Особенности опорной функции нижних конечностей у детей с последствиями одностороннего поражения проксимального отдела бедра острым гематогенным остеомиелитом
- Авторы: Никитюк И.Е.1, Гаркавенко Ю.Е.1,2, Кононова Е.Л.1
-
Учреждения:
- ФГБУ «НИДОИ им. Г.И. Турнера» Минздрава России
- ФГБОУ ВО «СЗГМУ им. И.И. Мечникова» Минздрава России
- Выпуск: Том 6, № 1 (2018)
- Страницы: 14-22
- Раздел: Оригинальные статьи
- Статья получена: 26.03.2018
- Статья одобрена: 26.03.2018
- Статья опубликована: 26.03.2018
- URL: https://journals.eco-vector.com/turner/article/view/8387
- DOI: https://doi.org/10.17816/PTORS6114-22
- ID: 8387
Цитировать
Аннотация
Актуальность. Острый гематогенный остеомиелит при поражении проксимального отдела бедра вызывает гипофункцию или деструкцию метаэпифизарной зоны роста бедренной кости, что, как правило, приводит к формированию ортопедических последствий, в том числе укорочению нижней конечности.
Цель исследования. Изучить плантографические характеристики стоп у детей с поражением проксимального отдела бедра и провести анализ закономерностей распределения подошвенного давления при асимметрии нагрузки на нижние конечности.
Материал и методы. Проведено обследование 15 детей в возрасте от 6 до 16 лет с последствиями острого гематогенного остеомиелита проксимального отдела бедра и укорочением пораженной нижней конечности на величину от 1,0 до 6,0 см. Для сравнения обследованы 15 здоровых детей того же возраста. Использованы методы стабилометрии и плантографии, статистическое исследование включало корреляционно-регрессионный анализ.
Результаты. У больных детей, по сравнению со здоровыми, в тестах с двуопорной нагрузкой на стопы было выявлено значимое снижение величины переднего индекса опоры t как на пораженной, так и на непораженной стороне. Параметры других индексов опоры, а именно m, s и l, контралатеральных стоп пациентов находились в границах нормальных значений, что указывает на функциональную состоятельность соответствующих сводов стоп, обеспечивающих статическую и динамическую опороспособность конечностей. Однако корреляционно-регрессионный анализ показал, что по сравнению с нормой опороспособность стоп у больных детей реализуется за счет усиления функциональной взаимосвязи между внутренним и срединным продольными сводами стопы интактной стороны и инверсии взаимодействия продольных сводов с поперечным на стороне поражения.
Заключение. У детей с последствиями острого гематогенного остеомиелита проксимального отдела бедра параметры плантографических характеристик свидетельствуют об изменении активности и согласованности работы мышц, формирующих все своды стоп как пораженной, так и интактной нижней конечности.
Полный текст
Актуальность
Острый гематогенный остеомиелит при поражении проксимального отдела бедра вызывает гипофункцию или деструкцию метаэпифизарной зоны роста бедренной кости, что, как правило, приводит к формированию ортопедических последствий, в том числе укорочению нижней конечности [1]. При разной длине нижних конечностей нагрузка на них несимметрична [2], так как вес тела неодинаково распределяется между контралатеральными конечностями [3]. В таком состоянии увеличиваются энергетические затраты и необходимо максимальное усиление произвольного контроля, вследствие чего нарушается нормальная локомоция [4]. Известно, что в функциональном плане пораженная конечность имеет сниженные адаптивные возможности по сравнению со здоровой [5]. Организм стремится обеспечить больной стороне оптимальный уровень функционирования, компенсаторно включая дополнительные резервы. Это осуществляется за счет непораженной нижней конечности, которая, таким образом, попадает в условия, заведомо отличные от оптимальных [6]. Пределы адаптивных резервов непораженной нижней конечности практически не изучены, но существуют данные о неблагоприятном эффекте длительного воздействия повышенной нагрузки на ее суставы, проявляющемся деградацией гиалинового хряща [7]. Вот почему количественная оценка асимметрии нагрузки на нижние конечности чрезвычайно важна в процессе ортопедической реабилитации [8]. Существенным элементом для оценки отклонений в состоянии опорно-двигательного аппарата является морфофункциональная диагностика состояния стоп [9], которая дает представление о нагрузочных подошвенных характеристиках у пациентов с патологией нижних конечностей [10].
Цель исследования — изучение плантографических характеристик стоп у детей с поражением проксимального отдела бедра и анализ закономерностей распределения подошвенного давления при асимметрии нагрузки на нижние конечности.
Материал и методы
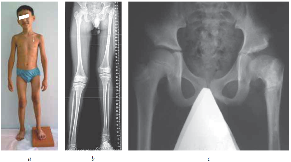
Проведено обследование 15 детей в возрасте от 6 до 16 лет (средний возраст — 11,5 ± 0,72) с последствиями острого гематогенного остеомиелита (ПОГО) проксимального отдела бедра и укорочением пораженной нижней конечности на величину от 1,0 до 6,0 см (рис. 1). Средняя величина укорочения пораженной нижней конечности составила 3,8 ± 0,53 см. При этом имела место гипоплазия стопы на стороне поражения, и ее укорочение по сравнению с контралатеральной стопой составило в среднем 2,7 ± 0,58 % (рис. 2, а).
Рис. 1. Пациент Д., 10 лет, с последствиями острого гематогенного остеомиелита проксимального отдела левого бедра: а — фото больного (укорочение левой нижней конечности 3 см); б — панорамная рентгенограмма нижних конечностей; в — рентгенограмма тазобедренных суставов
Рис. 2. Плантограммы стоп больного Д., 10 лет, с последствиями острого гематогенного остеомиелита проксимального отдела левого бедра: а — при двуопорной нагрузке; б — при одноопорной нагрузке левой стопы; в — при одноопорной нагрузке правой стопы
Стабилометрическое исследование проводилось всем пациентам с применением программно-аппаратного комплекса «МБН-Биомеханика» МБН «Биомеханика» (ООО НМФ «МБН», Россия). Исследования проводили по стандартной методике с открытыми и закрытыми глазами с регистрацией параметров смещения проекции центра масс (ПЦМ) тела.
Изучение опорной функции стоп осуществляли на программно-аппаратном комплексе «Подоскан» (ООО НМФ «МБН», Россия) по усовершенствованной методике для определения плантографических характеристик и оценки морфофункциональных параметров стоп [11]. В целях контроля были определены значения плантографических характеристик в норме, для чего было обследованы 15 здоровых детей того же возраста. С целью оценки функционирования стоп в динамике использовали биомеханические тесты с различной весовой нагрузкой на стопу: нагрузка половиной веса тела на каждую стопу (плантография двуопорная) и весом всего тела на каждую стопу (плантография одноопорная).
На полученных при данных тестах плантограммах (рис. 2) были расставлены идентификационные точки, по которым отображали линию поперечного свода стопы ВС и силовые лучи ОG, ОP и ОH, по которым при ходьбе направляется силовая нагрузка соответственно на I, II и V пальцы стопы (линии Дюкенджиева).
Были рассчитаны следующие плантографические индексы:
t = KE/BC — передний индекс опоры — отражает состояние поперечного свода стопы;
m = GS/GO — медиальный индекс опоры — отражает состояние внутреннего продольного свода стопы;
s = PW/PO — срединный индекс опоры — отражает состояние срединных продольных сводов стопы;
l = MN/HO — латеральный индекс опоры — отражает состояние наружного продольного свода стопы.
Родители всех пациентов добровольно подписали информированное согласие на участие в исследовании.
Описательный статистический анализ данных проводили с помощью пакетов программ Microsoft Excel. Для исследования взаимосвязи двух признаков применяли корреляционный анализ с использованием непараметрического коэффициента Спирмена rs. Корреляция считалась сильной при rs ≥ 0,7; средней — при 0,3 < rs < 0,7; слабой — при rs < 0,3 [12]. Для поиска функции, описывающей связь между признаками, применяли регрессионный анализ с использованием программы Statgraphics Centurion 16.2.
Результаты и обсуждение
Анализ стабилометрических данных показал, что у больных с ПОГО наиболее выраженные и закономерные нарушения устойчивости при одностороннем поражении отмечаются во фронтальной плоскости. Статистически достоверно была выявлена четкая закономерность смещения реальной ПЦМ от абсолютной на 13,8 ± 2,71 см в сторону здоровой конечности. Такой характер асимметричного распределения веса тела на нижние конечности у пациентов может свидетельствовать о компенсаторном перераспределении статической нагрузки при стоянии в пользу здоровой нижней конечности вследствие снижения опорной функции пораженной нижней конечности.
У больных с ПОГО, по сравнению со здоровыми детьми, в тестах с двуопорной нагрузкой на стопы было выявлено значимое снижение величины переднего индекса опоры t как на пораженной, так и на непораженной стороне (табл. 1).
Таблица 1. Сравнительная оценка плантографических характеристик стоп здоровых детей и пациентов с последствиями острого гематогенного остеомиелита проксимального отдела бедра
Категория детей (стопы) | Плантографические индексы (× 10–2) | |||||||
Двуопорная плантография (M ± m) | Одноопорная плантография (M ± m) | |||||||
t | m | s | l | t | m | s | l | |
Здоровые (n = 30) | 93,6 ± 0,5 | 21,8 ± 0,32 | 24,0 ± 0,38 | 13,3 ± 2,45 | 96,2 ± 0,34* | 25,2 ± 0,3* | 26,3 ± 0,39* | 1,7 ± 1,19* |
С ПОГО, интактная сторона (n = 15) | 90,3 ± 0,93** | 21,1 ± 0,89 | 22,4 ± 0,91 | 18,1 ± 4,77 | 93,6 ± 1,08* | 23,3 ± 0,72 | 24,4 ± 0,76 | 8,4 ± 2,75 |
С ПОГО, сторона поражения (n = 15) | 87,6 ± 0,66** | 22,1 ± 0,73 | 23,2 ± 0,99 | 22,1 ± 3,81 | 95,9 ± 3,24* | 24,5 ± 1,18 | 26,3 ± 1,28* | 8,4 ± 2,84* |
Примечание: * достоверно изменяющиеся показатели одноопорной плантографии по сравнению с аналогичными показателями двуопорной с достоверностью не менее р < 0,05; ** показатели, отличающиеся от аналогичных показателей в норме с достоверностью не менее р < 0,05; ПОГО — последствия острого гематогенного остеомиелита.
При этом в стопах пораженных нижних конечностей снижение индекса t было достоверно более выраженным, чем интактных. С одной стороны, данный факт мог бы свидетельствовать в пользу ригидности поперечного свода стоп как пораженной, так и непораженной нижней конечности. Однако в нагрузочных тестах при одноопорной плантографии это предположение не подтвердилось, так как происходило восстановление индексов передней опоры до нормальных величин. Необходимо отметить, что указанные изменения индекса tв большей степени наблюдались на стороне поражения. Сохранную рессорную функцию поперечного свода стопы пораженной нижней конечности подтверждают данные, указывающие на его высокую мобильность при двукратном увеличении осевой нагрузки (табл. 2).
Таблица 2. Изменение плантографических индексов Δ стоп здоровых детей и пациентов с последствиями острого гематогенного остеомиелита при переходе от двуопорной к одноопорной плантографии
Группа детей(стопы) | Плантографические индексы (× 10–2) (M ± m) | |||
Δt | Δm | Δs | Δl | |
Здоровые (n = 30) | 2,6 ± 0,41 | 3,5 ± 0,48 | 3,5 ± 0,48 | –11,5 ± 1,58 |
С ПОГО, интактная сторона (n = 15) | 3,3 ± 1,14 | 2,3 ± 1,03 | 2,8 ± 0,72 | –9,8 ± 4,46 |
С ПОГО, сторона поражения (n = 15) | 8,2 ± 2,4* | 2,4 ± 1,23 | 3,1 ± 1,16 | –13,7 ± 5,52 |
Примечание: *показатели, отличающиеся от аналогичных показателей в норме с достоверностью не менее р < 0,05; ПОГО — последствия острого гематогенного остеомиелита.
Параметры других индексов опоры, а именно m, s и l, контралатеральных стоп пациентов с ПОГО находились в границах нормальных значений, что указывает на функциональную состоятельность соответствующих сводов стоп, обеспечивающих статическую и динамическую опороспособность конечностей.
Проведенный корреляционно-регрессионный анализ плантографических индексов позволил изучить линейную взаимозависимость медиального и срединного индексов опоры m и s, а также их связь с передним индексом опоры t у здоровых и больных детей (табл. 3).
Таблица 3. Корреляционно-регрессионный анализ зависимости связи между индексами опоры здоровых детей и пациентов с последствиями острого гематогенного остеомиелита
Категория детей (стопы) | Коэффициент корреляции rs | |||||
Двуопорная плантография (M ± m) | Одноопорная плантография (M ± m) | |||||
m ~ t | s ~ t | m ~ s | m ~ t | s ~ t | m ~ s | |
Здоровые (n = 30) | 0,10 | 0,02 | 0,29 | 0,22 | 0,33 | 0,61 |
С ПОГО, интактная сторона (n = 15) | 0,23 | 0,25 | 0,68 | –0,03 | –0,02 | 0,90 |
С ПОГО, сторона поражения (n = 15) | 0,36 | 0,22 | 0,73 | –0,68 | –0,42 | 0,77 |
Примечание: ПОГО — последствия острого гематогенного остеомиелита.
Для графического выражения взаимосвязи индексов опоры были построены линии регрессии (рис. 3).
Рис. 3. Линия регрессии (жирная) и ее доверительный интервал (тонкие линии) для зависимости медиального индекса опоры m: а — от переднего индекса опоры t; б — от срединного индекса опоры s стоп при одноопорной нагрузке у здоровых детей
При помощи корреляционного анализа было установлено, что в группе здоровых детей при двуопорной нагрузке на стопы связь между различными индексами опоры слабая, вплоть до ее отсутствия. Из этого следует, что поперечный и продольные своды у здоровых детей нагружаются независимо друг от друга в статичном положении при опоре на обе стопы. Это согласуется с фактом о разнонаправленном изменении линейных размеров стоп, когда при нагрузке массой человеческого тела на стопы происходит их распластывание как по фронтальной, так и по сагиттальной оси [13]. Таким образом, в норме при опоре на обе конечности распределение нагрузки между сводами стопы является произвольным, что адекватно для состоятельной рессорной функции поперечного и продольных сводов.
У здоровых детей в тестах по определению динамической опороспособности конечности с переносом веса тела на одну стопу происходят, хотя и незначительные, однако однонаправленные, изменения соотношений между плантографическими индексами. Становится более выраженной связь между продольными сводами, достигая умеренной величины (рис. 3, б), что может быть вызвано увеличением энергетических затрат для поддержания равновесия в условиях уменьшения общей площади опоры при стоянии на одной нижней конечности. При этом связь между поперечным и продольными сводами стопы, несмотря на некоторое ее увеличение, все же остается слабой (рис. 3, а).
В группе пациентов с ПОГО при помощи корреляционного анализа при двуопорной нагрузке на стопы была выявлена связь между индексами опоры, которая аналогична таковой при одноопорной нагрузке у здоровых детей. При этом соотношение индексов контралатеральных стоп достаточно симметричное, что можно объяснить сохранностью адаптивных процессов в опорно-двигательном аппарате у больных с ПОГО, несмотря на некоторую их напряженность. Необходимость поддерживать относительную симметричность функций здоровой и больной конечностей при небольших нагрузках выгодна организму с точки зрения энергетики и биомеханики. При этом здоровая конечность, обладая бóльшим функциональным резервом, чем больная, стремится уменьшить асимметрию путем приближения образца своих движений к кинематике конечности пораженной стороны [14]. Начинает работать правило функционального копирования, которое заключается в том, что здоровая конечность копирует функцию больной с целью уменьшения функциональной асимметрии.
При одноопорной нагрузке у обследованных пациентов в стопах интактной стороны наблюдалась сильно выраженная связь между медиальным m и срединным s индексами опоры (рис. 4, б) при полном отсутствии линейной взаимозависимости этих индексов от переднего индекса опоры t (рис. 4, а).
Рис. 4. Линия регрессии (жирная) и ее доверительный интервал (тонкие линии) для зависимости медиального индекса опоры m: а — от переднего индекса опоры t; б — от срединного индекса опоры s стоп интактной конечности при одноопорной нагрузке у детей с последствиями острого гематогенного остеомиелита
В то же время в стопах пораженных нижних конечностей была обнаружена обратная корреляционная зависимость медиального и срединного индексов опоры m и s от переднего индекса опоры t (рис. 5, а) при нормальной взаимосвязи между продольными сводами (рис. 5, б). Такие выраженные различия между стопами больной и здоровой конечностей могут объясняться снижением функциональных возможностей пораженной конечности при возрастании осевой нагрузки в тестах с попеременной опорой на каждую из контралатеральных конечностей, что является аналогом ходьбы. При этом включается нормальный механизм компенсации, позволяющий осуществить частичную разгрузку пораженной конечности путем повышения нагрузки на полноценную [15]. Адекватная реакция опорно-двигательного аппарата на патологический процесс заключается в том, что здоровая конечность выполняет преимущественно функцию опоры, а больная — преимущественно функцию переноса [16].
Рис. 5. Линия регрессии (жирная) и ее доверительный интервал (тонкие линии) для зависимости медиального индекса опоры m: а — от переднего индекса опоры t; б — от срединного индекса опоры s стоп пораженной конечности при одноопорной нагрузке у детей с последствиями острого гематогенного остеомиелита
В процессе эволюции опорно-двигательная система, как одна из сложнейших биологических систем, достигла оптимальной структурной организации, позволяющей длительно и надежно функционировать в физиологических условиях. Одним из важнейших факторов, влияющих на функционирование костей, служат нагрузки на скелет. Наиболее подвержены постоянно меняющимся статическим и динамическим нагрузкам кости конечностей организма. Стопа представляет собой один из основных структурных сегментов опорно-двигательного аппарата человека, обеспечивающих его статолокомоторную функцию, и целостный морфофункциональный объект, от которого зависит двигательная функция человека [17]. Одной из эволюционно сформировавшихся адаптивных реакций на патологический процесс в нижней конечности является ее рефлекторная разгрузка путем частичного повышения нагрузки на интактную конечность.
В настоящем исследовании была показана измененная адаптационная способность сводов стоп к восприятию нагрузки у детей с укорочением нижней конечности после перенесенного гематогенного остеомиелита. Можно предположить, что у этих пациентов анатомический дисбаланс конечностей осложняется изменениями в кортикоспинальном механизме реализации акта опоры стоп, который подвержен влиянию патологической афферентной импульсации от проксимального отдела пораженного бедра. В таких условиях измененной центральной регуляции локомоторных функций у детей с ПОГО включаются дополнительные механизмы компенсации для поддержания равновесия тела. Весьма вероятно, что эти компенсаторные механизмы реализуются путем избирательного изменения активности и синхронизированности мышц голеней, приводящего к изменению стратегии арочного аппарата стоп [18]. Данная стратегия компенсации сводится к возникновению тесной функциональной взаимосвязи между внутренним и срединным продольными сводами стопы непораженной нижней конечности и инверсии взаимодействия аналогичных показателей стопы пораженной конечности. Эта стратегия позволяет обеспечить поддержание вертикальной позы и возможность движения в неблагоприятных условиях функционирования.
Вместе с тем необходимо учитывать, что компенсаторные механизмы не рассчитаны на длительное функционирование. При персистенции или прогрессировании пусковых механизмов, главным образом нарушений в области проксимального отдела бедра и тазобедренного сустава пораженной нижней конечности, со временем возможна их декомпенсация, приводящая к прогрессированию патологического процесса на стороне поражения и вовлечению в него контралатеральной конечности.
Выводы
- Исследования опорной функции стоп у детей с ПОГО указывают на отклонения в двигательных стереотипах их анатомических структур.
- У детей с ПОГО параметры плантографических характеристик свидетельствуют об изменении активности и согласованности работы мышц, формирующих все своды стоп как пораженной, так и интактной нижней конечности.
- По сравнению со здоровыми детьми опороспособность стоп у пациентов с ПОГО реализуется за счет усиления функциональной взаимосвязи между внутренним и срединным продольными сводами стопы интактной стороны и инверсии взаимодействия продольных сводов с поперечным на стороне поражения.
- В план комплексной диагностики и медицинской реабилитации детей с ПОГО необходимо включать изучение опорной функции стоп и при возникновении (или усилении) нарушения их опорной функции проводить необходимые корригирующие ортопедические лечебные мероприятия.
Информация о финансировании и конфликте интересов
Работа проведена на базе и при поддержке ФГБУ «НИДОИ им. Г.И. Турнера» Минздрава России.
Авторы декларируют отсутствие явных и потенциальных конфликтов интересов, связанных с публикацией настоящей статьи.
Об авторах
Игорь Евгеньевич Никитюк
ФГБУ «НИДОИ им. Г.И. Турнера» Минздрава России
Автор, ответственный за переписку.
Email: femtotech@mail.ru
канд. мед. наук, ведущий научный сотрудник лаборатории физиологических и биомеханических исследований ФГБУ «НИДОИ им. Г.И. Турнера» Минздрава России
Россия, 196603, г. Санкт-Петербург, г. Пушкин, ул. Парковая, дом 64-68Юрий Евгеньевич Гаркавенко
ФГБУ «НИДОИ им. Г.И. Турнера» Минздрава России; ФГБОУ ВО «СЗГМУ им. И.И. Мечникова» Минздрава России
Email: yurijgarkavenko@mail.ru
д-р мед. наук, профессор кафедры детской травматологии и ортопедии ФГБОУ ВО «СЗГМУ им. И.И. Мечникова» Минздрава России, ведущий научный сотрудник отделения костной патологии ФГБУ «НИДОИ им. Г.И. Турнера» Минздрава России
Россия, 196603, г. Санкт-Петербург, г. Пушкин, ул. Парковая, дом 64-68; 195015, г. Санкт-Петербург, Кирочная ул., 41Елизавета Леонидовна Кононова
ФГБУ «НИДОИ им. Г.И. Турнера» Минздрава России
Email: Yelisaveta@yandex.ru
канд. мед. наук, руководитель лаборатории физиологических и биомеханических исследований ФГБУ «НИДОИ им. Г.И. Турнера» Минздрава России
Россия, 196603, г. Санкт-Петербург, г. Пушкин, ул. Парковая, дом 64-68Список литературы
- Гаркавенко Ю.Е. Поражение тазобедренных суставов при последствиях гематогенного остеомиелита у детей // Новые технологии в травматологии и ортопедии детского возраста: сборник научных статей, посвященный 125-летию Научно-исследовательского детского ортопедического института имени Г.И. Турнера / Под ред. А.Г. Баиндурашвили. – СПб.: Эко-Вектор, 2017. – С. 96–100. [Garkavenko YE. Lesion of hip joints with consequences of hematogenous osteomyelitis in children. In: Baindurashvili AG, editor. New technologies in traumatology and orthopedics of childhood: a collection of scientific articles dedicated to the 125th anniversary of the Research Children’s Orthopedic Institute named after GI. Turner. Saint Petersburg: Eko-Vektor; 2017. P. 96-100. (In Russ.)]
- Bakirhan S, Angin S, Karatosun V, et al. Physical performance parameters during standing up in patients with unilateral and bilateral total knee arthroplasty. Acta Orthop Traumatol Turc. 2012;46(5):367-372. doi: 10.3944/AOTT.2012.2684.
- Adegoke BO, Olaniyi O, Akosile CO. Weight bearing asymmetry and functional ambulation performance in stroke survivors. Glob J Health Sci. 2012;4(2):87-94. doi: 10.5539/gjhs.v4n2p87.
- Paulus DC, Settlage DM. Bilateral symmetry of ground reaction force with a motor-controlled resistance exercise system using a mechanical advantage barbell for spaceflight. Biomed Sci Instrum. 2012;48:340-344.
- Щуров В.А., Новиков К.И., Мурадисинов С.О. Влияние разновысокости нижних конечностей на биомеханические параметры ходьбы // Российский журнал биомеханики. – 2011. – Т. 15. – № 4. – С. 102–107. [Shchurov VA, Novikov KI, Muradisinov SO. Effect of uneven legs on biomechanical parameters of walking. Rossiyskiy zhurnal biomekhaniki. 2011;15(4):102-107. (In Russ.)]
- Скворцов Д.В. Диагностика двигательной патологии инструментальными методами: анализ походки, стабилометрия. – М., 2007. [Skvortsov DV. Diagnostics of motor pathology by instrumental methods: gait analysis, stabilometry. Moscow; 2007. (In Russ.)]
- Hurkmans HL, Bussmann JB, Benda E, et al. Techniques for measuring weight bearing during standing and walking. Clin Biomech (Bristol, Avon). 2003;18(7):576-589. doi: 10.1016/S0268-0033(03)00116-5.
- Kumar SN, Omar B, Joseph LH, et al. Evaluation of limb load asymmetry using two new mathematical models. Glob J Health Sci. 2014;7(2):1-7. doi: 10.5539/gjhs.v7n2p1.
- Cousins SD, Morrison SC, Drechsler WI. The reliability of plantar pressure assessment during barefoot level walking in children aged 7-11 years. J Foot Ankle Res. 2012;5(1):8. doi: 10.1186/1757-1146-5-8.
- Xu C, Wen XX, Huang LY, et al. Normal foot loading parameters and repeatability of the Footscan(R) platform system. J Foot Ankle Res. 2017;10:30. doi: 10.1186/s13047-017-0209-2.
- Наумочкина Н.А., Никитюк И.Е. Вовлечение спинного мозга в патологический процесс при родовых повреждениях плечевого сплетения (биомеханическое исследование) // Врач-аспирант. – 2013. – Т. 56. – № 1.3. – C. 388–396. [Naumochkina NA, Nikityuk IE. Involvement of spinal cord into pathological process in childbirth brachial plexus injury (biomechanical study). Vrach-aspirant. 2013;56(1.3):388-396. (In Russ.)]
- Зайцев В.М., Лифляндский В.Г., Маринкин В.И. Прикладная медицинская статистика. – СПб.: Фолиант, 2006. [Zaytsev VM, Liflyandskiy VG, Marinkin VI. Applied medical statistics. Saint Petersburg: Foliant; 2003. (In Russ.)]
- Перепелкин А.И., Калужский С.И., Мандриков В.Б., и др. Исследование упругих свойств стопы человека // Российский журнал биомеханики. – 2014. – Т. 18. – № 3. – С. 381–388. [Perepelkin AI, Kaluzhskiy SI, Mandrikov VB, et al. Research of resilient properties of the human foot. Rossiyskiy zhurnal biomekhaniki. 2014;18(3):381-388. (In Russ.)]
- Skvortsov DV, Larina VN. Gait and posture in patients with low back pain compare with clinical form. Gait Posture. 1995;3(2):85. doi: 10.1016/0966-6362(95)93463-m.
- Дашевский И.Н., Никитин С.Е. Биомеханика разгрузки нижних конечностей при ортезировании // Российский журнал биомеханики. – 2016. – Т. 20. – № 2. – С. 134–149. [Dashevskiy IN, Nikitin SE. Biomechanics of unloading of the lower extremities at prosthetics. Rossiyskiy zhurnal biomekhaniki. 2016;20(2):134-149. (In Russ.)]
- Кравцова Г.В., Хоменко Б.Ф. Особенности ходьбы по данным подографии у больных с последствиями переломов бедренной кости и костей голени. – Рига: Медицинская биомеханика, 1975. [Kravtsova GV, Khomenko BF. Features of walking according to the data of subgraphy in patients with consequences of fractures of the femur and bones of the lower leg. Riga: Meditsinskaya biomekhanika; 1975. [(In Russ.)]
- Ефимов А.П. Информативность биомеханических параметров походки для оценки патологии нижних конечностей // Российский журнал биомеханики. – 2012. – Т. 16. – № 1. – С. 80–88. [Efimov AP. Informativity of biomechanical parameters of gait for the estimation of the lower extremities pathology. Rossiyskiy zhurnal biomekhaniki. 2012:16(1):80-88. (In Russ.)]
- Аничков Н.М., Кудрявцев В.А., Минченко Н.Л. Клинико-морфологические параллели при распластанности переднего отдела стопы // Травматология и ортопедия России. – 1995. – № 1. – С. 15–18. [Anichkov NM, Kudryavtsev VA, Minchenko NL. Clinical and morphological parallels in the spreading of the forefoot. Travmatologiia i ortopediia Rossii. 1995;(1):15-18. (In Russ.)]
Дополнительные файлы









