Энхондромы кисти у детей: современные представления об этиопатогенезе, диагностике и лечении. Обзор литературы
- Авторы: Черданцева Л.А.1, Дугинова М.В.2, Губина Е.В.3, Кирилова И.А.1
 - 
							Учреждения: 
							
- Новосибирский научно-исследовательский институт травматологии и ортопедии им. Я.Л. Цивьяна
 - Многопрофильный медицинский центр «Евромед»
 - Центр новых медицинских технологий в Кольцово
 
 - Выпуск: Том 13, № 2 (2025)
 - Страницы: 192-201
 - Раздел: Научные обзоры
 - Статья получена: 07.03.2025
 - Статья одобрена: 07.05.2025
 - Статья опубликована: 24.06.2025
 - URL: https://journals.eco-vector.com/turner/article/view/676913
 - DOI: https://doi.org/10.17816/PTORS676913
 - EDN: https://elibrary.ru/PEHSLH
 - ID: 676913
 
Цитировать
Аннотация
Распространенность доброкачественных опухолей костей у пациентов детского возраста определяет актуальность их изучения для ортопедов. Данная статья посвящена энхондромам кисти у детей. Несмотря на частоту встречаемости этой патологии, отсутствие клинических рекомендаций по указанной нозологии объясняет актуальность темы публикации. На основе баз данных полнотекстовых публикаций сайтов CyberLeninka, еLibrary, PubMed, Scopus за период с 1990 по 2023 г. из 387 источников в анализ были взяты 69 полнотекстовых рукописей. В обзоре отражены современные представления об этиопатогенезе, сложностях диагностики и лечения и прогнозе при энхондромах кисти у детей. В диагностике энхондром кисти приоритетные методы — рентгенография и компьютерная томография. Обязательный метод — гистологическая верификация диагноза. Особое внимание уделено тактике хирургического лечения: выбору оптимального срока и объема хирургического вмешательства, выбору материала для замещения костных дефектов, факторам риска развития рецидивов и их частоты. Проведенный анализ литературы позволил систематизировать данные об этиопатогенезе энхондром кисти, определить приоритетность диагностических мероприятий, упорядочить данные о критериях диагностики и дифференциальной диагностики энхондром кисти, а также подходах к выбору тактики и способов лечения. Решение о выборе тактики лечения, способе и сроках лечения должно быть персонализированным и учитывать локализацию и гистогенез опухолевого процесса, а при необходимости данные дополнительных методов исследования и риски развития осложнений. В последние годы специалисты склоняются к раннему началу хирургического лечения, а не к выжидательной тактике, а выбор между аутокостью и аллокостью зависит от клинического контекста. Аутокость — «золотой стандарт», но использование в целях восстановления структурно-функциональной целостности костей при повреждениях именно аллокости — разумная и обоснованная альтернатива, даже с учетом высоких рисков донорской морбидности. Данное решение должно быть коллегиальным — с учетом мнения привлеченных специалистов: врача-онкоортопеда, врача-рентгенолога, врача-патологоанатома, врача-реабилитолога.
Ключевые слова
Полный текст
Введение
Распространенность доброкачественных опухолей кисти у пациентов детского возраста определяет актуальность их изучения врачами-ортопедами. В детской ортопедии опухолевые и опухолеподобные заболевания встречают с частотой 3,5–8,2% среди всех патологий кисти [1–3]. При этом у детей в структуре опухолей кисти энхондромы лидируют, и на их долю приходится 10–27% всех доброкачественных новообразований данной локализации [3, 4]. Энхондромы могут быть одиночными (солитарные) и множественными — при болезни Олье [1, 5, 6], синдроме Маффуччи [6, 7] в сочетании с другими аномалиями развития органов и систем. Клиническую картину множественных энхондром кисти, как правило, характеризуют укорочение и многоплоскостная деформация костей, особенно фаланг пальцев [3, 5, 8]. До 40–60% диагнозов солитарных энхондром приходится на «случайные» рентгенологические находки, в частности, выявляемые при патологическом переломе [9–11]. Длительное отсутствие жалоб и клинических проявлений у пациента можно объяснить медленным ростом опухоли [8, 12].
Несмотря на частоту встречаемости энхондром у детей и большое количество научных публикаций, посвященных данной тематике, в настоящее время отсутствуют критерии выбора метода и срока реализации оперативного лечения, вида фиксации, применения адъювантных веществ, выбора костнопластического материала для замещения дефекта после резекции опухоли. Отдельного внимания заслуживает выбор тактики ведения пациентов при патологическом переломе на фоне энхондромы [2, 6, 12]. Актуальные клинические рекомендации относительно правил ведения данной нозологии отсутствуют.
Цель статьи — провести анализ и систематизировать данные отечественной и зарубежной литературы, посвященной вопросам этиопатогенеза, классификаций, диагностики и лечения энхондром кисти у детей.
В базах данных электронных информационных ресурсов CyberLeninka, PubMed, Scopus, eLibrary проведен поиск публикаций на русском, английском и французском языках по следующим ключевым словам: энхондрома кисти, этиология, диагностика, лечение. Глубина поиска составила с 1990 по 2023 г., получено 387 статей. Для анализа было отобрано 69 полнотекстовых рукописей, после исключения дублирующих публикаций и описания клинических случаев.
Распространенность и этиопатогенез
Энхондрома — это доброкачественное внутрикостное новообразование, состоящее из гиалинового хряща. Энхондромы мелких костей кистей и стоп характеризует формирование долек из дифференцированных хондроцитов с крупными ядрами, с участками обызвествления и формирования фокусов миксоидных изменений гиалинового хрящевого матрикса, с возможным разрушением кортикального слоя, но без признаков инвазии в окружающие ткани [13]. Частота встречаемости энхондром составляет от 10 до 27% в структуре доброкачественных образований кисти [13–15]. Наиболее часто эту опухоль диагностируют в течение первого-четвертого десятилетий жизни, без существенного различия по частоте у мужчин и женщин [1, 13, 16]. Значительная доля случаев бессимптомного течения энхондром не позволяет оценить истинную частоту встречаемости.
Наиболее частая локализация энхондром — короткие трубчатые кости кистей и стоп [1, 17, 18]: проксимальные и средние фаланги пальцев, особенно IV и V пальцев — 70% [6, 9, 18]; пястные кости — 30% [1, 3, 6]. Такое распределение энхондром среди различных костей и областей скелета отмечено еще в 1940-х годах [19].
У пациентов детского возраста развитие энхондром обычно начинается в метадиафизах пястных костей и фаланг пальцев из сохранившихся зачатков пластинок роста с пролиферацией и формированием очагов гипертрофии хрящевой ткани, сохраняющихся на протяжении всей жизни [6]. В 2019 г. S. Miwa и соавт. [12] сформулировали предположение об особенностях этиопатогенеза энхондром кисти. Дифференциация кисти с появлением зачатков трубчатых костей (пястных костей, фаланг пальцев) происходит с 33-го по 54-й день внутриутробного развития. Лучи пальцев становятся заметными уже на 41-й день внутриутробного развития, а разделение дистальной, средней, проксимальной фаланг и пястной кости завершается к 54-му дню внутриутробного развития. Последовательное возникновение множественных энхондромных поражений на одном и том же луче пальца в исследуемых случаях позволило авторам предположить, что возникновение поражений предшествует разделению костей кисти [12, 19]. По мнению авторов [12, 19], основанному на результатах генетических исследований, формирование опухоли зависит, в частности, от гена PTPN11, расположенного на длинном плече 12-й хромосомы в локусе 12q24.13. Данный ген кодирует тирозиновую фосфатазу (белок SHP2), которая принимает участие в реализации сигнального пути, регулирующего клеточный цикл, дифференцировку, миграцию и апоптоз клеток в эмбриональном и постнатальном периодах развития. Мутации в данном гене ассоциированы с онкогенной трансформацией клеток и процессом канцерогенеза [12, 19, 20].
Классификация и клиническая картина энхондром кисти
Унифицированная (клинико-рентгенологическая) классификация энхондром кисти в настоящее время отсутствует. На сегодняшний день актуальна рентгенологическая классификация энхондром кисти, отражающая локализацию, форму, тип опухоли (рис. 1). Наиболее распространенные варианты энхондромы: по типу — моноцентрическая I (A), по форме — не расширяющая II (A), по локализации — центральная III (А) [21, 22].
Рис. 1. Классификация энхондром кисти Хассельгрена. I: Тип опухоли: моноцентрическая (А), полицентрическая (В) и гигантская (С); II: Форма опухоли: нерасширяющая (А), расширяющая/распространяющаяся (В); III: Локализация опухоли: центральная (А), эксцентрическая (В), ассоциированная (С). © Orman O. и соавт., 2022. Распространяется на условиях лицензии CC BY-NC 4.0. Источник: заимствовано из [DOI: 10.14744/SEMB.2022.00483].
Начальную стадию развития энхондромы характеризируют медленный рост и отсутствие клинической симптоматики. Неспецифической жалобой может быть болевой синдром разной степени выраженности, который встречают у одной трети пациентов [15, 17, 18].
Диагностика энхондром кисти
Первый этап диагностики — осмотр и пальпаторное обследование кисти и запястья, во время которого осуществляют оценку амплитуды активных и пассивных движений в межфаланговых и пястно-фаланговых суставах, наличие угловых и торсионных деформаций фаланг кисти [5, 7, 12]. Клиническими проявлениями энхондромы дистальных фаланг могут быть деформации ногтевой пластины, повреждение сухожилия разгибателя пальца на фоне патологического перелома с последующим формированием молоткообразной деформации пальца. Это обусловливает ограничение активного разгибания дистального межфалангового сустава [23, 24]. Клиническим проявлением может быть нарушение активного сгибания в дистальном межфаланговом суставе, что связано с разрушением энхондромой кортикального слоя дистальной фаланги с ладонной стороны и повреждением сухожилия глубокого сгибателя пальца [25–27].
Основной метод инструментального обследования при первичном обращении пациента по поводу травмы кисти, болевого синдрома и деформации пальцев — рентгенография в двух стандартных проекциях (переднезадней и боковой). При подозрении на новообразование дополнительно осуществляют рентгенографию в косой проекции [15, 18]. Рентгенологические признаки энхондромы в трубчатых костях кисти можно определить в метафизе, диафизе или эпифизе, в отдельных случаях тотально замещать всю фалангу.
На рентгенограммах можно определить внутрикостное расположение патологического очага в виде гомогенного просветления неправильной округлой или овальной формы с полицикличными контурами, четко отграниченного от неизмененной кости. На фоне просветления определяют единичные тени, имеющие форму так называемых «колец» и «арок», соответствующих участкам обызвествления хряща. В некоторых случаях участки обызвествленного хряща в деформированной короткой трубчатой кости кисти окружены минимальным склеротическим ободком, а кортикальный слой истончен. Контур эндоста на уровне энхондромы обычно ровный, однако возможна незначительная его деформация. При наличии патологического перелома на фоне энхондромы выявляют нарушение целостности истонченного кортикального слоя. Редко выявляют внутрисуставное поражение или вовлечение мягких тканей [28–30]. Компьютерная томография не только более точно визуализирует признаки истончения и нарушения целостности кортикального слоя, но и позволяет изучить дольчатую структуру новообразования [31].
Магнитно-резонансная томография (МРТ) дополняет информацию, полученную при исследованиях рентгенографии и компьютерной томографии. МРТ-диагностика важна для дифференциальной диагностики со злокачественными новообразованиями хрящевой природы — хондросаркомами [31–33]. На Т1-взвешенных МРТ-изображениях можно увидеть характерный признак энхондромы — снижение плотности костной ткани, а на Т2-взвешенных изображениях — повышение плотности с интенсивным сигналом. Определяют дольчатую структуру новообразования [34, 35]. Значимый диагностический критерий отличия энхондром от хондросарком — наличие очагов повышенной интенсивности сигнала на T1-взвешенных изображениях у хондросарком [31, 35]. Кроме того, по данным L. Janzen и соавт. [32] и L. Fayad и соавт. [33], МРТ позволяет визуализировать перитуморозный отек костного мозга и трабекулярный отек прилежащих отделов губчатого костного вещества, характерные для злокачественных опухолей, в том числе и для хондросарком (количество наблюдений у L. Janzen составило 13, а у L. Fayad 6 из 7 случаев хондросарком). Проспективных исследований с достаточным количеством наблюдений, подтверждающих достоверность указанных диагностических критериев, не было найдено в доступной отечественной и зарубежной научной литературе.
Дополнительно для дифференциальной диагностики энхондромы и хондросаркомы возможно применение внутривенного контрастирования препаратами гадолиния. Об этом сообщают İ. Büyükceran и соавт. [30] и M. Geirnaerdt [36], выявившие арочное усиление МРТ-сигнала при хондросаркомах. При этом другие авторы [34, 35] не подтвердили диагностическую значимость контрастного усиления, в сравнении со стандартной МРТ. В диагностике энхондром МРТ не приоритетный метод исследования, но в комбинации с другими методами позволяет более достоверно и эффективно осуществлять оценку патологического процесса, особенно при необходимости дифференциальной диагностики со злокачественным процессом.
Обязательный метод диагностики энхондром — гистологическое исследование биопсийного (операционного) материала, получаемого кюретажем при хирургическом лечении, а если на этапе клинико-лучевой диагностики возникла необходимость дифференцирования с «атипичной хрящевой опухолью/хондросаркомой G1» (низкой степени злокачественности), то применяют метод открытой или инцизионной биопсии [37]. Макроскопически у энхондром следующий вид: участки полупрозрачного гиалинового хряща дольчатой архитектоники, серовато-белого цвета с желтоватыми или коричнево-желтоватыми вкраплениями участков обызвествления межуточного вещества. В кортикальном слое могут быть выявлены участки «вздутия» серого цвета при поднадкостничном выделении [13, 29].
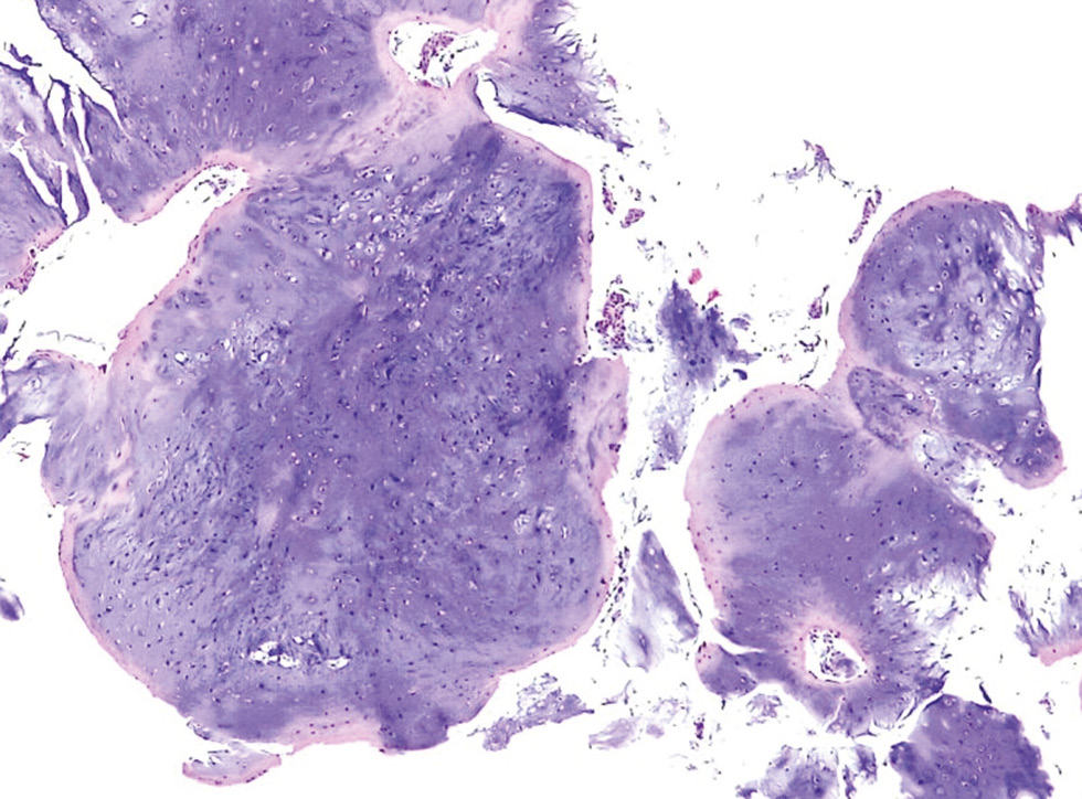
При гистологическом исследовании опухоль может иметь мультицентрическое дольчатое строение, с расположением долек в костномозговой полости и отдельно от главного очага поражения, без признаков деструкции в самих дольках. Дольки хряща представлены группами зрелых хондроцитов, расположенных в лакунах и разделенных солидным гиалиновым хрящевым матриксом, с умеренным количеством миксоидных изменений. Клетки опухоли преимущественно распределены дискретно, но могут выявлять и гиперклеточные участки [6, 38]. Для энхондром мелких костей свойственна многоклеточность. При этом клетки одинаковые, округлой формы, с плотными крупными ядрами правильной формы, с небольшим количеством митотических фигур [13, 39]. Часто встречаются двуядерные хондроциты. Возможно выявление участков деструкции кортикального слоя, отсутствие признаков инвазии опухоли в костномозговую полость и межтрабекулярные пространства предсуществующей кости (рис. 2) [40, 41].
Рис. 2. Энхондрома. Дольки гиалинового хряща с тонкой оболочкой из фиброзной ткани, окружающей дольки. Окрашивание гематоксилином и эозином, увеличение ×50. © Academy of Medical Sciences, Romanian Academy Publishing House, Bucharest, 2022. Распространяется на условиях лицензии CC BY-NC-SA 4.0. Источник: заимствовано из [DOI: 10.47162/RJME.63.4.04].
Иногда в клетках энхондромы, как и «атипичной хрящевой опухоли/хондросаркомы G1», могут быть выявлены ядерный полиморфизм и гиперхромия ядер с глыбчатым распределением хроматина и выраженными ядрышками, что затрудняет гистологическую диагностику [37, 42]. В данных случаях следует учитывать наличие или отсутствие других гистологических признаков, характерных для «атипичной хрящевой опухоли/хондросаркомы G1»: большая клеточность и большее количество двуядерных клеток, наличие признаков клеточного атипизма в клетках и инвазия в костномозговую полость с внедрением опухоли в пространства между прилежащими структурами губчатой кости, а также формирование деструктивных изменений в виде фокусов эрозий эндоста и небольших фокусов некроза с утратой ядерной окраски [13]. При необходимости для дифференциальной диагностики используют метод иммуногистохимического исследования. При исследовании биоптатов для энхондром характерна экспрессия маркера S-100 протеина, как и в случаях других опухолей хрящевой ткани. Экспрессию маркера AMCR (альфа-метилацил-КоА-рацемаза) выявляют в 88,9% случаев исследования энхондром, а экспрессия белка периостина в большинстве случаев характерна для «атипичной хрящевой опухоли/хондросаркомы G1» [13, 29, 43, 44]. Учитывая отсутствие специфичности данного метода исследования для диагностики энхондром, его результаты следует интерпретировать в совокупности с данными развернутого клинического анамнеза, результатами рентгенологических методов исследования и гистологического исследования.
В качестве дополнительного метода дифференциальной диагностики опухолей хрящевой ткани может служить молекулярно-генетическое исследование. По данным результатов многоцентрового исследования важные диагностические критерии — выявляемые соматические гетерозиготные точечные мутации генов IDH1 (изоцитратдегидрогеназа 1) или, в редких случаях, IDH2. Мутации в данных генах обусловливают изменение нормального метаболизма в клетках, что способствует неконтролируемому росту хрящевой ткани, нарушению их дифференцировки и образованию энхондром. Наличие данных мутаций выявлено у 81% пациентов с болезнью Олье и у 77% пациентов с синдромом Маффуччи. Мутации генов IDH1 и IDH2 также были обнаружены и в одиночных центральных и периостальных энхондромах и хондросаркомах. При этом соматические гетерозиготные мутации IDH1 (R132C и R132H) или IDH2 (R172S) в 87% случаев связаны с формированием энхондром, а в 70% — могут быть причиной развития спиноцеллюлярных гемангиом — доброкачественных сосудистых опухолей [45].
Лечение
При выборе тактики лечения пациентов с энхондромами некоторые авторы рекомендуют динамическое наблюдение за солитарными энхондромами при отсутствии клинических проявлений (болевой синдром, отек, деформация, функциональные ограничения кисти) несмотря на установленный диагноз [14, 46–48]. Данный подход может привести к поздней гистологической верификации диагноза и, как следствие, к осложнениям (патологическому перелому), позднему оперативному вмешательству с большей травматизацией тканей и увеличению продолжительности реабилитационного периода [1, 3, 12].
Хирургическое лечение позволяет обеспечить не только механическую стабильность кости, снизить риск развития патологических переломов и устранить клинические симптомы, но и провести точную морфологическую идентификацию патологического процесса [15, 49]. Помимо этого, выбор хирургического метода лечения обоснован риском злокачественной трансформации энходром в 4% случаев [3, 46, 50]. По данным Adam A. Sasson [2], A. Kadar и соавт. [3], злокачественная трансформация энхондром происходит от 0,4% в детском возрасте и до 5% у взрослых пациентов. При этом происходят дедифференцировка и озлокачествление клеток хондромы при каждом последующем рецидиве после выполненного хирургического лечения [45, 51, 52].
Стандартный метод хирургического лечения — изолированная внутрикостная резекция опухоли или в сочетании с одномоментной костной пластикой [49, 54]. Помимо этого, интраоперационная резекция может быть дополнена криоабляцией или химическим прижиганием ложа резецированной опухоли [2, 47, 54], а также прижиганием с помощью высокоскоростного бора [50, 55, 56]. Адъювантное лечение энхондром нецелесообразно [1, 2, 57].
Вопрос о подходах к оперативному лечению энхондром, осложненных патологическим переломом, остается дискутабельным:
- раннее хирургическое лечение энхондромы;
 - отсроченное хирургическое лечение энхондромы.
 
Пример раннего хирургического лечения представлен на рис. 3, а (пациент с патологическим переломом проксимальной фаланги IV пальца на фоне энхондромы). Рентгенологически в центральной части проксимальной фаланги IV пальца отмечено разрежение костной ткани с истончением кортикального слоя и нарушением его целостности с двух сторон. Выполнено оперативное лечение (рис. 3, b) — кюретаж энхондромы с замещением дефекта аутотрансплантатом из гребня подвздошной кости с фиксацией пластиной, винтами.
Рис. 3. Пациент 17 лет со смещенным патологическим переломом проксимальной фаланги. © Çapkin S. и соавт., 2020. Распространяется на условиях лицензии CC BY-NC 4.0. Источник: заимствовано из [DOI: 10.7759/cureus.7497].
Тактика раннего хирургического лечения позволяет сократить сроки нетрудоспособности, обеспечить раннюю гистологическую верификацию патологического образования и снизить риск консолидации в порочном положении. Однако существует риск развития осложнений в виде вторичного смещения фрагментов, несостоятельности металлоконструкции, миграции костнопластического материала в мягкие ткани [2, 46, 58].
В настоящее время проходят споры о материалах для замещения дефекта кости после иссечения энхондромы [14, 18, 51]. Аутогенная костная пластика демонстрирует лучшие результаты восстановления кости. Однако нельзя исключить возможность развития осложнений в донорском участке (зона забора аутокости) — формирование гематомы, развитие воспаления на фоне инфицирования, болевой синдром, парестезии [19, 58].
Наиболее частая локализация изъятия аутокости для формирования костного трансплантата — гребень подвздошной кости и/или дистальный метафиз лучевой кости. Согласно результатам клинических и рентгенологических исследований O. Orman и соавт. [21], разница между сроками восстановления костного дефекта и перестройки костного аутотрансплантата в области замещения дефекта после удаления энхондромы фаланги отсутствует при использовании аутокости из гребня подвздошной кости или дистального метафиза лучевой кости. Однако использование костного аутотрансплантата из гребня подвздошной кости сопровождают увеличением срока пребывания в стационаре по причине сохранения выраженного болевого синдрома [21]. В своем исследовании A. Teache и соавт. [60] выявили уменьшение сроков сохранения болевого синдрома в 1,5 раза у пациентов детского возраста при использовании аутотрансплантата из дистального метафиза лучевой кости, вне зависимости от протокола купирования боли, в сравнении с продолжительностью болевого синдрома при использовании аутотрансплантата из гребня подвздошной кости.
Сторонники аллогенной костной пластики объясняют свой выбор тем, что использование данного вида костнопластического материала исключает дополнительную травматизацию пациента, что особенно значимо для пациентов детского возраста [3, 61]. Кроме того, это позволяет уменьшить время оперативного вмешательства и пребывания пациента в стационаре [62].
Сравнительный анализ перестройки ауто- и аллотрансплантатов при замещении костного дефекта после экскохлеации энхондром показал, что перестройка происходит в 100% случаев, вне зависимости от вида трансплантата [53, 54]. Не выявлено существенных различий в сроках восстановления кости при использовании ауто-, аллотрансплантата или искусственных заменителей кости [1, 2, 63]. Кроме того, в публикациях по результатам рандомизированных исследований по данному вопросу отмечено, что выбор костнопластического материала может быть обусловлен предпочтениями оперирующего хирурга [17, 41, 64]. Выбор между аутокостью и аллокостью зависит от клинического контекста. Аутокость остается «золотым стандартом», но аллокость, в том числе с адъювантами — разумная альтернатива при высоких рисках донорской морбидности.
В качестве костнопластического материала используют синтетические заменители костной ткани на основе фосфата и сульфата кальция. Недостатки данных материалов: замедленная интеграция, возможная реакция организма реципиента на инородное тело, неполное замещение дефекта костной ткани и недостаточная механическая прочность [54]. S.Y. Lin и соавт. (2013) описывают эффективность использования костного цемента при патологическом переломе фаланги на фоне энхондромы, с ранним восстановлением функции кисти и трудоспособности пациента, а также отсутствием необходимости применения внутренних и внешних методов фиксации [65]. При этом М. Yasuda и соавт. [61] отмечали, что использование костного цемента при патологическом переломе фаланги на фоне энхондромы может приводить к частичной абсорбции материала, неправильному сращению и, как следствие, повторному оперативному лечению в виде корригирующей остеотомии, которая неблагоприятно влияет на функцию кисти. Аналогичные осложнения при использовании костного цемента описывают H. Lu и соавт. [67] и рекомендуют его использование только при уникортикальных дефектах, чтобы избежать миграции костнопластического материала в мягкие ткани. Недостаток любого небиологического материала — отсутствие его кровоснабжения и возможности перестройки, а также необходимость полного удаления в случае инфицирования или рецидива новообразования [62, 66].
U. Joosten и соавт. [66] описали хорошие результаты при замещении костного дефекта гидроксиапатитом после удаления энхондромы, подтвержденные полной костной интеграцией материала в течение 6–8 нед. рентгенологически. A.A. Sasson и соавт. [2], основываясь на ретроспективном исследовании 1991–2008 гг., сделали выводы о полном восстановлении структурно-функциональных характеристик кисти, независимо от используемого костнопластического материала при хирургическом лечении энхондром у 96% пациентов.
В научных источниках представлены данные о независимости частоты рецидивов при данном виде патологии от вида используемого костнопластического материала [1, 3, 9, 17, 25, 68].
Заключение
Проведенный анализ литературы позволил систематизировать данные об этиопатогенезе энхондром кисти, определить приоритетность диагностических мероприятий, упорядочить данные о критериях диагностики и дифференциальной диагностики энхондром кисти, а также подходах к выбору тактики и способов лечения. Решение о выборе тактики лечения, способе и сроках лечения должно быть персонализированным и учитывать локализацию и гистогенез опухолевого процесса, а при необходимости, данные дополнительных методов исследования и риски развития осложнений.
В последние годы специалисты склоняются к раннему началу хирургического лечения, а не к выжидательной тактике, а выбор между аутокостью и аллокостью зависит от клинического контекста. Аутокость остается «золотым стандартом», но использование в целях восстановления структурно-функциональной целостности костей при повреждениях именно аллокости — разумная и обоснованная альтернатива даже с учетом высоких рисков донорской морбидности. Данное решение должно быть коллегиальным — с учетом мнения привлеченных специалистов (онкоортопеда, рентгенолога, патологоанатома, реабилитолога).
Дополнительная информация
Вклад авторов. И.А. Кирилова — разработка концепции, редактирование текста статьи; М.В. Дугинова — поиск и анализ литературы, подготовка текста статьи; Е.В. Губина — подготовка текста статьи, редактирование текста статьи; Л.А. Черданцева — анализ литературы, подготовка текста статьи, редактирование текста статьи. Все авторы одобрили версию для публикации, а также согласились нести ответственность за все аспекты работы, гарантируя надлежащее рассмотрение и решение вопросов, связанных с точностью и добросовестностью любой ее части.
Источники финансирования. Авторы заявляют об отсутствии внешнего финансирования при проведении исследования.
Раскрытие интересов. Авторы заявляют об отсутствии отношений, деятельности и интересов за последние три года, связанных с третьими лицами (коммерческими и некоммерческими), интересы которых могут быть затронуты содержанием статьи.
Оригинальность. При создании настоящей статьи авторы использовали ранее опубликованные сведения (тексты, иллюстрации и др.) в базах данных полнотекстовых публикаций сайтов CyberLeninka, еLibrary, PubMed, Scopus за период с 1990 по 2023 г. с целью проведения анализа и систематизации данных отечественной и зарубежной литературы, по вопросам этиопатогенеза, классификации, диагностики и лечения энхондром кисти у детей.
Доступ к данным. Все данные, полученные в настоящем исследовании, доступны в статье.
Генеративный искусственный интеллект. При создании настоящей статьи технологии генеративного искусственного интеллекта не использовали.
Рассмотрение и рецензирование. Настоящая работа подана в журнал в инициативном порядке и рассмотрена по обычной процедуре. В рецензировании участвовали два внутренних рецензента.
Об авторах
Лилия Александровна Черданцева
Новосибирский научно-исследовательский институт травматологии и ортопедии им. Я.Л. Цивьяна
							Автор, ответственный за переписку.
							Email: cherdanceff@yandex.ru
				                	ORCID iD: 0000-0002-4729-3694
				                	SPIN-код: 9409-0400
																		                								
канд. мед. наук
Россия, 630091, Новосибирск, ул. Фрунзе, д. 17Мария Владимировна Дугинова
Многопрофильный медицинский центр «Евромед»
														Email: duginova.m@mail.ru
				                	ORCID iD: 0000-0002-2352-3539
				                	SPIN-код: 2615-4122
																		                								
MD
Россия, НовосибирскЕлена Владимировна Губина
Центр новых медицинских технологий в Кольцово
														Email: Egubina@niito.ru
				                	ORCID iD: 0000-0002-2278-1421
				                	SPIN-код: 2847-4563
																		                								
канд. мед. наук
Россия, НовосибирскИрина Анатольевна Кирилова
Новосибирский научно-исследовательский институт травматологии и ортопедии им. Я.Л. Цивьяна
														Email: irinakirilova71@mail.ru
				                	ORCID iD: 0000-0003-1911-9741
				                	SPIN-код: 9482-9230
																		                								
д-р мед. наук, доцент
Россия, НовосибирскСписок литературы
- Lubahn JD, Bachoura A. Enchondroma of the hand: evaluation and management. J Am Acad Orthop Surg. 2016;24(9):625–633. doi: 10.5435/JAAOS-D-15-00452
 - Sasson AA, Fitz-Gibbon P, Harmsen WS, et al. Enchondromas of the hand: factors affecting recurrence, healing, motion, and malignant transformation. J Hand Surg. 2012;37(6):1229–1234. doi: 10.1016/j.jhsa.2012.03.019
 - Kadar A, Kleinstern G, Morsy M, et al. Multiple enchondromas of the hand in children: long-term follow-up of mean 15.4 years. J Pediatr Orthop. 2018;38(10):543–548. doi: 10.1097/BPO.0000000000000869
 - Davies AM, Shah A, Shah R, et al. Are the tubular bones of the hand really the commonest site for an enchondroma? Clin Radiol. 2020;75(7):533–537. doi: 10.1016/j.crad.2020.02.004 EDN: FDVRSY
 - Silve C, Jüppner H. Ollier disease. Orphanet J Rare Dis. 2006;1:37. doi: 10.1186/1750-1172-1-37 EDN: SEWCNQ
 - Gaulke R. The distribution of solitary enchondroma at the hand. J Hand Surg Eur Vol. 2002;27(5):444–445. doi: 10.1054/jhsb.2002.0826
 - Prokopchuk O, Andres S, Becker K, et al. Maffucci syndrome and neoplasms: a case report and review of the literature. BMC Res Notes. 2016;9:126. doi: 10.1186/s13104-016-1913-x EDN: PYSYAA
 - Jurik AG, Hansen BH, Weber K. Solitary enchondromas-diagnosis and surveillance. Radiologe. 2020;60(1):26–32. doi: 10.1007/s00117-020-00681-7 EDN: MQOOHT
 - Żyluk A. Outcomes of surgery for enchondromas within the hand. Ortop Traumatol Rehabil. 2021;23(5):325–334. doi: 10.5604/01.3001.0015.4344 EDN: XDGJRP
 - Kord A, Kravis B, Rsotami S, et al. Enchondroma protuberans of the hand: A case report. Radiol Case Rep. 2020;15(7):943–946. doi: 10.1016/j.radcr.2020.04.026 EDN: XJAVWF
 - Lindfors N, Kukkonen E, Stenroos A, et al. Enchondromas of the hand: curettage with autogenous bone vs. bioactive glass S53P4 for void augmentation. In Vivo. 2022;36(3):1267–1273. doi: 10.21873/invivo.12826 EDN: ZMYSEZ
 - Miwa S, Okamoto H, Yamada S, et al. Distribution of solitary and multiple enchondromas of the hand. In Vivo. 2019;33(6):2235–2240. doi: 10.21873/invivo.11728
 - Solovyov YuN. Pathology of bone tumors: a practical guide. Moscow: Practical medicine; 2019. 272 p. (In Russ.)
 - Andreas F, Mavrogenis AF, Panagopouls GN, et al. Tumors of the hand. Eur J Orthop Surg Traumatol. 2017;27(6):747–762. doi: 10.1007/s00590-017-1984-y EDN: LQGTAY
 - Çapkin S, Cavit A, Yilmaz K, et al. Surgical treatment of solitary enchondromas of the hand. Cureus. 2020;12(4):e7497. doi: 10.7759/cureus.7497
 - Gitelis S, Soorapanth C. Benign chondroid tumors. In: Orthopaedic knowledge update: musculoskeletal tumors. Rosemont, IL: American Academy of Orthopaedic Surgeons; 2002. P. 103–111.
 - Zhou X, Zhao B, Keshav P, et al. The management and surgical intervention timing of enchondromas: A 10-year experience. Medicine. 2017;96(16):e6678. doi: 10.1097/MD.0000000000006678
 - Sollaci C, Araújo GCS. Enchondromas of the hand: A 20-year experience. Rev Bras Ortop. 2019;54(6):714–720. doi: 10.1055/s-0039-1697970
 - Nazarova NZ, Umarova GS, Vaiman M, et al. The distribution of chondromas: Why the hand? Med Hypotheses. 2020;143:110132. doi: 10.1016/j.mehy.2020.110132 EDN: NDVVRE
 - Zaidi M, Méndez-Ferrer S. Cell biology: tumour stem cells in bone. Nature. 2013;499(7459):414–416. doi: 10.1038/nature12412
 - Orman O, Adiguzel İF, Sencan A, et al. Comparison of distal radius autograft technique with iliac crest autograft technique in solitary finger enchondromas. Med Bull Sisli Etfal Hosp. 2022;56(3):400–407. doi: 10.14744/SEMB.2022.00483 EDN: XFVEYI
 - Tordai P, Hoglund M, Lugnegård H. Is the treatment of enchondroma in the hand by simple curettage a rewarding method? J Hand Surg. 1990;15(3):331–334. doi: 10.1016/0266-7681_90_90013-t EDN: XUAHAW
 - Fernández JMG, López JMM, Mesquida JGM. Encondroma gigante falange distal del pulgar. A propósito de un caso y revisión de la bibliografía. Rev Esp Cir Ortop Traumatol. 2012;56(2):160–163. doi: 10.1016/j.recot.2011.10.008
 - Ramos-Pascua LR, Barcena-Tricio V, Sanchez Herraez S, et al. Nonsurgical treatment as alternative to surgical treatment in enchondromas of the distal phalanx. Analysis of a series of 11 cases. J Hand Surg. 2018;43(9):870.e1–870.e7. doi: 10.1016/j.jhsa.2018.02.004
 - Osaka E, Kojima T, Yoshida Y, et al. A bent needle tip during irrigation for enchondroma of the distal phalanx: a new curettage tool. J Int Med Res. 2020;48(3):0300060519892367. doi: 10.1177/0300060519892367
 - Nanno M, Sawaizumi T, Takai S. Two cases of flexor digitorum profundus avulsion due to enchondroma of the distal phalanx. J Nippon Med Sch. 2012;79(1):79–84. doi: 10.1272/jnms.79.79
 - Byungsung K, Jae-Hwi N, Woo Jong K, et al. Pathologic mallet fracture of distal phalanx enchondroma: A case report. Medicine. 2020;99(22):e20219. doi: 10.1097/MD.0000000000020219 EDN: KLTIOL
 - Herget GW, Strohm P, Rottenburger C, et al. Insights into Enchondroma, Enchondromatosis and the risk of secondary Chondrosarcoma. Review of the literature with an emphasis on the clinical behaviour, radiology, malignant transformation and the follow up. Neoplasma. 2014;61(4):365–378. doi: 10.4149/neo_2014_046
 - Mulligan ME. How to diagnose enchondroma, bone infarct, and chondrosarcoma. Curr Probl Diagn Radiol. 2019;48(3):262–273. doi: 10.1067/j.cpradiol.2018.04.002
 - Büyükceran İ, Aydın Şimşek Ş, Bayar E, et al. Evaluation of bone and soft tissue tumors of the shoulder girdle. Cureus. 2023;15(9):e46162. doi: 10.7759/cureus.46162 EDN: FXFNGK
 - Dergavin VA, Halimov AI, Karpenco VY. Current aspects of the diagnosis and treatment of enchondroma and low-grade intraosseous chondrosarcoma of the long bones. P.A. Herzen Journal of Oncology. 2019;8(5):385–393. doi: 10.17116/onkolog20198051385 EDN: ONPUHN
 - Janzen L, Logan PM, O’Connell JX, et al. Intramedullary chondroid tumors of bone: correlation of abnormal peritumoral marrow and soft-tissue MRI signal with tumor type. Skeletal Radiol. 1997;26(2):100–106. doi: 10.1007/s002560050201 EDN: SXGZET
 - Fayad LM, Ahlawat S, Khan MS, et al. Chondrosarcomas of the hands and feet: a case series and systematic review of the literature. Eur J Radiol. 2015;84(10):2004–2012. doi: 10.1016/j.ejrad.2015.06.026
 - Douis H, Parry M, Vaiyapuri S, et al. What are the differentiating clinical and MRI features of enchondromas from low-grade chondrosarcomas? Eur Radiol. 2018;28(1):398–409. doi: 10.1007/s00330-017-4947-0 EDN: FZXNPR
 - De Coninck T, Jans L, Sys G, et al. Dynamic contrast-enhanced MR imaging for differentiation between enchondroma and chondrosarcoma. Eur Radiol. 2013;23(11):3140–3152. doi: 10.1007/s00330-013-2913-z EDN: FAYLYH
 - Geirnaerdt MJ, Hogendoorn PC, Bloem JL, et al. Cartilaginous tumors: fast contrast-enhanced MR imaging. Radiology. 2000;214(2):539–546. doi: 10.1148/radiology.214.2.r00fe12539
 - Bulychev IV, Fedorova AV, Klein MJ, Solovyov YuN. Atlas of orthopedic pathology. Vol. I. Moscow: ABC-press; 2021. 192 p. ISBN: 978-5-6044613-6-5 (In Russ.)
 - Ferrer-Santacreu EM, Ortiz-Cruz EJ, Díaz-Almirón M, et al. Enchondroma versus chondrosarcoma in long bones of appendicular skeleton: clinical and radiological criteria a followup. J Oncol. 2016;2016:8262079. doi: 10.1155/2016/8262079
 - Chen X, Yu LJ, Peng HM, et al. Is intralesional resection suitable for central grade 1 chondrosarcoma: A systematic review and updated meta-analysis. Eur J Surg Oncol. 2017;43(9):1718–1726. doi: 10.1016/j.ejso.2017.05.022
 - Bachoura A, Rice IS, Lubahn AR, et al. The surgical management of hand enchondroma without postcurettage void augmentation: authors’ experience and systematic review. Hand (N Y). 2015;10(3):461–471. doi: 10.1007/s11552-015-9738-y
 - Teodoreanu RN, Grosu-Bularda A, Liţă FF, et al. Benign cartilaginous tumors of the hand, a five-year retrospective study. Rom J Morphol Embryol. 2022;63(4):625–632. doi: 10.47162/RJME.63.4.04 EDN: QXORUQ
 - Chika I, Logie CI, Walker EA, et al. Chondrosarcoma: a diagnostic imager’s guide to decision making and patient management. Semin Musculoskelet Radiol. 2013;17(2):101–115. doi: 10.1055/s-0033-1342967
 - Sullivan CW, Kazley JM, Murtaza H, et al. Team approach: evaluation and management of low-grade cartilaginous lesions. JBJS Rev. 2020;8(1):e0054. doi: 10.2106/JBJS.RVW.19.00054 EDN: SAMQFZ
 - Jeong W, Kim HJ. Biomarkers of chondrosarcoma. J Clin Pathol. 2018;71(7):579–583. doi: 10.1136/jclinpath-2018-205071
 - Pansuriya TC, van Eijk R, d’Adamo P, et al. Somatic mosaic IDH1 or IDH2 mutations are associated with enchondroma and spindle cell hemangioma in Ollier disease and Maffucci syndrome. Nat Genet. 2012;43(12):1256–1261. doi: 10.1038/ng.1004
 - Redgrave N, Nikkhah D, Kang N, et al. Surgical management of enchondromas of the hand: a 12-year experience. J Hand Microsurg. 2021;15(3):188–195. doi: 10.1055/s-0041-1736004 EDN: CDWSOB
 - Schaller P, Baer W. Operative treatment of enchondromas of the hand: is cancellous bone grafting necessary? Scand J Plast Reconstr Surg Hand Surg. 2009;43(5):279–285. doi: 10.3109/02844310902891570
 - Ogur HU, Arik A, Kapi E, et al. An analysis of cases presenting with a mass in the hand and an evaluation of treatment methods. Acta Orthop Belg. 2022;88(1):190–197. doi: 10.52628/88.1.24 EDN: YQLOHY
 - Nazarova NZ, Umarova GS, Vaiman M, et al. The surgical management of the cavity and bone defects in enchondroma cases: A prospective randomized trial. Surg Oncol. 2021;37:101565. doi: 10.1016/j.suronc.2021.101565 EDN: HRHIWS
 - Altay M, Bayrakci K, Yildiz Y, et al. Secondary chondrosarcoma in cartilage bone tumors: report of 32 patients. J Orthop Sci. 2007;12(5):415–423. doi: 10.1007/s00776-007-1152-z
 - Subhawong TK, Winn A, Shemesh SS, et al. F-18 FDG PET differentiation of benign from malignant chondroid neoplasms: a systematic review of the literature. Skeletal Radiol. 2017;46(9):1233–1239. doi: 10.1007/s00256-017-2685-7 EDN: CSQOIV
 - Datta NK, Das KP, Aish PK. Management of the hand tumors. Mymensingh Med J. 2023;32(1):135–143.
 - Bauer R.D., Lewis M.M., Posner M.A. Treatment of enchondromas of the hand with allograft bone. The Journal of hand surgery. 1988:13(6): 908–916. doi: 10.1016/0363-5023(88)90269-9.
 - Yercan H, Ozalp T, Coşkunol E, et al. Long-term results of autograft and allograft applications in hand enchondromas. Acta Orthop Traumatol Turc. 2004;38(5):337–342.
 - Tang C, Chan M, Fok M, et al. Current management of hand enchondroma: a review. Hand Surg. 2015;20(1):191–195. doi: 10.1142/S0218810415300028
 - Park HY, Joo MW, Choi YH, et al. Simple curettage and allogeneic cancellous bone chip impaction grafting in solitary enchondroma of the short tubular bones of the hand. Sci Rep. 2023;13(1):2081. doi: 10.1038/s41598-023-29130-w EDN: PHODND
 - Sridhar H, Vijaya M, Clement W, et al. Chondrosarcoma arising in an enchondroma of the metacarpal bone-a case report. J Clin Diagn Res. 2014;8(3):142–143. doi: 10.7860/JCDR/2014/8142.4139
 - Li Q, Kim J, Kim SY, et al. Early surgical treatment of both tumor and fracture in patients with enchondroma of the hand combined with pathologic fracture. Ann Plast Surg. 2021;87(3):260–264. doi: 10.1097/SAP.0000000000002776 EDN: SVNHZW
 - Jacobson ME, Ruff ME. Solitary enchondroma of the phalanx. J Hand Surg. 2011;36(11):1845–1847. doi: 10.1016/j.jhsa.2011.05.002
 - Tache A, Mommaerts MY. Pain management at iliac donor sites after grafting of alveolar clefts. Int J Oral Maxillofac Surg. 2021;50(1):62–69. doi: 10.1016/j.ijom.2021.05.004 EDN: SWVCNP
 - Bierry G, Kerr DA, Nielsen GP, et al. Enchondromas in children: imaging appearance with pathological correlation. Skeletal Radiol. 2012;41(10):1223–1229. doi: 10.1007/s00256-012-1377-6 EDN: QIFSBH
 - Yasuda M, Masada K, Takeuchi E. Treatment of enchondroma of the hand with injectable calcium phosphate bone cement. J Hand Surg. 2006;31(1):98–102. doi: 10.1016/j.jhsa.2005.08.017
 - Alexander L. An unusual case of finger fracture. Cureus. 2021;13(11):e19577. doi: 10.7759/cureus.19577
 - Figl M, Leixnering M. Retrospective review of outcome after surgical treatment of enchondromas in the hand. Arch Orthop Trauma Surg. 2009;129(6):729–734. doi: 10.1007/s00402-008-0715-6 EDN: ZTQLLY
 - Lin SY, Huang PJ, Huang HT, et al. An alternative technique for the management of phalangeal enchondromas with pathologic fractures. J Hand Surg. 2013;38(1):104–109. doi: 10.1016/j.jhsa.2012.08.045
 - Joosten U, Joist A, Frebel T, et al. The use of an in situ curing hydroxyapatite cement as an alternative to bone graft following removal of enchondroma of the hand. J Hand Surg Eur Vol. 2000;25(3):288–291. doi: 10.1054/jhsb.2000.0383
 - Lu H, Chen Q, Yang H, et al. Enchondroma in the distal phalanx of the finger: an observational study of 34 cases in a single institution. Medicine. 2016;95(38):e4966. doi: 10.1097/MD.0000000000004966
 - O’Connor MI, Bancroft LW. Benign and malignant cartilage tumors of the hand. Hand Clin. 2004;20(3):317–323. doi: 10.1016/j.hcl.2004.03.019
 
Дополнительные файлы
				
			
						
					
						
									






