Osteochondropathy of the coronoid process of the ulna in a child: case report
- Authors: Nikitin M.S.1, Proshchenko Y.N.1
- 
							Affiliations: 
							- The Turner Scientific Research Institute for Children’s Orthopedics
 
- Issue: Vol 6, No 1 (2018)
- Pages: 55-57
- Section: Exchange of experience
- Submitted: 26.03.2018
- Accepted: 26.03.2018
- Published: 26.03.2018
- URL: https://journals.eco-vector.com/turner/article/view/8391
- DOI: https://doi.org/10.17816/PTORS6155-57
- ID: 8391
Cite item
Abstract
Osteochondropathy of the proximal ulnar bone is a rare disease that affects not only the ulnar, but also the venous process. To our knowledge, the existing domestic and foreign medical literature does not provide a description of osteochondropathy of the coronal process, a topic of considerable interest from the point of view of diagnosis and treatment.
Here, we describe a clinical case of osteochondropathy of the coronal process and present a clinical picture of the defect of the elbow joint in the patient, with radiographs taken before and after the surgery. In the present clinical case, postoperatively, the patient reported pain; however, the elbow joint function was fully restored, indicating the success of the treatment and that active surgical treatment of this disease is adequate and timely.
Keywords
Full Text
Introduction
Osteochondropathies are disorders of the apophyses and epiphyses of tubular bones and spongy substance of short bones in children; these are characterized by slow aseptic necrosis of ossification nuclei and destruction of bone shape, leading to deformity of the affected segment of the limb, impaired function, and then complete loss of function [1].
Previous studies have distinguished four groups of osteochondropathies: epiphysiopathy of long tubular bones, lesion of short trabecular bones, lesion of apophyses, and partial osteochondropathies of articular surfaces. According to S.A. Reinberg (1964), osteochondropathies occur in five stages, and two or three stages can manifest in parallel, suggesting a certain conventionality of the radiographic staging process and variety of clinical manifestations [1, 2].
Notably, more than 200 osteochondropathies of different localizations have been described. Therefore, Nilsson (1921), Gass (1921), and Panner (1929) described rare osteochondropathies of the proximal and distal epiphyses of the upper arm bone, and in 1982, D. Capla and J. Kundrát presented a case of osteochondropathy of the ulnar process in a child. However, lesion of the coronoid process of the ulna has not been described [3].
Considering that osteochondropathies can be of different localizations, we reviewed domestic and foreign studies on diseases of aseptic genesis of the coronoid process in children as well as their therapeutic approach and diagnostics. In addition, to cover a large number of descriptions in the foreign literature, such as in PubMed, we also searched for osteochondropathy of the ulna. The result of our search was negative, and we did not find a description or reference to osteochondropathy of the coronoid process of the ulna in children.
Given that that lesion of the coronary process in children is a rare, we decided to present the clinical case of osteochondropathy of the coronoid process in a child, which, in our opinion, clearly demonstrates the atypical localization of this disease.
Clinical case
The patient was a 16-year-old boy who was a professional water polo player for eight years. Since 2014 (age 14), the patient started to suffer from pain in the elbow-joint area, but there was no history of trauma, and the patient did not seek treatment. Since 2016, the pain intensity in the left elbow-joint region increased; he reported swelling in the left elbow joint and restriction of the left elbow-joint extension. Due to increased complaints, the patient presented to the Turner Scientific and Research Institute for Children’s Orthopedics. He and his parents voluntarily signed an informed consent for the processing of personal data, examinations, and surgical intervention.
On examination, pain was noted during palpation of the medial sections of the elbow joints, region of the coronoid process, and joint space (more expressed on the left), and there was a restriction of extension in the left elbow joint to 170°–175° (acute pain syndrome). Bending and rotation were not impaired.
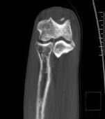
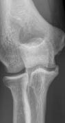
Radiography and computed tomography were performed (Figures 1–3). An aseptic necrosis was detected in the region of the tubercle of the coronary process in the fragmentation stage.
Fig. 1. Radiograph of the left elbow joint. Fragmentation stage of the region of the coronoid process tubercle
Fig. 2. Computed tomography of the left ulnar process and fragmentation stage of the region of the coronoid process tubercle
Fig. 3. Computed tomography in 3D mode
Osteochondropathy of the coronoid process of the left elbow joint, contracture, and pain syndrome were diagnosed based on examination results.
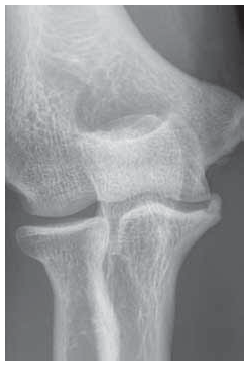
Given that the patient had engaged in sports and there was marked pain syndrome, ectomy of a fragment of the coronoid process was performed (Figure 4).
Fig. 4. Anterior–posterior radiograph of the left elbow joint after the surgery
At follow-up after six months, the patient did not have any complaints, the left elbow joint was fully movable, and weight bearing was painless. Lateral stability of the elbow joint was not impaired.
Discussion
Diagnosis of osteochondropathy of the coronary process was based on the radiological investigation, and differential diagnosis ruled out the fracture. Moreover, we performed the examinations due to impaired development of the anterior ulnar bone, with an additional bone formation of the coronoid process [1, 2, 4], which was also not revealed.
Conclusion
The presented clinical case of osteochondropathy of the coronoid process of the ulna demonstrates a variety of topical bone injuries and unpredictability of the localization of aseptic osteonecrosis in children.
Funding and conflict of interest
The work was conducted according to the guidelines and with the support of the Turner Scientific and Research Institute for Children’s Orthopedics of the Ministry of Health of Russia.
The authors declare no obvious and potential conflicts of interest related to the publication of this article.
About the authors
Maxim S. Nikitin
The Turner Scientific Research Institute for Children’s Orthopedics
							Author for correspondence.
							Email: yar-2011@list.ru
				                					                																			                								
MD, Orthopedic Surgeon of the Department of Trauma Effects and Rheumatoid Arthritis
Russian Federation, 64, Parkovaya str., Saint-Petersburg, Pushkin, 196603Yaroslav N. Proshchenko
The Turner Scientific Research Institute for Children’s Orthopedics
														Email: yar-2011@list.ru
				                					                																			                								
MD, PhD, Research Associate of the Department of Trauma Effects and Rheumatoid Arthritis
Russian Federation, 64, Parkovaya str., Saint-Petersburg, Pushkin, 196603References
- Ортопедия: национальное руководство / Под ред. С.П. Пиронова, Г.П. Котельникова. – М.: ГЭОТАР-Медиа, 2013. [Pironov SP, Kotel’nikov GP, editors. Orthopedics: National guidelines. Moscow: GEOTAR-Media; 2013. (In Russ.)]
- Рейнберг С.А. Рентгенодиагностика заболеваний костей и суставов. – М.: Медицина, 1963. [Reynberg SA. X-ray diagnosis of diseases of bones and joints. Moscow: Meditsina; 1963. (In Russ.)]
- Capla D, Kundrat J. Necrosis apophyseos olecrani ulnae. Juvenile osteochondropathy of the ulna. Acta Chir Orthop Traumatol Cech. 1982;49(6):497-499.
- Королюк И.П. Рентгеноанатомический атлас. Cкелет (норма, варианты, ошибки интерпретации). – М.: Видар, 1996. [Korolyuk IP. X-ray anatomy atlas. Skeleton (norm, variants, interpretation errors). Moscow: Vidar; 1996. (In Russ.)]
Supplementary files
 
				
			 
					 
						 
						 
									
 
  
  
  
  
  Email this article
			Email this article 







