Analysis of the physical growth and markers of connective tissue dysplasia in patients with Perthes disease
- Authors: Lobov I.L.1, Malkov A.V.2, Lobov N.I.2
-
Affiliations:
- Ivanovo Regional Children’s Clinical Hospital
- Ivanovo State Medical Academy
- Issue: Vol 6, No 2 (2018)
- Pages: 12-21
- Section: Original papers
- Submitted: 21.06.2018
- Accepted: 21.06.2018
- Published: 22.06.2018
- URL: https://journals.eco-vector.com/turner/article/view/8984
- DOI: https://doi.org/10.17816/PTORS6212-21
- ID: 8984
Cite item
Abstract
Introduction. The pathogenesis of Perthes disease is not fully understood and requires a greater understanding of the physical development, external and internal markers of connective tissue dysplasia.
Objective. To analyze the deviations in physical development and connective tissue dysplasia in children with Perthes disease to determine its phenotypes.
Materials and methods. We examined 52 patients and 36 children (control group) aged of 4–17 years. We estimated and compared their physical and proportional growth by using centile charts and Vervec’s index and defined external and internal manifestations of connective tissue dysplasia in major organs, systems, and topographic regions. Complete genealogical histories were taken by with examining the genealogies of 52 probands, including clinical examination of 136 first and second degree relatives.
Results. Deviations in physical growth were observed in 33 patients (63.5%). The body height of 27 (51.9%) patients aged 4–17 years ranged from 1–2 lines (3–10%) and was significantly lower than that of the control group within 5 lines (p < 0.5). Six (11.6%) children had body lengths higher than the average 7th line (75–90%). Vervec’s index in 34 (65.4%) children ranged from 1.25–0.85 and represented mesomorphy, moderate brachy, or dolichomorphia. The primary pathology of external organs and systems was skeletal anomalies in 36 (69.2%) children, followed by dermal in 23 (44.2%) and organs of vision in 9 (17.3%). Among visceral disorders, the primary pathology was cardiovascular diseases in 17 (32,7%) children followed by surgical and urological pathologies in 7 (13.5%) and digestive system disorders in 5 (9.6%). Disease inheritance was sporadical in 48 (92.3%) children.
Conclusion. The Perthes disease phenotype was related to the undifferentiated form of collagenopathies.
Full Text
Introduction
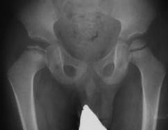
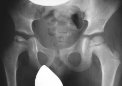
The pathogenesis of Perthes disease has not yet been fully studied. It is gratifying that over the past decade, there have been more and more scientific studies devoted to the pathogenesis of Perthes disease since the key to the success of adequate treatment of such complex orthopedic pathology is elucidating the mechanism of osteonecrosis. Some authors believe that the disorder (delay) of endostosis combined with the constitutional predisposition toward growth retardation leads to a decrease in the mechanical strength of the femoral head in patients with Perthes disease [1–4]. The disease is associated with improper differentiation of bone tissue by the controlling gene COL2A1. Its primary mutation triggers a cascade of pathological reactions that cause collagen formation disorder in the form of intratissual anomalies (markers of connective tissue dysplasia) in various organs, systems, and anatomical and topographical regions of an individual [5–7]. Osteonecrosis is caused by impaired intercellular interaction (osteoblast (osteocyte) – osteoclast) toward activation of osteoclasts [8]. Other researchers say that it occurs along with vascular pathology in boys with a hypersthenic constitution during a period of active growth. Lack of blood flow results in anemic infarct of the affected epiphysis of the femur [9–11]. Another possible scenario for the development of osteonecrosis is congenital maldevelopment of the spinal cord in the lumbar region (myelodysplasia). Disorder of the innervation of the hip joint (HJ) changes the size and number of vessels, as a result of which the blood flow in the HJ tissues is chronically reduced and the tissues are undernourished [12, 13]. At stage II of Perthes disease, the proximal epiphysis of the femur decreases in size, whereas at stage III, it is partially or completely subjected to resorption. At stage IV, the proximal epiphysis is partially restored. Subsequently, multiplanar deformities of the proximal femur are formed (Figures 1, 2).
Fig. 1. X-ray of the hip joint in the anteroposterior projection of the patient T., 4 years. Diagnosis: "Perthes disease on the right, stage II", when Catteral II arrives
Fig. 2. Radiograph of the hip joint in the anteroposterior projection of the patient T., 5 years. Diagnosis: "Perthes disease on the right, stage III. Total defeat of the proximal epiphysis of the right femur »
The duration of the disease is 3–5 years with a transition to coxarthrosis. The reported studies have very rarely evaluated deviations in the physical development and systematization of markers of external and internal manifestations of connective tissue dysplasia in children with Perthes disease. Therefore, the aim of this study was to analyze the deviations in physical development and connective tissue dysplasia in children with Perthes disease to determine its phenotype.
Material and methods
Fifty-two patients aged 4–17 years who were treated in the Department of Pediatric Orthopedics in 2005–2016 were examined. At the beginning of the study, we received consent from parents of children and adolescents <15 years old and from older patients with this disease to participate in the study and process their personal data. There were 43 (82.7%) boys and 9 (17.3%) girls. There were 26 (50%) cases of lesions of the right HJ, 24 (48.1%) cases of the left, and 1 (1.9%) case of bilateral HJ lesions. Anthropometry in patients with Perthes disease was performed annually until they reached 17 years of age. Body length was measured in centimeters by using a height meter, body weight was measured in kilograms by using floor scales, and chest circumference was measured in centimeters with quiet breathing in the standing position with the hands down; a measuring tape was placed on the back under the lower edges of the shoulder bones.
Deviations in the physical development of patients with Perthes disease were assessed with the use of centile tables to determine their corridor or interval. Physical development was considered average or normal if the table values varied within corridors IV–VI (interval, 25%–75%), those in corridor III (interval, 10%–25%) indicated below average development, those in corridor VII (interval, 75%–90%) indicated above-average development, and those of corridors I–II (interval, 3%–10%) or corridor VIII (interval, <75%–90%) indicated pronounced deviations in physical development with a risk of developing visceral disorders.
Proportional or harmonious development of an individual was calculated by means of the Verweck index (VI):
VI =
Index values >1.35 indicate a pronounced stretching (dolichomorphia), values ranging from 1.35–1.25 indicate a moderate growth predominance in length, values ranging from 1.25–0.85 indicate harmonious (mesomorphy) development, values ranging from 0.85–0.75 indicate moderate brachymorphia, and values <0.75 indicate pronounced brachymorphia (i.e., predominantly transverse growth). The universality of VI is that its values do not depend on age. The obtained data were compared with the parameters of the control group consisting of 36 healthy children aged 4–17 years. The peculiarities of the manifestation of connective tissue dysplasia (CTD) were determined in 36 patients by accumulation of external and internal phenotypic signs in the musculoskeletal, dermal, ophthalmic, digestive, genitourinary, and cardiovascular systems (CVS), including minor developmental abnormalities in various anatomical and topographical areas. Six or more signs was considered the most reliable indicator of CTD.
Musculoskeletal pathology was observed in the vertebral column, lower limbs, joint hypermobility (JHM), and thorax. In the vertebral column, there was an increase or decrease in physiological curves (hyperkiphosis and lordosis, flat back), scoliosis, winged scapula, and spina bifida. An increase in the distance from the rear surface of the trunk to the angles of the blades >3 cm was regarded as winged scapula. Flat back is a decrease in physiological kyphosis or lumbar lordosis. To determine the magnitude and extent of scoliosis, hyperkophosis, lordosis, and flat back, X-ray examinations were performed in standard setup according to Fergusson and Cobb’s classifications, with deformities measured in degrees. Radiographically, degree I scoliosis corresponded to 0°–10°, degree II corresponded to 11°–25°, degree III corresponded to 26°–40°, degree IV corresponded to >40°, degree I of hyperkiphosis and lordosis corresponded to 31°–40°, degree II corresponded to 41°–50°, and degree III corresponded to 51°–70°. Degree I flat back corresponded to 19°–10°, and degree II corresponded to 9°–0°. The absence of fusion between the LV vertebral arches (spina bifida) was determined by an increase in the width >2 mm in the radiographic gap . The fusion of the transverse processes of the LV vertebra with the lateral masses of the sacrum was determined by the absence of an X-ray gap.
The pathology of the lower extremities was evidenced by varus or valgus deformity and pathology of the feet. The size of the deformities of the lower limbs was evaluated angulometrically. The change in the average arch of the feet was determined according to the podometric index, which was the ratio of the height of the foot to its length, expressed as a percentage. The index of the normal arch of the foot varied within 31%–29%, and its decrease varied within 29%–25%, which indicated flat feet of degree I, and <25% indicated flat feet of degrees II–III. The valgus angulation of the calcaneus body was evaluated angulometrically according to the change in the angle of the lines connecting the middle of the tibia in its upper third with the apophysis apex of the calcaneus. Its normal physiological deflection in children aged 3 years is 6.4°, and that in children aged 6 years is 4.5° according to the classification of M. Pfeiffer [14]. The formation of planovalgus deformity of feet of degree I was determined by a decrease in the podometric index to 25% and an increase in the angle of deflection of the calcaneus body from the midline >7°–5°.
External manifestations of involvement of the muscular system include umbilical, inguinal hernia, and decreased muscle tone in the muscles of the trunk and lower limbs. For detection of JHM, the volume of passive movements in the large and small joints of the limbs in degrees scored according to the 9-point system of Beiton was measured [7]: 1) passive hyperextension of the little finger by an angle >90°, 2) passive adduction of the thumb of the hand to the forearm; 3) hyperextension in the elbow joint by an angle >10°, 4) hyperextension in the knee joint >10º, and 5) bending forward with fixed knee joints, with palms touching the floor. For each individual diagnostic test, 1 point was given, with a maximum of 9 points. The severity of JHM was determined by the following indicators: 0–2 points meant its absence, 3–4 points indicated mild degree, 5–8 points indicated severe degree, and 9 points indicated generalized degree.
Deformities of the chest were represented by 2 variants: funnel and keeled. The degree of funnel deformity was determined clinically by increasing the distance between the apex of its collapsed part and the true location of the sternum in centimeters. For degree I, the distance between them was ≤2 cm; for degree II, the depth was ≤4 cm; and for degree IIІ, it was > 4 cm. The keeled deformity of the chest was evaluated radiologically according to the Bairov–Fokin classification.
Anomalies of the skin were evaluated by the presence of additional multiple formations (nevi and pigment spots), which were assessed visually and by palpation for keloid scars, cutaneous nodules, and hyperextensibility of the skin by 2–3 cm above its surface in the clavicular region.
Irregular shapes of the skull and short neck were attributed to craniocerephal deformity.
MDA of the hands included short little fingers with their deviation to the ulnar side by >5° and a disproportion in the size of the fingers when finger IV was smaller than finger II by 3 mm. Deviation of the V-rays of the hands was assessed by using a wrist protractor, and disproportion of the size of the hand rays was assessed by caliper rule, registering the distance from the head of the metacarpal bone to the tuberosity of the nail phalanx in millimeters. The MDA of the feet included sandal gap as an increase in the distance of the first web space of the foot >5 mm.
Anomalies of the oral cavity included gothic palate, tooth growth disorder, tooth growth outside the dentition, and anomaly of occlusion. Anomalies of the ear–nose–throat organs included curvature of the nasal septum, defects in the auricles, and frequent nasal bleeding. Epicanthal fold demonstrated anomalies in the paraorbital region.
To identify external markers of DST in patients, a special chart was used when phenotypic anomalies were detected. The features of visceral manifestations of CTD in patients with urological, surgical, digestive, and ophthalmic pathologies, as well as CVS, were determined on the basis of the leaflet of the final (updated) diagnoses of the outpatient medical card. Urological pathology was represented by varicocele and phimosis, surgical pathology was represented by umbilical and inguinal hernia, and digestive pathology was represented by functional disorders of the large intestine.
Ophthalmopathology included myopia, refractive disorders, myodesopsia, blue sclera, and retinal angiopathy. Stigmas of cardiogenesis (cardiovascular development abnormalities; CDA) were assessed by using hardware methods, such as electrocardiography and echocardiography. To determine the method of inheritance of Perthes disease, a genealogical anamnesis was taken with the compilation of pedigrees of 52 probands, including a clinical examination of 136 relatives of degrees I and II.
Results and Discussion
While analyzing the results of the physical development of patients with Perthes disease, pronounced body length deviation of 51.9% was observed in 27 patients aged 4–12 years (21 boys, 6 girls). The body lengths varied within corridors I–II and were significantly lower than those in the control group in 25 (69.4%) children of the same age, which corresponded to corridor V (p < 0.5) (Figure 3).
Fig. 3. Anthropometric study: patient G., 6 years old, diagnosis: "Perthes disease on the left, stage II"; body length - 106 cm (corresponds to the I corridor)
In children aged 13–15 years with Perthes disease, an increase in body length for indicators corresponding to corridor III was noted and was significantly different from the parameters in the control group (p < 0.01). Body length reached its maximum only by age 16–17 years (values of corridor IV) (Figure 4).
Fig. 4. Comparative parameters of body length in boys and girls with Perthes' disease and control group
In the evaluation of body length in 19 (36.5%) patients with Perthes disease, body length was found to be significantly different from the identical values of the control group, and in 6 (11.6%) patients, it was increased to values of corridor VII. The body weight in 27 patients ≤8 years old with very low height corresponded to the values of corridor III and was significantly lower than that in the control group (p < 0.01), but corridor VI varied from 0.85 to 1.25, which indicated mesomorphy.
Starting from age 9–13 years, the body weight increased to the values of corridors IV–V, but the development of children remained also harmonious and proportional. However, after reaching the age of 15–17 years, in 15 (55.5%) male patients, the body weight corresponded to the values of corridors VI–VII and was significantly higher than that in the control group (p < 0.01); the magnitude of corridor VI was 0.85–0.75, which indicated moderate brachymorphia. In 19 patients with a normal body length, body weight corresponded to normal indices regardless of age. Therefore, their physical development was considered to be average. In 6 children aged 4–8 years with a body length above the average, body weight was increased to corridor VII, which was significantly higher than that in the control group (p < 0.01), and their physical development was above average. However, corridor VI varied from 0.85–1.25 and indicated harmonious development. In 3 cases aged 13–15 years, the body weight corresponded to corridor IV, and the corridor VI value ranged from 1.25–1.35, which indicated a moderate predominance of growth in length (dolichomorphia).
The incidences of external phenotypic CTD markers in patients with different physical development were not equal. In the onset of the disease, skeletal abnormalities significantly prevailed in all 20 (38.4%) examined children aged 4–8 years with short stature (15 boys, 5 girls). Regarding the pathology of the spinal column, thoracic kyphosis of degree I (6 patients), winged scapula (6 patients), and flat back (2 patients) were identified. In 6 patients, the sub-metric index was reduced to 25%–29%, and in 4 children, the valgus deviation of the posterior part of the feet was 5°. JHM was detected in 8 children who had a total of 3–5 points in each patient, which indicated a mild degree of hypermobility. JHM was mainly observed in boys during their growth. Dermal pathology ranked second (16 cases, 30.8%), including pigmented spots in 10 patients and hyperextensibility of skin in 6 patients. Ophthalmopathology ranked third, and there were 2 (3.8%) cases of myopia. Examination of the prevalence of age and sex characteristics of the formation of external phenotypic signs of CTD at this age, we came to the conclusion that their accumulation was related to the physiological immaturity of collagen formation and hypotonia of the trunk and feet muscles. Despite the increase in ossification in different parts of the skeleton and the maturation of connective tissue structures, 14 boys with Perthes disease aged 9–12 years underwent the transition of skeletal anomalies into coarser forms, namely scoliosis of degree I in 6 (18.7%) cases, irregular shape of the skull in 5 (9.6%), and planovalgus deformity of the feet of degree I in 3 (5.8%) cases. In 1 patient, dermal anomalies were supplemented with nodal erythema. Ophthalmopathology increased (disorder of refraction, myodesopsia, retinal angiopathy) in 6 (11.5%) cases. Thus, in the prepubertal period, CTD is transformed into other target organs, mainly the spinal column, cranial bones, and eyes. At the age of 13–17 years, the process of connective tissue stabilization is considered completed, but in 15 (28.8%) males, different skeletal pathologies were revealed; namely, varus deformity of the lower limbs in 8 (15.4%) adolescents, static scoliosis of degree I due to shortening of the affected lower limb in 6 (11.5%) cases, and hyperpyphosis of degree I in 1 (1.9%) patient. Dermal and ophthalmic pathology did not change statistically. MDA were represented by a short neck in 5 (9.6%) cases, hypertelorism of eyes in 5 (9.6%) cases, sandal-like slit in 3 (5.8%), an anomaly of occlusion in 2 (3.8%), recurrent nasal bleeding in 2 (3.8%), increased hemorrhage in 2 (3.8%), gothic palate in 1 (1.9%), epicanthal fold in 1 (1.9%), and dentition out of arch in 1 (1.9%).
In 10 (19.2%) examined boys aged 4–8 years with normal physical development, the skeletal pathology of the lumbosacral spine (LSS) was significantly prevalent. Most often, a flat back of degree I (6 cases) and spina bifida of LV-vertebra (4 cases) were noted. No new pathology in the skin and eyes was revealed. In 6 children aged 9–12 years, progression of flat back up to degree IІ was noted. Its formation and progression, in our opinion, is associated with the muscle hypotension of LSS. In 6 patients aged 13–17 years, scoliosis of the lumbar department of degree I and sacralization were noted in 4 patients. The presence at this age of spina bifida and sacralization is a reliable marker of LSS dysplasia. MDAs were represented by multiple moles in 10 (19.2%) cases; disorder of teeth growth in 5 (9.6%) cases, and defects in the auricles in 5 (9.6%). Skeletal pathology prevailed in 6 of the examined patients aged 4–8 years (4 girls, 2 boys) with above-average physical development; namely, JHM of 3–5 points and S-shaped scoliosis of degree I. At the age of 9–12 years, all girls had valgus deformity of the lower limbs, and at the age of 13–17 years, the skeletal pathology was manifested by more severe deformities, such as S-shaped scoliosis of degree II and a cobbler’s chest of degree I (4 cases), and 1 young man was noted with a manubriocostal type of sparrowy chest. The total sum of JHM was equal to 5–8 points, which corresponded to the expressed degree. Dermal pathology was most often noted in the form of keloid scars after burns and surgical interventions in 5 (9.6%) cases, and thin skin was noted in 2 (3.8%) cases. Ophthalmopathology was detected in 1 (1.9%) case in the form of blue sclera. MDAs were represented by the deviation of little fingers in 6 (11.5%) cases and by disproportion in the growth of finger II in 6 (11.5%) patients. According to the results of the examination of children with Perthes disease of preschool and primary school age, we concluded that this age was a critical period of progression of CTD.
In the analysis of concomitant diseases, different visceral pathologies of a dysplastic nature were observed in 29 (55.8%) patients with Perthes disease and was also not similar in children with different physical development. Stigmas of cardiogenesis were found most often in 17 (32.7%) patients. In 11 (21.1%) children aged 4–8 years with a short stature, an abnormality in myocardial bioelectric activity, a decrease in ventricular repolarization processes, incomplete right bundle branch block, and sinus tachycardia were registered electrocardiographically. In 8 patients of the same age, CDAs in the atrium, interventricular septum, and aorta were detected echographically. However, they did not cause significant cardio-hemodynamic disorders. In patients aged 9–12 years, a significant decrease in their frequency was noted because of the improvement in differentiation of connective tissue structures of the heart and blood vessels. In the patients aged 13–17 years, no new anomalies were found. The hardware diagnostics of CVS in 10 children and adolescents with normal physical development did not reveal a significant accumulation of stigmas of cardiogenesis. In 6 patients aged 4–8 years with physical development above the average, CDAs were found in tricuspid and mitral valves and in aorta. At the age of 9–12 and 13–17 years, their number did not decrease, which indicated an intensification of the dispastic processes in the CVS. Surgical and urological pathology ranked second and was revealed in 7 (13.5%) cases. In children and adolescents with short stature, it was not registered. In 5 children aged 4–8 years with normal physical development, surgical interventions for excision of hernias and preputium were performed. Surgical and urological pathologies in children <13 years with physical development above the average were not found, whereas surgical treatment was performed in 2 adolescents aged 14 years according to the method of Ivanissevich. Disorders of the digestive system ranked third and were seen in 5 (9.6%) cases. Patients with deviation in physical development had no pathology in the gastrointestinal tract, whereas 5 adolescents aged 13–17 years with normal physical development were monitored by a gastroenterologist because of functional disorders of the large intestine. During the history taking, it was revealed that 8 patients with a short stature aged ≤1year were registered with an orthopedist with a diagnosis of HJ dysplasia.
All of these patients underwent conservative treatment with good clinical and radiological results. In retrospect, we noticed that in all cases, the underdeveloped nucleus of ossification of the femoral head always coincided with the future lesion of the same HJ. One patient, before the Perthes disease was established, was registered with a geneticist as having Turner syndrome (mosaic form). Thus, the set of significant differences in physical development and external and internal phenotypic markers of CTD enables attributing Perthes disease to an unclassified phenotype or undifferentiated connective tissue dysplasia. The most significant external and internal markers of dysplasia, depending on the physical development of the patient, are recorded in Table 1.
Table 1. Frequency analysis of markers of connective tissue dysplasia in children with Perthes disease
Patients with short stature n = 20 | Patients with average physical development n = 19 | Patients with tall stature n = 6 |
Scoliosis of degree I; irregular shape of the skull; planovalgus deformity of degree 1; varus deformity of the lower extremities, n = 20 | Flat back of degree II; lumbar scoliosis of degree I; spina bifida and sacralization LSS — 10 | Scoliosis of degree І–ІІ; JHM; valgus deformity of the lower extremities; chest deformity, n = 6 |
Hyperextension of the skin; pigment spots, n = 16 | Inguinal and umbilical hernia; phimosis, n = 5 | Stigmas of cardiogenesis (CDA), n = 6 |
Disorder of refraction; destruction of the vitreous body; myopia, n = 7 | Functional disorders of the large intestine, n = 5 | Skin: keloid scars; thin skin, n = 6 |
MDA: short neck; hypertelorism of the eyes, n = 5; CDA, n = 8 | MDA: multiple moles, n = 10; impaired teeth growth — 5, defects in the auricles — 5 | MDA: deviation of little fingers; disproportion of growth of the finger II n = 6 |
Note: LSS is the lumbosacral spine; MDA is minor developmental abnormalities; JHM: hypermobility of joints.
As can be seen from Table 1, the incidences and numbers of markers of CTD and MDA differed in patients with different physical development.
Analyzing the method of inheritance in patients with Perthes disease according to the compiled genealogy, we managed to discover that most often it was sporadic (in 48 cases, 92.3%), and only in 4 (7.7%) cases was it dominant. In addition, in all 27 children with short stature, the formation of family and genetic short stature along the maternal line could be traced, and, vice versa, in 6 patients with tall stature, the family and genetic tallness was also noted on the maternal line (Figs. 5, a, b).
Fig. 5. Family-genetic short stature in children with Perthes's disease along the mother's line: a - growth of daughter T., 11 years, - 112 cm (3% interval, 1st corridor); b - growth of the mother TE, 36 years old, - 157 cm (10% interval, 2nd corridor); c - growth of the deceased grandmother MS, 67 years old, - 154 cm (10% interval, 2nd corridor)
A survey of 76 relatives of degrees I and II having kinship to children with Perthes disease revealed a significant increase in the number of diseases of the musculoskeletal system, such as osteoarthritis deformans in 21 (27.6%) cases, osteochondrosis in 15 (19.7%) cases, arthralgia of unclear etiology of large joints in childhood and adolescence in 13 (17.1%) cases, and congenital dislocation of the hip in 3 (3.9%) cases. Their accumulation in the family population serves as the main evidence of formation of skeletal abnormalities in probands.
We concluded that the main externalization of a child’s health is its physical development. On the one hand, it is continuous and dynamic, and on the other, it is closely related to the genetic potential of its parents at every age stage of development. The marked deviations in physical development (corridors I–II and V–III) indicate morphological disorders in various organs and systems of the patient, including in the locomotor apparatus. Clinically, they are manifested in accumulation of markers of CTD and MDA [5–7]. The main types of connective tissue (cartilage, bone, blood, and lymphoid tissue, as well as their smooth muscles) originate from the middle germ layer, which is the mesoderm, so their structure is equal. Differentiation of tissues is very complex, it is controlled by multiple genes, including COL2A1, and terminates at the end of bone maturation. The main structural unit of all the main types of connective tissue is collagen, which takes part in onto- and organogenesis as well as in the aggregation of platelets. Its main function is support [9]. Maturation and formation of the main types of connective tissue in patients with Perthes disease depend on family and genetic characteristics. In patients with family and genetic short stature, the main hereditarily caused factor of collagenopathy is disorder in the endochondral ossification, and the acquired factor is physiological lengthening of the lower limbs at the age of 3–7 and 10–13 years [1–4, 8]. Hemodynamic and rheological abnormalities in these patients are secondary because of progression of aseptic inflammation [10]. However, according to a number of authors, in patients with tall stature, the main congenital factor is hypo- and aplasia of the medial and/or lateral femoral neck circumflex artery of the affected HJ [6, 9–11]. The producing factors are the increased physical activity of the child during sports loads with the actualization into ischemic stroke in the upper-lateral part of the affected femoral head. In children with normal physical development, myelodysplasia should be recognized as the leading hereditarily conditioned factor [12]. It provokes disorder of innervation (changes in vascular tone) of arteries and veins surrounding HJ. Acquired factors are inflammation of the synovial membrane of affected HJ after acute respiratory infections, exacerbation of chronic nasopharyngeal infection, as well as minor trauma.
Conclusion
Deviations in physical development in patients with Perthes disease in combination with accumulation of external and internal phenotypic signs of CTD in various organs, systems, and anatomical and topographical regions enable determination of the formation of multisystemic undifferentiated collagenopathy. The insufficiency of collagen formation in patients with low physical development leads to a decrease in the mechanical strength of bone structures and formation of osteonecrosis. Congenital incompetence of collagen synthesis in the intima of the medial or lateral femur circumflex artery in patients with physical development above the average causes development of their stenosis. In children with moderate physical development, significant disorders in the development of the spinal cord result in a chronic decrease in hemodynamics and a change in the blood rheological properties with actualization of osteonecrosis. Maximum rapid recovery of the affected area of bone tissue in HJ enables shortening of the time required for treatment of this pathology.
Funding and conflict of interest
The work was supported by the Ivanovo Children’s Clinical Hospital and the Ivanovo State Medical Academy. The authors declare no obvious and potential conflicts of interest related to the publication of this article.
About the authors
Ilia L. Lobov
Ivanovo Regional Children’s Clinical Hospital
Author for correspondence.
Email: lobov-67@yandex.ru
MD, PhD, Orthopedic and Trauma Surgeon
Russian Federation, IvanovoAleхander V. Malkov
Ivanovo State Medical Academy
Email: av.malkov@mail.ru
MD, PhD, Associate Professor of Department of Children Diseases of the Pediatric Faculty
Russian Federation, 8, F. Engels Avenue, Ivanovo Region, Ivanovo, 153037Nikolay I. Lobov
Ivanovo State Medical Academy
Email: nicolaylobovrus@gmail.com
Student of the Pediatric Faculty
Russian Federation, 8, F. Engels Avenue, Ivanovo Region, Ivanovo, 153037References
- Райзер М., Бауэр-Мельник А., Гласер К. Лучевая диагностика. Костно-мышечная система. – М.: МЕДпресс-информ, 2011. [Rayzer M, Bauer-Mel’nik A, Glaser K. Radiodiagnostics. Musculoskeletal system. Moscow: MEDpress-inform; 2011. (In Russ.)]
- Dillman JR, Hernandez RJ. MRI of Legg-Calve-Perthes disease. AJR Am J Roentgenol. 2009;193(5):1394-1407. doi: 10.2214/AJR.09.2444.
- Kohler G, Hesse B. Epiphyseal dysplasia – symptoms and differential diagnostic aspects. Z Orthop Ihre Grenzgeb. 2004;142(4):397-402. doi: 10.1055/s-2004-822663.
- Su P, Zhang L, Peng Y, et al. A histological and ultrastructural study of femoral head cartilage in a new type II collagenopathy. Int Orthop. 2010;34(8):1333-1339. doi: 10.1007/s00264-010-0985-9.
- Богосьян А.Б. Дистрофические заболевания тазобедренного сустава у детей и подростков (вопросы патогенеза и лечения): Дис. ... д-ра мед. наук. – Нижний Новгород, 2005. [Bogosian AB. Dystrophic diseases of the hip joint in children and adolescents (pathogenesis and treatment). [dissertation] Nizhniy Novgorod; 2005. (In Russ.)]
- Крючок В.Г. Роль врожденной сосудистой гипоплазии в этиологии болезни Пертеса / V Всероссийская научно-практическая конференция «Актуальные вопросы детской травматологии и ортопедии»; 2005; Санкт-Петербург. — СПб., 20005. [Kryuchok VG. The role of congenital vascular hypoplasia in the etiology of Perthes disease. In: Proceedings of the 5th Russian scientific conference «Actual questions of pediatric traumatology and orthopedics»; 2005; Saint Petersburg. Saint Petersburg; 2005. (In Russ.)]
- Чемоданов В.В., Краснова Е.Е. Особенности течения заболеваний у детей с дисплазией соединительной ткани. – Иваново, 2010. [Chemodanov VV, Krasnova EE. Features of the course of diseases in children with connective tissue dysplasia. Ivanovo; 2010. (In Russ.)]
- Fanord F, Fairbairn K, Kim H, et al. Bisphosphonate-modified gold nanoparticles: a useful vehicle to study the treatment of osteonecrosis of the femoral head. Nanotechnology. 2011;22(3):035102. doi: 10.1088/0957-4484/22/3/035102.
- Кадурина Т.И., Горбунова В.Н. Дисплазия соединительной ткани. – СПб.: Элби-СПб, 2009. [Kadurina TI, Gorbunova VN. Connective tissue dysplasia. Saint Petersburg: Elbi-SPb; 2009. (In Russ.)]
- Лобов И.Л., Кутырева О.И., Кульбанская С.Е., Филиппова Л.Н. Особенности гемодинамических и реологических показателей у детей с болезнью Легга – Кальве – Пертеса // Вестник Ивановской медицинской академии. – 2012. – Т. 17. – № 1. – С. 33–36. [Lobov IL, Kutyreva OI, Kul’banskaya SE, Filippova LN. The peculiarities of hemodynamic and rheologic indices in children with Legg-Calve-Pertes disease. Bulletin of the Ivanovo Medical Academy. 2012;17(1):33-36. (In Russ.)]
- Kitoh H, Kitakoji T, Kawasumi M, Ishiguro N. A histological and ultrastructural study of the iliac crest apophysis in Legg-Calve-Perthes disease. J Pediatr Orthop. 2008;28(4):435-439. doi: 10.1097/BPO.0b013e318173ed54.
- Барсуков Д.Б. Болезнь Пертеса // Terra Medica Nova. – 2009. – № 3. – С. 24–30. [Barsukov DB. Perthes disease. Terra Medica Nova. 2009;(3):24-30. (In Russ.)]
- Лобов И.Л., Кульбанская С.Е., Уронова М.А. Алгоритм ранней диагностики и тактика лечения заболеваний, сопровождающихся коксалгией, у детей // Вестник травматологии и ортопедии им. Н.Н. Приорова. – 2009. – № 2. – С. 67–71. [Lobov IL, Kul’banskaya CE, Uronova MA. Algorithm for Early Diagnosis and Treatment Tactics of Diseases Accompanied by Coxalgia in Children. Vestnik travmatologii i ortopedii im. N.N. Priorova. 2009;(2):67-71. (In Russ.)]
- Мицкевич В.А. Ортопедия первых шагов. – М.: Бином. Лаборатория знаний, 2015. [Mitskevich VA. Orthopedics of the first steps. Moscow: Binom. Laboratoriya znaniy; 2015. (In Russ.)]
Supplementary files









