X-ray evaluation of surgical treatment of the feet by using subtalar implants in patients with cerebral palsy
- Authors: Aleksandrov S.A.1, Syundyukov A.R.1, Yakovleva S.K.1
-
Affiliations:
- Federal Center of Traumatology, Orthopedics and Endoprosthesis Replacement
- Issue: Vol 6, No 4 (2018)
- Pages: 20-26
- Section: Original papers
- Submitted: 08.08.2017
- Accepted: 16.07.2018
- Published: 29.12.2018
- URL: https://journals.eco-vector.com/turner/article/view/6895
- DOI: https://doi.org/10.17816/PTORS6420-26
- ID: 6895
Cite item
Abstract
Introduction. Equino-plano-valgus deformity of the feet (EPvDS) in patients with cerebral palsy is one of the most common and functionally significant pathologies of the lower extremities, which leads to changes in the shape of the feet, decreased support, and disturbance of gait biomechanics. An important task is to determine the effective methods of treating this pathology (and their combinations) to correct or reduce the severity of these disorders. The evaluation of the radiological changes occurring with the foot is also important.
Aim. The paper assesses the changes in the main X-ray significant indicators of the foot by using rammed implants in the treatment of mobile EPvDS in children with cerebral palsy.
Materials of the study. The assesses of radiological results of treatment of 64 patients from 6 to 17 years with mobile EPvDS and cerebral palsy have been analyzed using subtalar implants.
The results of study showed that 94% of cases showed good and satisfactory indicators, whereas 6% of patients showed unsatisfactory results.
Conclusion. High efficiency was shown by using subtalar implants combined with tenodesis and transposition of the anterior tibial muscle tendon in the treatment of mobile EPvDS in children with cerebral palsy of early and middle childhood.
Full Text
Introduction
According to most published studies, the global prevalence of infantile cerebral palsy (cerebral palsy) ranges from 2.5–5.6 to 8.9 per 1000 children. In Russia, the prevalence of known cases of cerebral palsy is 2.2–3.3 cases per 1000 children [1, 2]. Cerebral palsy is characterized by multiple contractures and deformities of limb segments with various degrees of severity. These lead to limitation of motor capabilities, up to the complete impossibility of vertical orientation and movement [3]. Motor disorders in cerebral palsy are disabling and have high economic impact [1, 2, 4].
Talipes equinoplanovalgus (TEPV) is detected in 25% of patients with cerebral palsy [5, 6]. Several studies have reported that it is detected in 42% of cases with spastic diplegia, the most common form of the disease [5, 7].
The primary cause of TEPV in patients with cerebral palsy is the equinus foot position or secondary fixed retraction of the triceps muscle of the calf. Much less often, it is caused by the peroneal set of muscles [5, 8, 9], which subsequently results in degenerative damage to the posterior tibial muscle tendon due to loss of elasticity in its fibers.
With a vertical load on the forefoot, the capsule of the midtarsal joint begins to stretch, making it unstable. Due to the constant retraction of the Achilles tendon and displacement of the heel bone upward and outward, instability in the subtalar joint increases. All of this moves the heel bone to the valgus position, forms a subluxation or dislocation inward in the talo-navicular joint, forms an outer subluxation in the calcaneocubital joint, and pronates the anterior part of the foot [5, 10–13]. The static load falls on the medial edge of the foot, and the abduction and rotation of the forefoot often lead to valgus deviation of the great toe.
In specialized medical journals, there are insufficient data on the outcomes of various surgical methods of foot reconstruction in cerebral palsy. Considering this background, this topic is of interest in all health care settings and is relevant to all health care providers.
This study aimed to assess changes in radiological parameters in the treatment of patients with mobile TEPV. Two techniques with subtalar implants were used (isolated arthroereisis and arthroereisis in combination with transposition and tenodesis of the anterior tibial muscle tendon).
Materials and methods
This study included the results of surgical treatment of 64 patients (128 feet) with mobile TEPV with cerebral palsy (spastic diplegia, double hemiplegia) treated in the pediatric department of the Federal Center for Traumatology, Orthopedics and Endoprosthetics (Cheboksary) from 2013 to 2016.
Depending on the type of surgical procedure (isolated or combined), the patients were divided into two groups. For patients in group 1 (n = 33), arthroereisis with a subtalar implant was performed. With this surgical intervention, excessive pronation was limited without significant obstacles for supination, which was observed in arthrodesis. For patients in group 2 (n = 31), after treatment of equinus deformity, transposition and tenodesis of the anterior tibial muscle tendon under the tuberosity of navicular bone were performed according to the technique developed at the Samara State Medical University [13]. The procedure was supplemented with grafting of the capsule of the talo–navicular joint with creation of duplication. Surgical intervention ended with an implant being placed in the subtalar sinus.
The age of patients at the time of surgery ranged from 6 to 17 years, with 26 patients aged 6–9 years, 36 patients aged 10–13 years, and two patients aged 14–17 years (Table 1). There was no significant difference in age ratio for patients in both study groups.
Table 1. Distribution by age of patients in groups 1 and 2
Type of surgical intervention | Age of patients (years) | ||
6–9 | 10–13 | 14–17 | |
Group 1 — isolated arthroereisis (number of patients) | 16 | 15 | 2 |
Group 2 — arthroereisis with transposition and tenodesis of the anterior tibial muscle tendon (number of patients) | 10 | 21 | – |
Foot deformities were mobile in nature (mobility in the subtalar joint). In terms of severity and features of deformities of the feet, the groups were very similar.
Surgical treatment was performed in both feet.
In all surgery, recession of m. gastrocnemius or lengthening of the Achilles tendon was performed, which was determined by the Silfverskiold test.
Arthroereisis of the subtalar joint was performed using a polyethylene-coated titanium implant (Kalix II Flat Foot Implant, Newdeal; 118 pcs.) and a titanium cannulated subtalar screw (Bioarch Subtalar System Implant, Wright;10 pcs.) (Fig. 1).
Fig. 1. Subtalar implants: а — Kalix II Newdeal; b — Bioarch Wright
Subtalar implants with a self-locking edge were made from various materials and inserted into the sinus tarsi from the lateral side. These products prevented contact of the lateral process of the ankle bone with the base of sinus tarsi, limited plantar flexion and adduction, and prevented eversion and pronation in the subtalar joint.
The implants were available in a wide range of sizes for more accurate correction of pronation deformity of the hindfoot.
A battery of examinations, including clinical and radiological studies, were conducted for all patients admitted for surgical treatment. Radiological studies were performed in the dorso-plantar and lateral views under load, which enabled objective assessment of the degree of foot deformity.
In the postoperative period, plaster immobilization was applied for 4 weeks. After 2 weeks, patients were allowed vertical load on the operated limbs in a cast. After cessation of immobilization, all patients underwent a course of recovery rehabilitation treatment, including physiotherapy (paraffin “boots”, pine-salt baths) aimed at relieving post-mobilization pain syndrome and improving microcirculation in the lower extremities; massage of the muscles of the lower extremities; and orthopedic shoes with arch support.
At the end of the recovery period, a subjective comparative assessment of gait before and after the surgery (appearance, stability) by the patient’s parents was considered.
Statistical analysis of the data was performed using Microsoft Excel 2007 software. Data variability was subject to the laws of normal distribution, and results were presented as mean (M) and mean error of the mean value (m). To assess the significance of differences in mean values in groups, Student’s t-test was used, and p < 0.05 was considered statistically significant.
Results and discussion
To determine the severity of deformity, a table was developed on the basis of clinical and radiological data (I.I. Mirzoeva, M.P. Konyukhov, Yu.A. Kurochkin, 1978).
The surgical results being reviewed were estimated to be within 1 year to 3 years and 10 months postoperative. The efficacy of treatment was assessed by radiographs made in two views under load.
The results were very good when radiological signs of the disease were eliminated (talocalcaneal angle in frontal view was less than 30°, in lateral view was less than 40°, longitudinal angle was less than 140°, and heel valgus was less than 10°).
The results were considered satisfactory when radiological indicators were improving (talocalcaneal angle in frontal view was from 30° to 40°, in a lateral view was from 40° to 50°, longitudinal angle was from 140° to 150°, and heel valgus was from 10° to 15°).
Unsatisfactory outcomes of treatment included persistent pain, discomfort while walking, implant migration, a significant loss of correction, impaired support, talocalcaneal angle in frontal view of more than 40°, talocalcaneal angle in lateral view of more than 50°, longitudinal angle of more than 150°, and pronounced valgus of the posterior part (more than 15°) (Tables 2, 3).
Table 2. Average value of radiological indicators in group 1 before and after surgery (М ± m), angles in degrees
Indices | Normal | Before surgery | After surgery | Dynamics, % |
Talar-peroneal angle | 90–105 | 140.21 ± 1.34 | 128.56 ± 1.28 | –8.3 |
Talocalcaneal angle (lateral view) | 30 | 45.06 ± 0.65 | 37.65 ± 0.42 | –16.4 |
Talocalcaneal angle (frontal view) | 20 | 45.88 ± 0.75 | 33.29 ± 0.58 | –27.4 |
Calcaneal-plantar angle | 30 | 7.82 ± 0.34 | 12.97 ± 0.39 | 65.9 |
Angle of deviation of the great toe | 10 | 26.53 ± 0.66 | 23.06 ± 0.47 | –13.1 |
Height of longitudinal arch (mm) | 35 | 10.74 ± 0.70 | 18.74 ± 0.76 | 74.5 |
Angle of the longitudinal arch | 120–135 | 147.79 ± 1.22 | 133.88 ± 0.97 | –9.4 |
Table 3. Average value of radiological indicators in group 2 before and after surgery (M ± m), angles in degrees
Indices | Normal | Before surgery | After surgery | Dynamics, % |
Talar-peroneal angle | 90–105 | 148.30 ± 0.94 | 111.40 ± 1.07 | –24.9 |
Talocalcaneal angle (lateral view) | 30 | 49.27 ± 0.95 | 42.73 ± 0.48 | –13.3 |
Talocalcaneal angle (frontal view) | 20 | 43.53 ± 1.65 | 23.47 ± 0.47 | –46.1 |
Calcaneal-plantar angle | 30 | 7.47 ± 0.34 | 11.20 ± 0.38 | 49.9 |
Angle of deviation of the great toe | 10 | 31.13 ± 0.94 | 24.20 ± 1.01 | –22.3 |
Height of longitudinal arch (mm) | 35 | 4.40 ± 0.50 | 19.63 ± 0.39 | 346.1 |
Angle of the longitudinal arch | 120–135 | 162.37 ± 1.80 | 137.17 ± 1.38 | –15.5 |
The main radiometric parameters of patients in group 1 (isolated arthroereisis) before and after surgery were significantly improved (p < 0.005). The most pronounced dynamic was observed in the height of the longitudinal arch and calcaneal-plantar angle (an increase by 1.7 times on average) and the size of the talocalcaneal angle in the frontal view (a decrease by an average of 27.4%). The remaining indices changed to a lesser extent.
The main radiometric parameters of patients in group 2 (arthroereisis with transposition and tenodesis of the anterior tibial muscle tendon) before and after surgery were significantly improved (p < 0.005). The most pronounced dynamic was observed in the height of the longitudinal arch (an increase of 4.5 times on average), the calcaneal-plantar angle (an increase of 1.5 times on average), the size of the talocalcaneal angle in the frontal view (a decrease by an average of 46.1%), the talar–peroneal angle (a decrease of an average of 24.9%), as well as the angle of deviation of the great toe (a decrease by an average of 22.3%).
Changes in radiological indicators of an increase in the height of the longitudinal arch and calcaneal-plantar angle and a decrease in the size of the talocalcaneal angle in the frontal view can be considered significant for correction of mobile planovalgus deformity in patients with cerebral palsy. These finding agreed with the data of several authors who analyzed the results of treatment when conducting arthroereisis with subtalar implants in patients with neuromuscular diseases [5, 14].
Radiographic indicators of deformity correction showed a higher numerical value in group 2 compared to group 1, except for the calcaneal-plantar angle and the angle of deviation of the great toe.
Results of treatment in group 1 (33 patients) were assessed as very good in 13 cases (39.4%), satisfactory in 16 cases (48.5%), and unsatisfactory in four cases (12.1%). In one case, persistent pain syndrome was noted at 16 months after surgical treatment. Conservative treatment had no effect, resulting in the removal of implants on both sides without losing correction, after which the pain syndrome was resolved.
In three cases, after performing isolated arthroereisis, Kalix implant migration with a partial loss of valgus deformity correction was seen.
The results of treatment in group 2 (31 patients) were rated as very good in 23 patients (74.2%), satisfactory in seven cases (22.6%), and unsatisfactory in one case (3.2%, the case of Kalix implant migration). No cases of migration of Bioarch subtalar implants were noted.
When performing the subtalar arthroereisis supplemented by transposition and tenodesis of the anterior tibial muscle tendon, the radiological indicators of correction of the middle section and height of the longitudinal arch of the foot were higher.
Clinical example
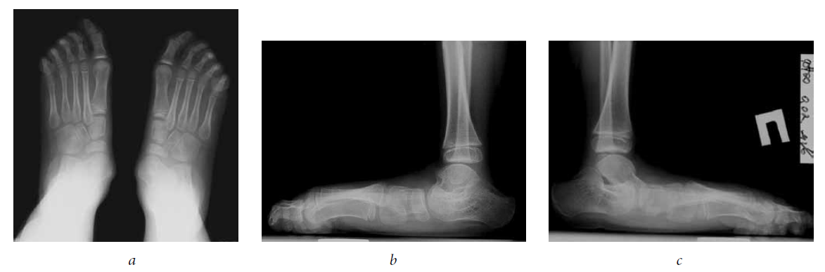
Patient Ch., 8 years old. Diagnosis: cerebral palsy with spastic diplegia and severe talipes equinoplanovalgus. The patient was admitted to the clinic with complaints of gait abnormality, deformity of the feet, and difficulty in wearing shoes (Fig. 2).
Fig. 2. Radiographs of the feet under load before the surgery: a — frontal view; b, c — lateral views
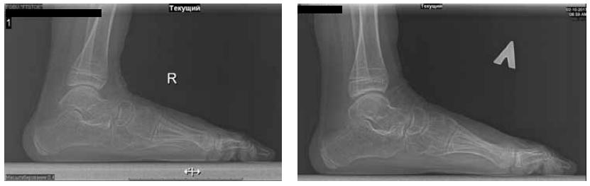
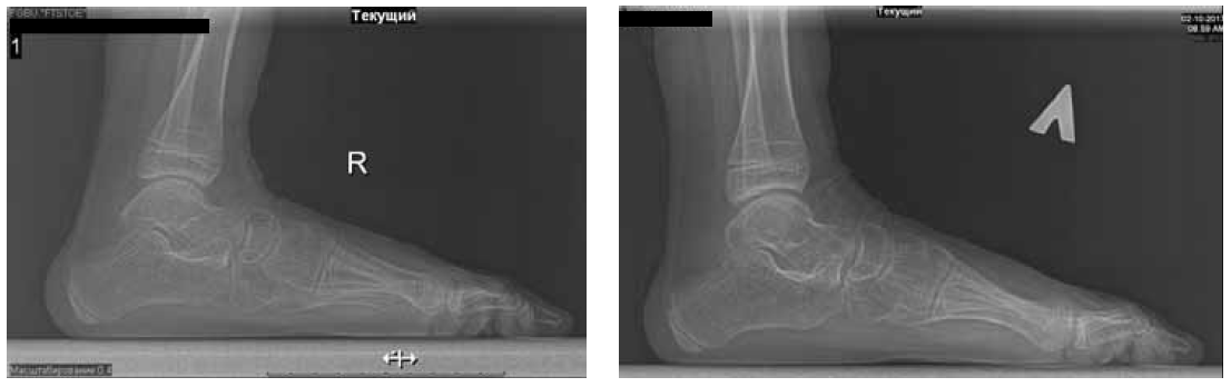
The surgery to eliminate TEPV was performed (Strayer surgery, subtalar arthroereisis, transposition with tenodesis of the anterior tibial muscle tendon under the navicular bone, grafting of the capsule of the talo-navicular joint). A cylinder plaster cast was applied from the upper third of the thigh to the tips of the toes. After 2 weeks, vertical orientation with a partial load in a plaster cast was allowed, 4 weeks after the plaster cast was removed, and a rehabilitation course was started. After 2 years and 6 months, the subtalar implants were removed (Fig. 3, 4).
Fig. 3. Radiographs of the feet under load 2 years and 6 months after surgery (lateral views)
Fig. 4. Radiographs of the feet under load 1 year after the removal of implants (lateral views)
Conclusion
In the treatment of mobile TEPV in children with cerebral palsy, the use of subtalar implants in combination with the transposition and tenodesis of the anterior tibial muscle tendon provides better results of deformity correction compared with isolated arthroereisis and prevents further progression of deformity. We did not find a clear correlation between the dynamics of radiological indicators and gait changes during the subjective comparative assessment by the patient’s parents (appearance, stability) before and after surgery.
Additional information
Source of funding. Funding of the scientific work and the article publication process was performed by the Federal Center for Traumatology, Orthopedics and Endoprosthetics (Cheboksary).
Conflict of interest. The authors declare no evident and potential interests related to the publication of this article.
Ethical review. All patients or their legal representatives provided informed consent to processing and publication of personal data.
Contribution of authors
S.A. Alexandrov performed the analysis of the data obtained and wrote the text.
A.R. Syundyukov was engaged in collection and processing of materials.
S.K. Yakovleva created the concept and design of the study and conducted a review of the literature.
About the authors
Sergey A. Aleksandrov
Federal Center of Traumatology, Orthopedics and Endoprosthesis Replacement
Author for correspondence.
Email: saleksandrov@orthoscheb.com
MD, Orthopedic Trauma Physician
Russian Federation, 33, F.Gladkova street, Cheboksary, Chuvash Republic, 428020Ayrat R. Syundyukov
Federal Center of Traumatology, Orthopedics and Endoprosthesis Replacement
Email: asiundiukov@orthoscheb.com
MD, PhD, head of children’s traumatological and orthopedic
Russian Federation, 33, F.Gladkova street, Cheboksary, Chuvash Republic, 428020Svetlana K. Yakovleva
Federal Center of Traumatology, Orthopedics and Endoprosthesis Replacement
Email: syakovleva@orthoscheb.com
MD, Pediatrician
Russian Federation, 33, F.Gladkova street, Cheboksary, Chuvash Republic, 428020References
- Долгих В.В., Власенко А.В., Ледяева Н.П., и др. Опыт применения высоких технологий в реабилитации детей со спастическими формами детского церебрального паралича // Вестник Росздравнадзора. – 2014. – № 3. – С. 24–27. [Dolgikh VV, Vlasenko AV, Ledyaeva NP, et al. Opyt primeneniya vysokikh tekhnologiy v reabilitatsii detey so spasticheskimi formami detskogo tserebral’nogo paralicha. Vestnik roszdravnadzora. 2014;(3):24-27. (In Russ.)]
- Куренков А.Л., Клочкова О.А., Бурсагова Б.И., и др. Применение препарата ботулинистического токсина типа А (Ботокс) в лечении детского церебрального паралича // Нервно-мышечные болезни. – 2014. – № 3. – С. 28–41. [Kurenkov AL, Klochkova OA, Bursagova BI, et al. Use of botulinum toxin type A (Botox) in the treatment of infantile cerebral palsy. Neuromuscular diseases. 2014;(3):28-41. (In Russ.)]
- Союз педиатров России. Федеральные клинические рекомендации по оказанию медицинской помощи детям с детским церебральным параличом. – М., 2013. [Soyuz pediatrov Rossii. Federal’nye klinicheskie rekomendatsii po okazaniyu meditsinskoy pomoshchi detyam s detskim tserebral’nym paralichom. Moscow; 2013. (In Russ.)]
- Бадалян Л.О. Детская неврология. – М., 1984. [Badalyan LO. Detskaya nevrologiya. Moscow; 1984. (In Russ.)
- Умнов Д.В. Способы оперативной коррекции мобильной эквино-плано-вальгусной деформации стоп у детей с детским церебральным параличом (обзор литературы) // Травматология и ортопедия России. – 2009. – №3. – С. 93–100. [Umnov DV. The methods of the surgical correction of the mobile equino-plano-valgus deformation feet in the children with cerebral palsy: the crux of the matter according to the literature data. Travmatologiia i ortopediia Rossii. 2009;(3):93-100. (In Russ.)]
- Bennet GC, Rang M, Jones D. Varus and valgus deformities of the foot in cerebral palsy. Dev Med Child Neurol. 1982;24(4):499-503. doi: 10.1111/j.1469-8749.1982.tb13656.x.
- O’Connell PA, D’Souza L, Dudeney S, Stephens M. Foot deformities in children with cerebral palsy. J Pediatr Orthop. 1998;18(6):743-747.
- Yoo WJ, Chung CY, Choi IH, et al. Calcaneal lengthening for the planovalgus foot deformity in children with cerebral palsy. J Pediatr Orthop. 2005;25(6):781-785. doi: 10.1097/01.bpo.0000184650.26852.37.
- Bourelle S, Cottalorda J, Gautheron V, Chavrier Y. Extra-articular subtalar arthrodesis. A long-term follow-up in patients with cerebral palsy. J Bone Joint Surg Br. 2004;86(5):737-742. doi: 10.1302/0301-620X.86B5. 14170.
- Evans D. Calcaneo-valgus deformity. J Bone Joint Surg Br. 1975;57(3):270-278. doi: 10.1302/0301-620X. 57B3.270.
- Kwak YH, Park KB, Park HW, Kim HW. Use of allograft in skeletally immature patients for calcaneal neck lengthening osteotomy. Yonsei Med J. 2008;49(1):79-83. doi: 10.3349/ymj.2008.49.1.79.
- Mosca VS. Calcaneal lengthening for valgus deformity of the hindfoot. Results in children who had severe, symptomatic flatfoot and skewfoot. J Bone Joint Surg Am. 1995;77(4):500-512.
- Zorer G, Bagatur AE, Dogan A, Unlu T. Dennyson-Fulford subtalar extra-articular arthrodesis in the treatment of paralytic pes planovalgus and its value in the alignment of the foot. Acta Orthop Traumatol Turc. 2003;37(2):162-169.
- Vedantam R, Capelli AM, Schoenecker PL. Subtalar arthroereisis for the correction of planovalgus foot in children with neuromuscular disorders. J Pediatr Orthop. 1998;18(3):294-298.
Supplementary files








