891. EDN: ZIOZHW doi: 10.1136/bmjopen-2022-070891
- Ciriaco P. Surgical treatment of pectus excavatum: the boundary between pathologic and aesthetic need. J Clin Med. 2025;14(1):231. doi: 10.3390/jcm14010231
- Higaze M, Haj Khalaf MA, Parjiea C, et al. Minimally invasive repair of pectus excavatum: a lifeline to quality of life. J Clin Med. 2024; 13(22):68–88. EDN: ECFUFD doi: 10.3390/jcm13226888
- Hebra A, Kelly RE, Ferro MM, et al. Life-threatening complications and mortality of minimally invasive pectus surgery. J Pediatr Surg. 2018;53(4):728–732. doi: 10.1016/j.jpedsurg.2017.07.020
- Beati F, Frediani S, Pardi V, et al. Case report-Every thoracic surgeon’s nightmare: cardiac and lung perforation during placement of Nuss bar for pectus excavatum. Front Pediatr. 2023;11:1241–1273. EDN: TXMZVF doi: 10.3389/fped.2023.1241273
- Media AS, Christensen TD, Katballe N, et al. Complication rates rise with age and Haller index in minimally invasive correction of pectus excavatum: a high-volume, single-center retrospective cohort study. J Thorac Cardiovasc Surg. 2024;168(3):699–711. EDN: YPCYWG doi: 10.1016/j.jtcvs.2024.01.047
- Dolgiev BH, Ryzhikov DV, Vissarionov SV. Surgical treatment of children with asymmetric pectus excavatum: literature review. Pediatric Traumatology, Orthopaedics and Reconstructive Surgery. 2022;10(4):471–479. EDN: VCVCLZ doi: 10.17816/PTORS112043
- Torre M, Guerriero V, Wong MCY, et al. Complications and trends in minimally invasive repair of pectus excavatum: a large volume, single institution experience. J Pediatr Surg. 2021;56(10):1846–1851. EDN: WZSVSN doi: 10.1016/j.jpedsurg.2020.11.027
- Park HJ, Lee IS, Kim KT. Extreme eccentric canal type pectus excavatum: morphological study and repair techniques. Eur J Cardiothorac Surg. 2008;34(1):150–154. doi: 10.1016/j.ejcts.2008.03.044
- Cujiño-Álvarez IF, Torres-Salazar D, Velásquez-Galvis M. Cardiorespiratory arrest during and after nuss procedure: case report. J Cardiothorac Surg. 2023;18(1):166. EDN: DZEOTZ doi: 10.1186/s13019-023-02262-w
- Kenney LM, Obermeyer RJ. Pectus repair after prior sternotomy: clinical practice review and practice recommendations based on a 2,200-patient database. J Thorac Dis. 2023;15(7):4114–4119. EDN: PKJTVC doi: 10.21037/jtd-22-1567
- Jaroszewski DE, Gustin PJ, Haecker FM, et al. Pectus excavatum repair after sternotomy: the Chest Wall International Group experience with substernal Nuss bars. Eur J Cardiothorac Surg. 2017;52(4):710–717. doi: 10.1093/ejcts/ezx221
Дополнительные файлы










